Insights into Feruloylated Oligosaccharide Impact on Gel Properties of Oxidized Myofibrillar Proteins Based on the Changes in Their Spatial Structure
Abstract
1. Introduction
2. Materials and Methods
2.1. Materials
2.2. Preparation of Samples
2.2.1. Extraction Process
2.2.2. Oxidative Treatments with Feruloylated Oligosaccharides (FOs)
2.2.3. Preparation of MP Gels
2.3. Changes in MP Side Chains
2.3.1. Carbonyls
2.3.2. Total Sulfhydryls
2.3.3. Free Amines
2.4. Changes in the Structure of MPs
2.4.1. FTIR of MPs
2.4.2. Surface Hydrophobicity
2.4.3. Intrinsic Tryptophan Fluorescence
2.4.4. Differential Scanning Calorimetry (DSC)
2.5. Electrophoresis Analysis
2.6. Gel Strength and Water-Holding Capacity
2.7. Changes in the Dynamic Rheological Properties of MPs
2.8. Low-Field Nuclear Magnetic Resonance (LFMR) of MP Gel
2.9. Scanning Electron Microscopy (SEM)
2.10. Determination of Chemical Force of MP Gels
2.11. Statistical Analysis
3. Results and Discussion
3.1. Modifications of Amino Acid Side-Chain Groups
3.1.1. Carbonyl Content
3.1.2. Total Sulfhydryls
3.1.3. Free Amine Content
3.2. Changes in the Structure of MPs
3.2.1. Secondary Structure of MPs
3.2.2. Surface Hydrophobicity
3.2.3. Intrinsic Tryptophan Fluorescence
3.2.4. Thermal Analysis
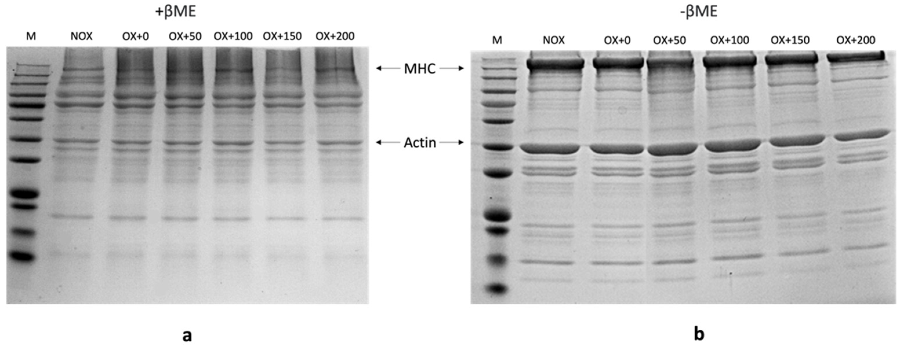
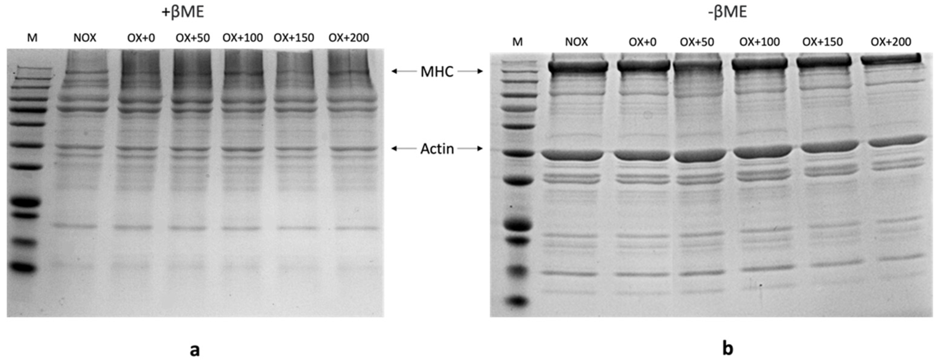
3.3. Crosslinking of MPs
3.4. Gel Properties of MPs
3.4.1. Rheological Properties
3.4.2. Gel Strength and Water-Holding Capacity of MPs
3.4.3. Distribution of Water in MP Gel
3.4.4. SEM
3.5. Chemical Force of MP Gels
4. Conclusions
Author Contributions
Funding
Data Availability Statement
Conflicts of Interest
References
- Ramirez-Suarez, J.C.; Xiong, Y.L. Effect of transglutaminase-induced cross-linking on gelation of myofibrillar/soy protein mixtures. Meat Sci. 2003, 65, 899–907. [Google Scholar] [CrossRef] [PubMed]
- Guo, X.; Wang, Y.; Lu, S.; Wang, J.; Wang, Q. Changes in proteolysis, protein oxidation, flavor, color and texture of dry-cured mutton ham during storage. LWT-Food Sci. Technol. 2021, 149, 111860. [Google Scholar] [CrossRef]
- Niu, H.; Xia, X.; Wang, C.; Kong, B.; Liu, Q. Thermal stability and gel quality of myofibrillar protein as affected by soy protein isolates subjected to an acidic pH and mild heating. Food Chem. 2018, 242, 188–195. [Google Scholar] [CrossRef] [PubMed]
- Guo, J.; Zhou, Y.; Yang, K.; Yin, X.; Ma, J.; Li, Z.; Han, M. Effect of low-frequency magnetic field on the gel properties of pork myofibrillar proteins. Food Chem. 2019, 274, 775–781. [Google Scholar] [CrossRef] [PubMed]
- Gebicki, J.M. Oxidative stress, free radicals and protein peroxides. Arch. Biochem. Biophys. 2016, 595, 33–39. [Google Scholar] [CrossRef]
- Hellwig, M. The chemistry of protein oxidation in food. Angew. Chem. Int. Ed. 2019, 58, 16742–16763. [Google Scholar] [CrossRef]
- Dorta, E.; Ávila, F.; Fuentes-Lemus, E.; Fuentealba, D. Oxidation of myofibrillar proteins induced by peroxyl radicals: Role of oxidizable amino acids. Food Res. Int. 2019, 126, 108580. [Google Scholar] [CrossRef]
- Li, X.; Liu, C.; Wang, J.; Li, W.; Lin, B.; Zhu, W.; Li, J. Tea polyphenols affect oxidative modification and solution stability of myofibrillar protein from grass carp (Ctenopharyngodon idellus). Food Biophys. 2020, 15, 397–408. [Google Scholar] [CrossRef]
- Zhang, D.; Li, H.; Emara, A.M.; Hu, Y.; He, Z. Effect of in vitro oxidation on the water retention mechanism of myofibrillar proteins gel from pork muscles. Food Chem. 2020, 315, 126226. [Google Scholar] [CrossRef]
- Huang, L.; Ding, B.; Zhang, H.; Kong, B. Textural and sensorial quality protection in frozen dumplings through the inhibition of lipid and protein oxidation with clove and rosemary extracts. J. Sci. Food Agric. 2019, 99, 4739–4747. [Google Scholar] [CrossRef]
- Jia, N.; Wang, L.; Shao, J.; Liu, D.; Kong, B. Changes in the structural and gel properties of pork myofibrillar protein induced by catechin modification. Meat Sci. 2017, 127, 45–50. [Google Scholar] [CrossRef] [PubMed]
- Kaczmarek, B.; Mazur, O. Collagen-based materials modified by phenolic acids—A review. Materials 2020, 13, 3641. [Google Scholar] [CrossRef] [PubMed]
- Wang, J.; Sun, B.G.; Cao, Y.P. Protein glycation inhibitory activity of wheat bran feruloyl oligosaccharides. Food Chem. 2009, 112, 350–353. [Google Scholar] [CrossRef]
- Price, R.K.; Welch, R.W.; Lee-manion, A.M.; Strain, I.B. Total phenolic and antioxidant potential in plasma and urine of humans after consumption of wheat bran. Cereal Chem. 2008, 85, 152–157. [Google Scholar] [CrossRef]
- Park, D.; Xiong, Y.L.; Alderton, A.L. Concentration effects of hydroxyl radical oxidizing systems on biochemical properties of porcine muscle myofibrillar protein. Food Chem. 2006, 101, 1239–1246. [Google Scholar] [CrossRef]
- Gornall, A.G.; Bardawill, C.J.; David, M. Determination of serum proteins by means of the biuret reaction. J. Biol. Chem. 1949, 177, 751–766. [Google Scholar] [CrossRef]
- Ellman, G.L. Tissue sulfhydryl groups. Arch. Biochem. Biophys. 1959, 82, 70–77. [Google Scholar] [CrossRef]
- Adler-Nissen, J. Determination of the degree of hydrolysis of food protein hydrolysates by trinitrobenzenesulfonic acid. J. Agric. Food Chem. 1979, 27, 1256–1262. [Google Scholar] [CrossRef]
- Zhang, Z.; Xiong, Z.; Lu, S.; Walayat, N.; Hu, C.; Xiong, H. Effects of oxidative modification on the functional, conformational and gelling properties of myofibrillar proteins from Culter alburnus. Int. J. Biol. Macromol. 2020, 162, 1442–1452. [Google Scholar] [CrossRef]
- Laemmli, U.K. Cleavage of structural proteins during the assembly of the head of bacteriophage T4. Nature 1970, 227, 680–685. [Google Scholar] [CrossRef]
- Yang, K.; Wang, L.; Guo, J.; Wu, D.; Wang, X.; Wu, M.; Sun, W. Structural changes induced by direct current magnetic field improve water holding capacity of pork myofibrillar protein gels. Food Chem. 2021, 345, 128849. [Google Scholar] [CrossRef] [PubMed]
- Jomová, K.; Hudecova, L.; Lauro, P.; Simunkova, M. A switch between antioxidant and prooxidant properties of the phenolic compounds myricetin, morin, 3′,4′-dihydroxyflavone, taxifolin and 4-hydroxy-coumarin in the presence of copper (II) ions: A spectroscopic, absorption titration and DNA damage study. Molecules 2019, 24, 4335. [Google Scholar] [CrossRef] [PubMed]
- Cao, Y.G.; Xiong, Y.L. Chlorogenic acid-mediated gel formation of oxidatively stressed myofibrillar protein. Food Chem. 2015, 180, 235–243. [Google Scholar] [CrossRef] [PubMed]
- Estévez, M.; Heinonen, M. Effect of phenolic compounds on the formation of α-aminoadipic and γ-glutamic semialdehydes from myofibrillar proteins oxidized by copper, iron, and myoglobin. J. Agric. Food Chem. 2010, 58, 4448–4455. [Google Scholar] [CrossRef]
- Guo, X.; Qiu, H.H.; Deng, X.; Mao, X. Effect of chlorogenic acid on the physicochemical and functional properties of Coregonus peled myofibrillar protein through hydroxyl radical oxidation. Molecules 2019, 24, 3205. [Google Scholar] [CrossRef]
- Dai, H.J.; Chen, X.K.; Peng, L.; Ma, L. The mechanism of improved myosin gel properties by low dose rosmarinic acid addition during gel formation. Food Hydrocoll. 2020, 106, 105869. [Google Scholar] [CrossRef]
- Wang, S.; Zhang, Y.; Chen, L.; Xu, X.; Zhou, G.; Li, Z.; Feng, X.J.F.C. Dose-dependent effects of rosmarinic acid on formation of oxidatively stressed myofibrillar protein emulsion gel at different NaCl concentrations. Food Chem. 2018, 243, 50–57. [Google Scholar] [CrossRef]
- Utrera, M.; Estévez, M. Impact of trolox, quercetin, genistein and gallic acid on the oxidative damage to myofibrillar proteins: The carbonylation pathway. Food Chem. 2013, 141, 4000–4009. [Google Scholar] [CrossRef]
- Yongsawatdigul, J.; Sinsuwan, S. Aggregation and conformational changes of tilapia actomyosin as affected by calcium ion during setting. Food Hydrocoll. 2007, 21, 359–367. [Google Scholar] [CrossRef]
- Tang, C.B.; Zhang, W.G.; Zou, Y.F.; Xing, L.J. Influence of RosA-protein adducts formation on myofibrillar protein gelation properties under oxidative stress. Food Hydrocoll. 2017, 67, 197–205. [Google Scholar] [CrossRef]
- Liu, F.G.; Wang, D.; Ma, C.C.; Gao, Y.X. Conjugation of polyphenols prevents lactoferrin from thermal aggregation at neutral pH. Food Hydrocoll. 2016, 58, 49–59. [Google Scholar] [CrossRef]
- Xu, Y.; Han, M.; Huang, M.; Xu, X. Enhanced heat stability and antioxidant activity of myofibrillar protein-dextran conjugate by the covalent adduction of polyphenols. Food Chem. 2021, 352, 129376. [Google Scholar] [CrossRef] [PubMed]
- Wu, X.; Wu, H.; Liu, M.; Liu, Z. Analysis of binding interaction between (−)-epigallocatechin (EGC) and β-lactoglobulin by multi-spectroscopic method. Spectrochim. Acta Part A Mol. Biomol. Spectrosc. 2011, 82, 164–168. [Google Scholar] [CrossRef] [PubMed]
- Le Bourvellec, C.; Renard CJ, C. Interactions between polyphenols and macromolecules: Quantification methods and mechanisms. Crit. Rev. Food Sci. Nutr. 2012, 52, 213–248. [Google Scholar] [CrossRef] [PubMed]
- Cao, Y.G.; Ai, N.; True, A.D.; Xiong, Y.L. Effects of (−)-epigallocatechin-3-gallate incorporation on the physicochemical and oxidative stability of myofibrillar protein-soybean oil emulsions. Food Chem. 2018, 245, 439–445. [Google Scholar] [CrossRef]
- Jiang, J.; Zhang, Z.; Zhao, J.; Liu, Y. The effect of non-covalent interaction of chlorogenic acid with whey protein and casein on physicochemical and radical-scavenging activity of in vitro protein digests. Food Chem. 2018, 268, 334–341. [Google Scholar] [CrossRef]
- Cheng, J.; Zhu, M.; Liu, X. Insight into the conformational and functional properties of myofibrillar protein modified by mulberry polyphenols. Food Chem. 2020, 308, 125592. [Google Scholar] [CrossRef]
- Tang, C.B.; Zhang, W.G.; Dai, C.; Li, H.X. Identification and quantification of adducts between oxidized rosmarinic acid and thiol compounds by UHPLC-LTQ-Orbitrap and MALDI-TOF/TOF tandem mass spectrometry. J. Agric. Food Chem. 2015, 63, 902–911. [Google Scholar] [CrossRef]
- Chalamaiah, M.; Esparza, Y.; Temelli, F.; Wu, J. Physicochemical and functional properties of livetins fraction from hen egg yolk. Food Biosci. 2017, 18, 38–45. [Google Scholar] [CrossRef]
- Wu, X.; Lu, Y.; Xu, H.; Lin, D. Reducing the allergenic capacity of β-lactoglobulin by covalent conjugation with dietary polyphenols. Food Chem. 2018, 256, 427–434. [Google Scholar] [CrossRef]
- Yang, J.; Xiong, Y.L. Comparative time-course of lipid and myofibrillar protein oxidation in different biphasic systems under hydroxyl radical stress. Food Chem. 2018, 243, 231–238. [Google Scholar] [CrossRef] [PubMed]
- Cao, Y.G.; True, A.D.; Chen, J.; Xiong, Y.L. Dual role (anti-and pro-oxidant) of gallic acid in mediating myofibrillar protein gelation and gel in vitro digestion. Food Hydrocoll. 2016, 64, 3054–3061. [Google Scholar] [CrossRef] [PubMed]
- Jongberg, S.; Gislason, N.E.; Lund, M.N.; Skibsted, L.H.; Waterhouse, A.L. Thiol-quinone adduct formation in myofibrillar proteins detected by LC-MS. J. Agric. Food Chem. 2011, 59, 6900–6905. [Google Scholar] [CrossRef] [PubMed]
- Warner, R.D. The eating quality of meat: IV-Water holding capacity and juiciness. In Lawrie’s Meat Science; Woodhead Publishing: Sawston, UK, 2023; pp. 457–508. [Google Scholar] [CrossRef]
- Zhuang, X.; Han, M.; Bai, Y.; Liu, Y.; Xing, L.; Xu, X.L.; Zhou, G.H. Insight into the mechanism of myofibrillar protein gel improved by insoluble dietary fiber. Food Hydrocoll. 2018, 74, 219–226. [Google Scholar] [CrossRef]
- Gravelle, A.J.; Marangoni, A.G.; Barbut, S. Insight into the mechanism of myofibrillar protein gel stability: Influencing texture and microstructure using a model hydrophilic filler. Food Hydrocoll. 2016, 60, 415–424. [Google Scholar] [CrossRef]
- Pearce, K.L.; Rosenvold, K.; Andersen, H.J.; Hopkins, D.L. Water distribution and mobility in meat during the conversion of muscle to meat and ageing and the impacts on fresh meat quality attributes-A review. Meat Sci. 2011, 89, 111–124. [Google Scholar] [CrossRef] [PubMed]
- Li, L.; Ji, H.; Kang, D.; Zhou, Y.; Guo, Y. Effect of tea polyphenols on physicochemical and gel properties of pork myofibrillar protein under oxidative conditions. Food Sci. 2019, 40, 12–17. [Google Scholar] [CrossRef]
- Nyaisaba, B.M.; Liu, X.; Zhu, S.; Fan, X. Effect of hydroxyl-radical on the biochemical properties and structure of myofibrillar protein from Alaska pollock (Theragra chalcogramma). LWT-Food Sci. Technol. 2019, 106, 15–21. [Google Scholar] [CrossRef]
- Guo, X.; Hu, L.; Wang, Z.; Zhu, X.; Deng, X.; Zhang, J. Effect of rutin on the physicochemical and gel characteristics of myofibrillar protein under oxidative stress. J. Food Biochem. 2021, 45, e13928. [Google Scholar] [CrossRef]
- Zhang, L.; Gui, P.; Zhang, Y.; Lin, J. Assessment of structural, textural, and gelation properties of myofibrillar protein of silver carp (Hypophthalmichthys molitrix) modified by stunning and oxidative stress. LWT Food Sci. Technol. 2019, 102, 142–149. [Google Scholar] [CrossRef]
- Iwami, Y.; Ojima, T.; Inoue, A.; Nishita, K. Primary structure of myosin heavy chain from fast skeletal muscle of Chum salmon Oncorhynchus keta. Comp. Biochem. Physiol. Part B Biochem. Mol. Biol. 2002, 133, 257–267. [Google Scholar] [CrossRef] [PubMed]





| Treatments | Carbonyls [μmol/g MP] | Total Sulfhydryls [μmol/g MP] | Free Amines [μmol/g MP] |
|---|---|---|---|
| NOX | 2.25 ± 0.32 c | 47.63 ± 8.58 a | 37.60 ± 0.72 a |
| OX + 0 | 5.93 ± 0.32 a | 25.87 ± 2.95 d | 22.50 ± 0.68 d |
| OX + 50 | 2.85 ± 0.49 bc | 49.02 ± 0.61 a | 33.65 ± 0.71 b |
| OX + 100 | 2.34 ± 0.55 c | 48.27 ± 5.78 a | 37.35 ± 3.60 a |
| OX + 150 | 3.13 ± 0.28 bc | 44.28 ± 6.11 bc | 32.26 ± 0.57 b |
| OX + 200 | 3.71 ± 1.04 b | 35.01 ± 0.51 cd | 30.46 ± 0.60 c |
| Treatments | α-Helix | β-Sheet | β-Turn | Random Coils |
|---|---|---|---|---|
| NOX | 15.82 ± 1.97 b | 37.85 ± 2.64 b | 18.88 ± 0.83 c | 27.63 ± 3.64 a |
| OX + 0 | 13.94 ± 1.73 c | 38.05 ± 0.76 a | 19.52 ± 0.58 b | 27.70 ± 0.29 a |
| OX + 50 | 15.63 ± 2.65 b | 36.22 ± 2.20 c | 19.25 ± 0.73 b | 28.74 ± 0.71 a |
| OX + 100 | 17.48 ± 2.18 a | 35.03 ± 2.62 c | 19.77 ± 0.75 b | 27.72 ± 1.15 a |
| OX + 150 | 15.80 ± 5.94 b | 35.52 ± 2.03 c | 20.19 ± 2.25 a | 28.89 ± 1.88 a |
| OX + 200 | 15.37 ± 3.33 b | 36.31 ± 2.60 c | 19.44 ± 1.74 b | 28.44 ± 1.40 a |
| Treatment | Tmax1 (°C) | Tmax2 (°C) | Tmax3 (°C) | ΔH1 (J/g) | ΔH2 (J/g) | ΔH3 (J/g) |
|---|---|---|---|---|---|---|
| NOX | 48.98 ± 0.16 b | 56.80 ± 0.18 b | 65.31 ± 0.35 a | 0.0102 ± 0.0003 b | 0.0149 ± 0.0002 b | 0.0025 ± 0.0002 a |
| OX + 0 | 45.23 ± 0.19 c | 55.13 ± 0.39 c | 63.68 ± 0.62 c | 0.0098 ± 0.0002 b | 0.0140 ± 0.0003 b | 0.0018 ± 0.0001 b |
| OX + 50 | 49.11 ± 0.21 a | 57.01 ± 0.18 a | 65.01 ± 0.76 b | 0.0105 ± 0.0001 a | 0.0153 ± 0.0001 a | 0.0025 ± 0.0001 a |
| OX + 100 | 47.06 ± 0.19 b | 54.97 ± 0.39 c | 64.88 ± 0.21 b | 0.1001 ± 0.0002 b | 0.0148 ± 0.0002 b | 0.0009 ±0.0001 c |
| OX + 150 | 44.91 ± 0.35 c | 54.71 ± 0.43 c | - | 0.0087 ± 0.0001 c | 0.0115 ± 0.0001 c | - |
| OX + 200 | 44.78 ± 0.21 c | - | - | 0.0083 ± 0.0002 c | - | - |
| Treatments | T2b (ms) | T21 (ms) | T22 (ms) | T23 (ms) | P2b (%) | P21 (%) | P22 (%) | P23 (%) |
|---|---|---|---|---|---|---|---|---|
| NOX | 0.32 ± 0.07 a | 30.78 ± 4.23 a | 204.33 ± 2.99 a | 527.5 ± 0.03 d | 0.85 ± 0.05 a | 0.39 ± 0.04 e | 75.82 ± 0.06 c | 22.91 ± 0.09 b |
| OX + 0 | 0.37 ± 0.05 a | 19.34 ± 1.43 b | 174.58 ± 2.47 b | 1096.08 ± 23.27 c | 0.90 ± 0.07 a | 0.27 ± 0.03 e | 63.30 ± 0.17 d | 35.53 ± 0.19 a |
| OX + 50 | 0.17 ± 0.03 a | 15.88 ± 0.90 c | 156.17 ± 5.65 c | 1844.27 ± 32.57 a | 0.88 ± 0.06 a | 0.59 ± 0.05 a | 87.83 ± 0.02 a | 10.70 ± 0.17 d |
| OX + 100 | 0.15 ± 0.05 a | 12.37 ± 1.31 d | 131.97 ± 0.76 d | 1672.50 ± 49.52 b | 0.87 ± 0.04 a | 0.57 ± 0.04 b | 89.39 ± 0.05 a | 9.17 ± 0.02 d |
| OX + 150 | 0.10 ± 0.04 a | 10.58 ± 0.99 d | 86.20 ± 0.10 e | 1418.71 ± 96.01 c | 0.85 ± 0.07 a | 0.57 ± 0.02 b | 88.73 ± 0.02 a | 9.85 ± 0.48 d |
| OX + 200 | 0.14 ± 0.04 a | 27.65 ± 2.22 a | 171.30 ± 4.90 b | 1283.58 ± 283.13 c | 0.86 ± 0.05 a | 0.48 ± 0.03 c | 80.91 ± 0.27 b | 17.75 ± 0.02 c |
| Treatments | Ionic Bonds | Hydrogen Bonds | Hydrophobic Interactions | Disulfide Bonds |
|---|---|---|---|---|
| NOX | 0.06 ± 0.02 a | 0.08 ± 0.04 a | 0.57 ± 0.08 a | 0.59 ± 0.09 b |
| OX + 0 | 0.05 ± 0.02 a | 0.07 ± 0.02 a | 0.43 ± 0.02 c | 0.68 ± 0.09 a |
| OX + 50 | 0.04 ± 0.02 a | 0.09 ± 0.02 a | 0.55 ± 0.06 a | 0.55 ± 0.08 bc |
| OX + 100 | 0.06 ± 0.01 a | 0.09 ± 0.02 a | 0.57 ± 0.12 a | 0.50 ± 0.06 bc |
| OX + 150 | 0.05 ± 0.01 a | 0.10 ± 0.03 a | 0.42 ± 0.02 b | 0.59 ± 0.04 b |
| OX + 200 | 0.04 ± 0.01 a | 0.10 ± 0.02 a | 0.40 ± 0.04 b | 0.64 ± 0.04 ab |
Disclaimer/Publisher’s Note: The statements, opinions and data contained in all publications are solely those of the individual author(s) and contributor(s) and not of MDPI and/or the editor(s). MDPI and/or the editor(s) disclaim responsibility for any injury to people or property resulting from any ideas, methods, instructions or products referred to in the content. |
© 2023 by the authors. Licensee MDPI, Basel, Switzerland. This article is an open access article distributed under the terms and conditions of the Creative Commons Attribution (CC BY) license (https://creativecommons.org/licenses/by/4.0/).
Share and Cite
Yu, J.; Wang, S.; Sun, C.; Zhao, B. Insights into Feruloylated Oligosaccharide Impact on Gel Properties of Oxidized Myofibrillar Proteins Based on the Changes in Their Spatial Structure. Foods 2023, 12, 1222. https://doi.org/10.3390/foods12061222
Yu J, Wang S, Sun C, Zhao B. Insights into Feruloylated Oligosaccharide Impact on Gel Properties of Oxidized Myofibrillar Proteins Based on the Changes in Their Spatial Structure. Foods. 2023; 12(6):1222. https://doi.org/10.3390/foods12061222
Chicago/Turabian StyleYu, Jingchao, Shouwei Wang, Chengfeng Sun, and Bing Zhao. 2023. "Insights into Feruloylated Oligosaccharide Impact on Gel Properties of Oxidized Myofibrillar Proteins Based on the Changes in Their Spatial Structure" Foods 12, no. 6: 1222. https://doi.org/10.3390/foods12061222
APA StyleYu, J., Wang, S., Sun, C., & Zhao, B. (2023). Insights into Feruloylated Oligosaccharide Impact on Gel Properties of Oxidized Myofibrillar Proteins Based on the Changes in Their Spatial Structure. Foods, 12(6), 1222. https://doi.org/10.3390/foods12061222
