Pectin from Citrus unshiu Marc. Alleviates Glucose and Lipid Metabolism by Regulating the Gut Microbiota and Metabolites
Abstract
:1. Introduction
2. Materials and Methods
2.1. Materials
2.2. Animals and Treatment
2.3. Measurement of Fasting Blood Glucose and Glycated Serum Protein
2.4. Serum Lipids Function in Mice
2.5. Hematoxylin and Eosin Analysis
2.6. Change of Gut Microbiota
2.7. Determination of SCFAs
2.8. Statistical Analysis
3. Results
3.1. Pectin Reduced Body Weight in db/db Mice
3.2. Pectin Decreased FBG and GSP in db/db Mice
3.3. Pectin Improved Lipid Profiles in the db/db Mice
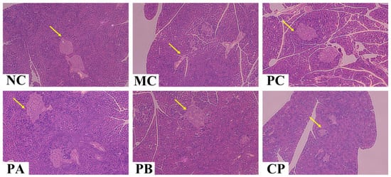
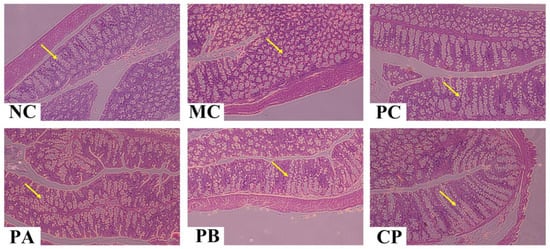
3.4. Pectin Ameliorated the Morphology of the Pancreas, Epididymal Fat, and Colon Tissue
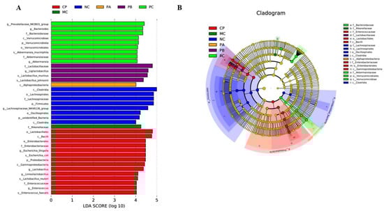
3.5. Pectin Modulated the Gut Microbiota in the db/db Mice
3.6. Pectin Promoted the Generation of SCFAs in db/db Mice
4. Discussion
5. Conclusions
Author Contributions
Funding
Institutional Review Board Statement
Data Availability Statement
Conflicts of Interest
References
- Sajadimajd, S.; Bahrami, G.; Daglia, M.; Nabavi, S.M.; Naseri, R.; Farzaei, M.H. Plant-Derived Supplementary Carbohydrates, Polysaccharides and Oligosaccharides in Management of Diabetes Mellitus: A Comprehensive Review. Food Rev. Int. 2019, 35, 563–586. [Google Scholar] [CrossRef]
- Yang, L.A.; Li, L.; Wu, X.H.; Cai, W.Q.; Lin, Q.; Zhu, D.S. The Effect of Natural Soluble Polysaccharides on the Type 2 Diabetes through Modulating Gut Microbiota: A Review. Curr. Med. Chem. 2021, 28, 5368–5385. [Google Scholar] [CrossRef]
- Chen, C.H.; Huang, X.J.; Wang, H.; Geng, F.; Nie, S.P. Effect of beta-glucan on metabolic diseases: A review from the gut microbiota perspective. Curr. Opin. Food Sci. 2022, 47, 100907. [Google Scholar] [CrossRef]
- Alberti, K.G.M.M.; Zimmet, P.Z.; Consultation, W. Definition, diagnosis and classification of diabetes mellitus and its complications part 1: Diagnosis and classification of diabetes mellitus—Provisional report of a WHO consultation. Diabet. Med. 1998, 15, 539–553. [Google Scholar] [CrossRef]
- Bao, Y.F.; Xiao, J.B.; Weng, Z.B.; Lu, X.Y.; Shen, X.C.; Wang, F. A phenolic glycoside from Moringa oleifera Lam. improves the carbohydrate and lipid metabolisms through AMPK in db/db mice. Food Chem. 2020, 311, 125948. [Google Scholar] [CrossRef]
- Chen, Y.Q.; Liu, D.; Wang, D.Y.; Lai, S.S.; Zhong, R.T.; Liu, Y.Y.; Yang, C.F.; Liu, B.; Sarker, M.R.; Zhao, C. Hypoglycemic activity and gut microbiota regulation of a novel polysaccharide from Grifola frondosa in type 2 diabetic mice. Food Chem. Toxicol. 2019, 126, 295–302. [Google Scholar] [CrossRef] [PubMed]
- Jia, X.B.; Yang, J.; Wang, Z.; Liu, R.C.; Xie, R.J. Polysaccharides from Laminaria japonica show hypoglycemic and hypolipidemic activities in mice with experimentally induced diabetes. Exp. Biol. Med. 2014, 239, 1663–1670. [Google Scholar] [CrossRef]
- Jiao, Y.K.; Wang, X.Q.; Jiang, X.; Kong, F.S.; Wang, S.M.; Yan, C.Y. Antidiabetic effects of Morus alba fruit polysaccharides on high-fat diet- and streptozotocin-induced type 2 diabetes in rats. J. Ethnopharmacol. 2017, 199, 119–127. [Google Scholar] [CrossRef]
- Le, B.; Anh, P.T.N.; Yang, S.H. Polysaccharide Derived from Nelumbo nucifera Lotus Plumule Shows Potential Prebiotic Activity and Ameliorates Insulin Resistance in HepG2 Cells. Polymers 2021, 13, 1780. [Google Scholar] [CrossRef] [PubMed]
- Li, J.J.; Zhao, H.B.; Hu, X.Z.; Shi, J.L.; Shao, D.Y.; Jin, M.L. Antidiabetic effects of different polysaccharide fractions from Artemisia sphaerocephala Krasch seeds in db/db mice. Food Hydrocoll. 2019, 91, 1–9. [Google Scholar] [CrossRef]
- Liao, Z.Z.; Zhang, J.Y.; Liu, B.; Yan, T.X.; Xu, F.X.; Xiao, F.; Wu, B.; Bi, K.S.; Jia, Y. Polysaccharide from Okra (Abelmoschus esculentus (L.) Moench) Improves Antioxidant Capacity via PI3K/AKT Pathways and Nrf2 Translocation in a Type 2 Diabetes Model. Molecules 2019, 24, 1906. [Google Scholar] [CrossRef]
- Zhang, S.S.; Hu, J.L.; Sun, Y.G.; Tan, H.Z.; Yin, J.Y.; Geng, F.; Nie, S.P. Review of structure and bioactivity of the Plantago (Plantaginaceae) polysaccharides. Food Chem. X 2021, 12, 100158. [Google Scholar] [CrossRef]
- Lu, H.X.; Liu, P.; Zhang, X.X.; Bao, T.; Wang, T.; Guo, L.; Li, Y.W.; Dong, X.Y.; Li, X.R.; Dong, Y.P.; et al. Inulin and Lycium barbarum polysaccharides ameliorate diabetes by enhancing gut barrier via modulating gut microbiota and activating gut mucosal TLR2(+) intraepithelial gamma delta T cells in rats. J. Funct. Foods 2021, 79, 104407. [Google Scholar] [CrossRef]
- Luo, D.; Dong, X.K.; Huang, J.; Huang, C.C.; Fang, G.W.; Huang, Y.Q. Pueraria lobata root polysaccharide alleviates glucose and lipid metabolic dysfunction in diabetic db/db mice. Pharm. Biol. 2021, 59, 382–390. [Google Scholar] [CrossRef]
- Wang, H.Y.; Guo, L.X.; Hu, W.H.; Peng, Z.T.; Wang, C.; Chen, Z.C.; Liu, E.Y.L.; Dong, T.T.X.; Wang, T.J.; Tsim, K.W.K. Polysaccharide from tuberous roots of Ophiopogon japonicus regulates gut microbiota and its metabolites during alleviation of high-fat diet-induced type-2 diabetes in mice. J. Funct. Foods 2019, 63, 103593. [Google Scholar] [CrossRef]
- Wang, K.P.; Wang, H.X.; Liu, Y.G.; Shui, W.Z.; Wang, J.F.; Cao, P.; Wang, H.J.; You, R.X.; Zhang, Y. Dendrobiurn officinale polysaccharide attenuates type 2 diabetes mellitus via the regulation of PI3K/Akt-mediated glycogen synthesis and glucose metabolism. J. Funct. Foods 2018, 40, 261–271. [Google Scholar] [CrossRef]
- Wang, L.; Li, C.; Huang, Q.; Fu, X. Polysaccharide from Rosa roxburghii Tratt Fruit Attenuates Hyperglycemia and Hyperlipidemia and Regulates Colon Microbiota in Diabetic db/db Mice. J. Agric. Food Chem. 2020, 68, 147–159. [Google Scholar] [CrossRef] [PubMed]
- Yu, C.X.; Wu, D.M.; Zhu, K.; Hou, L.J.; Xiao, H.; Ding, T.; Liu, D.H.; Ye, X.Q.; Linhardt, R.J.; Chen, S.G. Challenges of pectic polysaccharides as a prebiotic from the perspective of fermentation characteristics and anti-colitis activity. Carbohydr. Polym. 2021, 270, 118377. [Google Scholar] [CrossRef]
- Jin, M.Y.; Li, M.Y.; Huang, R.M.; Wu, X.Y.; Sun, Y.M.; Xu, Z.L. Structural features and anti-inflammatory properties of pectic polysaccharides: A review. Trends Food Sci. Technol. 2021, 107, 284–298. [Google Scholar] [CrossRef]
- Lee, H.B.; Kim, Y.S.; Park, H.Y. Pectic polysaccharides: Targeting gut microbiota in obesity and intestinal health. Carbohyd. Polym. 2022, 287, 119363. [Google Scholar] [CrossRef]
- Wu, D.M.; Ye, X.Q.; Linhardt, R.J.; Liu, X.W.; Zhu, K.; Yu, C.X.; Ding, T.; Liu, D.H.; He, Q.J.; Chen, S.G. Dietary pectic substances enhance gut health by its polycomponent: A review. Compr. Rev. Food Sci. Food Saf. 2021, 20, 2015–2039. [Google Scholar] [CrossRef]
- Zhu, X.M.; Xu, R.; Wang, H.; Chen, J.Y.; Tu, Z.C. Structural Properties, Bioactivities, and Applications of Polysaccharides from Okra [Abelmoschus esculentus (L.) Moench]: A Review. J. Agric. Food Chem. 2020, 68, 14091–14103. [Google Scholar] [CrossRef] [PubMed]
- Ren, T.; Liu, F.R.; Wang, D.X.; Li, B.; Jiang, P.; Li, J.M.; Li, H.; Chen, C.B.; Wu, W.; Jiao, L.L. Rhamnogalacturonan-I enriched pectin from steamed ginseng ameliorates lipid metabolism in type 2 diabetic rats via gut microbiota and AMPK pathway. J. Ethnopharmacol. 2023, 301, 115862. [Google Scholar] [CrossRef]
- Zhu, K.; Mao, G.; Wu, D.; Yu, C.; Cheng, H.; Xiao, H.; Ye, X.; Linhardt, R.J.; Orfila, C.; Chen, S. Highly Branched RG-I Domain Enrichment Is Indispensable for Pectin Mitigating against High-Fat Diet-Induced Obesity. J. Agric. Food Chem. 2020, 68, 8688–8701. [Google Scholar] [CrossRef] [PubMed]
- Shen, S.; Cheng, H.; Liu, Y.; Chen, Y.; Chen, S.; Liu, D.; Ye, X.; Chen, J. New electrolyte beverages prepared by the citrus canning processing water through chemical improvement. Food Chem. X 2021, 12, 100155. [Google Scholar] [CrossRef] [PubMed]
- Dong, J.; Liang, Q.X.; Niu, Y.; Jiang, S.J.; Zhou, L.; Wang, J.M.; Ma, C.Y.; Kang, W.Y. Effects of Nigella sativa seed polysaccharides on type 2 diabetic mice and gut microbiota. Int. J. Biol. Macromol. 2020, 159, 725–738. [Google Scholar] [CrossRef] [PubMed]
- Zhao, Y.; Jiang, Q. Roles of the Polyphenol-Gut Microbiota Interaction in Alleviating Colitis and Preventing Colitis-Associated Colorectal Cancer. Adv. Nutr. 2021, 12, 546–565. [Google Scholar] [CrossRef]
- Khursheed, R.; Singh, S.K.; Wadhwa, S.; Gulati, M.; Awasthi, A. Therapeutic potential of mushrooms in diabetes mellitus: Role of polysaccharides. Int. J. Biol. Macromol. 2020, 164, 1194–1205. [Google Scholar] [CrossRef] [PubMed]
- Ding, Z.; Zhao, Y.; Liu, J.H.; Ge, W.H.; Xu, X.; Wang, S.M.; Zhang, J.F. Dietary Succinoglycan Riclin Improves Glycemia Control in Mice with Type 2 Diabetes. J. Agric. Food Chem. 2022, 70, 1819–1829. [Google Scholar] [CrossRef]
- Hao, G.; Ma, X.Y.; Jiang, M.R.; Gao, Z.Z.; Yang, Y. Echinops Spp. Polysaccharide B Ameliorates Metabolic Abnormalities in a Rat Model of Type 2 Diabetes Mellitus. Curr. Top. Nutraceutical Res. 2021, 19, 106–114. [Google Scholar] [CrossRef]
- Liu, D.; Gao, H.; Tang, W.; Nie, S.P. Plant non-starch polysaccharides that inhibit key enzymes linked to type 2 diabetes mellitus. Ann. N. Y. Acad. Sci. 2017, 1401, 28–36. [Google Scholar] [CrossRef] [PubMed]
- Zhou, Y.; Chen, X.X.; Chen, T.T.; Chen, X.Q. A review of the antibacterial activity and mechanisms of plant polysaccharides. Trends Food Sci. Technol. 2022, 123, 264–280. [Google Scholar] [CrossRef]
- Zhao, R.Q.; Ji, Y.; Chen, X.; Hu, Q.H.; Zhao, L.Y. Polysaccharide from Flammulina velutipes attenuates markers of metabolic syndrome by modulating the gut microbiota and lipid metabolism in high fat diet-fed mice. Food Funct. 2021, 12, 6964–6980. [Google Scholar] [CrossRef] [PubMed]
- Hartstra, A.V.; Bouter, K.E.C.; Backhed, F.; Nieuwdorp, M. Insights Into the Role of the Microbiome in Obesity and Type 2 Diabetes. Diabetes Care 2015, 38, 159–165. [Google Scholar] [CrossRef] [PubMed]
- Xu, J.; Li, T.; Xia, X.Y.; Fu, C.F.; Wang, X.D.; Zhao, Y.Q. Dietary Ginsenoside T19 Supplementation Regulates Glucose and Lipid Metabolism via AMPK and PI3K Pathways and Its Effect on Intestinal Microbiota. J. Agric. Food Chem. 2020, 68, 14452–14462. [Google Scholar] [CrossRef] [PubMed]








Disclaimer/Publisher’s Note: The statements, opinions and data contained in all publications are solely those of the individual author(s) and contributor(s) and not of MDPI and/or the editor(s). MDPI and/or the editor(s) disclaim responsibility for any injury to people or property resulting from any ideas, methods, instructions or products referred to in the content. |
© 2023 by the authors. Licensee MDPI, Basel, Switzerland. This article is an open access article distributed under the terms and conditions of the Creative Commons Attribution (CC BY) license (https://creativecommons.org/licenses/by/4.0/).
Share and Cite
Ren, Y.; Mao, S.; Zeng, Y.; Chen, S.; Tian, J.; Ye, X. Pectin from Citrus unshiu Marc. Alleviates Glucose and Lipid Metabolism by Regulating the Gut Microbiota and Metabolites. Foods 2023, 12, 4094. https://doi.org/10.3390/foods12224094
Ren Y, Mao S, Zeng Y, Chen S, Tian J, Ye X. Pectin from Citrus unshiu Marc. Alleviates Glucose and Lipid Metabolism by Regulating the Gut Microbiota and Metabolites. Foods. 2023; 12(22):4094. https://doi.org/10.3390/foods12224094
Chicago/Turabian StyleRen, Yanming, Shuifang Mao, Yujun Zeng, Shiguo Chen, Jinhu Tian, and Xingqian Ye. 2023. "Pectin from Citrus unshiu Marc. Alleviates Glucose and Lipid Metabolism by Regulating the Gut Microbiota and Metabolites" Foods 12, no. 22: 4094. https://doi.org/10.3390/foods12224094
APA StyleRen, Y., Mao, S., Zeng, Y., Chen, S., Tian, J., & Ye, X. (2023). Pectin from Citrus unshiu Marc. Alleviates Glucose and Lipid Metabolism by Regulating the Gut Microbiota and Metabolites. Foods, 12(22), 4094. https://doi.org/10.3390/foods12224094
