Effect of Marinating in Dairy-Fermented Products and Sous-Vide Cooking on the Protein Profile and Sensory Quality of Pork Longissimus Muscle
Abstract
1. Introduction
2. Materials and Methods
2.1. Raw Material
2.2. Marinating Procedure
2.3. Sous-Vide Cooking
2.4. Processing Loss
2.5. pH Value
2.6. Profile of the Muscle Proteins
2.7. Sensory Quality
2.8. Instrumental Color Measurement
2.9. Texture Profile Analysis (TPA)
2.10. Statistical Analysis
3. Results and Discussion
3.1. Processing Loss and pH Value of Meat Changes after Marinating Meat
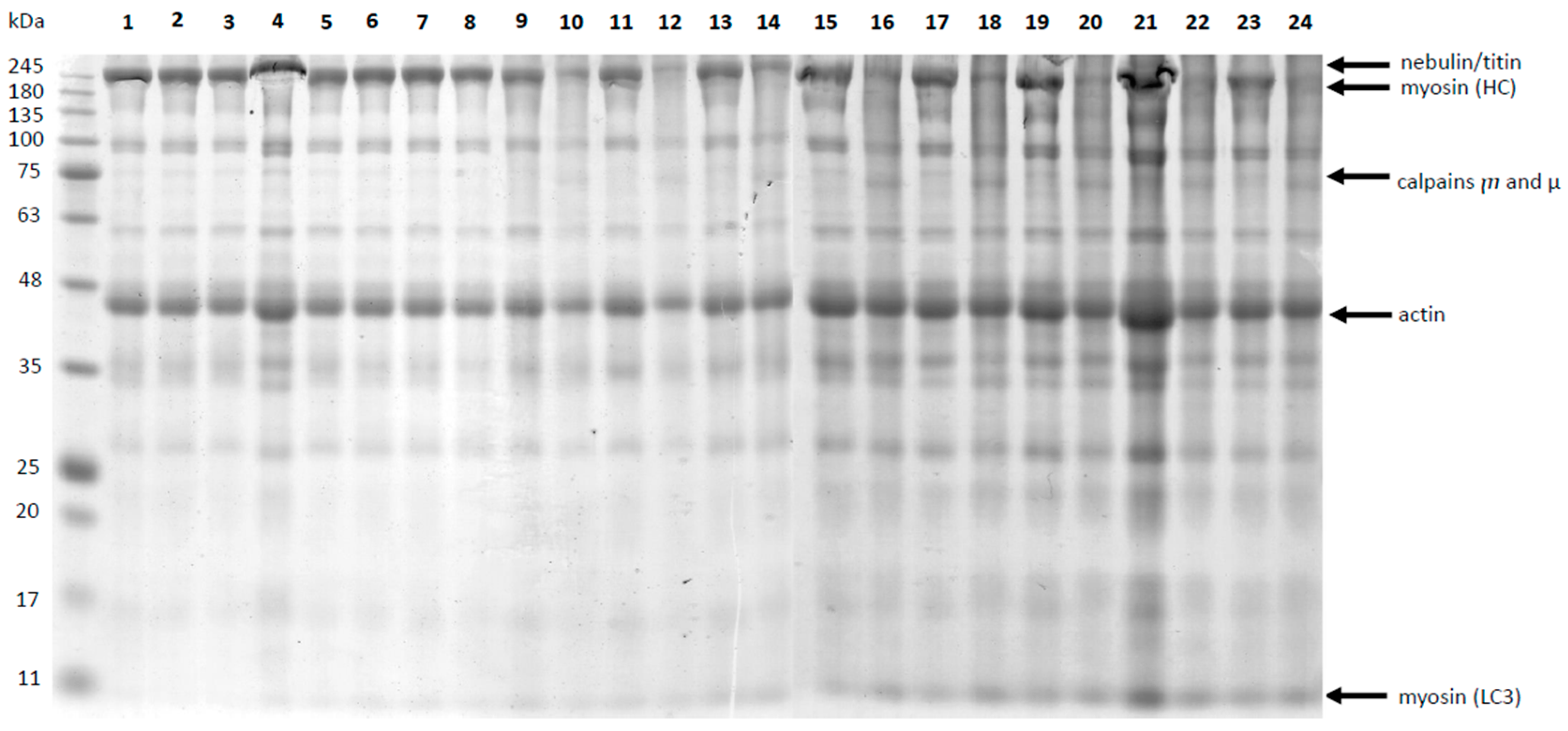
3.2. Profile of the Muscle Proteins after Marinating and SV Cooking
3.3. Effect of Fermented Dairy Products Marinating and Sous-Vide Cooking on Pork Sensory Quality
3.4. Effect of Fermented Dairy Products Marinating and Sous-Vide Cooking on Pork Color Parameters
3.5. Effect of Fermented Dairy Products Marinating and Sous-Vide Cooking on Pork Texture Parameters
3.6. Correlation
4. Conclusions
- Changes in the protein profile and protein degradation during maturation, marinating and after heat treatment are valuable indicators of meat quality, especially tenderness.
- In the study, it was shown that the type of marinade, marinating time and SV cooking temperature had a significant effect on protein profile changes and sensory evaluation. Marinating for several days in FDP increased the proportion of some fractions of cytoskeletal proteins (nebulin, titin), myofibrillar proteins (actin and myosin heavy chains) and enzymatic proteins (calpains) in raw meat. The high degree of degradation of cytoskeletal proteins after heat treatment affects the tenderness of the meat. Marinating in kefir and yogurt and cooking at a higher SV temperature (80 °C) resulted in more significant protein degradation.
- The panelists rated better (higher) the taste, aroma, tenderness and juiciness of meat marinated in buttermilk and samples marinated for three days in FDP and cooked SV at 60 °C. PCA showed that the variability of the samples was mainly attributed to the first principal component (71.43% of the overall variability) and related to different intensities of juiciness, hardness and tenderness. The second principal component was attributed to a much lower percentage of the overall variability, 15.20%, indicating that the intensity of the aroma characteristics did not differentiate the samples evaluated. Samples of various marinated and SV cooked at 60 °C showed similarities in sensory quality and were quite different from samples of SV cooked at 80 °C.
- This study showed that marinating in dairy fermented products and SV cooking at 60 and 80 °C, taking into account the degree of protein degradation, can be an effective tool for shaping the sensory quality of cooked pork without the use of synthetic additives.
Supplementary Materials
Author Contributions
Funding
Institutional Review Board Statement
Informed Consent Statement
Data Availability Statement
Conflicts of Interest
References
- Huang, H.W.; Wu, S.J.; Lu, J.K.; Shyu, Y.T.; Wang, C.Y. Current status and future trends of high-pressure processing in food industry. Food Control 2017, 72, 1–8. [Google Scholar] [CrossRef]
- Gómez, I.; Janardhanan, R.; Ibañez, F.C.; Beriain, M.J. The effects of processing and preservation technologies on meat quality: Sensory and nutritional aspects. Foods 2020, 9, 1416. [Google Scholar] [CrossRef]
- Lytou, A.E.; Nychas, G.-J.E.; Panagou, E.Z. Effect of pomegranate based marinades on the microbiological, chemical and sensory quality of chicje meat: A metabolomics approach. Int. J. Food Microbiol. 2018, 267, 42–53. [Google Scholar] [CrossRef] [PubMed]
- Choi, Y.M.; Bae, Y.Y.; Kim, K.H.; Kim, B.C.; Rhee, M.S. Effects of supercritical carbon dioxide treatment against generic Escherichia coli, Listeria monocytogenes, Salmonella typhimurium, and E.coli 0157:H7 in marinades and marinated pork. Meat Sci. 2009, 82, 419–424. [Google Scholar] [CrossRef]
- Yang, Y.; Ye, Y.; Wang, Y.; Sun, Y.; Pan, D.; Cao, J. Effect of high pressure treatment on metabolite profile of marinated meat in soy sauce. Food Chem. 2018, 240, 662–669. [Google Scholar] [CrossRef] [PubMed]
- Birk, T.; Knøchel, S. Fate of food-associated bacteria in pork as affected by marinade, temperature, and ultrasound. J. Food Prot. 2009, 72, 549–555. [Google Scholar] [CrossRef] [PubMed]
- Siroli, L.; Baldi, G.; Soglia, F.; Bukvicki, D.; Patrignani, F.; Petracci, M.; Lanciotti, R. Use of essential oils to increase the safety and the quality of marinated pork loin. Foods 2020, 9, 987. [Google Scholar] [CrossRef] [PubMed]
- Li, S.; Konoval, H.M.; Marecek, S.; Lathrop, A.A.; Feng, S.; Pokharel, S. Control of Escherichia coli O157:H7 using lytic bacteriophage and lactic acid on marinated and tenderized raw pork loins. Meat Sci. 2023, 196, 109030. [Google Scholar] [CrossRef] [PubMed]
- Lunde, K.; Egelandsdal, B.; Choinski, J.; Mielinik, M.; Flåtten, A.; Kubberød, E. Marinating as a technology to shift sensory thresholds in ready-to-eat entire male pork meat. Meat Sci. 2008, 80, 1264–1272. [Google Scholar] [CrossRef]
- O’Neill, C.M.; Cruz-Romero, M.C.; Duffy, G.; Kerry, J.P. Improving marinade absorption and shelf life of vacuum packed marinated pork chops through the application of high pressure processing as a hurdle. Food Packag. Shelf Life 2019, 21, 100350. [Google Scholar] [CrossRef]
- Mantzourani, I.; Daoutidou, M.; Nikolaou, A.; Kourkoutas, Y.; Alexopoulos, A.; Tzavellas, I.; Dasenaki, M.; Thomaidis, N.; Plessas, S. Microbiological stability and sensorial valorization of thyme and oregano essential oils alone or combined with ethanolic pomegranate extracts in wine marinated pork meat. Int. J. Food Microb. 2023, 386, 110022. [Google Scholar] [CrossRef] [PubMed]
- Kim, Y.J.; Jin, S.K.; Park, W.Y.; Kim, B.W.; Joo, S.T.; Yang, H.S. The effect of garlic or onion marinade on the lipid oxidation and meat quality of pork during cold storage. J. Food Qual. 2010, 33, 171–185. [Google Scholar] [CrossRef]
- Linares, M.B.; Garrido, M.D.; Martins, C.; Patarata, L. Efficacies of garlic and L. sakei in wine-based marinades for controlling Listeria monocytogenes and Salmonella spp. in chouriço de vinho, a dry sausage made from wine-marinated pork. J. Food Sci. 2013, 78, M719–M724. [Google Scholar] [CrossRef]
- Mozuriene, E.; Bartkiene, E.; Krungleviciute, V.; Zadeike, D.; Juodeikiene, G.; Damasius, J.; Baltusnikiene, A. Effect of natural marinade based on lactic acid bacteria on pork meat quality parameters and biogenic amine contents. LWT Food Sci. Technol. 2016, 69, 319–326. [Google Scholar] [CrossRef]
- Cho, J.; Kim, H.J.; Kwon, J.S.; Kim, H.J.; Jang, A. Effect of marination with black currant juice on the formation of biogenic amines in pork belly during refrigerated storage. Food Sci. Anim. Res. 2021, 41, 763–778. [Google Scholar] [CrossRef] [PubMed]
- Nour, V. Effect of sour cherry or plum juice marinades on quality characteristics and oxidative stability of pork loin. Foods 2022, 11, 1088. [Google Scholar] [CrossRef]
- Beltran-Cotta, L.A.; Trevisan Passos, R.S.F.; Costa, N.P.; Barreto, B.G.; Veloso, A.C.; Costa, M.; da Silva, A.; da Costa, M.P.; Cavalheiro, C.P. Use of yellow mombin (Spondias mombin L.) in marination: Effect on quality properties of Boston butt pork during refrigerated storage. Meat Sci. 2023, 24, 109257. [Google Scholar] [CrossRef]
- Ozturk, B.; Sengun, I.Y. Inactivation effect of marination liquids prepared with koruk juice and dried koruk pomace on Salmonella Typhimurium, Escherichia coli O157:H7 and Listeria monocytogenes inoculated on meat. Int. J. Food Microb. 2019, 304, 32–38. [Google Scholar] [CrossRef]
- Gargi, A.; Sengun, I.Y. Marination liquids enriched with probiotics and their inactivation effects against food-borne pathogens inoculated on meat. Meat Sci. 2021, 182, 108624. [Google Scholar] [CrossRef]
- Nairfana, I.; Afgani, C.A. The effect of fermentation with lactic acid bacteria on chemical and sensory characteristics of Sumbawa’s Buffalo Jerky. IOP Conf. Ser. Earth Environ. Sci. 2021, 913, 012043. [Google Scholar] [CrossRef]
- Mutegi, R.T.; Patimakorn, P. Application of probiotic strains to extend shelf-life of marinated beef and pork meats. Int. Food Res. J. 2020, 27, 1067–1075. Available online: http://ifrj.upm.edu.my/27%20(06)%202020/DONE%20-%2010%20-%20IFRJ19873.R3.pdf (accessed on 2 August 2023).
- Alvarado, C.; McKee, S. Marination to improve functional properties and safety of poultry meat. J. Appl. Poult. Res. 2007, 16, 113–120. [Google Scholar] [CrossRef]
- Mohd Azmi, S.I.; Kumar, P.; Sharma, N.; Sazili, A.Q.; Lee, S.-J.; Ismail-Fitry, M.R. Application of plant proteases in meat tenderization: Recent trends and future prospects. Foods 2023, 12, 1336. [Google Scholar] [CrossRef] [PubMed]
- Lopes, S.M.; da Silva, D.C.; Tondo, E.C. Bactericidal effect of marinades on meats against different pathogens: A review. Crit. Rev. Food Sci. Nutr. 2022, 62, 7650–7658. [Google Scholar] [CrossRef] [PubMed]
- Munekata, P.E.S.; Pateiro, M.; Domínguez, R.; Gema, N.; Kumar, M.; Kuldeep, D.; Lorenzo, J.M. Bioactive compounds from fruits as preservatives. Foods 2023, 12, 343. [Google Scholar] [CrossRef] [PubMed]
- Baldwin, E.D. Sous vide cooking: A review. Int. J. Gastron. Food Sci. 2012, 1, 15–30. [Google Scholar] [CrossRef]
- Ismail, I.; Hwang, Y.H.; Joo, S.T. Interventions of two-stage thermal sous-vide cooking on the toughness of beef semitendinosus. Meat Sci. 2019, 157, 107882. [Google Scholar] [CrossRef]
- Kehlet, U.; Mitra, B.; Carrascal, J.R.; Raben, A.; Aaslyng, M.D. The satiating properties of pork are not affected by cooking methods, sous vide holding time or mincing in healthy men—A randomized cross-over meal test study. Nutrients 2017, 9, 941. [Google Scholar] [CrossRef] [PubMed]
- Ayub, H.; Ahmad, A. Physiochemical changes in sous-vide and conventionally cooked meat. Int. J. Gastron. Food Sci. 2019, 17, 100145. [Google Scholar] [CrossRef]
- Kathuria, D.; Dhiman, A.K.; Attri, S. Sous vide, a culinary technique for improving quality of food products: A review. Trends Food Sci. Technol. 2022, 119, 57–68. [Google Scholar] [CrossRef]
- Ismail, I.; Hwang, Y.-H.; Bakhsh, A.; Lee, S.-J.; Lee, E.-Y.; Kim, C.-J.; Joo, S.-T. Control of sous-vide physicochemical, sensory, and microbial properties through the manipulation of cooking temperatures and times. Meat Sci. 2022, 188, 108787. [Google Scholar] [CrossRef] [PubMed]
- Sanchez del Pulgar, J.; Gazquez, A.; Ruiz-Carrascal, J. Physico-chemical, textural and structural characteristics of sous-vide cooked pork cheeks as affected by vacuum, cooking temperature, and cooking time. Meat Sci. 2012, 90, 828–835. [Google Scholar] [CrossRef]
- Botinestean, C.; Keenan, D.F.; Kerry, J.P.; Hamill, R.M. The effect of thermal treatments including sous-vide, blast freezing and their combinations on beef tenderness of M. semitendinosus steaks targeted at elderly consumers. LWT Food Sci. Technol. 2016, 74, 154–159. [Google Scholar] [CrossRef]
- García-Segovia, P.; Andrés-Bello, A.; Martínez-Monzó, J. Effect of cooking method on mechanical properties, color and structure of beef muscle (M. pectoralis). J. Food Eng. 2007, 80, 813–821. [Google Scholar] [CrossRef]
- Bhat, Z.F.; Morton, J.D.; Zhang, X.; Mason, S.L.; Bekhit, A.E.-D.A. Sous-vide cooking improves the quality and in-vitro digestibility of Semitendinosus from culled dairy cows. Food Res. Int. 2020, 127, 108708. [Google Scholar] [CrossRef] [PubMed]
- Yin, Y.; Pereira, J.; Zhou, L.; Lorenzo, J.M.; Tian, X.; Zhang, W. Insight into the effects of sous vide on cathepsin B and L activities, protein degradation and the ultrastructure of beef. Foods 2020, 9, 1441. [Google Scholar] [CrossRef]
- Rinaldi, M.; Dall’Asta, C.; Paciulli, M.; Cirlini, M.; Manzi, C.; Chiavaro, E. A novel time/temperature approach to sous vide cooking of beef muscle. Food Bioprocess. Technol. 2014, 7, 2969–2977. [Google Scholar] [CrossRef]
- Borrisser-Pairó, F.; Panella-Riera, N.; Gil, M.; Kallas, Z.; Linares, M.B.; Egea, M.; Oliver, M.A. Consumers’ sensitivity to androstenone and the evaluation of different cooking methods to mask boar taint. Meat Sci. 2017, 123, 198–204. [Google Scholar] [CrossRef]
- Purslow, P.P. Contribution of collagen and connective tissue to cooked meat toughness; some paradigms reviewed. Meat Sci. 2018, 144, 127–134. [Google Scholar] [CrossRef]
- Joung, K.Y.; Hyeonbin, O.; Shin, S.Y.; Kim, Y.S. Effects of sous-vide method at different temperatures, times and vacuum degrees on the quality, structural, and microbiological properties of pork ham. Meat Sci. 2018, 143, 1–7. [Google Scholar] [CrossRef] [PubMed]
- Kaur, L.; Hui, S.X.; Boland, M. Changes in cathepsin activity during low-temperature storage and sous vide processing of beef brisket. Food Sci. Anim. Resour. 2020, 40, 415–425. [Google Scholar] [CrossRef] [PubMed]
- Roldán, M.; Antequera, T.; Martín, A.; Mayoral, A.I.; Ruiz, J. Effect of different temperature–time combinations on physicochemical, microbiological, textural and structural features of sous-vide cooked lamb loins. Meat Sci. 2013, 93, 572–578. [Google Scholar] [CrossRef]
- Bıyıklı, M.; Akoğlu, A.; Kurhan, S.; Akoğlu, İ.T. Effect of different Sous Vide cooking temperature-time combinations on the physicochemical, microbiological, and sensory properties of Turkey cutlet. Int. J. Gastr. Food Sci. 2020, 20, 100204. [Google Scholar] [CrossRef]
- Ji, D.S.; Kim, J.H.; Yoon, D.K.; Kim, J.H.; Lee, H.J.; Cho, W.Y.; Lee, C.H. Effect of different storage-temperature combinations on Longissimus dorsi quality upon sous-vide processing of frozen/thawed pork. Food Sci. Anim. Resour. 2019, 39, 240–254. [Google Scholar] [CrossRef] [PubMed]
- Saito, K.; Yoshinari, M.; Ishikawa, S.I. Effects of low-temperature long-time sous-vide cooking on the physicochemical and sensory characteristics of beef and pork shank. J. Culin. Sci. Technol. 2020, 20, 165–179. [Google Scholar] [CrossRef]
- Alahakoon, A.U.; Oey, I.; Bremer, P.; Silcock, P. Quality and safety considerations of incorporating post-PEF ageing into the pulsed electric fields and sous vide processing chain. Food Bioproc. Technol. 2019, 12, 852–864. [Google Scholar] [CrossRef]
- Latoch, A. Effect of meat marinating in kefir, yoghurt and buttermilk on the texture and color of pork steaks cooked sous-vide. Ann. Agric. Sci. 2020, 65, 129–136. [Google Scholar] [CrossRef]
- Ortuño, J.; Mateo, L.; Rodríguez-Estrada, M.T.; Bañón, S. Effects of sous vide vs grilling methods on lamb meat colour and lipid stability during cooking and heated display. Meat Sci. 2021, 171, 108287. [Google Scholar] [CrossRef] [PubMed]
- Purslow, P.P.; Oiseth, S.; Hughes, J.; Warner, R.D. The structural basis of cooking loss in beef: Variations with temperature and ageing. Food Res. Int. 2016, 89, 739–748. [Google Scholar] [CrossRef]
- Karyotis, D.; Skandamis, P.N.; Juneja, V.K. Thermal inactivation of Listeria monocytogenes and Salmonella spp. in sous-vide processed marinated chicken breast. Food Res. Int. 2017, 100, 894–898. [Google Scholar] [CrossRef]
- Latoch, A.; Libera, J. Quality and safety of pork steak marinated in fermented dairy products and sous-vide cooked. Sustainability 2019, 11, 5644. [Google Scholar] [CrossRef]
- Tkacz, K.; Modzelewska-Kapituła, M.; Petracci, M.; Zduńczyk, W. Improving the quality of sous-vide beef from Holstein-Friesian bulls by different marinades. Meat Sci. 2021, 182, 18639. [Google Scholar] [CrossRef] [PubMed]
- Latoch, A.; Libera, J.; Stasiak, D.M. Physicochemical properties of pork loin marinated in kefir, yoghurt or buttermilk and cooked sous vide. Acta Sci. Pol. Technol. Aliment. 2019, 18, 163–171. [Google Scholar] [CrossRef] [PubMed]
- ISO 2917:1999; Meat and Meat products—Measurement of pH—Reference Method. International Organization for Standardization: Geneva, Switzerland, 1999.
- Przybylski, W.; Jaworska, D.; Płecha, M.; Dukaczewska, K.; Ostrowski, G.; Sałek, P.; Sawicki, K.; Pawłowska, J. Fungal biostarter effect on the quality of dry-aged beef. Foods 2023, 12, 1330. [Google Scholar] [CrossRef] [PubMed]
- Bradford, M.M. A rapid and sensitive for the quantitation of microgram quantitites of protein utilizing the principle of protein-dye binding. Anal. Biochem. 1976, 72, 248–254. [Google Scholar] [CrossRef] [PubMed]
- ISO 4121:2003; Sensory Analysis—Guidelines for the Use of Quantitative Response Scales. International Organization for Standardization: Geneva, Switzerland, 2003.
- Lewkowska, P.; Dymerski, T.; Namieśnik, J. Use of sensory analysis methods to evaluate the odor of food and outside air. Crit. Rev. Environ. Sci. Technol. 2015, 45, 2208–2244. [Google Scholar] [CrossRef]
- Baryłko-Pikielna, N.; Matuszewska, I. Sensoryczne Metody Badania Żywności. Podstawy-Metody-Zastosowania; Scientific Publisher PTTŻ: Cracow, Poland, 2009. (In Polish) [Google Scholar]
- ISO 8586-2:2008; Sensory Analysis. General Guidance for the Selection, Training and Monitoring of Assessors. Part 2: Expert Sensory Assessors. International Organization for Standardization: Geneva, Switzerland, 2008.
- ISO 8589:2007; Sensory Analysis—General Guidance for the Design of Test Rooms. International Organization for Standardization: Geneva, Switzerland, 2007.
- Naqvi, Z.B.; Thomson, P.C.; Ha, M.; Campbell, M.A.; McGill, D.M.; Friend, M.A.; Warner, R.D. Effect of sous vide cooking and ageing on tenderness and water-holding capacity of low-value beef muscles from young and older animals. Meat Sci. 2021, 175, 108435. [Google Scholar] [CrossRef]
- Dominguez-Hernandez, E.; Salaseviciene, A.; Ertbjerg, P. Low-temperature long-time cooking of meat: Eating quality and underlying mechanisms. Meat Sci. 2018, 143, 104–113. [Google Scholar] [CrossRef]
- Gault, N.F.S. The relationship between water-holding capacity and cooked meat tenderness in some beef muscles as influenced by acidic conditions below the ultimate pH. Meat Sci. 1998, 15, 15–30. [Google Scholar] [CrossRef]
- Goli, T.; Bohuon, P.; Ricci, J.; Trystram, G.; Collignan, A. Mass transfer dynamics during the acidic marination of turkey meat. J. Food Eng. 2011, 104, 161–168. [Google Scholar] [CrossRef]
- Sharedeh, D.; Gatellier, P.; Astruc, T.; Dudin, J.D. Effect of pH and NaCl levels in a beef marinade on physiochemical states of lipids and proteins and tissue microstructure. Meat Sci. 2015, 110, 24–31. [Google Scholar] [CrossRef]
- Sokołowicz, Z.; Augustyńska-Prejsnar, A.; Krawczyk, J.; Kačániová, M.; Kluz, M.; Hanus, P.; Topczewska, J. Technological and sensory quality and microbiological safety of RIR chicken breast meat marinated with fermented milk products. Animals 2021, 11, 3282. [Google Scholar] [CrossRef]
- Yusop, S.M.; O’Sullivan, M.G.; Kerry, J.F.; Kerry, J.P. Effect of marinating time and low pH on marinade performance and sensory acceptability of poultry meat. Meat Sci. 2010, 85, 657–663. [Google Scholar] [CrossRef] [PubMed]
- Botinestean, C.; Hossain, M.; Mullen, A.M.; Kerry, J.P.; Hamill, R.M. The influence of the interaction of sous-vide cooking time and papain concentration on tenderness and technological characteristics of meat products. Meat Sci. 2021, 177, 108491. [Google Scholar] [CrossRef] [PubMed]
- Chotigavin, N.; Kerr, W.L.; Klaypradit, W.; Kerdpiboon, S. Novel sous-vide pressure technique affecting properties of local beef muscle. LWT 2023, 175, 114439. [Google Scholar] [CrossRef]
- Christensen, L.; Ertbjerg, P.; Løje, H.; Risbo, J.; van den Berg, F.W.J.; Christensen, M. Relationship between meat toughness and properties of connective tissue from cows and young bulls heat treated at low temperatures for prolonged times. Meat Sci. 2013, 93, 787–795. [Google Scholar] [CrossRef]
- Park, C.H.; Lee, B.; Oh, E.; Kim, Y.S.; Choi, Y.M. Combined effects of sous-vide cooking conditions on meat and sensory quality characteristics of chicken breast meat. Poultry Sci. 2020, 99, 3286–3291. [Google Scholar] [CrossRef]
- N’Gatta, K.C.A.; Kondjoyan, A.; Favier, R.; Sicard, J.; Rouel, J.; Gruffat, D.; Mirade, P.-S. Impact of combining tumbling and sous-vide cooking processes on the tenderness, cooking losses and colour of bovine meat. Processes 2022, 10, 1229. [Google Scholar] [CrossRef]
- Supaphon, P.; Kerdpiboon, S.; Vénien, A.; Loison, O.; Sicard, J.; Rouel, J.; Astruc, T. Structural changes in local thai beef during sous-vide cooking. Meat Sci. 2021, 175, 108442. [Google Scholar] [CrossRef]
- Vaskoska, R.; Ha, M.; Naqvi, Z.B.; White, J.D.; Warner, R.D. Muscle, Ageing and temperature influence the changes in texture, cooking loss and shrinkage of cooked beef. Foods 2020, 9, 1289. [Google Scholar] [CrossRef]
- Górska, E.; Nowicka, K.; Jaworska, D.; Przybylski, W.; Tambor, K. Relationship between sensory attributes and volatile compounds of polish dry-cured loin. Asian-Australas. J. Anim. Sci. 2017, 30, 720–727. [Google Scholar] [CrossRef] [PubMed]
- Zielbauer, B.I.; Franz, J.; Viezens, B.; Vilgis, T.A. Physical aspects of meat cooking: Time dependent thermal protein denaturation and water loss. Food Biophys. 2016, 11, 34–42. [Google Scholar] [CrossRef]
- Oillic, S.; Lemoine, E.; Gros, J.-B.; Kondjoyan, A. Kinetic Analysis of Cooking Losses from Beef and Other Animal Muscles Heated in a Water Bath—Effect of Sample Dimensions and Prior Freezing and Ageing. Meat Sci. 2011, 88, 338–346. [Google Scholar] [CrossRef] [PubMed]
- Soletska, A.; Krasota, A. Prospects of applying vacuum technology in the manufacture of culinary poultry meat products. Food Environ. Saf. J. 2017, 15, 3–9. Available online: http://fens.usv.ro/index.php/FENS/article/view/196/194 (accessed on 3 August 2023).
- Ruiz-Carrascal, J.; Roldan, M.; Refolio, F.; Perez-Palacios, T.; Antequera, T. Sous-vide cooking of meat: A Maillarized approach. Int. J. Gastron. Food Sci. 2019, 16, 100138. [Google Scholar] [CrossRef]
- Przybylski, W.; Jaworska, D.; Kajak-Siemaszko, K.; Sałek, P.; Pakuła, K. Effect of heat treatment by the sous-vide method on the quality of poultry meat. Foods 2021, 10, 1610. [Google Scholar] [CrossRef]
- Głuchowski, A.; Czarniecka-Skubina, E.; Buła, M. The use of the sous-vide method in the preparation of poultry at home and in catering—Protection of nutrition value whether high energy consumption. Sustainability 2020, 12, 7606. [Google Scholar] [CrossRef]
- Hwang, S.-I.; Lee, E.-J.; Hong, G.-P. Effects of temperature and time on the cookery properties of sous-vide processed pork loin. Food Sci. Anim. Resour. 2019, 39, 65–72. [Google Scholar] [CrossRef]
- Çapan, B.; Bağdatli, A. Investigation of physicochemical, microbiological and sensorial properties for organic and con-ventional retail chicken meat. Food Sci. Hum. Wellness 2021, 10, 183–190. [Google Scholar] [CrossRef]
- Creed, P.G. The sensory and nutritional quality of “sous vide” foods. Food Control 1995, 6, 45–52. [Google Scholar] [CrossRef]
- King, N.J.; Whyte, R. Does it look cooked? A review of factors that influence cooked meat color. J. Food Sci. 2006, 71, 31–40. [Google Scholar] [CrossRef]
- Ramanea, K.; Galoburdaa, R.; Kreicbergsa, V.; Vanaga, I. Amino acid profile of Sous vide cooked poultry breast meat products. In Proceedings of the 11th International Congress on Engineering and Food (ICEF11), Athens, Greece, 22–26 May 2011; pp. 22–26. [Google Scholar]
- Tornberg, E. Effects of heat on meat proteins—Implications on structure and quality of meat products. Meat Sci. 2005, 70, 493–508. [Google Scholar] [CrossRef] [PubMed]
- Bejerholm, C.; Tørngren, M.A.; Aaslyng, M.D. Cooking of Meat. In Encyclopedia of Meat Sciences, 2nd ed.; Dikeman, M., Devine, C., Eds.; Academic Press: Cambridge, UK, 2014; pp. 370–376. [Google Scholar] [CrossRef]
- Zhang, L.; Wang, S. Effects of cooking on thermal-induced changes of Qingyuan partridge chicken breast. Food Sci. Biotechnol. 2012, 21, 1525–1531. [Google Scholar] [CrossRef]
- Xiong, Y.L. Chemical and physical characteristics of meat—Protein Functionality. In Encyclopedia of Meat Sciences; Jensen, W.K., Devine, C., Dikeman, M., Eds.; Academic Press: Cambridge, UK, 2004; pp. 218–225. [Google Scholar]
- Li, C.; Wang, D.; Xu, W.; Gao, F.; Zhou, G. Effect of final cooked temperature on tenderness, protein solubility and mi-crostructure of duck breast muscle. LWT Food Sci. Technol. 2013, 51, 266–274. [Google Scholar] [CrossRef]
- Cho, D.K.; Lee, B.; Kim, S.K.; Hyeonbin, O.; Kim, Y.S.; Choi, Y.M. Comparison of quality characteristics and palatability between sous-vide cooked pork loin patties with different searing treatments. Food Sci. Anim. Resour. 2021, 41, 214–223. [Google Scholar] [CrossRef]
- Kim, J. Effects of Acid Whey Marination on Tenderness, Sensory and Other Quality Parameters of Beef Eye of Round. Ph.D. Thesis, Brigham Young University BYU Scholars Archive, Provo, UT, USA, 2018. Available online: https://pdfslide.net/documents/effects-of-acid-whey-marination-on-tenderness-sensory-and-.html?page=1 (accessed on 3 August 2023).
- Kumar, Y.; Singh, P.; Pandey, A.; Tanwar, V.K.; Kumor, R.R. Augmentation of meat quality attributes of spent hen breast muscle (Pectoralis Major) by marination with lemon juice vis-a-vis ginger extract. J. Anim. Res. 2017, 7, 523–529. [Google Scholar] [CrossRef]
- Ünal, K.; Alagöz, E.; Cabi, A.; Sarıçoban, C. Determination of the effect of some acidic solutions on the tenderness and quality properties of chicken breast meat. Selcuk J. Agric. Food Sci. 2020, 34, 19–23. [Google Scholar] [CrossRef]
- Żochowska-Kujawska, J.; Lachowicz, K.; Sobczak, M. Effects of fibre type and kefir, wine lemon, and pineapple marinades on texture and sensory properties of wild boar and deer longissimus muscle. Meat Sci. 2012, 92, 675–680. [Google Scholar] [CrossRef]
- Serdaroğlu, M.; Abdraimov, K.; Önenç, A. The effects of marinating with citric acid solutions and grapefruit juice on cooking and eating quality of turkey breast. J. Muscle Foods 2007, 18, 162–172. [Google Scholar] [CrossRef]
- Augustyńska-Prejsnar, A.; Sokołowicz, Z.; Hanus, P.; Ormian, M.; Kačániová, M. Quality and safety of marinating breast muscles of hens from organic farming after the laying period with buttermilk and whey. Animals 2020, 10, 2393. [Google Scholar] [CrossRef]
- Mancini, S.; Mattioli, S.; Nuvoloni, R.; Pedonese, F.; Dal Bosco, A.; Paci, G. Effects of garlic powder and salt on meat quality and microbial loads of rabbit burgers. Foods 2020, 9, 1022. [Google Scholar] [CrossRef] [PubMed]
- Melody, J.L.; Lonergan, S.M.; Rowe, L.J.; Huiatt, T.W.; Mayes, M.S.; Huff-Lonergan, E. Early postmortem biochemical factors influence tenderness and water-holding capacity of three porcine muscles. J. Anim. Sci. 2004, 82, 1195–1205. [Google Scholar] [CrossRef] [PubMed]
- Czarniecka-Skubina, E.; Przybylski, W.; Jaworska, D.; Wachowicz, I.; Trzaskowska, M.; Kajak, K.; Adamczak, L. Effect of rate and extent of pH fall on drip loss in Longissimus lumborum pig muscle. Ann. Anim. Sci. 2006, 249–253. Available online: https://www.researchgate.net/publication/261946518_Effect_of_rate_and_extent_of_pH_fall_on_drip_loss_in_longissimus_lumborum_pig_muscle (accessed on 3 August 2023).
- Wimmers, K.; Ngu, N.T.; Jennen, D.G.J.; Tesfaye, D.; Murani, E.; Schellander, K.; Ponsuksili, S. Relationship between myosin heavy chain isoform expression and muscling in several diverse pig breeds. J. Anim. Sci. 2008, 86, 795–803. [Google Scholar] [CrossRef] [PubMed]
- Huff-Lonergan, E.; Zhang, W.; Lonergan, S.M. Biochemistry of postmortem muscle—Lessons on mechanisms of meat tenderization. Meat Sci. 2010, 86, 184–195. [Google Scholar] [CrossRef]
- Kęska, P.; Wójciak, K.M.; Stadnik, J. Bioactive peptides from beef products fermented by acid whey—In vitro and in silico study. Sci. Agric. 2019, 76, 311–320. [Google Scholar] [CrossRef]
- Castellano, P.; Aristoy, M.C.; Sentandreu, M.Á.; Vignolo, G.; Toldrá, F. Peptides with angiotensin I converting enzyme (ACE) inhibitory activity generated from porcine skeletal muscle proteins by the action of meat-borne Lactobacillus. J. Proteom. 2013, 89, 183–190. [Google Scholar] [CrossRef]
- López, C.M.; Sentandreu, M.A.; Vignolo, G.M.; Fadda, S.G. Low molecular weight peptides derived from sarcoplasmic proteins produced by an autochthonous starter culture in a beaker sausage model. EuPA Open Proteom. 2015, 7, 54–63. [Google Scholar] [CrossRef]
- Hwang, I.H.; Lin, C.W.; Chou, R.G.R. Effect of lactic or acetic acid on degradation of myofibrillar proteins in post-mortem goose (Anser anser) breast muscle. J. Sci. Food Agric. 2000, 80, 231–236. [Google Scholar] [CrossRef]
- Bee, G.; Anderson, A.L.; Lonergan, S.M.; Huff-Lonergan, E. Rate and extent of pH decline affect proteolysis of cytoskeletal proteins and water-holding capacity in pork. Meat Sci. 2007, 76, 359–365. [Google Scholar] [CrossRef]
- Moczkowska, M.; Półtorak, A.; Montowska, M.; Pospiech, E.; Wierzbicka, A. The effect of the packaging system and storage time on myofibrillar protein degradation and oxidation process in relation to beef tenderness. Meat Sci. 2017, 130, 7–15. [Google Scholar] [CrossRef] [PubMed]
- Della Malva, A.; Gagaoua, M.; Santillo, A.; De Palo, P.; Sevi, A.; Albenzio, M. First insights about the underlying mechanisms of Martina Franca donkey meat tenderization during aging: A proteomic approach. Meat Sci. 2022, 193, 108925. [Google Scholar] [CrossRef] [PubMed]
- Yao, Y.; Wang, X.; Cui, H.; Hayat, K.; Zhang, X.; Ho, C.-T. Improved tenderness and water retention of pork pieces and its underlying molecular mechanism through the combination of low-temperature preheating and traditional cooking. Food Chem. 2023, 421, 136137. [Google Scholar] [CrossRef] [PubMed]
- Kajak-Siemaszko, K.; Aubry, L.; Peyrin, F.; Bax, M.-L.; Gatellier, P.; Astruc, T.; Przybylski, W.; Jaworska, D.; Gaillard-Martinie, B.; Santé-Lhoutellier, V. Characterization of protein aggregates following a heating and freezing process. Food Res. Int. 2011, 44, 3160–3166. [Google Scholar] [CrossRef]
- Traore, S.; Aubry, L.; Gatellier, P.; Przybylski, W.; Jaworska, D.; Kajak-Siemaszko, K.; Santé-Lhoutellier, V. Effect of heat treatment on protein oxidation in pig meat. Meat Sci. 2012, 91, 14–21. [Google Scholar] [CrossRef] [PubMed]
- Ergezer, H.; Gokce, R. Comparison of marinating with two different types of marinade on some quality and sensory characteristics of turkey breast meat. J. Anim. Vet. Adv. 2011, 10, 60–67. [Google Scholar] [CrossRef][Green Version]
- Van Laack, R.; Berry, B.; Solomon, M. Variations in internal color of cooked beef patties. J. Food Sci. 1996, 61, 410–414. [Google Scholar] [CrossRef]
- Hunt, M.C.; Sørheim, O.; Slinde, E. Color and heat denaturation of myoglobin forms in ground beef. J. Food Sci. 1999, 64, 847–851. [Google Scholar] [CrossRef]
- Vlahova-Vangelova, D.B.; Balev, D.K.; Dragoev, S.G.; Kirisheva, G.D. Improvement of technological and sensory properties of meat by whey marinating. Sci. Works Univ. Food Technol. 2016, 63, 7–13. [Google Scholar]
- Becker, A.; Boulaaba, A.; Pingen, S.; Röhner, A.; Klein, G. Low temperature, long time treatment of porcine m. longissimus thoracis et lumborum in a combi steamer under commercial conditions. Meat Sci. 2015, 110, 230–235. [Google Scholar] [CrossRef]
- Christensen, L.; Gunvig, A.; Tørngren, M.A.; Aaslyng, M.D.; Knøchel, S.; Christensen, M. Sensory characteristics of meat cooked for prolonged times at low temperature. Meat Sci. 2012, 90, 485–489. [Google Scholar] [CrossRef] [PubMed]
- Mortensen, L.M.; Frøst, M.B.; Skibsted, L.H.; Risbo, J. Effect of time and temperature on sensory properties in low-temperature long-time sous-vide cooking of beef. J. Culin. Sci. Technol. 2012, 10, 75–90. [Google Scholar] [CrossRef]
- Bouton, P.E.; Harris, P.V. Changes in the tenderness of meat cooked at 50–65 °C. J. Food Sci. 1981, 46, 475–478. [Google Scholar] [CrossRef]
- Choi, Y.M.; Garcia, L.G.; Lee, K. Correlations of sensory quality characteristics with intramuscular fat content and bundle characteristics in bovine longissimus thoracis muscle. Food Sci. Anim. Resour. 2019, 39, 197–208. [Google Scholar] [CrossRef] [PubMed]
- Wójciak, K.M.; Krajmas, P.; Solska, E.; Dolatowski, Z.J. Application of acid whey and set milk to marinate beef with reference to quality parameters and product safety. Acta Sci. Pol. Technol. Aliment. 2015, 14, 293–302. [Google Scholar] [CrossRef] [PubMed]
- Liem, D.G. Infants’ and children’s salt taste perception and liking: A review. Nutrients 2017, 9, 1011. [Google Scholar] [CrossRef] [PubMed]
- Rios-Mera, J.D.; Selani, M.M.; Patinho, I.; Saldaña, E.; Contreras-Castillo, C.J. Modification of NaCl structure as a sodium reduction strategy in meat products: An overview. Meat Sci. 2021, 174, 108417. [Google Scholar] [CrossRef]
- Keast, R.; Breslin, P. Modifying the bitterness of selected oral pharmaceuticals with cation and anion series of salts. Pharm. Res. 2002, 19, 1019–1026. [Google Scholar] [CrossRef]
- Taruno, A.; Gordon, M.D. Molecular and cellular mechanisms of salt taste. Annu. Rev. Physiol. 2023, 85, 25–45. [Google Scholar] [CrossRef]
- Lee, B.; Park, C.H.; Kong, C.; Kim, Y.S.; Choi, Y.M. Muscle fiber and fresh meat characteristics of white-striping chicken breasts, and its effects on palatability of sous-vide cooked meat. Poultry Sci. 2021, 100, 101177. [Google Scholar] [CrossRef]
- Sampaio, G.R.; Saldanha, T.; Soares, R.A.M.; Torres, E.A.F.S. Effect of natural antioxidant combinations on lipid oxidation in cooked chicken meat during refrigerated storage. Food Chem. 2012, 135, 1383–1390. [Google Scholar] [CrossRef] [PubMed]
- Fernandez-López, J.; Sayas-Barbera, E.; Perez-Alvarez, J.A.; Aranda-Catala, V. Effects of sodium chloride, sodium tripolyphosphate and pH on color properties of pork meat. Color Res. Appl. 2004, 29, 67–74. [Google Scholar] [CrossRef]
- Perez-Alvarez, J.A.; Fernandez-López, J. Chemistry and Biochemistry of Color in Muscle Foods. In Food Biochemistry and Food Processing; Hui, Y.H., Ed.; Blackwell Publishing: Ames, IA, USA, 2006; pp. 337–350. [Google Scholar] [CrossRef]
- Geileskey, A.; King, R.D.; Corte, D.; Pinto, P.; Ledward, D.A. The kinetics of cooked meat hemoprotein, formation in meat and model systems. Meat Sci. 1998, 48, 189–199. [Google Scholar] [CrossRef] [PubMed]
- Hasani, E.; Csehi, B.; Darnay, L.; Ladányi, M.; Dalmadi, I.; Kenesei, G. Effect of combination of time and temperature on quality characteristics of sous vide chicken breast. Foods 2022, 11, 521. [Google Scholar] [CrossRef]
- Brandelli, A.; Daroit, D.J.; Folmer Corrêa, A.P. Whey as a source of peptides with remarkable biological activities. Food Res. Int. 2015, 73, 149–161. [Google Scholar] [CrossRef]
- Tomasević, I.; Tomović, V.; Milovanović, B.; Lorenzo, J.; Đorđević, V.; Karabasil, N.; Đekić, I. Comparison of a computer vision system vs. traditional colorimeter for color evaluation of meat products with various physical properties. Meat Sci. 2019, 148, 5–12. [Google Scholar] [CrossRef] [PubMed]
- Bourne, M.C. Texture profile analysis. Food Technol. 1978, 32, 62–66. [Google Scholar]
- Bertram, H.C.; Kristensen, M.; Andersen, H.J. Functionality of myofibrillar proteins as affected by pH, ionic strength and heat treatment—A low-field NMR study. Meat Sci. 2004, 68, 249–256. [Google Scholar] [CrossRef]
- Takahashi, K. Structural weakening of skeletal muscle tissue during post-mortem ageing of meat: The non-enzymatic mechanism of meat tenderization. Meat Sci. 1996, 43 (Suppl. 1), 67–80. [Google Scholar] [CrossRef]
- Lawrence, T.E.; Dikeman, M.E.; Stephens, J.W.; Obuz, E.; Davis, J.R. In situ investigation of the calcium-induced proteolytic and salting-in mechanisms causing tenderization in calcium-enhanced muscle. Meat Sci. 2004, 66, 69–75. [Google Scholar] [CrossRef]
- Dransfield, E. Optimisation of tenderisation, ageing and tenderness. Meat Sci. 1994, 36, 105–121. [Google Scholar] [CrossRef] [PubMed]
- Spanier, A.M.; McMillin, K.W.; Miller, J.A. Enzyme activity levels in beef: Effect of postmortem aging and end-point cooking temperature. J. Food Sci. 1990, 55, 318–322. [Google Scholar] [CrossRef]
- Christensen, M.; Purslow, P.P.; Larsen, L.M. The effect of cooking temperature on mechanical properties of whole meat, single muscle fibres and perimysial connective tissue. Meat Sci. 2000, 55, 301–307. [Google Scholar] [CrossRef] [PubMed]







| Type of Marinade | Authors |
|---|---|
| marinade based on soy sauce and hot pepper paste | [4] |
| marinade with soy sauce, white wine, pepper, sugar, spices | [5] |
| marinade with wine and natural yogurt | [6] |
| marinade with wine or beer and olive oil | [7] |
| marinade using lytic bacteriophage and lactic acid | [8] |
| marinade with oregano and liquid smoke | [9] |
| marinade with rapeseed oil, spices and flavorings, and salt | [10] |
| marinade with red wine and salt | [11] |
| marinade with onion and garlic | [12,13] |
| marinade using potato tuber juice as a natural substrate for fermentation | [14] |
| marinade based on lemon juice | [7] |
| marinade with black currant juice | [15] |
| marinade with sour cherry and plum juice | [16] |
| marinade based on yellow mombin pulp mixed with water | [17] |
| marinade using Koruk (V. vinifera L.) juice and pomace with water | [18] |
| Sensory Attribute and Definition | The Marks of Anchors |
|---|---|
| Color—perceived color tone | light pink (1), pink (2), light beige (3), beige (4), dark beige (5) |
| Uniformity of color—on the cross-section of the sample | no uniformity (1), slight uniformity (2), uniformity (3), average uniformity (4), high uniformity (5) |
| Total odor | unpleasant (1), quite unpleasant (2), neutral (3), quite pleasant (4), pleasant (5) |
| Intensity of sour odor—association with dairy-fermented products | none (1), light perceptible (2), clearly perceptible (3), intense (4), very intense (5) |
| Intensity of cooked meat odor | none (1), light perceptible (2), clearly perceptible (3), intense (4), very intense (5) |
| Intensity of sour flavor—association with dairy-fermented products | none (1), light perceptible (2), clearly perceptible (3), intense (4), very intense (5) |
| Intensity of salty flavor | none (1), light perceptible (2), clearly perceptible (3)—intense (4), very intense (5) |
| Intensity of cooked meat flavor | none (1), light perceptible (2), clearly perceptible (3), intense (4), very intense (5) |
| Intensity of other flavor—undefined flavor, e.g., off-flavor | none (1), light perceptible (2), clearly perceptible (3), intense (4), very intense (5) |
| Hardness—the force required to compress the sample using teeth | hard (1), light hard (2), neither soft nor hard (3), quite soft (4), very soft (5) |
| Tenderness—the effort required to chew the sample until it can be swallowed | big effort (1), medium effort (2), small effort (3), tender (4), very tender (5) |
| Juiciness—the amount of water in the sample released during 5 chews | dry (1), light dry (2), light juicy (3), juicy (4), very juicy (5) |
| Adhesiveness to teeth—the extent to which a product sticks to the teeth after chewing | much sticky (1), quite sticky (2), sticky (3), slightly sticky (4), no sticky (5) |
| Effect of: | Processing Loss [%] | pH Value |
|---|---|---|
| Marinating type | *** | *** |
| Marinating time | NS | NS |
| Sous-vide temperature | *** | *** |
| Marinating type × Marinating time | NS | NS |
| Marinating type × SV temperature | * | *** |
| Marinating time × SV temperature | * | *** |
| Marinating type × Marinating time × SV temperature | ** | *** |
| Effect of: | Nebulin/Titin and Myosin (HC) | Calpains ⴜ and µ | Actin | Myosin (LC3) |
|---|---|---|---|---|
| Marinating type | *** | *** | *** | *** |
| Marinating time | *** | * | NS | *** |
| Sous-vide temperature | *** | *** | *** | *** |
| Marinating type × Marinating time | *** | NS | *** | *** |
| Marinating type × SV temperature | *** | *** | *** | *** |
| Marinating time × SV temperature | *** | NS | *** | *** |
| Marinating type × and time × SV temperature | *** | NS | *** | *** |
| Marinating | Sous-Vide Temp. [°C] | L* | a* | b* | ΔE | |
|---|---|---|---|---|---|---|
| Type | Time [Days] | |||||
| Control | 3 | 60 | 81.3 ± 0.72 E | 1.7 ± 0.26 CDE | 11.6 ± 0.54 BCD | - |
| 80 | 78.5 ± 0.92 AB | 2.8 ± 0.26 IJ | 13.2 ± 0.43 H | - | ||
| 6 | 60 | 81.4 ± 1.37 E | 1.1 ± 0.40 A | 11.3 ± 0.38 ABC | - | |
| 80 | 78.1 ± 0.83 AB | 2.5 ± 0.42 HIJ | 12.5 ± 0.34 G | - | ||
| Yogurt | 3 | 60 | 81.0 ± 0.92 DE | 1.6 ± 0.23 BCD | 11.9 ± 0.25 DEF | 1.0 ± 0.18 AB |
| 80 | 79.0 ± 0.29 BC | 2.9 ± 0.15 J | 13.4 ± 0.42 H | 0.5 ± 0.02 A | ||
| 6 | 60 | 79.5 ± 1.91 CD | 1.8 ± 0.74 DEFG | 11.8 ±0.51 CDEF | 2.02 ± 0.24 B | |
| 80 | 79.8 ± 0.70 CD | 2.3 ± 0.31 FGH | 12.3 ± 0.31 FG | 1.33 ± 0.63 AB | ||
| Kefir | 3 | 60 | 79.8 ± 1.74 CD | 1.5 ± 0.34 ABCD | 11.6 ± 0.41 BCD | 1.5 ± 0.13 AB |
| 80 | 78.9 ± 1.43 BC | 2.4 ± 0.38 HI | 13.2 ± 0.62 H | 0.4 ± 0.25 A | ||
| 6 | 60 | 80.8 ± 1.29 DE | 1.3 ± 0.42 ABC | 11.7 ± 0.32 BCDE | 1.11 ± 0.11 AB | |
| 80 | 80.7 ± 0.83 DE | 2.1 ± 0.36 EFGH | 11.6 ± 0.33 BCDE | 3.50 ± 0.93 AB | ||
| Buttermilk | 3 | 60 | 80.6 ± 1.12 DE | 1.8 ± 0.38 CDEF | 11.2 ± 0.42 AB | 1.0 ± 0.14 AB |
| 80 | 77.4 ± 0.76 A | 2.8 ± 0.27 IJ | 13.3 ± 0.31 H | 1.1 ± 0.48 AB | ||
| 6 | 60 | 81.5 ± 0.96 E | 1.2 ± 0.36 AB | 11.0 ± 0.37 A | 1.54 ± 0.22 AB | |
| 80 | 78.5 ± 1.29 AB | 2.3 ± 0.34 GH | 12.1 ± 0.45 EFG | 1.15 ± 0.67 AB | ||
| SEM | 1 | 0.14 | 0.17 | 0.18 | ||
| Effects of: | ||||||
| Marinating type | * | *** | *** | * | ||
| Marinating time | ** | *** | *** | *** | ||
| SV temperature | *** | *** | *** | NS | ||
| Marinating type × Marinating time | *** | * | NS | * | ||
| Marinating type × SV temperature | *** | ** | *** | ** | ||
| Marinating time × SV temperature | * | * | *** | ** | ||
| Marinating type × Marinating time × SV temperature | * | ** | *** | *** | ||
| Effect of: | Hardness [N] | Adhesiveness [N mm] | Springiness | Cohesiveness |
|---|---|---|---|---|
| Marinating type | *** | * | * | * |
| Marinating time | *** | NS | ** | *** |
| Sous-vide temperature | *** | *** | NS | *** |
| Marinating type × Marinating time | *** | *** | NS | NS |
| Marinating type × SV temperature | * | NS | NS | NS |
| Marinating time × SV temperature | *** | NS | *** | *** |
| Marinating type × and time × SV temperature | NS | ** | * | NS |
| TPA Parameters | Sensory Attributes | Proteins | ||||||||||
|---|---|---|---|---|---|---|---|---|---|---|---|---|
| Tenderness [N] | Adhesiveness [N mm] | Springiness | Cohesiveness | Hardness | Tenderness | Juiciness | Nebulin/Titin and Myosin (HC) | Calpains ⴜ and µ | Actin | Myosin (LC3) | ||
| TPA parameters | Tenderness [N] | 0.19 | 0.19 | 0.01 | −0.13 | −0.22 | −0.13 | −0.08 | −0.50 *** | −0.12 | −0.23 | |
| Adhesiveness [N mm] | −0.04 | −0.60 *** | −0.70 *** | −0.61 *** | −0.69 *** | −0.62 *** | −0.44 | −0.64 *** | 0.37 | |||
| Springiness [-] | −0.12 | 0.06 | −0.13 | 0.00 | -0.05 | 0.00 | −0.08 | −0.19 | ||||
| Cohesiveness [-] | 0.89 *** | 0.89 *** | 0.93 *** | 0.86 *** | 0.55 *** | 0.43 | −0.33 | |||||
| Sensory attributes | Hardness | 0.88 *** | 0.98 *** | 0.85 *** | 0.55 *** | 0.39 | −0.33 | |||||
| Tenderness | 0.94 *** | 0.91 *** | 0.59 *** | 0.39 | −0.35 | |||||||
| Juiciness | 0.91 *** | 0.58 *** | 0.39 | −0.35 | ||||||||
| Proteins | Nebulin /titin and myosin (HC) | 0.54 *** | 0.44 | −0.37 | ||||||||
| calpains ⴜ and µ | 0.48 *** | −0.16 | ||||||||||
| actin | −0.06 | |||||||||||
| myosin LC3) | ||||||||||||
Disclaimer/Publisher’s Note: The statements, opinions and data contained in all publications are solely those of the individual author(s) and contributor(s) and not of MDPI and/or the editor(s). MDPI and/or the editor(s) disclaim responsibility for any injury to people or property resulting from any ideas, methods, instructions or products referred to in the content. |
© 2023 by the authors. Licensee MDPI, Basel, Switzerland. This article is an open access article distributed under the terms and conditions of the Creative Commons Attribution (CC BY) license (https://creativecommons.org/licenses/by/4.0/).
Share and Cite
Latoch, A.; Moczkowska-Wyrwisz, M.; Sałek, P.; Czarniecka-Skubina, E. Effect of Marinating in Dairy-Fermented Products and Sous-Vide Cooking on the Protein Profile and Sensory Quality of Pork Longissimus Muscle. Foods 2023, 12, 3257. https://doi.org/10.3390/foods12173257
Latoch A, Moczkowska-Wyrwisz M, Sałek P, Czarniecka-Skubina E. Effect of Marinating in Dairy-Fermented Products and Sous-Vide Cooking on the Protein Profile and Sensory Quality of Pork Longissimus Muscle. Foods. 2023; 12(17):3257. https://doi.org/10.3390/foods12173257
Chicago/Turabian StyleLatoch, Agnieszka, Małgorzata Moczkowska-Wyrwisz, Piotr Sałek, and Ewa Czarniecka-Skubina. 2023. "Effect of Marinating in Dairy-Fermented Products and Sous-Vide Cooking on the Protein Profile and Sensory Quality of Pork Longissimus Muscle" Foods 12, no. 17: 3257. https://doi.org/10.3390/foods12173257
APA StyleLatoch, A., Moczkowska-Wyrwisz, M., Sałek, P., & Czarniecka-Skubina, E. (2023). Effect of Marinating in Dairy-Fermented Products and Sous-Vide Cooking on the Protein Profile and Sensory Quality of Pork Longissimus Muscle. Foods, 12(17), 3257. https://doi.org/10.3390/foods12173257

