Preparation, Characterization and Antioxidant Activity of Glycosylated Whey Protein Isolate/Proanthocyanidin Compounds
Abstract
:1. Introduction
2. Materials and Methods
2.1. Samples, Chemicals and Standard
2.2. Preparation of Glycosylated Protein/PC Compounds
- (1)
- Preparation of glycosylated protein: In the existing process [12], WPI and lactose were dissolved in deionized water with a mass ratio of 1:1 (w/w). After two hours of stirring, the mixture was kept at 4 °C overnight to fully hydrate the protein with a pH of 7 in preparation for freeze drying. The powdered WPI and lactose mixture was placed in a desiccator at the humidity of 79% and reacted at 65 °C for 24 h to obtain WPI-Lac. The WPI-Lac powder was dissolved in deionized water and dialyzed with a 3500 kDa dialysis bag for 72 h. Finally, the dialysate was removed from the dialysis bag, freeze-dried, and stored.
- (2)
- Preparation of glycosylated protein/PC compounds: WPI and WPI-Lac solutions were prepared, and the system was kept at pH 6 while adding PC solution. At 25 °C, the PC solution was slowly added to the protein solution under stirring for 2 h. The concentration of protein solution remained unchanged (0.5% by weight), but in the mixture, the mass ratio of protein to PCs changed.
2.3. Fluorescence Spectral Analysis
2.4. Particle Characteristics
2.5. Turbidity
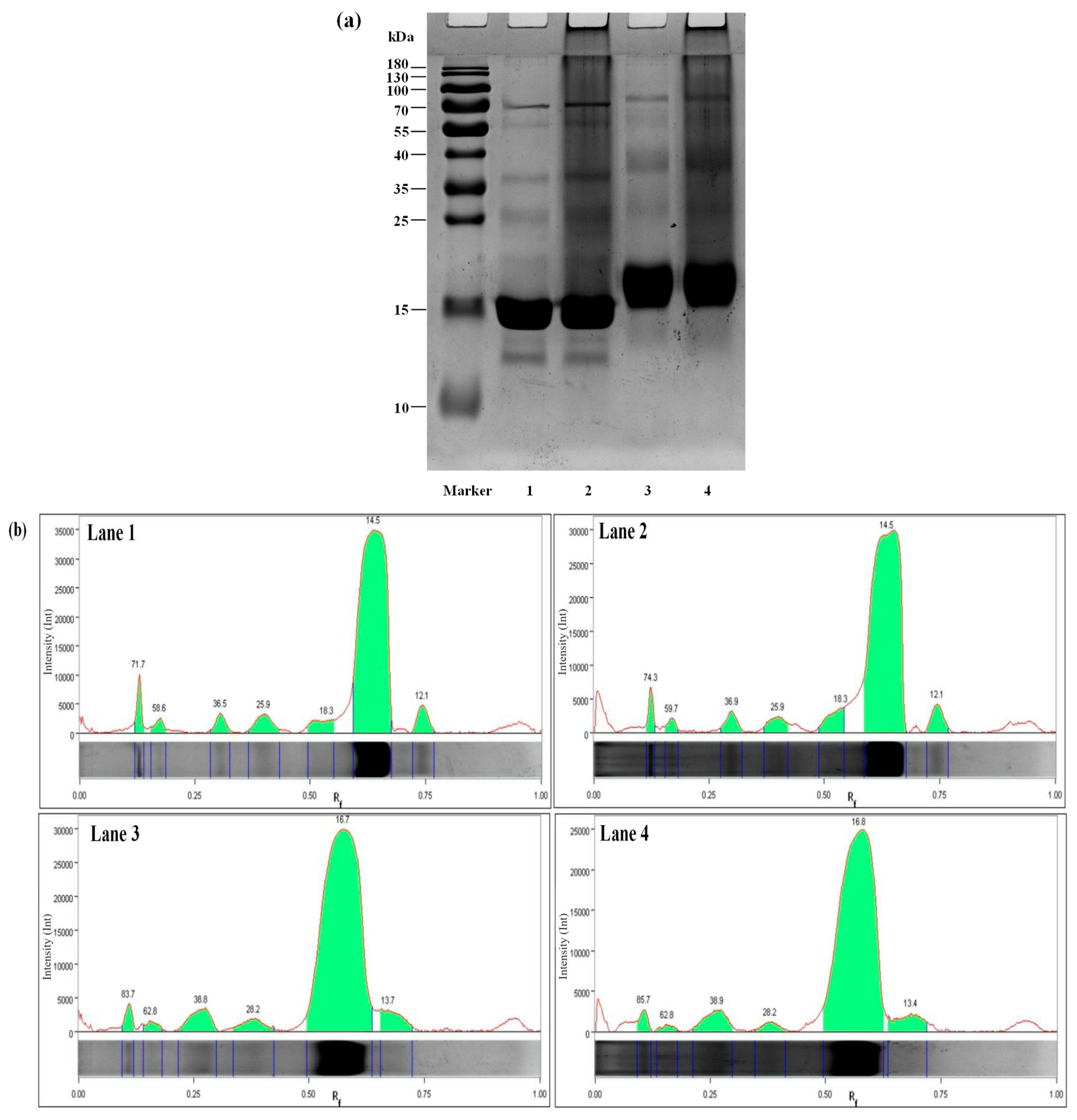
2.6. SDS-PAGE
2.7. Fourier Transform Infrared Spectroscopic Analysis
2.8. Determination of Surface Hydrophobicity
2.9. Interfacial Tension Measurement
2.10. Differential Scanning Calorimetry
2.11. Transmission Electron Microscopy (TEM)
2.12. Analysis of Antioxidant Properties of Compounds
- (1)
- Determination of ABTS free radical-scavenging rate
- (2)
- Determination of DPPH free radical-scavenging rate
- (3)
- Determination of total antioxidant capacity by FRAP method
2.13. Preparation of Pickering Emulsion Stabilized by Glycosylated Protein/PC Compounds
2.14. Statistical Analysis of Data
3. Results
3.1. Fluorescence Spectral Analysis
3.2. Preparation of Glycosylated Protein/PC Compounds
- (1)
- Effect of PC addition on the degree of aggregation of WPI and WPI-Lac
- (2)
- Effect of PCs on the degree of aggregation of WPI and WPI-Lac at different pH levels
3.3. Turbidity
3.4. SDS-PAGE
3.5. FTIR Analysis
3.6. Surface Hydrophobicity
3.7. Interfacial Tension
3.8. DSC Analysis
3.9. Morphology of WPI/PC and WPI-Lac/PC Compounds
3.10. Analysis of Antioxidant Performance of Compounds
3.11. Application of Glycosylated protein/PC Compound Stabilized Pickering Solutions
4. Conclusions
Author Contributions
Funding
Data Availability Statement
Acknowledgments
Conflicts of Interest
References
- Neto, R.T.; Santos, S.A.O.; Oliveira, J.; Silvestre, A.J.D. Biorefinery of high polymerization degree proanthocyanidins in the context of circular economy. Ind. Crops Prod. 2020, 151, 112450. [Google Scholar] [CrossRef]
- Alejo-Armijo, A.; Salido, S.; Altarejos, J.N. Synthesis of A-Type Proanthocyanidins and Their Analogues: A Comprehensive Review. J. Agric. Food Chem. 2020, 68, 8104–8118. [Google Scholar] [CrossRef] [PubMed]
- Li, Y.; He, D.; Li, B.; Lund, M.N.; Xing, Y.; Wang, Y.; Li, F.; Cao, X.; Liu, Y.; Chen, X.; et al. Engineering polyphenols with biological functions via polyphenol-protein interactions as additives for functional foods. Trends Food Sci. Technol. 2021, 110, 470–482. [Google Scholar] [CrossRef]
- Constabel, C.P. Molecular Controls of Proanthocyanidin Synthesis and Structure: Prospects for Genetic Engineering in Crop Plants. J. Agric. Food Chem. 2018, 66, 9882–9888. [Google Scholar] [CrossRef] [PubMed]
- Yan, F.; Chen, L.; Chen, W.; Zhao, L.; Lu, Q.; Liu, R. Protective effect of procyanidin A-type dimers against H2O2-induced oxidative stress in prostate DU145 cells through the MAPKs signaling pathway. Life Sci. 2021, 266, 118908. [Google Scholar] [CrossRef] [PubMed]
- Feliciano, R.P.; Krueger, C.G.; Shanmuganayagam, D.; Vestling, M.M.; Reed, J.D. Deconvolution of matrix-assisted laser desorption/ionization time-of-flight mass spectrometry isotope patterns to determine ratios of A-type to B-type interflavan bonds in cranberry proanthocyanidins. Food Chem. 2012, 135, 1485–1493. [Google Scholar] [CrossRef]
- Rauf, A.; Imran, M.; Abu-Izneid, T.; Iahtisham Ul, H.; Patel, S.; Pan, X.; Naz, S.; Sanches Silva, A.; Saeed, F.; Rasul Suleria, H.A. Proanthocyanidins: A comprehensive review. Biomed. Pharmacother. 2019, 116, 108999. [Google Scholar] [CrossRef]
- Xiao, Y.; Dong, J.; Yin, Z.; Wu, Q.; Zhou, Y.; Zhou, X. Procyanidin B2 protects against d-galactose-induced mimetic aging in mice: Metabolites and microbiome analysis. Food Chem. Toxicol. 2018, 119, 141–149. [Google Scholar] [CrossRef]
- Mcclements, D.J.; Monahan, F.J.; Kinsella, J.E. Disulfide Bond Formation Affects Stability of Whey Protein Isolate Emulsions. J. Food Sci. 1993, 58, 1036–1039. [Google Scholar] [CrossRef]
- Zheng, J.; Xiao, N.; Li, Y.; Xie, X.; Li, L. Free radical grafting of whey protein isolate with tea polyphenol: Synthesis and changes in structural and functional properties. LWT-Food Sci. Technol. 2022, 153, 112438. [Google Scholar] [CrossRef]
- Liu, G.; Zhong, Q. Thermal aggregation properties of whey protein glycated with various saccharides. Food Hydrocoll. 2013, 32, 87–96. [Google Scholar] [CrossRef]
- Liu, G.; Zhong, Q. Dispersible and thermal stable nanofibrils derived from glycated whey protein. Biomacromolecules 2013, 14, 2146–2153. [Google Scholar] [CrossRef]
- Pi, X.; Sun, Y.; Liu, J.; Wang, X.; Hong, W.; Cheng, J.; Guo, M. Characterization of the improved functionality in soybean protein-proanthocyanidins conjugates prepared by the alkali treatment. Food Hydrocoll. 2023, 134, 108107. [Google Scholar] [CrossRef]
- Wen, H.; Ning, Z.; Li, J.; Guan, Y.; Zhang, B.; Shang, X.; Liu, X.; Du, Z.; Liu, J.; Zhang, T. Stability of oil-in-water emulsions improved by ovalbumin-procyanidins mixture: A promising substrate with emulsifying and antioxidant activity. Colloids Surf. B Biointerfaces 2022, 215, 112473. [Google Scholar] [CrossRef] [PubMed]
- Li, Z.; Zheng, Y.; Sun, Q.; Wang, J.; Zheng, B.; Guo, Z. Structural characteristics and emulsifying properties of myofibrillar protein-dextran conjugates induced by ultrasound Maillard reaction. Ultrason. Sonochem. 2021, 72, 105458. [Google Scholar] [CrossRef] [PubMed]
- Jiang, L.; Liu, Y.; Li, L.; Qi, B.; Ju, M.; Xu, Y.; Zhang, Y.; Sui, X. Covalent conjugates of anthocyanins to soy protein: Unravelling their structure features and in vitro gastrointestinal digestion fate. Food Res. Int. 2019, 120, 603–609. [Google Scholar] [CrossRef]
- Yan, X.; Liang, S.; Peng, T.; Zhang, G.; Zeng, Z.; Yu, P.; Gong, D.; Deng, S. Influence of phenolic compounds on physicochemical and functional properties of protein isolate from Cinnamomum camphora seed kernel. Food Hydrocoll. 2020, 102, 105612. [Google Scholar] [CrossRef]
- Zhu, D.; Damodaran, S.; Lucey, J.A. Physicochemical and Emulsifying Properties of Whey Protein Isolate (WPI)−Dextran Conjugates Produced in Aqueous Solution. J. Agric. Food Chem. 2010, 58, 2988–2994. [Google Scholar] [CrossRef]
- Qin, X.; Yu, J.; Wang, Q.; Zhang, H.; Chen, H.; Hu, Z.; Lv, Q.; Liu, G. Preparation of camellia oil pickering emulsion stabilized by glycated whey protein isolate and chitooligosaccharide: Effect on interfacial behavior and emulsion stability. LWT-Food Sci. Technol. 2022, 153, 112515. [Google Scholar] [CrossRef]
- Zang, Z.; Chou, S.; Tian, J.; Lang, Y.; Shen, Y.; Ran, X.; Gao, N.; Li, B. Effect of whey protein isolate on the stability and antioxidant capacity of blueberry anthocyanins: A mechanistic and in vitro simulation study. Food Chem. 2020, 336, 127700. [Google Scholar] [CrossRef]
- Chen, C.; Shi, K.; Qin, X.; Zhang, H.; Chen, H.; Hayes, D.G.; Wu, Q.; Hu, Z.; Liu, G. Effect of interactions between glycosylated protein and tannic acid on the physicochemical stability of Pickering emulsions. LWT-Food Sci. Technol. 2021, 152, 112383. [Google Scholar] [CrossRef]
- Yu, J.-J.; Ji, H.; Chen, Y.; Zhang, Y.-F.; Zheng, X.-C.; Li, S.-H.; Chen, Y. Analysis of the glycosylation products of peanut protein and lactose by cold plasma treatment: Solubility and structural characteristics. Int. J. Biol. Macromol. 2020, 158, 1194–1203. [Google Scholar] [CrossRef] [PubMed]
- Cong, J.; Cui, J.; Zhang, H.; Dzah, C.S.; He, Y.; Duan, Y. Binding affinity, antioxidative capacity and in vitro digestion of complexes of grape seed procyanidins and pork, chicken and fish protein. Food Res. Int. 2020, 136, 109530. [Google Scholar] [CrossRef] [PubMed]
- Tang, C.; Tan, B.; Sun, X. Elucidation of Interaction between Whey Proteins and Proanthocyanidins and Its Protective Effects on Proanthocyanidins during In-Vitro Digestion and Storage. Molecules 2021, 26, 5468. [Google Scholar] [CrossRef] [PubMed]
- Zou, Y.; Wu, C.; Ma, C.; He, S.; Brennan, C.S.; Yuan, Y. Interactions of grape seed procyanidins with soy protein isolate: Contributing antioxidant and stability properties. LWT-Food Sci. Technol. 2019, 115, 108465. [Google Scholar] [CrossRef]
- Zhou, S.-D.; Huang, L.; Meng, L.; Lin, Y.-F.; Xu, X.; Dong, M.-S. Soy protein isolate -(-)-epigallocatechin gallate conjugate: Covalent binding sites identification and IgE binding ability evaluation. Food Chem. 2020, 333, 127400. [Google Scholar] [CrossRef]
- Liu, G.; Wang, Q.; Hu, Z.; Cai, J.; Qin, X. Maillard-Reacted Whey Protein Isolates and Epigallocatechin Gallate Complex Enhance the Thermal Stability of the Pickering Emulsion Delivery of Curcumin. J. Agric. Food Chem. 2019, 67, 5212–5220. [Google Scholar] [CrossRef]
- Yu, J.; Wang, Q.; Zhang, H.; Qin, X.; Chen, H.; Corke, H.; Hu, Z.; Liu, G. Increased stability of curcumin-loaded pickering emulsions based on glycated proteins and chitooligosaccharides for functional food application. LWT 2021, 148, 111742. [Google Scholar] [CrossRef]
- Dai, T.; Li, T.; Li, R.; Zhou, H.; Liu, C.; Chen, J.; McClements, D.J. Utilization of plant-based protein-polyphenol complexes to form and stabilize emulsions: Pea proteins and grape seed proanthocyanidins. Food Chem. 2020, 329, 127219. [Google Scholar] [CrossRef]
- Huang, Y.; Li, A.; Qiu, C.; Teng, Y.; Wang, Y. Self-assembled colloidal complexes of polyphenol-gelatin and their stabilizing effects on emulsions. Food Funct. 2017, 8, 3145–3154. [Google Scholar] [CrossRef]
- Liu, G.; Zhong, Q. Glycation of whey protein to provide steric hindrance against thermal aggregation. J. Agric. Food Chem. 2012, 60, 9754–9762. [Google Scholar] [CrossRef] [PubMed]
- Qin, X.; Yuan, D.; Wang, Q.; Hu, Z.; Wu, Y.; Cai, J.; Huang, Q.; Li, S.; Liu, G. Maillard-Reacted Whey Protein Isolates Enhance Thermal Stability of Anthocyanins over a Wide pH Range. J. Agric. Food Chem. 2018, 66, 9556–9564. [Google Scholar] [CrossRef]
- Li, N.; Girard, A.L. Impact of pH and temperature on whey protein-proanthocyanidin interactions and foaming properties. Food Hydrocoll. 2023, 134, 108100. [Google Scholar] [CrossRef]
- Wang, S.; Yang, J.; Shao, G.; Liu, J.; Wang, J.; Yang, L.; Li, J.; Liu, H.; Zhu, D.; Li, Y.; et al. pH-induced conformational changes and interfacial dilatational rheology of soy protein isolated/soy hull polysaccharide complex and its effects on emulsion stabilization. Food Hydrocoll. 2020, 109, 106075. [Google Scholar] [CrossRef]
- Chen, S.; Shen, X.; Tao, W.; Mao, G.; Wu, W.; Zhou, S.; Ye, X.; Pan, H. Preparation of a novel emulsifier by self-assembling of proanthocyanidins from Chinese bayberry (Myrica rubra Sieb. et Zucc.) leaves with gelatin. Food Chem. 2020, 319, 126570. [Google Scholar] [CrossRef]
- Liu, Y.; Selig, M.J.; Yadav, M.P.; Yin, L.; Abbaspourrad, A. Transglutaminase-treated conjugation of sodium caseinate and corn fiber gum hydrolysate: Interfacial and dilatational properties. Carbohydr. Polym. 2018, 187, 26–34. [Google Scholar] [CrossRef]
- Tao, X.; Chen, C.; Li, Y.; Qin, X.; Zhang, H.; Hu, Y.; Liu, Z.; Guo, X.; Liu, G. Improving the physicochemical stability of Pickering emulsion stabilized by glycosylated whey protein isolate/cyanidin-3-glucoside to deliver curcumin. Int. J. Biol. Macromol. 2023, 229, 1–10. [Google Scholar] [CrossRef]
- Li, R.; Zeng, Z.; Fu, G.; Wan, Y.; Liu, C.; McClements, D.J. Formation and characterization of tannic acid/beta-glucan complexes: Influence of pH, ionic strength, and temperature. Food Res. Int. 2019, 120, 748–755. [Google Scholar] [CrossRef]
- Liu, G.; Li, W.; Qin, X.; Zhong, Q. Flexible protein nanofibrils fabricated in aqueous ethanol: Physical characteristics and properties of forming emulsions of conjugated linolenic acid. Food Hydrocoll. 2020, 114, 106573. [Google Scholar] [CrossRef]











| Mass Ratio | WPI/PCs | WPI-Lac/PCs | ||||
|---|---|---|---|---|---|---|
| Size (nm) | PDI | Zeta Potential (mV) | Size (nm) | PDI | Zeta Potential (mV) | |
| 1:0 | 246.8 ± 19.52 a | 0.522 ± 0.068 a | −23.7 ± 1.1 a | 358.8 ± 13.2 b | 0.573 ± 0.023 a | −23.0 ± 1.4 a |
| 8:1 | 209.4 ± 47.8 ab | 0.520 ± 0.150 a | −30.0 ± 1.1 bc | 444.5 ± 70.6 a | 0.470 ± 0.049 ab | −29.0 ± 1.4 bc |
| 4:1 | 216.1 ± 15.5 ab | 0.453 ± 0.063 a | −30.3 ± 0.9 bc | 287.8 ± 55.7 b | 0.443 ± 0.066 b | −28.9 ± 1.1 bc |
| 2:1 | 160.8 ± 57.3 bc | 0.479 ± 0.135 a | −30.9 ± 0.2 c | 197.6 ± 21.6 c | 0.334 ± 0.082 c | −30.6 ± 0.4 c |
| 1:1 | 112.6 ± 10.3 c | 0.242 ± 0.039 b | −31.8 ± 1.6 c | 119.4 ± 39.8 c | 0.226 ± 0.045 c | −30.5 ± 1.4 c |
| 1:2 | 129.8 ± 28.6 c | 0.254 ± 0.023 b | −28.7 ± 0.35 b | 126.8 ± 35.9 c | 0.251 ± 0.075 c | −28.1 ± 0.6 b |
| pH | WPI/PCs | WPI-Lac/PCs | ||||
|---|---|---|---|---|---|---|
| Size (nm) | PDI | Zeta Potential (mV) | Size (nm) | PDI | Zeta Potential (mV) | |
| 2 | ND | ND | 20.8 ± 1.7 c | ND | ND | 15.0 ± 1.6 c |
| 3 | 147.5 ± 4.5 b | 0.542 ± 0.015 a | 38.5 ± 1.7 a | 146.5 ± 3.0 cd | 0.623 ± 0.078 a | 37.2 ± 1.0 a |
| 4 | 425.6 ± 79.3 a | 0.471 ± 0.055 ab | 24.5 ± 0.3 b | 200.0 ± 20.3 bc | 0.272 ± 0.006 c | 22.0 ± 1.0 b |
| 5 | 411.6 ± 15.5 a | 0.464 ± 0.085 ab | −20.2 ± 0.7 d | 361.2 ± 5.4 a | 0.330 ± 0.019 c | −22.0 ± 0.5 d |
| 6 | 116.5 ± 29.2 b | 0.290 ± 0.019 c | −30.6 ± 0.4 e | 117.7 ± 34.5 d | 0.309 ± 0.020 c | −33.0 ± 1.0 f |
| 7 | 319.4 ± 97.3 a | 0.376 ± 0.101 bc | −33.8 ± 1.5 f | 249.9 ± 46.7 b | 0.447 ± 0.094 b | −32.7 ± 1.0 f |
| 8 | 329.2 ± 59.4 a | 0.493 ± 0.042 ab | −30.9 ± 0.8 e | 249.9 ± 56.1 b | 0.442 ± 0.069 b | −28.0 ± 0.8 e |
| Band No. | Molecular Weight (kDa) | |||
|---|---|---|---|---|
| WPI | WPI/PCs | WPI-Lac | WPI-Lac/PCs | |
| 1 | 71.7 | 74.3 | 83.7 | 85.7 |
| 2 | 58.6 | 59.7 | 62.8 | 62.8 |
| 3 | 36.5 | 36.9 | 38.8 | 38.9 |
| 4 | 25.9 | 25.9 | 28.2 | 28.2 |
| 5 | 18.3 | 18.3 | 16.7 | 16.8 |
| 6 | 14.5 | 14.5 | 13.7 | 13.4 |
| 7 | 12.1 | 12.1 | —— | —— |
| Sample | Tm (°C) | Tp (°C) | ΔH (J/g) |
|---|---|---|---|
| WPI | 56.01 | 106.00 | 182.5 |
| WPI/PCs | 63.18 | 111.70 | 258.9 |
| WPI-Lac | 58.85 | 106.80 | 171.8 |
| WPI-Lac/PCs | 64.46 | 113.33 | 242.9 |
Disclaimer/Publisher’s Note: The statements, opinions and data contained in all publications are solely those of the individual author(s) and contributor(s) and not of MDPI and/or the editor(s). MDPI and/or the editor(s) disclaim responsibility for any injury to people or property resulting from any ideas, methods, instructions or products referred to in the content. |
© 2023 by the authors. Licensee MDPI, Basel, Switzerland. This article is an open access article distributed under the terms and conditions of the Creative Commons Attribution (CC BY) license (https://creativecommons.org/licenses/by/4.0/).
Share and Cite
Li, Y.; Zhou, L.; Zhang, H.; Liu, G.; Qin, X. Preparation, Characterization and Antioxidant Activity of Glycosylated Whey Protein Isolate/Proanthocyanidin Compounds. Foods 2023, 12, 2153. https://doi.org/10.3390/foods12112153
Li Y, Zhou L, Zhang H, Liu G, Qin X. Preparation, Characterization and Antioxidant Activity of Glycosylated Whey Protein Isolate/Proanthocyanidin Compounds. Foods. 2023; 12(11):2153. https://doi.org/10.3390/foods12112153
Chicago/Turabian StyleLi, Yaochang, Lian Zhou, Haizhi Zhang, Gang Liu, and Xinguang Qin. 2023. "Preparation, Characterization and Antioxidant Activity of Glycosylated Whey Protein Isolate/Proanthocyanidin Compounds" Foods 12, no. 11: 2153. https://doi.org/10.3390/foods12112153
APA StyleLi, Y., Zhou, L., Zhang, H., Liu, G., & Qin, X. (2023). Preparation, Characterization and Antioxidant Activity of Glycosylated Whey Protein Isolate/Proanthocyanidin Compounds. Foods, 12(11), 2153. https://doi.org/10.3390/foods12112153

