Changes in Quality and Collagen Properties of Cattle Rumen Smooth Muscle Subjected to Repeated Freeze—Thaw Cycles
Abstract
:1. Introduction
2. Materials and Methods
2.1. Sampling
2.2. Thawing Loss and Pressing Loss
2.3. Shear Force
2.4. pH
2.5. Microstructure Analysis
2.6. Collagen Extraction
2.7. Collagen Content and Solubility
2.8. Collagen Degradation Analysis
2.9. Collagen Secondary Structure Analysis
2.10. Collagen Thermal Stability Analysis
2.11. Collagen Emulsion Property, Turbidity Analysis
2.12. Statistical Analysis
3. Results and Discussion
3.1. Changes in Eating Quality of CSM during Freezing and Thawing
3.2. Changes in Scanning Electron Microscopy (SEM) of CSM during F-T Cycles
3.3. Changes in Collagen Content and Solubility of CSM during F-T Cycles
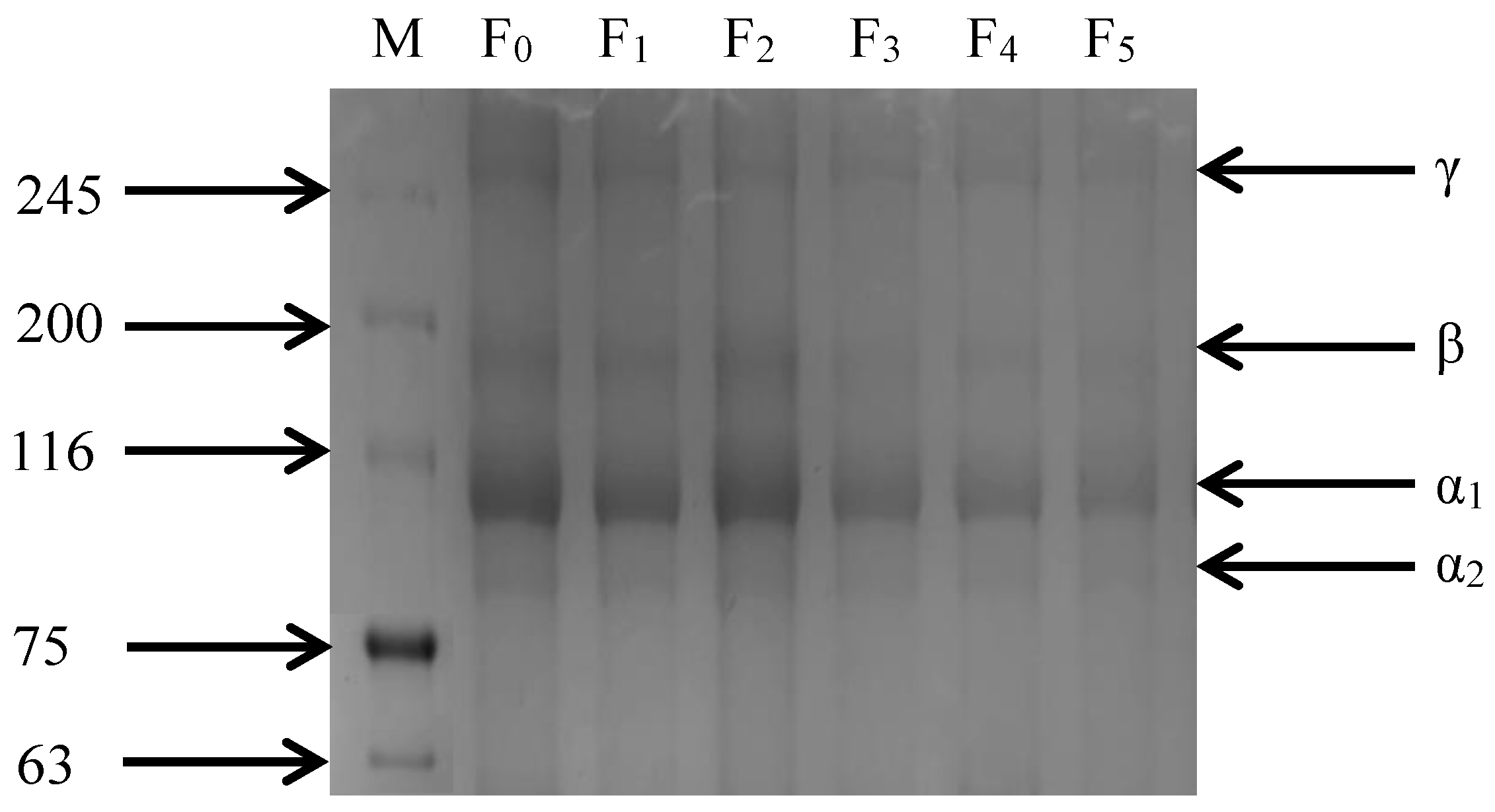
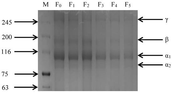
3.4. Changes in Collagen Degradation of CSM during F-T Cycles
3.5. Changes in Collagen Secondary Structure of CSM during F-T Cycles
3.6. Changes in Collagen Thermal Stability of CSM during F-T Cycles
3.7. Changes in Collagen Emulsion Property, Surface Hydrophobicity, and Turbidity of CSM during F-T Cycles
4. Conclusions
Author Contributions
Funding
Data Availability Statement
Conflicts of Interest
References
- Wang, H.; Luo, Y.; Shi, C.; Shen, H. Effect of different thawing methods and multiple freeze-thaw cycles on the quality of common carp (cyprinus carpio). J. Aquat. Food Prod. Technol. 2015, 24, 153–162. [Google Scholar] [CrossRef]
- Cao, Y.; He, S.; Yu, Q.; Han, L.; Zhang, W.; Zou, X. Effects of multiple freeze–thaw cycles on meat quality, nutrients, water distribution and microstructure in bovine rumen smooth muscle. Int. J. Food Sci. Technol. 2022, 57, 3001–3011. [Google Scholar] [CrossRef]
- Li, S.; Yu, Q.; Han, L.; Zhang, Y.; Tian, X.; Zhao, S. Effects of proteome changes on the tenderness of yak rumen smooth muscle during postmortem storage based on the label-free mass spectrometry. Food Res. Int. 2019, 116, 1336–1343. [Google Scholar] [CrossRef] [PubMed]
- Pan, N.; Dong, C.; Du, X.; Kong, B.; Xia, X. Effect of freeze-thaw cycles on the quality of quick-frozen pork patty with different fat content by consumer assessment and instrument-based detection. Meat Sci. 2020, 172, 108313. [Google Scholar] [CrossRef]
- Rahman, M.H.; Hossain, M.M.; Rahman, S.M.E.; Amin, M.R.; Oh, D.H. Evaluation of physicochemical deterioration and lipid oxidation of beef muscle affected by freeze-thaw cycles. Korean J. Food Sci. Anim. Resour. 2015, 35, 772. [Google Scholar] [CrossRef]
- Boonsumrej, S.; Chaiwanichsiri, S.; Tantratian, S.; Suzuki, T.; Takai, R. Effects of freezing and thawing on the quality changes of tiger shrimp (penaeus monodon) frozen by air-blast and cryogenic freezing. J. Food Eng. 2007, 80, 292–299. [Google Scholar] [CrossRef]
- Zhou, F.; Zhao, M.; Zhao, H.; Sun, W.; Cui, C. Effects of oxidative modification on gel properties of isolated porcine myofibrillar protein by peroxyl radicals. Meat Sci. 2014, 96, 1432–1439. [Google Scholar] [CrossRef]
- Strange, E.D.; Dahms, M.P.; Benedict, R.C.; Woychik, J.H. Changes in connective tissue histology in freeze-thaw cycled and refrigerated pork liver. J. Food Sci. 1985, 50, 1484–1485. [Google Scholar] [CrossRef]
- Xu, M.; Chen, X.; Huang, Z.; Chen, D.; Li, M.; He, J.; Yu, B. Effects of dietary grape seed proanthocyanidin extract supplementation on meat quality, muscle fiber characteristics and antioxidant capacity of finishing pigs. Food Chem. 2021, 367, 130781. [Google Scholar] [CrossRef]
- Li, C.; Liu, D.; Zhou, G.; Xu, X.; Qi, J.; Shi, P.; Xia, T. Meat quality and cooking attributes of thawed pork with different low field NMR T21. Meat Sci. 2012, 92, 79–83. [Google Scholar] [CrossRef]
- Mikołajczak, B.; Iwańska, E.; Spychaj, A.; Danyluk, B.; Montowska, M.; Grześ, B.; Banach, J.; Żywica, R.; Pospiech, E. An analysis of the influence of various tenderising treatments on the tenderness of meat from polish holstein-friesian bulls and the course of changes in collagen. Meat Sci. 2019, 158, 107906. [Google Scholar] [CrossRef] [PubMed]
- Sun, P.P.; Ren, Y.Y.; Wang, S.Y.; Zhu, H.; Zhou, J.J. Characterization and film-forming properties of acid soluble collagens from different by-products of loach (Misgurnus anguillicaudatus). LWT Food Sci. Technol. 2021, 149, 111844. [Google Scholar] [CrossRef]
- Maqsood, S.; Haddad, N.A.A.; Mudgil, P. Vacuum packaging as an effective strategy to retard off-odour development, microbial spoilage, protein degradation and retain sensory quality of camel meat. LWT Food Sci. Technol. 2016, 72, 55–62. [Google Scholar] [CrossRef]
- He, X.; Cao, W.; Zhao, Z.; Zhang, C. Analysis of protein composition and antioxidant activity of hydrolysates from Paphia undulate. J. Food Nutr. Res. 2013, 1, 30–36. [Google Scholar]
- Chan, J.T.Y.; Omana, D.A.; Betti, M. Functional and rheological properties of proteins in frozen turkey breast meat with different ultimate pH. Poult. Sci. 2011, 90, 1112–1123. [Google Scholar] [CrossRef]
- Zhu, Y.; Fu, S.; Wu, C.; Qi, B.; Teng, F.; Wang, Z.; Li, Y.; Jiang, L. The investigation of protein flexibility of various soybean cultivars in relation to physicochemical and conformational properties. Food Hydrocoll. 2020, 103, 105709. [Google Scholar] [CrossRef]
- Ran, Y.; Su, W.; Ma, L.; Wang, X.; Li, X. Insight into the effect of sulfonated chitosan on the structure, rheology and fibrillogenesis of collagen. Int. J. Biol. Macromol. 2021, 166, 1480–1490. [Google Scholar] [CrossRef]
- Lee, Y.S.; Owens, C.M.; Meullenet, J.F. Changes in tenderness, color, and water holding capacity of broiler breast meat during postdeboning aging. J. Food Sci. 2009, 74, 49–54. [Google Scholar] [CrossRef]
- Cheng, H.; Song, S.; Jung, E.Y.; Jeong, J.Y.; Joo, S.T.; Kim, G.D. Comparison of beef quality influenced by freeze-thawing among different beef cuts having different muscle fiber characteristics. Meat Sci. 2020, 169, 108206. [Google Scholar] [CrossRef]
- Jin-Yeon, J.; Gap-Don, K.; Han-Sul, Y.; Seon-Tea, J. Effect of freeze-thaw cycles on physicochemical properties and color stability of beef semimembranosus muscle. Food Res. Int. 2011, 44, 3222–3228. [Google Scholar]
- Qian, S.; Li, X.; Wang, H.; Wei, X.; Blecker, C. Contribution of calpain to protein degradation, variation in myowater properties and the water-holding capacity of pork during postmortem ageing. Food Chem. 2020, 324, 126892. [Google Scholar] [CrossRef] [PubMed]
- Jiang, Q.; Nakazawa, N.; Hu, Y.; Osako, K.; Okazaki, E. Changes in quality properties and tissue histology of lightly salted tuna meat subjected to multiple freeze-thaw cycles. Food Chem. 2019, 293, 178–186. [Google Scholar] [CrossRef] [PubMed]
- Zhang, M.C.; Li, F.F.; Diao, X.P.; Kong, B.H.; Xia, X.F. Moisture migration, microstructure damage and protein structure changes in porcine longissimus muscle as influenced by multiple freeze-thaw cycles. Meat Sci. 2017, 133, 10–18. [Google Scholar] [CrossRef] [PubMed]
- Qi, J.; Li, C.; Chen, Y.; Gao, F.; Xu, X.; Zhou, G. Changes in meat quality of ovine longissimus dorsi muscle in response to repeated freeze and thaw. Meat Sci. 2012, 92, 619–626. [Google Scholar] [CrossRef]
- Tan, M.; Lin, Z.; Zu, Y.; Zhu, B.; Cheng, S. Effect of multiple freeze-thaw cycles on the quality of instant sea cucumber: Emphatically on water status of by IF-NMR and MRI. Food Res. Int. 2018, 109, 65–71. [Google Scholar] [CrossRef]
- Wang, Z.; He, Z.; Zhang, D.; Chen, X.; Li, H. Effect of multiple freeze-thaw cycles on protein and lipid oxidation in rabbit meat. Int. J. Food Sci. Technol. 2020, 56, 3004–3015. [Google Scholar] [CrossRef]
- Modzelewska-Kapitula, M.; Nogalski, Z.; Kwiatkowska, A. The influence of crossbreeding on collagen solubility and tenderness of infraspinatus and semimembranosus muscles of semi-intensively reared young bulls. Anim. Sci. J. 2016, 87, 1312–1321. [Google Scholar] [CrossRef]
- Zhang, M.; He, L.; Li, C.; Yang, F.; Zhao, S.; Liang, Y.; Jin, G. Effects of gamma ray irradiation-induced protein hydrolysis and oxidation on tenderness change of fresh pork during storage. Meat Sci. 2020, 163, 108058. [Google Scholar] [CrossRef]
- Xia, X.; Kong, B.; Qian, L.; Jing, L. Physicochemical change and protein oxidation in porcine longissimus dorsi as influenced by different freeze-thaw cycles. Meat Sci. 2009, 83, 239–245. [Google Scholar] [CrossRef]
- Chang, H.J.; Xu, X.L.; Zhou, G.H.; Li, C.B.; Huang, M. Effects of characteristics changes of collagen on meat physicochemical properties of beef semitendinosus muscle during ultrasonic processing. Food Bioprocess Technol. 2012, 5, 285–297. [Google Scholar] [CrossRef]
- Bi, C.; Li, X.; Xin, Q.; Han, W.; Shi, C.; Guo, R.; Shi, W.; Qiao, R.; Wang, X.; Zhong, J. Effect of extraction methods on the preparation of electrospun/electrosprayed microstructures of tilapia skin collagen. J. Biosci. Bioeng. 2019, 128, 234–240. [Google Scholar] [CrossRef] [PubMed]
- Sazonova, S.; Grube, M.; Shvirksts, K.; Galoburda, R.; Gramatina, I. FTIR spectroscopy studies of high pressure-induced changes in pork macromolecular structure. J. Mol. Struct. 2019, 1186, 377–383. [Google Scholar] [CrossRef]
- Jia, G.L.; Nirasawa, S.; Ji, X.H.; Luo, Y.K.; Liu, H.J. Physicochemical changes in myofibrillar proteins extracted from pork tenderloin thawed by a high-voltage electrostatic field. Food Chem. 2018, 240, 910–916. [Google Scholar] [CrossRef] [PubMed]
- Du, X.; Li, H.; Dong, C.; Ren, Y.; Xia, X. Effect of ice structuring protein on the microstructure and myofibrillar protein structure of mirror carp (cyprinus carpio l.) induced by freeze-thaw processes. LWT Food Sci. Technol. 2020, 139, 110570. [Google Scholar] [CrossRef]
- Kaushik, P.; Dowling, K.; Mcknight, S.; Barrow, C.J.; Wang, B.; Adhikari, B. Preparation, characterization and functional properties of flax seed protein isolate. Food Chem. 2016, 197, 212–220. [Google Scholar] [CrossRef]
- Campo-Deaño, L.; Tovar, C.A.; Borderías, J.; Fernández-Martín, F. Gelation process in two different squid (Dosidicus gigas) surimis throughout frozen storage as affected by several cryoprotectants: Thermal, mechanical and dynamic rheological properties. J. Food Eng. 2011, 107, 107–116. [Google Scholar] [CrossRef]
- Sun, Q.X.; Chen, Q.; Xia, X.F.; Kong, B.H.; Diao, X.P. Effects of ultrasoundassisted freezing at different power levels on the structure and thermal stability of common carp (Cyprinus carpio) proteins. Ultrason. Sonochem. 2019, 54, 311–320. [Google Scholar] [CrossRef]
- Pan, N.; Hu, Y.; Li, Y.; Ren, Y.; Kong, B.; Xia, X. Changes in the thermal stability and structure of myofibrillar protein from quick-frozen pork patties with different fat addition under freeze-thaw cycles. Meat Sci. 2021, 175, 108420. [Google Scholar] [CrossRef]
- Jamdar, S.N.; Rajalakshmi, V.; Pednekar, M.D.; Juan, F.; Yardi, V.; Sharma, A. Influence of degree of hydrolysis on functional properties, antioxidant activity and ACE inhibitory activity of peanut protein hydrolysate. Food Chem. 2010, 121, 178–184. [Google Scholar] [CrossRef]
- Zhang, Q.T.; Tu, Z.C.; Xiao, H.; Wang, H.; Huang, X.Q.; Liu, G.X.; Liu, C.M.; Shi, Y.; Fan, L.L.; Lin, D.R. Influence of ultrasonic treatment on the structure and emulsifying properties of peanut protein isolate. Food Bioprod. Process. 2014, 92, 30–37. [Google Scholar] [CrossRef]
- Feng, H.; Jin, H.; Gao, Y.; Yan, S.; Zhang, Y.; Zhao, Q.; Xu, J. Effects of freeze-thaw cycles on the structure and emulsifying properties of peanut protein isolates. Food Chem. 2020, 330, 127215. [Google Scholar] [CrossRef] [PubMed]
- Duan, X.; Li, J.; Zhang, Q.; Zhao, T.; Li, M.; Xu, X.; Liu, X. Effect of a multiple freeze-thaw process on structural and foaming properties of individual egg white proteins. Food Chem. 2017, 228, 243–248. [Google Scholar] [CrossRef] [PubMed]
- Mohan, M.; Ramachandran, D.; Sankar, T.V.; Anandan, R. Physicochemical characterization of muscle proteins from different regions of mackerel (Rastrelliger kanagurta). Food Chem. 2008, 106, 451–457. [Google Scholar] [CrossRef]








| Live or Carcass Traits | |
|---|---|
| Live weight | 450 ± 50 kg |
| Average age | 3 yr |
| Carcass weight | 283.0 ± 64.0 kg |
| Subcutaneous fat thickness | 14.0 ± 8.0 mm |
| Slaughter rate | 54.0 ± 4.0% |
| Eye muscle area | 62 ± 13 cm2 |
Publisher’s Note: MDPI stays neutral with regard to jurisdictional claims in published maps and institutional affiliations. |
© 2022 by the authors. Licensee MDPI, Basel, Switzerland. This article is an open access article distributed under the terms and conditions of the Creative Commons Attribution (CC BY) license (https://creativecommons.org/licenses/by/4.0/).
Share and Cite
Cao, Y.; Song, Z.; Han, L.; Yu, Q.; Kong, X.; Li, S. Changes in Quality and Collagen Properties of Cattle Rumen Smooth Muscle Subjected to Repeated Freeze—Thaw Cycles. Foods 2022, 11, 3338. https://doi.org/10.3390/foods11213338
Cao Y, Song Z, Han L, Yu Q, Kong X, Li S. Changes in Quality and Collagen Properties of Cattle Rumen Smooth Muscle Subjected to Repeated Freeze—Thaw Cycles. Foods. 2022; 11(21):3338. https://doi.org/10.3390/foods11213338
Chicago/Turabian StyleCao, Yinjuan, Zhaoyang Song, Ling Han, Qunli Yu, Xiangying Kong, and Shibao Li. 2022. "Changes in Quality and Collagen Properties of Cattle Rumen Smooth Muscle Subjected to Repeated Freeze—Thaw Cycles" Foods 11, no. 21: 3338. https://doi.org/10.3390/foods11213338
APA StyleCao, Y., Song, Z., Han, L., Yu, Q., Kong, X., & Li, S. (2022). Changes in Quality and Collagen Properties of Cattle Rumen Smooth Muscle Subjected to Repeated Freeze—Thaw Cycles. Foods, 11(21), 3338. https://doi.org/10.3390/foods11213338

