Enzymatic Hydrolysis and Fermentation of Pea Protein Isolate and Its Effects on Antigenic Proteins, Functional Properties, and Sensory Profile
Abstract
1. Introduction
2. Materials and Methods
2.1. Materials
2.2. Production of Pea Protein Isolate
2.3. Pea Protein Isolate Modification
2.3.1. Fermentation
Growth and Culture Conditions
Determination of Viable Cell Counts for Inoculum and after Fermentation
Fermentation of PPI Dispersions
2.3.2. Enzymatic Hydrolysis
2.4. Chemical Composition
2.5. Determination of Protein Degradation
2.5.1. Molecular Weight Distribution
2.5.2. Degree of Hydrolysis
- Serine-NH2 = meqv serine-NH2/g protein;
- Abssample = sample absorbance value;
- Absblank = blank absorbance value;
- Absstandard = standard absorbance value;
- Vsample = volume of sample solution (L);
- msample = weight of sample (g);
- PCsample = protein content of sample (%);
- Serine-NH2 = meqv serine-NH2/g protein;
- h = number of hydrolyzed peptide bonds;
- β = slope of calibration through linear regression;
- α = degree of dissociation of the α-amino group;
- DH = degree of hydrolysis (%)
- h = number of hydrolyzed peptide bonds;
- htot = total number of peptide bonds per protein equivalent.
2.5.3. Gel Filtration Chromatography
2.5.4. Generation of Polyclonal Rabbit Sera
2.5.5. Immunogenicity Measured by Enzyme-Linked Immunosorbent Assay (ELISA)
2.6. Functional Properties
2.6.1. Protein Solubility
2.6.2. Emulsifying Capacity
- EC = emulsifying capacity (mL/g);
- Voil = volume of oil used until phase inversion (mL);
- msample = weight of sample (g).
2.6.3. Foaming Properties
- FC = foaming capacity (%);
- V1 = volume of sample solution before whipping (mL);
- V2 = volume of foam after whipping (mL).
2.7. Sensory Analysis
2.7.1. Sample Preparation
2.7.2. Sample Evaluation
2.8. Statistical Analysis
3. Results and Discussion
3.1. Microbial Growth
3.2. Chemical Composition
3.3. Proteolysis of PPI
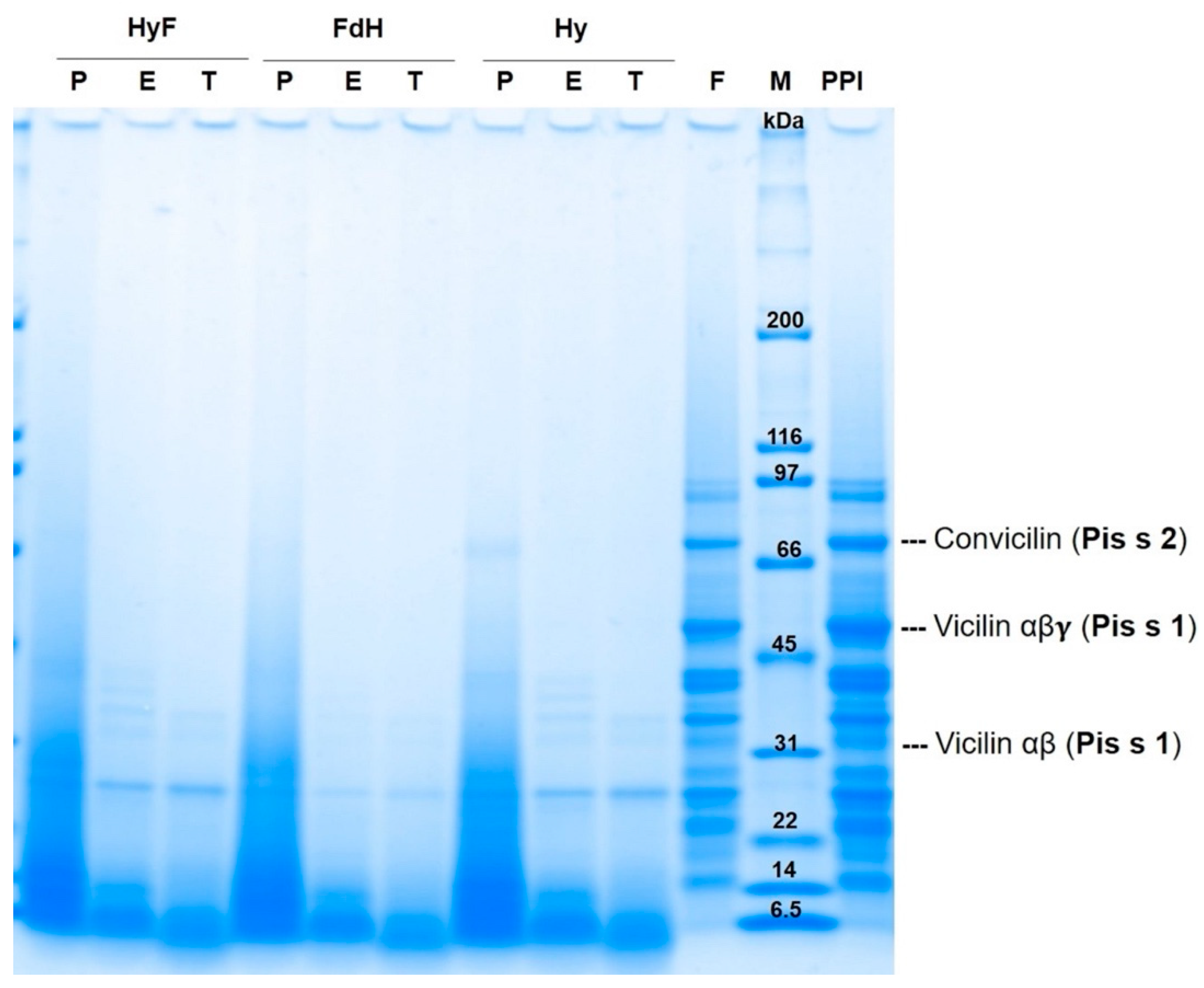
3.3.1. Effect of Combined Methods on Pea Protein Allergens
3.3.2. Effect of Combined Methods on the Degree of Hydrolysis
3.4. Reaction of Polyclonal Antibodies with PPI
3.5. Functional Properties
3.5.1. Protein Solubility
3.5.2. Emulsifying Capacity
3.5.3. Foaming Capacity
3.6. Sensory Analysis
4. Conclusions
Author Contributions
Funding
Acknowledgments
Conflicts of Interest
References
- Stagnari, F.; Maggio, A.; Galieni, A.; Pisante, M. Multiple benefits of legumes for agriculture sustainability: An overview. Chem. Biol. Technol. Agric. 2017, 4, 2. [Google Scholar] [CrossRef]
- Powers, S.E.; Thavarajah, D. Checking Agriculture’s Pulse: Field Pea (Pisum Sativum L.), Sustainability, and Phosphorus Use Efficiency. Front. Plant Sci. 2019, 10, 1489. [Google Scholar] [CrossRef]
- Osborne, T.B. The vegetable proteins. Monographs on Biochemistry. J. Soc. Chem. Ind. 1924, 43, 440. [Google Scholar]
- Sanchez-Monge, R.; Lopez-Torrejon, G.; Pascual, C.Y.; Varela, J.; Martin-Esteban, M.; Salcedo, G. Vicilin and convicilin are potential major allergens from pea. Clin. Exp. Allergy 2004, 34, 1747–1753. [Google Scholar] [CrossRef] [PubMed]
- Birmingham, N.; Thanesvorakul, S.; Gangur, V. Relative Immunogenicity of Commonly Allergenic Foods versus Rarely Allergenic and Nonallergenic Foods in Mice. J. Food Prot. 2002, 65, 1988–1991. [Google Scholar] [CrossRef]
- Zhang, J.; Tao, A. Antigenicity, Immunogenicity, Allergenicity. In Allergy Bioinformatics; Tao, A., Raz, E., Eds.; Springer: Dordrecht, The Netherlands, 2015; pp. 175–186. [Google Scholar]
- Lima-Cabello, E.; Robles-Bolivar, P.; Alché, J.D.; Jimenez-Lopez, J.C. Narrow Leafed Lupin Beta-Conglutin Proteins Epitopes Identification and Molecular Features Analysis Involved in Cross-Allergenicity to Peanut and Other Legumes. Genom. Comput. Biol. 2016, 2, 29. [Google Scholar] [CrossRef]
- Dreyer, L.; Astier, C.; Dano, D.; Hosotte, M.; Jarlot-Chevaux, S.; Sergeant, P.; Kanny, G. Consommation croissante d’aliments contenant du pois jaune: Un risque d’allergie? Rev. Fr. D’allergol. 2014, 54, 20–26. [Google Scholar] [CrossRef]
- Wensing, M.; Knulst, A.C.; Piersma, S.; O’Kane, F.; Knol, E.F.; Koppelman, S.J. Patients with anaphylaxis to pea can have peanut allergy caused by cross-reactive IgE to vicilin (Ara h 1). J. Allergy Clin. Immunol. 2003, 111, 420–424. [Google Scholar] [CrossRef]
- Dong, X.; Wang, J.; Raghavan, V. Critical reviews and recent advances of novel non-thermal processing techniques on the modification of food allergens. Crit. Rev. Food Sci. Nutr. 2021, 61, 196–210. [Google Scholar] [CrossRef]
- Kasera, R.; Singh, A.; Lavasa, S.; Prasad, K.N.; Arora, N. Enzymatic hydrolysis: A method in alleviating legume allergenicity. Food Chem. Toxicol. 2015, 76, 54–60. [Google Scholar] [CrossRef]
- Aluko, R.E. Determination of Nutritional and Bioactive Properties of Peptides in Enzymatic Pea, Chickpea, and Mung Bean Protein Hydrolysates. J. AOAC Int. 2008, 91, 947–956. [Google Scholar] [CrossRef]
- Meinlschmidt, P.; Sussmann, D.; Schweiggert-Weisz, U.; Eisner, P. Enzymatic treatment of soy protein isolates: Effects on the potential allergenicity, technofunctionality, and sensory properties. Food Sci. Nutr. 2016, 4, 11–23. [Google Scholar] [CrossRef]
- Frączek, R.; Kostyra, E.; Krawczuk, S.; Kostyra, H. Immunoreactive properties of pea protein extract and its trypsin hydrolysates. J. Anim. Feed. Sci. 2007, 16, 472–484. [Google Scholar] [CrossRef]
- Szymkiewicz, A.; Jędrychowski, L. Effect of acylation and enzymatic modification on pea proteins allergenicity. Pol. J. Food Nutr. Sci. 2008, 58, 345–350. [Google Scholar]
- Lidzba, N.; Arteaga, V.G.; Schiermeyer, A.; Havenith, H.; Muranyi, I.; Schillberg, S.; Lehmann, J.; Ueberham, E. Development of Monoclonal Antibodies against Pea Globulins for Multiplex Assays Targeting Legume Proteins. J. Agric. Food Chem. 2021, 69, 2864–2874. [Google Scholar] [CrossRef] [PubMed]
- Klost, M.; Drusch, S. Functionalisation of pea protein by tryptic hydrolysis—Characterisation of interfacial and functional properties. Food Hydrocoll. 2019, 86, 134–140. [Google Scholar] [CrossRef]
- Arteaga, V.G.; Guardia, M.A.; Muranyi, I.; Eisner, P.; Schweiggert-Weisz, U. Effect of enzymatic hydrolysis on molecular weight distribution, techno-functional properties and sensory perception of pea protein isolates. Innov. Food Sci. Emerg. Technol. 2020, 65, 102449. [Google Scholar] [CrossRef]
- Schlegel, K.; Sontheimer, K.; Hickisch, A.; Wani, A.A.; Eisner, P.; Schweiggert-Weisz, U. Enzymatic hydrolysis of lupin protein isolates—Changes in the molecular weight distribution, technofunctional characteristics, and sensory attributes. Food Sci. Nutr. 2019, 7, 2747–2759. [Google Scholar] [CrossRef]
- Adler-Nissen, J.; Olsen, H.S. The Influence of Peptide Chain Length on Taste and Functional Properties of Enzymatically Modified Soy Protein. In Functionality and Protein Structure; American Chemical Society (ACS): Washington, DC, USA, 1979; pp. 125–146. [Google Scholar]
- Schlegel, K.; Leidigkeit, A.; Eisner, P.; Schweiggert-Weisz, U. Technofunctional and Sensory Properties of Fermented Lupin Protein Isolates. Foods 2019, 8, 678. [Google Scholar] [CrossRef]
- Meinlschmidt, P.; Schweiggert-Weisz, U.; Eisner, P. Soy protein hydrolysates fermentation: Effect of debittering and degradation of major soy allergens. LWT 2016, 71, 202–212. [Google Scholar] [CrossRef]
- El Abboudi, M.; El Soda, M.; Pandian, S.; Barreau, M.; Trépanier, G.; Simard, R.E. Peptidase activities in debittering and nondebittering strains of lactobacilli. Int. Dairy J. 1992, 2, 55–64. [Google Scholar] [CrossRef]
- Tchorbanov, B.; Marinova, M.; Grozeva, L. Debittering of Protein Hydrolysates by Lactobacillus LBL-4 Aminopeptidase. Enzym. Res. 2011, 2011, 538676. [Google Scholar] [CrossRef] [PubMed]
- Song, P.; Cheng, L.; Tian, K.; Zhang, M.; Singh, S.; Niu, D.; Prior, B.; Mchunu, N.P.; Wang, Z.-X. A novel aminopeptidase with potential debittering properties in casein and soybean protein hydrolysates. Food Sci. Biotechnol. 2020, 29, 1491–1499. [Google Scholar] [CrossRef]
- Schindler, S.; Zelena, K.; Krings, U.; Bez, J.; Eisner, P.; Berger, R.G. Improvement of the Aroma of Pea (Pisum sativum) Protein Extracts by Lactic Acid Fermentation. Food Biotechnol. 2012, 26, 58–74. [Google Scholar] [CrossRef]
- Ben-Harb, S.; Saint-Eve, A.; Panouillé, M.; Souchon, I.; Bonnarme, P.; Dugat-Bony, E.; Irlinger, F. Design of microbial consortia for the fermentation of pea-protein-enriched emulsions. Int. J. Food Microbiol. 2019, 293, 124–136. [Google Scholar] [CrossRef]
- El Youssef, C.; Bonnarme, P.; Fraud, S.; Péron, A.-C.; Helinck, S.; Landaud, S. Sensory Improvement of a Pea Protein-Based Product Using Microbial Co-Cultures of Lactic Acid Bacteria and Yeasts. Foods 2020, 9, 349. [Google Scholar] [CrossRef]
- Sadowska, J.; Fornal, J.; Vidal-Valverde, C.; Frias, J. Natural fermentation of lentils. Functional properties and potential in breadmaking of fermented lentil flour. Food/Nahrung 1999, 43, 396–401. [Google Scholar] [CrossRef]
- Lampart-Szczapa, E.; Konieczny, P.; Nogala-Kalucka, M.; Walczak, S.; Kossowska, I.; Malinowska, M. Some functional properties of lupin proteins modified by lactic fermentation and extrusion. Food Chem. 2006, 96, 290–296. [Google Scholar] [CrossRef]
- Çabuk, B.; Stone, A.K.; Korber, D.R.; Tanaka, T.; Nickerson, M.T. Effect of Lactobacillus plantarum Fermentation on the Surface and Functional Properties of Pea Protein-Enriched Flour. Food Technol. Biotechnol. 2018, 56, 411–420. [Google Scholar] [CrossRef]
- Kumitch, H.M.; Stone, A.K.; Nickerson, M.T.; Korber, D.R.; Tanaka, T. Effect of fermentation time on the physicochemical and functional properties of pea protein-enriched flour fermented by Aspergillus oryzae and Aspergillus niger. Cereal Chem. J. 2020, 97, 416–428. [Google Scholar] [CrossRef]
- Arteaga, V.G.; Leffler, S.; Muranyi, I.; Eisner, P.; Schweiggert-Weisz, U. Sensory profile, functional properties and molecular weight distribution of fermented pea protein isolate. Curr. Res. Food Sci. 2021, 4, 1–10. [Google Scholar] [CrossRef] [PubMed]
- Barkholt, V.; Jørgensen, P.B.; Sørensen, D.; Bahrenscheer, J.; Haikara, A.; Lemola, E.; Laitila, A.; Frøkiaer, H. Protein modification by fermentation: Effect of fermentation on the potential allergenicity of pea. Allergy 1998, 53, 106–108. [Google Scholar] [CrossRef]
- Schlegel, K.; Lidzba, N.; Ueberham, E.; Eisner, P.; Schweiggert-Weisz, U. Fermentation of Lupin Protein Hydrolysates—Effects on Their Functional Properties, Sensory Profile and the Allergenic Potential of the Major Lupin Allergen Lup an 1. Foods 2021, 10, 281. [Google Scholar] [CrossRef] [PubMed]
- Yang, H.; Qu, Y.; Li, J.; Liu, X.; Wu, R.; Wu, J. Improvement of the protein quality and degradation of allergens in soybean meal by combination fermentation and enzymatic hydrolysis. LWT 2020, 128, 109442. [Google Scholar] [CrossRef]
- AOAC. Method 923.03. Ash of flour. In Official Methods of Analysis of the Association of Official Analytical Chemists (AOAC); Horwitz, W.A., Ed.; AOAC International: Gaithersburg, MD, USA, 2003. [Google Scholar]
- AOAC. Method 968.06. Protein (crude) in animal feed. In Official Methods of Analysis of the Association of Official Analytical Chemists (AOAC); Horwitz, W.A., Ed.; AOAC International: Gaithersburg, MD, USA, 2003. [Google Scholar]
- Laemmli, U.K. Cleavage of structural proteins during assembly of head of bacteriophage-T4. Nature 1970, 227, 680–685. [Google Scholar] [CrossRef] [PubMed]
- Nielsen, P.M.; Petersen, D.; Dambmann, C. Improved Method for Determining Food Protein Degree of Hydrolysis. J. Food Sci. 2001, 66, 642–646. [Google Scholar] [CrossRef]
- Morr, C.V.; German, B.; Kinsella, J.E.; Regenstein, J.M.; Van Buren, J.P.; Kilara, A.; Lewis, B.A.; Mangino, M.E. A collaborative study to develop a standarized food protein solubility procedure. J. Food Sci. 1985, 50, 1715–1718. [Google Scholar] [CrossRef]
- AACC Approved Methods of Analysis. Method 46-15.01. Crude Protein—5-Minute Biuret Method for Wheat and Other Grains. In American Association of Cereal Chemists; Cereals & Grains Association: Eagan, MN, USA, 2000. [Google Scholar]
- Wang, C.; Johnson, L.A. Functional properties of hydrothermally cooked soy protein products. J. Am. Oil Chem. Soc. 2001, 78, 189–195. [Google Scholar] [CrossRef]
- Phillips, L.G.; Haque, Z.; Kinsella, J.E. A Method for the Measurement of Foam Formation and Stability. J. Food Sci. 1987, 52, 1074–1077. [Google Scholar] [CrossRef]
- García Arteaga, V.; Demand, V.; Kern, K.; Strube, A.; Szardenings, M.; Muranyi, I.; Eisner, P.; Schweiggert-Weisz, U. Enzymatic Hydrolysis and Fermentation of Pea Protein Isolate and Its Effects on Potential Allergens, Functional Properties and Sensory Profile. Mendeley Data 2021, V2. [Google Scholar] [CrossRef]
- Corsetti, A.; Valmorri, S. Lactic Acid Bacteria|Lactobacillus spp.: Lactobacillus plantarum. In Encyclopedia of Dairy Sciences, 2nd ed.; Fuquay, J.W., Ed.; Elsevier BV: Amsterdam, The Netherlands, 2011; pp. 111–118. [Google Scholar]
- Kleerebezem, M.; Boekhorst, J.; van Kranenburg, R.; Molenaar, D.; Kuipers, O.P.; Leer, R.; Tarchini, R.; Peters, S.A.; Sandbrink, H.M.; Fiers, M.W.; et al. Complete genome sequence of Lactobacillus plantarum WCFS1. Proc. Natl. Acad. Sci. USA 2003, 100, 1990–1995. [Google Scholar] [CrossRef]
- Popp, J.; Trendelenburg, V.; Niggemann, B.; Randow, S.; Völker, E.; Vogel, L.; Reuter, A.; Spiric, J.; Schiller, D.; Beyer, K.; et al. Pea (Pisum sativum) allergy in children: Pis s 1 is an immunodominant major pea allergen and presents IgE binding sites with potential diagnostic value. Clin. Exp. Allergy 2020, 50, 625–635. [Google Scholar] [CrossRef]
- Bourgeois, M.; Jacquin, F.; Savois, V.; Sommerer, N.; Labas, V.; Henry, C.; Burstin, J. Dissecting the proteome of pea mature seeds reveals the phenotypic plasticity of seed protein composition. Proteomics 2009, 9, 254–271. [Google Scholar] [CrossRef] [PubMed]
- Vajda, T.; Szabó, T. Specificity of trypsin and alpha-chymotrypsin towards neutral substrates. Acta Biochim. Biophys. Acad. Sci. Hung. 1976, 11, 287–294. [Google Scholar]
- Georgieva, D.N.; Stoeva, S.; Voelter, W.; Genov, N.; Betzel, C. Substrate Specificity of the Highly Alkalophilic Bacterial Proteinase Esperase: Relation to the X-ray Structure. Curr. Microbiol. 2001, 42, 368–371. [Google Scholar] [CrossRef]
- Drenth, J.; Jansonius, J.N.; Koekoek, R.; Wolthers, B.G. The Structure of Papain. In Advances in Protein Chemistry; Anfinsen, C.B., Edsall, J.T., Richards, F.M., Eds.; Academic Press: Cambridge, MA, USA, 1971; pp. 79–115. [Google Scholar]
- Chen, R.F.; Scott, C.; Trepman, E. Fluorescence properties of o-phthaldialdehyde derivatives of amino acids. Biochim. Biophys. Acta Protein Struct. 1979, 576, 440–455. [Google Scholar] [CrossRef]
- Tavano, O. Protein hydrolysis using proteases: An important tool for food biotechnology. J. Mol. Catal. B Enzym. 2013, 90, 1–11. [Google Scholar] [CrossRef]
- Klost, M.; Brzeski, C.; Drusch, S. Effect of protein aggregation on rheological properties of pea protein gels. Food Hydrocoll. 2020, 108, 106036. [Google Scholar] [CrossRef]
- Daeschel, M.A.; McGuire, J. Interrelationships between protein surface adsorption and bacterial adhesion. Biotechnol. Genet. Eng. Rev. 1998, 15, 413–438. [Google Scholar] [CrossRef] [PubMed][Green Version]
- Shevkani, K.; Singh, N.; Kaur, A.; Rana, J.C. Structural and functional characterization of kidney bean and field pea protein isolates: A comparative study. Food Hydrocoll. 2015, 43, 679–689. [Google Scholar] [CrossRef]
- Barac, M.; Cabrilo, S.; Pesic, M.; Stanojevic, S.; Zilic, S.; Macej, O.; Ristic, N. Profile and Functional Properties of Seed Proteins from Six Pea (Pisum sativum) Genotypes. Int. J. Mol. Sci. 2010, 11, 4973–4990. [Google Scholar] [CrossRef] [PubMed]
- Dagorn-Scaviner, C.; Gueguen, J.; Lefebvre, J. Emulsifying Properties of Pea Globulins as Related to Their Adsorption Behaviors. J. Food Sci. 1987, 52, 335–341. [Google Scholar] [CrossRef]
- McClements, D.J.; Bai, L.; Chung, C. Recent Advances in the Utilization of Natural Emulsifiers to Form and Stabilize Emulsions. Annu. Rev. Food Sci. Technol. 2017, 8, 205–236. [Google Scholar] [CrossRef] [PubMed]
- Zayas, J.F. Foaming Properties of Proteins. In Functionality of Proteins in Food; Springer: Berlin/Heidelberg, Germany, 1997; pp. 260–309. [Google Scholar]
- Denkov, N.D.; Marinova, K.G. Antifoam Effects of Solid Particles, Oil Drops and Oil—Solid Compounds in Aqueous Foams. In Colloidal Particles at Liquid Interfaces; Cambridge University Press: Cambridge, UK, 2006. [Google Scholar]





| Enzyme/Microorganism | Amount | Temp. (°C) | pH Value (-) | Activity | Origin |
|---|---|---|---|---|---|
| Papain | 0.1% E/S | 65 | 7 | Cysteine Endoprotease | Papaya latex |
| Esperase® 8.0 L | 0.5% E/S | 65 | 8 | Serine Endoprotease | Bacillus sp. |
| Trypsin | 0.1% E/S | 50 | 8 | Serine Endoprotease | Bovine pancreas |
| Lactobacillus plantarum | 7 Log CFU/mL | 30 | 6.5 | Anaerobe | Pickled cabbage |
| Sample Code | Treatment 1 | Treatment 2 |
|---|---|---|
| Untreated PPI | - | - |
| Fermented PPI | L. plantarum | - |
| P_Hy | Papain | - |
| P_HyF | Papain | L. plantarum |
| P_FdH | L. plantarum | Papain |
| E_Hy | Esperase® | - |
| E_HyF | Esperase® | L. plantarum |
| E_FdH | L. plantarum | Esperase® |
| T_Hy | Trypsin | - |
| T_HyF | Trypsin | L. plantarum |
| T_FdH | L. plantarum | Trypsin |
| Log CFU/mL | ||
|---|---|---|
| 0 h | 24 h | |
| Fermented PPI | 7.40 ± 0.10 a | 8.89 ± 0.09 b* |
| P_HyF | 7.41 ± 0.03 a | 9.53 ± 0.45 b |
| E_HyF | 7.37 ± 0.15 a | 9.30 ± 0.01 b |
| T_HyF | 7.39 ± 0.01 a | 9.17 ± 0.03 b |
| Samples | Dry Matter (%) | Protein Content (%) * | Ash Content (%) * |
|---|---|---|---|
| Untreated PPI | 96.6 ± 0.3 a | 84.7 ± 0.1 a | 5.2 ± 0.5 a |
| Fermented PPI | 94.9 ± 0.6 b | 79.5 ± 0.3 b | 6.9 ± 0.1 bde |
| P_Hy | 92.7 ± 0.7 c | 84.9 ± 0.1 a | 5.5 ± 0.1 ac |
| P_HyF | 97.6 ± 0.1 a | 78.3 ± 0.2 c | 7.2 ± 0.5 b |
| P_FdH | 96.7 ± 1.2 a | 78.0 ± 0.2 c | 5.9 ± 0.8 cd |
| E_Hy | 94.8 ± 1.0 b | 82.0 ± 0.8 c | 6.3 ± 0.2 b |
| E_HyF | 97.6 ± 0.2 a | 74.9 ± 0.1 d | 9.3 ± 0.2 c |
| E_FdH | 96.6 ± 0.3 a | 76.4 ± 0.3 e | 8.4 ± 0.5 c |
| T_Hy | 92.5 ± 0.9 c | 83.3 ± 0.1 c | 5.9 ± 0.5 ab |
| T_HyF | 97.9 ± 0.5 a | 75.8 ± 0.3 d | 7.9 ± 1.1 e |
| T_FdH | 96.1 ± 1.9 a | 76.1 ± 0.2 d | 7.8 ± 0.8 e |
| Samples | DH [%] |
|---|---|
| Untreated PPI | 1.88 ± 0.14 a |
| Fermented PPI | 1.32 ± 0.05 b |
| P_Hy | 3.73 ± 0.08 c |
| P_HyF | 5.48 ± 0.16 d |
| P_FdH | 3.92 ± 0.44 c |
| E_Hy | 9.57 ± 0.46 c |
| E_HyF | 10.76 ± 0.15 d |
| E_FdH | 9.98 ± 0.37 c |
| T_Hy | 6.86 ± 0.06 c |
| T_HyF | 9.22 ± 0.20 d |
| T_FdH | 9.26 ± 0.27 d |
| Samples | Protein Solubility [%] | Emulsifying Capacity | Foaming Capacity | |
|---|---|---|---|---|
| pH 4.5 | pH 7.0 | (mL/g) | (%) | |
| Untreated PPI | 6.98 ± 0.47 a | 40.26 ± 0.81 a | 725 ± 8 a | 840 ± 8 a |
| Fermented PPI | 5.72 ± 0.44 a | 10.72 ± 1.67 b | 310 ± 13 b | 807 ± 3 a |
| P_Hy | 31.19 ± 1.24 b | 43.64 ± 1.99 ac | 465 ± 18 c | 1234 ± 56 b |
| P_HyF | 35.87 ± 1.12 c | 42.85 ± 1.38 ac | 398 ± 21 d | 1190 ± 17 b |
| P_FdH | 38.12 ± 1.69 c | 47.37 ± 4.42 c | 383 ± 10 d | 1335 ± 73 c |
| E_Hy | 60.01 ± 1.25 b | 61.52 ± 1.01 c | 391 ± 10 c | 1261 ± 67 b |
| E_HyF | 63.74 ± 1.46 c | 74.95 ± 2.65 d | 300 ± 14 b | 985 ± 33 c |
| E_FdH | 66.55 ± 1.64 d | 67.28 ± 2.76 e | 450 ± 4 d | 1576 ± 22 d |
| T_Hy | 42.95 ± 7.04 b | 50.94 ± 2.19 c | 670 ± 31 c | 1993 ± 53 b |
| T_HyF | 48.89 ± 1.87 bc | 52.55 ± 1.20 c | 664 ± 24 c | 1934 ± 150 b |
| T_FdH | 51.31 ± 0.44 c | 63.08 ± 2.22 d | 705 ± 12 ac | 2575 ± 47 c |
Publisher’s Note: MDPI stays neutral with regard to jurisdictional claims in published maps and institutional affiliations. |
© 2022 by the authors. Licensee MDPI, Basel, Switzerland. This article is an open access article distributed under the terms and conditions of the Creative Commons Attribution (CC BY) license (https://creativecommons.org/licenses/by/4.0/).
Share and Cite
García Arteaga, V.; Demand, V.; Kern, K.; Strube, A.; Szardenings, M.; Muranyi, I.; Eisner, P.; Schweiggert-Weisz, U. Enzymatic Hydrolysis and Fermentation of Pea Protein Isolate and Its Effects on Antigenic Proteins, Functional Properties, and Sensory Profile. Foods 2022, 11, 118. https://doi.org/10.3390/foods11010118
García Arteaga V, Demand V, Kern K, Strube A, Szardenings M, Muranyi I, Eisner P, Schweiggert-Weisz U. Enzymatic Hydrolysis and Fermentation of Pea Protein Isolate and Its Effects on Antigenic Proteins, Functional Properties, and Sensory Profile. Foods. 2022; 11(1):118. https://doi.org/10.3390/foods11010118
Chicago/Turabian StyleGarcía Arteaga, Verónica, Victoria Demand, Karolin Kern, Andrea Strube, Michael Szardenings, Isabel Muranyi, Peter Eisner, and Ute Schweiggert-Weisz. 2022. "Enzymatic Hydrolysis and Fermentation of Pea Protein Isolate and Its Effects on Antigenic Proteins, Functional Properties, and Sensory Profile" Foods 11, no. 1: 118. https://doi.org/10.3390/foods11010118
APA StyleGarcía Arteaga, V., Demand, V., Kern, K., Strube, A., Szardenings, M., Muranyi, I., Eisner, P., & Schweiggert-Weisz, U. (2022). Enzymatic Hydrolysis and Fermentation of Pea Protein Isolate and Its Effects on Antigenic Proteins, Functional Properties, and Sensory Profile. Foods, 11(1), 118. https://doi.org/10.3390/foods11010118

