Combination Therapy for Reconstructive Periodontal Treatment in the Lower Anterior Area: Clinical Evaluation of a Case Series
Abstract
1. Introduction
2. Soft Tissue Considerations
3. Combination Therapies
4. Free Connective Tissue Grafts in Periodontal Regenerative Procedures
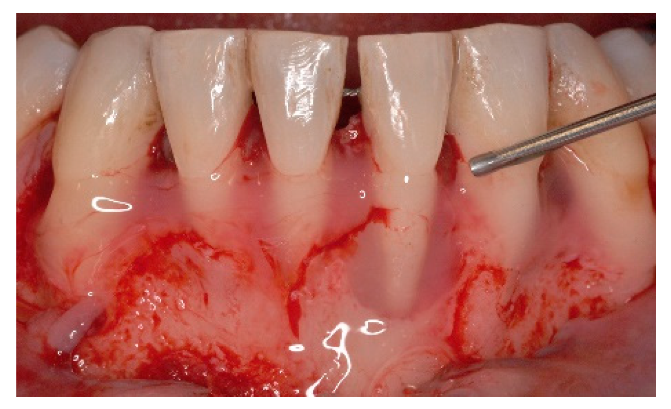
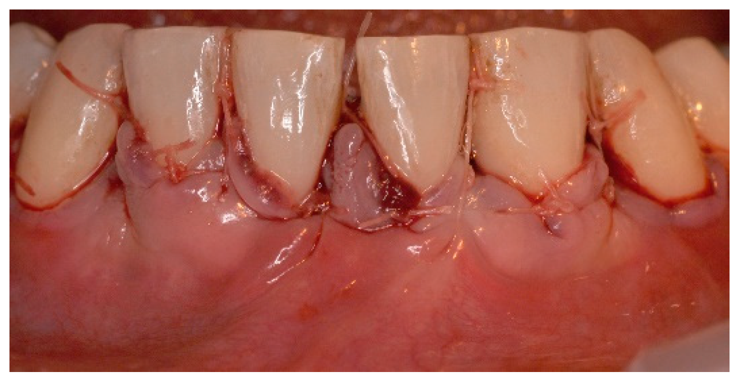
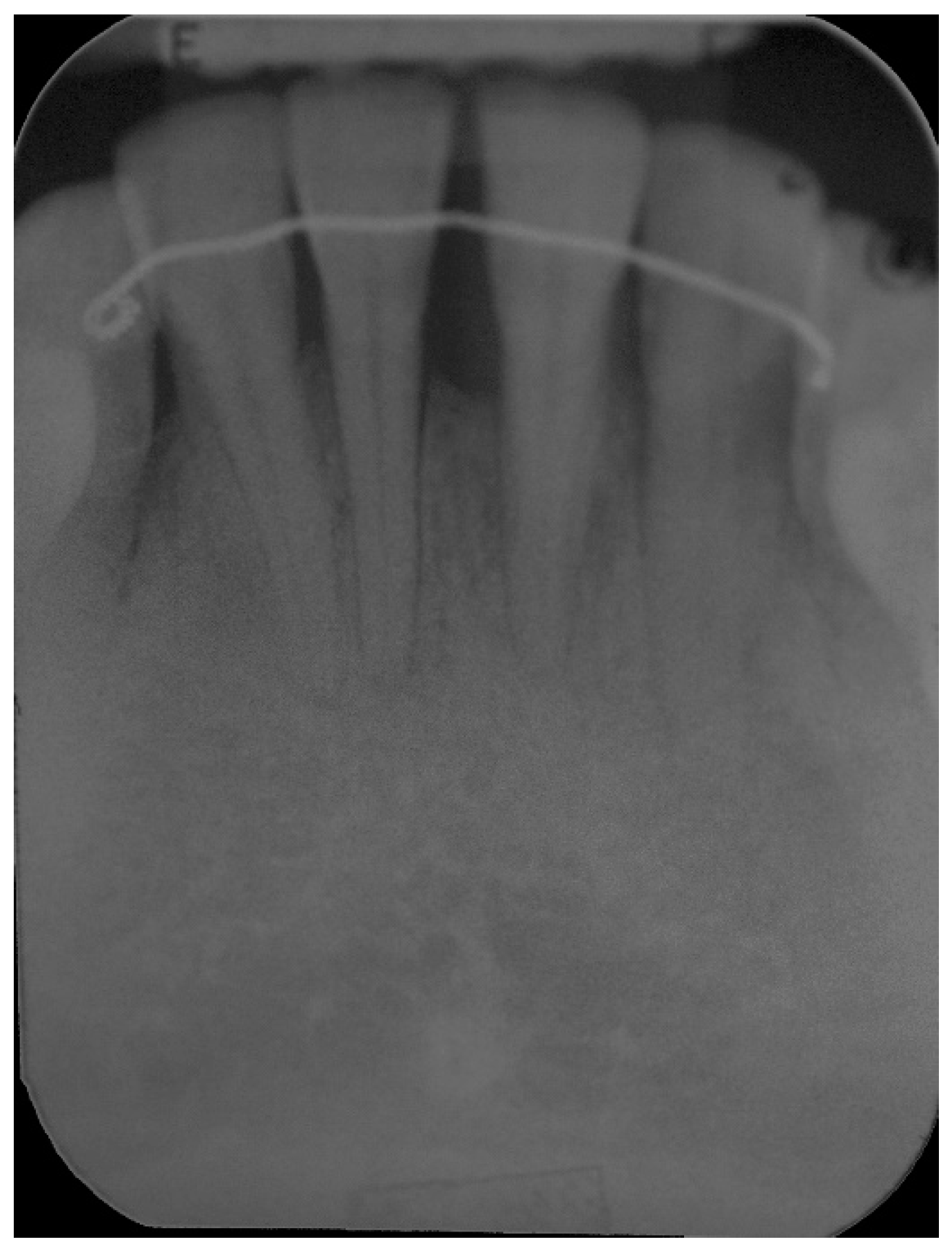
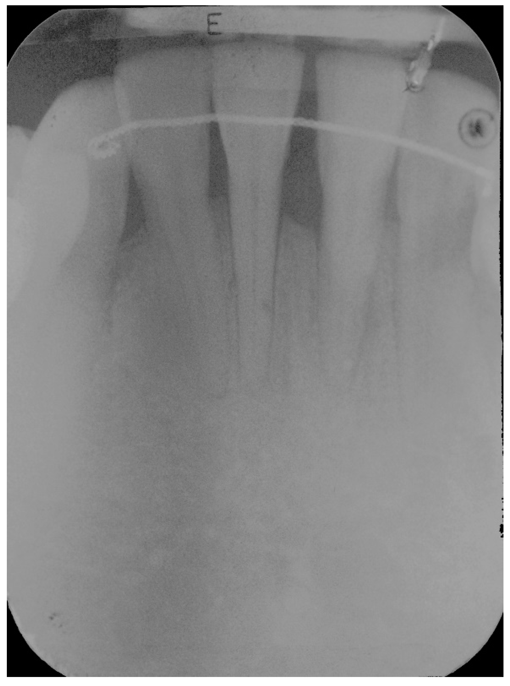
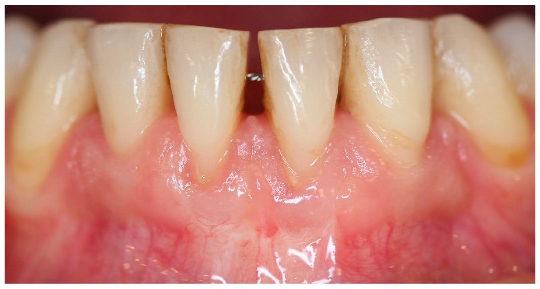
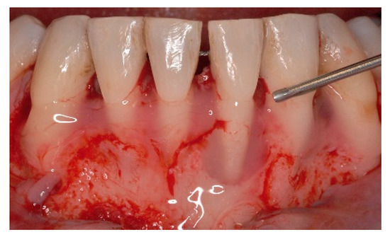
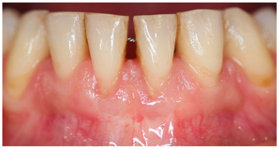
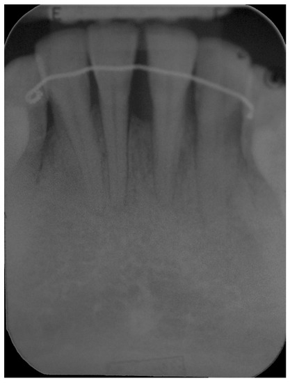
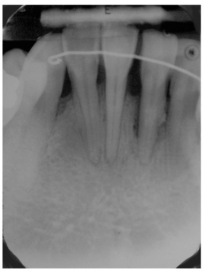
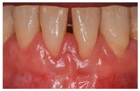
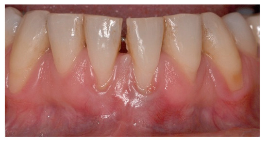
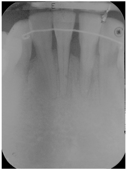
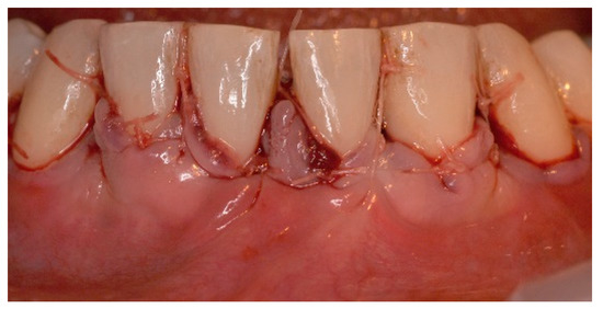
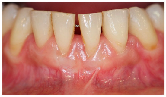
5. Materials and Methods
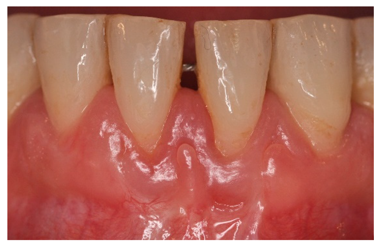
6. Results
7. Discussion
8. Conclusions
Author Contributions
Funding
Conflicts of Interest
References
- Cortellini, P.; Buti, J.; Pini Prato, G.; Tonetti, M.S. Periodontal regeneration compared with access flap surgery in human intra-bony defects 20-year follow-up of a randomized clinical trial: Tooth retention, periodontitis recurrence and costs. J. Clin. Periodontol. 2017, 44, 58–66. [Google Scholar] [CrossRef] [PubMed]
- Rasperini, G.; Siciliano, V.I.; Cafiero, C.; Salvi, G.E.; Blasi, A.; Aglietta, M. Crestal bone changes at teeth and implants in periodontally healthy and periodontally compromised patients. A 10-year comparative case-series study. J. Periodontol. 2014, 85, e152–e159. [Google Scholar] [CrossRef] [PubMed]
- Isola, G.; Matarese, G.; Williams, R.C.; Siciliano, V.I.; Alibrandi, A.; Cordasco, G.; Ramaglia, L. The effects of a desiccant agent in the treatment of chronic periodontitis: A randomized, controlled clinical trial. Clin. Oral Investig. 2018, 22, 791–800. [Google Scholar] [CrossRef] [PubMed]
- Tabenski, L.; Moder, D.; Cieplik, F.; Schenke, F.; Hiller, K.A.; Buchalla, W.; Schmalz, G.; Christgau, M. Antimicrobial photodynamic therapy vs. local minocycline in addition to non-surgical therapy of deep periodontal pockets: A controlled randomized clinical trial. Clin. Oral Investig. 2017, 21, 2253–2264. [Google Scholar] [CrossRef] [PubMed]
- Matarese, G.; Ramaglia, L.; Cicciù, M.; Cordasco, G.; Isola, G. The Effects of Diode Laser Therapy as an Adjunct to Scaling and Root Planing in the Treatment of Aggressive Periodontitis: A 1-Year Randomized Controlled Clinical Trial. Photomed. Laser Surg. 2017, 35, 702–709. [Google Scholar] [CrossRef] [PubMed]
- Esposito, M.; Coulthard, P.; Thomsen, P.; Worthington, H.V. Enamel matrix derivative for periodontal tissue regeneration in treatment of intrabony defects: A cochrane systematic review. J. Dent. Educ. 2004, 68, 834–844. [Google Scholar] [PubMed]
- Sanz, M.; Tonetti, M.S.; Zabalegui, I.; Sicilia, A.; Blanco, J.; Rebelo, H.; Rasperini, G.; Merli, M.; Cortellini, P.; Suvan, J.E. Treatment of intrabony defects with enamel matrix proteins or barrier membranes: Results from a multicenter practice-based clinical trial. J. Periodontol. 2004, 75, 726–733. [Google Scholar] [CrossRef] [PubMed]
- Weinreb, M.; Nemcovsky, C.E. In vitro models for evaluation of periodontal wound healing/regeneration. Periodontol. 2000 2015, 68, 41–54. [Google Scholar] [CrossRef] [PubMed]
- Zeichner-David, M. Is there more to enamel matrix proteins than biomineralization? Matrix Boil. J. Int. Soc. Matrix Boil. 2001, 20, 307–316. [Google Scholar] [CrossRef]
- Rincon, J.C.; Xiao, Y.; Young, W.G.; Bartold, P.M. Enhanced proliferation, attachment and osteopontin expression by porcine periodontal cells exposed to emdogain. Arch. Oral Boil. 2005, 50, 1047–1054. [Google Scholar] [CrossRef]
- Barkana, I.; Alexopoulou, E.; Ziv, S.; Jacob-Hirsch, J.; Amariglio, N.; Pitaru, S.; Vardimon, A.D.; Nemcovsky, C.E. Gene profile in periodontal ligament cells and clones with enamel matrix proteins derivative. J. Clin. Periodontol. 2007, 34, 599–609. [Google Scholar] [CrossRef] [PubMed]
- Heijl, L.; Heden, G.; Svardstrom, G.; Ostgren, A. Enamel matrix derivative (emdogain) in the treatment of intrabony periodontal defects. J. Clin. Periodontol. 1997, 24, 705–714. [Google Scholar] [CrossRef] [PubMed]
- Sculean, A.; Chiantella, G.C.; Windisch, P.; Donos, N. Clinical and histologic evaluation of human intrabony defects treated with an enamel matrix protein derivative (emdogain). Int. J. Periodontics Restor. Dent. 2000, 20, 374–381. [Google Scholar]
- Venezia, E.; Goldstein, M.; Boyan, B.D.; Schwartz, Z. The use of enamel matrix derivative in the treatment of periodontal defects: A literature review and meta-analysis. Crit. Rev. Oral Boil. Med. Off. Publ. Am. Assoc. Oral Boil. 2004, 15, 382–402. [Google Scholar] [CrossRef]
- Francetti, L.; Trombelli, L.; Lombardo, G.; Guida, L.; Cafiero, C.; Roccuzzo, M.; Carusi, G.; Del Fabbro, M. Evaluation of efficacy of enamel matrix derivative in the treatment of intrabony defects: A 24-month multicenter study. Int. J. Periodontics Restor. Dent. 2005, 25, 461–473. [Google Scholar]
- Flores-de-Jacoby, L.; Zimmermann, A.; Tsalikis, L. Experiences with guided tissue regeneration in the treatment of advanced periodontal disease. A clinical re-entry study. Part I. Vertical, horizontal and horizontal periodontal defects. J. Clin. Periodontol. 1994, 21, 113–117. [Google Scholar] [CrossRef] [PubMed]
- Warrer, K.; Karring, T. Guided tissue regeneration combined with osseous grafting in suprabony periodontal lesions. An experimental study in the dog. J. Clin. Periodontol. 1992, 19, 373–380. [Google Scholar] [CrossRef] [PubMed]
- Nemcovsky, C.E. Chapter 12: Clinical applications and techniques in regenerative periodontal therapy. In Periodontal Regenerative Therapy; Sculean, A., Ed.; Quintessence International Publishing Co.: Batavia, IL, USA, 2010; pp. 159–193. [Google Scholar]
- Nemcovsky, C.E.; Sculean, A. Chapter: Evidence-Based Decision Making in Periodontal Tooth Prognosis and Maintenance of the Natural Dentition. In Evidence-Based Decision Making in Dentistry. Multidisciplinary Management of the Natural Dentition; Rosen, E., Nemcovsky, C.E., Tsesis, I., Eds.; Springer International Publishing: Cham, Switzerland, 2017; pp. 39–60. [Google Scholar]
- Yilmaz, S.; Kuru, B.; Altuna-Kirac, E. Enamel matrix proteins in the treatment of periodontal sites with horizontal type of bone loss. J. Clin. Periodontol. 2003, 30, 197–206. [Google Scholar] [CrossRef] [PubMed]
- Nemcovsky, C.E.; Zahavi, S.; Moses, O.; Kebudi, E.; Artzi, Z.; Beny, L.; Weinreb, M. Effect of enamel matrix protein derivative on healing of surgical supra-infrabony periodontal defects in the rat molar: A histomorphometric study. J. Periodontol. 2006, 77, 996–1002. [Google Scholar] [CrossRef] [PubMed]
- Maymon-Gil, T.; Weinberg, E.; Nemcovsky, C.; Weinreb, M. Enamel matrix derivative promotes healing of a surgical wound in the rat oral mucosa. J. Periodontol. 2016, 87, 601–609. [Google Scholar] [CrossRef] [PubMed]
- Tonetti, M.S.; Cortellini, P.; Lang, N.P.; Suvan, J.E.; Adriaens, P.; Dubravec, D.; Fonzar, A.; Fourmousis, I.; Rasperini, G.; Rossi, R.; et al. Clinical outcomes following treatment of human intrabony defects with gtr/bone replacement material or access flap alone. A multicenter randomized controlled clinical trial. J. Clin. Periodontol. 2004, 31, 770–776. [Google Scholar] [CrossRef] [PubMed]
- Keila, S.; Nemcovsky, C.E.; Moses, O.; Artzi, Z.; Weinreb, M. In vitro effects of enamel matrix proteins on rat bone marrow cells and gingival fibroblasts. J. Dent. Res. 2004, 83, 134–138. [Google Scholar] [CrossRef] [PubMed]
- Zeldich, E.; Koren, R.; Nemcovsky, C.; Weinreb, M. Enamel matrix derivative stimulates human gingival fibroblast proliferation via erk. J. Dent. Res. 2007, 86, 41–46. [Google Scholar] [CrossRef] [PubMed]
- Zeldich, E.; Koren, R.; Dard, M.; Nemcovsky, C.; Weinreb, M. Egfr in enamel matrix derivative-induced gingival fibroblast mitogenesis. J. Dent. Res. 2008, 87, 850–855. [Google Scholar] [CrossRef] [PubMed]
- Weinberg, E.; Zeldich, E.; Weinreb, M.M.; Moses, O.; Nemcovsky, C.; Weinreb, M. Prostaglandin e2 inhibits the proliferation of human gingival fibroblasts via the ep2 receptor and epac. J. Cell. Biochem. 2009, 108, 207–215. [Google Scholar] [CrossRef] [PubMed]
- Zeldich, E.; Koren, R.; Dard, M.; Weinberg, E.; Weinreb, M.; Nemcovsky, C.E. Enamel matrix derivative induces the expression of tissue inhibitor of matrix metalloproteinase-3 in human gingival fibroblasts via extracellular signal-regulated kinase. J. Periodontal Res. 2010, 45, 200–206. [Google Scholar] [CrossRef] [PubMed]
- Weinberg, E.; Topaz, M.; Dard, M.; Lyngstadaas, P.; Nemcovsky, C.; Weinreb, M. Differential effects of prostaglandin e(2) and enamel matrix derivative on the proliferation of human gingival and dermal fibroblasts and gingival keratinocytes. J. Periodontal Res. 2010, 45, 731–740. [Google Scholar] [CrossRef] [PubMed]
- Miron, R.J.; Dard, M.; Weinreb, M. Enamel matrix derivative, inflammation and soft tissue wound healing. J. Periodontal Res. 2015, 50, 555–569. [Google Scholar] [CrossRef] [PubMed]
- Miron, R.J.; Sculean, A.; Cochran, D.L.; Froum, S.; Zucchelli, G.; Nemcovsky, C.; Donos, N.; Lyngstadaas, S.P.; Deschner, J.; Dard, M.; et al. Twenty years of enamel matrix derivative: The past, the present and the future. J. Clin. Periodontol. 2016, 43, 668–683. [Google Scholar] [CrossRef] [PubMed]
- Bosshardt, D.D. Biological mediators and periodontal regeneration: A review of enamel matrix proteins at the cellular and molecular levels. J. Clin. Periodontol. 2008, 35, 87–105. [Google Scholar] [CrossRef] [PubMed]
- Murphy, K.G.; Gunsolley, J.C. Guided tissue regeneration for the treatment of periodontal intrabony and furcation defects. A systematic review. Ann. Periodontol. 2003, 8, 266–302. [Google Scholar] [CrossRef] [PubMed]
- Cortellini, P.; Tonetti, M.S. Clinical concepts for regenerative therapy in intrabony defects. Periodontol. 2000 2015, 68, 282–307. [Google Scholar] [CrossRef] [PubMed]
- Trombelli, L.; Farina, R.; Franceschetti, G.; Calura, G. Single-flap approach with buccal access in periodontal reconstructive procedures. J. Periodontol. 2009, 80, 353–360. [Google Scholar] [CrossRef] [PubMed]
- Trombelli, L.; Simonelli, A.; Pramstraller, M.; Wikesjo, U.M.; Farina, R. Single flap approach with and without guided tissue regeneration and a hydroxyapatite biomaterial in the management of intraosseous periodontal defects. J. Periodontol. 2010, 81, 1256–1263. [Google Scholar] [CrossRef] [PubMed]
- Trombelli, L.; Simonelli, A.; Schincaglia, G.P.; Cucchi, A.; Farina, R. Single-flap approach for surgical debridement of deep intraosseous defects: A randomized controlled trial. J. Periodontol. 2012, 83, 27–35. [Google Scholar] [CrossRef] [PubMed]
- Farina, R.; Simonelli, A.; Minenna, L.; Rasperini, G.; Trombelli, L. Single-flap approach in combination with enamel matrix derivative in the treatment of periodontal intraosseous defects. Int. J. Periodontics Restor. Dent. 2014, 34, 497–506. [Google Scholar] [CrossRef] [PubMed]
- Farina, R.; Simonelli, A.; Rizzi, A.; Pramstraller, M.; Cucchi, A.; Trombelli, L. Early postoperative healing following buccal single flap approach to access intraosseous periodontal defects. Clin. Oral Investig. 2013, 17, 1573–1583. [Google Scholar] [CrossRef] [PubMed]
- Schincaglia, G.P.; Hebert, E.; Farina, R.; Simonelli, A.; Trombelli, L. Single versus double flap approach in periodontal regenerative treatment. J. Clin. Periodontol. 2015, 42, 557–566. [Google Scholar] [CrossRef] [PubMed]
- Farina, R.; Simonelli, A.; Minenna, L.; Rasperini, G.; Schincaglia, G.P.; Tomasi, C.; Trombelli, L. Change in the gingival margin profile after the single flap approach in periodontal intraosseous defects. J. Periodontol. 2015, 86, 1038–1046. [Google Scholar] [CrossRef] [PubMed]
- Trombelli, L.; Farina, R. Clinical outcomes with bioactive agents alone or in combination with grafting or guided tissue regeneration. J. Clin. Periodontol. 2008, 35, 117–135. [Google Scholar] [CrossRef] [PubMed]
- Tu, Y.K.; Needleman, I.; Chambrone, L.; Lu, H.K.; Faggion, C.M., Jr. A bayesian network meta-analysis on comparisons of enamel matrix derivatives, guided tissue regeneration and their combination therapies. J. Clin. Periodontol. 2012, 39, 303–314. [Google Scholar] [CrossRef] [PubMed]
- Matarasso, M.; Iorio-Siciliano, V.; Blasi, A.; Ramaglia, L.; Salvi, G.E.; Sculean, A. Enamel matrix derivative and bone grafts for periodontal regeneration of intrabony defects. A systematic review and meta-analysis. Clin. Oral Investig. 2015, 19, 1581–1593. [Google Scholar] [CrossRef] [PubMed]
- Sato, S.; Yamada, K.; Kato, T.; Haryu, K.; Ito, K. Treatment of miller class III recessions with enamel matrix derivative (emdogain) in combination with subepithelial connective tissue grafting. Int. J. Periodontics Restor. Dent. 2006, 26, 71–77. [Google Scholar]
- Carnio, J.; Camargo, P.M.; Kenney, E.B.; Schenk, R.K. Histological evaluation of 4 cases of root coverage following a connective tissue graft combined with an enamel matrix derivative preparation. J. Periodontol. 2002, 73, 1534–1543. [Google Scholar] [CrossRef] [PubMed]
- Rasperini, G.; Silvestri, M.; Schenk, R.K.; Nevins, M.L. Clinical and histologic evaluation of human gingival recession treated with a subepithelial connective tissue graft and enamel matrix derivative (emdogain): A case report. Int. J. Periodontics Restor. Dent. 2000, 20, 269–275. [Google Scholar]
- Zucchelli, G.; Mazzotti, C.; Tirone, F.; Mele, M.; Bellone, P.; Mounssif, I. The connective tissue graft wall technique and enamel matrix derivative to improve root coverage and clinical attachment levels in miller class IV gingival recession. Int. J. Periodontics Restor. Dent. 2014, 34, 601–609. [Google Scholar] [CrossRef]
- Trombelli, L.; Simonelli, A.; Minenna, L.; Rasperini, G.; Farina, R. Effect of a connective tissue graft in combination with a single flap approach in the regenerative treatment of intraosseous defects. J. Periodontol. 2017, 88, 348–356. [Google Scholar] [CrossRef] [PubMed]
- Cortellini, P.; Tonetti, M.S. Minimally invasive surgical technique and enamel matrix derivative in intra-bony defects. I: Clinical outcomes and morbidity. J. Clin. Periodontol. 2007, 34, 1082–1088. [Google Scholar] [CrossRef] [PubMed]















© 2018 by the authors. Licensee MDPI, Basel, Switzerland. This article is an open access article distributed under the terms and conditions of the Creative Commons Attribution (CC BY) license (http://creativecommons.org/licenses/by/4.0/).
Share and Cite
Nemcovsky, C.E.; Beitlitum, I. Combination Therapy for Reconstructive Periodontal Treatment in the Lower Anterior Area: Clinical Evaluation of a Case Series. Dent. J. 2018, 6, 50. https://doi.org/10.3390/dj6040050
Nemcovsky CE, Beitlitum I. Combination Therapy for Reconstructive Periodontal Treatment in the Lower Anterior Area: Clinical Evaluation of a Case Series. Dentistry Journal. 2018; 6(4):50. https://doi.org/10.3390/dj6040050
Chicago/Turabian StyleNemcovsky, Carlos E., and Ilan Beitlitum. 2018. "Combination Therapy for Reconstructive Periodontal Treatment in the Lower Anterior Area: Clinical Evaluation of a Case Series" Dentistry Journal 6, no. 4: 50. https://doi.org/10.3390/dj6040050
APA StyleNemcovsky, C. E., & Beitlitum, I. (2018). Combination Therapy for Reconstructive Periodontal Treatment in the Lower Anterior Area: Clinical Evaluation of a Case Series. Dentistry Journal, 6(4), 50. https://doi.org/10.3390/dj6040050

