Effectiveness of an AI-Assisted Digital Workflow for Complete-Arch Implant Impressions: An In Vitro Comparative Study
Abstract
1. Introduction
2. Materials and Methods
2.1. Study Design
2.2. Sample Preparation and Group Allocation
- -
- In the control group, a first scan of the temporary restoration was taken. After that, the temporary restoration was unscrewed, four scan bodies (Osstem Implant Co., Ltd.) were torqued at 15 Ncm using the E-Driver (Osstem Implant Co., Ltd.), and a second digital impression was recorded. Both scans were taken using a desktop scanner (Nobil Metal SPA, Villafranca D’Asti, Italy) to serve as a reference to evaluate accuracy and precision of the other test groups.
- -
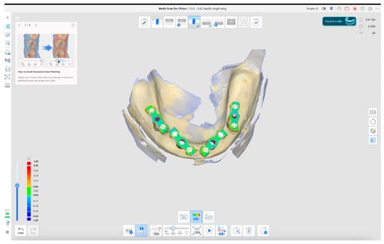
- In the test group, six subgroups were created, with six repeated scans taken for each subgroup, resulting in a total of 36 scans performed by the expert operator and another 36 by the student. All the digital scans were taken with Medit i900 (Medit Corp., Seoul, Republic of Korea) scan onto the four multi-unit abutments. Subgroups are divided by scan body design/scan technique/operator/as follows:- Scan bodies featured with double-wing lateral extensions (SmartFlags, Apollo, Poland)/Occlusal scan/straight motion/SmartX tool/Expert (n = 6), Student (n = 6). An example is reported in Figure 1.
- Scan bodies featured with double-wing lateral extensions (SmartFlags, Apollo, Poland)/Occlusal scan/straight motion/No SmartX tool/Expert (n = 6), Student (n = 6).
- Scan bodies featured with double-wing lateral extensions (SmartFlags, Apollo)/One scan/straight and zigzag motion in anterior, straight motion in posterior/SmartX tool/Expert (n = 6), Student (n = 6).
- Scan bodies featured with double-wing lateral extensions (SmartFlags, Apollo)/One scan/straight and zigzag motion in anterior, straight motion in posterior/NO SmartX tool/Expert (n = 6), Student (n = 6).
- Scan bodies featured with single-wing lateral extension (SmartFlags, Apollo)/One scan/straight and zigzag motion in anterior, straight motion in posterior/SmartX tool/Expert (n = 6), Student (n = 6).
- Scan bodies featured with single-wing lateral extension (SmartFlags, Apollo)/One scan/straight and zigzag motion in anterior, straight motion in posterior/NO SmartX tool/Expert (n = 6), Student (n = 6). An example in Figure 2.
 
2.3. Outcome Measures
2.4. Statistical Analysis
3. Results
4. Discussion
5. Conclusions
Author Contributions
Funding
Institutional Review Board Statement
Informed Consent Statement
Data Availability Statement
Conflicts of Interest
References
- Dioguardi, M.; Spirito, F.; Quarta, C.; Sovereto, D.; Basile, E.; Ballini, A.; Caloro, G.A.; Troiano, G.; Lo Muzio, L.; Mastrangelo, F. Guided Dental Implant Surgery: Systematic Review. J. Clin. Med. 2023, 12, 1490. [Google Scholar] [CrossRef] [PubMed] [PubMed Central]
- Mai, H.N.; Dam, V.V.; Lee, D.H. Accuracy of Augmented Reality-Assisted Navigation in Dental Implant Surgery: Systematic Review and Meta-Analysis. J. Med. Internet Res. 2023, 25, e42040. [Google Scholar] [CrossRef] [PubMed] [PubMed Central]
- Mahardawi, B.; Jiaranuchart, S.; Arunjaroensuk, S.; Dhanesuan, K.; Mattheos, N.; Pimkhaokham, A. The Accuracy of Dental Implant Placement with Different Methods of Computer-Assisted Implant Surgery: A Network Meta-Analysis of Clinical Studies. Clin. Oral Implant. Res. 2025, 36, 1–16. [Google Scholar] [CrossRef] [PubMed]
- Jain, S.; Sayed, M.E.; Khawaji, R.A.A.; Hakami, G.A.J.; Solan, E.H.M.; Daish, M.A.; Jokhadar, H.F.; AlResayes, S.S.; Altoman, M.S.; Alshehri, A.H.; et al. Accuracy of 3 Intraoral Scanners in Recording Impressions for Full Arch Dental Implant-Supported Prosthesis: An In Vitro Study. Med. Sci. Monit. 2024, 30, e946624. [Google Scholar] [CrossRef] [PubMed] [PubMed Central]
- Kihara, H.; Hatakeyama, W.; Komine, F.; Takafuji, K.; Takahashi, T.; Yokota, J.; Oriso, K.; Kondo, H. Accuracy and practicality of intraoral scanner in dentistry: A literature review. J. Prosthodont. Res. 2020, 64, 109–113. [Google Scholar] [CrossRef] [PubMed]
- FDI World Dental Federation. Artificial intelligence in dentistry. Int. Dent. J. 2025, 75, 3–4. [Google Scholar] [CrossRef] [PubMed] [PubMed Central]
- Ossowska, A.; Kusiak, A.; Świetlik, D. Artificial Intelligence in Dentistry-Narrative Review. Int. J. Environ. Res. Public Health 2022, 19, 3449. [Google Scholar] [CrossRef] [PubMed] [PubMed Central]
- Pae, H.C.; Kim, S.K.; Park, J.Y.; Song, Y.W.; Cha, J.K.; Paik, J.W.; Choi, S.H. Bioactive characteristics of an implant surface coated with a pH buffering agent: An in vitro study. J. Periodontal Implant. Sci. 2019, 49, 366–381. [Google Scholar] [CrossRef]
- Araujo-Corchado, E.; Pardal-Peláez, B. Computer-Guided Surgery for Dental Implant Placement: A Systematic Review. Prosthesis 2022, 4, 540–553. [Google Scholar] [CrossRef]
- Tahmaseb, A.; Wismeijer, D.; Coucke, W.; Derksen, W. Computer technology applications in surgical implant dentistry: A systematic review. Int. J. Oral Maxillofac. Implant. 2014, 29, 25–42. [Google Scholar] [CrossRef] [PubMed]
- Mai, H.Y.; Mai, H.N.; Lee, C.H.; Lee, K.B.; Kim, S.Y.; Lee, J.M.; Lee, K.W.; Lee, D.H. Impact of scanning strategy on the accuracy of complete-arch intraoral scans: A preliminary study on segmental scans and merge methods. J. Adv. Prosthodont. 2022, 14, 88–95. [Google Scholar] [CrossRef]
- Tallarico, M.; Qaddomi, M.; De Rosa, E.; Cacciò, C.; Jung, Y.J.; Meloni, S.M.; Ceruso, F.M.; Lumbau, A.I.; Pisano, M. Accuracy and Precision of Digital Impression with Reverse Scan Body Prototypes and All-on-4 Protocol: An In Vitro Research. Prosthesis 2025, 7, 36. [Google Scholar] [CrossRef]
- Maló, P.; Rangert, B.; Nobre, M. “All-on-Four” immediate-function concept with Brånemark System implants for completelyedentulous mandibles: A retrospective clinical study. Clin. Implant Dent. Relat. Res. 2003, 5 (Suppl. S1), 2–9. [Google Scholar] [CrossRef] [PubMed]
- Tallarico, M.; Czajkowska, M.; Cicciù, M.; Giardina, F.; Minciarelli, A.; Zadrożny, Ł.; Park, C.J.; Meloni, S.M. Accuracy of surgical templates with and without metallic sleeves in case of partial arch restorations: A systematic review. J. Dent. 2021, 115, 103852. [Google Scholar] [CrossRef] [PubMed]
- Chrcanovic, B.R.; Kisch, J.; Albrektsson, T.; Wennerberg, A. Bruxism and dental implant failures: A multilevel mixed effects parametric survival analysis approach. J. Oral Rehabil. 2016, 43, 813–823. [Google Scholar] [CrossRef] [PubMed]
- Buzayan, M.M.; Yunus, N.B. Passive Fit in Screw Retained Multi-Unit Implant Prosthesis Understanding and Achieving: A Review of the Literature. J. Indian Prosthodont. Soc. 2014, 14, 16–23. [Google Scholar] [CrossRef]
- Figueras-Alvarez, O.; Cantó-Navés, O.; Real-Voltas, F.; Roig, M. Protocol for the clinical assessment of passive fit for multiple implant-supported prostheses: A dental technique. J. Prosthet. Dent. 2021, 126, 727–730. [Google Scholar] [CrossRef]
- Tallarico, M.; Meloni, S.M. Retrospective Analysis on Survival Rate, Template-Related Complications, and Prevalence of Peri-implantitis of 694 Anodized Implants Placed Using Computer-Guided Surgery: Results Between 1 and 10 Years of Follow-Up. Int. J. Oral Maxillofac. Implant. 2017, 32, 1162–1171. [Google Scholar] [CrossRef]
- Papaspyridakos, P.; Chen, C.J.; Chuang, S.K.; Weber, H.P. Implant loading protocols for edentulous patients with fixed prostheses: A systematic review and meta-analysis. Int. J. Oral Maxillofac. Implant. 2014, 29, 256–270. [Google Scholar] [CrossRef]
- Putra, R.H.; Yoda, N.; Astuti, E.R.; Sasaki, K. The accuracy of implant placement with computer-guided surgery in partially edentulous patients and possible influencing factors: A systematic review and meta-analysis. J. Prosthodont. Res. 2022, 66, 29–39. [Google Scholar] [CrossRef]
- Sciarra, F.M.; Caivano, G.; Cacioppo, A.; Messina, P.; Cumbo, E.M.; Di Vita, E.; Scardina, G.A. Dentistry in the Era of Artificial Intelligence: Medical Behavior and Clinical Responsibility. Prosthesis 2025, 7, 95. [Google Scholar] [CrossRef]
- Iosif, L.; Țâncu, A.M.C.; Amza, O.E.; Gheorghe, G.F.; Dimitriu, B.; Imre, M. AI in Prosthodontics: A Narrative Review Bridging Established Knowledge and Innovation Gaps Across Regions and Emerging Frontiers. Prosthesis 2024, 6, 1281–1299. [Google Scholar] [CrossRef]



| Subgroup | SB * Design | Technique | SmartX | Expert | Student | Total | 
|---|---|---|---|---|---|---|
| Double-wing/Occlusal/SmartX | Double-wing | 1 | Yes | 6 | 6 | 12 | 
| Double-wing/Occlusal/No SmartX | Double-wing | 1 | No | 6 | 6 | 12 | 
| Double-wing/Combined Scan/SmartX | Double-wing | 2 | Yes | 6 | 6 | 12 | 
| Double-wing/Combined Scan/No SmartX | Double-wing | 2 | No | 6 | 6 | 12 | 
| Single-wing/Combined Scan/SmartX | Single-wing | 2 | Yes | 6 | 6 | 12 | 
| Single-wing/Combined Scan/No SmartX | Single-wing | 2 | No | 6 | 6 | 12 | 
| Grand total | 36 | 36 | 72 | 
| SmartX/Double-Wing Occlusal/Straight | NoSmartX/Double-Wing One/Straight/Zigzag | SmartX/Double-Wing One/Straight/Zigzag | NoSmartX/Single-Wing One/Straight/Zigzag | SmartX/Single-Wing One/Straight/Zigzag | |
|---|---|---|---|---|---|
| Expert | 0.0670 ± 0.0238 | 0.0547 ± 0.0044 | 0.0540 ± 0.0104 | 0.0578 ± 0.0030 | 0.0575 ± 0.0060 | 
| Student | 0.0634 ± 0.0082 | 0.0515 ± 0.0054 | 0.0586 ± 0.0152 | 0.0570 ± 0.0046 | 0.0545 ± 0.0043 | 
| Difference | 0.0036 ± 0.0249 | 0.0032 ± 0.0079 | 0.0047 ± 0.0156 | 0.0008 ± 0.0055 | 0.0030 ± 0.0093 | 
| p Value | 0.736 | 0.282 | 0.548 | 0.734 | 0.346 | 
| SmartX/Double-Wing Occlusal/Straight | NoSmartX/Double-Wing One/Straight/Zigzag | SmartX/Double-Wing One/Straight/Zigzag | NoSmartX/Single-Wing One/Straight/Zigzag | SmartX/Single-Wing One/Straight/Zigzag | |
|---|---|---|---|---|---|
| Expert | 21.3 ± 3.1 | 70.5 ± 2.2 | 68.8 ± 1.9 | 66.7 ± 2.4 | 67.8 ± 2.3 | 
| Student | 22.5 ± 1.0 | 75.8 ± 2.2 | 74.7 ± 2.6 | 73.3 ± 2.3 | 77.0 ± 2.1 | 
| Difference | 1.2 ± 3.9 | 5.3 ± 1.0 | 4.8 ± 3.4 | 6.7 ± 3.8 | 9.2 ± 7.8 | 
| p Value | 0.412 | 0.002 | 0.005 | 0.012 | 0.001 | 
| Disclaimer/Publisher’s Note: The statements, opinions and data contained in all publications are solely those of the individual author(s) and contributor(s) and not of MDPI and/or the editor(s). MDPI and/or the editor(s) disclaim responsibility for any injury to people or property resulting from any ideas, methods, instructions or products referred to in the content. | 
© 2025 by the authors. Licensee MDPI, Basel, Switzerland. This article is an open access article distributed under the terms and conditions of the Creative Commons Attribution (CC BY) license (https://creativecommons.org/licenses/by/4.0/).
Share and Cite
Tallarico, M.; Qaddomi, M.; De Rosa, E.; Cacciò, C.; Meloni, S.M.; Gendviliene, I.; Att, W.; Bourgi, R.; Lumbau, A.M.; Cervino, G. Effectiveness of an AI-Assisted Digital Workflow for Complete-Arch Implant Impressions: An In Vitro Comparative Study. Dent. J. 2025, 13, 462. https://doi.org/10.3390/dj13100462
Tallarico M, Qaddomi M, De Rosa E, Cacciò C, Meloni SM, Gendviliene I, Att W, Bourgi R, Lumbau AM, Cervino G. Effectiveness of an AI-Assisted Digital Workflow for Complete-Arch Implant Impressions: An In Vitro Comparative Study. Dentistry Journal. 2025; 13(10):462. https://doi.org/10.3390/dj13100462
Chicago/Turabian StyleTallarico, Marco, Mohammad Qaddomi, Elena De Rosa, Carlotta Cacciò, Silvio Mario Meloni, Ieva Gendviliene, Wael Att, Rim Bourgi, Aurea Maria Lumbau, and Gabriele Cervino. 2025. "Effectiveness of an AI-Assisted Digital Workflow for Complete-Arch Implant Impressions: An In Vitro Comparative Study" Dentistry Journal 13, no. 10: 462. https://doi.org/10.3390/dj13100462
APA StyleTallarico, M., Qaddomi, M., De Rosa, E., Cacciò, C., Meloni, S. M., Gendviliene, I., Att, W., Bourgi, R., Lumbau, A. M., & Cervino, G. (2025). Effectiveness of an AI-Assisted Digital Workflow for Complete-Arch Implant Impressions: An In Vitro Comparative Study. Dentistry Journal, 13(10), 462. https://doi.org/10.3390/dj13100462
 
        





 
       