A Novel Intraoral Optical Scan-Transfer Device for Full-Arch Implant Reconstruction
Abstract
1. Introduction
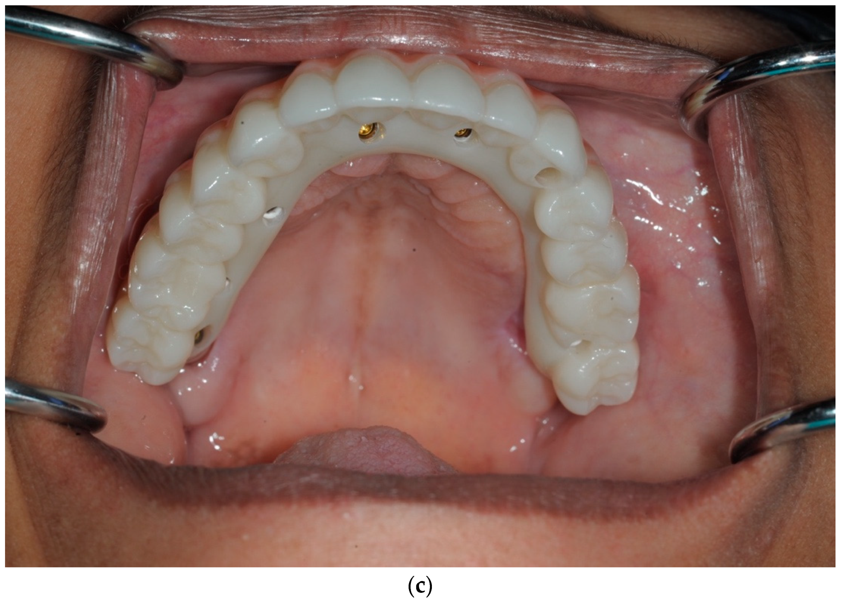
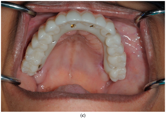
2. Case Presentation: Introducing a Novel Scan-Transfer Device for a Full-Arch Digital Workflow in the Edentulous Maxilla
The Technique



















3. Discussion
Limitations
4. Conclusions
Author Contributions
Funding
Institutional Review Board Statement
Informed Consent Statement
Data Availability Statement
Acknowledgments
Conflicts of Interest
References
- Zotti, F.; Rosolin, L.; Bersani, M.; Poscolere, A.; Pappalardo, D.; Zerman, N. Digital Dental Models: Is Photogrammetry an Alternative to Dental Extraoral and Intraoral Scanners? Dent. J. 2022, 10, 24. [Google Scholar] [CrossRef] [PubMed] [PubMed Central]
- Hussein, M.O. Photogrammetry technology in implant dentistry: A systematic review. J. Prosthet. Dent. 2023, 130, 318–326. [Google Scholar] [CrossRef] [PubMed]
- Alkadi, L. A Comprehensive Review of Factors That Influence the Accuracy of Intraoral Scanners. Diagnostics 2023, 13, 3291. [Google Scholar] [CrossRef] [PubMed] [PubMed Central]
- ISO 5725-1:2023; International Organization for Standardization. Accuracy (Trueness and Precision) of Measurement Methods and Results—Part 1: General Principles and Definitions, 2nd ed. ISO: Geneva, Switzerland, 2023. Available online: https://www.iso.org/obp/ui/#iso:std:iso:5725:-1:ed-2:v1:en (accessed on 20 February 2024).
- Pellitteri, F.; Albertini, P.; Vogrig, A.; Spedicato, G.A.; Siciliani, G.; Lombardo, L. Comparative analysis of intraoral scanners accuracy using 3D software: An in vivo study. Prog. Orthod. 2022, 23, 21. [Google Scholar] [CrossRef] [PubMed] [PubMed Central]
- Zimmermann, M.; Ender, A.; Mehl, A. Local accuracy of actual intraoral scanning systems for single-tooth preparations In Vitro. J. Am. Dent. Assoc. 2020, 151, 127–135. [Google Scholar] [CrossRef] [PubMed]
- Chen, Y.; Zhai, Z.; Li, H.; Yamada, S.; Matsuoka, T.; Ono, S.; Nakano, T. Influence of Liquid on the Tooth Surface on the Accuracy of Intraoral Scanners: An In Vitro Study. J. Prosthodont. 2022, 31, 59–64. [Google Scholar] [CrossRef] [PubMed]
- Thanasrisuebwong, P.; Kulchotirat, T.; Anunmana, C. Effects of inter-implant distance on the accuracy of intraoral scanner: An in vitro study. J. Adv. Prosthodont. 2021, 13, 107–116. [Google Scholar] [CrossRef]
- Gómez-Polo, M.; Álvarez, F.; Ortega, R.; Gómez-Polo, C.; Barmak, A.B.; Kois, J.C.; Revilla-León, M. Influence of the implant scan body bevel location, implant angulation and position on intraoral scanningaccuracy: An in vitro study. J. Dent. 2022, 121, 104122. [Google Scholar] [CrossRef]
- Ashraf, Y.; Abo El Fadl, A.; Hamdy, A.; Ebeid, K. Effect of different intraoral scanners and scanbody splinting on accuracy of scanning implant-supported full arch fixed prosthesis. J. Esthet. Restor. Dent. 2023, 2023, 1257–1263. [Google Scholar] [CrossRef] [PubMed]
- Revilla-León, M.; Att, W.; Özcan, M.; Rubenstein, J. Comparison of conventional, photogrammetry, and intraoral scanning accuracy of complete-arch implant impression procedures evaluated with a coordinate measuring machine. J. Prosthet. Dent. 2021, 125, 470–478. [Google Scholar] [CrossRef] [PubMed]
- Ma, B.; Yue, X.; Sun, Y.; Peng, L.; Geng, W. Accuracy of photogrammetry, intraoral scanning, and conventional impression techniques for complete-arch implant rehabilitation: An In Vitro comparative study. BMC Oral Health 2021, 21, 636. [Google Scholar] [CrossRef] [PubMed] [PubMed Central]
- Joensahakij, N.; Serichetaphongse, P.; Chengprapakorn, W. The accuracy of conventional versus digital (intraoral scanner or photogrammetry) impression techniques in full-arch implant-supported prostheses: A systematic review. Evidence-Based Dent. 2024, 25, 216–217. [Google Scholar] [CrossRef] [PubMed]
- Clozza, E. Intraoral scanning and dental photogrammetry for full-arch implant-supported prosthesis: A technique. Clin. Adv. Periodontics 2024, 14, 244–249. [Google Scholar] [CrossRef] [PubMed]
- Lyu, M.; Li, Y.; Xu, D.; Xing, Q.; Zhang, S.; Yuan, Q. Accuracy of Photogrammetry, Intraoral Scanning, and Conventional Impression for Multiple Implants: An In Vitro Study. Clin. Implant. Dent. Relat. Res. 2025, 27, e13419. [Google Scholar] [CrossRef] [PubMed]
- Mangano, F.; Gandolfi, A.; Luongo, G.; Logozzo, S. Intraoral scanners in dentistry: A review of the current literature. BMC Oral Health 2017, 17, 149. [Google Scholar] [CrossRef] [PubMed] [PubMed Central]
- Mahato, M.; Hota, S.; Jain, A.; Dutta, D.; Bhushan, P.; Raut, A. Comparison of Conventional and Digital Workflows in the Fabrication of Fixed Prostheses: A Systematic Review. Cureus 2024, 16, e61764. [Google Scholar] [CrossRef] [PubMed] [PubMed Central]
- Siqueira, R.; Chen, Z.; Galli, M.; Saleh, I.; Wang, H.; Chan, H. Does a fully digital workflow improve the accuracy of computer-assisted implant surgery in partially edentulous patients? A systematic review of clinical trials. Clin. Implant. Dent. Relat. Res. 2020, 22, 660–671. [Google Scholar] [CrossRef] [PubMed]
- Bi, C.; Wang, X.; Tian, F.; Qu, Z.; Zhao, J. Comparison of accuracy between digital and conventional implant impressions: Two and three dimensional evaluations. J. Adv. Prosthodont. 2022, 14, 236–249. [Google Scholar] [CrossRef] [PubMed] [PubMed Central]
- Ma, J.; Zhang, B.; Song, H.; Wu, D.; Song, T. Accuracy of digital implant impressions obtained using intraoral scanners: A systematic review and meta-analysis of in vivo studies. Int. J. Implant. Dent. 2023, 9, 48. [Google Scholar] [CrossRef] [PubMed] [PubMed Central]
- Marques, S.; Ribeiro, P.; Falcão, C.; Lemos, B.F.; Ríos-Carrasco, B.; Ríos-Santos, J.V.; Herrero-Climent, M. Digital Impressions in Implant Dentistry: A Literature Review. Int. J. Environ. Res. Public Health 2021, 18, 1020. [Google Scholar] [CrossRef] [PubMed] [PubMed Central]
- Gehrke, P.; Rashidpour, M.; Sader, R.; Weigl, P. A systematic review of factors impacting intraoral scanning accuracy in implant dentistry with emphasis on scan bodies. Int. J. Implant. Dent. 2024, 10, 20. [Google Scholar] [CrossRef] [PubMed] [PubMed Central]
- Ali, K.; Alzaid, A.A.; Suprono, M.S.; Garbacea, A.; Savignano, R.; Kattadiyil, M.T. Evaluating the effects of splinting implant scan bodies intraorally on the trueness of complete arch digital scans: A clinical study. J. Prosthet. Dent. 2024, 132, 781.e1–781.e7. [Google Scholar] [CrossRef] [PubMed]
- Shujaat, S.; Bornstein, M.M.; Price, J.B.; Jacobs, R. Integration of imaging modalities in digital dental workflows—Possibilities, limitations, and potential future developments. Dentomaxillofac. Radiol. 2021, 50, 20210268. [Google Scholar] [CrossRef] [PubMed] [PubMed Central]
- Cao, R.; Zhang, S.; Li, L.; Qiu, P.; Xu, H.; Cao, Y. Accuracy of intraoral scanning versus conventional impressions for partial edentulous patients with maxillary defects. Sci. Rep. 2023, 13, 16773. [Google Scholar] [CrossRef] [PubMed] [PubMed Central]
- Pullishery, F.; Huraib, W.; Alruhaymi, A.S.; Alharandah, W.A.; AlDara, E.W.; Alassaf, D.M.; A Babatin, W.M.; Mohsen, N.M.M.; Babatin, W.M.A.; Benten, M.M. Intraoral Scan Accuracy and Time Efficiency in Implant-Supported Fixed Partial Dentures: A Systematic Review. Cureus 2023, 15, e48027. [Google Scholar] [CrossRef] [PubMed] [PubMed Central]
| Technique | Principle | (Trueness and Precision) | Advantages | Disadvantages | References |
|---|---|---|---|---|---|
| Conventional Impression Technique | Elastomeric impression (e.g., splinted open-tray) with cast fabrication | Generally high accuracy if performed properly; minimal cumulative error in full-arch cases but technique-dependent | Proven clinical performance; well-documented reliability | Time-consuming, uncomfortable for patients, and sensitive to material dimensional changes | [1,11] |
| Intraoral Scanning (IOS) | Direct digital capture using structured light/laser scanning with image stitching | Acceptable accuracy for short spans; however, error accumulation may occur in complete-arch or edentulous situations due to stitching challenges | Fast, patient-friendly, immediate digital output, integrated into digital workflows | Susceptible to cumulative stitching errors, especially in long-span or edentulous arches | [12] |
| Photogrammetry | Reconstruction from multiple 2D photographs via triangulation | Studies indicate very high trueness and precision with lower 3D discrepancies in complete-arch implant impressions; less affected by cumulative error | Cost-effective, highly accurate for full-arch applications, and accessible for training purposes | More time-intensive (requires multiple photographs and post-processing), generally used with plaster models. Higher cost of scan equipment | [11,13,15] |
Disclaimer/Publisher’s Note: The statements, opinions and data contained in all publications are solely those of the individual author(s) and contributor(s) and not of MDPI and/or the editor(s). MDPI and/or the editor(s) disclaim responsibility for any injury to people or property resulting from any ideas, methods, instructions or products referred to in the content. |
© 2025 by the authors. Licensee MDPI, Basel, Switzerland. This article is an open access article distributed under the terms and conditions of the Creative Commons Attribution (CC BY) license (https://creativecommons.org/licenses/by/4.0/).
Share and Cite
Ucer, C.; Khan, R.S.; Jones, G. A Novel Intraoral Optical Scan-Transfer Device for Full-Arch Implant Reconstruction. Dent. J. 2025, 13, 134. https://doi.org/10.3390/dj13030134
Ucer C, Khan RS, Jones G. A Novel Intraoral Optical Scan-Transfer Device for Full-Arch Implant Reconstruction. Dentistry Journal. 2025; 13(3):134. https://doi.org/10.3390/dj13030134
Chicago/Turabian StyleUcer, Cemal, Rabia Sannam Khan, and Gwyn Jones. 2025. "A Novel Intraoral Optical Scan-Transfer Device for Full-Arch Implant Reconstruction" Dentistry Journal 13, no. 3: 134. https://doi.org/10.3390/dj13030134
APA StyleUcer, C., Khan, R. S., & Jones, G. (2025). A Novel Intraoral Optical Scan-Transfer Device for Full-Arch Implant Reconstruction. Dentistry Journal, 13(3), 134. https://doi.org/10.3390/dj13030134

