Evaluation of Carbon Dioxide Laser–Assisted Treatment for Gingival Melanin Hyperpigmentation
Abstract
1. Introduction
2. Materials and Methods
2.1. Subjects
2.2. Study Methods
2.3. Study Paremeters
2.4. Statistical Analysis
2.5. Ethics Approval
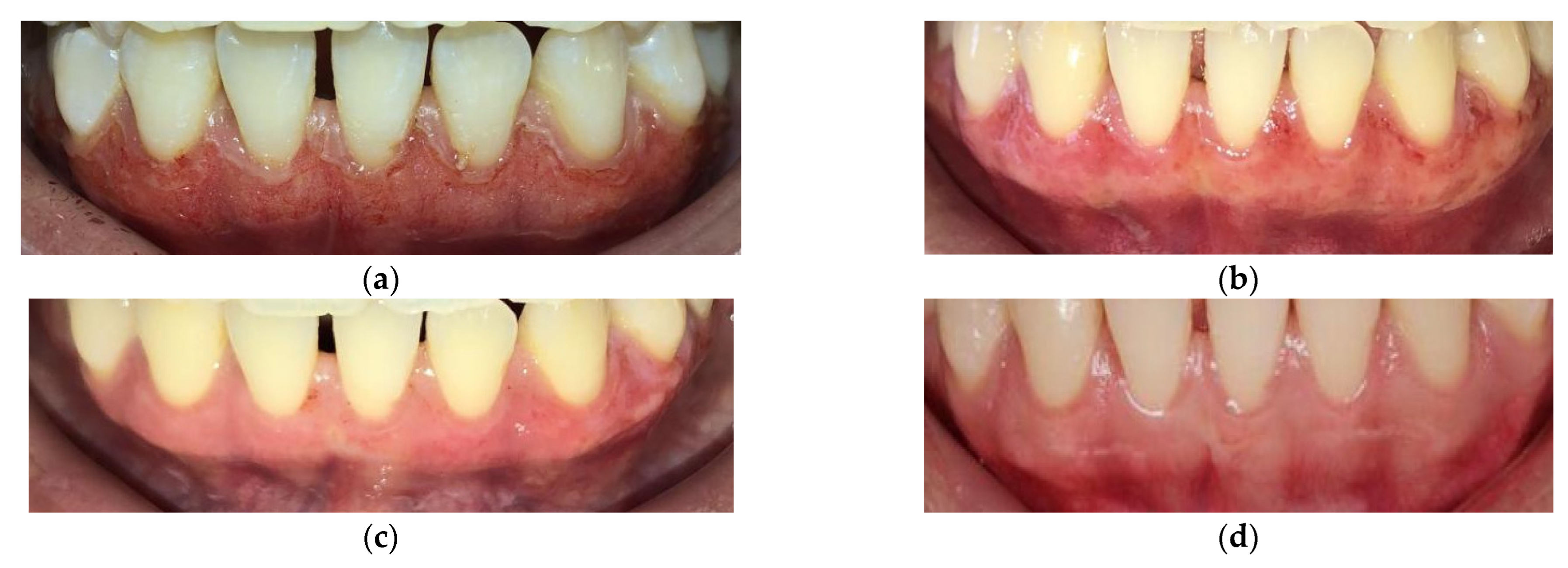
3. Results
3.1. Location and Extent of Gingival Pigmentation
3.2. Pain after Treatment
3.3. Healing after Treatment
3.4. Gingival Pigmentation According to DOPI after Treatment
4. Discussion
5. Conclusions
Author Contributions
Funding
Institutional Review Board Statement
Informed Consent Statement
Data Availability Statement
Acknowledgments
Conflicts of Interest
References
- Dummett, C.O. First symposium on oral pigmentation. J. Periodontol. 1960, 31, 356–360. [Google Scholar] [CrossRef]
- Fry, L.; Almeyda, J.R. The Incidence of Buccal Pigmentation in Caucasoids and Negkoids in Bkitain. Br. J. Dermatol. 1968, 80, 244–247. [Google Scholar] [CrossRef] [PubMed]
- Tamizí, M.; Taheri, M. Treatment of severe physiologic gingival pigmentation with free gingival autograft. Quintessence Int. 1996, 27, 555–558. [Google Scholar] [PubMed]
- Hedin, C.A. Smoker’s melanosis. Occurrence and localization in the attached gingiva. Arch. Dermatol. 1977, 113, 1533–1538. [Google Scholar] [CrossRef]
- Ponnaiyan, D.; Gomathy, L.; Anusha, J.A. The correlation of skin color and gingival pigmentation patterns in a group of South Indians in Tamil Nadu, India. SRM J. Res. Dent. Sci. 2013, 4, 54–58. [Google Scholar] [CrossRef]
- Çerman, A.; Altuna, I. Oral Pigmentation. J. Pigment. Disord. 2016, 3, 2376–2427. [Google Scholar] [CrossRef]
- Ali, S.M.; Kumar, N.P.; Reddy, A.; Vasudevan, S. Comparative Evaluation Between Scalpel and Laser Technique in Gingival Depigmentation: A Case report. Int. J. Contemp. Med. Res. 2015, 2, 126–130. [Google Scholar]
- Kaushik, N.; Srivastava, N.; Kaushik, M.; Gaurav, V. Efficacy of Different Techniques of Gingival Depigmentation: A Comparative Evaluation with a Case Report. Int. J. Laser Dent. 2013, 3, 68–72. [Google Scholar] [CrossRef]
- Hariati, L.T.; Sunarto, H.; Sukard, I. Comparison between diamond bur and diode laser to treat gingival hyperpigmentation. J. Phys. Conf. Ser. 2018, 1073, 062020. [Google Scholar] [CrossRef]
- Ribeiro, F.V.; Cavaller, C.P.; Casarin, R.C.; Casati, M.Z.; Cirano, F.R.; Dutra-Corrêa, M.; Pimentel, S.P. Esthetic treatment of gingival hyperpigmentation with Nd:YAG laser or scalpel technique: A 6-month RCT of patient and professional assessment. Lasers Med. Sci. 2014, 29, 537–544. [Google Scholar] [CrossRef]
- Basha, M.I.; Hegde, R.V.; Sumanth, S.; Sayyed, S.; Tiwari, A.; Muglikar, S. Comparison of Nd:YAG laser and surgical stripping for treatment of gingival hyperpigmentation: A clinical trial. Photomed. Laser Surg. 2015, 33, 424–436. [Google Scholar] [CrossRef] [PubMed]
- Fekrazad, R.; Chiniforush, N. One visit providing desirable smile by laser application. J. Lasers Med. Sci. 2014, 5, 47–50. [Google Scholar] [PubMed]
- Kishore, A.; Kathariya, R.; Deshmukh, V.; Vaze, S.; Khalia, N.; Dandgaval, R. Effectiveness of Er:YAG and CO2 lasers in the management of gingival melanin hyperpigmentation. Oral Health Dent. Manag. 2014, 13, 486–491. [Google Scholar] [PubMed]
- Pavlic, V.; Brkic, Z.; Marin, S.; Cicmil, S.; Gojkov-Vukelic, M.; Aoki, A. Gingival melanin depigmentation by Er: YAG laser: A literature review. J. Cosmet. Laser Ther. 2018, 20, 85–90. [Google Scholar] [CrossRef] [PubMed]
- Arif, R.H.; Kareem, F.A.; Zardawi, F.M.; Al-Karadaghi, T.S. Efficacy of 980 nm diode laser and 2940 nm Er: YAG laser in gingival depigmentation: A comparative study. J. Cosmet. Dermatol. 2021, 20, 1684–1691. [Google Scholar] [CrossRef]
- Hegazy, A.M.; Bakr, A.B.; Hassan, E.K.A. Treatment of Gingival Hyperpigmentation Using CO2 Laser: A Case Report. Int. J. Clin. Dev. Anat. 2015, 2, 18–25. [Google Scholar]
- Muruppel, A.M.; Pai, B.S.J.; Bhat, S.; Parker, S.; Lynch, E. Laser-Assisted Depigmentation—An Introspection of the Science, Techniques, and Perceptions. Dent. J. 2020, 8, 88. [Google Scholar] [CrossRef]
- Luk, K.; Zhao, I.S.; Gutknecht, N.; Chu, C.H. Use of carbon dioxide lasers in dentistry. Lasers Dent. Sci. 2019, 3, 1–9. [Google Scholar] [CrossRef]
- Pick, R.M.; Pogrel, M.A.; Loh, H.S. Clinical applications of the CO2 laser. In Lasers in Dentistry; Miserendino, L.J., Pick, R.M., Eds.; Quintessence Publishing: Batavia, IL, USA, 1995; pp. 145–160. [Google Scholar]
- Rossmann, J.A.; Rees, T.D.; Blieden, T.; Damoulis, P.; Fiorellini, J.P.; Giannobile, W.; Greenstein, G.; Greenwell, H.; Iacono, V.J.; Mariotti, A.; et al. Lasers in Periodontics. J. Periodontol. 2002, 73, 1231–1239. [Google Scholar]
- Thao, D.T.; Linh, N.P.; Tuong, N.N. Laser-assisted treatment of peri-implantitis: A case report. Int. J. Microdent. 2020, 11, 114–117. [Google Scholar]
- Mizutani, K.; Aoki, A.; Coluzzi, D.; Yukna, R.; Wang, C.Y.; Pavlic, V.; Izumi, Y. Lasers in minimally invasive periodontal and peri-implant therapy. Periodontology 2000 2016, 71, 185–212. [Google Scholar] [CrossRef] [PubMed]
- Jassim, S.D. Laser Applications in Periodontology. In Public Health in Developing Countries—Challenges and Opportunities; Anugwom, E., Awofeso, N., Eds.; IntechOpen: London, UK, 2019. [Google Scholar]
- Hegde, R.; Padhye, A.; Sumanth, S.; Jain, A.S.; Thukral, N. Comparison of surgical stripping; erbium-doped:yttrium, aluminum, and garnet laser; and carbon dioxide laser techniques for gingival depigmentation: A clinical and histologic study. J. Periodontol. 2013, 84, 738–748. [Google Scholar] [CrossRef] [PubMed]
- Hanioka, T.; Tanaka, K.; Ojima, M.; Yuuki, K. Association of melanin pigmentation in the gingiva of children with parents who smoke. Pediatrics 2005, 116, 186–190. [Google Scholar] [CrossRef] [PubMed]
- Gupta, G.; Rana, V.; Srivastava, N.; Chandna, P. Laser Pulpotomy—An Effective Alternative to Conventional Techniques: A 12 Months Clinicoradiographic Study. Int. J. Clin. Pediatr. Dent. 2015, 8, 18–21. [Google Scholar] [CrossRef] [PubMed]
- Raaman, A.R.; Pratebha, B.; Jananni, M.; Saravanakumar, R. Comparison of efficacy of depigmentation of gingiva in terms of ImageJ intensity values and surface area of repigmentation using scalpel and diode laser. Int. J. Oral Health Sci. 2016, 6, 59–64. [Google Scholar]
- Murthy, M.B.; Kaur, J.; Das, R. Treatment of gingival hyperpigmentation with rotary abrasive, scalpel, and laser techniques: A case series. J. Indian Soc. Periodontol. 2012, 16, 614–619. [Google Scholar] [CrossRef]
- Nagpal, D.; Prakash, S.; Singh, G. Gingival Depigmentation Using Different Techniques: A Follow up Study. Arch. Dent. Med. Res. 2015, 1, 95–100. [Google Scholar]
- Sukumar, S. Management of Gingival Hyperpigmentation Using Diode Laser and CO2 Laser Therapy: A Comparative Study. Ph.D. Thesis, Medical University, Tirunelveli, India, 2015. [Google Scholar]
- Tal, H.; Oegiesser, D.; Tal, M. Gingival Depigmentation by Erbium:YAG Laser: Clinical Observations and Patient Responses. J. Periodontol. 2003, 74, 1660–1667. [Google Scholar] [CrossRef]
- Ko, H.J.; Park, J.W.; Suh, J.Y.; Lee, J.M. Esthetic treatment of gingival melanin hyperpigmentation with a Nd:YAG laser and high speed rotary instrument: Comparative case report. J. Periodont. Implant Sci. 2010, 40, 201–205. [Google Scholar] [CrossRef]



| Variable | Frequency | ||
|---|---|---|---|
| n (%) | n (%) | n (%) | |
| Maxillary | Mandibular | Total | |
| Class I | 5 (13.1) | 9 (23.7) | 14 (36.8) |
| Class II | 4 (10.5) | 3 (7.9) | 7 (18.4) |
| Class III | 9 (23.6) | 4 (10.6) | 13 (34.2) |
| Class IV | 2 (5.2) | 1 (2.7) | 3 (7.9) |
| Class V | 1 (2.7) | 0 (0) | 1 (2.7) |
| Class VI | 0 (0) | 0 (0) | 0 (0) |
| Variable | Frequency | ||
|---|---|---|---|
| n (%) | n (%) | n (%) | |
| Maxillary | Mandibular | Total | |
| Degree 1 | 0 (0) | 2 (5.2) | 2 (5.2) |
| Degree 2 | 1 (2.7) | 4 (10.5) | 5 (13.1) |
| Degree 3 | 6 (15.8) | 3 (7.9) | 9 (23.7) |
| Degree 4 | 13 (34.1) | 9 (23.7) | 22 (57.8) |
| Variable Pain | Time | |||
|---|---|---|---|---|
| n (%) | n (%) | n (%) | n (%) | |
| 1 Day | 1 Week | 4 Weeks | 12 Weeks | |
| No | 8 (21) | 37 (97) | 38 (100) | 38 (100) |
| Mild | 29 (76) | 1 (2.6) | 0 (0) | 0 (0) |
| Moderate | 1 (2.6) | 0 (0) | 0 (0) | 0 (0) |
| Severe | 0 (0) | 0 (0) | 0 (0) | 0 (0) |
| Variable Healing | Time | ||
|---|---|---|---|
| n (%) | n (%) | n (%) | |
| 1 Day | 1 Week | 4 Weeks | |
| Score 1 | 0 (0) | 0 (0) | 0 (0) |
| Score 2 | 0 (0) | 0 (0) | 0 (0) |
| Score 3 | 38 (100) | 0 (0) | 0 (0) |
| Score 4 | 0 (0) | 38 (100) | 38 (100) |
| Variable | Baseline | 4 Weeks |
|---|---|---|
| Mean ± SD | 2.24 ± 0.79 | 0.97 ± 0.16 |
| p * | <0.001 | |
Publisher’s Note: MDPI stays neutral with regard to jurisdictional claims in published maps and institutional affiliations. |
© 2022 by the authors. Licensee MDPI, Basel, Switzerland. This article is an open access article distributed under the terms and conditions of the Creative Commons Attribution (CC BY) license (https://creativecommons.org/licenses/by/4.0/).
Share and Cite
Tran, T.H.; Nguyen, Q.L.D.; Do, T.T.; Truong, K.N.; Dang, Q.V.; Bui, M.T.N. Evaluation of Carbon Dioxide Laser–Assisted Treatment for Gingival Melanin Hyperpigmentation. Dent. J. 2022, 10, 238. https://doi.org/10.3390/dj10120238
Tran TH, Nguyen QLD, Do TT, Truong KN, Dang QV, Bui MTN. Evaluation of Carbon Dioxide Laser–Assisted Treatment for Gingival Melanin Hyperpigmentation. Dentistry Journal. 2022; 10(12):238. https://doi.org/10.3390/dj10120238
Chicago/Turabian StyleTran, Trung Huynh, Quynh Le Diem Nguyen, Thao Thi Do, Khue Nhut Truong, Quang Vinh Dang, and Man Thi Ngoc Bui. 2022. "Evaluation of Carbon Dioxide Laser–Assisted Treatment for Gingival Melanin Hyperpigmentation" Dentistry Journal 10, no. 12: 238. https://doi.org/10.3390/dj10120238
APA StyleTran, T. H., Nguyen, Q. L. D., Do, T. T., Truong, K. N., Dang, Q. V., & Bui, M. T. N. (2022). Evaluation of Carbon Dioxide Laser–Assisted Treatment for Gingival Melanin Hyperpigmentation. Dentistry Journal, 10(12), 238. https://doi.org/10.3390/dj10120238

