Phytochemical Investigation, Antiulcer, Cyclooxygenase-2, and 15-Lipoxygenase Inhibitory Activities of Echinops erinaceus Kit Tan
Abstract
1. Introduction
2. Materials and Methods
2.1. Plant Material
2.2. General Experimental Procedures
2.3. Isolation and Purification of Compounds from the CHCl3 Fraction
2.4. In Vivo Anti-Ulcer Assay
2.4.1. Animals
Acute Toxicity Assay
Anti-Ulcer Assay
2.4.2. Induction of Gastric Ulcer and Preparation of Tissue Homogenate
2.4.3. Determination of Gastric Ulcer Index (UI) and Percentage of Inhibition
2.4.4. Determination of Gastric Content of TNF-α and IL-6
2.5. In Vitro COX-2 and 15-LOX Enzyme Assay
2.6. Docking Study
2.6.1. Protein-Ligand Docking
2.6.2. Molecular Docking Analysis
2.7. Statistical Analysis
3. Results and Discussion
3.1. Identification of the Isolated Compounds
3.1.1. Identification of Compounds E1 and E2
3.1.2. Identification of Compound E3
3.1.3. Identification of Compound E4
3.1.4. Identification of Compound E5
3.1.5. Identification of Compound E6
3.1.6. Identification of Compound E7
3.2. Biological Activities of the Main Fractions and Isolates from E. erinaceus
3.2.1. Acute Toxicity Test
3.2.2. In Vivo Anti-Ulcer Activity of Crude Extracts
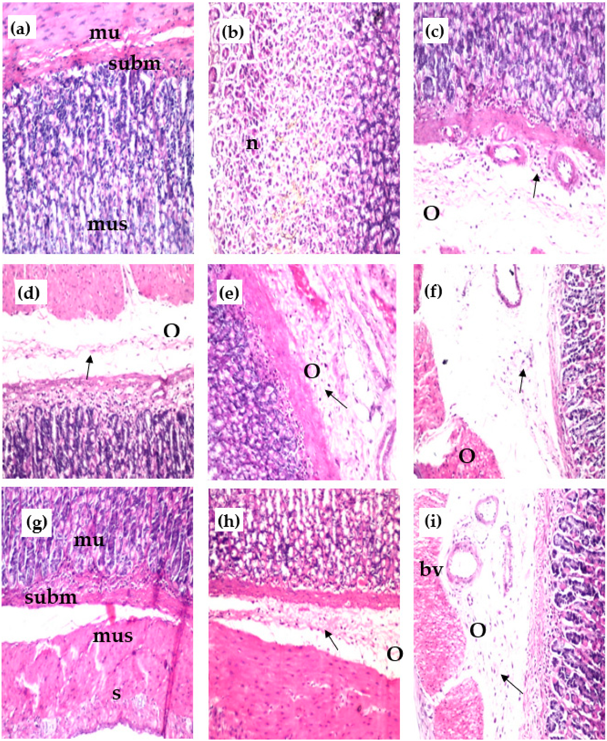
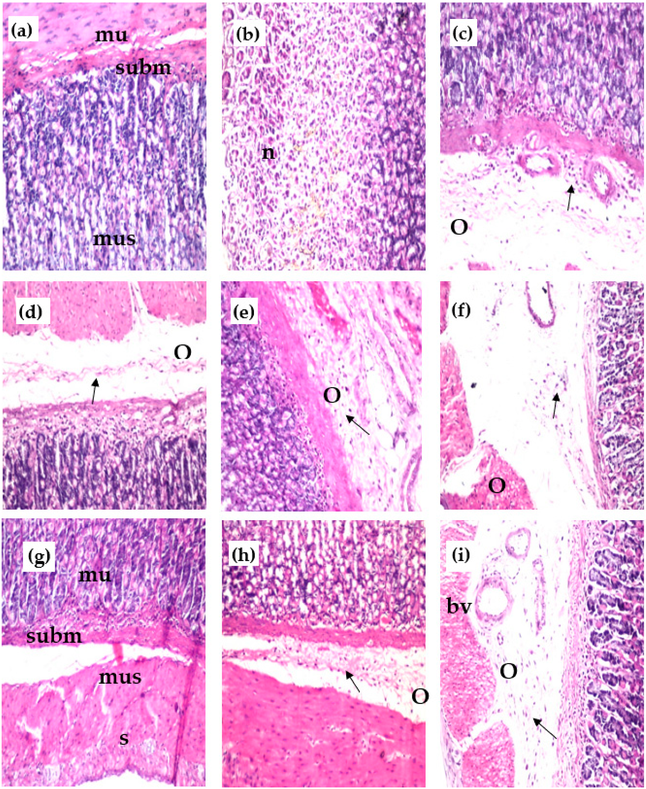
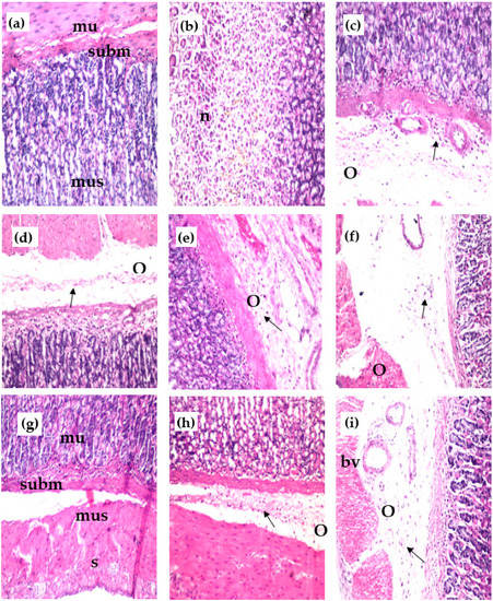
3.2.3. Histopathological Examination
3.2.4. In Vitro Anti-Inflammatory Activity of Isolated Compounds
3.3. Docking Study
3.3.1. PASS and ADME Predictions of the Isolated Compounds
3.3.2. In Silico Molecular Docking Study of Isolated Compounds
Interactions with COX-2
Interactions with 15-LOX
4. Conclusions
Supplementary Materials
Author Contributions
Funding
Data Availability Statement
Acknowledgments
Conflicts of Interest
References
- Lanas, Á.; Carrera-Lasfuentes, P.; Arguedas, Y.; García, S.; Bujanda, L.; Calvet, X.; Ponce, J.; Perez-Aísa, Á.; Castro, M.; Muñoz, M.; et al. Risk of upper and lower gastrointestinal bleeding in patients taking nonsteroidal anti-inflammatory drugs, antiplatelet agents, or anticoagulants. Clin. Gastroenterol. Hepatol. 2015, 13, 906–912.e902. [Google Scholar] [CrossRef]
- Partipilo, M.L.; Woster, P.S. The role of Helicobacter pylori in peptic ulcer disease. Pharmacotherapy 1993, 13, 330–339. [Google Scholar] [PubMed]
- Mani, E.; Neelesh, M.; Sourabh, K.; Gaurav, M. Treatment and Replenishment of G.I. Tract with Combined Regimen Therapy (CRT) of Allopathic (PPIs) and Ayurvedic (Aloe Vera) Medicine in Peptic Ulcer Disease to Counteract Relapse. J. Gastrointest. Dig. Syst. 2015, 5, 1000272. [Google Scholar]
- Wang, J.; Wang, L.; Lou, G.H.; Zeng, H.R.; Hu, J.; Huang, Q.W.; Peng, W.; Yang, X.B. Coptidis Rhizoma: A comprehensive review of its traditional uses, botany, phytochemistry, pharmacology and toxicology. Pharm. Biol. 2019, 57, 193–225. [Google Scholar] [CrossRef] [PubMed]
- Asadi Rad, A.; Najafzadeh-Varzi, H.; Farajzadeh-Sheikh, A. Evaluation of Anti-ulcer Activity of Echinops persicus on Experimental Gastric Ulcer Models in Rats. Vet. Res Forum 2010, 1, 188–191. [Google Scholar]
- Alharbi, K.; El-Ashmawy, I. The Antidiarrheal Activity and Phytoconstituents of Some Methanol Extracts from Asteraceae family. Merit Res. J. Med. Med. Sci. 2015, 3, 347–352. [Google Scholar]
- Shibeshi, W.; Shiferie, F. In vivo antidiarrheal and ex-vivo spasmolytic activities of the aqueous extract of the roots of Echinops kebericho Mesfin (Asteraceae) in rodents and isolated guinea-pig ileum. Int. J. Pharm. Pharm. Sci. 2013, 2, 110–116. [Google Scholar]
- Abdallah, H.; Ezzat, S.; Dine, R.; Abdel-sattar, E.; Abdel-Naimc, A. Protective effect of Echinops galalensis against CCl4-induced injury on the human hepatoma cell line (Huh7). Phytochem. Lett. 2013, 6, 73–78. [Google Scholar] [CrossRef]
- Dashti, F.; Hadinedoushan, H.; Asadi, M. The Effect of Methanol Extract of Echinops lasiolepis on TNF-α Production in LPS-activated J774 A.1 Mouse Macrophages. J. Med. Lab. Sci. 2016, 3, 20–25. [Google Scholar]
- Abdulrasool, A.A.; Fahmi, Z.M.; Khadeem, E.J. A relative assess on wound healing and anti scar activity of crude Echinops heterophyllus extract and some of its bioactive fractions. Int. J. Pharm. Pharm. Sci. 2013, 5, 468–475. [Google Scholar]
- Singh, B.; Gambhir, S.S.; Pandey, V.B.; Joshi, V.K. Anti-inflammatory activity of Echinops echinatus. J. Ethnopharmacol. 1989, 25, 189–199. [Google Scholar] [CrossRef] [PubMed]
- Sweilam, S.H.; Abdel Bar, F.M.; ElGindi, O.D.; El- Sherei, M.M.; Abdel-Sattar, E.A. Chemical and In Vitro Anti-inflammatory Assessment of Echinops erinaceus. Trop. J. Nat. Prod. Res. 2021, 5, 715–719. [Google Scholar]
- Sweilam, S.H.; Abdel Bar, F.M.; Foudah, A.I.; Alqarni, M.H.; Elattal, N.A.; El-Gindi, O.D.; El-Sherei, M.M.; Abdel-Sattar, E. Phytochemical, Antimicrobial, Antioxidant, and In Vitro Cytotoxicity Evaluation of Echinops erinaceus Kit Tan. Separations 2022, 9, 447. [Google Scholar] [CrossRef]
- Singh, U.; Pandey, V.; Singh, K.; Singh, R. Antifungal activity of some new fiavones and fiavone glycosides of Echinops echinatus . Canad. J. Bot. 2011, 66, 1901–1903. [Google Scholar] [CrossRef]
- Zamzami, T.A.; Abdallah, H.M.; Shehata, I.A.; Mohamed, G.A.; Alfaifi, M.Y.; Elbehairi, S.E.I.; Koshak, A.E.; Ibrahim, S.R.M. Macrochaetosides A and B, new rare sesquiterpene glycosides from Echinops macrochaetus and their cytotoxic activity. Phytochem. Lett. 2019, 30, 88–92. [Google Scholar] [CrossRef]
- Bouattour, E.; Fakhfakh, J.; Frikha-Dammak, D.; Jabou, K.; Mohamed, D.; Jarraya, R. Hexane Extract of Echinops spinosissimus Turra subsp. spinosus from Tunisia: A Potential Source of Acetylated Sterols—Investigation of its Biological Activities. Chem. Biodivers. 2016, 13, 1674–1684. [Google Scholar] [CrossRef] [PubMed]
- Ode, O.J.; Asuzu, O.V. Investigation of Cassia singueana leaf extract for antiulcer effects using ethanol-induced gastric ulcer model in rats. Int. J. Plant Anim. Environ. Sci. 2011, 2011, 1–7. [Google Scholar]
- Abdel-Salam, O.; Sleem, A.; Medhat, D.; Salama, R.; Morsy, F.; Farrag, A.R.; Yassen, N. Methylene Blue Protects against Acidified Sodium Taurocholate-Induced Gastric Mucosal Damage. React. Oxyg. Species 2019, 7, 93–105. [Google Scholar] [CrossRef]
- Khare, S.; Asad, M.; Dhamanigi, S.S.; Prasad, V.S. Antiulcer activity of cod liver oil in rats. Indian J. Pharmacol. 2008, 40, 209–214. [Google Scholar] [CrossRef]
- Abdel-Aziz, A.A.M.; El-Azab, A.S.; Abou-Zeid, L.A.; ElTahir, K.E.H.; Abdel-Aziz, N.I.; Ayyad, R.R.; Al-Obaid, A.M. Synthesis, anti-inflammatory, analgesic and COX-1/2 inhibition activities of anilides based on 5,5-diphenylimidazolidine-2,4-dione scaffold: Molecular docking studies. Eur. J. Med. Chem. 2016, 115, 121–131. [Google Scholar] [CrossRef]
- Al-Suwaidan, I.A.; Alanazi, A.M.; El-Azab, A.S.; Al-Obaid, A.M.; ElTahir, K.E.H.; Maarouf, A.R.; Abu El-Enin, M.A.; Abdel-Aziz, A.A.-M. Molecular design, synthesis and biological evaluation of cyclic imides bearing benzenesulfonamide fragment as potential COX-2 inhibitors. Part 2. Bioorg. Med. Chem. Lett. 2013, 23, 2601–2605. [Google Scholar] [CrossRef] [PubMed]
- Oniga, S.D.; Pacureanu, L.; Stoica, C.I.; Palage, M.D.; Crăciun, A.; Rusu, L.R.; Crisan, E.L.; Araniciu, C. COX Inhibition Profile and Molecular Docking Studies of Some 2-(Trimethoxyphenyl)-Thiazoles. Molecules 2017, 22, 1507. [Google Scholar] [CrossRef] [PubMed]
- Tsolaki, E.; Eleftheriou, P.; Kartsev, V.; Geronikaki, A.; Saxena, A.K. Application of Docking Analysis in the Prediction and Biological Evaluation of the Lipoxygenase Inhibitory Action of Thiazolyl Derivatives of Mycophenolic Acid. Molecules 2018, 23, 1621. [Google Scholar] [CrossRef]
- Heidarpoor Saremi, L.; Ebrahimi, A.; Lagzian, M. Identification of new potential cyclooxygenase-2 inhibitors: Insight from high throughput virtual screening of 18 million compounds combined with molecular dynamic simulation and quantum mechanics. J. Biomol. Struct. Dyn. 2021, 39, 1717–1734. [Google Scholar] [CrossRef]
- Mahato, S.B.; Kundu, A.P. 13C NMR Spectra of pentacyclic triterpenoids—A compilation and some salient features. Phytochemistry 1994, 37, 1517–1575. [Google Scholar] [CrossRef]
- PubChem Compound Record. Available online: https://pubchem.ncbi.nlm.nih.gov/compound/5280662. (accessed on 2 June 2022).
- Araya-Maturana, R.; Pessoa-Mahana, H.; Weiss-López, B. Very Long-Range Correlations (nJC,H n > 3) in HMBC Spectra. Nat. Prod. Commun. 2008, 3, 445–450. [Google Scholar] [CrossRef]
- PubChem Compound Record. Available online: https://pubchem.ncbi.nlm.nih.gov/compound/155520. (accessed on 2 June 2022).
- Harborne, J.B. The Flavonoids: Advances in Research Since 1986. J. Chem. Educ. 1994, 72, A73. [Google Scholar] [CrossRef]
- Atta-Ur-Rahman; Ahmad, V.U. 13C-NMR of Natural Prodacts: Volume 1 Monoterpenes and Sesquiterpenes, 1st ed.; Springer: Boston, MA, USA, 1992; Volume 1, p. X, Compound no. 966. [Google Scholar]
- Kojima, H.; Sato, N.; Hatano, A.; Ogura, H. Sterol glucosides from Prunella vulgaris. Phytochemistry 1990, 29, 2351–2355. [Google Scholar] [CrossRef]
- Ridhay, A.; Noor, A.; Soekamto, N.; Harlim, T.; Altena, I. A stigmasterol glycoside from the root wood of Melochia umbellata (Houtt) Stapf Var. degrabrata K. Indones. J. Chem. 2012, 12, 100–103. [Google Scholar] [CrossRef]
- Oliveira, J.; Bernardi, D.; Balbinot, R.; Cabral, M.R.; Zanqueta, É.; Endo, E.; Filho, B.; Nakamura, T.; Figueiredo, M.; Ruiz, A.; et al. New cadinene-sesquiterpene from Chromolaena laevigata (lam.) R. M. King & H. Rob (Asteraceae) aerial parts and biological activities View supplementary material. Nat. Prod. Res. 2020, 1, 1–8. [Google Scholar] [CrossRef]
- Nessa, F.; Ismail, Z.; Mohamed, N.; Haris, M.R.H.M. Free radical-scavenging activity of organic extracts and of pure flavonoids of Blumea balsamifera DC leaves. Food Chem. 2004, 88, 243–252. [Google Scholar] [CrossRef]
- Fenz, R.; Galensa, R. Identification of 1-O-trans-p-coumaroylglycerol as an indicator of maize in beer. Z. Lebensm. Unters. Forsch. 1989, 188, 314–316. [Google Scholar] [CrossRef]
- Li Yan-Mei, Z.Y.-Y.; Yun-Bai, F.; Xuan, W.; Li-Ning, C. Flavonoids from Speranskia tuberculata. J. Chin. Pharm. Sci. 1997, 6, 70–74. [Google Scholar]
- Yuan, W.; Li, S.; Ownby, S.; Zhang, Z.; Wang, P.; Zhang, W.; Beasley, R.S. Flavonoids, coumarins and triterpenes from the aerial parts of Cnidoscolus texanus. Planta Med. 2007, 73, 1304–1308. [Google Scholar] [CrossRef] [PubMed]
- Sun, Y.; Li, Q.; Gui, H.; Xu, D.-P.; Yang, Y.-L.; Su, D.-F.; Liu, X. MicroRNA-124 mediates the cholinergic anti-inflammatory action through inhibiting the production of pro-inflammatory cytokines. Cell Res. 2013, 23, 1270–1283. [Google Scholar] [CrossRef]
- Aziz, N.; Detels, R.; Quint, J.J.; Gjertson, D.; Ryner, T.; Butch, A.W. Biological variation of immunological blood biomarkers in healthy individuals and quality goals for biomarker tests. BMC Immunol. 2019, 20, 33. [Google Scholar] [CrossRef]
- Foudah, A.I.; Alqarni, M.H.; Alam, A.; Salkini, M.A.; Ross, S.A.; Yusufoglu, H.S. Phytochemical Screening, In Vitro and In Silico Studies of Volatile Compounds from Petroselinum crispum (Mill) Leaves Grown in Saudi Arabia. Molecules 2022, 27, 934. [Google Scholar] [CrossRef]
- Filimonov, D.A.; Lagunin, A.A.; Gloriozova, T.A.; Rudik, A.V.; Druzhilovskii, D.S.; Pogodin, P.V.; Poroikov, V.V. Prediction of the Biological Activity Spectra of Organic Compounds Using the Pass Online Web Resource. J. Heterocycl. Chem. 2014, 50, 444–457. [Google Scholar] [CrossRef]
- Daina, A.; Michielin, O.; Zoete, V. SwissADME: A free web tool to evaluate pharmacokinetics, drug-likeness and medicinal chemistry friendliness of small molecules. Sci. Rep. 2017, 7, 42717. [Google Scholar] [CrossRef]
- Daina, A.; Zoete, V. A BOILED-Egg to Predict Gastrointestinal Absorption and Brain Penetration of Small Molecules. ChemMedChem 2016, 11, 1117–1121. [Google Scholar] [CrossRef]
- Bojarska, J.; Remko, M.; Breza, M.; Madura, I.D.; Kaczmarek, K.; Zabrocki, J.; Wolf, W.M. A Supramolecular Approach to Structure-Based Design with A Focus on Synthons Hierarchy in Ornithine-Derived Ligands: Review, Synthesis, Experimental and in Silico Studies. Molecules 2020, 25, 1135. [Google Scholar] [CrossRef] [PubMed]
- Haleem, A.; Hussein, M.; Khames, A.; El-Adasy, A.-B.; Atalla, A.; Abdel-Rady, M.; Hassan, M.; Nemr, M.; Elshaier, Y. Design, synthesis and biological evaluation of new 2-aminothiazole scaffolds as phosphodiesterase type 5 regulators and COX-1/COX-2 inhibitors. RSC Adv. 2020, 10, 29723–29736. [Google Scholar] [CrossRef]
- Ahmadi, M.; Bekeschus, S.; Weltmann, K.-D.; von Woedtke, T.; Wende, K. Non-steroidal anti-inflammatory drugs: Recent advances in the use of synthetic COX-2 inhibitors. RSC Med. Chem. 2022, 13, 471–496. [Google Scholar] [CrossRef] [PubMed]
- Polo, E.; Acosta-Quiroga, K.; Rojas-Peña, C.; Rodríguez Núñez, Y.; Duarte, Y.; Brito, I.; Cisterna, J.; Gutiérrez, M. Molecular modeling and structural analysis of some tetrahydroindazole and cyclopentanepyrazole derivatives as COX-2 Inhibitors. Arab. J. Chem. 2021, 15, 103540. [Google Scholar] [CrossRef]
- Gillmor, S.A.; Villaseñor, A.; Fletterick, R.; Sigal, E.; Browner, M.F. The structure of mammalian 15-lipoxygenase reveals similarity to the lipases and the determinants of substrate specificity. Nat. Struct. Biol. 1997, 4, 1003–1009. [Google Scholar] [CrossRef]
- Khalilov, L.M.; Khalilova, A.Z.; Shakurova, E.R.; Nuriev, I.F.; Kachala, V.V.; Shashkov, A.S.; Dzhemilev, U.M. PMR and 13C NMR Spectra of Biologically Active Compounds. XII. Taraxasterol and Its Acetate from the Aerial Part of Onopordum acanthium. Chem. Nat. Compd. 2003, 39, 285–288. [Google Scholar] [CrossRef]
- Mouffouk, S.; Haba, H.; Lavaud, C.; Christophe, L.; Benkhaled, M. Chemical constituents of Centaurea omphalotricha Coss. & Durieu ex Batt. & Trab. Rec. Nat. Prod. 2012, 6, 292–295. [Google Scholar]





| C/H No. | Type | 1H-NMR a | 13C-NMR b | HMBC (H→C) ab | COSY a | ||
|---|---|---|---|---|---|---|---|
| 2JCH | 3JCH | 4JCH | 1H-1H | ||||
| 1 | C | 71.4 | |||||
| 2 | CH2 | 2.23, q (5.1) c 1.58, d (9.2, 5.1) | 41.2 | C-1, C-3 | C-4, C-6, C-10 | C-7 | H-3 |
| 3 | CH | 3.68, m | 64.9 | C-4 | C-5 | H-2, H-4 | |
| 4 | CH2 | 1.51, d (10.7); 1.21, d (12.8) | 48.0 | C-3, C-5 | C-1, C-2, C-13/14 | H-3 | |
| 5 | C | 36.6 | |||||
| 6 | CH | 7.11, d (15.8) | 146.2 | C-1, C-7 | C-8 | C-9 | |
| 7 | CH | 6.10, d (15.8) | 134.3 | C-6, C-8 | C-1, C-9 | ||
| 8 | C=O | 201.0 | |||||
| 9 | CH3 | 2.22, s | 28.0 | ||||
| 10 | C | 69.4 | |||||
| 11 | C=O | 178.5 | |||||
| 12 | CH3 | 1.10, s | 20.6 | C-10 | C-3 | ||
| 13 | CH3 | 1.11, s | 30.3 | C-14 | C-5 | ||
| 14 | CH3 | 0.90, s | 26.6 | C-1, C-4, C-13 | |||
| C/H No. | Type | 1H-NMR a | 13C-NMR b | HMBC (H→C) a/b | COSY a | ||
|---|---|---|---|---|---|---|---|
| 2JCH | 3JCH | 4JCH | 1H-1H | ||||
| Aglycone moiety | |||||||
| 1 | C | 180.2 | |||||
| 2 | CH | 5.76, s | 125.9 | C-4, C-5 | C-9, C-15 | ||
| 3 | C=O | 202.5 | |||||
| 4 | CH2 | 2.22, 2.28, m | 43.5 | C-3, C-5 | C-15 | C-10 | |
| 5 | C | 41.9 | |||||
| 6 | CH2 | 1.25, brd (12.9); 2.02, m | 35.2 | C-5, C-7 | C-8, C-11, C-15 | C-10, C-12 | H-7 |
| 7 | CH | 1.67, m | 42.6 | C-11 | H-6, H-8 | ||
| 8 | CH2 | 1.67, m | 27.5 | C-7 | H-7, H-9 | ||
| 9 | CH2 | 2.20, m; 2.51, m | 30.6 | C-10 | C-5 | H-10, H-8 | |
| 10 | CH | 2.29, m | 36.0 | C-14 | C-5 | C-15 | H-14 |
| 11 | C | 80.9 | |||||
| 12 | CH3 | 1.14, s | 23.3 | C-11 | C-7, C-13 | C-6, C-1` | |
| 13 | CH3 | 1.16, s | 25.3 | C-11 | C-7, C-12 | C-6, C-1` | |
| 14 | CH3 | 0.95, d (5.0) | 16.3 | C-10 | C-3 | H-10 | |
| 15 | CH3 | 1.02, s | 20.1 | C-5 | C-6 | C-10 | |
| Glucose moiety | |||||||
| 1` | CH | 4.43, d (5.4) | 99.1 | C-2` | C-3`, C-11 | C-4` | H-2` |
| 2` | CH | 3.10, m | 75.7 | C-1` | C-5` | H-1`, H-3` | |
| 3` | CH | 3.39, m | 75.3 | C-6` | H-2`, H-4` | ||
| 4` | CH | 3.16, m | 72.5 | C-3`, C-5` | C-6` | C-1` | H-5` |
| 5` | CH | 3.33, m | 78.5 | C-4` | C-3` | C-2` | H-4`, H-6` |
| 6` | CH2 | 3.97, dd (7.25, 11.7); 4.42, d (7.4) | 65.4 | C-2` | C-11, C-3` | C-4` | H-2` |
| Isovaleric acid moiety | |||||||
| 1`` | C | 174.8 | |||||
| 2`` | CH2 | 2.12, d (6.6) | 44.6 | C-3`` | C-4``, C-5`` | H-3`` | |
| 3`` | CH | 2.01, m | 27.2 | C-2``, C-4``, C-5`` | C-1`` | H-2``, H-4``, H-5`` | |
| 4`` | CH3 | 0.91, d (6.4) | 23.3 | C-3`` | C-2``, C-5`` | H-3`` | |
| 5`` | CH3 | 0.91, d (6.4) | 23.3 | C-3`` | C-2``, C-4`` | H-3`` | |
| C/H No. | Type | 1H-NMR a | 13C-NMRb | HMBC (H→C) a/b | COSY a | C/H No. | Type | 1H-NMR a | 13C-NMRb | HMBC (H→C) a/b | COSY a | ||||
|---|---|---|---|---|---|---|---|---|---|---|---|---|---|---|---|
| 2JCH | 3JCH | 4JCH | 1H-1H | 2JCH | 3JCH | 4JCH | 1H-1H | ||||||||
| Aglycone moiety (DMSO-d6) | Glucose moiety (DMSO-d6,) | ||||||||||||||
| 2 | CH | 5.50, dd (12.6, 2.05 Hz) | 78.9 | C-2`/6` | H-3 | 1`` | CH | 5.13, d, J= 7.8 Hz | 99.5 | C-7 | H-2`` | ||||
| 3 ax. | CH2 | 3.42, m c | 42.3 | C-2, 4 | C-6` | H-2 | 2`` | CH | 3. 37, br.s c | 73.9 | H-1`` | ||||
| 3 eq. | 2.75, brd (17.0 Hz) | C-4 | H-2 | 3`` | CH | 3.57, br.s c | 73.3 | ||||||||
| 4 | C | 197.9 | 4`` | CH | 4.76, br.s | 70.9 | C-5``, 6`` | C-9``` | |||||||
| 5 | C | 12.08, s | 163.0 | 5`` | CH | 3.75, br.s | 74.9 | ||||||||
| 6 | CH | 6.18, d (2.5 Hz) | 96.7 | C-5 | C-8 | 6`` | CH2 | 3.37, br.s c | 60.6 | ||||||
| 7 | C | 165.3 | Trans-p-coumaroyl moiety (DMSO-d6) | ||||||||||||
| 8 | CH | 6.2, d (2.2 Hz) | 95.7 | 1``` | C. | 125.3 | |||||||||
| 9 | C | 158.0 | 2``` | CH | 7.57, d (8.57 Hz) | 130.6 | C-1```, 3``` | C-4```, 6```, 7``` | C-5```, 8``` | H-3``` | |||||
| 10 | C | 103.6 | 3``` | CH | 6.80, d (8.2 Hz) | 115.4 | C-4``` | C-1``` | H-2``` | ||||||
| 1` | C | 125.2 | 4``` | C-OH | 12.08, s | 160.1 | |||||||||
| 2` | CH | 7.34, d (8.1 Hz) | 128.7 | C-3 | C-2, 2`/6` | H-3` | 5``` | CH | 6.80, d (8.2 Hz) | 115.4 | C-4``` | C-1``` | H-6``` | ||
| 3` | CH | 6.80, d (8.2 Hz) | 116.0 | C-2`, 4` | C-1` | C-6` | H-2` | 6``` | CH | 7.57, d (8.6 Hz) | 130.6 | C-1```, C-5``` | C-4```, 2```, C-7``` | C-3```, 8``` | H-5``` |
| 4` | C | 9.87, s | 163.2 | 7``` | CH | 7.58 c | 145.3 | C-8``` | H-8``` | ||||||
| 5` | CH | 6.80, d (8.2 Hz) | 116.0 | C-4`,6` | H-6` | 8``` | CH | 6.41, d (15.9 Hz) | 114.3 | C-7``` | H-7``` | ||||
| 6` | CH2 | 7.34, d, (8.1 Hz) | 128.7 | H-5` | 9``` | C=O | 166.1 | ||||||||
| Control (Saline) | Ethanol Control (1 mL/kg) | Antodine (20 mg/kg) | MeOH Ext. | n-Hex Ext. | CHCl3 Ext. | EtOAc Ext. | ReAq Ext. | |
|---|---|---|---|---|---|---|---|---|
| Ulcer index (mean ± SED) | 0 ± 00 | 6.43 ± 0.34 | 2.37 ± 0.14 ab | 1.83 ± 0.05 abc | 1.77 ± 0.11 abc | 1.80 ± 0.04 abc | 2.07 ± 0.09 abc | 2.30 ± 0.12 ab |
| % Ulcer protection | 100% | -- | 63% | 71% | 73% | 72% | 67% | 64% |
| TNF-α (pg/mL) | 1970 ± 25.69 | 4614 ± 176.79 a | 3610 ± 45.50 ab | 3492 ± 71.65 ab | 3448 ± 99.42 ab | 2948 ± 64.53 abc | 3322 ± 194.97 ab | 3644 ± 137.54 ab |
| IL-6 (pg/mL) | 5.6 ± 0.51 | 156.8 ± 3.50 a | 70.6 ± 1.29 ab | 71.4 ± 7.43 ab | 40.2 ± 1.71abc | 9.46 ± 1.29 bc | 29.8 ± 1.62 abc | 101.4 ± 7.43 abc |
| Sample ID | COX-2 a | 15-LOX a | ||
|---|---|---|---|---|
| IC50 (µg/mL) | Binding Free Energy (kcal/mol) | IC50 (µg/mL) | Binding Free Energy (kcal/mol) | |
| Fr. 3 | 35.39± 1.94 | --- | 46.27 ± 3.74 | --- |
| Fr. 4 | 12.39 ± 1.27 | --- | 21.17± 1.41 | --- |
| Fr. 5 | 3.26 ± 0.69 | --- | 3.02 ± 0.49 | --- |
| Fr. 6 | 4.51± 0.78 | --- | 12.95 ± 1.23 | --- |
| E1 | 49.61± 2.75 | −8.3 | 49.89 ± 3.12 | −6.5 |
| E2 | 8.19 ± 0.93 | −9.0 | 13.06 ±0.98 | −6.7 |
| E3 | 3.41± 0.65 | −6.1 | 10.05± 0.96 | −6.0 |
| E4 | 15.52 ± 1.41 | −7.4 | 68.73 ± 5.76 | −7.0 |
| E5 | 37.0± 2.59 | −7.1 | 47.45 ± 3.88 | −6.6 |
| E6 | 6.54 ± 0.86 | −7.6 | 16.11 ± 1.27 | −6.3 |
| E7 | 2.62 ± 0.71 | −7.7 | 5.51 ±0.76 | −9.2 |
| NDGA b | 1.42± 0.23 | --- | 1.71± 0.27 | −-- |
| Celecoxib | --- | --- | --- | −6.3 |
| RS7 | --- | −6.2 | --- | --- |
| Predictive Parameters | E1 | E2 | E3 | E4 | E5 | E6 | E7 |
|---|---|---|---|---|---|---|---|
| Pass prediction (Pa/Pi) a | |||||||
| Anti-inflammatory | 0.736/0.012 | 0.749/0.010 | 0.595/0.033 | 0.644/0.024 | 0.685/ 0.018 | 0.599/0.032 | 0.736/0.012 |
| Antiosteoporosis */Antiarthritic ** | 0.421/0.020 * | 0.489/0.015 * | 0.456/0.059 ** | 0.468/ 0.017 * | - | 0.481/0.016 * | 0.296/0.040 * |
| Anti-ulcerative | 0.610/0.010 | 0.574/0.013 | 0.406/0.043 | 0.495/0.024 | - | - | 0.749/0.004 |
| Antineoplastic | 0.960/0.004 | 0.960/0.004 | 0.661/0.033 | 0.774/0.015 | 0.524/0.064 | 0.695/0.027 | 0.850/0.007 |
| Oxygen scavenger/antioxidant | 0.240/0.039 | 0.283/0.027 | 0.376/0.110 | 0.732/0.004 | 0.452/0.009 | 0.379/0.014 | 0.991/0.001 |
| ADME Prediction b | |||||||
| Physicochemical parameters | |||||||
| TPSA (0A2): | 26.30 Å2 | 20.23 Å2 | 94.83 Å2 | 90.90 Å2 | 122.52 Å2 | 99.38 Å2 | 192.44 Å2 |
| Molar refractivity | 144.88 | 135.14 | 70.94 | 73.99 | 127.20 | 165.14 | 145.06 |
| Drug-likeness prediction | |||||||
| Bioavailability score | 0.55 | 0.55 | 0.56 | 0.55 | 0.55 | 0.55 | 0.17 |
| Synthetic accessibility | 5.61 | 5.40 | 4.00 | 2.96 | 6.37 | 7.93 | 5.75 |
| Absorption prediction | |||||||
| Log S (ESOL) | −8.73 | −8.24 | −1.54 | −3.94 | −3.52 | −7.26 | −4.75 |
| Consensus Log Po/w | 7.51 | 7.11 | 1.06 | 2.11 | 2.37 | 5.30 | 1.63 |
| Solubility class | Poorly soluble | Poorly soluble | Very soluble | Soluble | Soluble | Poorly soluble | Moderately soluble |
| Distribution prediction/pharmacokinetics | |||||||
| Log Kp (skin permeation, cm/s) | −2.27 | −2.42 | −7.63 | −5.80 | −7.87 | −4.86 | −8.13 |
| GI absorption | Low | Low | High | High | High | High | Low |
| BBB permeant | No | No | No | No | No | No | No |
| Metabolism prediction | |||||||
| P-gp substrate | No | No | No | No | Yes | Yes | No |
| CYP1A2, CYP2C19, CYP2C9, CYP2D6, and CYP3A4 inhibitors | No | No | No | Yes, No, No, Yes, Yes | All No, except Yes (CYP3A4) | No | No |
Disclaimer/Publisher’s Note: The statements, opinions and data contained in all publications are solely those of the individual author(s) and contributor(s) and not of MDPI and/or the editor(s). MDPI and/or the editor(s) disclaim responsibility for any injury to people or property resulting from any ideas, methods, instructions or products referred to in the content. |
© 2023 by the authors. Licensee MDPI, Basel, Switzerland. This article is an open access article distributed under the terms and conditions of the Creative Commons Attribution (CC BY) license (https://creativecommons.org/licenses/by/4.0/).
Share and Cite
Sweilam, S.H.; Abdel Bar, F.M.; Foudah, A.I.; Alqarni, M.H.; El-Gindi, O.D.; El-Sherei, M.M.; Abdel-Sattar, E. Phytochemical Investigation, Antiulcer, Cyclooxygenase-2, and 15-Lipoxygenase Inhibitory Activities of Echinops erinaceus Kit Tan. Separations 2023, 10, 76. https://doi.org/10.3390/separations10020076
Sweilam SH, Abdel Bar FM, Foudah AI, Alqarni MH, El-Gindi OD, El-Sherei MM, Abdel-Sattar E. Phytochemical Investigation, Antiulcer, Cyclooxygenase-2, and 15-Lipoxygenase Inhibitory Activities of Echinops erinaceus Kit Tan. Separations. 2023; 10(2):76. https://doi.org/10.3390/separations10020076
Chicago/Turabian StyleSweilam, Sherouk Hussein, Fatma M. Abdel Bar, Ahmed I. Foudah, Mohammed H. Alqarni, Omayma D. El-Gindi, Moshera M. El-Sherei, and Essam Abdel-Sattar. 2023. "Phytochemical Investigation, Antiulcer, Cyclooxygenase-2, and 15-Lipoxygenase Inhibitory Activities of Echinops erinaceus Kit Tan" Separations 10, no. 2: 76. https://doi.org/10.3390/separations10020076
APA StyleSweilam, S. H., Abdel Bar, F. M., Foudah, A. I., Alqarni, M. H., El-Gindi, O. D., El-Sherei, M. M., & Abdel-Sattar, E. (2023). Phytochemical Investigation, Antiulcer, Cyclooxygenase-2, and 15-Lipoxygenase Inhibitory Activities of Echinops erinaceus Kit Tan. Separations, 10(2), 76. https://doi.org/10.3390/separations10020076

