Next Issue
Volume 166, 01
Previous Issue
Volume 165, 01
 
 
Swiss Archives of Neurology, Psychiatry and Psychotherapy is published by MDPI from Volume 176 Issue 1 (2026). Previous articles were published by another publisher in Open Access under a CC-BY (or CC-BY-NC-ND) licence, and they are hosted by MDPI on mdpi.com as a courtesy and upon agreement with the previous journal publisher.

Swiss Arch. Neurol. Psychiatry Psychother., Volume 166, Issue 1 (01 2015) – 11 articles

  • Issues are regarded as officially published after their release is announced to the table of contents alert mailing list.
  • You may sign up for e-mail alerts to receive table of contents of newly released issues.
  • PDF is the official format for papers published in both, html and pdf forms. To view the papers in pdf format, click on the "PDF Full-text" link, and use the free Adobe Reader to open them.
Order results
Result details
Select all
Export citation of selected articles as:
108 KB  
Book Review
EMG / NLG. Elektromyografie–Nervenleitungsuntersuchungen
by EMH Swiss Medical Publishers Ltd.
Swiss Arch. Neurol. Psychiatry Psychother. 2015, 166(1), 27-30; https://doi.org/10.4414/sanp.2015.00291 - 1 Jan 2015
Abstract
Zu myo- und zu neurografieren lernt man nicht aus Büchern [...]
Full article
116 KB  
Book Review
Liebe und Aggression. Eine unzertrennliche Beziehung
by EMH Swiss Medical Publishers Ltd.
Swiss Arch. Neurol. Psychiatry Psychother. 2015, 166(1), 27-30; https://doi.org/10.4414/sanp.2015.00289 - 1 Jan 2015
Abstract
Das vorliegende Werk von Otto F. Kernberg mit dem spannenden Titel «Liebe und Aggression» bietet eine gelungene Zusammenfassung und einen ausgezeichneten Überblick zu diesem Thema [...]
Full article
144 KB  
Book Review
Psychiatrie und Psychotherapie des Kindes- und Jugendalters
by EMH Swiss Medical Publishers Ltd.
Swiss Arch. Neurol. Psychiatry Psychother. 2015, 166(1), 27-30; https://doi.org/10.4414/sanp.2015.00288 - 1 Jan 2015
Abstract
Zur ersten Auflage dieses Buches sind sehr positive Besprechungen erschienen [...]
Full article
95 KB  
Book Review
Ethik psychiatrischer Forschung
by EMH Swiss Medical Publishers Ltd.
Swiss Arch. Neurol. Psychiatry Psychother. 2015, 166(1), 27-30; https://doi.org/10.4414/sanp.2015.00283 - 1 Jan 2015
Abstract
Anzuzeigen ist ein Buch, das sich in sorgfältiger Weise einem besonders sensiblen Bereich der Psychiatrie nähert [...]
Full article
170 KB  
Book Review
The Pathophysiology of Behavior and Mental Illness
by EMH Swiss Medical Publishers Ltd.
Swiss Arch. Neurol. Psychiatry Psychother. 2015, 166(1), 27-30; https://doi.org/10.4414/sanp.2015.00282 - 1 Jan 2015
Abstract
Ce manuel de neuroscience de psychiatrie clinique [...] Full article
942 KB  
Article
Ausschreibung – Forschungsförderung
by EMH Swiss Medical Publishers Ltd.
Swiss Arch. Neurol. Psychiatry Psychother. 2015, 166(1), 26; https://doi.org/10.4414/sanp.2015.00307 - 1 Jan 2015
Viewed by 33
Abstract
Des défis majeurs sont lancés à la médecine et plus géné ralement à la société [...] Full article
732 KB  
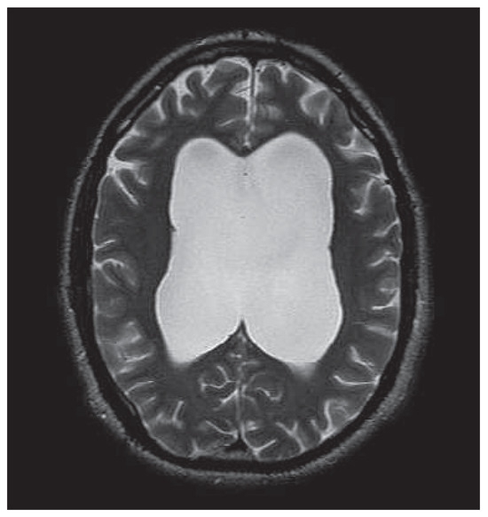
Case Report
Hydrocephalus, psychosis and art: a case report
by Sarah Noll, Heinz Boeker, Gerold Roth-Greminger, Paul Hoff and Daniel Schuepbach
Swiss Arch. Neurol. Psychiatry Psychother. 2015, 166(1), 23-25; https://doi.org/10.4414/sanp.2015.00303 - 1 Jan 2015
Cited by 1 | Viewed by 31
Abstract
Objectives: Published evidence suggests a linkage between structural brain damage and psychotic symptoms. Internal hydrocephalus often manifests with neurological and psychiatric symptoms, which occur with great variety between individuals. Methods and results: We present a case of a male suffering from treatment refractory [...] Read more.
Objectives: Published evidence suggests a linkage between structural brain damage and psychotic symptoms. Internal hydrocephalus often manifests with neurological and psychiatric symptoms, which occur with great variety between individuals. Methods and results: We present a case of a male suffering from treatment refractory psychosis for years, and with a special talent for artistic painting. An enormous communicating hydrocephalus, which has probably existed for several years, was detected by means of anatomical neuroimaging. As the patient began to suffer from signs of high intracranial pressure such as headache and dizziness, an endoscopic third ventriculostomy was successfully performed. The neurological symptoms disappeared shortly after surgery, psychotic symptoms attenuated gradually and artistic work changed. Conclusions: This case is exceptional with regard to symptoms caused by a hydrocephalus and changes in artistic work, as an expression of executive function and abstract thinking, due to surgical intervention. It demonstrates the need to pay attention to cerebral lesions when confronted with neuropsychiatric symptomatology, especially if psychotic symptoms persist despite adequate antipsychotic treatment. Full article
Show Figures

Figure 1

197 KB  
Review
Stigmatisation et logement
by Carla Garcia-Gonzalez de Ara and Charles Bonsack
Swiss Arch. Neurol. Psychiatry Psychother. 2015, 166(1), 17-22; https://doi.org/10.4414/sanp.2015.00302 - 1 Jan 2015
Cited by 1 | Viewed by 29
Abstract
Stigma and housing Stigma and discriminatory attitudes towards people with severe psychiatric disorders exists since the beginning of humanity. Fear of differences and unknown, added to a lack of knowledge about psychiatric disorders play an important role in discrimination of “madness” in our [...] Read more.
Stigma and housing Stigma and discriminatory attitudes towards people with severe psychiatric disorders exists since the beginning of humanity. Fear of differences and unknown, added to a lack of knowledge about psychiatric disorders play an important role in discrimination of “madness” in our societies. Housing is a basic civil right; it is essential to the construction of identity, and for being part of a society. In addition, it is a basic need in the process of psychological recovery. The absence, loss or instable housing contributes to increase mental illness-related symptoms and has as a consequence marginalisation, social exclusion and institutionalisation. In this article, we review various studies on stigma related to housing. Finally, we outline a systemic vision of psychiatric accommodation for a catchment area, in order to organise the global supply from a recovery perspective. Thus, psychiatric accommodation should offer five different missions according to the needs of the patients: (1.) a basic mission, comparable to the support of caring family members, (2.) a maintenance mission, for people with a persistent loss of autonomy, (3.) a mission of rehabilitation, to help people to recover autonomy (4.) a mission of engagement for revolving door and homeless patients and (5.) a mission of transition to access individual accommodation with the support of intensive case management. This global perspective offers a balanced and non-stigmatising organisation of psychiatric accommodation, and intends to reconcile continuum and “housing first” models of care. Full article
401 KB  
Review
Le traitement orienté en phases en addictologie
by Ansgar Rougemont-Bücking, Valérie Rossier, Jacques Eicher, Jean-Philippe Falcheri, Diego Noetzli, Aviva Veron, Coralie Zumwald, Cédric Perriard, Fabio Rollo, Erika Castro, Loïc Menneret and Jacques Besson
Swiss Arch. Neurol. Psychiatry Psychother. 2015, 166(1), 8-16; https://doi.org/10.4414/sanp.2015.00304 - 1 Jan 2015
Cited by 2 | Viewed by 31
Abstract
Phase-oriented therapy in addictology: an integrative concept for the long-term treatment of patients suffering from addictive disorders Addictive disorders can be conceptualized as bonding disorders. People suffering from these conditions partially lose their capacity to be in contact with themselves and others and, [...] Read more.
Phase-oriented therapy in addictology: an integrative concept for the long-term treatment of patients suffering from addictive disorders Addictive disorders can be conceptualized as bonding disorders. People suffering from these conditions partially lose their capacity to be in contact with themselves and others and, generally speaking, to be within the world. The psychoactive drug, along with the compulsive-addictive behavior, acts as a substitute for the missing bonding. Consequently, the recovery from the disturbed attachment patterns is crucial for the therapeutic process. In many cases, an interpersonal trauma lies at the origin of the broken bond with the community. Phase- oriented treatment (POT) has been established as a conceptual framework that guides therapeutic interventions in the setting of complex post-traumatic disorders. As numerous patients with addiction disorders display a history of psychotrauma, POT is a useful approach for treating these patients. The four distinct phases of POT are comprised of: alliance, stabilisation, integration, and reconnection. The progressive recovery of beneficial bonding competencies culminates in a state of “finding peace and a place” within the community, although trauma sequelae and functional limitations often persist. This article discusses concrete clinical implications that arise when treating patients with severe and chronic forms of addiction by means of POT. Full article
Show Figures

Figure 1

121 KB  
Review
Human rights in psychiatry
by Andreas Heinz, Sabine Müller, Carolin Wackerhagen, Laura Kipp, Christiane Montag and Lieselotte Mahler
Swiss Arch. Neurol. Psychiatry Psychother. 2015, 166(1), 4-7; https://doi.org/10.4414/sanp.2015.00311 - 1 Jan 2015
Cited by 8 | Viewed by 23
Abstract
The United Nation’s Convention on the Rights of Persons with Disabilities as well as rulings of the highest constitutional court in Germany (Bundesverfassungsgericht) have emphasised and defined humans rights in psychiatry and directed therapeutic efforts towards social inclusion. We describe key aspects of [...] Read more.
The United Nation’s Convention on the Rights of Persons with Disabilities as well as rulings of the highest constitutional court in Germany (Bundesverfassungsgericht) have emphasised and defined humans rights in psychiatry and directed therapeutic efforts towards social inclusion. We describe key aspects of the convention and some court rulings and discuss how to best put them into practice. We suggest that treatment should be centred around personal, not institutional needs. Such a person-centred approach has to be directed at the real world of subjects with mental disorders, promote paid job placement, provide flexible home treatment teams and open the doors of acute wards to reinforce the orientation of therapeutic activities towards users and to reduce aggressive interactions as well as absconding. Empirical evidence for this person-centred approach and the required resources is provided and discussed in light of current modifications and models of financing of in- and outpatient treatment. Full article
40 KB  
Editorial
A propos de fanatisme
by Jacques Besson and Joachim Küchenhoff
Swiss Arch. Neurol. Psychiatry Psychother. 2015, 166(1), 3; https://doi.org/10.4414/sanp.2015.00312 - 1 Jan 2015
Viewed by 31
Abstract
Les terribles événements survenus [...] Full article
Previous Issue
Next Issue
Back to TopTop