Next Issue
Volume 158, 01
Previous Issue
Volume 158, 01
 
 
Swiss Archives of Neurology, Psychiatry and Psychotherapy is published by MDPI from Volume 176 Issue 1 (2026). Previous articles were published by another publisher in Open Access under a CC-BY (or CC-BY-NC-ND) licence, and they are hosted by MDPI on mdpi.com as a courtesy and upon agreement with the previous journal publisher.

Swiss Arch. Neurol. Psychiatry Psychother., Volume 158, Issue 2 (01 2007) – 15 articles

  • Issues are regarded as officially published after their release is announced to the table of contents alert mailing list.
  • You may sign up for e-mail alerts to receive table of contents of newly released issues.
  • PDF is the official format for papers published in both, html and pdf forms. To view the papers in pdf format, click on the "PDF Full-text" link, and use the free Adobe Reader to open them.
Order results
Result details
Select all
Export citation of selected articles as:
101 KB  
Book Review
Hans-Otto Karnath, Wolfgang Hartje, Wolfram Ziegler, Herausgeber: Kognitive Neurologie
by EMH Swiss Medical Publishers Ltd.
Swiss Arch. Neurol. Psychiatry Psychother. 2007, 158(2), 92; https://doi.org/10.4414/sanp.2007.01835 - 1 Jan 2007
Viewed by 29
Abstract
Das Interesse für kognitive Störungen hat in der europäischen Neurologie eine über 100jährige Tradition. Ende der 1950er Jahre wurde die Untersuchung kognitiver Störungen aber zunehmend standardisierter und von psychometrisch besser geschulten Psychologen übernommen; nur wenige Lehrstätten der Neurologie interessierten sich weiterhin für «Neuropsychologie» [...] Read more.
Das Interesse für kognitive Störungen hat in der europäischen Neurologie eine über 100jährige Tradition. Ende der 1950er Jahre wurde die Untersuchung kognitiver Störungen aber zunehmend standardisierter und von psychometrisch besser geschulten Psychologen übernommen; nur wenige Lehrstätten der Neurologie interessierten sich weiterhin für «Neuropsychologie» [...] Full article
101 KB  
Book Review
Hanns Hippius, Bernd Holdorff, Hans Schliack, Herausgeber: Nervenärzte 2. 21 Biographien und ein Psychiatrie-Literaturhistorischer Essay
by EMH Swiss Medical Publishers Ltd.
Swiss Arch. Neurol. Psychiatry Psychother. 2007, 158(2), 91-92; https://doi.org/10.4414/sanp.2007.01834 - 1 Jan 2007
Abstract
Das vorliegende Buch ist eine Fortsetzung einer Sammlung biographischer Portraits von Nervenärzten, die in den zurückliegenden zwei Jahrhunderten die Entwicklung der Psychiatrie und Neurologie geprägt haben [...] Full article
101 KB  
Book Review
Mark Hallett, Sudhansu Chokroverty, editors: Magnetic Stimulation in Clinical Neurophysiology
by EMH Swiss Medical Publishers Ltd.
Swiss Arch. Neurol. Psychiatry Psychother. 2007, 158(2), 91; https://doi.org/10.4414/sanp.2007.01833 - 1 Jan 2007
Abstract
Die Möglichkeit, die Hirnrinde mit einem präzise gesteuerten Impuls magnetisch – und damit schmerzlos – zu stimulieren, wurde vor 20 Jahren von Barker et al. entdeckt und hat sich seither zu einem wichtigen Instrument der Neurophysiologie entwickelt [...] Full article
101 KB  
Book Review
Gene S. Fisch, Jonathan Flint, editors: Transgenic and Knockout Models of Neuropsychiatric Disorders
by EMH Swiss Medical Publishers Ltd.
Swiss Arch. Neurol. Psychiatry Psychother. 2007, 158(2), 90-92; https://doi.org/10.4414/sanp.2007.01832 - 1 Jan 2007
Abstract
Die Fortschritte der Molekularbiologie der letzten beiden Jahrzehnte haben zu einem enormen Schub an Erkenntnis der Grundlagen neurologischer Erkrankung geführt [...] Full article
101 KB  
Book Review
Alois Ebner, Günther Deuschl, Herausgeber: EEG
by EMH Swiss Medical Publishers Ltd.
Swiss Arch. Neurol. Psychiatry Psychother. 2007, 158(2), 90-92; https://doi.org/10.4414/sanp.2007.01831 - 1 Jan 2007
Abstract
Der Methodenband EEG aus der Referenzreihe Neurologie des Thieme-Verlags, herausgegeben von A. Ebner und G. Deuschl, stellt Beiträge von 20 namhaften Autoren zusammen, die in 14 etwa 10seitigen Kapiteln in die wesentlichen Grundlagen der Methodik und Auswertung des EEGs einführen. Systematisch gegliedert werden [...] Read more.
Der Methodenband EEG aus der Referenzreihe Neurologie des Thieme-Verlags, herausgegeben von A. Ebner und G. Deuschl, stellt Beiträge von 20 namhaften Autoren zusammen, die in 14 etwa 10seitigen Kapiteln in die wesentlichen Grundlagen der Methodik und Auswertung des EEGs einführen. Systematisch gegliedert werden physiologische und technische Aspekte, Lokalisation und Interpretation von normalen, schlafinduzierten, fokalen, diffusen und epilepsietypischen EEG-Veränderungen und Artefakte dargestellt und durch Kapitel über computergestützte EEG-Auswertung, Langzeitableitung und pharmakologisch induzierte Veränderungen ergänzt [...] Full article
101 KB  
Book Review
Heinz-Walter Delank, Walter Gehlen: Neurologie
by EMH Swiss Medical Publishers Ltd.
Swiss Arch. Neurol. Psychiatry Psychother. 2007, 158(2), 90-92; https://doi.org/10.4414/sanp.2007.01830 - 1 Jan 2007
Abstract
Das kompakte Lehrbuch «Neurologie» von Delank und Gehlen erschien heuer in seiner elften, korrigierten Auflage [...] Full article
101 KB  
Book Review
Michael Benatar: Neuromuscular Disease. Evidence and Analysis in Clinical Neurology
by EMH Swiss Medical Publishers Ltd.
Swiss Arch. Neurol. Psychiatry Psychother. 2007, 158(2), 90-92; https://doi.org/10.4414/sanp.2007.01829 - 1 Jan 2007
Abstract
The aim of this book written by a single author is ambitious: to review the literature on the relatively common neuromuscular problem with respect to diagnosis, treatment and prognosis, and to present a description, analysis and discussion of type and quality of this [...] Read more.
The aim of this book written by a single author is ambitious: to review the literature on the relatively common neuromuscular problem with respect to diagnosis, treatment and prognosis, and to present a description, analysis and discussion of type and quality of this literature [...] Full article
173 KB  
Article
Multifocal motor neuropathy: IVIg and other therapies
by Leonard H. van den Berg
Swiss Arch. Neurol. Psychiatry Psychother. 2007, 158(2), 86-89; https://doi.org/10.4414/sanp.2007.01828 - 1 Jan 2007
Cited by 1 | Viewed by 43
Abstract
Placebo-controlled studies showed that treatment with intravenous human immunoglobulins (IVIg) improves muscle strength of patients with multifocal motor neuropathy. The beneficial effect of IVIg lasts several weeks, and repeated IVIg are necessary to maintain muscle strength [...] Full article
Show Figures

Figure 1

112 KB  
Article
Multifocal motor neuropathy: and then, 20 years later … IVIg therapy
by Jean-Marc Léger and I. Lievens
Swiss Arch. Neurol. Psychiatry Psychother. 2007, 158(2), 81-85; https://doi.org/10.4414/sanp.2007.01827 - 1 Jan 2007
Cited by 2 | Viewed by 33
Abstract
Multifocal motor neuropathy is a distinct entity, whose treatment differs from that of other chronic immune-mediated neuropathies, mainly chronic inflammatory demyelinating polyradiculoneuropathy and its variant, multifocal acquired demyelinating sensory and motor neuropathy, although they share some electrophysiological characteristics. From the first descriptions intravenous [...] Read more.
Multifocal motor neuropathy is a distinct entity, whose treatment differs from that of other chronic immune-mediated neuropathies, mainly chronic inflammatory demyelinating polyradiculoneuropathy and its variant, multifocal acquired demyelinating sensory and motor neuropathy, although they share some electrophysiological characteristics. From the first descriptions intravenous immunoglobulins have been considered to be the gold standard of treatment for multifocal motor neuropathy [...] Full article
103 KB  
Article
Pathophysiology of conduction block in multifocal motor neuropathy
by G. Ardolino, B. Bossi, S. Barbieri, E. Nobile-Orazio and Alberto Priori
Swiss Arch. Neurol. Psychiatry Psychother. 2007, 158(2), 78-80; https://doi.org/10.4414/sanp.2007.01826 - 1 Jan 2007
Viewed by 36
Abstract
Multifocal motor neuropathy (MMN) is a rare disorder of the peripheral nervous system characterised by the presence of focal motor conduction blocks. Although the pathological basis of conduction block is believed to be focal demyelination, in multifocal motor neuropathy this mechanism lacks definitive [...] Read more.
Multifocal motor neuropathy (MMN) is a rare disorder of the peripheral nervous system characterised by the presence of focal motor conduction blocks. Although the pathological basis of conduction block is believed to be focal demyelination, in multifocal motor neuropathy this mechanism lacks definitive proof from morphological studies. In recent years special neurophysiological techniques for assessing axonal excitability non-invasively in humans have expanded knowledge on the pathophysiology of multifocal motor neuropathy. Nonetheless, several findings support the hypothesis that conduction blocks probably arise from more than one pathogenetic mechanism (hyperpolarisation or depolarisation) which can change during the course of the disease and probably represent the “tip of the iceberg” of axo-myelinic abnormalities [...] Full article
292 KB  
Article
Pathophysiology of multifocal motor neuropathy
by Ryuji Kaji
Swiss Arch. Neurol. Psychiatry Psychother. 2007, 158(2), 69-77; https://doi.org/10.4414/sanp.2007.01824 - 1 Jan 2007
Cited by 1 | Viewed by 40
Abstract
Multifocal motor neuropathy is a unique disease that not only challenges the electromyographer to make differential diagnosis from a fatal disease but also provides an opportunity to reconsider the mechanism of conduction block in demyelinating neuropathies [...] Full article
Show Figures

Figure 1

133 KB  
Article
Gérard Roth: a pioneer in the discovery of multifocal motor neuropathy with persistent conduction blocks
by Michel R. Magistris
Swiss Arch. Neurol. Psychiatry Psychother. 2007, 158(2), 65-68; https://doi.org/10.4414/sanp.2007.01823 (registering DOI) - 1 Jan 2007
Viewed by 37
Abstract
Gérard Roth, a prominent Swiss neurologist and neurophysiologist, passed away on May 10, 2006, at the age of 83 years [...] Full article
Show Figures

Figure 1

276 KB  
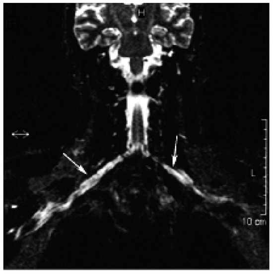
Article
Clinical background of the multifocal motor neuropathy: the Lausanne experience
by Thierry Kuntzer, A. J. Radziwill and S. A. Botez
Swiss Arch. Neurol. Psychiatry Psychother. 2007, 158(2), 57-64; https://doi.org/10.4414/sanp.2007.01825 - 1 Jan 2007
Cited by 3 | Viewed by 44
Abstract
In this review we describe patients examined in Lausanne in whom a diagnosis of multifocal motor neuropathy (MMN) with conduction block (CB) was made, the basis of a discussion of the literature [...] Full article
Show Figures

Figure 1

180 KB  
Article
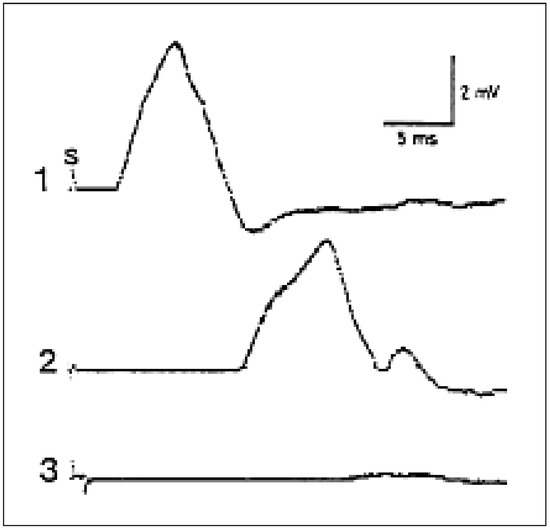
Multifocal motor neuropathy: the first two cases
by François François
Swiss Arch. Neurol. Psychiatry Psychother. 2007, 158(2), 52-56; https://doi.org/10.4414/sanp.2007.01822 - 1 Jan 2007
Viewed by 33
Abstract
The author presents here the clinical history of 2 patients with chronic asymmetric motor neuropathy of the upper limbs. The affected muscles were weak but not wasted, and there were many fasciculations and myokymia.Electrophysiological examination recognised (i) proximal multifocal persistent conduction blocks located [...] Read more.
The author presents here the clinical history of 2 patients with chronic asymmetric motor neuropathy of the upper limbs. The affected muscles were weak but not wasted, and there were many fasciculations and myokymia.Electrophysiological examination recognised (i) proximal multifocal persistent conduction blocks located outside the usual entrapment sites, (ii) asynchronous and arrhythmic firing of a large number of fasciculation potentials recorded in the paretic muscles that were isolated or grouped, discharging distally on the blocked axons, and (iii) reduction of the number of motor unit potentials according to the severity of the conduction block during maximal voluntary contractions. During follow-up the weakness of these 2 patients slowly increased, and new conduction blocks could be seen at each examination, together with progressive denervation and amyotrophy. The patients died several years after onset, but no nerve biopsy was available. The patients were described in a medical thesis in 1986 and were the first two to be published and known to suffer from a peripheral neuropathy nowadays known as multifocal motor neuropathy. It is underlined that in 1986 the nosology of this neuropathy was unknown and there were neither biological markers nor treatment. Full article
Show Figures

Figure 1

93 KB  
Editorial
Multifocal motor neuropathy: and then, 20 years later …
by Thierry Kuntzer
Swiss Arch. Neurol. Psychiatry Psychother. 2007, 158(2), 51; https://doi.org/10.4414/sanp.2007.01821 - 1 Jan 2007
Viewed by 31
Abstract
Multifocal motor neuropathy (MMN) is a rare disorder of the peripheral nerve, typically characterised by progressive muscle weakness and spontaneous activity of motor units (fasciculations and myokymia) that usually initially affect the distal upper or sometimes lower extremities. This syndrome was recognised by [...] Read more.
Multifocal motor neuropathy (MMN) is a rare disorder of the peripheral nerve, typically characterised by progressive muscle weakness and spontaneous activity of motor units (fasciculations and myokymia) that usually initially affect the distal upper or sometimes lower extremities. This syndrome was recognised by a group of Swiss neurologists-neurophysiologists who published their observations in 1986 [1]. This paper provided a comprehensive description of the clinical and electrophysiological manifestations of the disorder, including that of the hallmark of the neuropathy – the persistent conduction block of the peripheral motor nerve fibres. Full article
Previous Issue
Next Issue
Back to TopTop