Next Issue
Volume 153, 01
Previous Issue
Volume 152, 01
 
 
Swiss Archives of Neurology, Psychiatry and Psychotherapy is published by MDPI from Volume 176 Issue 1 (2026). Previous articles were published by another publisher in Open Access under a CC-BY (or CC-BY-NC-ND) licence, and they are hosted by MDPI on mdpi.com as a courtesy and upon agreement with the previous journal publisher.

Swiss Arch. Neurol. Psychiatry Psychother., Volume 152, Issue 6 (01 2001) – 6 articles , Pages 253-290

  • Issues are regarded as officially published after their release is announced to the table of contents alert mailing list.
  • You may sign up for e-mail alerts to receive table of contents of newly released issues.
  • PDF is the official format for papers published in both, html and pdf forms. To view the papers in pdf format, click on the "PDF Full-text" link, and use the free Adobe Reader to open them.
Order results
Result details
Select all
Export citation of selected articles as:
94 KB  
Article
Grusswort
by EMH Swiss Medical Publishers Ltd.
Swiss Arch. Neurol. Psychiatry Psychother. 2001, 152(6), 290; https://doi.org/10.4414/sanp.2001.01246 - 1 Jan 2001
Viewed by 28
Abstract
Für die Frühjahrestagung der Schweizerischen Neurologischen Gesellschaft (SNG) in Crans-Montana [...] Full article
90 KB  
Book Review
Volker Dietz, Hrsg.: Klinik der Rückenmarkschädigung, Diagnose – Therapie – Rehabilitation
by EMH Swiss Medical Publishers Ltd.
Swiss Arch. Neurol. Psychiatry Psychother. 2001, 152(6), 289; https://doi.org/10.4414/sanp.2001.01248 - 1 Jan 2001
Viewed by 33
Abstract
Dieses umfassende Lehrbuch der Paraplegiologie ist aus der Koordination verschiedener Kräfte im Zürcher Behandlungs- und Forschungszentrum für Paraplegie entstanden [...] Full article
96 KB  
Communication
Kurz-Info zur SNG-Standespolitik/Politique professionnelle de la SSN
by Hans Rudolf Stöckli
Swiss Arch. Neurol. Psychiatry Psychother. 2001, 152(6), 288-289; https://doi.org/10.4414/sanp.2001.01247 - 1 Jan 2001
Viewed by 37
Abstract
Liebe Kolleginnen und Kollegen [...] Full article
200 KB  
Article
Genetics of Alzheimer’s disease
by Andreas Papassotiropoulos, J. R. Streffer, C. Hock and R. M. Nitsch
Swiss Arch. Neurol. Psychiatry Psychother. 2001, 152(6), 278-287; https://doi.org/10.4414/sanp.2001.01243 - 1 Jan 2001
Cited by 3 | Viewed by 37
Abstract
Alzheimer’s disease is the most common cause of dementia in the elderly. Several potential factors have been described,which may determine the risk for the development of Alzheimer’s disease. Among these, genetic factors play the most important role. From a genetic point of view, [...] Read more.
Alzheimer’s disease is the most common cause of dementia in the elderly. Several potential factors have been described,which may determine the risk for the development of Alzheimer’s disease. Among these, genetic factors play the most important role. From a genetic point of view, Alzheimer’s disease may be subdivided into three forms according to the observed mode of inheritance: autosomal-dominant familial Alzheimer’s disease, familial Alzheimer’s disease without clear Mendelian inheritance (i.e. familial aggregation), and sporadic Alzheimer’s disease without familial aggregation. This review article gives an overview of genetic research strategies in Alzheimer’s disease, describes the known mutations resulting in an autosomal-dominant pattern of inheritance, and discusses some commonly accepted genetic susceptibility factors associated with the more common forms of Alzheimer’s disease. Full article
219 KB  
Review
CADASIL, artériopathie cérébrale et systémique autosomale dominante associée à des accidents ischémiques sous-corticaux et à une leucoencéphalopathie: une revue
by Alphonse Probst and M. Tolnay
Swiss Arch. Neurol. Psychiatry Psychother. 2001, 152(6), 269-277; https://doi.org/10.4414/sanp.2001.01245 - 1 Jan 2001
Viewed by 45
Abstract
CADASIL is an increasingly recognised inherited arterial disease involving brain vessels and, to a lesser degree, systemic vessels, with an autosomal dominant pattern of transmission. Affected individuals have migraine, mood disturbances, cognitive changes and recurrent strokes often progressing to subcortical dementia associated with [...] Read more.
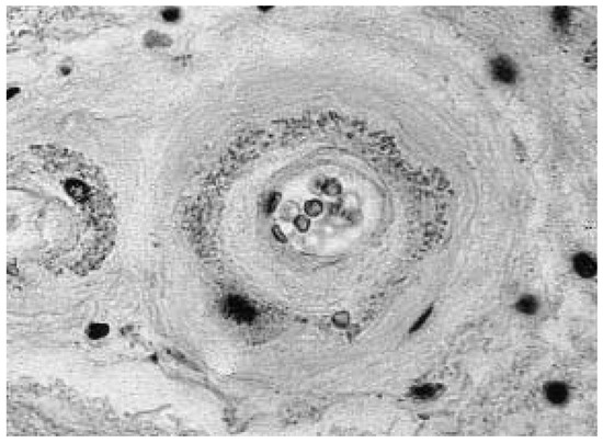
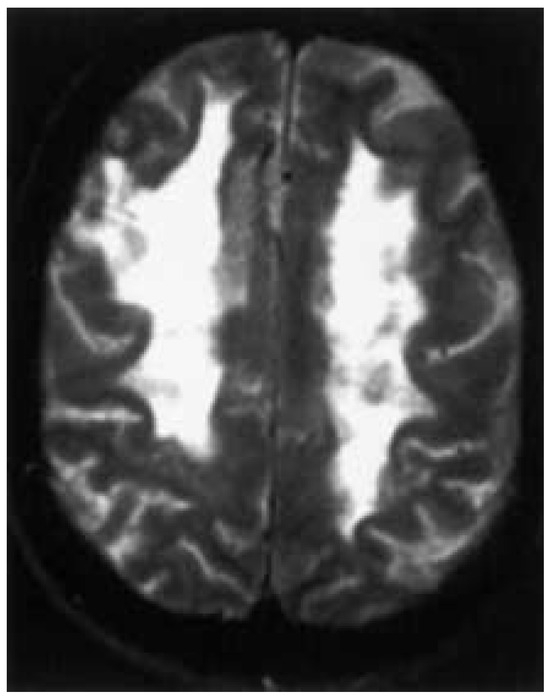
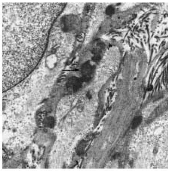
CADASIL is an increasingly recognised inherited arterial disease involving brain vessels and, to a lesser degree, systemic vessels, with an autosomal dominant pattern of transmission. Affected individuals have migraine, mood disturbances, cognitive changes and recurrent strokes often progressing to subcortical dementia associated with pseudobulbar palsy, gait disturbances, and loss of sphincter control. The disease begins at the age of 40 to 50 and death eventually occurs usually 20 years after the first manifestation of the disease. Magnetic resonance imaging and pathological examination show multiple subcortical lacunar infarcts and diffuse leukoencephalopathy. Brain and leptomeningeal vessels and, to a lesser degree, systemic arterial vessels show nonamyloid, nonarteriosclerotic changes characterised by a hyaline thickening and deposition of a granular eosinophilic material in the media. Cardiovascular risk factors, particularly hypertension, are usually missing. At the ultrastructural level, the most consistent finding consists of a deposition of a granulated osmiophilic material in the extracellular matrix and a destruction of vascular smooth muscle cells. The presence of this material in small arteries of a skin biopsy allows to confirm the suspicion of CADASIL in presence of suggestive clinical and brain imaging features and of similar clinical symptoms in first relatives. The disease has been reported in several families and shown to be caused by strongly stereotyped mutations of the Notch3 gene on chromosome 19q12. However, occurrence of CADASIL due to de novo noninherited mutation of Notch3 gene has also been reported. Recent investigations have shown that the expression of the nonmutated Notch3 is restricted to vascular smooth muscle cells in adult human tissues. In CADASIL, a cleavage product of mutated Notch3 dramatically accumulates at the cytoplasmic membrane of smooth muscle cells near the granular osmiophilic deposits. Full article
Show Figures

Figure 1

217 KB  
Review
Approaches to prevention of a first stroke
by G. R. de Freitas and Julien Bogousslavsky
Swiss Arch. Neurol. Psychiatry Psychother. 2001, 152(6), 253-268; https://doi.org/10.4414/sanp.2001.01244 - 1 Jan 2001
Viewed by 33
Abstract
Stroke is one of the leading causes of mortality and morbidity worldwide. Despite recent important advances in therapeutic approaches, only a very small proportion of patients receive treatment and treatment is still far from satisfactory. Several conditions and life-style factors have been identified [...] Read more.
Stroke is one of the leading causes of mortality and morbidity worldwide. Despite recent important advances in therapeutic approaches, only a very small proportion of patients receive treatment and treatment is still far from satisfactory. Several conditions and life-style factors have been identified as risk factors for stroke, and strategies aimed at modifying these are the best way to reduce the burden imposed by the disease.We review the available data on the effectiveness of modifying risk factors by means of life-style changes, drugs, and surgery in the primary prevention of stroke. Identification of new risk factors and of markers for individuals at high risk is essential for more efficacious prevention. Full article
Previous Issue
Next Issue
Back to TopTop