Next Issue
Volume 152, 01
Previous Issue
Volume 152, 01
 
 
Swiss Archives of Neurology, Psychiatry and Psychotherapy is published by MDPI from Volume 176 Issue 1 (2026). Previous articles were published by another publisher in Open Access under a CC-BY (or CC-BY-NC-ND) licence, and they are hosted by MDPI on mdpi.com as a courtesy and upon agreement with the previous journal publisher.

Swiss Arch. Neurol. Psychiatry Psychother., Volume 152, Issue 2 (01 2001) – 7 articles , Pages 49-76

  • Issues are regarded as officially published after their release is announced to the table of contents alert mailing list.
  • You may sign up for e-mail alerts to receive table of contents of newly released issues.
  • PDF is the official format for papers published in both, html and pdf forms. To view the papers in pdf format, click on the "PDF Full-text" link, and use the free Adobe Reader to open them.
Order results
Result details
Select all
Export citation of selected articles as:
138 KB  
Abstract
Successful therapy of complete middle cerebral artery-(MCA-)territory ischemia by combination of very early hypothermia and decompressive hemicraniotomy: case report
by EMH Swiss Medical Publishers Ltd.
Swiss Arch. Neurol. Psychiatry Psychother. 2001, 152(2), 69-76; https://doi.org/10.4414/sanp.2001.01204 - 1 Jan 2001
Viewed by 24
Abstract
Successful therapy of complete middle cerebral artery-(MCA-)territory ischemia by combination of very early hypothermia and decompressive hemicraniotomy: case report [...] Full article
89 KB  
Article
Grusswort
by EMH Swiss Medical Publishers Ltd.
Swiss Arch. Neurol. Psychiatry Psychother. 2001, 152(2), 68; https://doi.org/10.4414/sanp.2001.01210 - 1 Jan 2001
Viewed by 28
Abstract
Die Zerebrovaskuläre Arbeitsgruppe der Schweiz ist eine 1996 gegründete, interdisziplinäre Interessensgemeinschaft von Ärzten und Ärztinnen und anderen Wissenschaftlern und Wissenschaftlerinnen, die sich besonders der Problematik des Schlaganfalls widmen [...] Full article
127 KB  
Communication
Kurz-Info zur SNG-Standespolitik
by Hans Rudolf Stöckli
Swiss Arch. Neurol. Psychiatry Psychother. 2001, 152(2), 66-67; https://doi.org/10.4414/sanp.2001.01206 - 1 Jan 2001
Viewed by 27
Abstract
Diverse Parallelberechnungen in mehreren Kantonen haben bisher gezeigt, dass bei den allermeisten neurologischen Leistungen keine Honorareinbussen zu erwarten sind [...] Full article
156 KB  
Article
Hyperperfusionssyndrom nach Karotisendarterektomie
by S. Lorenzetti, M. Sturzenegger and Claudio Bassetti
Swiss Arch. Neurol. Psychiatry Psychother. 2001, 152(2), 61-65; https://doi.org/10.4414/sanp.2001.01205 - 1 Jan 2001
Viewed by 37
Abstract
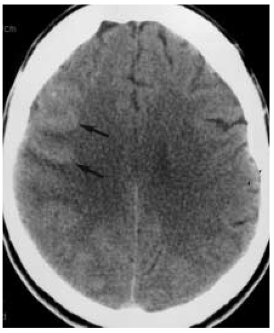
This is a case report of a 51-year-old woman who 10 days after carotid endarterectomy developed a hyperperfusion syndrome characterised by headache, systolic blood pressure values around 280 mm Hg, a possible single seizure, focal neurologic deficits, elevated intracranial blood velocities on transcranial [...] Read more.
This is a case report of a 51-year-old woman who 10 days after carotid endarterectomy developed a hyperperfusion syndrome characterised by headache, systolic blood pressure values around 280 mm Hg, a possible single seizure, focal neurologic deficits, elevated intracranial blood velocities on transcranial Doppler, and focal brain oedema on brain CT with luxury perfusion. Treatment with antihypertensive drugs led within a few days to a regression of clinical, Doppler, and radiologic changes. Full article
Show Figures

Figure 1

163 KB  
Article
Bovine spongiforme Enzephalopathie (BSE): Auftreten und Entwicklung in Europa
by Lukas Perler
Swiss Arch. Neurol. Psychiatry Psychother. 2001, 152(2), 55-60; https://doi.org/10.4414/sanp.2001.01209 - 1 Jan 2001
Viewed by 33
Abstract
Cases of bovine spongiform encephalopathy (BSE) have been described in an increasing number of European countries in the last couple of years. The public closely follows the occurrence and eradication of the disease. Methods to identify BSE cases which were based on mandatory [...] Read more.
Cases of bovine spongiform encephalopathy (BSE) have been described in an increasing number of European countries in the last couple of years. The public closely follows the occurrence and eradication of the disease. Methods to identify BSE cases which were based on mandatory reporting animals displaying clinical signs compatible with BSE have been extended by an active and targeted surveillance of cattle. Active surveillance represents a considerable tool in the monitoring of the eradication. According to the knowledge of the disease, eradication measures have been continuously adapted and intensified. Full article
Show Figures

Figure 1

195 KB  
Article
Prion diseases and neuroinvasion
by Michael A. Klein
Swiss Arch. Neurol. Psychiatry Psychother. 2001, 152(2), 50-54; https://doi.org/10.4414/sanp.2001.01208 - 1 Jan 2001
Viewed by 37
Abstract
Prion diseases are lethal neurodegenerative disorders affecting animals and humans. Although human prion diseases are generally rare, the incidence of a “new variant” Creutzfeldt-Jakob disease in young patients in the United Kingdom is increasing. Considerable evidence suggests that this novel disease is the [...] Read more.
Prion diseases are lethal neurodegenerative disorders affecting animals and humans. Although human prion diseases are generally rare, the incidence of a “new variant” Creutzfeldt-Jakob disease in young patients in the United Kingdom is increasing. Considerable evidence suggests that this novel disease is the sequelae of exposure to BSE-contaminated food products. Recently several clues have been identified regarding the mechanisms of prion spread in an infected host following peripheral infection. In this article the involvement of the immune system in the mechanism of prion spread from peripheral sites to the central nervous system will be discussed. These studies will help to establish strategies aimed at therapy for iatrogenic prion disease and new variant Creutzfeldt-Jakob disease (vCJD) in humans. Full article
Show Figures

Figure 1

90 KB  
Editorial
Spongiforme Enzephalopathien: eine Gruppe besorgniserregender Krankheiten
by EMH Swiss Medical Publishers Ltd.
Swiss Arch. Neurol. Psychiatry Psychother. 2001, 152(2), 49; https://doi.org/10.4414/sanp.2001.01207 - 1 Jan 2001
Viewed by 32
Abstract
Die übertragbaren spongiformen Enzephalopathien sind eine Gruppe neurodegenerativer letaler Hirnerkrankungen [...] Full article
Previous Issue
Next Issue
Back to TopTop