Next Issue
Volume 151, 01
Previous Issue
Volume 151, 01
 
 
Swiss Archives of Neurology, Psychiatry and Psychotherapy is published by MDPI from Volume 176 Issue 1 (2026). Previous articles were published by another publisher in Open Access under a CC-BY (or CC-BY-NC-ND) licence, and they are hosted by MDPI on mdpi.com as a courtesy and upon agreement with the previous journal publisher.

Swiss Arch. Neurol. Psychiatry Psychother., Volume 151, Issue 2 (01 2000) – 7 articles , Pages 47-82

  • Issues are regarded as officially published after their release is announced to the table of contents alert mailing list.
  • You may sign up for e-mail alerts to receive table of contents of newly released issues.
  • PDF is the official format for papers published in both, html and pdf forms. To view the papers in pdf format, click on the "PDF Full-text" link, and use the free Adobe Reader to open them.
Order results
Result details
Select all
Export citation of selected articles as:
454 KB  
Abstract
HOPE’S: Health Outcomes Programme in Epilepsy with Sanofi-Synthélabo
by Günter Krämer
Swiss Arch. Neurol. Psychiatry Psychother. 2000, 151(2), 81-82; https://doi.org/10.4414/sanp.2000.01150 - 1 Jan 2000
Viewed by 39
Abstract
Anlässlich des 23. Internationalen Epilepsiekongresses in Prag in der Zeit vom 12.–17. September 1999 wurde auf einer gemeinsam mit dem Internationalen Büro für Epilepsie (IBE) veranstalteten Pressekonferenz das obengenannte umfassende Programm vorgestellt [...] Full article
454 KB  
Communication
Info concernant la politique professionnelle de la SNN
by H. R. Stöckli
Swiss Arch. Neurol. Psychiatry Psychother. 2000, 151(2), 80-81; https://doi.org/10.4414/sanp.2000.01149 - 1 Jan 2000
Viewed by 35
Abstract
Nos propositions concernant les prestations neurologiques ont été intégrées dans le catalogue des prestations avec quelques modifications mineures (neurographie de surface). De même la taxation des prestations diagnostiques de neuro-sonographie a-t-elle été corrigée selon nos vues. Nous avons de ce fait pu renoncer [...] Read more.
Nos propositions concernant les prestations neurologiques ont été intégrées dans le catalogue des prestations avec quelques modifications mineures (neurographie de surface). De même la taxation des prestations diagnostiques de neuro-sonographie a-t-elle été corrigée selon nos vues. Nous avons de ce fait pu renoncer à des démarches juridiques (prévues par une votation consultative lors de l’assemblée générale du 7 mai 1999 à Münsterlingen). Actuellement une mise au point est en cours au sujet de la polysomnographie en collaboration avec les pneumologues [...] Full article
454 KB  
Communication
Résumé de congrès
by Th. Kuntzer
Swiss Arch. Neurol. Psychiatry Psychother. 2000, 151(2), 79-80; https://doi.org/10.4414/sanp.2000.01148 - 1 Jan 2000
Viewed by 37
Abstract
Il s’agissait de la 4e réunion de la société, après Londres (1996), Tunis (1997), Naples (1998) [...] Full article
127 KB  
Article
Transcranial Doppler detection of microembolic signals in clinical practice
by E. Vassileva, H. Schnorf, O. Personeni and J. Le Floch-Rohr
Swiss Arch. Neurol. Psychiatry Psychother. 2000, 151(2), 74-78; https://doi.org/10.4414/sanp.2000.01146 - 1 Jan 2000
Cited by 1 | Viewed by 39
Abstract
The potential value of microembolic signal detection by transcranial Doppler sonography in the clinical evaluation of patients with cerebrovascular disease is investigated and particular attention given to the prevalence of microembolic signals in different clinical groups.The present study was conducted on 158 patients, [...] Read more.
The potential value of microembolic signal detection by transcranial Doppler sonography in the clinical evaluation of patients with cerebrovascular disease is investigated and particular attention given to the prevalence of microembolic signals in different clinical groups.The present study was conducted on 158 patients, 100 of whom had 120 stenoses (moderate-grade in 69 arteries, highgrade in 38) or occlusions of the carotid artery (13 cases), and 58 of whom suffered from stroke of other aetiologies in the anterior circulation.Among the 120 stenoses and occlusions, 87 were asymptomatic and 33 were symptomatic.The cerebral vessels of the patients were evaluated by continuous wave Doppler sonography, colour-coded duplex scanning, transcranial Doppler sonography and digital substraction angiography. Cardiac examination included electrocardiography, Holter monitoring and echocardiography.
Microembolic signals were found in patients only when a source of cerebral embolism was detected. Patients with vascular or cardiac embolism were likely to show microembolic signals, the frequency being not significantly different. microembolic signals were found in 33% of patients with carotid artery disease and in 31% of patients with cerebral embolism of cardiac source, 4 of the latter patients having a prosthetic cardiac valve. Microembolic signals were less prevalent in patients with moderate-grade (3/69) ICA stenosis than in patients with high-grade (9/38) stenosis (p <0.01), but more prevalent in patients with symptomatic high-grade (7/15) stenosis than in cases with asymptomatic (2/23) ones (p <0.05). Patients with moderate-grade stenoses and detectable microembolic signals should be further studied, as they might benefit from a more aggressive therapy, such as endarterectomy. Full article
226 KB  
Article
An open multi-centre Swiss study on efficacy, safety and tolerability of oral sumatriptan in the treatment of migraine under practice conditions
by G. Jenzer, B. Henggeler, M. Good and B. Althaus
Swiss Arch. Neurol. Psychiatry Psychother. 2000, 151(2), 69-73; https://doi.org/10.4414/sanp.2000.01147 - 1 Jan 2000
Viewed by 36
Abstract
The objectives of this open study were to determine the efficacy, safety and tolerability of 50 mg and 100 mg oral doses of sumatriptan in migraineurs under practice conditions in Switzerland. Among the patients (n = 163) treated with 50 mg tablets for [...] Read more.
The objectives of this open study were to determine the efficacy, safety and tolerability of 50 mg and 100 mg oral doses of sumatriptan in migraineurs under practice conditions in Switzerland. Among the patients (n = 163) treated with 50 mg tablets for the first 2 attacks, half (n = 81) were aiming for a higher efficacy and switched to 100 mg for the subsequent 2 attacks.With 50 mg tablets, 2 hours after intake, 63% of the attacks were treated successfully, and 75% after 4 hours. Response rates with the 100 mg treatment (n = 81) were similar: 59% (2 h) and 69% (4 h). Both dosages were well tolerated, with no serious adverse events.The study confirms the dose dependent efficacy of oral sumatriptan. For some patients, the switch from 50 mg to 100 mg single doses appears to be a promising option.The results seem to be fairly comparable to those obtained in other countries, in well controlled studies, and under clinical conditions. Full article
Show Figures

Figure 1

163 KB  
Article
Réflexions sur la morphologie de la schizophrénie
by E. Wildi and V. Djientcheu
Swiss Arch. Neurol. Psychiatry Psychother. 2000, 151(2), 57-68; https://doi.org/10.4414/sanp.2000.01145 - 1 Jan 2000
Cited by 1 | Viewed by 30
Abstract
The pathological anatomy of schizophrenia has been studied well in autopsy series between 1935 to 1960. Morphologic data provided by MRI are different from that obtained at autopsy. The authors present a review of the literature, an analysis of the results, hypotheses and [...] Read more.
The pathological anatomy of schizophrenia has been studied well in autopsy series between 1935 to 1960. Morphologic data provided by MRI are different from that obtained at autopsy. The authors present a review of the literature, an analysis of the results, hypotheses and a basis for reflection.
Analysis demonstrates highly statistically significant differences with the X2 and F test with autopsy series showing that the schizophrenic patient is different from the non-schizophrenic in that the lateral ventricles are of small size, the brain is heavier, the Reichardt’s coefficient is smaller and the goniosynapses are more frequent. Senile plaques and Alzheimer’s neuronal lesions in brain atrophy related to aging are uncommon. Anoxic lesions in the brain and some arteriolar lesions are less frequent (dysphoric angiopathy and hypertensive arteriosclerosis).
The cerebral metabolism is a particular one with a high resistance to spontaneous convulsive seizures and the anoxic state of the induced seizures. Full article
214 KB  
Article
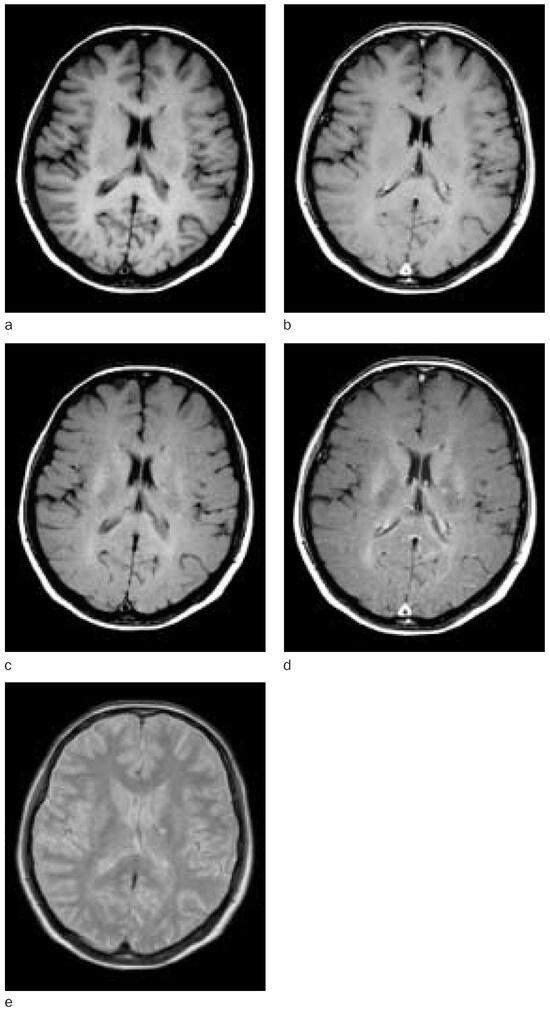
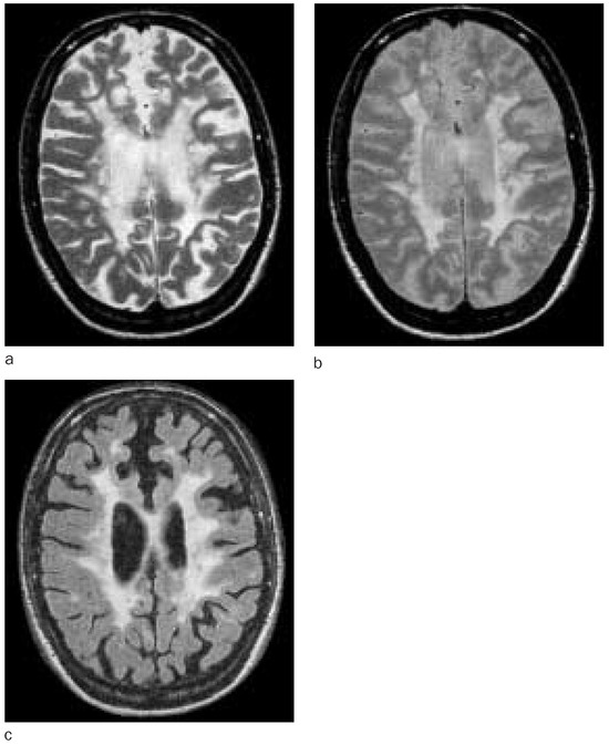
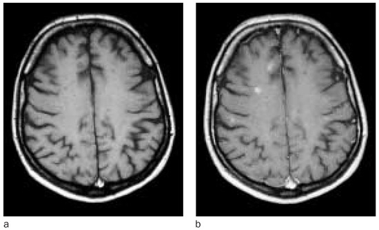
Stellenwert der Magnetresonanztomographie bei Diagnose und Krankheitsmonitoring der Multiplen Sklerose
by P. Freitag, L. Kappos and E. W. Radü
Swiss Arch. Neurol. Psychiatry Psychother. 2000, 151(2), 47-56; https://doi.org/10.4414/sanp.2000.01144 - 1 Jan 2000
Cited by 4 | Viewed by 34
Abstract
Magnetic resonance imaging (MRI) is currently the best method for imaging multiple sclerosis. Although there is only a weak correlation between clinical disease evolution and conventional magnetic resonance imaging findings, it is a very sensitive method which provides important additional information both in [...] Read more.
Magnetic resonance imaging (MRI) is currently the best method for imaging multiple sclerosis. Although there is only a weak correlation between clinical disease evolution and conventional magnetic resonance imaging findings, it is a very sensitive method which provides important additional information both in individual case studies and in therapeutic trials. In this review the impact of MRI in diagnosis, prognosis, follow-up and treatment control in multiple sclerosis patients is shown with respect to the different disease courses. More re-cent MR techniques like magnetisation transfer imaging, proton magnetic resonance spectroscopy, measurements of atrophy, functional magnetic resonance imaging (fMRI) and diffusion weighted magnetic resonance imaging are explained. Their contribution for the understanding of pathophysiological and pathoanatomical disease processes in multiple sclerosis and the improvement of clinical correlation between MRI and disease course is discussed. Full article
Show Figures

Figure 1

Previous Issue
Next Issue
Back to TopTop