Next Issue
Volume 9, 03
Previous Issue
Volume 8, 09
 
 
Germs is published by MDPI from Volume 15 Issue 4 (2025). Previous articles were published by another publisher in Open Access under a CC-BY (or CC-BY-NC-ND) licence, and they are hosted by MDPI on mdpi.com as a courtesy and upon agreement with the former publisher Infection Science Forum.

Germs, Volume 8, Issue 4 (12 2018) – 7 articles , Pages 175-217

  • Issues are regarded as officially published after their release is announced to the table of contents alert mailing list.
  • You may sign up for e-mail alerts to receive table of contents of newly released issues.
  • PDF is the official format for papers published in both, html and pdf forms. To view the papers in pdf format, click on the "PDF Full-text" link, and use the free Adobe Reader to open them.
Order results
Result details
Select all
Export citation of selected articles as:
195 KB  
Case Report
Pasteurella multocida Wound Infection Transmitted by a Pet Dog
by Sofia Maraki, Grigoris Kastanis, Dimitra Stafylaki, Samer Masunt, Petros Kapsetakis and Effie Scoulica
Germs 2018, 8(4), 214-217; https://doi.org/10.18683/germs.2018.1149 - 3 Dec 2018
Cited by 7 | Viewed by 352
Abstract
Introduction: Human pasteurellosis is a severe human infection that accounts for 20–30 human deaths annually worldwide. Μucous secretions derived from pets comprise the primary source of infection, which are transmitted through animal scratches or bites. Case report: We describe a case of Pasteurella [...] Read more.
Introduction: Human pasteurellosis is a severe human infection that accounts for 20–30 human deaths annually worldwide. Μucous secretions derived from pets comprise the primary source of infection, which are transmitted through animal scratches or bites. Case report: We describe a case of Pasteurella multocida wound infection in an immunocompetent adult with a decubitus ulcer of the lower extremity. The organism was also isolated from an oral swab of the patient’s dog with which he reported close contact. The patient had a favorable outcome following aggressive surgical debridement, antimicrobial treatment and subsequent wound care. Conclusion: Our case illustrates that licking of open wound is an alternative source of infections by Pasteurella multocida, and emphasizes the need for avoidance of wound contact with animals. Full article
423 KB  
Case Report
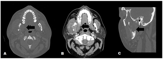
Mandibular Blastomycosis: A Case Report and Review of the Literature
by Fritzie S. Albarillo, Gotam T. Varma and Stephen P.R. MacLeod
Germs 2018, 8(4), 207-213; https://doi.org/10.18683/germs.2018.1148 - 3 Dec 2018
Cited by 5 | Viewed by 72
Abstract
Introduction: Blastomycosis is an endemic mycosis in the United States known to primarily cause pneumonia. However, dissemination to different organs including the musculoskeletal system has been described. Case report: We report a case of mandibular blastomycosis in a healthy patient with no evidence [...] Read more.
Introduction: Blastomycosis is an endemic mycosis in the United States known to primarily cause pneumonia. However, dissemination to different organs including the musculoskeletal system has been described. Case report: We report a case of mandibular blastomycosis in a healthy patient with no evidence of lung involvement. A 28 year-old female presented with recurrent right mandibular osteomyelitis despite courses of antibiotics and surgical debridement. She eventually underwent right hemimandibulectomy. Budding yeasts visualized on Gomori Methenamine-Silver (GMS) and Periodic acid–Schiff (PAS) were morphologically consistent with Blastomyces dermatitidis, and intra-operative cultures showed growth of mold identified as B. dermatitidis by DNA probe. She was placed on a prolonged course of itraconazole with clinical improvement. We also reviewed the literature and found 5 cases of similar presentation which we briefly summarized in this present case report. Conclusion: Blastomycosis should be considered in patients with recurrent or persistent mandibular osteomyelitis even in immunocompetent individuals. Full article
Show Figures

Figure 1

327 KB  
Article
Risk Factors and Distribution of MDROs Among Patients with Healthcare Associated Burn Wound Infection
by Mariam Alfadli, Eman M. El-Sehsah and Moustapha Ahmed-Maher Ramadan
Germs 2018, 8(4), 199-206; https://doi.org/10.18683/germs.2018.1147 - 3 Dec 2018
Cited by 18 | Viewed by 94
Abstract
Introduction: Patients with burn wounds are more susceptible to develop healthcare associated (HA) infection. Bacterial isolates from HA burn wound infection vary from one place to the other and also differ in terms of antimicrobial susceptibility pattern. The aim of our study was [...] Read more.
Introduction: Patients with burn wounds are more susceptible to develop healthcare associated (HA) infection. Bacterial isolates from HA burn wound infection vary from one place to the other and also differ in terms of antimicrobial susceptibility pattern. The aim of our study was to assess the incidence of HA burn wound infection, risk factors and to determine the microbiological profile and antimicrobial susceptibility pattern of isolated pathogens. Methods: This was a one-year retrospective descriptive study conducted between January 2017 and December 2017, in Al-Babtain Burn and Plastic Surgery center, Kuwait. The identification of bacterial isolates was conducted by conventional biochemical methods according to standard microbiological techniques and commercially available kits using analytical profile index procedure. Results: Total body surface area >35% affected and length of stay more than 14 days were statistically significant risk factors for HA burn infection (RR of 10.057 and 5.912, respectively). Analysis of microbiological profile of these positive cultures indicated that the most common isolated organism was Acinetobacter baumannii followed by Klebsiella pneumoniae. Multidrug resistant organisms composed 65.85% of the positive isolates. Vancomycin, tigecycline, teicoplanin and linezolid showed 100% effectiveness for all Gram positive isolates. For Gram negative organisms, imipenem and meropenem showed 38.71% and 41.93% efficacy, respectively. Conclusion: Identification of antimicrobial susceptibility patterns helps to tailor the required antibiotic policy to minimize the acquired infections among these vulnerable patients. Full article
Show Figures

Figure 1

430 KB  
Article
Detection of Antibiotic-Producing Actinobacteria in the Sediment and Water of Ma'in Thermal Springs (Jordan)
by Emad I. Hussein, Jacob H. Jacob, Muhamad Ali K. Shakhatreh, Mutaz A. Abd Al-Razaq, Abdul-Salam F. Juhmani and Christopher T. Cornelison
Germs 2018, 8(4), 191-198; https://doi.org/10.18683/germs.2018.1146 - 3 Dec 2018
Cited by 25 | Viewed by 86
Abstract
Introduction: Detection of new Actinobacteria is significant to discover new antibiotics because development of new antibiotics is connected to the characterization of novel bacterial taxa. This study has focused on the identification and isolation of antibiotic-producing Actinobacteria from the sediment and the water [...] Read more.
Introduction: Detection of new Actinobacteria is significant to discover new antibiotics because development of new antibiotics is connected to the characterization of novel bacterial taxa. This study has focused on the identification and isolation of antibiotic-producing Actinobacteria from the sediment and the water of Ma'in thermal springs (48–59°C) situated in the center area of Jordan. Methods: Samples of sediment and water were transferred to glucose yeast malt agar medium and Actinobacteria were cultivated, isolated and identified according to scanning electron microscopy and 16S rRNA gene analysis. Antibacterial activities of the isolates were then tested against different test bacteria by agar well diffusion method. Results: Three different species of Actinobacteria were isolated (M1-1, M2-2, M3-2) from sediment samples. Based on 16S rRNA gene analysis, isolate M1-1 was found to have only 90% identity percentage with Nocardiopsis sp., however, isolates M2-2 and M3-2 were found to be closely related Streptomyces sp. (97%) and Nocardioides luteus (99%), respectively. The antibacterial activity showed that strain M1-1 is active against P. aeruginosa ATCC 2785 (inhibition zone, 9 mm). Strain M2-2 was found to be active against S. aureus ATCC 29213 (12 mm), B. cereus ATCC 11778 (11 mm), and E. coli ATCC 25922 (9 mm). In respect to strain M3-2, it was found to be active against S. aureus ATCC 29213 (14 mm) and B. cereus ATCC 11778 (9 mm). There were no actinobacterial isolates obtained from water samples despite their significant diversity revealed by our previous metagenomic analysis, which showed the presence of 13 different species dominated by Arthrobacter (an Actinobacterium belonging to family Actinomycetales). Conclusion: There were 17 different Actinobacteria that could be detected in Ma'in thermal springs (13 unculturable species and 3 culturable species). The culturable Actinobacteria were found to have some antimicrobial activity. Further chemical analysis of the bioactive compounds is recommended. Full article
Show Figures

Figure 1

318 KB  
Article
High Level Aminoglycoside Resistant Enterococci in Hospital-Acquired Urinary Tract Infections in Mansoura, Egypt
by Rasha El-Mahdy, Ahmed Mostafa and Ghada El-Kannishy
Germs 2018, 8(4), 186-190; https://doi.org/10.18683/germs.2018.1145 - 3 Dec 2018
Cited by 18 | Viewed by 99
Abstract
Introduction: Resistance to different antimicrobial agents is increasing in enterococci and effective treatment represents a major health concern. The aim of this study was to determine the antimicrobial resistance patterns and the frequency of high level aminoglycoside resistance (HLAR) among enterococci. Methods: A [...] Read more.
Introduction: Resistance to different antimicrobial agents is increasing in enterococci and effective treatment represents a major health concern. The aim of this study was to determine the antimicrobial resistance patterns and the frequency of high level aminoglycoside resistance (HLAR) among enterococci. Methods: A total of 80 enterococcal isolates, (73 Enterococcus faecalis, 7 Enterococcus faecium) were collected from patients with hospital acquired urinary tract infections (UTI) at Mansoura University hospitals in Egypt. Antimicrobial susceptibility testing was performed via the disc diffusion method. PCR was used for identification of species and detection of aminoglycoside-modifying enzymes genes (AME). Results: All enterococcal isolates were sensitive to vancomycin and linezolid. Fifty-three isolates exhibited HLAR. Our results show that HLAR was mediated by the presence of multiple AMEs genes. The aac(6′)-Ie-aph(2′)-Ia gene was associated with aph(3′)-IIIa and ant(6)-Ia gene in 69% of HLAR isolates. Conclusion: This study showed that enterococci isolated from hospital acquired UTI were resistant to multiple antibiotics. Furthermore, the frequency of high level gentamicin resistance (HLGR) was higher than high level of streptomycin resistance (HLSR). The most common AME genes were aph(3′)-IIIa and ant(6)-Ia followed by aac(6′)-Ie-aph(2′)-Ia. Full article
433 KB  
Article
Rapid Detection of Salmonellosis Due to Salmonella enterica Serovar Typhimurium in Peruvian Commercially Bred Cavies, Using Indigenous Wild Bacteriophages
by Jesús Tamariz Ortiz, Víctor Guevara Matias and Humberto Guerra Allison
Germs 2018, 8(4), 178-185; https://doi.org/10.18683/germs.2018.1144 - 3 Dec 2018
Cited by 9 | Viewed by 72
Abstract
Introduction: The salmonelloses are among the commonest, most widespread human zoonotic infections. They have generated international networks to attempt their control, since they cause a spectrum of ailments, ranging from inapparent carrier states to full-blown, severe, sometimes deadly diarrheal and systemic disease. Rapid [...] Read more.
Introduction: The salmonelloses are among the commonest, most widespread human zoonotic infections. They have generated international networks to attempt their control, since they cause a spectrum of ailments, ranging from inapparent carrier states to full-blown, severe, sometimes deadly diarrheal and systemic disease. Rapid diagnosis is needed for a number of reasons. The aim of this study was to standardize and validate a phage amplification test for the identification of salmonellosis to be applied to infections of Cavia porcellus. Methods: Native bacteriophages were isolated from infected cavies and environmental residues from commercial cavy-breeding facilities. Salmonella enterica serovar Typhimurium ATCC 14028 was used to detect, isolate and propagate the bacteriophages, and to standardize a phage amplification assay to detect S. Typhimurium from rectal swabs of cavies. The phage amplification assay was tested using 2 antiviral agents, MgSO4·7H2O (MAS) and pomegranate rind extract (PRE) plus ferrous sulfate (PRE–FeSO4). Results: The final assay format chosen used PRE–FeSO4 and allowed detection of S. Typhimurium in 90 min from culture, 5 h from clinical samples, with a limit of detection at 103 pfu; sensitivity was 98.2%, specificity 98%, negative predictive value (NPV) 96.1%, and positive predictive value (PPV) 99.1%. Conclusion: Bacteriophage amplification is therefore an appropriate, fast procedure for detection of this pathogen in clinical samples. Full article
Show Figures

Figure 1

200 KB  
Editorial
Diagnostic and Prognostic Biomarkers for the Screening of Patients with Metabolic Liver Disease Risk
by Mona Munteanu
Germs 2018, 8(4), 175-177; https://doi.org/10.18683/germs.2018.1150 - 3 Dec 2018
Viewed by 55
Abstract
The increasing global prevalence of liver metabolic diseases associated with overweight, diabetes, high blood pressure and dyslipidemia has become a major public health problem [...] Full article
Previous Issue
Next Issue
Back to TopTop