Somatic and Abdominal Acupuncture for Pain Treatment in Adolescent Complex Regional Pain Syndrome (CRPS) of the Upper Limb: A Case Report
Abstract
:1. Introduction
2. Case Presentation
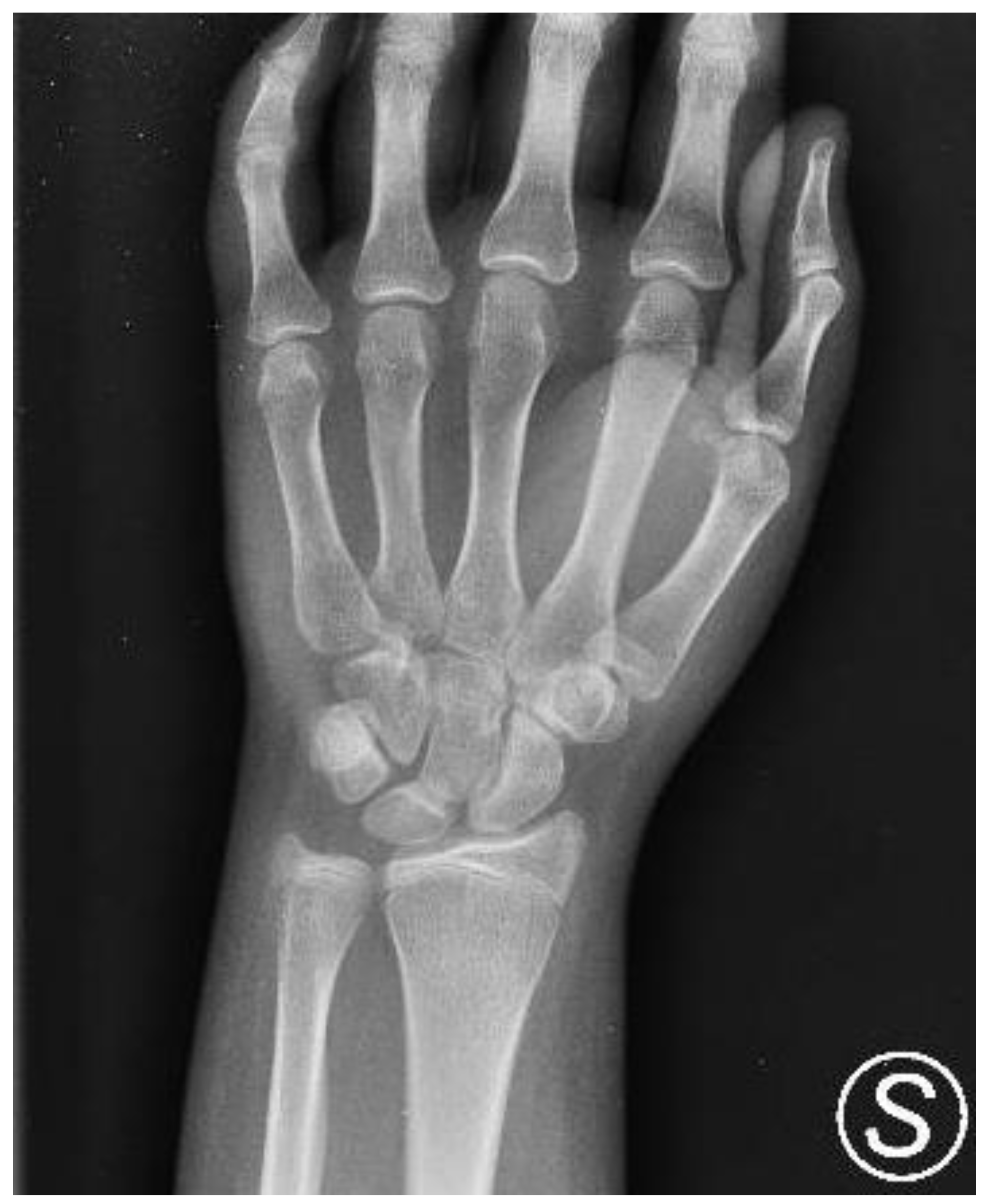
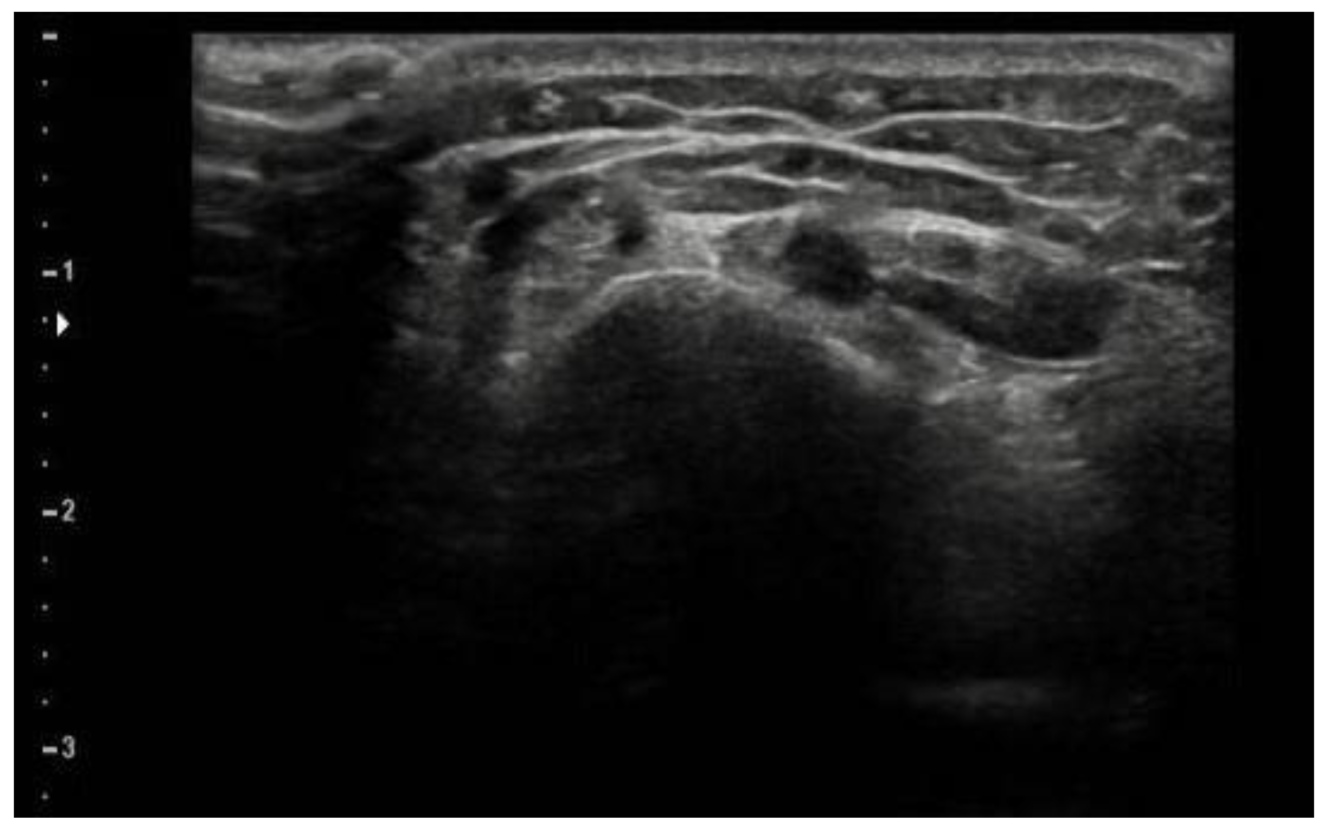
2.1. Evaluation
2.2. Treatment
2.3. Outcome
3. Discussion
4. Conclusions
Author Contributions
Funding
Institutional Review Board Statement
Informed Consent Statement
Data Availability Statement
Acknowledgments
Conflicts of Interest
References
- Treede, R.-D.; Rief, W.; Barke, A.; Aziz, Q.; Bennett, M.I.; Benoliel, R.; Cohen, M.; Evers, S.; Finnerup, N.B.; First, M.B.; et al. A classification of chronic pain for ICD-11. Pain 2015, 156, 1003–1007. [Google Scholar] [CrossRef] [Green Version]
- Schug, S.A.; Lavand’Homme, P.; Barke, A.; Korwisi, B.; Rief, W.; Treede, R.-D. IASP Taskforce for the Classification of Chronic Pain. The IASP classification of chronic pain for ICD-11: Chronic postsurgical or posttraumatic pain. Pain 2019, 160, 45–52. [Google Scholar] [CrossRef]
- Raja, S.N.; Carr, D.B.; Cohen, M.; Finnerup, N.B.; Flor, H.; Gibson, S.; Keefe, F.J.; Mogil, J.S.; Ringkamp, M.; Sluka, K.A.; et al. The revised International Association for the Study of Pain definition of pain: Concepts, challenges, and compromises. Pain 2020, 161, 1976–1982. [Google Scholar] [CrossRef] [PubMed]
- Sprague, M.; Chang, J.C. Integrative Approach Focusing on Acupuncture in the Treatment of Chronic Complex Regional Pain Syndrome. J. Altern. Complement. Med. 2011, 17, 67–70. [Google Scholar] [CrossRef] [PubMed] [Green Version]
- Patterson, R.W.; Li, Z.; Smith, B.P.; Smith, T.L.; Koman, L.A. Complex Regional Pain Syndrome of the Upper Extremity. J. Hand Surg. Am. 2011, 36, 1553–1562. [Google Scholar] [CrossRef] [PubMed]
- Neumeister, M.W.; Romanelli, M.R. Complex Regional Pain Syndrome. Clin. Plast. Surg. 2020, 47, 305–310. [Google Scholar] [CrossRef]
- Goebel, A.; Birklein, F.; Brunner, F.; Clark, J.D.; Gierthmühlen, J.; Harden, N.; Huygen, F.; Knudsen, L.; McCabe, C.; Lewis, J.; et al. The Valencia consensus-based adaptation of the IASP complex regional pain syndrome diagnostic criteria. Pain 2021, 162, 2346–2348. [Google Scholar] [CrossRef] [PubMed]
- Sandroni, P.; Benrud-Larson, L.M.; McClelland, R.L.; Low, P.A. Complex regional pain syndrome type I: Incidence and prevalence in Olmsted county, a population-based study. Pain 2003, 103, 199–207. [Google Scholar] [CrossRef]
- Complex Regional Pain Syndrome. Available online: https://www.nhs.uk/conditions/complex-regional-pain-syndrome/ (accessed on 2 November 2021).
- Kessler, A.; Yoo, M.; Calisoff, R. Complex regional pain syndrome: An updated comprehensive review. NeuroRehabilitation 2020, 47, 253–264. [Google Scholar] [CrossRef]
- Han, J.-S. Acupuncture analgesia: Areas of consensus and controversy. Pain 2011, 152, S41–S48. [Google Scholar] [CrossRef] [PubMed]
- Han, J.-S. Acupuncture and endorphins. Neurosci. Lett. 2004, 361, 258–261. [Google Scholar] [CrossRef] [PubMed]
- Pazzaglia, C.; Liguori, S.; Minciotti, I.; Testani, E.; Tozzi, A.E.; Liguori, A.; Petti, F.; Padua, L.; Valeriani, M. Abdominal acupuncture reduces laser-evoked potentials in healthy subjects. Clin. Neurophysiol. 2015, 126, 1761–1768. [Google Scholar] [CrossRef] [PubMed]
- Shen, Y.; Zhou, Q.; Sun, X.; Qiu, Z.; Jia, Y.; Li, S.; Zhang, W. Safe needling depth at abdominal traditional acupuncture points: A ultrasonographic study of cadavers. Acupunct. Med. 2021, 39, 156–158. [Google Scholar] [CrossRef]
- De Tommaso, M.; Delussi, M.; Ricci, K.; D’Angelo, G. Abdominal Acupuncture Changes Cortical Responses to Nociceptive Stimuli in Fibromyalgia Patients. CNS Neurosci. Ther. 2014, 20, 565–567. [Google Scholar] [CrossRef]
- Franzoni, E.; Monti, M.; Pellicciari, A.; Muratore, C.; Verrotti, A.; Garone, C.; Cecconi, I.; Iero, L.; Gualandi, S.; Savarino, F.; et al. SAFA: A new measure to evaluate psychiatric symptoms detected in a sample of children and adolescents affected by eating disorders. Correlations with risk factors. Neuropsychiatr. Dis. Treat. 2009, 5, 207–214. [Google Scholar] [CrossRef] [Green Version]
- Tarantino, S.; Papetti, L.; Di Stefano, A.; Messina, V.; Ursitti, F.; Ferilli, M.A.N.; Sforza, G.; Moavero, R.; Vigevano, F.; Gentile, S.; et al. Anxiety, Depression, and Body Weight in Children and Adolescents With Migraine. Front. Psychol. 2020, 11, 530911. [Google Scholar] [CrossRef] [PubMed]
- Lie Scale—APA Dictionary of Psychology. Available online: https://dictionary.apa.org/lie-scale (accessed on 2 November 2021).
- Pryke, M.M.; Harper, J.F. The Eysenck Personality Inventory Lie Scale—Some Further Australian Data. J. Pers. Assess. 1977, 41, 632–634. [Google Scholar] [CrossRef]
- Vittori, A.; Petrucci, E.; Cascella, M.; Innamorato, M.; Cuomo, A.; Giarratano, A.; Petrini, F.; Marinangeli, F. Pursuing the Recovery of Severe Chronic Musculoskeletal Pain in Italy: Clinical and Organizational Perspectives from a SIAARTI Survey. J. Pain Res. 2021, 14, 3401–3410. [Google Scholar] [CrossRef]
- Maciocia, G. Acupuncture & Chinese Herbal Medicine; Elsevier: Amsterdam, The Netherlands, 2019. [Google Scholar]
- Ho, L.F.; Lin, Z.; Leung, A.W.N.; Chen, L.; Zhang, H.; Ng, S.M.; Ziea, E.T.C.; Guo, Y. Efficacy of abdominal acupuncture for neck pain: A randomized controlled trial. PLoS ONE 2017, 12, e0181360. [Google Scholar] [CrossRef]
- Valeriani, M.; Liguori, S.; Vollono, C.; Testani, E.; Bangrazi, S.; Petti, F.; Liguori, A.; Germanotta, M.; Padua, L.; Pazzaglia, C. Homotopic reduction in laser-evoked potential amplitude and laser-pain rating by abdominal acupuncture. Eur. J. Pain 2020, 25, 659–667. [Google Scholar] [CrossRef]
- Lee, S.-N.; Kim, B.; Park, H. The effects of auricular acupressure on stress, anxiety, and depression of outpatient nurses in South Korea. Complement. Ther. Clin. Pract. 2021, 44, 101447. [Google Scholar] [CrossRef]
- Prado, J.M.D.; Kurebayashi, L.F.S.; Da Silva, M.J.P. Experimental and placebo auriculotherapy for stressed nurses: Randomized controlled trial. Rev. Esc. Enferm. USP 2018, 52, e03334. [Google Scholar] [CrossRef]
- Harden, N.R.; Bruehl, S.; Perez, R.S.G.M.; Birklein, F.; Marinus, J.; Maihofner, C.; Lubenow, T.R.; Buvanendran, A.; Mackey, S.; Graciosa, J.R.; et al. Validation of proposed diagnostic criteria (the “Budapest Criteria”) for Complex Regional Pain Syndrome. Pain 2010, 150, 268–274. [Google Scholar] [CrossRef] [Green Version]
- Oh, S.-W.; Choi, S.-U.; Park, M.; Shin, J.-H. Validity of the Budapest Criteria for Poststroke Complex Regional Pain Syndrome. Clin. J. Pain 2019, 35, 831–835. [Google Scholar] [CrossRef] [PubMed]
- Coaccioli, S.; Varrassi, G.; Sabatini, C.; Marinangeli, F.; Giuliani, M.; Puxeddu, A. Fibromyalgia: Nosography and Therapeutic Perspectives. Pain Pract. 2008, 8, 190–201. [Google Scholar] [CrossRef] [PubMed]
- Van Eijs, F.; Stanton-Hicks, M.; Van Zundert, J.; Faber, C.G.; Lubenow, T.R.; Mekhail, N.; van Kleef, M.; Huygen, F. Evidence-Based Interventional Pain Medicine According to Clinical Diagnoses. 16. Complex Regional Pain Syndrome. Pain Pract. 2011, 11, 70–87. [Google Scholar] [CrossRef] [PubMed]
- Marchetti, G.; Vittori, A.; Mascilini, I.; Francia, E.; Picardo, S.G. Acupuncture for pain management in pediatric psoriatic arthritis: A case report. Acupunct. Med. 2020, 38, 440–442. [Google Scholar] [CrossRef]
- Cuomo, A.; Bimonte, S.; Forte, C.A.; Botti, G.; Cascella, M. Multimodal approaches and tailored therapies for pain management: The trolley analgesic model. J. Pain Res. 2019, 12, 711–714. [Google Scholar] [CrossRef]
- Vickers, A.J.; Vertosick, E.A.; Lewith, G.; MacPherson, H.; Foster, N.E.; Sherman, K.J.; Irnich, D.; Witt, C.M.; Linde, K. Acupuncture for Chronic Pain: Update of an Individual Patient Data Meta-Analysis. J. Pain 2018, 19, 455–474. [Google Scholar] [CrossRef] [Green Version]
- Patel, M.; Urits, I.; Kaye, A.D.; Viswanath, O. The role of acupuncture in the treatment of chronic pain. Best Pract. Res. Clin. Anaesthesiol. 2020, 34, 603–616. [Google Scholar] [CrossRef]


Publisher’s Note: MDPI stays neutral with regard to jurisdictional claims in published maps and institutional affiliations. |
© 2021 by the authors. Licensee MDPI, Basel, Switzerland. This article is an open access article distributed under the terms and conditions of the Creative Commons Attribution (CC BY) license (https://creativecommons.org/licenses/by/4.0/).
Share and Cite
Marchetti, G.; Vittori, A.; Mascilini, I.; Francia, E.; Insalaco, A.; De Benedetti, F.; Picardo, S.G. Somatic and Abdominal Acupuncture for Pain Treatment in Adolescent Complex Regional Pain Syndrome (CRPS) of the Upper Limb: A Case Report. Children 2021, 8, 1187. https://doi.org/10.3390/children8121187
Marchetti G, Vittori A, Mascilini I, Francia E, Insalaco A, De Benedetti F, Picardo SG. Somatic and Abdominal Acupuncture for Pain Treatment in Adolescent Complex Regional Pain Syndrome (CRPS) of the Upper Limb: A Case Report. Children. 2021; 8(12):1187. https://doi.org/10.3390/children8121187
Chicago/Turabian StyleMarchetti, Giuliano, Alessandro Vittori, Ilaria Mascilini, Elisa Francia, Antonella Insalaco, Fabrizio De Benedetti, and Sergio Giuseppe Picardo. 2021. "Somatic and Abdominal Acupuncture for Pain Treatment in Adolescent Complex Regional Pain Syndrome (CRPS) of the Upper Limb: A Case Report" Children 8, no. 12: 1187. https://doi.org/10.3390/children8121187
APA StyleMarchetti, G., Vittori, A., Mascilini, I., Francia, E., Insalaco, A., De Benedetti, F., & Picardo, S. G. (2021). Somatic and Abdominal Acupuncture for Pain Treatment in Adolescent Complex Regional Pain Syndrome (CRPS) of the Upper Limb: A Case Report. Children, 8(12), 1187. https://doi.org/10.3390/children8121187

