Thiamine-Responsive Acute Pulmonary Hypertension of Early Infancy (TRAPHEI)—A Case Series and Clinical Review
Abstract
1. Introduction
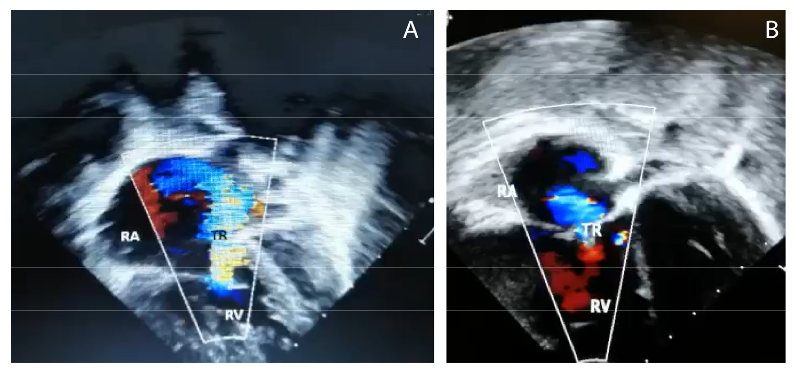
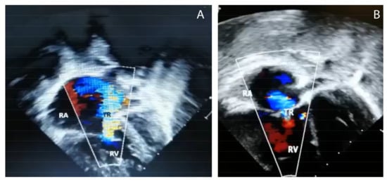
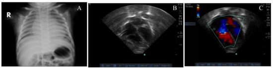
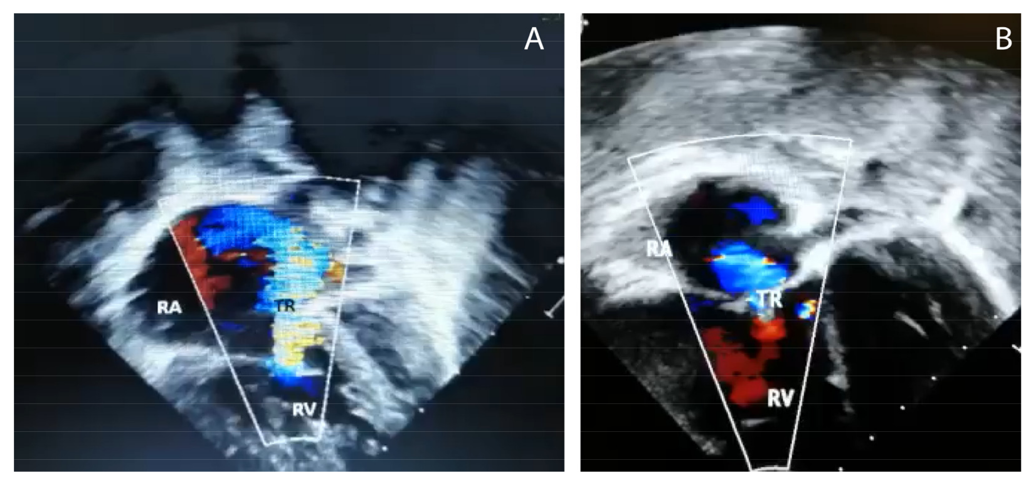
2. Case Reports
3. Review of Literature
3.1. Clinical Presentations
3.2. Indian Experience
3.3. Pathophysiology
3.4. Treatment
4. Conclusions
Author Contributions
Funding
Acknowledgments
Conflicts of Interest
References
- Abman, S.H.; Hansmann, G.; Archer, S.L.; Ivy, D.D.; Adatia, I.; Chung, W.K.; Hanna, B.D.; Rosenzweig, E.B.; Raj, J.U.; Cornfield, D.; et al. Pediatric pulmonary hypertension: Guidelines from the American Heart Association and the American Thoracic Society. Circulation 2015, 132, 2037–2099. [Google Scholar] [CrossRef] [PubMed]
- Demir, M.; Uyan, U.; Keçeoçlu, S.; Demir, M. The Relationship between Vitamin D Deficiency and Pulmonary Hypertension. Prague Med. Rep. 2013, 114, 154–161. [Google Scholar] [CrossRef]
- Qureshi, U.A.; Sami, A.; Altaf, U.; Ahmad, K.; Iqbal, J.; Wani, N.A.; Mir, Z.; Ali, I. Thiamine responsive acute life threatening metabolic acidosis in exclusively breast-fed infants. Nutrition 2016, 32, 213–216. [Google Scholar] [CrossRef]
- Duvall, M.G.; Pikman, Y.; Kantor, D.B.; Ariagno, K.; Summers, L.; Sectish, T.C.; Mullen, M.P. Pulmonary Hypertension Associated with Scurvy and Vitamin Deficiencies in an Autistic Child. Pediatrics 2013, 132, e1699–e1703. [Google Scholar] [CrossRef] [PubMed]
- Debuse, P.J. Shoshin beriberi in an infant of a thiamine-deficient mother. Acta Paediatr. 1992, 81, 723–724. [Google Scholar] [CrossRef] [PubMed]
- Chin, K.M.; Rubin, L.J. Pulmonary arterial hypertension. J. Am. Coll. Cardiol. 2008, 51, 1527–1538. [Google Scholar] [CrossRef] [PubMed]
- Sastry, U.M.K.; Jayranganath, M.; Kumar, R.K.; Ghosh, S.; Bharath, A.P.; Subramanian, A.; Managuli, A.; Gangadhara, M.; Manjunath, C.N. Thiamine-responsive acute severe pulmonary hypertension in exclusively breastfeeding infants: A prospective observational study. Arch. Dis. Child. 2020. [Google Scholar] [CrossRef]
- Nazir, M.; Lone, R.; Charoo, B.A. Infantile Thiamine Deficiency: New Insights into an Old Disease. Indian Pediatr. 2019, 56, 673–681. [Google Scholar] [CrossRef]
- Coats, D.; Shelton-Dodge, K.; Ou, K.; Khun, V.; Seab, S.; Sok, K.; Prou, C.; Tortorelli, S.; Moyer, T.P.; Cooper, L.E.; et al. Thiamine Deficiency in Cambodian Infants with and without Beriberi. J. Pediatr. 2012, 161, 843–847. [Google Scholar] [CrossRef]
- Hiffler, L.; Rakotoambinina, B.; Lafferty, N.; Garcia, D.M. Thiamine Deficiency in Tropical Pediatrics: New Insights into a Neglected but Vital Metabolic Challenge. Front. Nutr. 2016, 3, 16. [Google Scholar] [CrossRef]
- Swaminathan, S.; Edward, B.S.; Kurpad, A.V. Micronutrient deficiency and cognitive and physical performance in Indian children. Eur. J. Clin. Nutr. 2013, 67, 467–474. [Google Scholar] [CrossRef] [PubMed]
- Barennes, H.; Sengkhamyong, K.; René, J.P.; Phimmasane, M. Beriberi (Thiamine Deficiency) and High Infant Mortality in Northern Laos. PLoS Negl. Trop. Dis. 2015, 9, e0003581. [Google Scholar] [CrossRef] [PubMed]
- Soukaloun, D.; Lee, S.J.; Chamberlain, K.; Taylor, A.M.; Mayxay, M.; Sisouk, K.; Soumphonphakdy, B.; Latsavong, K.; Akkhavong, K.; Phommachanh, D.; et al. Erythrocyte Transketolase Activity, Markers of Cardiac Dysfunction and the Diagnosis of Infantile Beriberi. PLoS Negl. Trop. Dis. 2011, 5, e971. [Google Scholar] [CrossRef] [PubMed]
- Frank, L.L. Thiamin in Clinical Practice. J. Parenter. Enter. Nutr. 2015, 39, 503–520. [Google Scholar] [CrossRef]
- Mark, H.E.; Houghton, L.; Gibson, R.S.; Monterrosa, E.; Kraemer, K. Estimating dietary micronutrient supply and the prevalence of inadequate intakes from national Food Balance Sheets in the South Asia region. Asia Pac. J. Clin. Nutr. 2016, 25, 368–376. [Google Scholar]
- Bhat, J.I.; Rather, H.A.; Ahangar, A.A.; Qureshi, U.A.; Dar, P.; Ahmed, Q.I.; Charoo, B.A.; Ali, S.W. Shoshin beriberi-thiamine responsive pulmonary hypertension in exclusively breastfed infants: A study from northern India. Indian Hear. J. 2017, 69, 24–27. [Google Scholar] [CrossRef]
- Rao, S.N.; Chandak, G.R. Cardiac Beriberi: Often a Missed Diagnosis. J. Trop. Pediatr. 2010, 56, 284–285. [Google Scholar] [CrossRef]
- Hiffler, L.; Escajadillo, K.; Rocaspana, M.; Janet, S. Acute respiratory failure in an infant and thiamine deficiency in West Africa: A case report. Oxf. Med. Case Rep. 2020, 2020, omaa041. [Google Scholar] [CrossRef]
- Oliveira, F.A.; Guatimosim, S.; Castro, C.H.; Galan, D.T.; Lauton-Santos, S.; Ribeiro, A.M.; Almeida, A.P.; Cruz, J.D.S. Abolition of reperfusion-induced arrhythmias in hearts from thiamine-deficient rats. Am. J. Physiol. Circ. Physiol. 2007, 293, H394–H401. [Google Scholar] [CrossRef]
- Blacket, R.B.; Palmer, A.J. Haemodynamic Studies in High Output Beri-Beri. Br. Heart J. 1960, 22, 483–501. [Google Scholar] [CrossRef]
- Luft, F.C. Lactic acidosis update for critical care clinicians. J. Am. Soc. Nephrol. 2001, 12 (Suppl. S17), S15–S19. [Google Scholar] [PubMed]
- Chauhan, A.; Srivastva, N.; Bubber, P. Thiamine Deficiency Induced Dietary Disparity Promotes Oxidative Stress and Neurodegeneration. Indian J. Clin. Biochem. 2018, 33, 422–428. [Google Scholar] [CrossRef] [PubMed]
- Sangeeta, V.B.; Adarsh, E.; Divya, N.; Amrutha, S. Idiopathic acute onset pulmonary artery hypertension in infancy need for research. Int. J. Contemp. Pediatr. 2017, 4, 2050–2054. [Google Scholar]
- Kotyal, B. Mahendrappa and Nandakishore Reddy. Association of severe acute lower respiratory tract infections with pulmonary hypertension in infants aged 2 months to 1 year, a prospective study. Int. J. Curr. Res. 2019, 11, 187–190. [Google Scholar]
- Lei, Y.; Zheng, M.-H.; Huang, W.; Zhang, J.; Lu, Y. Wet beriberi with multiple organ failure remarkably reversed by thiamine administration. Medicine 2018, 97, e0010. [Google Scholar] [CrossRef]





| Case 1 | Case 2 | Case 3 | Case 4 | |
|---|---|---|---|---|
| Age at presentation | 2 months | 3½ months | 2 months | 3 months |
| Gender | Male | Male | Male | Male |
| Birth weight | 3.2 kg | 3.0 kg | 2.9 kg | 2.5 kg |
| Current weight | 4.7 kg | 5.6 kg | 4.1 kg | 4.7 kg |
| Consanguinity | No | No | Yes | Yes |
| Family history of similar illness | - | - | Brother died at 3 months | Sister died at 3½ months |
| Initial symptoms and signs | fever, cough, runny nose, respiratory distress, stridor, and irritability | feeding difficulty, cough and worsening respiratory distress | respiratory arrest and intubated in community hospital | fever, lethargy, respiratory distress |
| Maternal/infant diet | Polished, washed, white rice/exclusive breastfeeds | Polished, washed, white rice/exclusive breastfeeds | Polished, washed, white rice/exclusive breastfeeds | Polished, washed, white rice/exclusive breastfeeds |
| Hepatomegaly (cm below costal margin) | 3 cm | 2 cm | 2 cm | 3 cm |
| Worst pH | 6.98 | 7.08 | 7.09 | 6.92 |
| Highest lactate (mM/L) | 9.8 | 6.8 | 8.5 | 16.4 |
| Lowest PaO2/FiO2 | 40 mmHg | 65 mmHg | 35 mmHg | 55 mmHg |
| Peak estimate of RVSP (mm Hg) | 82 | 74 | 60 | 67 |
| Ventilation mode High frequency ventilation (HFV) or Conventional mechanical ventilation (CMV) | HFV | HFV | HFV | CMV |
| Pulmonary vasodilators | Nitric oxide (NO) | NO Sildenafil | Sildenafil Bosentan | - |
| Circulatory support | Milrinone Epinephrine Vasopressin Norepinephrine | Epinephrine Milrinone | Dopamine | Dopamine Furosemide |
| Thiamine level (infant/mother) (normal—66.5 to 200 nM/L) | 10 (infant) | 12.46 (infant) 2.38 (mother) | 3.7 (infant) 4.2 (mother) | 75 (mother) |
| Response to thiamine (hours or days after first infusion) | ||||
| Extubation | 3 days | 40 h | 34 h | 36 h |
| Wean to room air | 5 days | 4 days | 4 days | 3 days |
| Resolution of PH by echocardiogram after thiamine | Improvement started by 4 h, resolution by 5 days. | Improvement by 3 h, resolution by 6 days. | Improvement started by 8 h, resolution by 7 days. | Resolution 5 days. |
Publisher’s Note: MDPI stays neutral with regard to jurisdictional claims in published maps and institutional affiliations. |
© 2020 by the authors. Licensee MDPI, Basel, Switzerland. This article is an open access article distributed under the terms and conditions of the Creative Commons Attribution (CC BY) license (http://creativecommons.org/licenses/by/4.0/).
Share and Cite
Panigrahy, N.; Chirla, D.K.; Shetty, R.; Shaikh, F.A.R.; Kumar, P.P.; Madappa, R.; Lingan, A.; Lakshminrusimha, S. Thiamine-Responsive Acute Pulmonary Hypertension of Early Infancy (TRAPHEI)—A Case Series and Clinical Review. Children 2020, 7, 199. https://doi.org/10.3390/children7110199
Panigrahy N, Chirla DK, Shetty R, Shaikh FAR, Kumar PP, Madappa R, Lingan A, Lakshminrusimha S. Thiamine-Responsive Acute Pulmonary Hypertension of Early Infancy (TRAPHEI)—A Case Series and Clinical Review. Children. 2020; 7(11):199. https://doi.org/10.3390/children7110199
Chicago/Turabian StylePanigrahy, Nalinikanta, Dinesh Kumar Chirla, Rakshay Shetty, Farhan A. R. Shaikh, Poddutoor Preetham Kumar, Rajeshwari Madappa, Anand Lingan, and Satyan Lakshminrusimha. 2020. "Thiamine-Responsive Acute Pulmonary Hypertension of Early Infancy (TRAPHEI)—A Case Series and Clinical Review" Children 7, no. 11: 199. https://doi.org/10.3390/children7110199
APA StylePanigrahy, N., Chirla, D. K., Shetty, R., Shaikh, F. A. R., Kumar, P. P., Madappa, R., Lingan, A., & Lakshminrusimha, S. (2020). Thiamine-Responsive Acute Pulmonary Hypertension of Early Infancy (TRAPHEI)—A Case Series and Clinical Review. Children, 7(11), 199. https://doi.org/10.3390/children7110199

