Pyeloplasty in Children with Ureteropelvic Junction Obstruction and Associated Kidney Anomalies: Can a Robotic Approach Make Surgery Easier?
Abstract
:1. Introduction
2. Materials and Methods
- -
- Patients operated by robot-assisted technique;
- -
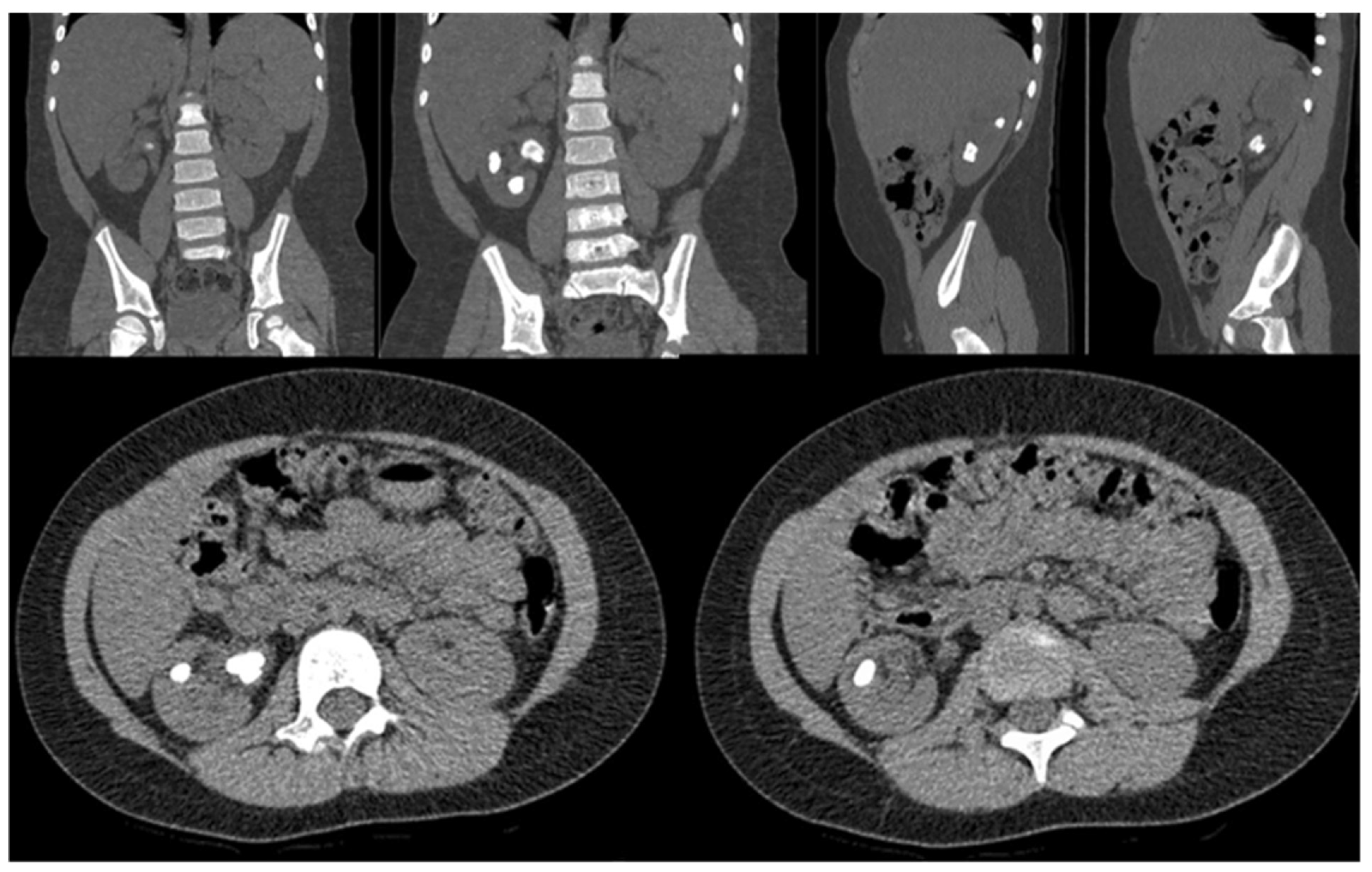
- Patients who presented ureteropelvic junction obstruction (UPJO) in association with other renal malformations or diseases.
- -
- The exclusion criteria were:
- -
- Patients operated with other surgical approaches (open surgery, retroperitoneoscopy, laparoscopy);
- -
- Patients with UPJO and no other renal anomalies.
Robot-Assisted Pyeloplasty
3. Results
4. Discussion
5. Conclusions
Author Contributions
Funding
Institutional Review Board Statement
Informed Consent Statement
Data Availability Statement
Conflicts of Interest
References
- Hegde, S.; Menon, P.; Rao, K.L.N. Co-Existing Pediatric Ureteropelvic Junction Obstruction and Vesicoureteric Reflux: Prevalence and Implications. J. Indian Assoc. Pediatr. Surg. 2019, 24, 109–116. [Google Scholar]
- Brunhara, J.A.; Moscardi, P.R.M.; Mello, M.F.; Andrade, H.S.; Carvalho, P.A.D.; Cezarino, B.N.; Dénes, F.T.; Lopes, R.I. Transperitoneal laparoscopic pyeloplasty in children: Does upper urinary tract anomalies affect surgical outcomes? Int. Braz. J. Urol. 2018, 44, 370–377. [Google Scholar] [CrossRef]
- Winoker, J.S.; Wu, W.J.; Matlaga, B.R. Diseases and Comorbid Conditions Predisposing Children to Kidney Stones. In Diagnosis and Management of Pediatric Nephrolithiasis; Paloian, N.J., Penniston, K.L., Eds.; Springer: Cham, Switzerland, 2022. [Google Scholar]
- Peters, C.A.; Schlussel, R.N.; Retik, A.B. Pediatric laparoscopic dismembered pyeloplasty. J. Urol. 1995, 153, 1962–1965. [Google Scholar] [CrossRef]
- Molinaro, F.; Angotti, R.; Bindi, E.; Pellegrino, C.; Fusi, G.; Luzzi, L.; Tosi, N.; Messina, M.; Mattioli, G. Low Weight Child: Can It Be Considered a Limit of Robotic Surgery? Experience of Two Centers. J. Laparoendosc. Adv. Surg. Tech. 2019, 29, 698–702. [Google Scholar] [CrossRef] [PubMed]
- Esposito, C.; Masieri, L.; Castagnetti, M.; Pelizzo, G.; De Gennaro, M.; Lisi, G.; Cobellis, G.; Gamba, P.; Di Benedetto, V.; Escolino, M. Current Status of Pediatric Robot-Assisted Surgery in Italy: Epidemiologic National Survey and Future Directions. J. Laparoendosc. Adv. Surg. Tech. 2023, 33, 610–614. [Google Scholar] [CrossRef] [PubMed]
- Bindi, E.; Todesco, C.; Nino, F.; Torino, G.; Gentilucci, G.; Cobellis, G. Robotic Surgery: Is There a Possibility of Increasing Its Application in Pediatric Settings? A Single-Center Experience. Children 2022, 9, 1021. [Google Scholar] [CrossRef] [PubMed]
- Tesoro, S.; Gamba, P.; Bertozzi, M.; Borgogni, R.; Caramelli, F.; Cobellis, G.; Cortese, G.; Esposito, C.; Gargano, T.; Garra, R.; et al. Pediatric robotic surgery: Issues in management-expert consensus from the Italian Society of Pediatric and Neonatal Anesthesia and Intensive Care (SARNePI) and the Italian Society of Pediatric Surgery (SICP). Surg. Endosc. 2022, 36, 7877–7897. [Google Scholar] [CrossRef]
- Bove, P.; Ong, A.M.; Rha, K.-H.; Pinto, P.; Jarrett, T.W.; Kavoussi, L.R. Laparoscopic Management of Ureteropelvic Junction Obstruction in Patients with Upper Urinary Tract Anomalies. J. Urol. 2004, 171, 77–79. [Google Scholar] [CrossRef] [PubMed]
- Chammas, M., Jr.; Feuillu, B.; Coissard, A.; Hubert, J. Laparoscopic robotic- assisted management of pelvi-ureteric junction obstruction in patients with horseshoe kidneys: Technique and 1-year follow-up. BJU Int. 2006, 97, 579–583. [Google Scholar] [CrossRef] [PubMed]
- Molinaro, F.; Krasniqi, P.; Scolletta, S.; Giuntini, L.; Navarra, C.; Puzzutiello, R.; Fusi, G.; Angotti, R.; Bindi, E.; Zanaboni, C.; et al. Considerations regarding pain management and anesthesiological aspects in pediatric patients undergoing minimally invasive surgery: Robotic vs laparoscopic–thoracoscopic approach. J. Robot. Surg. 2019, 14, 423–430. [Google Scholar] [CrossRef]
- Bindi, E.; Nino, F.; Pierangeli, F.; Ilari, M.; Bollettini, T.; Chiarella, E.; Mariscoli, F.; Gentilucci, G.; Cruccetti, A.; Cobellis, G. Transumbilical laparoscopic-assisted appendectomy versus laparoscopic appendectomy in children: A single center experience. Pediatr. Medica Chir. 2023, 45, 24–28. [Google Scholar] [CrossRef] [PubMed]
- Cobellis, G.; Torino, G.; Lisi, G.; Ilari, M.; Bindi, E. Pneumovesicoscopic management of bladder neoplasms in children: Three case reports. La Pediatr. Medica e Chir. 2023, 45, 43–46. [Google Scholar] [CrossRef] [PubMed]
- Pierangeli, F.; Bindi, E.; Cruccetti, A.; Nino, F.; Gentilucci, G.; Cobellis, G. Robotic-assisted excision of a giant ureteral stump in a child: Case report and Non-systematic review of the Literature. J. Pediatr. Surg. Case Rep. 2023, 93, 102623. [Google Scholar] [CrossRef]
- Bindi, E.; Nino, F.; Bollettini, T.; Chiarella, E.; Cobellis, G. Robot-assisted excision of partially obstructing ureteral fibroepithelial polyp in a child: A case report and review of the literature. J. Pediatr. Surg. Case Rep. 2022, 84, 102393. [Google Scholar] [CrossRef]
- Cundy, T.P.; Shetty, K.; Clark, J.; Chang, T.P.; Sriskandarajah, K.; Gattas, N.E.; Najmaldin, A.; Yang, G.-Z.; Darzi, A. The first decade of robotic surgery in children. J. Pediatr. Surg. 2013, 48, 858–865. [Google Scholar] [CrossRef]
- Esposito, C.; Masieri, L.; Castagnetti, M.; Sforza, S.; Farina, A.; Cerulo, M.; Cini, C.; Del Conte, F.; Escolino, M. Robot-assisted vs. laparoscopic pyeloplasty in children with uretero-pelvic junction obstruction (UPJO): Technical considerations and results. J. Pediatr. Urol. 2019, 15, 667.e1–667.e8. [Google Scholar] [CrossRef]
- Masieri, L.; Sforza, S.; Grosso, A.A.; Valastro, F.; Tellini, R.; Cini, C.; Landi, L.; Taverna, M.; Elia, A.; Mantovani, A.; et al. Robot-assisted laparoscopic pyeloplasty in children: A systematic review. Minerva Urol. Nephrol. 2020, 72, 673–690. [Google Scholar] [CrossRef]
- Sforza, S.; Masieri, L. Editorial: Pyeloplasties in challenging scenarios as redo procedures, congenital anatomical anomalies and infants: Where do we stand? Front. Pediatr. 2023, 11, 1195301. [Google Scholar] [CrossRef]
- Natsis, K.; Piagkou, M.; Skotsimara, A.; Protogerou, V.; Tsitouridis, I.; Skandalakis, P. Horseshoe kidney: A review of anatomy and pathology. Surg. Radiol. Anat. 2014, 36, 517–526. [Google Scholar] [CrossRef]
- Helmy, T.E.; Sarhan, O.M.; Sharaf, D.E.; Shalaby, I.; Harraz, A.M.; Hafez, A.T.; Dawaba, M.E. Critical Analysis of Outcome after Open Dismembered Pyeloplasty in Ectopic Pelvic Kidneys in a Pediatric Cohort. Urology 2012, 80, 1357–1360. [Google Scholar] [CrossRef]
- Faddegon, S.; Granberg, C.; Tan, Y.K.; Gargollo, P.C.; Cadeddu, J.A. Minimally Invasive Pyeloplasty in Horseshoe Kidneys with Ureteropelvic Junction obstruction: A case series. Int. Braz. J. Urol. 2013, 39, 195–202. [Google Scholar] [CrossRef]
- Woodward, M.; Frank, D. Postnatal management of antenatal hydronephrosis. BJU Int. 2002, 89, 149–156. [Google Scholar] [CrossRef]
- Hemal, A.K.; Nayyar, R.; Gupta, N.P.; Dorairajan, L.N. Experience with robotic assisted laparoscopic surgery in upper tract urolithiasis. Can. J. Urol. 2010, 17, 5299–5305. [Google Scholar]
- Ganpule, A.P.; Prashant, J.; Desai, M.R. Laparoscopic and robot- assisted surgery in the management of urinary lithiasis. Arab. J. Urol. 2012, 10, 32–39. [Google Scholar] [CrossRef] [PubMed]
- Bañuelos Marco, B.; Haid, B.; Radford, A.; Knoll, T.; Sultan, S.; Spinoit, A.F.; Hiess, M.; Sforza, S.; Lammers, R.J.M.; ‘t Hoen, L.A.; et al. Guideline Adherence of Paediatric Urolithiasis: An EAU Members’ Survey and Expert Panel Roundtable Discussion. Children 2022, 9, 504. [Google Scholar] [CrossRef] [PubMed]
- Atug, F.; Castle, E.P.; Burgess, S.V.; Thomas, R. Concomitant management of renal calculi and pelvi-ureteric junction obstruction with robotic laparoscopic surgery. BJU Int. 2005, 96, 1365–1368. [Google Scholar] [CrossRef] [PubMed]
- Hemal, A.K.; Goel, A.; Kumar, M.; Gupta, N.P. Evaluation of laparoscopic retroperitoneal surgery in urinary stone disease. J. Endourol. 2001, 15, 701–705. [Google Scholar] [CrossRef]
- Jensen, P.H.; Berg, K.D.; Azawi, N.H. Robot-assisted pyeloplasty and pyelolithotomy in patients with ureteropelvic junction stenosis. Scand. J. Urol. 2017, 51, 323–328. [Google Scholar] [CrossRef]
- Scarcella, S.; Tiroli, M.; Torino, G.; Mariscoli, F.; Cobellis, G.; Galosi, A.B. Combined treatment of ureteropelvic junction obstruction and renal calculi with robot-assisted laparoscopic pyeloplasty and laser lithotripsy in children: Case report and non-systematic review of the literature. Int. J. Med. Robot. 2021, 17, e2246. [Google Scholar] [CrossRef]
- Wong, Y.S.; Lo, K.L.; Pang, K.K.Y.; Tam, Y.H. A combined approach of robot-assisted laparoscopic pyeloplasty and flexible endoscopy to treat concomitant ureteropelvic junction obstruction and calyceal stones in children: Technical considerations and review of the literature. Front. Pediatr. 2022, 10, 1017722. [Google Scholar] [CrossRef]
- Wang, K.; Ge, J.; Han, W.; Wang, D.; Zhao, Y.; Shen, Y.; Chen, J.; Chen, D.; Wu, J.; Shen, N.; et al. Risk factors for recurrent urolithiasis in children. J. Pediatr. Urol. 2019, 16, 34.e1–34.e9. [Google Scholar]
- Jones, P.; Rob, S.; Griffin, S.; Somani, B. Outcomes of ureteroscopy (URS) for stone disease in the paediatric population: Results over 100 URS procedures from a UK tertiary centre. World J. Urol. 2020, 38, 213–218. [Google Scholar] [CrossRef] [PubMed]
- Destro, F.; Selvaggio, G.G.O.; Lima, M.; Riccipetitoni, G.; Klersy, C.; Di Salvo, N.; Marinoni, F.; Calcaterra, V.; Pelizzo, G. Minimally Invasive Approaches in Pediatric Urolithiasis. The Experience of Two Italian Centers of Pediatric Surgery. Front. Pediatr. 2020, 8, 377. [Google Scholar] [CrossRef] [PubMed]
- Szavay, P. Laparoscopic Pyeloplasty for Ureteropelvic Junction Obstruction. J. Laparoendosc. Adv. Surg. Tech. 2021, 31, 1214–1218. [Google Scholar] [CrossRef]
- Szavay, P.; Zundel, S. Surgery of uretero-pelvic junction obstruction (UPJO). Semin. Pediatr. Surg. 2021, 30, 151083. [Google Scholar] [CrossRef]
- Muller, C.O.; Blanc, T.; Peycelon, M.; El Ghoneimi, A. Laparoscopic treatment of ureteropelvic junction obstruction in five pediatric cases of pelvic kidneys. J. Pediatr. Urol. 2015, 11, 353.e1–353.e5. [Google Scholar] [CrossRef]
- Denning, N.L.; Kallis, M.P.; Prince, J.M. Pediatric Robotic Surgery. Surg. Clin. N. Am. 2020, 100, 431–443. [Google Scholar] [CrossRef] [PubMed]
- Mei, H.; Tang, S. Robotic-assisted surgery in the pediatric surgeons’ world: Current situation and future prospectives. Front. Pediatr. 2023, 11, 1120831. [Google Scholar] [CrossRef]
- O’Kelly, F.; Farhat, W.A.; Koyle, M.A. Cost, training and simulation models for robotic-assisted surgery in pediatric urology. World J. Urol. 2020, 38, 1875–1882. [Google Scholar] [CrossRef]
- Greenwald, D.; Mohanty, A.; Andolfi, C.; Gundeti, M.S. Systematic Review and Meta-Analysis of Pediatric Robot-Assisted Laparoscopic Pyeloplasty. J. Endourol. 2022, 36, 448–461. [Google Scholar] [CrossRef]
- Locke, R.A.; Kwenda, E.P.; Archer, J.; Bergamo, J.; Domino, M.P.; DeMarco, R.T.; Bayne, C.E. Pediatric Robot-Assisted Laparoscopic and Ureteroscopic Ureterolithotomy and Ureteroplasty. J. Endourol. Case Rep. 2020, 6, 264–267. [Google Scholar] [CrossRef] [PubMed]
- Fourcade, L.; Amar, S.; Alzahrani, K.; Cook, A.-R.; Braïk, K.; Cros, J.; Longis, B.; Villemagne, T.; Lardy, H.; Ballouhey, Q.; et al. Robot-Assisted Laparoscopic Fundoplications in Pediatric Surgery: Experience Review. Eur. J. Pediatr. Surg. 2019, 29, 173–178. [Google Scholar] [CrossRef] [PubMed]
- Subramaniam, R. Current Use of and Indications for Robot-assisted Surgery in Paediatric Urology. Eur. Urol. Focus 2018, 4, 662–664. [Google Scholar] [CrossRef] [PubMed]
- Chen, J.; Xu, H.; Lin, S.; He, S.; Tang, K.; Xiao, Z.; Xu, D. Robot-assisted pyeloplasty and laparoscopic pyeloplasty in children: A comparison of single-port-plus-one and multiport surgery. Front. Pediatr. 2022, 10, 957790. [Google Scholar] [CrossRef]
- Wakimoto, M.; Michalsky, M.; Nafiu, O.; Tobias, J. Anesthetic Implications of Robotic-Assisted Surgery in Pediatric Patients. Robot Surg. 2021, 8, 9–19. [Google Scholar] [CrossRef]



| Hypothesis of the study | The robot-assisted technique facilitates surgery even in complex anatomical situations. |
| Primary outcome | Conversion rate |
| Secondary outcomes |
|
| Patients | 7 |
| Males/Females | 5 (71%)/2 (29%) |
| Side of UPJO: Right/Left | 2 (29%)/5 (71%) |
| Associated renal anomalies |
|
| Mean age at surgery | 84 months (range 36–180 months) |
| Mean weight at surgery | 24.4 kg (range 11–40 kg) |
| Mean operative time | 160 min (range 140–240 min) |
| Mean hospital stay | 4 days (range 3–9 days) |
| Intraoperative complications | 0 |
| Postoperative complications | 1 (14%) macrohematuria |
| Conversions | 0 |
Disclaimer/Publisher’s Note: The statements, opinions and data contained in all publications are solely those of the individual author(s) and contributor(s) and not of MDPI and/or the editor(s). MDPI and/or the editor(s) disclaim responsibility for any injury to people or property resulting from any ideas, methods, instructions or products referred to in the content. |
© 2023 by the authors. Licensee MDPI, Basel, Switzerland. This article is an open access article distributed under the terms and conditions of the Creative Commons Attribution (CC BY) license (https://creativecommons.org/licenses/by/4.0/).
Share and Cite
Cobellis, G.; Bindi, E. Pyeloplasty in Children with Ureteropelvic Junction Obstruction and Associated Kidney Anomalies: Can a Robotic Approach Make Surgery Easier? Children 2023, 10, 1448. https://doi.org/10.3390/children10091448
Cobellis G, Bindi E. Pyeloplasty in Children with Ureteropelvic Junction Obstruction and Associated Kidney Anomalies: Can a Robotic Approach Make Surgery Easier? Children. 2023; 10(9):1448. https://doi.org/10.3390/children10091448
Chicago/Turabian StyleCobellis, Giovanni, and Edoardo Bindi. 2023. "Pyeloplasty in Children with Ureteropelvic Junction Obstruction and Associated Kidney Anomalies: Can a Robotic Approach Make Surgery Easier?" Children 10, no. 9: 1448. https://doi.org/10.3390/children10091448
APA StyleCobellis, G., & Bindi, E. (2023). Pyeloplasty in Children with Ureteropelvic Junction Obstruction and Associated Kidney Anomalies: Can a Robotic Approach Make Surgery Easier? Children, 10(9), 1448. https://doi.org/10.3390/children10091448

