A New Pattern of Brain and Cord Gadolinium Enhancement in Molybdenum Cofactor Deficiency: A Case Report
Abstract
1. Introduction
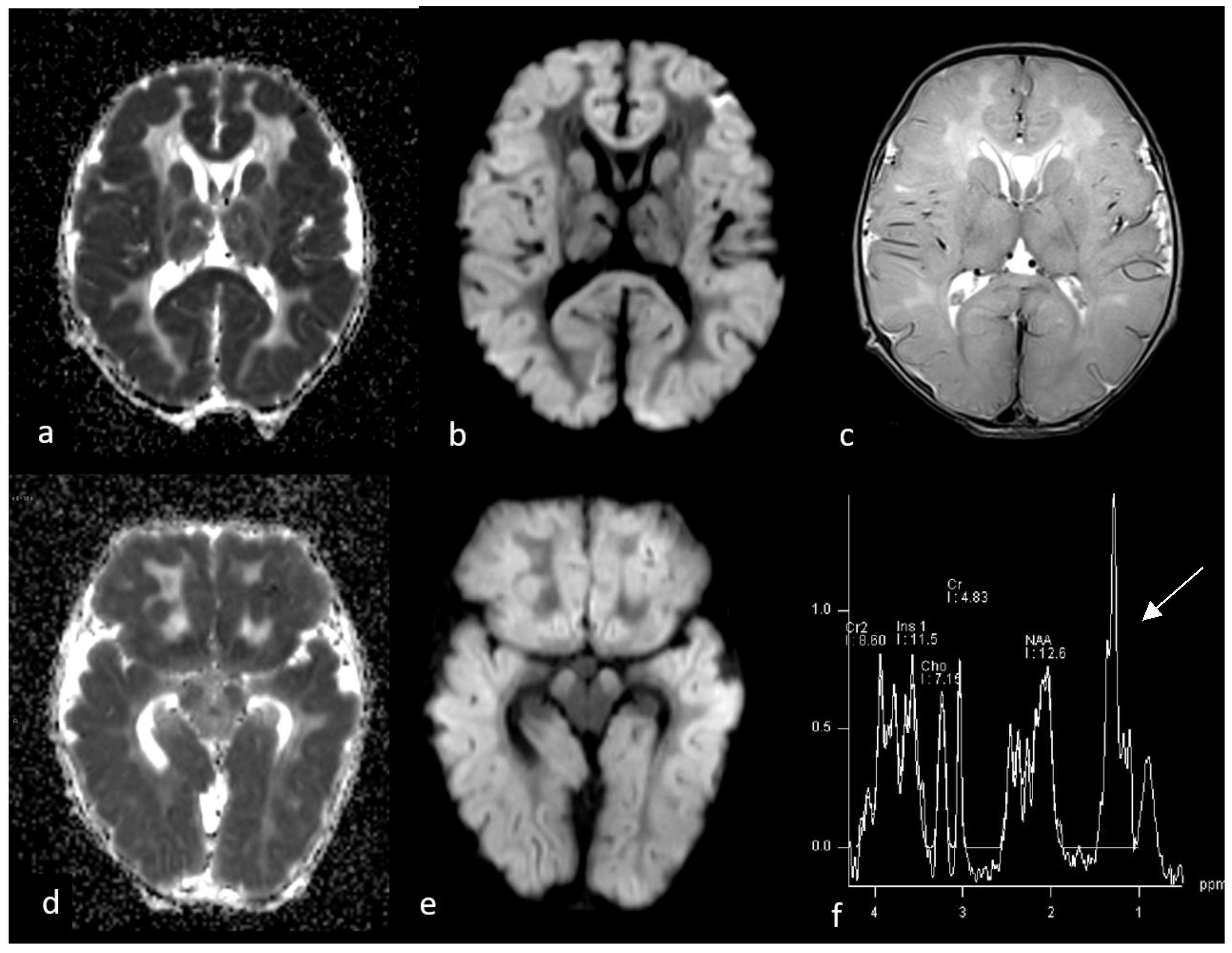
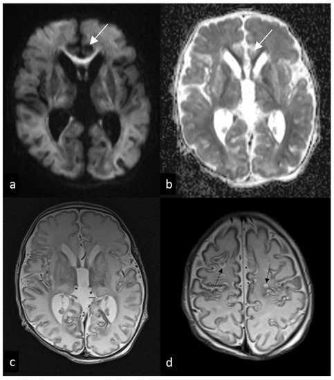
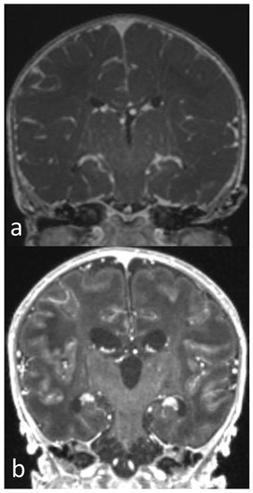
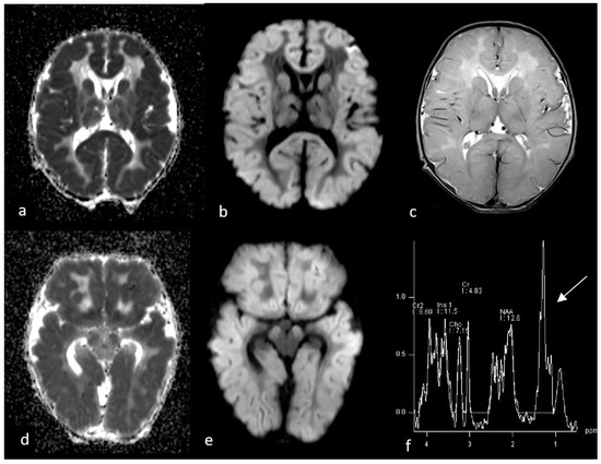
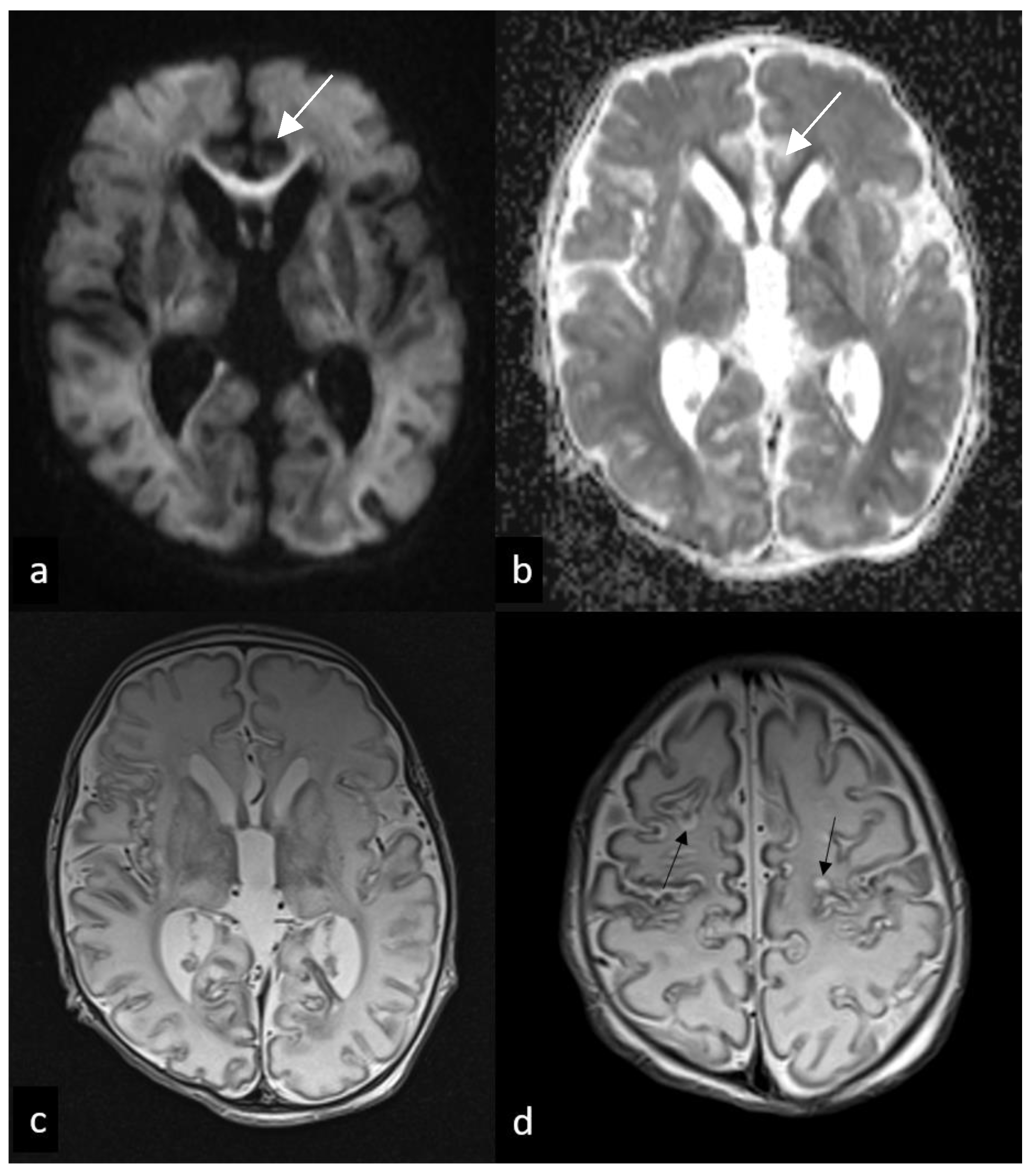
2. Case Report
3. Discussion
4. Conclusions
Author Contributions
Funding
Institutional Review Board Statement
Data Availability Statement
Conflicts of Interest
Abbreviations
| MoCD | molybdenum cofactor deficiency |
| MOCS1 | molybdenum cofactor synthesis 1 |
| MOCS2 | molybdenum cofactor synthesis 2 |
| MOCS3 | molybdenum cofactor synthesis 3 |
| GPHN | gephyrin |
| MRI | magnetic resonance imaging |
| WI | weighted image |
| ST | slice thickness |
| TR | repetition time |
| TE | echo time |
| FOV | field of view |
| pH | potential of hydrogen |
| HCO3 | bicarbonate |
| CRP | c-reactive protein |
| DWI | diffusion-weighted image |
| ADC | apparent diffusion coefficient |
| MRS | magnetic resonance spectroscopy |
| NAA | N-acetyl aspartate |
| HIE | hypoxic–ischemic encephalopathy |
| cPMP | cyclic pyranopterin monophosphate |
| nv | normal values |
| ACMG | American College of Medical Genetics and Genomics |
References
- Atwal, P.S.; Scaglia, F. Molybdenum cofactor deficiency. Mol. Genet. Metab. 2016, 117, 1–4. [Google Scholar] [CrossRef] [PubMed]
- Durmaz, M.S.; Özbakır, B. Molybdenum cofactor deficiency: Neuroimaging findings. Radiol. Case Rep. 2018, 13, 592–595. [Google Scholar] [CrossRef] [PubMed]
- Vijayakumar, K.; Gunny, R.; Grunewald, S.; Carr, L.; Chong, K.W.; DeVile, C.; Robinson, R.; McSweeney, N.; Prabhakar, P. Clinical neuroimaging features and outcome in molybdenum cofactor deficiency. Pediatr. Neurol. 2011, 45, 246–252. [Google Scholar] [CrossRef] [PubMed]
- Kikuchi, K.; Hamano, S.; Mochizuki, H.; Ichida, K.; Ida, H. Molybdenum cofactor deficiency mimics cerebral palsy: Differentiating factors for diagnosis. Pediatr. Neurol. 2012, 47, 147–149. [Google Scholar] [CrossRef] [PubMed]
- Salman, M.S.; Ackerley, C.; Senger, C.; Becker, L. New insights into the neuropathogenesis of molybdenum cofactor deficiency. Can. J. Neurol. Sci. 2002, 29, 91–96. [Google Scholar] [CrossRef] [PubMed]
- Yoganathan, S.; Sudhakar, S.; Thomas, M.; Kumar Dutta, A.; Danda, S.; Chandran, M. Novel Imaging Finding and Novel Mutation in an Infant with Molybdenum Cofactor Deficiency, a Mimicker of Hypoxic-Ischaemic Encephalopathy. Iran. J. Child Neurol. 2018, 12, 107–112. [Google Scholar] [PubMed]
- Stence, N.V.; Coughlin, C.R., 2nd; Fenton, L.Z.; Thomas, J.A. Distinctive pattern of restricted diffusion in a neonate with molybdenum cofactor deficiency. Pediatr. Radiol. 2013, 43, 882–885. [Google Scholar] [CrossRef] [PubMed]
- Higuchi, R.; Sugimoto, T.; Tamura, A.; Kioka, N.; Tsuno, Y.; Higa, A.; Yoshikawa, N. Early features in neuroimaging of two siblings with molybdenum cofactor deficiency. Pediatrics 2014, 133, 267–271. [Google Scholar] [CrossRef] [PubMed]
- Miller, D.T.; Lee, K.; Abul-Husn, N.S.; Amendola, L.M.; Brothers, K.; Chung, W.K.; Gollob, M.H.; Gordon, A.S.; Harrison, S.M.; Hershberger, R.E.; et al. ACMG SF v3.1 list for reporting of secondary findings in clinical exome and genome sequencing: A policy statement of the American College of Medical Genetics and Genomics (ACMG). Genet. Med. 2022, 24, 1407–1414. [Google Scholar] [CrossRef] [PubMed]
- ORPHANET. Available online: https://www.orpha.net/consor/cgibin/Disease_Search.php?data_id=468&lng=en (accessed on 18 January 2023).
- Lin, Y.; Liu, Y.; Chen, S.; Zhu, J.; Huang, Y.; Lin, Z.; Chen, S. A neonate with molybdenum cofactor deficiency type B. Transl. Pediatr. 2021, 10, 1039–1044. [Google Scholar] [CrossRef] [PubMed]
- Misko, A.; Mahtani, K.; Abbott, J.; Schwarz, G.; Atwal, P. Molybdenum Cofactor Deficiency. 2021 Dec 2. In GeneReviews® [Internet]; Adam, M.P., Mirzaa, G.M., Pagon, R.A., Wallace, S.E., Bean, L.J.H., Gripp, K.W., Amemiya, A., Eds.; University of Washington: Seattle, WA, USA, 1993–2023. [Google Scholar]
- Scramstad, C.; Moffatt, H.; Rafay, M.F. Teaching NeuroImages: Early imaging of sulfite oxidase deficiency mimics severe hypoxic ischemic encephalopathy. Neurology 2020, 95, e1913–e1914. [Google Scholar] [CrossRef] [PubMed]
- Mishra, R.; Verma, J.; Sheth, S.; Verma, I.C.; Puri, R.D. Hypoxic Ischemic Encephalopathy or Metabolic Etiology—MRI as a Clue to Diagnosis. Neurol. India 2020, 68, 941–942. [Google Scholar] [PubMed]
- Sibson, N.R.; Blamire, A.M.; Bernades-Silva, M.; Laurent, S.; Boutry, S.; Muller, R.N.; Styles, P.; Anthony, D.C. MRI detection of early endothelial activation in brain inflammation. Magn. Reson. Med. 2004, 5, 248–252. [Google Scholar] [CrossRef] [PubMed]
- McGarry, T.; Biniecka, M.; Veale, D.J.; Fearon, U. Hypoxia, oxidative stress and inflammation. Free Radic. Biol. Med. 2018, 125, 15–24. [Google Scholar] [CrossRef] [PubMed]
- Shabana, E.; Ebrahim, E.; Shakweer, M.; Rashad, M. Evaluation of leptomeningeal enhancement in patients with multiple sclerosis. Al-Azhar Int. Med. J. 2022, 3, 141–146. [Google Scholar] [CrossRef]
- Morana, G.; Biancheri, R.; Dirocco, M.; Filocamo, M.; Marazzi, M.G.; Pessagno, A.; Rossi, A. Enhancing cranial nerves and cauda equina: An emerging magnetic resonance imaging pattern in metachromatic leukodystrophy and krabbe disease. Neuropediatrics 2009, 40, 291–294. [Google Scholar] [CrossRef] [PubMed]
- Kontzialis, M.; Poretti, A.; Michell, H.; Bosemani, T.; Tekes, A.; Huisman, T.A. Spinal Nerve Root Enhancement on MRI Scans in Children: A Review. J. Neuroimaging 2016, 26, 169–179. [Google Scholar] [CrossRef] [PubMed]
- Ogul, H.; Pirimoglu, B.; Kantarci, M. Unusual MRI findings in a girl with acute hepatic encephalopathy: Leptomeningeal enhancement and cortical laminar necrosis. Acta Neurol. Belg. 2015, 115, 697–698. [Google Scholar] [CrossRef] [PubMed]
- Johannes, L.; Fu, C.Y.; Schwarz, G. Molybdenum Cofactor Deficiency in Humans. Molecules 2022, 27, 6896. [Google Scholar] [CrossRef] [PubMed]




| Brain | Spine | |||||
|---|---|---|---|---|---|---|
| Sequences | 3D T1 MPRAGE | SE T2WI | DWI/ADC | MRS | T1 | T2 |
| TR (ms) | 2300 | 10,320 | 8100 | 1980 | 1890 | 4000 |
| TE (ms) | 3.4 | 122 | 76 | 30 | 30 | 122 |
| Field of view | 256 | 180 | 200 | 280 | 280 | |
| Slice thickness (mm) | 1 | 2 | 2 | 2 | 2 | |
Disclaimer/Publisher’s Note: The statements, opinions and data contained in all publications are solely those of the individual author(s) and contributor(s) and not of MDPI and/or the editor(s). MDPI and/or the editor(s) disclaim responsibility for any injury to people or property resulting from any ideas, methods, instructions or products referred to in the content. |
© 2023 by the authors. Licensee MDPI, Basel, Switzerland. This article is an open access article distributed under the terms and conditions of the Creative Commons Attribution (CC BY) license (https://creativecommons.org/licenses/by/4.0/).
Share and Cite
Lucignani, G.; Vattermoli, L.; Rossi-Espagnet, M.C.; Guarnera, A.; Napolitano, A.; Figà-Talamanca, L.; Campi, F.; Ronci, S.; Dionisi Vici, C.; Martinelli, D.; et al. A New Pattern of Brain and Cord Gadolinium Enhancement in Molybdenum Cofactor Deficiency: A Case Report. Children 2023, 10, 1072. https://doi.org/10.3390/children10061072
Lucignani G, Vattermoli L, Rossi-Espagnet MC, Guarnera A, Napolitano A, Figà-Talamanca L, Campi F, Ronci S, Dionisi Vici C, Martinelli D, et al. A New Pattern of Brain and Cord Gadolinium Enhancement in Molybdenum Cofactor Deficiency: A Case Report. Children. 2023; 10(6):1072. https://doi.org/10.3390/children10061072
Chicago/Turabian StyleLucignani, Giulia, Leonardo Vattermoli, Maria Camilla Rossi-Espagnet, Alessia Guarnera, Antonio Napolitano, Lorenzo Figà-Talamanca, Francesca Campi, Sara Ronci, Carlo Dionisi Vici, Diego Martinelli, and et al. 2023. "A New Pattern of Brain and Cord Gadolinium Enhancement in Molybdenum Cofactor Deficiency: A Case Report" Children 10, no. 6: 1072. https://doi.org/10.3390/children10061072
APA StyleLucignani, G., Vattermoli, L., Rossi-Espagnet, M. C., Guarnera, A., Napolitano, A., Figà-Talamanca, L., Campi, F., Ronci, S., Dionisi Vici, C., Martinelli, D., Gandolfo, C., & Longo, D. (2023). A New Pattern of Brain and Cord Gadolinium Enhancement in Molybdenum Cofactor Deficiency: A Case Report. Children, 10(6), 1072. https://doi.org/10.3390/children10061072

