Refinement in Post-Operative Care for Orthopaedic Models: Implementing a Sheep Walking Cast (SWC) for Effective Tibial Fracture Management
Abstract
1. Introduction
2. Materials and Methods
2.1. Ethical Statement
2.2. Animals
2.3. Study Design and Surgical Procedure
2.4. Cast
2.5. Post-Operative Measurements
2.6. Statistics
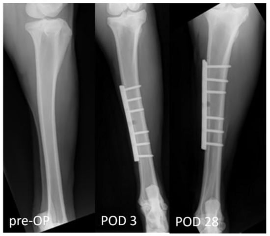
3. Results
Gait Analysis and Lameness Score
4. Discussion
5. Conclusions
Supplementary Materials
Author Contributions
Funding
Institutional Review Board Statement
Informed Consent Statement
Data Availability Statement
Acknowledgments
Conflicts of Interest
References
- Data from the Federal Health Reporting Information System. Available online: http://www.gbe-bund.de (accessed on 14 October 2023).
- Gaston, M.S.; Simpson, A.H. Inhibition of fracture healing. J. Bone Jt. Surg. Br. 2007, 89, 1553–1560. [Google Scholar] [CrossRef]
- Scholes, S.; Panesar, S.; Shelton, N.J.; Francis, R.M.; Mirza, S.; Mindell, J.S.; Donaldson, L.J. Epidemiology of lifetime fracture prevalence in England: A population study of adults aged 55 years and over. Age Ageing 2014, 43, 234–240. [Google Scholar] [CrossRef]
- Lippuner, K.; Johansson, H.; Kanis, J.A.; Rizzoli, R. Remaining lifetime and absolute 10-year probabilities of osteoporotic fracture in Swiss men and women. Osteoporos. Int. 2009, 20, 1131–1140. [Google Scholar] [CrossRef]
- Zura, R.; Xiong, Z.; Einhorn, T.; Watson, J.T.; Ostrum, R.F.; Prayson, M.J.; Della Rocca, G.J.; Mehta, S.; McKinley, T.; Wang, Z.; et al. Epidemiology of Fracture Nonunion in 18 Human Bones. JAMA Surg. 2016, 151, e162775. [Google Scholar] [CrossRef] [PubMed]
- Johnson, L.; Igoe, E.; Kleftouris, G.; Papachristos, I.V.; Papakostidis, C.; Giannoudis, P.V. Physical Health and Psychological Outcomes in Adult Patients with Long-bone Fracture Non-unions: Evidence Today. J. Clin. Med. 2019, 8, 1998. [Google Scholar] [CrossRef] [PubMed]
- Trampuz, A.; Zimmerli, W. Diagnosis and treatment of infections associated with fracture-fixation devices. Injury 2006, 37 (Suppl. 2), S59–S66. [Google Scholar] [CrossRef]
- Metsemakers, W.J.; Onsea, J.; Neutjens, E.; Steffens, E.; Schuermans, A.; McNally, M.; Nijs, S. Prevention of fracture-related infection: A multidisciplinary care package. Int. Orthop. 2017, 41, 2457–2469. [Google Scholar] [CrossRef] [PubMed]
- Müller, M.E.; Schneider, R.; Willenegger, H. Manual der Osteosynthese: AO-Technik; Springer: Berlin/Heidelberg, Germany, 2013. [Google Scholar]
- Prieur, W. Manual of Internal Fixation in Small Animals; Springer: Berlin/Heidelberg, Germany, 2013. [Google Scholar]
- Bonath, K.H.; Prieur, W.D. Kleintierkrankheiten: Band 3: Orthopädische Chirurgie und Traumatologie; Eugen Ulmer: Stuttgart, Germany, 1998. [Google Scholar]
- Dozza, B.; Salamanna, F.; Baleani, M.; Giavaresi, G.; Parrilli, A.; Zani, L.; Lucarelli, E.; Martini, L.; Fini, M.; Donati, D.M. Nonunion fracture healing: Evaluation of effectiveness of demineralized bone matrix and mesenchymal stem cells in a novel sheep bone nonunion model. J. Tissue Eng. Regen. Med. 2018, 12, 1972–1985. [Google Scholar] [CrossRef]
- Siallagan, S.F.; Silalahi, M.; Boediono, A.; Estuningsih, S.; Noviana, D. A Wearable Iron-Based Implant as an Intramedullary Nail in Tibial Shaft Fracture of Sheep. Int. J. Biomater. 2019, 2019, 8798351. [Google Scholar] [CrossRef]
- Herten, M.; Zilkens, C.; Thorey, F.; Tassemeier, T.; Lensing-Höhn, S.; Fischer, J.C.; Sager, M.; Krauspe, R.; Jäger, M. Biomechanical Stability and Osteogenesis in a Tibial Bone Defect Treated by Autologous Ovine Cord Blood Cells-A Pilot Study. Molecules 2019, 24, 295. [Google Scholar] [CrossRef] [PubMed]
- Windolf, M.; Ernst, M.; Schwyn, R.; Arens, D.; Zeiter, S. The relation between fracture activity and bone healing with special reference to the early healing phase—A preclinical study. Injury 2021, 52, 71–77. [Google Scholar] [CrossRef]
- Bono, C.M.; Levine, R.G.; Rao, J.P.; Behrens, F.F. Nonarticular proximal tibia fractures: Treatment options and decision making. J. Am. Acad. Orthop. Surg. 2001, 9, 176–186. [Google Scholar] [CrossRef]
- Schenk, R.K.; Willenegger, H.R. Histology of primary bone healing: Modifications and limits of recovery of gaps in relation to extent of the defect (author’s transl). Unfallheilkunde 1977, 80, 155–160. [Google Scholar]
- Schweiberer, L.; Schenk, R. Histomorphology and vascularization of secondary healing of bone fractures with emphasis on tibial shaft fractures (author’s transl). Unfallheilkunde 1977, 80, 275–286. [Google Scholar]
- Schenk, R.K.; Perren, S.M. Biology and biomechanics of fracture healing in long bones as a basis for osteosynthesis. Hefte Unfallheilkd 1977, 29–41. [Google Scholar]
- Cheal, E.J.; Mansmann, K.A.; DiGioia, A.M., 3rd; Hayes, W.C.; Perren, S.M. Role of interfragmentary strain in fracture healing: Ovine model of a healing osteotomy. J. Orthop. Res. 1991, 9, 131–142. [Google Scholar] [CrossRef] [PubMed]
- Kirker-Head, C.A.; Gerhart, T.N.; Schelling, S.H.; Hennig, G.E.; Wang, E.; Holtrop, M.E. Long-term healing of bone using recombinant human bone morphogenetic protein 2. Clin. Orthop. Relat. Res. 1995, 318, 222–230. [Google Scholar]
- Wilke, H.J.; Kettler, A.; Wenger, K.H.; Claes, L.E. Anatomy of the sheep spine and its comparison to the human spine. Anat. Rec. 1997, 247, 542–555. [Google Scholar] [CrossRef]
- Reichert, J.C.; Saifzadeh, S.; Wullschleger, M.E.; Epari, D.R.; Schutz, M.A.; Duda, G.N.; Schell, H.; van Griensven, M.; Redl, H.; Hutmacher, D.W. The challenge of establishing preclinical models for segmental bone defect research. Biomaterials 2009, 30, 2149–2163. [Google Scholar] [CrossRef] [PubMed]
- Newman, E.; Turner, A.S.; Wark, J.D. The potential of sheep for the study of osteopenia: Current status and comparison with other animal models. Bone 1995, 16, 277S–284S. [Google Scholar] [CrossRef]
- Lippuner, K.; Vogel, R.; Tepic, S.; Rahn, B.A.; Cordey, J.; Perren, S.M. Effect of animal species and age on plate-induced vascular damage in cortical bone. Arch. Orthop. Trauma Surg. 1992, 111, 78–84. [Google Scholar] [CrossRef] [PubMed]
- Gerhart, T.N.; Kirker-Head, C.A.; Kriz, M.J.; Holtrop, M.E.; Hennig, G.E.; Hipp, J.; Schelling, S.H.; Wang, E. Healing segmental femoral defects in sheep using recombinant human bone morphogenetic protein. Clin. Orthop. Relat. Res. 1993, 293, 317–326. [Google Scholar] [CrossRef]
- Barcik, J.; Ernst, M.; Buchholz, T.; Constant, C.; Mys, K.; Epari, D.R.; Zeiter, S.; Windolf, M. The absence of immediate stimulation delays bone healing. Bone 2023, 175, 116834. [Google Scholar] [CrossRef] [PubMed]
- Darwiche, S.E.; Kaczmarek, A.; Schwarzenberg, P.; Inglis, B.J.; Lechmann, B.; Kronen, P.; Ferguson, S.J.; Dailey, H.; von Rechenberg, B.; Klein, K. Combined electric and magnetic field therapy for bone repair and regeneration: An investigation in a 3-mm and an augmented 17-mm tibia osteotomy model in sheep. J. Orthop. Surg. Res. 2023, 18, 454. [Google Scholar] [CrossRef] [PubMed]
- Labus, K.M.; Wolynski, J.; Easley, J.; Stewart, H.L.; Ilic, M.; Notaros, B.; Zagrocki, T.; Puttlitz, C.M.; McGilvray, K.C. Employing direct electromagnetic coupling to assess acute fracture healing: An ovine model assessment. Injury 2023, 54, 111080. [Google Scholar] [CrossRef] [PubMed]
- Margolis, D.S.; Figueroa, G.; Barron Villalobos, E.; Smith, J.L.; Doane, C.J.; Gonzales, D.A.; Szivek, J.A. A Large Segmental Mid-Diaphyseal Femoral Defect Sheep Model: Surgical Technique. J. Investig. Surg. 2022, 35, 1287–1295. [Google Scholar] [CrossRef] [PubMed]
- Sparks, D.S.; Saifzadeh, S.; Savi, F.M.; Dlaska, C.E.; Berner, A.; Henkel, J.; Reichert, J.C.; Wullschleger, M.; Ren, J.; Cipitria, A.; et al. A preclinical large-animal model for the assessment of critical-size load-bearing bone defect reconstruction. Nat. Protoc. 2020, 15, 877–924. [Google Scholar] [CrossRef]
- Hente, R.W.; Perren, S.M. Tissue deformation controlling fracture healing. J. Biomech. 2021, 125, 110576. [Google Scholar] [CrossRef]
- Decker, S.; Reifenrath, J.; Omar, M.; Krettek, C.; Muller, C.W. Non-osteotomy and osteotomy large animal fracture models in orthopedic trauma research. Orthop. Rev. 2014, 6, 5575. [Google Scholar] [CrossRef][Green Version]
- Hager, C.; Biernot, S.; Buettner, M.; Glage, S.; Keubler, L.M.; Held, N.; Bleich, E.M.; Otto, K.; Muller, C.W.; Decker, S.; et al. The Sheep Grimace Scale as an indicator of post-operative distress and pain in laboratory sheep. PLoS ONE 2017, 12, e0175839. [Google Scholar] [CrossRef] [PubMed]
- Field, J.R.; Ruthenbeck, G.R. Qualitative and Quantitative Radiological Measures of Fracture Healing. Vet. Comp. Orthop. Traumatol. 2018, 31, 1–9. [Google Scholar] [CrossRef]
- Hahn, J.A.; Witte, T.S.; Arens, D.; Pearce, A.; Pearce, S. Double-plating of ovine critical sized defects of the tibia: A low morbidity model enabling continuous in vivo monitoring of bone healing. BMC Musculoskelet. Disord. 2011, 12, 214. [Google Scholar] [CrossRef]
- Niemeyer, P.; Schönberger, T.S.; Hahn, J.; Kasten, P.; Fellenberg, J.; Suedkamp, N.; Mehlhorn, A.T.; Milz, S.; Pearce, S. Xenogenic transplantation of human mesenchymal stem cells in a critical size defect of the sheep tibia for bone regeneration. Tissue Eng. Part A 2010, 16, 33–43. [Google Scholar] [CrossRef]
- Lienau, J.; Schmidt-Bleek, K.; Peters, A.; Haschke, F.; Duda, G.N.; Perka, C.; Bail, H.J.; Schütze, N.; Jakob, F.; Schell, H. Differential regulation of blood vessel formation between standard and delayed bone healing. J. Orthop. Res. 2009, 27, 1133–1140. [Google Scholar] [CrossRef] [PubMed]
- Schell, H.; Thompson, M.S.; Bail, H.J.; Hoffmann, J.E.; Schill, A.; Duda, G.N.; Lienau, J. Mechanical induction of critically delayed bone healing in sheep: Radiological and biomechanical results. J. Biomech. 2008, 41, 3066–3072. [Google Scholar] [CrossRef] [PubMed]
- Grasa, J.; Gómez-Benito, M.J.; González-Torres, L.A.; Asiaín, D.; Quero, F.; García-Aznar, J.M. Monitoring in vivo load transmission through an external fixator. Ann. Biomed. Eng. 2010, 38, 605–612. [Google Scholar] [CrossRef]
- Rentsch, C.; Schneiders, W.; Hess, R.; Rentsch, B.; Bernhardt, R.; Spekl, K.; Schneider, K.; Scharnweber, D.; Biewener, A.; Rammelt, S. Healing properties of surface-coated polycaprolactone-co-lactide scaffolds: A pilot study in sheep. J. Biomater. Appl. 2014, 28, 654–666. [Google Scholar] [CrossRef] [PubMed][Green Version]
- Krischak, G.D.; Janousek, A.; Wolf, S.; Augat, P.; Kinzl, L.; Claes, L.E. Effects of one-plane and two-plane external fixation on sheep osteotomy healing and complications. Clin. Biomech. 2002, 17, 470–476. [Google Scholar] [CrossRef]
- Kramer, M. Kompendium der Allgemeinen Veterinärchirurgie; Schlütersche: Hannover, Germany, 2004. [Google Scholar]
- Richtlinie 2010/63/EU DES EUROPÄISCHEN PARLAMENTS UND DES RATES vom 22. September 2010 zum Schutz der für wissenschaftliche Zwecke verwendeten Tiere; 2010.
- Council, N.R. Committee for the Update of the Guide for the, C. & Use of Laboratory, A. In Guide for the Care and Use of Laboratory Animals; National Academies Press: Washington, DC, USA, 2011. [Google Scholar]
- Federal Institute for Risk Assessment. BfR—Bundesinstitut für Risikobewertung. Available online: https://www.bfr.bund.de/ (accessed on 14 October 2023).
- Muhammad, M.; Stokes, J.E.; Manning, L. Positive Aspects of Welfare in Sheep: Current Debates and Future Opportunities. Animals 2022, 12, 3265. [Google Scholar] [CrossRef]
- Lévy, F.; Batailler, M.; Meurisse, M.; Migaud, M. Adult Neurogenesis in Sheep: Characterization and Contribution to Reproduction and Behavior. Front. Neurosci. 2017, 11, 570. [Google Scholar] [CrossRef]
- Duda, G.N.; Kirchner, H.; Wilke, H.J.; Claes, L. A method to determine the 3-D stiffness of fracture fixation devices and its application to predict inter-fragmentary movement. J. Biomech. 1998, 31, 247–252. [Google Scholar] [CrossRef]
- Koval, K.J.; Clapper, M.F.; Brumback, R.J.; Ellison, P.S., Jr.; Poka, A.; Bathon, G.H.; Burgess, A.R. Complications of reamed intramedullary nailing of the tibia. J. Orthop. Trauma 1991, 5, 184–189. [Google Scholar] [CrossRef] [PubMed]
- Giannoudis, P.V.; Tzioupis, C.; Pape, H.-C. Fat embolism: The reaming controversy. Injury 2006, 37, S50–S58. [Google Scholar] [CrossRef] [PubMed]
- Plecko, M.; Lagerpusch, N.; Andermatt, D.; Frigg, R.; Koch, R.; Sidler, M.; Kronen, P.; Klein, K.; Nuss, K.; Burki, A.; et al. The dynamisation of locking plate osteosynthesis by means of dynamic locking screws (DLS)-an experimental study in sheep. Injury 2013, 44, 1346–1357. [Google Scholar] [CrossRef]
- Plecko, M.; Lagerpusch, N.; Pegel, B.; Andermatt, D.; Frigg, R.; Koch, R.; Sidler, M.; Kronen, P.; Klein, K.; Nuss, K.; et al. The influence of different osteosynthesis configurations with locking compression plates (LCP) on stability and fracture healing after an oblique 45 degrees angle osteotomy. Injury 2012, 43, 1041–1051. [Google Scholar] [CrossRef]
- Decker, S.; Kramer, M.; Marten, A.K.; Pfeifer, R.; Wesling, V.; Neunaber, C.; Hurschler, C.; Krettek, C.; Muller, C.W. A nickel-titanium shape memory alloy plate for contactless inverse dynamization after internal fixation in a sheep tibia fracture model: A pilot study. Technol. Health Care 2015, 23, 463–474. [Google Scholar] [CrossRef] [PubMed]
- Marcondes, G.M.; Paretsis, N.F.; Souza, A.F.; Ruivo, M.; Rego, M.A.F.; Nóbrega, F.S.; Cortopassi, S.R.G.; De Zoppa, A. Locking compression plate fixation of critical-sized bone defects in sheep. Development of a model for veterinary bone tissue engineering. Acta Cirúrgica Bras. 2021, 36, e360601. [Google Scholar] [CrossRef]






| Lameness | Score Points |
|---|---|
| Slight relief of the leg during movement | 0 |
| Slight relief of the leg during movement and in a standing position | 1 |
| Obvious lameness and frequent relieving in the standing position | 2 |
| Only minor load in motion and standing position | 3 |
| No load was observed in motion or standing | 4 |
| Animal | Body Weight (kg) | Survival (Days) | Animal | Body Weight (kg) | Survival (Days) |
|---|---|---|---|---|---|
| #ID01 | 51.2 | 28 | #ID04 | 59.4 | 184 |
| #ID02 | 64.0 | 28 | #ID05 | 63.0 | 183 |
| #ID06 | 72.0 | 28 | |||
| #ID03 | 64.0 | 28 | #ID07 | 70.6 | 28 |
| Estimate | SE | Df | t-Value | p-Value | |
|---|---|---|---|---|---|
| (Intercept) | −102.83 | 71.63 | 2.69 | −1.44 | 0.26 |
| Step | 4.92 | 13.45 | 6.00 | 0.37 | 0.73 |
| Bw | 3.03 | 1.21 | 2.69 | 2.49 | 0.10 |
| Step/Bw | −0.06 | 0.23 | 6.00 | −0.28 | 0.79 |
Disclaimer/Publisher’s Note: The statements, opinions and data contained in all publications are solely those of the individual author(s) and contributor(s) and not of MDPI and/or the editor(s). MDPI and/or the editor(s) disclaim responsibility for any injury to people or property resulting from any ideas, methods, instructions or products referred to in the content. |
© 2024 by the authors. Licensee MDPI, Basel, Switzerland. This article is an open access article distributed under the terms and conditions of the Creative Commons Attribution (CC BY) license (https://creativecommons.org/licenses/by/4.0/).
Share and Cite
Knorr, I.J.; Tix, L.; Liu, W.; Talbot, S.R.; Schulz, M.; Bell, L.; Kögel, B.; Tolba, R.; Ernst, L. Refinement in Post-Operative Care for Orthopaedic Models: Implementing a Sheep Walking Cast (SWC) for Effective Tibial Fracture Management. Biomedicines 2024, 12, 343. https://doi.org/10.3390/biomedicines12020343
Knorr IJ, Tix L, Liu W, Talbot SR, Schulz M, Bell L, Kögel B, Tolba R, Ernst L. Refinement in Post-Operative Care for Orthopaedic Models: Implementing a Sheep Walking Cast (SWC) for Effective Tibial Fracture Management. Biomedicines. 2024; 12(2):343. https://doi.org/10.3390/biomedicines12020343
Chicago/Turabian StyleKnorr, Ivonne Jeanette, Leonie Tix, Wenjia Liu, Steven R. Talbot, Mareike Schulz, Laura Bell, Babette Kögel, Rene Tolba, and Lisa Ernst. 2024. "Refinement in Post-Operative Care for Orthopaedic Models: Implementing a Sheep Walking Cast (SWC) for Effective Tibial Fracture Management" Biomedicines 12, no. 2: 343. https://doi.org/10.3390/biomedicines12020343
APA StyleKnorr, I. J., Tix, L., Liu, W., Talbot, S. R., Schulz, M., Bell, L., Kögel, B., Tolba, R., & Ernst, L. (2024). Refinement in Post-Operative Care for Orthopaedic Models: Implementing a Sheep Walking Cast (SWC) for Effective Tibial Fracture Management. Biomedicines, 12(2), 343. https://doi.org/10.3390/biomedicines12020343

