Dermoscopic Patterns of Genodermatoses: A Comprehensive Analysis
Abstract
1. Introduction
1.1. Conditions Affecting the Epidermis, Epidermal Structures, and Appendages
1.1.1. Ichthyoses
1.1.2. Dowling–Degos Disease (DDD, AD, OMIM # 179850)
1.1.3. Palmoplantar Keratodermas
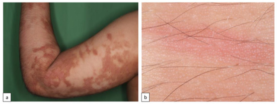
1.1.4. Erythrokeratodermia Variabilis et Progressiva (EKVP)
1.1.5. Darier Disease (DD, Keratosis Follicularis, AD, OMIM # 124200)
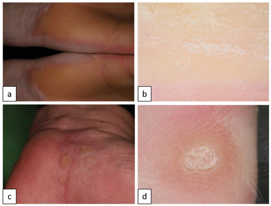
1.1.6. Hailey–Hailey Disease (HHD, Benign Chronic Pemphigus, AD, OMIM # 1696000)
1.1.7. Monilethrix (MNLIX, AD, OMIM # 158000)
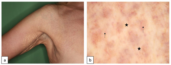
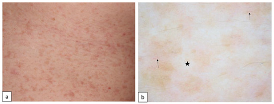
1.2. Connective Tissue Disorder
Pseudoxanthoma Elasticum (PXE, AR, OMIM # 264800)
1.3. Lysosomal Storage Disorder
Fabry Disease (FD, XL, OMIM # 301500)
1.4. Neurocutaneous Conditions
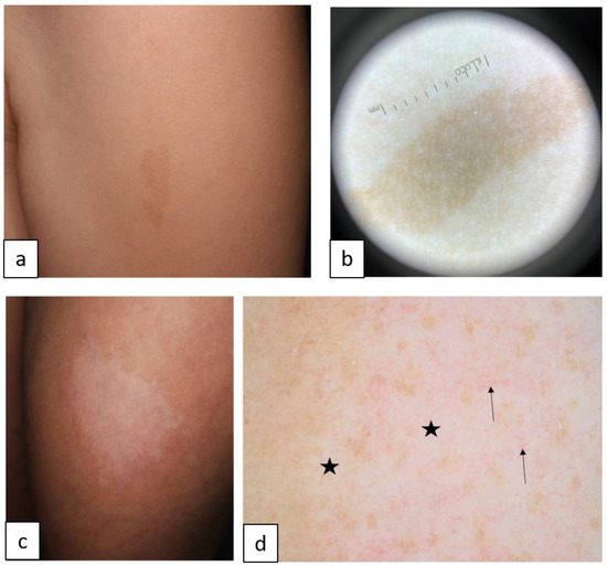
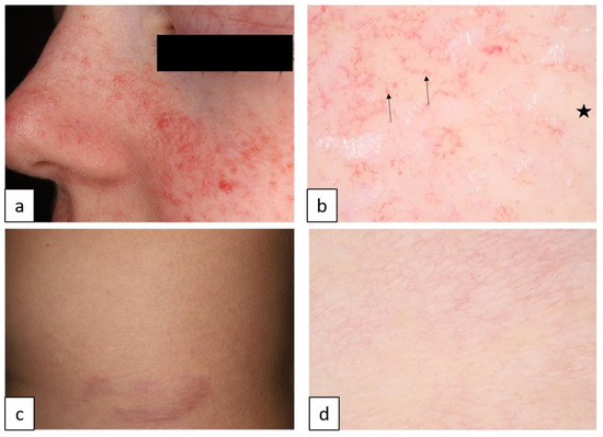
1.4.1. Neurofibromatosis Type 1 (NF1, von Recklinghausen’s Disease, AD, OMIM # 162200)
1.4.2. Tuberous Sclerosis Complex (TSC, AD, OMIM # 191100)
1.4.3. Basal Cell Nevus Syndrome (BCNS or Nevoid Basal Cell Carcinoma Syndrome (NBCCS) or Gorlin–Goltz Syndrome (GGS), AD, OMIM # 109400)
1.5. Other Syndromes Affecting the Skin
1.5.1. CYLD Cutaneous Syndrome ((CCS) including Brooke–Spiegler Syndrome (BRSS), AD, OMIM # 605041; Familial Cylindromatosis (FC), OMIM # 132700; Multiple Familial Trichoepitheliomas (MFT), OMIM # 601606)
1.5.2. Noonan Syndrome with Multiple Lentigines (NSML)/Noonan Syndrome 1 ((NS1), AD, OMIM # 163950)/LEOPARD Syndrome 1 ((LPRD1) or Multiple Lentigines Syndrome, AD, OMIM # 151100)
2. Materials and Methods
2.1. Systematic Review
2.2. Descriptive Study
3. Results
3.1. Systematic Review
3.2. Descriptive Study
4. Discussion
Author Contributions
Funding
Institutional Review Board Statement
Informed Consent Statement
Data Availability Statement
Acknowledgments
Conflicts of Interest
Abbreviations
| AAGAB | alpha and gamma adaptin binding protein |
| ABCC6 | ATP-binding cassette subfamily C gene |
| AD | autosomal dominant |
| ASD | autosomal semidominant |
| AR | autosomal recessive |
| ARCI | autosomal recessive congenital ichthyosis |
| ATP2A2 | sarcoplasmic/endoplasmic reticulum calcium ATPase 2 gene |
| ATP2C1 | ATPase secretory pathway Ca2+ transporting 1 gene |
| AQP5 | aquaporin 5 gene |
| BCC | basal cell carcinoma |
| BCNS | basal cell nevus syndrome/NBCCS (nevoid basal cell carcinoma) syndrome/GGS (Gorlin–Goltz syndrome) |
| CALM | café-au-lait macules |
| CIE | congenital ichthyosiform erythroderma |
| CCS | CYLD cutaneous syndrome/BRSS (Brooke–Spiegler syndrome) |
| DD | Darier disease |
| DDD | Dowling–Degos disease |
| DPPK | diffuse palmoplantar keratoderma |
| EKVP | erythrokeratodermia variabilis et progressiva |
| EPPK | diffuse epidermolytic palmoplantar keratoderma |
| FC | familial cylindromatosis |
| FD | Fabry disease |
| FLG | filaggrin gene |
| GJA1 | gap junction protein alpha 1 gene |
| GJB3, -4 | gap junction protein beta 3,-4 |
| GLA | alpha-galactosidase A gene |
| HHD | Hailey–Hailey disease |
| HI | harlequin ichthyosis |
| IV | ichthyosis vulgaris |
| KRT9 (-81, -83, -86) | keratin 9 (81, 83, 86) gene |
| LI | lamellar ichthyosis |
| NF1 | neurofibromatosis type 1 |
| NS1 | Noonan syndrome 1/ NSML (Noonan syndrome with multiple lentigines) |
| MeDOC | mendelian disorders of cornification |
| MNLIX | monilethrix |
| POFUT1 | GDP-fucose protein O-fucosyltransferase 1 gene |
| POGLUT1 | protein O-glucosyltransferase 2 gene |
| PPK | palmoplantar keratoderma |
| PPPK | punctate palmoplantar keratoderma |
| PRISMA | preferred reporting items for systematic reviews and meta-analyses |
| PSENEN | presenilin enhancer, gamma-secretase subunit gene |
| PTCH1 | 2- patched 1, -2 genes |
| PTPN11 | protein tyrosine phosphatase non-receptor type 11 gene |
| PXE | pseudoxanthoma elasticum |
| SERCA 2 | sarco/endoplasmic reticulum ATPase type 2 |
| SUFU | SUFU negative regulator of hedgehog signaling gene |
| STS | steroid sulfatase gene |
| TSC | tuberous sclerosis complex |
| XLI | X-linked recessive ichthyosis |
| XR | X-linked recessive |
Appendix A
| 1. Were patient’s demographic characteristics clearly described? | 2. Was the patient’s history clearly described and presented as a timeline? | 3. Was the current clinical condition of the patient on presentation clearly described? | 4. Were diagnostic tests or assessment methods and the results clearly described? | 5. Was the intervention(s) or treatment procedure(s) clearly described? | 6. Was the post-intervention clinical condition clearly described? | 7. Were adverse events (harms) or unanticipated events identified and described? | 8. Does the case report provide takeaway lessons? | |
| Ardigo et al., 2007 [41] | yes | yes | yes | yes | NA | NA | NA | yes |
| Baltazard et al., 2017 [43] | yes | yes | yes | yes | NA | NA | NA | yes |
| Behera et al., 2017 [45] | yes | yes | yes | yes | NA | NA | NA | yes |
| Casari et al., 2017 [47] | yes | yes | yes | yes | NA | NA | NA | yes |
| Castañeda-Yépiz et al., 2018 [48] | yes | yes | yes | yes | yes | NA | NA | yes |
| Chauhan et al., 2018 [49] | yes | yes | yes | yes | NA | NA | NA | yes |
| Chauhan et al., 2019 [50] | yes | yes | yes | yes | yes | yes | NA | yes |
| Chauhan et al., 2021 [51] | yes | yes | yes | yes | NA | NA | NA | yes |
| Coco et al., 2019 [52] | yes | yes | yes | yes | NA | NA | NA | yes |
| Dabas et al., 2020 [53] | yes | yes | yes | yes | yes | yes | yes | yes |
| de Oliveira et al., 2015 [54] | yes | yes | yes | yes | yes | yes | NA | yes |
| Dhanaraj et al., 2022 [55] | yes | yes | yes | yes | yes | NA | NA | yes |
| Elmas et al., 2021 [57] | yes | yes | yes | yes | NA | NA | NA | yes |
| Farkas et al., 2021 [60] | yes | yes | yes | yes | NA | NA | NA | yes |
| Feito-Rodríguez et al., 2009 [61] | yes | yes | yes | yes | NA | NA | NA | yes |
| Geissler et al., 2011 [62] | yes | yes | yes | yes | NA | NA | NA | yes |
| Guliani et al., 2018 [63] | yes | yes | yes | yes | NA | NA | NA | yes |
| Jain et al., 2010 [64] | yes | yes | yes | yes | NA | NA | NA | yes |
| Jarrett et al., 2009 [65] | yes | yes | yes | yes | NA | NA | NA | yes |
| Jarrett et al., 2010 [66] | yes | yes | yes | yes | NA | NA | NA | yes |
| Jha et al., 2018 [67] | yes | yes | yes | yes | NA | NA | NA | yes |
| Jimenez-Cauhe et al., 2020 [68] | yes | unclear | unclear | yes | NA | NA | NA | yes |
| Kawashima et al., 2018 [70] | yes | yes | yes | yes | NA | NA | NA | yes |
| Kelati et al., 2017 [71] | yes | yes | yes | yes | NA | NA | NA | yes |
| Kolm et al., 2016 [72] | yes | yes | yes | yes | NA | NA | NA | yes |
| Kosmidis et al., 2023 [73] | yes | yes | yes | yes | NA | NA | NA | yes |
| Lacarrubba et al., 2017 [27] | yes | yes | yes | yes | NA | NA | NA | yes |
| Liang et al., 2020 [75] | yes | yes | yes | yes | NA | NA | NA | yes |
| Liu et al., 2008 [76] | yes | yes | yes | yes | NA | NA | NA | yes |
| Massone et al., 2008 [78] | yes | yes | yes | yes | NA | NA | NA | yes |
| Moreira et al., 2015 [79] | yes | yes | yes | yes | NA | NA | NA | yes |
| Nasca et al., 2016 [81] | yes | yes | yes | yes | NA | NA | NA | yes |
| Navarrete-Dechent et al., 2016 [82] | yes | yes | yes | yes | NA | NA | NA | yes |
| Nirmal et al., 2016 [110] | yes | yes | yes | yes | NA | NA | NA | yes |
| Papadopoulou et al., 2022 [111] | yes | yes | yes | yes | NA | NA | NA | yes |
| Peccerillo et al., 2020 [85] | yes | yes | yes | yes | NA | NA | NA | yes |
| Persechino et al., 2019 [86] | yes | yes | yes | yes | NA | NA | NA | yes |
| Pinho et al., 2015 [112] | yes | yes | yes | yes | NA | NA | NA | yes |
| Rajamohanan et al., 2020 [87] | yes | yes | yes | yes | yes | yes | NA | yes |
| Rakowska et al., 2007 [88] | yes | yes | yes | yes | NA | NA | NA | yes |
| Rakowska et al., 2008 [89] | no | no | no | yes | NA | NA | NA | yes |
| Saini et al., 2021 [113] | yes | yes | yes | yes | yes | NA | NA | yes |
| Salas-Alanis et al., 2019 [90] | yes | yes | yes | yes | NA | NA | NA | yes |
| Sharma, S. et al., 2018 [92] | yes | yes | yes | yes | NA | NA | NA | yes |
| Sharma, V.K. et al., 2016 [93] | yes | yes | yes | yes | yes | NA | NA | yes |
| Siemianowska et al., 2021 [94] | yes | yes | yes | yes | yes | yes | yes | yes |
| Singh et al., 2017 [26] | yes | yes | yes | yes | NA | NA | NA | yes |
| Sławińska et al., 2018 [96] | yes | yes | yes | yes | NA | NA | NA | yes |
| Takeda et al., 2018 [97] | yes | yes | yes | yes | NA | NA | NA | yes |
| Tiberio et al., 2011 [98] | yes | yes | yes | yes | NA | NA | NA | yes |
| Tiodorovic et al., 2015 [99] | yes | yes | yes | yes | NA | NA | NA | yes |
| Tiodorovic-Zivkovic et al., 2010 [100] | yes | yes | yes | yes | NA | NA | NA | yes |
| Vasani and Save 2019 [114] | yes | yes | yes | yes | NA | NA | NA | yes |
| Vishwanath et al., 2019 [102] | yes | yes | yes | yes | NA | NA | NA | yes |
| Vishwanath et al., 2020 [101] | yes | yes | yes | yes | NA | NA | NA | yes |
| Wibowo et al., 2023 [103] | yes | yes | yes | yes | yes | yes | NA | yes |
| Xue et al., 2019 [104] | yes | yes | yes | yes | NA | NA | NA | yes |
| Yorulmaz et al., 2017 [105] | yes | yes | yes | yes | yes | NA | NA | yes |
| Zaouak et al., 2019 [106] | yes | yes | yes | yes | yes | NA | NA | yes |
| Zhi et al., 2018 [107] | yes | yes | yes | yes | yes | yes | NA | yes |
| Zhou et al., 2022 [108] | yes | yes | yes | yes | NA | NA | NA | yes |
| Were there clear criteria for inclusion in the case series? | Was the condition measured in a standard, reliable way for all participants included in the case series? | Were valid methods used for identification of the condition for all participants included in the case series? | Did the case series have consecutive inclusion of participants? | Did the case series have complete inclusion of participants? | Was there clear reporting of the demographics of the participants in the study? | Was there clear reporting of clinical information of the participants? | Were the outcomes or follow up results of cases clearly reported? | Was there clear reporting of the presenting site(s)/clinic(s) demographic information? | Was statistical analysis appropriate? | |
| Ankad et al., 2017 [109] | yes | yes | yes | yes | yes | yes | yes | yes | yes | yes |
| Ankad et al., 2023 [40] | yes | yes | yes | yes | yes | yes | yes | yes | yes | yes |
| Anker et al., 2023 [30] | yes | yes | yes | yes | yes | yes | yes | yes | yes | yes |
| Balić et al., 2022 [42] | yes | yes | yes | yes | yes | yes | yes | yes | yes | yes |
| Banuls et al., 2018 [44] | yes | yes | yes | yes | yes | yes | yes | yes | yes | yes |
| Bel et al., 2010 [23] | yes | yes | yes | yes | yes | yes | yes | yes | yes | yes |
| Bel et al., 2014 [24] | yes | yes | yes | yes | yes | no | no | yes | yes | yes |
| Berthin et al., 2019 [46] | yes | yes | yes | yes | yes | yes | yes | yes | yes | yes |
| Duman and Elmas 2015 [56] | yes | yes | yes | yes | yes | yes | yes | yes | yes | yes |
| Errichetti et al., 2016 [116] | yes | yes | yes | yes | yes | yes | yes | yes | yes | yes |
| Errichetti et al., 2016 [59] | yes | yes | yes | yes | yes | yes | yes | yes | yes | yes |
| Errichetti et al., 2023 [58] | yes | yes | yes | yes | yes | yes | yes | yes | yes | yes |
| Gajjar et al., 2019 [7] | yes | yes | yes | yes | yes | yes | yes | yes | yes | yes |
| Jindal et al., 2021 [69] | yes | yes | yes | yes | yes | unclear | unclear | yes | yes | yes |
| Lacarrubba et al., 2015 [74] | yes | yes | yes | yes | yes | yes | yes | yes | yes | NA |
| Luk et al., 2014 [77] | yes | yes | yes | yes | yes | yes | yes | yes | yes | yes |
| Narkhede et al., 2019 [80] | yes | yes | yes | yes | yes | yes | yes | yes | yes | yes |
| Oliviera et al., 2018 [83] | yes | yes | yes | yes | yes | yes | yes | yes | yes | yes |
| Oliviera et al., 2019 [84] | yes | yes | yes | yes | yes | yes | yes | yes | yes | NA |
| Sechi et al., 2019 [91] | yes | yes | yes | yes | yes | yes | yes | yes | yes | yes |
| Silverberg et al., 2011 [95] | yes | yes | yes | yes | yes | yes | yes | yes | yes | yes |
| Vázquez-López et al., 2005 [115] | yes | yes | yes | yes | yes | yes | yes | yes | yes | yes |
References
- Tantcheva-Poór, I.; Oji, V.; Has, C. A multistep approach to the diagnosis of rare genodermatoses. J. Dtsch. Dermatol. Ges. J. Ger. Soc. Dermatol. JDDG 2016, 14, 969–986. [Google Scholar] [CrossRef] [PubMed]
- Benintende, C.; Boscaglia, S.; Dinotta, F.; Lacarrubba, F.; Micali, G. Treatment of ichthyosis vulgaris with a urea-based emulsion: Videodermatoscopy and confocal microscopy evaluation. G. Ital. Dermatol. Venereol. 2017, 152, 555–559. [Google Scholar] [CrossRef] [PubMed]
- Mena-Vergara, L.; Silva-Astorga, M.; Carrasco-Cancino, C.; Muñoz-Uslar, L. Gorlin Syndrome: Sequential Digital Dermoscopy of Palpebral Basal Cell Carcinomas in a Patient Treated with Vismodegib. Dermatol. Pract. Concept. 2022, 12, e2022019. [Google Scholar] [CrossRef] [PubMed]
- Rossi, A.; Iorio, A.; Scali, E.; Fortuna, M.C.; Mari, E.; Palese, E.; Greco, P.; Carlesimo, M. Monilethrix treated with minoxidil. Int. J. Immunopathol. Pharmacol. 2011, 24, 239–242. [Google Scholar] [CrossRef]
- Shen, Q.; Fu, Z.; Du, P.; Wang, J. Gene detection in a family with monilethrix and treatment with 5% topical minoxidil. Ski. Res. Technol. 2023, 29, e13233. [Google Scholar] [CrossRef] [PubMed]
- Micali, G.; Verzì, A.E.; Quattrocchi, E.; Ng, C.Y.; Lacarrubba, F. Dermatoscopy of Common Lesions in Pediatric Dermatology. Dermatol. Clin. 2018, 36, 463–472. [Google Scholar] [CrossRef] [PubMed]
- Gajjar, P.C.; Mehta, H.H.; Gosai, M. Dermoscopy of Congenital Dermatoses in Pediatric Age Group: An Observational Study. Indian J. Paediatr. Dermatol. 2019, 20, 219–226. [Google Scholar]
- Kittler, H.; Marghoob, A.A.; Argenziano, G.; Carrera, C.; Curiel-Lewandrowski, C.; Hofmann-Wellenhof, R.; Malvehy, J.; Menzies, S.; Puig, S.; Rabinovitz, H.; et al. Standardization of terminology in dermoscopy/dermatoscopy: Results of the third consensus conference of the International Society of Dermoscopy. J. Am. Acad. Dermatol. 2016, 74, 1093–1106. [Google Scholar] [CrossRef]
- Errichetti, E.; Zalaudek, I.; Kittler, H.; Apalla, Z.; Argenziano, G.; Bakos, R.; Blum, A.; Braun, R.; Ioannides, D.; Lacarrubba, F.; et al. Standardization of dermoscopic terminology and basic dermoscopic parameters to evaluate in general dermatology (non-neoplastic dermatoses): An expert consensus on behalf of the International Dermoscopy Society. Br. J. Dermatol. 2020, 182, 454–467. [Google Scholar] [CrossRef]
- Pinkova, B.; Buckova, H.; Borska, R.; Fajkusova, L. Types of congenital nonsyndromic ichthyoses. Biomed. Pap. Med. Fac. Univ. Palacky Olomouc Czechoslov. 2020, 164, 357–365. [Google Scholar] [CrossRef]
- Anker, P.; Kiss, N.; Kocsis, I.; Czemmel, É.; Becker, K.; Zakariás, S.; Plázár, D.; Farkas, K.; Mayer, B.; Nagy, N.; et al. Report of a Novel ALOX12B Mutation in Self-Improving Collodion Ichthyosis with an Overview of the Genetic Background of the Collodion Baby Phenotype. Life 2021, 11, 624. [Google Scholar] [CrossRef] [PubMed]
- Vahlquist, A.; Fischer, J.; Törmä, H. Inherited Nonsyndromic Ichthyoses: An Update on Pathophysiology, Diagnosis and Treatment. Am. J. Clin. Dermatol. 2018, 19, 51–66. [Google Scholar] [CrossRef] [PubMed]
- Traupe, H.; Fischer, J.; Oji, V. Nonsyndromic types of ichthyoses—An update. J. Dtsch. Dermatol. Ges. J. Ger. Soc. Dermatol. JDDG 2014, 12, 109–121. [Google Scholar] [CrossRef] [PubMed]
- Vahlquist, A. Pleomorphic ichthyosis: Proposed name for a heterogeneous group of congenital ichthyoses with phenotypic shifting and mild residual scaling. Acta Derm.-Venereol. 2010, 90, 454–460. [Google Scholar] [CrossRef]
- Stephan, C.; Kurban, M.; Abbas, O. Dowling-Degos disease: A review. Int. J. Dermatol. 2021, 60, 944–950. [Google Scholar] [CrossRef]
- Thomas, B.R.; O’Toole, E.A. Diagnosis and Management of Inherited Palmoplantar Keratodermas. Acta Derm. Venereol. 2020, 100, adv00094. [Google Scholar] [CrossRef]
- Ishida-Yamamoto, A. Erythrokeratodermia variabilis et progressiva. J. Dermatol. 2016, 43, 280–285. [Google Scholar] [CrossRef]
- Duchatelet, S.; Boyden, L.M.; Ishida-Yamamoto, A.; Zhou, J.; Guibbal, L.; Hu, R.; Lim, Y.H.; Bole-Feysot, C.; Nitschké, P.; Santos-Simarro, F.; et al. Mutations in PERP Cause Dominant and Recessive Keratoderma. J. Investig. Dermatol. 2019, 139, 380–390. [Google Scholar] [CrossRef]
- Janin, A.; Bessière, F.; Georgescu, T.; Chanavat, V.; Chevalier, P.; Millat, G. TRPM4 mutations to cause autosomal recessive and not autosomal dominant Brugada type 1 syndrome. Eur. J. Med. Genet. 2019, 62, 103527. [Google Scholar] [CrossRef]
- Shah, K.; Ansar, M.; Khan, F.S.; Ahmad, W.; Ferrara, T.M.; Spritz, R.A. Recessive progressive symmetric erythrokeratoderma results from a homozygous loss-of-function mutation of KRT83 and is allelic with dominant monilethrix. J. Med. Genet. 2017, 54, 186–189. [Google Scholar] [CrossRef]
- Boyden, L.M.; Vincent, N.G.; Zhou, J.; Hu, R.; Craiglow, B.G.; Bayliss, S.J.; Rosman, I.S.; Lucky, A.W.; Diaz, L.A.; Goldsmith, L.A.; et al. Mutations in KDSR Cause Recessive Progressive Symmetric Erythrokeratoderma. Am. J. Hum. Genet. 2017, 100, 978–984. [Google Scholar] [CrossRef] [PubMed]
- Rogner, D.F.; Lammer, J.; Zink, A.; Hamm, H. Darier and Hailey-Hailey disease: Update 2021. JDDG J. Dtsch. Dermatol. Ges. 2021, 19, 1478–1501. [Google Scholar] [CrossRef] [PubMed]
- Bel, B.; Jeudy, G.; Vabres, P. Dermoscopy of longitudinal leukonychia in Hailey-Hailey disease. Arch. Dermatol. 2010, 146, 1204. [Google Scholar] [CrossRef] [PubMed]
- Bel, B.; Soudry-Faure, A.; Vabres, P. Diagnostic value of nail examination in Hailey-Hailey disease. Eur. J. Dermatol. 2014, 24, 628–629. [Google Scholar] [CrossRef] [PubMed]
- Shimomura, Y.; Sakamoto, F.; Kariya, N.; Matsunaga, K.; Ito, M. Mutations in the desmoglein 4 gene are associated with monilethrix-like congenital hypotrichosis. J. Investig. Dermatol. 2006, 126, 1281–1285. [Google Scholar] [CrossRef]
- Singh, A.; Bhari, N.; Bhari, A. Dermoscopy of pseudoxanthoma elasticum. BMJ Case Rep. 2017, 2017, bcr-2017-221365. [Google Scholar] [CrossRef]
- Lacarrubba, F.; Verzì, A.E.; Caltabiano, R.; Micali, G. Dermoscopy of pseudoxanthoma elasticum. J. Am. Acad. Dermatol. 2017, 76, S69–S70. [Google Scholar] [CrossRef]
- Jha, A.K.; Sonthalia, S.; Jakhar, D. Dermoscopy of Angiokeratoma. Idian Dermatol. Online J. 2018, 9, 141–142. [Google Scholar] [CrossRef]
- Michaud, M.; Mauhin, W.; Belmatoug, N.; Bedreddine, N.; Garnotel, R.; Catros, F.; Lidove, O.; Gaches, F. Fabry disease: A review. Rev. Med. Interne 2021, 42, 110–119. [Google Scholar] [CrossRef]
- Anker, P.; Fésűs, L.; Kiss, N.; Lengyel, A.; Pinti, É.; Lihacova, I.; Lihachev, A.; Plorina, E.V.; Fekete, G.; Medvecz, M. A Cross-Sectional Study of the Dermatological Manifestations of Patients with Fabry Disease and the Assessment of Angiokeratomas with Multimodal Imaging. Diagnostics 2023, 13, 2368. [Google Scholar] [CrossRef]
- Wang, R.F.; Ko, D.; Friedman, B.J.; Lim, H.W.; Mohammad, T.F. Disorders of Hyperpigmentation. Part I. Pathogenesis and clinical features of common pigmentary disorders. J. Am. Acad. Dermatol. 2022, 88, 271–288. [Google Scholar] [CrossRef] [PubMed]
- Portocarrero, L.K.L.; Quental, K.N.; Samorano, L.P.; Oliveira, Z.N.P.; Rivitti-Machado, M. Tuberous sclerosis complex: Review based on new diagnostic criteria. An. Bras. De Dermatol. 2018, 93, 323–331. [Google Scholar] [CrossRef] [PubMed]
- Bresler, S.C.; Padwa, B.L.; Granter, S.R. Nevoid Basal Cell Carcinoma Syndrome (Gorlin Syndrome). Head Neck Pathol. 2016, 10, 119–124. [Google Scholar] [CrossRef] [PubMed]
- Nagy, N.; Dubois, A.; Szell, M.; Rajan, N. Genetic Testing in CYLD Cutaneous Syndrome: An Update. Appl. Clin. Genet. 2021, 14, 427–444. [Google Scholar] [CrossRef] [PubMed]
- Sarkozy, A.; Digilio, M.C.; Dallapiccola, B. Leopard syndrome. Orphanet J. Rare Dis. 2008, 3, 13. [Google Scholar] [CrossRef]
- Bujaldón, A.R. LEOPARD Syndrome: What Are Café Noir Spots? Pediatr. Dermatol. 2008, 25, 444–448. [Google Scholar] [CrossRef]
- Page, M.J.; McKenzie, J.E.; Bossuyt, P.M.; Boutron, I.; Hoffmann, T.C.; Mulrow, C.D.; Shamseer, L.; Tetzlaff, J.M.; Akl, E.A.; Brennan, S.E.; et al. The PRISMA 2020 statement: An updated guideline for reporting systematic reviews. BMJ 2021, 372, n71. [Google Scholar] [CrossRef]
- Moola, S.; Munn, Z.; Tufanaru, C.; Aromataris, E.; Sears, K.; Sfetic, R.; Currie, M.; Lisy, K.; Qureshi, R.; Mattis, P.; et al. Chapter 7: Systematic reviews of etiology and risk. In Synthesis Manual for Evidence Synthesis; Aromataris, E., Munn, Z., Eds.; JBI: Adelaide, Australia, 2020. [Google Scholar]
- Munn, Z.B.T.; Moola, S.; Tufanaru, C.; Stern, C.; McArthur, A.; Stephenson, M.; Aromataris, E. Methodological quality of case series studies. JBI Evid. Synth. 2020, 18, 2127–2133. [Google Scholar] [CrossRef]
- Ankad, B.S.; Errichetti, E.; Lallas, A.; Chauhan, P.; Malani, S.; Neema, S.; Bhat, Y.J.; Vinay, K.; Behera, B.; Khare, S. Dermoscopy of Hailey-Hailey disease in dark skin: A multicentric observational controlled study by the International Dermoscopy Society Task Force on “Imaging in Skin of Color”. Int. J. Dermatol. 2023, 62, e529–e531. [Google Scholar] [CrossRef]
- Ardigo, M.; Zieff, J.; Scope, A.; Gill, M.; Spencer, P.; Deng, L.; Marghoob, A.A. Dermoscopic and reflectance confocal microscope findings of trichoepithelioma. Dermatology 2007, 215, 354–358. [Google Scholar] [CrossRef]
- Balić, A.; Garces Rene, J.; Radoš, J. Dermoscopy of Zosteriform and Swirling Pattern Type 1 Segmental Darier Disease. Acta Dermatovenerol. Croat. 2022, 30, 191–193. [Google Scholar] [PubMed]
- Baltazard, T.; Dhaille, F.; Chaby, G.; Lok, C. Value of dermoscopy for the diagnosis of monilethrix. Dermatol. Online J. 2017, 23, 20. [Google Scholar] [CrossRef]
- Banuls, J.; Álvarez-Chinchilla, P.; Lucas, A.; Poveda, I.; Encabo-Durán, B.; Niveiro, M.; Nagore, E.; Zaballos, P. Clinical, pathological and dermoscopic characteristics of cutaneous lesions in LEOPARD syndrome. J. Eur. Acad. Dermatol. Venereol. 2018, 32, e100-e1. [Google Scholar] [CrossRef]
- Behera, B.; Kumari, R.; Gochhait, D.; Sathya, A.B.; Thappa, D.M. Dermoscopy of adenoma sebaceum. J. Am. Acad. Dermatol. 2017, 76, S86–S88. [Google Scholar] [CrossRef] [PubMed]
- Berthin, C.; Phan, A.; Navasiolava, N.; Michalak, S.; Humeau, H.; Grimaux, X.; Martin, L. Dermoscopic phenotype of pseudoxanthoma elasticum skin lesions: A study of 16 patients. J. Eur. Acad. Dermatol. Venereol. 2019, 33, e262–e265. [Google Scholar] [CrossRef]
- Casari, A.; Argenziano, G.; Moscarella, E.; Lallas, A.; Longo, C. Confocal and dermoscopic features of basal cell carcinoma in Gorlin–Goltz syndrome: A case report. Australas. J. Dermatol. 2017, 58, e48–e50. [Google Scholar] [CrossRef]
- Castañeda-Yépiz, R.; Simón-Díaz, P.; Olvera-Rojas, A.; Martínez-Velasco, M.A.; Arenas, R.; Asz-Sigall, D.; Roldán-Marín, R. Monilethrix: A case report imaged by trichoscopy, reflectance confocal microscopy and histopathology. Australas. J. Dermatol. 2018, 59, e276–e277. [Google Scholar] [CrossRef] [PubMed]
- Chauhan, P.; Meena, D.; Hazarika, N. Dermoscopy of Hailey Hailey Disease. Indian Dermatol. Online J. 2018, 9, 139–140. [Google Scholar] [CrossRef] [PubMed]
- Chauhan, P.; Meena, D.; Hazarika, N.; Mrigpuri, S.; Parsad, D. Generalized Hailey–Hailey disease with flexural keratotic papules: An interesting presentation and remarkable response with minocycline. Dermatol. Ther. 2019, 32, e12945. [Google Scholar] [CrossRef] [PubMed]
- Chauhan, P.; Sethi, S.; Jindal, R. Dermoscopy of a Case of Pseudoxanthoma Elasticum: A Step Closer to Diagnosis. Indian J. Dermatol. 2021, 66, 555–557. [Google Scholar] [CrossRef]
- Coco, V.; Guerriero, C.; Esposito, I.; De Vincenzo, R.P.; Peris, K. A familial case of Dowling-Degos disease on the vulva. Clin. Exp. Dermatol. 2019, 44, 921–923. [Google Scholar] [CrossRef] [PubMed]
- Mahajan, R.; Dabas, G.; Afra, T.; De, D.; Handa, S.; Aggarwal, D.; Radotra, B. Dermoscopy of follicular dowling-degos disease. Indian J. Dermatol. 2020, 65, 290–294. [Google Scholar] [CrossRef] [PubMed]
- De Oliveira, E.F.; Araripe, A.L.C.A. Monilethrix: A typical case report with microscopic and dermatoscopic findings. An. Bras. Dermatol. 2015, 90, 126–127. [Google Scholar] [CrossRef] [PubMed]
- Dhanaraj, M.; Danny, G.C.; Srinivasan, S.; Nagaraju, S. Late onset Darier’s disease in a genetically predisposed individual: A case report. Pan Afr. Med. J. 2022, 42, 208. [Google Scholar] [PubMed]
- Duman, N.; Elmas, M. Dermoscopy of cutaneous neurofibromas associated with neurofibromatosis type 1. J. Am. Acad. Dermatol. 2015, 73, 529–531. [Google Scholar] [CrossRef]
- Elmas, Ö.F.; Demirbaş, A.; Kılıç, R.; Kilitçi, A. The Role of Dermoscopy in Diagnosis: A Case Presentation of Pseudoxanthoma Elasticum Initially Misdiagnosed as Pigmented Contact Dermatitis. Dermatol. Pract. Concept. 2021, 11, e2021064. [Google Scholar] [CrossRef] [PubMed]
- Errichetti, E.; Ankad, B.S.; Lallas, A.; Chauhan, P.; Nayak, M.; Usatine, R.P.; Bhat, Y.; Vinay, K.; Akay, B.N.; Kelati, A.; et al. Dermoscopy of Darier’s disease in dark phototypes: An observational study by the International Dermoscopy Society task force on ‘imaging in skin of colour’. J. Eur. Acad. Dermatol. Venereol. 2023, 37, e720–e722. [Google Scholar] [CrossRef]
- Errichetti, E.; Stinco, G.; Lacarrubba, F.; Micali, G. Dermoscopy of Darier’s disease. J. Eur. Acad. Dermatol. Venereol. 2016, 30, 1392–1394. [Google Scholar] [CrossRef]
- Farkas, K.; Bozsányi, S.; Plázár, D.; Bánvölgyi, A.; Fésűs, L.; Anker, P.; Zakariás, S.; Lihacova, I.; Lihachev, A.; Lange, M.; et al. Autofluorescence Imaging of the Skin Is an Objective Non-Invasive Technique for Diagnosing Pseudoxanthoma Elasticum. Diagnostics 2021, 11, 260. [Google Scholar] [CrossRef]
- Feito-Rodríguez, M.; Sendagorta-Cudós, E.; Moratinos-Martínez, M.; González-Beato, M.J.; de Lucas-Laguna, R.; Pizarro, A. Dermatoscopic characteristics of acrochordon-like basal cell carcinomas in Gorlin-Goltz syndrome. J. Am. Acad. Dermatol. 2009, 60, 857–861. [Google Scholar] [CrossRef]
- Geissler, S.; Dyall-Smith, D.; Coras, B.; Guther, S.; Peters, B.; Stolz, W. Unique brown star shape on dermatoscopy of generalized Dowling-Degos disease. Australas. J. Dermatol. 2011, 52, 151–153. [Google Scholar] [CrossRef] [PubMed]
- Guliani, A.; Kumar, S.; De, D.; Aggarwal, D.; Radotra, B.D. Generalised lentiginosis and café noir spots leading to a diagnosis of LEOPARD syndrome. Postgrad. Med. J. 2018, 94, 605. [Google Scholar] [CrossRef] [PubMed]
- Jain, N.; Khopkar, U. Monilethrix in pattern distribution in siblings: Diagnosis by trichoscopy. Int. J. Trichology 2010, 2, 56–59. [Google Scholar]
- Jarrett, R.; Walker, L.; Bowling, J. Dermoscopy of Brooke-Spiegler syndrome. Arch. Dermatol. 2009, 145, 854. [Google Scholar] [CrossRef] [PubMed]
- Jarrett, R.; Walker, L.; Bowling, J. The dermoscopy of Gorlin syndrome: Pursuit of the pits revisited. Arch. Dermatol. 2010, 146, 582. [Google Scholar] [CrossRef]
- Jha, A.K.; Zeeshan, M.D.; Sinha, B.K.; Singh, A.; Agrawal, P. Periumbilical perforating pseudoxanthoma elasticum: A rare case report. Dermatol. Pract. Concept. 2018, 8, 75–77. [Google Scholar] [CrossRef]
- Jimenez-Cauhe, J.; Boixeda, P. Visual Dermatology: Subungual Red Comets in Tuberous Sclerosis Complex. J. Cutan. Med. Surg. 2020, 24, 309. [Google Scholar] [CrossRef]
- Jindal, R.; Sethi, S.; Chauhan, P. Dermoscopy of Facial Angiofibromas in Four Patients of Skin of Color with Tuberous Sclerosis Complex: A Case-Series. Dermatol. Pract. Concept. 2021, 11, e2021036. [Google Scholar] [CrossRef]
- Kawashima, S.; Togawa, Y.; Miyachi, H.; Matsue, H. Dermoscopic features of pseudoxanthoma elasticum. Clin. Exp. Dermatol. 2018, 43, 175–179. [Google Scholar] [CrossRef]
- Kelati, A.; Argenziano, G.; Mernissi, F.Z. Dermoscopic presentation of Hailey-Hailey disease. J. Am. Acad. Dermatol. 2017, 76, S31–S33. [Google Scholar] [CrossRef]
- Kolm, I.; Puig, S.; Iranzo, P.; Malvehy, J. Dermoscopy in Gorlin-Goltz syndrome. Dermatol. Surg. 2006, 32, 847–851. [Google Scholar] [PubMed]
- Kosmidis, C.S.; Michael, C.; Mystakidou, C.M.; Theodorou, V.; Papadopoulou, E.; Papadopoulou, K.; Koulouris, C.; Varsamis, N.; Koimtzis, G.; Roullia, P.; et al. An Easily Missed But Life-Threatening Diagnosis: A Case Report of Gorlin Syndrome. Am. J. Case Rep. 2023, 24, e939117. [Google Scholar] [CrossRef] [PubMed]
- Lacarrubba, F.; Verzì, A.E.; Errichetti, E.; Stinco, G.; Micali, G. Darier disease: Dermoscopy, confocal microscopy, and histologic correlations. J. Am. Acad. Dermatol. 2015, 73, e97–e99. [Google Scholar] [CrossRef]
- Liang, B.; Yuan, T.; Zhou, Y.; Ding, Y.; Tang, L.; Wang, F.; Wang, P.; Li, H.; Zhang, Y.; Zhu, M.; et al. Annular epidermolytic ichthyosis with palmoplantar keratosis: A unique phenotype associated with interfamilial phenotypic heterogeneity. Eur. J. Dermatol. 2020, 30, 294–299. [Google Scholar] [CrossRef] [PubMed]
- Liu, C.I.; Hsu, C.H. Rapid diagnosis of monilethrix using dermoscopy. Br. J. Dermatol. 2008, 159, 741–743. [Google Scholar] [CrossRef]
- Luk, D.C.K.; Lam, S.Y.Y.; Cheung, P.C.H.; Chan, B.H.B. Dermoscopy for common skin problems in Chinese children using a novel Hong Kong–made dermoscope. Hong Kong Med. J. 2014, 20, 495–503. [Google Scholar] [CrossRef]
- Massone, C.; Hofmann-Wellenhof, R. Dermoscopy of Dowling-Degos disease of the vulva. Arch. Dermatol. 2008, 144, 417–418. [Google Scholar] [CrossRef]
- Moreira, C.; Morais, P.; Santos, P.; Castro, M.; Azevedo, F. Phenotypic spectrum of a patient with Gorlin’s syndrome and role of dermoscopy in the early detection of basal cell carcinomas. An. Bras. Dermatol. 2015, 90, 416–419. [Google Scholar] [CrossRef]
- Narkhede, N.; Nikham, B.; Jamale, V.; Hussain, A.; Kale, M. Evaluation of Dermoscopic Patterns of Vesiculobullous Disorders. Indian J. Dermatol. 2021, 66, 445. [Google Scholar]
- Nasca, M.R.; Lacarrubba, F.; Caltabiano, R.; Verzì, A.E.; Micali, G. Perforating pseudoxanthoma elasticum with secondary elastosis perforans serpiginosa-like changes: Dermoscopy, confocal microscopy and histopathological correlation. J. Cutan. Pathol. 2016, 43, 1021–1024. [Google Scholar] [CrossRef]
- Navarrete-Dechent, C.; Bajaj, S.; Marghoob, A.A.; González, S.; Muñoz, D. Multiple familial trichoepithelioma: Confirmation via dermoscopy. Dermatol. Pract. Concept. 2016, 6, 51–54. [Google Scholar] [CrossRef] [PubMed]
- Oliveira, A.; Arzberger, E.; Pimentel, B.; de Sousa, V.C.; Leal-Filipe, P. Dermoscopic and reflectance confocal microscopic presentation of Hailey-Hailey disease: A case series. Skin Res. Technol. 2018, 24, 85–92. [Google Scholar] [CrossRef] [PubMed]
- Oliveira, A.; Coelho de Sousa, V.; Pimenta, R.; Leal-Filipe, P. Reflectance confocal microscopy in Darier disease: A case series with dermoscopic and histologic correlation. Skin Res. Technol. 2019, 25, 404–406. [Google Scholar] [CrossRef]
- Peccerillo, F.; Longhitano, S.; Ferrari, B.; Bigi, L.; Pellacani, G.; Odorici, G. A Peculiar Case of Darier Disease in Blaschkoid Distribution. Dermatol. Pract. Concept. 2020, 10, e2020078. [Google Scholar] [CrossRef] [PubMed]
- Persechino, F.; Giordano, D.; Marini, C.D.; Franceschini, C.; Ardigò, M.; Persechino, S. Dermoscopy, Optical Coherence Tomography, and Histological Correlation of Pseudoxanthoma Elasticum. Dermatol. Pract. Concept. 2019, 9, 209–210. [Google Scholar] [CrossRef]
- Rajamohanan, R.R.; Behera, B.; Nagendran, P.; Malathi, M. Monilethrix: A Report of Three Cases in Children Confirmed with Dermoscopy. Indian Dermatol. Online J. 2020, 11, 65–67. [Google Scholar]
- Rakowska, A.; Slowinska, M.; Czuwara, J.; Olszewska, M.; Rudnicka, L. Dermoscopy as a tool for rapid diagnosis of monilethrix. J. Drugs Dermatol. 2007, 6, 222–224. [Google Scholar]
- Rakowska, A.; Slowinska, M.; Kowalska-Oledzka, E.; Rudnicka, L. Trichoscopy in genetic hair shaft abnormalities. J. Dermatol. Case Rep. 2008, 2, 14–20. [Google Scholar] [CrossRef]
- Salas-Alanis, J.C.; Cepeda-Valdes, R.; Fortuna, G.; Li, Q.; Uitto, J. Pseudoxanthoma elasticum: Dermoscopy and mutation analysis. Australas. J. Dermatol. 2019, 60, e156–e158. [Google Scholar] [CrossRef]
- Sechi, A.; Savoia, F.; Patrizi, A.; Sacchelli, L.; Neri, I. Dermoscopy of subungual red comets associated with tuberous sclerosis complex. Pediatr. Dermatol. 2019, 36, 408–410. [Google Scholar] [CrossRef]
- Sharma, S.; Chauhan, P.; Kansal, N.K. Dermoscopy of Trichoepithelioma: A Clue to Diagnosis. Indian Dermatol. Online J. 2018, 9, 222–223. [Google Scholar] [CrossRef] [PubMed]
- Sharma, V.K.; Chiramel, M.J.; Rao, A. Dermoscopy: A rapid bedside tool to assess monilethrix. Indian J. Dermatol. Venereol. Leprol. 2016, 82, 73–74. [Google Scholar] [CrossRef] [PubMed]
- Siemianowska, D.; Wolf, B. Importance of dermoscopy in assisting the non-invasive diagnosis of Darier’s disease. J. Pak. Assoc. Dermatol. 2021, 31, 103–107. [Google Scholar]
- Silverberg, N.B. A pilot trial of dermoscopy as a rapid assessment tool in pediatric dermatoses. Cutis 2011, 87, 148–154. [Google Scholar]
- Sławińska, M.; Sikorska, M.; Biernat, W.; Nowicki, R.J.; Sobjanek, M. Significance of dermoscopy in early detection of acral basal cell carcinoma in patients with Gorlin-Goltz syndrome. Prz. Dermatol. 2018, 105, 87–90. [Google Scholar]
- Takeda, M.; Nomura, T.; Sugiyama, T.; Miyauchi, T.; Suzuki, S.; Fujita, Y.; Shimizu, H. Compound heterozygous missense mutations p.Leu207Pro and p.Tyr544Cys in TGM1 cause a severe form of lamellar ichthyosis. J. Dermatol. 2018, 45, 1463–1467. [Google Scholar] [CrossRef]
- Tiberio, R.; Valente, G.; Celasco, M.; Pertusi, G.; Veronese, F.; Bozzo, C.; Gattoni, M.; Colombo, E. Pigmented basal cell carcinomas in Gorlin syndrome: Two cases with different dermatoscopic patterns. Clin. Exp. Dermatol. 2011, 36, 617–620. [Google Scholar] [CrossRef]
- Tiodorović, D.; Krstić, M. Clinical, Histological and Dermoscopic Findings in Familial Cylindromatosis: A Report of Two Cases. Serbian J. Dermatol. Venereol. 2015, 7, 75–82. [Google Scholar] [CrossRef][Green Version]
- Tiodorovic-Zivkovic, D.; Zalaudek, I.; Ferrara, G.; Giorgio, C.M.; Di Nola, K.; Procaccini, E.M.; Argenziano, G. Clinical and dermatoscopic findings in Bazex-Dupré-Christol and Gorlin-Goltz syndromes. J. Am. Acad. Dermatol. 2010, 63, 722–724. [Google Scholar] [CrossRef]
- Vishwanath, T.; Binny, B.; Gala, P.; Nagpal, A.; Ghate, S.; Shinde, G.; Ingle, K. Two cases of periumbilical perforating pseudoxanthoma elasticum with dermoscopic and histopathologic features. Australas. J. Dermatol. 2020, 61, e217–e220. [Google Scholar] [CrossRef]
- Vishwanath, T.; Nagpal, A.; Shinde, G. Periumbilical Papules in a Middle-aged Woman. JAMA Dermatol. 2019, 155, 1418–1419. [Google Scholar] [CrossRef]
- Wibowo, S.H.; Gaghana, S.M.; Suling, P.L.; Gaspersz, S.; Pandaleke, T.A. Multiple trichoepithelioma: A case report. J. Pak. Assoc. Dermatol. 2023, 33, 322–325. [Google Scholar]
- Xue, K.; Zheng, Y.; Cui, Y. A novel heterozygous missense mutation of DSP in a Chinese Han pedigree with palmoplantar keratoderma. J. Cosmet. Dermatol. 2019, 18, 371–376. [Google Scholar] [CrossRef] [PubMed]
- Yorulmaz, A.; Atilan, A.U.; Yalçin, B. Nevoid basal cell carcinoma syndrome (gorlin-goltz syndrome): A patient showing distinctive dermoscopic features: Case report. Turk. Klin. Dermatoloji 2017, 27, 80–85. [Google Scholar] [CrossRef][Green Version]
- Zaouak, A.; Ben Brahim, E.; Jouini, R.; Hammami, H.; Fenniche, S. My Daughter Has Thin and Short Hair. Ski. Appendage Disord. 2019, 5, 127–129. [Google Scholar] [CrossRef] [PubMed]
- Zhi, H.L.; Liu, Z.H. Monilethrix. CMAJ 2018, 190, E912. [Google Scholar] [CrossRef]
- Zhou, C.; Wang, P.; Yang, D.; Liao, W.; Guo, Q.; Li, J.; Wen, G.; Zheng, S.; Zhang, X.; Wang, R.; et al. Autosomal recessive monilethrix: Novel variants of the DSG4 gene in three Chinese families. Mol. Genet. Genom. Med. 2022, 10, e1889. [Google Scholar] [CrossRef]
- Ankad, B.S.; Sakhare, P.S.; Prabhu, M.H. Dermoscopy of Non-melanocytic and Pink Tumors in Brown Skin: A Descriptive Study. Indian J. Dermatopathol. Diagn. Dermatol. 2017, 4, 41–51. [Google Scholar] [CrossRef]
- Nirmal, B.; Dongre, A.M.; Khopkar, U.S. Dermatoscopic Features of Hyper and Hypopigmented Lesions of Dowling Degos Disease. Indian. J. Dermatol. 2016, 61, 125. [Google Scholar]
- Papadopoulou, K.; Karsai, S.; Böer-Auer, A. Disseminated papular variant of Dowling-Degos disease: Histopathological features in POGLUT1 mutation. J. Dtsch. Dermatol. Ges. 2022, 20, 1423–1429. [Google Scholar] [CrossRef]
- Pinho, A.C.; Gouveia, M.J.; Gameiro, A.R.; Cardoso, J.C.; Gonçalo, M.M. Brooke-Spiegler Syndrome—An underrecognized cause of multiple familial scalp tumors: Report of a new germline mutation. J. Dermatol. Case Rep. 2015, 9, 67–70. [Google Scholar] [CrossRef] [PubMed][Green Version]
- Saini, S.; Jain, A.K.; Jain, M.; Yadav, D. Co-occurrence of Ichthyosis Vulgaris, Dowling-Degos Disease, and Hidradenitis Suppuritiva in Same Patient: An Association or Coincidence? Indian J. Dermatol. 2021, 66, 214–216. [Google Scholar] [PubMed]
- Vasani, R.; Save, S. A Late Presentation of Hailey–Hailey Disease with Clinical-Dermoscopic-Histological Correlation. Indian J. Dermatopathol. Diagn. Dermatol. 2019, 6, 117. [Google Scholar]
- Vázquez-López, F.; Lopez-Escobar, M.; Maldonado-Seral, C.; Perez-Oliva, N.; Marghoob, A.A. The handheld dermoscope improves the recognition of giant pseudocomedones in Darier’s disease. J. Am. Acad. Dermatol. 2004, 50, 454–455. [Google Scholar] [CrossRef]
- Errichetti, E.; Maione, V.; Pegolo, E.; Stinco, G. Dermoscopy: A useful auxiliary tool in the diagnosis of type 1 segmental Darier’s disease. Dermatol. Pract. Concept. 2016, 6, 53–55. [Google Scholar] [CrossRef]
- Plázár, D.; Joura, M.I.; Kiss, N.; Medvecz, M. Dermoscopy of genodermatoses. Dermatologie 2023, 74, 256–261. [Google Scholar] [CrossRef] [PubMed]
- Errichetti, E. Dermoscopy in Monitoring and Predicting Therapeutic Response in General Dermatology (Non-Tumoral Dermatoses): An Up-To-Date Overview. Dermatol. Ther. 2020, 10, 1199–1214. [Google Scholar] [CrossRef]
- Gundalli, S.; Ankad, B.; Pk, A.; Kolekar, R. Dermoscopy of shagreen patch: A first report. Our Dermatol. Online 2015, 6, 331. [Google Scholar] [CrossRef]


















| First Author | Year | Study Type | Relevance | Number of Patients |
|---|---|---|---|---|
| Vázquez-López et al. [115] | 2004 | brief report | DD | 5 |
| Lacarrubba et al. [27,74] | 2015, 2017 | case reports | DD, PXE | 2, 2 |
| Errichetti et al. [58,59,116] | 2016, 2023 | letter, case report, observational study | DD | 11, 1, 22 |
| Oliviera et al. [83,84] | 2018, 2019 | original article, letter | HHD, DD | 8, 6 |
| Peccerillo et al. [85] | 2020 | case report | DD | 1 |
| Siemianowska et al. [94] | 2021 | case report | DD | 1 |
| Dhanaraj et al. [55] | 2022 | case report | DD | 1 |
| Balić et al. [42] | 2022 | letter | DD | 2 |
| Kelati et al. [71] | 2017 | short communication | HHD | 1 |
| Chauhan et al. [49,50,51] | 2018, 2019 2021 | case reports, correspondence | HHD, PXE | 1, 1, 1 |
| Vasani and Save [114] | 2019 | letter | HHD | 1 |
| Narkhede et al. [80] | 2021 | original article | HHD | 2 |
| Ankad et al. [40,109] | 2017, 2023 | original article, correspondence | TSC, HHD | 4, 23 |
| Bel et al. [23,24] | 2010, 2014 | case reports | HHD | 3, 10 |
| Massone et al. [78] | 2008 | correspondence | DDD | 1 |
| Geissler et al. [62] | 2011 | case report | DDD | 1 |
| Dabas et al. [53] | 2020 | case report | DDD | 3 |
| Nirmal et al. [110] | 2016 | correspondence | DDD | 1 |
| Papadopoulou et al. [111] | 2022 | case report (minireview) | DDD | 2 |
| Coco et al. [52] | 2019 | correspondence | DDD | 2 |
| Singh et al. [26] | 2017 | case report | PXE | 1 |
| Kawashima et al. [70] | 2018 | concise report | PXE | 2 |
| Elmas et al. [57] | 2021 | letter | PXE | 1 |
| Salas-Alanis et al. [90] | 2019 | letter | PXE | 1 |
| Berthin et al. [46] | 2019 | letter | PXE | 16 |
| Farkas et al. [60] | 2021 | original article | PXE | 5 |
| Jha et al. [67] | 2018 | case reports | PXE | 1 |
| Vishwanath et al. [101,102] | 2019, 2020 | case reports | PXE | 1, 2 |
| Persechino et al. [86] | 2019 | letter | PXE | 1 |
| Nasca et al. [81] | 2016 | case report | PXE | 1 |
| Anker et al. [30] | 2023 | article | FD | 26 |
| Jindal et al. [69] | 2021 | letter | TSC | 4 |
| Behera et al. [45] | 2017 | letter | TSC | 1 |
| Jimenez-Cauhe et al. [68] | 2020 | case report | TSC | 1 |
| Sechi et al. [91] | 2019 | brief report | TSC | 7 |
| Duman et Elmas [56] | 2015 | letter | NF1 | 5 |
| Luk et al. [77] | 2014 | original article | NF1 | 4 |
| Gajjar et al. [7] | 2019 | observational study | MNLIX, TSC, IV, XLI, LI | 2, 6, 8 |
| Silverberg et al. [95] | 2011 | clinical trial | IV | 2 |
| Saini et al. [113] | 2021 | letter | IV, DDD | 1 |
| Liang et al. [75] | 2020 | article | AEI | 2 |
| Takeda et al. [97] | 2018 | case report | ARCI-LI | 1 |
| Xue et al. [104] | 2019 | original contribution | PPK | 1 |
| Kolm et al. [72] | 2006 | case report | BCNS | 5 |
| Casari et al. [47] | 2017 | brief report | BCNS | 1 |
| Moreira et al. [79] | 2015 | case report | BCNS | 1 |
| Tiodorovic et al. [99,100] | 2010, 2015 | case report | BCNS, CCS | 1, 2 |
| Jarrett et al. [65,66] | 2009, 2010 | case reports | CCS, BCNS | 2, 4 |
| Sławińska et al. [96] | 2018 | letter | BCNS | 1 |
| Yorulmaz et al. [105] | 2017 | case report | BCNS | 1 |
| Tiberio et al. [98] | 2011 | case report | BCNS | 2 |
| Kosmidis et al. [73] | 2023 | case report | BCNS | 1 |
| Feito-Rodríguez et al. [61] | 2009 | case report | BCNS | 1 |
| Sharma S. et al. [92] | 2018 | case report | CCS | 1 |
| Navarrete-Dechent et al. [82] | 2016 | case report | CCS | 1 |
| Wibowo et al. [103] | 2023 | case report | CCS | 1 |
| Pinho et al. [112] | 2015 | case report | CCS | 2 |
| Ardigo et al. [41] | 2007 | case report | CCS | 4 |
| Banuls et al. [44] | 2018 | letter | NSML | 3 |
| Guliani et al. [63] | 2018 | case report | NSML | 1 |
| Rajamohanan et al. [87] | 2020 | case report | MNLIX | 3 |
| Jain et al. [64] | 2010 | case report | MNLIX | 2 |
| Liu et al. [76] | 2008 | correspondence | MNLIX | 1 |
| Baltazard et al. [43] | 2017 | case report | MNLIX | 1 |
| Sharma VK et al. [93] | 2016 | letter | MNLIX | 1 |
| Rakowska et al. [88,89] | 2007, 2008 | case reports | MNLIX | 1, 1 |
| Zaouak et al. [106] | 2019 | case report | MNLIX | 1 |
| Castañeda-Yépiz et al. [48] | 2018 | letter | MNLIX | 1 |
| De Oliveira et al. [54] | 2015 | case report | MNLIX | 1 |
| Zhi et al. [107] | 2018 | case report | MNLIX | 1 |
| Zhou et al. [108] | 2022 | case report | MNLIX | 3 |
| Genodermatosis | Dermoscopic Findings Described in the Literature |
|---|---|
| Ichthyosis vulgaris |
|
| X-linked recessive ichthyosis | rhomboid/mosaic pattern of brown structures with space in between [7] |
| ARCI-lamellar ichthyosis | |
| Annular epidermolytic ichthyosis | white scales and diffuse punctate hemorrhages [75] |
| Dowling–Degos disease | |
| Palmoplantar keratoderma | scales and pigmentation, thickened yellow stripes stratum corneum with punctate bleeding [104] |
| Darier disease |
|
| Hailey–Hailey disease |
|
| Pseudoxanthoma elasticum |
|
| Fabry disease angiokeratoma | dark purple or red glomerular/lacunar/dotted/linear/irregular vascular structures with or without whitish veil [30] |
| Neurofibromatosis type 1 neurofibroma | pink/red homogeneous areas, peripheral pigment network, fissures, scar-like white areas in “star burst appearance” [40], peripheral pigmented network, fingerprint-like structures, peripheral halo of brown pigmentation, fissures, vessels [56] |
| café-au-lait macule | a homogenous brown pigmentation with perifollicular halo (face), reticular patterned brown pigmentation (neck) [77] |
| Tuberous sclerosis complex adenoma sebaceum (angiofibroma) | |
| ash leaf macule | white patch with irregular feathery border [7] |
| shagreen patch | yellowish globules, brownish background [7] |
| Basal cell nevus syndrome acral pits |
|
| basal cell carcinoma | absence of pigment network, maple-leaf like structures, arborizing vessels, blue/grey ovoid nests, blue/grey globules and dots, concentric structures, spoke/wheel structures, and ulceration [61,66,72,73,79,96,100,105] |
| CYLD cutaneous syndrome trichoepithelioma | arborizing vessels, multiple milia-like cysts and rosettes, whitish background [41,82,92,103] |
| cylindroma and spiradenoma | |
| Noonan syndrome with multiple lentigines lentigines | pigment network, black dots or brown globules, branched streaks [44] |
| café noir spot (melanocytic nevi or lentigo simplex) |
| Number of Patients | Number of Analyzed Areas or Lesions | Affected Areas | |
|---|---|---|---|
| Dowling–Degos disease | 1 | 3 areas | chest, back, axilla |
| Erythrokeratodermia variabilis et progressiva | 2 | 6 areas | trunk, extremities |
| Monilethrix | 2 | 15 trichoscopic fields of views | hair shaft |
| Noonan syndrome with multiple lentigines | 3 | 154 lentigines 5 café noir spots | extremities, hands, trunk |
| CYLD cutaneous syndrome | 3 | 12 trichoepitheliomas | scalp, face, shoulder |
| Fabry disease | 3 | 37 angiokeratomas | neck, trunk, legs |
| Tuberous sclerosis complex | 6 | 16 areas of adenoma sebaceum 4 ash leaf macules 2 shagreen patches | face, trunk, thighs |
| Pseudoxanthoma elasticum | 7 | 14 areas | neck, axilla, cubital fossa |
| Darier disease | 8 | 25 areas 7 nail findings | chest, back, neck, calf |
| Hailey–Hailey disease | 14 | 38 areas 5 nail findings | axilla, sub-mammary, inguinae |
| Palmoplantar keratodermas | 12 | 24 areas | palms, soles |
| Basal cell nevus syndrome | 11 | 8 palmar pits 11 basal cell carcinomas | palms, soles, face, trunk |
| Neurofibromatosis type 1 | 20 | 45 neurofibromas 14 CALMS | trunk, extremities |
| Ichthyoses | 27 | 59 areas | face, neck, trunk, extremities, palms |
| Genodermatosis | Dermoscopic Findings | ||||
|---|---|---|---|---|---|
| Vessels | Scales | Follicular Findings | Other Structures | Specific Clues | |
| Ichthyosis vulgaris | - | fine white scales in criss-cross pattern (100%) | - | - | - |
| X-linked recessive ichthyosis | - | brown structures in rhomboid or mosaic with space in between (100%) | - | - | - |
| Autosomal recessive congenital ichthyoses (ARCI) | |||||
| Lamellar ichthyosis | dotted (50%) | quadrilateral brown structures with fine white scale around arranged in lamellar pattern (100%) | - | - | - |
| Congenital ichthyosiform erythroderma | dotted (100%) | diffuse white scales sometimes in rhomboid pattern (100%) | - | parallel white lines (100%) | erythema |
| Pleomorph ichthyosis | - | fine white scales in criss-cross pattern (100%) | - | - | - |
| Harlequin ichthyosis | dotted (100%) | yellow white scales in parallel pattern (100%) | - | - | excessive erythema |
| Dowling–Degos disease | dotted, linear curved (100%) | - | follicular plugs (100%) | yellow/ brown structureless areas (100%) white globules (100%) | - |
| Palmoplantar keratodermas Punctate | dotted (100%) | white (100%) | - | oval yellow areas, white lines (100%), brown dots (50%) | hyperkeratosis, fissures (100%) |
| Diffuse epidermolytic | erythematous edge: dotted (50%) | white (100%) | - | orange and yellow structureless areas, parallel or angulated white lines (100%), brown dots (12.5%) | hyperkeratosis, fissures, erythematous edge (100%) |
| Erythrokeratodermia variabilis et progressiva | dotted (100%) | fine white scales (100%) in rhomboid (25%) or criss-cross pattern (25%) | - | brown thick lines and structureless areas (100%) hyperkeratotic white globules (50%) | erythematous lines |
| Darier disease hyperkeratotic papules and plaques | dotted (48%), linear (48%) | yellowish scales/ crusts (72%) | - | parallel, perpendicular, and angulated lines (64%) | polygonal yellow/brown areas with whitish halo (100%) erosions (64%) erythema (100%) |
| pseudocomedones | - | - | follicular plugs (100%) | - | polygonal yellow/brown areas with whitish halo (100%) |
| Hailey–Hailey disease | dotted (68.42%) linear (52.63%) | white/yellow (50.00%) | - | white structureless areas (100%) | fissures, erosions (89.47%) livid parallel, perpendicular, or unspecifically arranged lines (89.47%) |
| Pseudoxanthoma elasticum | superficial linear (33.3%), reticulated (55.56%) or dotted (11.11%) | - | - | yellow/white globules (100%) that may coalesce into parallel (22.22%) or linear lines (22.22%), broad (11.11%) or narrow meshwork (22.22%) light purple (55.56%) or brown (44.44%) structureless areas | mild erythema (66.67%) |
| Tuberous sclerosis complex adenoma sebaceum (angiofibroma) | linear, linear curved (46.15%) | - | - | yellow/ white dots and globules, white structureless areas (100%), central brown dots surrounded by white circles (53.85%) | - |
| ash leaf macules | linear, linear curved (50%) | - | - | white structureless areas with feathery irregular border (50%), white globules coalescing into reticulated lines (50%) | - |
| shagreen patch | linear, linear curved, linear with branches (50%) | - | - | white/light yellow structureless areas (100%) | - |
| Genodermatosis/Skin Manifestations | Dermoscopic Findings |
|---|---|
| Fabry disease | |
| angiokeratoma |
|
| Neurofibromatosis type 1 | |
| café-au-lait macules | structureless (homogenous) pigmentation with perifollicular hypopigmentation (73.33%) or reticular pattern of brownpigmentation (26.67%) |
| neurofibromas | pink/red structureless areas (100%), scar-like areas (97.8%), fissures (68.8%), fingerprint-like structures (80%), peripheral pigment network (37.8%), peripheral halo of brown pigmentation (57.8%) |
| Basal nevoid cell syndrome | |
| basal cell carcinoma | absence of pigment network (100%, maple-leaf like structures (63,64%), arborizing vessels (100%), blue/grey ovoid nests (81.82%), concentric structures (54.55%), spoke/wheel structures (45.45%), and ulceration (45.45%) |
| acral pits | flesh-colored (36.36%) or pinkish areas (63.64%) containing red dots in parallel lines (100%) |
| Noonan syndrome with multiple lentigines | |
| lentigines |
|
| café noir spots |
|
| CYLD cutaneous syndrome | |
| trichoepithelioma | milia-like cysts, pinkish/whitish background, arborizing vessels (100%) |
| Genodermatosis | Trichoscopic or Onychoscopic Findings | Our Findings |
|---|---|---|
| Monilethrix | regular constrictions of the shaft with elliptical nodes separated by internodes [64,76,87,107], regularly bent ribbon sign [7,43,88,89,93] or beaded appearance [48,106] rosary beads with nodes and constrictions [54] irregular atypical beads [108] | 100% (2 patients) |
| Darier disease | reddish/white longitudinal nail bands with a V-shaped nick at the free margin [55] | 87.5% (7 patients) |
| Hailey-Hailey disease | longitudinal white bands [23,24,49] | 35.71% (5 patients) |
| Tuberous sclerosis complex | ||
| subungual red comets | tortuous or corkscrew-like | 0% |
| vessels with a narrow proximal tail and a dilated distal head, surrounded by a whitish halo, parallel binary tortuous capillaries [68,91] | (0 patients) |
Disclaimer/Publisher’s Note: The statements, opinions and data contained in all publications are solely those of the individual author(s) and contributor(s) and not of MDPI and/or the editor(s). MDPI and/or the editor(s) disclaim responsibility for any injury to people or property resulting from any ideas, methods, instructions or products referred to in the content. |
© 2023 by the authors. Licensee MDPI, Basel, Switzerland. This article is an open access article distributed under the terms and conditions of the Creative Commons Attribution (CC BY) license (https://creativecommons.org/licenses/by/4.0/).
Share and Cite
Plázár, D.; Meznerics, F.A.; Pálla, S.; Anker, P.; Farkas, K.; Bánvölgyi, A.; Kiss, N.; Medvecz, M. Dermoscopic Patterns of Genodermatoses: A Comprehensive Analysis. Biomedicines 2023, 11, 2717. https://doi.org/10.3390/biomedicines11102717
Plázár D, Meznerics FA, Pálla S, Anker P, Farkas K, Bánvölgyi A, Kiss N, Medvecz M. Dermoscopic Patterns of Genodermatoses: A Comprehensive Analysis. Biomedicines. 2023; 11(10):2717. https://doi.org/10.3390/biomedicines11102717
Chicago/Turabian StylePlázár, Dóra, Fanni Adél Meznerics, Sára Pálla, Pálma Anker, Klára Farkas, András Bánvölgyi, Norbert Kiss, and Márta Medvecz. 2023. "Dermoscopic Patterns of Genodermatoses: A Comprehensive Analysis" Biomedicines 11, no. 10: 2717. https://doi.org/10.3390/biomedicines11102717
APA StylePlázár, D., Meznerics, F. A., Pálla, S., Anker, P., Farkas, K., Bánvölgyi, A., Kiss, N., & Medvecz, M. (2023). Dermoscopic Patterns of Genodermatoses: A Comprehensive Analysis. Biomedicines, 11(10), 2717. https://doi.org/10.3390/biomedicines11102717

