Enhanced Performance of an Electrochemical Sensor Using CNT Membrane for Accumulation-Based Detection of Nanoparticles
Abstract
1. Introduction
2. Materials and Methods
2.1. Materials
2.2. Preparation of the Sensor
2.3. Principles of the Electrochemical Measurements
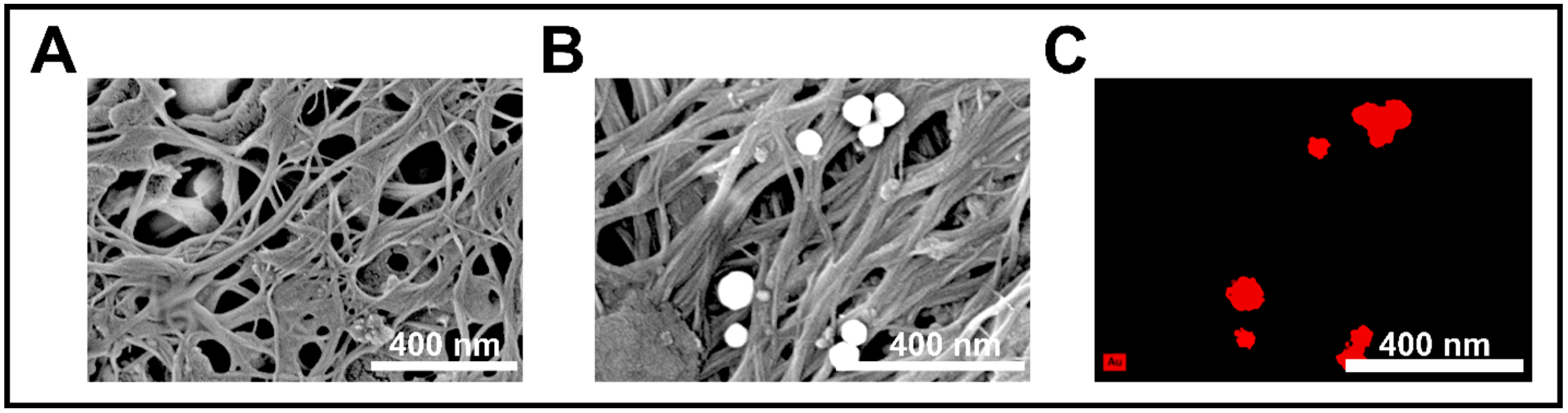
2.4. Morphological Characterization of the Sensor
2.5. Raman Analysis
3. Results
3.1. Filter Performance
3.2. Concentration-Dependent Electrochemical Behavior and Calibration Analysis
3.3. Detection Limits and Accuracy
4. Discussion
4.1. Influence of Filtration on Electrochemical Behavior
4.2. Concentration Dependence and Accumulation Kinetics
4.3. Calibration Behavior and Analytical Parameters
4.4. Accuracy and Reproducibility
4.5. Limitations Affecting Detection Limit and Perspectives for Further Optimization
5. Conclusions
Author Contributions
Funding
Institutional Review Board Statement
Informed Consent Statement
Data Availability Statement
Acknowledgments
Conflicts of Interest
Abbreviations
| AFM | Atomic force microscopy |
| Au | Gold |
| AuNPs | Gold nanoparticles |
| BET | Brunauer–Emmett–Teller |
| Bulk concentration | |
| CNT | Carbon nanotube |
| CV | Cyclic voltammetry |
| DIW | Deionized water |
| EDS | Energy-dispersive X-ray spectroscopy |
| Baseline current | |
| Steady-state oxidation current | |
| Peak current | |
| Maximum current | |
| LOD | Limit of detection |
| MWCNT | Multi-walled carbon nanotube |
| NPs | Nanoparticles |
| PDMS | Polydimethylsiloxane |
| PET | Polyethylene terephthalate |
| RSD | Relative standard deviation |
| Accumulation rate | |
| Effective sensitivity | |
| SD | Standard deviation |
| SDS | Sodium dodecyl sulfate |
| SEM | Scanning electron microscopy |
| Standard deviation of baseline current (noise) | |
| SWCNT | Single-walled carbon nanotube |
| UV–Vis | Ultraviolet–visible spectroscopy |
References
- Bhardwaj, J.; Sharma, A.; Jang, J. Vertical flow-based paper immunosensor for rapid electrochemical and colorimetric detection of influenza virus using a different pore size sample pad. Biosens. Bioelectron. 2019, 126, 36–43. [Google Scholar] [CrossRef]
- Rizzotto, F.; Khalife, M.; Hou, Y.; Chaix, C.; Lagarde, F.; Scaramozzino, N.; Vidic, J. Recent Advances in Electrochemical Biosensors for Food Control. Micromachines 2023, 14, 1412. [Google Scholar] [CrossRef] [PubMed]
- Islam, M.A.; Karim, A.; Ethiraj, B.; Raihan, T.; Kadier, A. Antimicrobial peptides: Promising alternatives over conventional capture ligands for biosensor-based detection of pathogenic bacteria. Biotechnol. Adv. 2022, 55, 107901. [Google Scholar] [CrossRef] [PubMed]
- Rajarathinam, T.; Kang, M.; Hong, S.; Chang, S.C. Nanocomposite-Based Electrochemical Sensors for Neurotransmitters Detection in Neurodegenerative Diseases. Chemosensors 2023, 11, 103. [Google Scholar] [CrossRef]
- Leau, S.A.; Lete, C.; Lupu, S. Nanocomposite Materials Based on Metal Nanoparticles for the Electrochemical Sensing of Neurotransmitters. Chemosensors 2023, 11, 179. [Google Scholar] [CrossRef]
- Camilli, L.; Passacantando, M. Advances on Sensors Based on Carbon Nanotubes. Chemosensors 2018, 6, 62. [Google Scholar] [CrossRef]
- Malik, S.; Sachan, R.S.K.; Devgon, I.; Devgon, J.; Pant, G.; Panchpuri, M.; Ahmad, A.; Alshammari, M.B.; Hossain, K.; Kumar, G. Gold Nanoparticles in Nanobiotechnology: From Synthesis to Biosensing Applications. ACS Omega 2024, 9, 14562–14576. [Google Scholar] [CrossRef]
- Johnson, B.J.; Nasir, M.; Siefert, R.L.; Leska, I.A.; Erickson, J.S.; Charles, P.T.; Melde, B.J.; Taft, J.R. Electrochemical Detection with Preconcentration: Nitroenergetic Contaminants. Chemosensors 2014, 2, 131–144. [Google Scholar] [CrossRef]
- Singh, R.; Gupta, R.; Bansal, D.; Bhateria, R.; Sharma, M. A Review on Recent Trends and Future Developments in Electrochemical Sensing. ACS Omega 2024, 9, 21345–21364. [Google Scholar] [CrossRef]
- Takasaki, K.; Aihara, H.; Imanaka, T.; Matsudaira, T.; Tsukahara, K.; Usui, A.; Minamoto, T.; Yamamoto, S. Water Pre-filtration Methods to Improve Environmental DNA Detection by Real-Time PCR and Metabarcoding. PLoS ONE 2021, 16, e0250162. [Google Scholar] [CrossRef]
- Zhang, Y.; Xu, C.; Guo, T.; Hong, L.; Zhang, W. An Automated Bacterial Concentration and Recovery System for Pre-enrichment Required in Rapid Escherichia coli Detection. Sci. Rep. 2018, 8, 17808. [Google Scholar] [CrossRef] [PubMed]
- Lin, X.; Huang, X.; Zhu, Y.; Urmann, K.; Xie, X.; Hoffmann, M.R. Asymmetric Membrane for Digital Detection of Single Bacteria in Milliliters of Complex Water Samples. ACS Nano 2018, 12, 10281–10290. [Google Scholar] [CrossRef] [PubMed]
- Le Brun, G.; Hauwaert, M.; Leprince, A.; Glinel, K.; Mahillon, J.; Raskin, J.P. Electrical Characterization of Cellulose-Based Membranes towards Pathogen Detection in Water. Biosensors 2021, 11, 57. [Google Scholar] [CrossRef]
- Sahu, L.R.; Yadav, A.; Mishra, P.K. Polymeric Membranes for Liquid Separation: Innovations in Materials, Fabrication and Performance. Polymers 2024, 16, 3240. [Google Scholar] [CrossRef] [PubMed]
- Jarrar, R.; Abbas, M.K.G.; Al-Ejji, M. Environmental Remediation and the Efficacy of Ceramic Membranes in Wastewater Treatment—A Review. Emergent Mater. 2024, 7, 1295–1327. [Google Scholar] [CrossRef]
- Wen, Y.; Yang, X.; Li, Y.; Yan, L.; Zhao, Y.; Shao, L. Progress Reports of Metal-Phenolic Network Engineered Membranes for Water Treatment. Sep. Purif. Technol. 2023, 320, 124225. [Google Scholar] [CrossRef]
- Formoso, P.; Pantuso, E.; De Filpo, G.; Nicoletta, F.P. Electro-Conductive Membranes for Permeation Enhancement and Fouling Mitigation: A Short Review. Membranes 2017, 7, 39. [Google Scholar] [CrossRef]
- Regmi, C.; Kshetri, Y.K.; Wickramasinghe, S.R. Carbon-Based Nanocomposite Membranes for Membrane Distillation: Progress, Problems and Future Prospects. Membranes 2024, 14, 160. [Google Scholar] [CrossRef]
- Zhou, Y.; Fang, Y.; Ramasamy, R.P. Non-Covalent Functionalization of Carbon Nanotubes for Electrochemical Biosensor Development. Sensors 2019, 19, 392. [Google Scholar] [CrossRef]
- Trusso Sfrazzetto, G.; Santonocito, R. Nanomaterials for Cortisol Sensing. Nanomaterials 2022, 12, 3790. [Google Scholar] [CrossRef]
- Arora, B.; Attri, P. Carbon Nanotubes (CNTs): A Potential Nanomaterial for Water Purification. J. Compos. Sci. 2020, 4, 135. [Google Scholar] [CrossRef]
- Pyrzynska, K. Recent Applications of Carbon Nanotubes for Separation and Enrichment of Lead Ions. Separations 2023, 10, 152. [Google Scholar] [CrossRef]
- Pérez, E.M.; Martín, N. π–π Interactions in Carbon Nanostructures: Significance for Trapping Aromatic Molecules. Chem. Soc. Rev. 2015, 44, 6425–6433. [Google Scholar] [CrossRef]
- Ferrari, E.; D’Agata, R.; Spoto, G. Gold Nanoparticle-Based Plasmonic Biosensors. Biosensors 2023, 13, 411. [Google Scholar] [CrossRef]
- Li, C.H.; Chan, M.H.; Chang, Y.C.; Hsiao, M. Gold Nanoparticles as a Biosensor for Cancer Biomarker Determination. Molecules 2023, 28, 364. [Google Scholar] [CrossRef] [PubMed]
- Duman, H. Gold Nanoparticles: Multifunctional Properties, Synthesis, and Future Prospects. Nanomaterials 2024, 14, 1805. [Google Scholar] [CrossRef]
- Rashid, M.H.O.; Ralph, S.F. Carbon Nanotube Membranes: Synthesis, Properties, and Future Filtration Applications. Nanomaterials 2017, 7, 99. [Google Scholar] [CrossRef]
- Dincer, C.; Kling, A.; Chatelle, C.; Armbrecht, L.; Kieninger, J.; Weber, W.; Urban, G.A. Designed Miniaturization of Microfluidic Biosensor Platforms Using the Stop-Flow Technique. Analyst 2016, 141, 6073–6079. [Google Scholar] [CrossRef] [PubMed]
- Buttkewitz, M.A.; Heuer, C.; Bahnemann, J. Sensor Integration into Microfluidic Systems: Trends and Challenges. Curr. Opin. Biotechnol. 2023, 83, 102978. [Google Scholar] [CrossRef]
- Abdulbari, H.A.; Basheer, E.A.M. Electrochemical Biosensors: Electrode Development, Materials, Design, and Fabrication. ChemBioEng Rev. 2017, 4, 92–105. [Google Scholar] [CrossRef]
- Compton, R.G.; Banks, C.E. Understanding Voltammetry, 3rd ed.; Imperial College Press: London, UK, 2018; pp. 125–128. [Google Scholar]
- Bard, A.J.; Faulkner, L.R. Electrochemical Methods: Fundamentals and Applications, 2nd ed.; Wiley: New York, NY, USA, 2001; pp. 236–239. [Google Scholar]
- Elgrishi, N.; Rountree, K.J.; McCarthy, B.D.; Rountree, E.S.; Eisenhart, T.T.; Dempsey, J.L. A Practical Beginner’s Guide to Cyclic Voltammetry: Review and Tutorial. J. Chem. Educ. 2017, 94, 1123–1136. [Google Scholar] [CrossRef]
- American Laboratory. Part 48—Relative Standard Deviations (RSDs); American Laboratory: San Francisco, CA, USA, 2010. [Google Scholar]
- Wang, J. Analytical Electrochemistry, 3rd ed.; Wiley: Hoboken, NJ, USA, 2006. [Google Scholar]
- Park, S.; Kaufman, D.; Ben-Yoav, H.; Yossifon, G. On-Chip Electrochemical Sensing with an Enhanced Detecting Signal Due to Concentration Polarization-Based Analyte Preconcentration. Anal. Chem. 2024, 96, 6501–6510. [Google Scholar] [CrossRef]
- Jiang, Y.; Li, F.; Zhang, H.; Wang, S. Silver Nanostars Arrayed on GO/MWCNT Composite Membranes for Enrichment and SERS Detection of Polystyrene Nanoplastics in Water. Water Res. 2024, 255, 121444. [Google Scholar] [CrossRef]
- Yang, X.; Chen, L.; Zhao, Q.; Liu, R. One-Step Detection of Nanoplastics in Aquatic Environments Using a Portable SERS Chessboard Substrate. Talanta 2024, 275, 127076. [Google Scholar] [CrossRef]
- Ruan, X.; Zhang, Y.; Liu, H.; Li, J. Nanoplastics Detected in Commercial Sea Salt by a Combined SERS and SRS Approach Using Au-Coated AAO Membrane Substrates. Environ. Sci. Technol. 2024, 58, 6542–6551. [Google Scholar] [CrossRef]
- Liu, L.; Patel, D.; Kim, J.; Huang, Y. A Biosensor-Integrated Filtration Device for Nanoparticle Isolation and Label-Free Imaging. Lab Chip 2025, 25, 589–598. [Google Scholar] [CrossRef]
- Benjamin, S.R.; de Lima, F.; Nascimento, V.A.; de Andrade, G.M.; Oriá, R.B. Advancement in Paper-Based Electrochemical Biosensing. Biosensors 2023, 13, 689. [Google Scholar] [CrossRef] [PubMed]
- Georgeous, J.; AlSawaftah, N.; Abuwatfa, W.H.; Husseini, G.A. Review of Gold Nanoparticles: Synthesis, Properties, Shapes, Cellular Uptake, Targeting, Release Mechanisms and Applications in Drug Delivery and Therapy. Pharmaceutics 2024, 16, 1332. [Google Scholar] [CrossRef]
- Saha, C.; Ghosh, S.K.; Kumari, P.; Perla, V.K.; Singh, H.; Mallick, K. Electrocatalytic Efficiency of Carbon Nitride Supported Gold Nanoparticle Based Sensor for Iodide and Cysteine Detection. Anal. Biochem. 2025, 696, 115660. [Google Scholar] [CrossRef] [PubMed]
- Xiao, F.; Pignatello, J.J. π+–π Interactions between (Hetero)aromatic Amine Cations and the Graphitic Surfaces of Pyrogenic Carbonaceous Materials. Environ. Sci. Technol. 2015, 49, 9066–9074. [Google Scholar] [CrossRef] [PubMed]








| Sensor Type | No. of Devices | Max Peak Current Range (μA) | Mean ± SD (μA) | RSD (%) |
|---|---|---|---|---|
| With Filter | 3 | 62.7–63.3 | 62.96 ± 1.9 | 3.0 |
| Without Filter | 3 | 10.9–11.1 | 11.02 ± 0.32 | 2.86 |
| Condition | Gold Atoms (mol·L−1) | Gold Atoms (Atoms·L−1) | Gold Atoms per 60 nm | Gold Particles (Particles·L−1) | Moles of Gold (mol·L−1) |
|---|---|---|---|---|---|
| General example | 1 | 6.022 × 1023 | 6.7 × 106 | 9.0 × 1016 | 1.49 × 10−7 |
| Non-filtered LOD | 1.0 × 10−3 | 6.022 × 1020 | 6.7 × 106 | 9.0 × 1013 | 1.49 × 10−10 |
| Filtered LOD | 7.5 × 10−4 | 4.5 × 1020 | 6.7 × 106 | 6.8 × 1013 | 1.12 × 10−10 |
| Sensor | Linear Range (mol·L−1) | LODexp (mol·L−1)) | Accum. Rate μA·min−1 | Accuracy (%) |
|---|---|---|---|---|
| Non-filter chip | – | 0.40–0.44 | 88.7 ± 2.0 | |
| Filter chip | – | 0.13–1.58 | 90.5 ± 1.8 |
| Sensor | Concentration (mol·L−1) | Mean (μA) | SD (μA) | RSD (%) | n (Replicate) |
|---|---|---|---|---|---|
| Filter | 0.1 | 62.96 | 1.9 | 3.02 | 3 |
| 0.01 | 62.71 | 2.1 | 3.35 | 3 | |
| 0.001 | 59.72 | 1.8 | 3.02 | 3 | |
| 0.00075 | 32.86 | 1.7 | 5.17 | 3 | |
| 0.0001 | 4.93 | 0.19 | 3.87 | 3 | |
| No filter | 0.1 | 11.00 | 0.32 | 2.91 | 3 |
| 0.05 | 7.90 | 0.28 | 3.54 | 3 | |
| 0.01 | 6.60 | 0.22 | 3.33 | 3 | |
| 0.001 | 5.35 | 0.18 | 3.36 | 3 | |
| 0.0008 | 5.00 | 0.22 | 4.40 | 3 | |
| 0.0001 | 5.00 | 0.20 | 4.00 | 3 |
| Work | Filter/Substrate Type | Surface Modification | Nanoparticle Size (nm) | LOD (mol·L−1, Particles) | Cost |
|---|---|---|---|---|---|
| This work | CNT membrane (on PET). | No | 60 | 1.12 × 10−10 | Low |
| [37] | GO/MWCNT composite membrane. | Yes | 50–1000 | ∼10−9 | Moderate |
| [38] | Polyvinylidene fluoride (PVDF) membrane. | Yes | 30–1000 | 3.0 × 10−12 | Low–moderate |
| [39] | Anodic alumina oxide (AAO) membrane. | Yes | <200 | 1 × 10−18 | Moderate |
| [40] | Nanoporous polycarbonate membrane. | No | ∼100 | 1 × 10−14 | Moderate |
| [41] | Paper-based electrochemical device. | Yes | 5–15 | 4.8 × 10−7–8.9 × 10−6 | Low–moderate |
Disclaimer/Publisher’s Note: The statements, opinions and data contained in all publications are solely those of the individual author(s) and contributor(s) and not of MDPI and/or the editor(s). MDPI and/or the editor(s) disclaim responsibility for any injury to people or property resulting from any ideas, methods, instructions or products referred to in the content. |
© 2026 by the authors. Licensee MDPI, Basel, Switzerland. This article is an open access article distributed under the terms and conditions of the Creative Commons Attribution (CC BY) license.
Share and Cite
Usefian Babukani, A.; Jafari, M.; Cicek, P.-V.; Izquierdo, R. Enhanced Performance of an Electrochemical Sensor Using CNT Membrane for Accumulation-Based Detection of Nanoparticles. Chemosensors 2026, 14, 12. https://doi.org/10.3390/chemosensors14010012
Usefian Babukani A, Jafari M, Cicek P-V, Izquierdo R. Enhanced Performance of an Electrochemical Sensor Using CNT Membrane for Accumulation-Based Detection of Nanoparticles. Chemosensors. 2026; 14(1):12. https://doi.org/10.3390/chemosensors14010012
Chicago/Turabian StyleUsefian Babukani, Azam, Maziar Jafari, Paul-Vahe Cicek, and Ricardo Izquierdo. 2026. "Enhanced Performance of an Electrochemical Sensor Using CNT Membrane for Accumulation-Based Detection of Nanoparticles" Chemosensors 14, no. 1: 12. https://doi.org/10.3390/chemosensors14010012
APA StyleUsefian Babukani, A., Jafari, M., Cicek, P.-V., & Izquierdo, R. (2026). Enhanced Performance of an Electrochemical Sensor Using CNT Membrane for Accumulation-Based Detection of Nanoparticles. Chemosensors, 14(1), 12. https://doi.org/10.3390/chemosensors14010012

