High-Intensity In Situ Fluorescence Imaging of MicroRNA in Cells Based on Y-Shaped Cascade Assembly
Abstract
1. Introduction
2. Materials and Methods
2.1. Chemicals and Apparatus
2.2. DNA Sequence Preprocessing
2.3. Assembly of DNA Nanoparticles
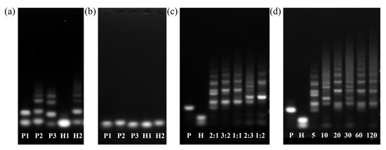
2.4. Agarose Gel Electrophoresis
2.5. Atomic Force Microscopy (AFM) Imaging
2.6. Fluorescence Performance Testing of DNA Assemblies
2.7. In Situ Cellular Imaging of miRNA-21
3. Results and Discussion
3.1. Principle of Y-Shaped Cascade Assembly
3.2. Optimization of Assembly Conditions
3.3. Characterization of DNA Assemblies
3.4. Fluorescence Performance Analysis of YCA Method
3.5. In Situ Fluorescence Imaging in Cells of miRNA-21
4. Conclusions
Author Contributions
Funding
Institutional Review Board Statement
Informed Consent Statement
Data Availability Statement
Conflicts of Interest
References
- Mohammadsaber, T.; Mohammadreza, F.; Delsuz, R.; Mohammad, A.K.; Jamal, M.; Hamid, A.; Mohammad-Davood, F.; Kosar, N.; Fatemeh, S.; Sajad, N. The Role of MicroRNAs in the Pathophysiology of the Aging Eye. Ageing Res. Rev. 2025, 111, 102805. [Google Scholar] [CrossRef] [PubMed]
- Vidigal, J.A.; Ventura, A. The Biological Functions of MiRNAs: Lessons from in Vivo Studies. Trends Cell Biol. 2015, 25, 137–147. [Google Scholar] [CrossRef]
- Celik Cogal, G.; Das, P.K.; Yurdabak Karaca, G.; Bhethanabotla, V.R.; Uygun Oksuz, A. Fluorescence Detection of miRNA-21 Using Au/Pt Bimetallic Tubular Micromotors Driven by Chemical and Surface Acoustic Wave Forces. ACS Appl. Bio. Mater. 2021, 4, 7932–7941. [Google Scholar] [CrossRef]
- Oliver, H. MiRNAs Play a Tune. Cell 2007, 131, 22–24. [Google Scholar] [CrossRef]
- Kim, H.; Lee, Y.Y.; Kim, V.N. The Biogenesis and Regulation of Animal MicroRNAs. Nat. Rev. Mol. Cell Biol. 2025, 26, 276–296. [Google Scholar] [CrossRef] [PubMed]
- Zare, N.; Ghasemi, R.; Rafiee, L.; Javanmard, S.H. Assessment of MicroRNA-21 Using Gold Nanoparticle-DNA Conjugates Based on Colorimetric and Fluorescent Detection. Gold Bull. 2022, 55, 107–114. [Google Scholar] [CrossRef]
- Budhu, A.; Ji, J.; Wang, X. The Clinical Potential of MicroRNAs. J. Hematol. Oncol. 2010, 3, 37. [Google Scholar] [CrossRef]
- Mehta, A.; Baltimore, D. MicroRNAs as Regulatory Elements in Immune System Logic. Nat. Rev. Immunol. 2016, 16, 279–294. [Google Scholar] [CrossRef]
- Liu, S.; Huo, Y.; Fan, L.; Ning, B.; Sun, T.; Gao, Z. Rapid and Ultrasensitive Detection of DNA and MicroRNA-21 Using a Zirconium Porphyrin Metal-Organic Framework-Based Switch Fluorescence Biosensor. Anal. Chim. Acta 2022, 1192, 339340. [Google Scholar] [CrossRef] [PubMed]
- Diener, C.; Keller, A.; Meese, E. Emerging Concepts of MiRNA Therapeutics: From Cells to Clinic. Trends Genet. 2022, 38, 613–616. [Google Scholar] [CrossRef]
- Shang, R.; Lee, S.; Senavirathne, G.; Lai, E. MicroRNAs in Action: Biogenesis, Function and Regulation. Nat. Rev. Genet. 2023, 24, 816–833. [Google Scholar] [CrossRef] [PubMed]
- Li, Y.; Guo, R.; Deng, C.; Li, D.; Wu, H. A Prussian Blue Nanoparticles-Based Fluorescent Nanoprobe for Monitoring MicroRNA-92a and MicroRNA-21. Anal. Sci. 2022, 38, 497–504. [Google Scholar] [CrossRef]
- Naidu, S.; Magee, P.; Garofalo, M. MiRNA-Based Therapeutic Intervention of Cancer. J. Hematol. Oncol. 2015, 8, 68. [Google Scholar] [CrossRef]
- Bortoletto, A.S.; Parchem, R.J. KRAS Hijacks the MiRNA Regulatory Pathway in Cancer. Cancer Res. 2023, 83, 1563–1572. [Google Scholar] [CrossRef]
- Naserkhaki, R.; Shokouhian, B.; Tahamtani, Y.; Khosravi, A.; Iravani, S.; Zarrabi, A.; Vosough, M. Revisiting Treatment Strategies: Addressing Epithelial-to-Mesenchymal Transition-Induced Resistance in Hepatocellular Carcinoma. BME Front. 2025, 6, 0144. [Google Scholar] [CrossRef]
- Barwari, T.; Joshi, A.; Mayr, M. MicroRNAs in Cardiovascular Disease. JACC 2016, 68, 2577–2584. [Google Scholar] [CrossRef]
- Santovito, D.; Weber, C. Non-Canonical Features of MicroRNAs: Paradigms Emerging from Cardiovascular Disease. Nat. Rev. Cardiol. 2022, 19, 620–638. [Google Scholar] [CrossRef]
- Rezaee, D.; Saadatpour, F.; Akbari, N.; Zoghi, A.; Najafi, S.; Beyranvand, P.; Zamani-Rarani, F.; Rashidi, M.A.; Bagheri-Mohammadi, S.; Bakhtiari, M. The Role of MicroRNAs in the Pathophysiology of Human Central Nervous System: A Focus on Neurodegenerative Diseases. Ageing Res. Rev. 2023, 92, 102090. [Google Scholar] [CrossRef] [PubMed]
- Barbato, C. MicroRNA-Mediated Silencing Pathways in the Nervous System and Neurological Diseases. Cells 2022, 11, 2375. [Google Scholar] [CrossRef] [PubMed]
- World Health Organization. Cancer. 2025. Available online: https://www.who.int/news-room/fact-sheets/detail/cancer (accessed on 25 August 2025).
- World Health Organization. Cardiovascular Diseases (CVDs). 2025. Available online: https://www.who.int/news-room/fact-sheets/detail/cardiovascular-diseases-(cvds) (accessed on 25 August 2025).
- World Health Organization. Over 1 in 3 People Affected by Neurological Conditions, the Leading Cause of Illness and Disability Worldwide. 2024. Available online: https://www.who.int/news/item/14-03-2024-over-1-in-3-people-affected-by-neurological-conditions--the-leading-cause-of-illness-and-disability-worldwide (accessed on 25 August 2025).
- Li, K.; Xu, S.; Xiong, M.; Huan, S.; Yuan, L.; Zhang, X. Molecular Engineering of Organic-Based Agents for In Situ Bioimaging and Phototherapeutics. Chem. Soc. Rev. 2021, 50, 11766–11784. [Google Scholar] [CrossRef]
- Tang, Y.; Zhang, S.; Yang, X.; Chen, Y.; Chen, S.; Xi, Q.; Chao, L.; Huang, Z.; Nie, L. In Situ Imaging of Intracellular MiRNAs in Tumour Cells by Branched Hybridisation Chain Reaction. Cell Prolif. 2024, 57, e13721. [Google Scholar] [CrossRef]
- Wei, R.; Wang, K.; Liu, X.; Shi, M.; Pan, W.; Li, N.; Tang, B. Stimuli-Responsive Probes for Amplification-Based Imaging of MiRNAs in Living Cells. Biosens. Bioelectron. 2023, 239, 115584. [Google Scholar] [CrossRef] [PubMed]
- Tan, Y.; Wang, J.; Wan, Q.; Yang, J.; Huang, J.; Zhou, Z.; Dong, H.; Zhang, X. A Switchable Magnetic Resonance Imaging Nanoplatform for In Situ MicroRNA Imaging. Chem. Sci. 2025, 16, 199–204. [Google Scholar] [CrossRef]
- Qing, Z.; Xu, J.; Hu, J.; Zheng, J.; He, L.; Zou, Z.; Yang, S.; Tan, W.; Yang, R. In Situ Amplification-Based Imaging of RNA in Living Cells. Angew. Chem. Int. Ed. 2019, 58, 11574–11585. [Google Scholar] [CrossRef]
- Luo, T.; Guan, Z.; Liu, Y.; Zhou, J.; Mergny, J.L.; Cheng, M. i-Motif DNA Molecular Beacon for MicroRNA Detection. Nucleic Acids Res. 2025, 53, gkaf556. [Google Scholar] [CrossRef] [PubMed]
- Sun, D.; Cao, F.; Yi, X.; Zhu, H.; Qi, G.; Xu, W.; Xu, S. MicroRNA-21 Expression in Single Living Cells Revealed by Fluorescence and SERS Dual-Response Microfluidic Droplet Platform. Lab. A Chip. 2022, 22, 2165–2172. [Google Scholar] [CrossRef] [PubMed]
- Huang, G.; Su, C.; Wang, L.; Fei, Y.; Yang, J. The Application of Nucleic Acid Probe–Based Fluorescent Sensing and Imaging in Cancer Diagnosis and Therapy. Front. Chem. 2021, 9, 705458. [Google Scholar] [CrossRef]
- Zhong, W.; Sczepanski, J.T. A Mirror Image Fluorogenic Aptamer Sensor for Live-Cell Imaging of MicroRNAs. ACS Sens. 2019, 4, 566–570. [Google Scholar] [CrossRef]
- Zhang, H.; Liu, W.; Zhang, F.; Wu, Z.; Lu, H.; Hao, Z.; Liu, Y.; Li, X.; Zhang, R.; Zhang, L. High-Fidelity Intracellular Imaging of Multiple MiRNAs via Stimulus-Responsive Nanocarriers and Catalytic Hairpin Assembly. Chem. Commun. 2024, 60, 2377–2380. [Google Scholar] [CrossRef]
- Jiang, Q.; Zhou, J.; Sha, Y.; Jiang, M.; Chai, Y.; Yuan, R. A Multifunctional Tetrahedral DNA Nanostructure for the Simultaneous Sensitive Detection and Imaging of miRNA and Zinc Ions in Living Cells. Anal. Chem. 2025, 97, 13368–13375. [Google Scholar] [CrossRef]
- Xu, H.; Wu, X.; Liu, Q.; Yang, C.; Shen, M.; Wang, Y.; Liu, S.; Zhao, S.; Xiao, T.; Sun, M.; et al. A Universal Strategy for Enhancing the Circulating MiRNAs’ Detection Performance of Rolling Circle Amplification by Using a Dual-Terminal Stem-Loop Padlock. ACS Nano 2024, 18, 436–450. [Google Scholar] [CrossRef]
- Shuai, X.; Zhang, Y.; Zhai, J.; Li, J.; Chen, J.; Long, X.; Li, D.; Huang, C.; Li, C. MicroRNA Imaging Encounters Rolling Circle Amplification: Intracellular Na+-Fueled Linear Programmable DNAzyme Nanostructure. Anal. Chem. 2023, 95, 6681–6689. [Google Scholar] [CrossRef]
- Zhang, B.; Tian, T.; Xiao, D.; Gao, S.; Cai, X.; Lin, Y. Facilitating In Situ Tumor Imaging with a Tetrahedral DNA Framework-Enhanced Hybridization Chain Reaction Probe. Adv. Funct. Mater. 2022, 32, 2109728. [Google Scholar] [CrossRef]
- Yang, B.; Gao, X.; Yu, H.; Xu, J.; Liu, W.; Xu, H.; Guo, L. Localized Hybridization Chain Reaction Amplifier Utilizing Three-Dimensional DNA Nanostructures for Efficient and Reliable MicroRNA Imaging in Living Cells. Anal. Chim. Acta 2024, 1330, 343292. [Google Scholar] [CrossRef]
- Sun, J.; Sun, X. Recent Advances in the Construction of DNA Nanostructure with Signal Amplification and Ratiometric Response for MiRNA Sensing and Imaging. Trends Anal. Chem. 2020, 127, 115900. [Google Scholar] [CrossRef]
- Yang, H.; Du, Z.; Zhu, L.; Dong, Y.; Huang, K.; Xu, W. High-Content Enhancement Strategies for Fluorescence in Situ Hybridization Imaging. Trends Anal. Chem. 2025, 191, 118354. [Google Scholar] [CrossRef]
- Wu, H.; Ling, X.; Huang, S.; Zhao, Q.; Zhang, D.; Wang, H. Direct Fluorescence Anisotropy Detection of miRNA Based on Duplex-Specific Nuclease Signal Amplification. Anal. Chem. 2025, 97, 8574–8580. [Google Scholar] [CrossRef] [PubMed]
- Huang, X.; Li, Z.; Tong, Y.; Zhang, Y.; Shen, T.; Chen, M.; Huang, Z.; Shi, Y.; Wen, S.; Liu, S.; et al. DNAzyme-Amplified Cascade Catalytic Hairpin Assembly Nanosystem for Sensitive MicroRNA Imaging in Living Cells. Anal. Chem. 2023, 95, 11793–11799. [Google Scholar] [CrossRef] [PubMed]
- Li, C.; Zhang, J.; Gao, Y.; Luo, S.; Wu, Z. Nonenzymatic Autonomous Assembly of Cross-Linked Network Structures from Only Two Palindromic DNA Components for Intracellular Fluorescence Imaging of MiRNAs. ACS Sens. 2022, 7, 601–611. [Google Scholar] [CrossRef] [PubMed]
- Roodhuizen, J.A.L.; Hendrikx, P.J.T.M.; Hilbers, P.A.J.; de Greef, T.F.A.; Markvoort, A.J. Counterion-Dependent Mechanisms of DNA Origami Nanostructure Stabilization Revealed by Atomistic Molecular Simulation. ACS Nano 2019, 13, 10798–10809. [Google Scholar] [CrossRef]
- Postigo, A.; Marcuello, C.; Verstraeten, W.; Sarasa, S.; Walther, T.; Lostao, A.; Göpfrich, K.; del Barrio, J.; Hernández-Ainsa, S. Folding and Functionalizing DNA Origami: A Versatile Approach Using a Reactive Polyamine. J. Am. Chem. Soc. 2025, 147, 3919–3924. [Google Scholar] [CrossRef] [PubMed]
- Rodriguez, A.; Gandavadi, D.; Mathivanan, J.; Song, T.; Madhanagopal, B.R.; Talbot, H.; Sheng, J.; Wang, X.; Chandrasekaran, A.R. Self-Assembly of DNA Nanostructures in Different Cations. Small 2023, 19, 2300040. [Google Scholar] [CrossRef] [PubMed]










| Name | Sequence (from 5′ to 3′) |
|---|---|
| P1 | 5′-ATTGTAGACTTATCACAGCCACCTACTCACACGAGTCCG AGACTGAATCCATCCGCTAAG-3′ |
| P2 | 5′-TCGGACTCGTGTGAGTAGGTTCTAATCTTGGATTGTCGG TAGGGCGTAGATAAGAGTCTG-3′ |
| P3 | 5′-ACCGACAATCCAAGATTAGAGGCTGTGATAAGTCTACA ATG CTGAATCCATCCGCTAAG-3′ |
| H1 | 5′-TCAACATCAGTCTGATAAGCTACGTGGATGTTGACTTAG CTAGCTTATCAGACTCTTATCTACGCCCT-3′ |
| H2 | 5′-FAM-ATAAGCTAGCTAAGTCAACATCCACGTAGCTTATC AGACTGATGTTGACTTAGCGGATGGATTCAGTC-Dabcyl-3′ |
| miRNA21 | 5′-UAGCUUAUCAGACUGAUGUUGA-3′ |
| miRNA-122 | 5′-UGGAGUGUGACAAUGGUGUUUG-3′ |
| let-7a | 5′-UGAGGUAGUAGGUUGUAUAGUU-3′ |
| miRNA-221 | 5′-AGCUACAUUGUCUGCUGGGUUUC-3′ |
| miRNA-155 | 5′-UUAAUGCUAAUCGUGAUAGGGGU-3′ |
| miRNA-21 inhibitor | 5′-TCAACATCAGTCTGATAAGCTA-3′ |
| miRNA-21 mimic | 5′-TAGCTTATCAGACTGATGTTGA-3′ |
Disclaimer/Publisher’s Note: The statements, opinions and data contained in all publications are solely those of the individual author(s) and contributor(s) and not of MDPI and/or the editor(s). MDPI and/or the editor(s) disclaim responsibility for any injury to people or property resulting from any ideas, methods, instructions or products referred to in the content. |
© 2025 by the authors. Licensee MDPI, Basel, Switzerland. This article is an open access article distributed under the terms and conditions of the Creative Commons Attribution (CC BY) license (https://creativecommons.org/licenses/by/4.0/).
Share and Cite
Liu, Y.; Fan, X.; Zhou, X.; Zhang, Z.; Yang, Q.; Yang, R.; Li, Y.; Zheng, A.; Zhou, L.; Zhang, W.; et al. High-Intensity In Situ Fluorescence Imaging of MicroRNA in Cells Based on Y-Shaped Cascade Assembly. Chemosensors 2025, 13, 343. https://doi.org/10.3390/chemosensors13090343
Liu Y, Fan X, Zhou X, Zhang Z, Yang Q, Yang R, Li Y, Zheng A, Zhou L, Zhang W, et al. High-Intensity In Situ Fluorescence Imaging of MicroRNA in Cells Based on Y-Shaped Cascade Assembly. Chemosensors. 2025; 13(9):343. https://doi.org/10.3390/chemosensors13090343
Chicago/Turabian StyleLiu, Yan, Xueqing Fan, Xinying Zhou, Zhiqi Zhang, Qi Yang, Rongjie Yang, Yingxue Li, Anran Zheng, Lianqun Zhou, Wei Zhang, and et al. 2025. "High-Intensity In Situ Fluorescence Imaging of MicroRNA in Cells Based on Y-Shaped Cascade Assembly" Chemosensors 13, no. 9: 343. https://doi.org/10.3390/chemosensors13090343
APA StyleLiu, Y., Fan, X., Zhou, X., Zhang, Z., Yang, Q., Yang, R., Li, Y., Zheng, A., Zhou, L., Zhang, W., & Li, J. (2025). High-Intensity In Situ Fluorescence Imaging of MicroRNA in Cells Based on Y-Shaped Cascade Assembly. Chemosensors, 13(9), 343. https://doi.org/10.3390/chemosensors13090343

