Leaves of Invasive Plants—Japanese, Bohemian and Giant Knotweed—The Promising New Source of Flavan-3-ols and Proanthocyanidins
Abstract
1. Introduction
2. Results and Discussion
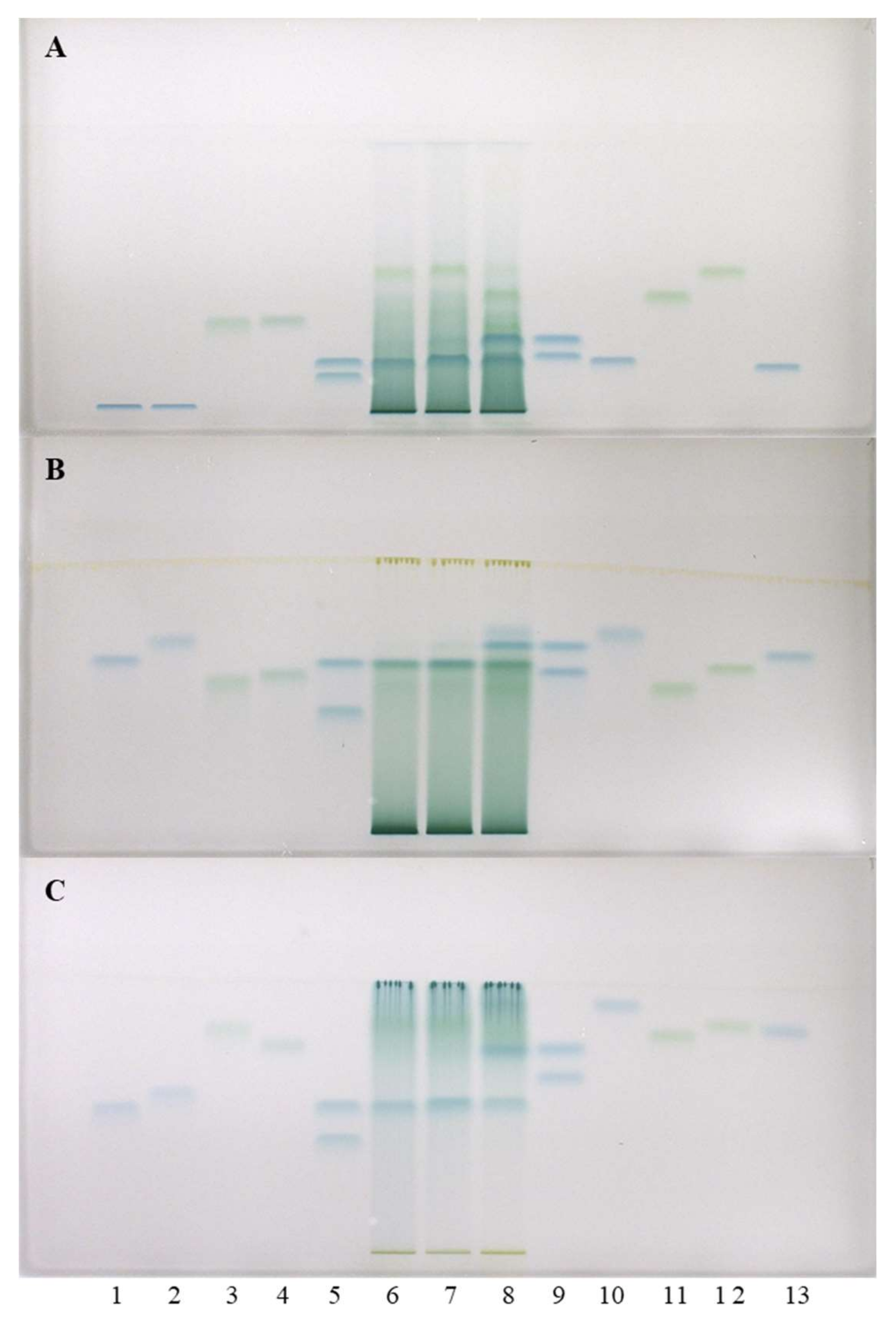
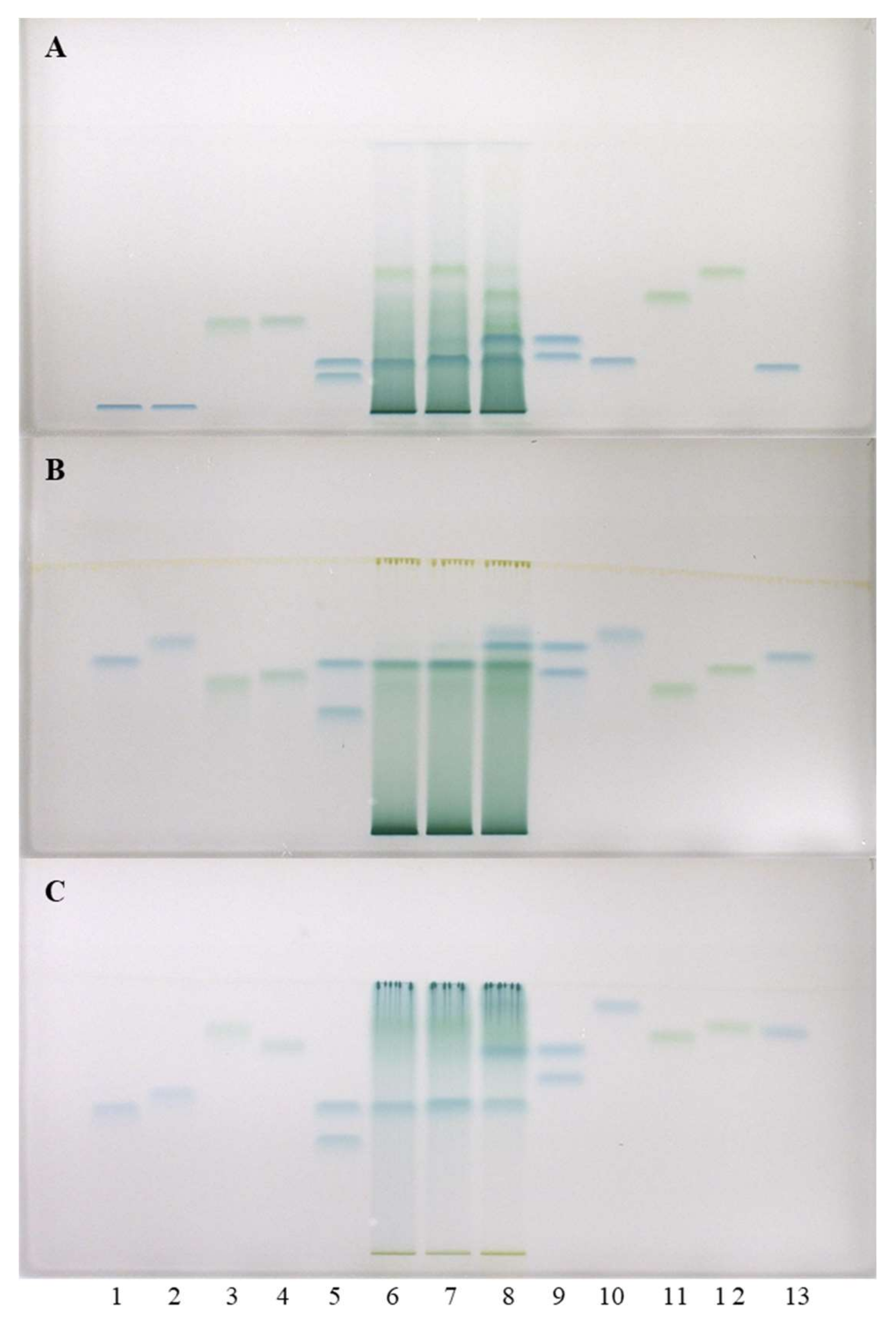
2.1. Qualitative Determination of Flavan-3-ols and Proanthocyanidins by HPTLC
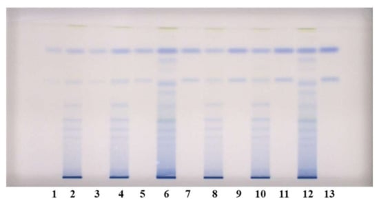
2.2. Chromatographic Fingerprinting (HPTLC) of Proanthocyanidins with Densitometry and Image Analysis
2.3. Quantification of Proanthocyanidins
2.4. HPTLC-MS/MS Characterisation of Flavan-3-ols and Proanthocyanidins on Diol Stationary Phase
3. Materials and Methods
3.1. Chemicals
3.2. Preparation of Standard Solutions
3.3. Plant Materials
3.4. Preparation of Sample Test Solutions (STSs) From Leaves
3.5. HPTLC with Image Analysis and Densitometry
3.6. HPTLC-MS/MS Analyses
4. Conclusions
Author Contributions
Funding
Acknowledgments
Conflicts of Interest
References
- Balogh, L. Japanese, giant and Bohemian knotweed (Fallopia japonica (Houtt.) Ronse Decr., F. sachalinensis (Frdr. Schmidt) Ronse Decr. and F. x bohemica (Chrtek et Chrtková) J. P. Bailey). In The Most Invasive Plants in Hungary, 1st ed.; Botta-Dukát, Z., Balogh, L., Eds.; Institute of Ecology and Botany, Hungarian Academy of Sciences: Vácrátót, Hungary, 2008; pp. 13–33. [Google Scholar]
- Global Invasive Species Database. Available online: http://www.iucngisd.org/gisd/search.php (accessed on 19 November 2019).
- Alberternst, B.; Böhmer, H.J. NOBANIS—Invasive Alien Species Fact Sheet—Fallopia japonica. Available online: https://www.nobanis.org/globalassets/speciesinfo/r/reynoutria-japonica/reynoutria_japonica4.pdf (accessed on 19 November 2019).
- Peng, W.; Qin, R.X.; Li, X.L.; Zhou, H. Botany, phytochemistry, pharmacology, and potential application of Polygonum cuspidatum Sieb.et Zucc.: A review. J. Ethnopharmacol. 2013, 148, 729–745. [Google Scholar] [CrossRef] [PubMed]
- Shaw, R.H.; Bryner, S.; Tanner, R. The life history and host range of the Japanese knotweed psyllid, Aphalara itadori Shinji: Potentially the first classical biological weed control agent for the European Union. Biol. Control 2009, 49, 105–113. [Google Scholar] [CrossRef]
- Huang, W.Y.; Cai, Y.Z.; Xing, J.; Corke, H.; Sun, M. Comparative analysis of bioactivities of four Polygonum species. Planta Med. 2008, 74, 43–49. [Google Scholar] [CrossRef] [PubMed]
- Hawrył, M.A.; Waksmundzka-Hajnos, M. Two-dimensional thin-layer chromatography of selected Polygonum sp. extracts on polar-bonded stationary phases. J. Chromatogr. A 2011, 1218, 2812–2819. [Google Scholar] [CrossRef] [PubMed]
- Lachowicz, S.; Oszmianski, J. Profile of bioactive compounds in the morphological parts of wild Fallopia japonica (Houtt) and Fallopia sachalinensis (F. Schmidt) and their antioxidative activity. Molecules 2019, 24, 1436. [Google Scholar] [CrossRef] [PubMed]
- Lachowicz, S.; Oszmianski, J.; Wojdylo, A.; Cebulak, T.; Hirnle, L.; Siewinski, M. UPLC-PDA-Q/TOF-MS identification of bioactive compounds and on-line UPLC-ABTS assay in Fallopia japonica Houtt and Fallopia sachalinensis (F. Schmidt) leaves and rhizomes grown in Poland. Eur. Food Res. Technol. 2019, 245, 691–706. [Google Scholar] [CrossRef]
- Metličar, V.; Vovk, I.; Albreht, A. Japanese and Bohemian knotweeds as sustainable sources of carotenoids. Plants 2019, 8, 384. [Google Scholar] [CrossRef] [PubMed]
- Zuiter, A.S. Proanthocyanidin: Chemistry and biology: From phenolic compounds to proanthocyanidins. In Reference Module in Chemistry, Molecular Sciences and Chemical Engineering; Elsevier: Amsterdam, The Netherlands, 2014. [Google Scholar] [CrossRef]
- Glavnik, V.; Vovk, I.; Albreht, A. High performance thin-layer chromatography—Mass spectrometry of Japanese knotweed flavan-3-ols and proanthocyanidins on silica gel plates. J. Chromatogr. A 2017, 1482, 97–108. [Google Scholar] [CrossRef] [PubMed]
- Glavnik, V.; Vovk, I. High performance thin-layer chromatography—mass spectrometry methods on diol stationary phase for the analyses of flavan-3-ols and proanthocyanidins in invasive Japanese knotweed. J. Chromatogr. A 2019, 1598, 196–208. [Google Scholar] [CrossRef] [PubMed]
- Nawrot-Hadzik, I.; Granica, S.; Domaradzki, K.; Pecio, L.; Matkowski, A. Isolation and determination of phenolic glycosides and anthraquinones from rhizomes of various Reynoutria species. Planta Med. 2018, 84, 1118–1126. [Google Scholar] [CrossRef] [PubMed]
- Nawrot-Hadzik, I.; Slusarczyk, S.; Granica, S.; Hadzik, J.; Matkowski, A. Phytochemical diversity in rhizomes of three Reynoutria species and their antioxidant activity correlations elucidated by LC-ESI-MS/MS analysis. Molecules 2019, 24, 1136. [Google Scholar] [CrossRef] [PubMed]
- Fan, P.; Hay, A.E.; Marston, A.; Lou, H.; Hostettmann, K. Chemical variability of the invasive neophytes Polygonum cuspidatum Sieb. and Zucc. and Polygonum sachalinensis F. Schmidt ex Maxim. Biochem. Syst. Ecol. 2009, 37, 24–34. [Google Scholar] [CrossRef]
- Glavnik, V.; Simonovska, B.; Vovk, I. Densitometric determination of (+)-catechin and (-)-epicatechin by 4-dimethylaminocinnamaldehyde reagent. J. Chromatogr. A 2009, 1216, 4485–4491. [Google Scholar] [CrossRef] [PubMed]
- Vovk, I.; Simonovska, B.; Andrenšek, S.; Vuorela, H.; Vuorela, P. Rotation planar extraction and rotation planar chromatography of oak (Quercus robur L.) bark. J. Chromatogr. A 2003, 991, 267–274. [Google Scholar] [CrossRef]
- Vovk, I.; Simonovska, B.; Vuorela, H. Separation of eight selected flavan-3-ols on cellulose thin-layer chromatographic plates. J. Chromatogr. A 2005, 1077, 188–194. [Google Scholar] [CrossRef] [PubMed]
- World Health Organization. Guidelines for the Assessment of Herbal Medicines. Available online: https://apps.who.int/iris/handle/10665/58865 (accessed on 19 November 2019).
- Wang, P.; Li, L.; Yang, H.L.; Cheng, S.J.; Zeng, Y.Z.; Nie, L.; Zang, H.C. Chromatographic fingerprinting and quantitative analysis for the quality evaluation of Xinkeshu tablet. J. Pharm. Anal. 2012, 2, 422–430. [Google Scholar] [CrossRef] [PubMed]
- Ristivojević, P.; Trifković, J.; Vovk, I.; Milojković Opsenica, D. Comparative study of different approaches for multivariate image analysis in HPTLC fingerprinting of natural products such as plant resin. Talanta 2017, 162, 72–79. [Google Scholar] [CrossRef] [PubMed]
- Milojković Opsenica, D.; Ristivojević, P.; Trifković, J.; Vovk, I.; Lušić, D.; Tešić, Ž. TLC Fingerprinting and pattern recognition methods in the assessment of authenticity of poplar-type propolis. J. Chromatogr. Sci. 2016, 54, 1077–1083. [Google Scholar] [CrossRef] [PubMed]
- Smrke, S.; Vovk, I. Comprehensive thin-layer chromatography mass spectrometry of flavanols from Juniperus communis L. and Punica granatum L. J. Chromatogr. A 2013, 1289, 119–126. [Google Scholar] [CrossRef] [PubMed]










| HPTLC Stationary Phases | |||||||||||||||
|---|---|---|---|---|---|---|---|---|---|---|---|---|---|---|---|
| Silica Gel | Cellulose | Both | |||||||||||||
| Developing Solvents | |||||||||||||||
| 3:6:1 (v/v) | Water | 4:2:1 (v/v) | 20:80:1 (v/v) | All | |||||||||||
| Compounds | JK | BK | GK | JK | BK | GK | JK | BK | GK | JK | BK | GK | JK | BK | GK |
| (+)-Catechin | + | + | + | - | + | + | - | + | + | - | + | + | - | + | + |
| (−)-Epicatechin | + | + | + | + | + | + | + | + | + | + | + | + | + | + | + |
| (−)-Catechin gallate | − | − | − | − | − | − | − | + | + | − | − | − | − | − | − |
| (−)-Epicatechin gallate | − | − | + | + | + | + | − | − | + | − | − | + | − | − | + |
| (−)-Gallocatechin | − | − | − | − | − | − | − | − | − | − | − | − | − | − | − |
| (−)-Epigallocatechin | − | − | − | − | − | − | − | − | − | − | − | − | − | − | − |
| (−)-Gallocatechin gallate | + | + | + | − | − | − | + | + | + | − | − | − | − | − | − |
| (−)-Epigallocatechin gallate | − | − | − | − | − | − | − | − | − | − | − | − | − | − | − |
| Procyanidin B1 | − | − | + | − | + | + | − | − | + | − | − | + | − | − | + |
| Procyanidin B2 | + | + | + | + | + | + | + | + | + | + | + | + | + | + | + |
| Procyanidin B3 | − | − | − | − | − | + | − | − | − | − | − | − | − | − | − |
| Procyanidin C1 | + | + | + | − | − | + | + | + | + | + | + | + | − | − | + |
| Plant Organs | Knotweed | Contents of Monomers | Contents of Dimers | ||
|---|---|---|---|---|---|
| mg/100 g DW | kg/t DW | mg/100 g DW | kg/t DW | ||
| Leaves | Japanese | 84 | 0.84 | 99 | 0.99 |
| Bohemian | 139 | 1.39 | 140 | 1.40 | |
| Giant | 236 | 2.36 | 206 | 2.06 | |
| Compound | [M-H]− | [M-2H]2−/2 | [M-3H]3−/3 | Leaves | Rhizomes | ||
|---|---|---|---|---|---|---|---|
| JK | BK | GK | JK [12,13] | ||||
| Monomers | 289 | + | + | + | + | ||
| Monomer gallates | 441 | + | + | + | + | ||
| Dimers | 577 | + | + | + | + | ||
| Dimer gallates | 729 | + | + | + | + | ||
| Dimer digallates | 881 | − | + | + | + | ||
| Trimers | 865 | + | + | + | + | ||
| Trimer gallates | 1017 | − | − | + | + | ||
| Tetramers | 1153 | + | + | + | + | ||
| Tetramer gallates | 1305 | − | − | + | + | ||
| Pentamers | 1441 | 720 | + | + | + | + | |
| Pentamers gallates | 1593 | 796 | − | − | + | + | |
| Hexamers | 1729 | 864 | + | + | + | + | |
| Hexamer gallates | 940 | − | − | + | + | ||
| Heptamers | 1008 | + | + | + | + | ||
| Octamers | 1152 | 768 | + | + | + | + | |
| Nonamers | 1297 | 863 | + | + | + | + | |
| Decamers | 1440 | 960 | + | + | + | + | |
© 2020 by the authors. Licensee MDPI, Basel, Switzerland. This article is an open access article distributed under the terms and conditions of the Creative Commons Attribution (CC BY) license (http://creativecommons.org/licenses/by/4.0/).
Share and Cite
Bensa, M.; Glavnik, V.; Vovk, I. Leaves of Invasive Plants—Japanese, Bohemian and Giant Knotweed—The Promising New Source of Flavan-3-ols and Proanthocyanidins. Plants 2020, 9, 118. https://doi.org/10.3390/plants9010118
Bensa M, Glavnik V, Vovk I. Leaves of Invasive Plants—Japanese, Bohemian and Giant Knotweed—The Promising New Source of Flavan-3-ols and Proanthocyanidins. Plants. 2020; 9(1):118. https://doi.org/10.3390/plants9010118
Chicago/Turabian StyleBensa, Maja, Vesna Glavnik, and Irena Vovk. 2020. "Leaves of Invasive Plants—Japanese, Bohemian and Giant Knotweed—The Promising New Source of Flavan-3-ols and Proanthocyanidins" Plants 9, no. 1: 118. https://doi.org/10.3390/plants9010118
APA StyleBensa, M., Glavnik, V., & Vovk, I. (2020). Leaves of Invasive Plants—Japanese, Bohemian and Giant Knotweed—The Promising New Source of Flavan-3-ols and Proanthocyanidins. Plants, 9(1), 118. https://doi.org/10.3390/plants9010118

