Seasonal Changes in the Metabolic Profiles and Biological Activity in Leaves of Diospyros digyna and D. rekoi “Zapote” Trees
Abstract
1. Introduction
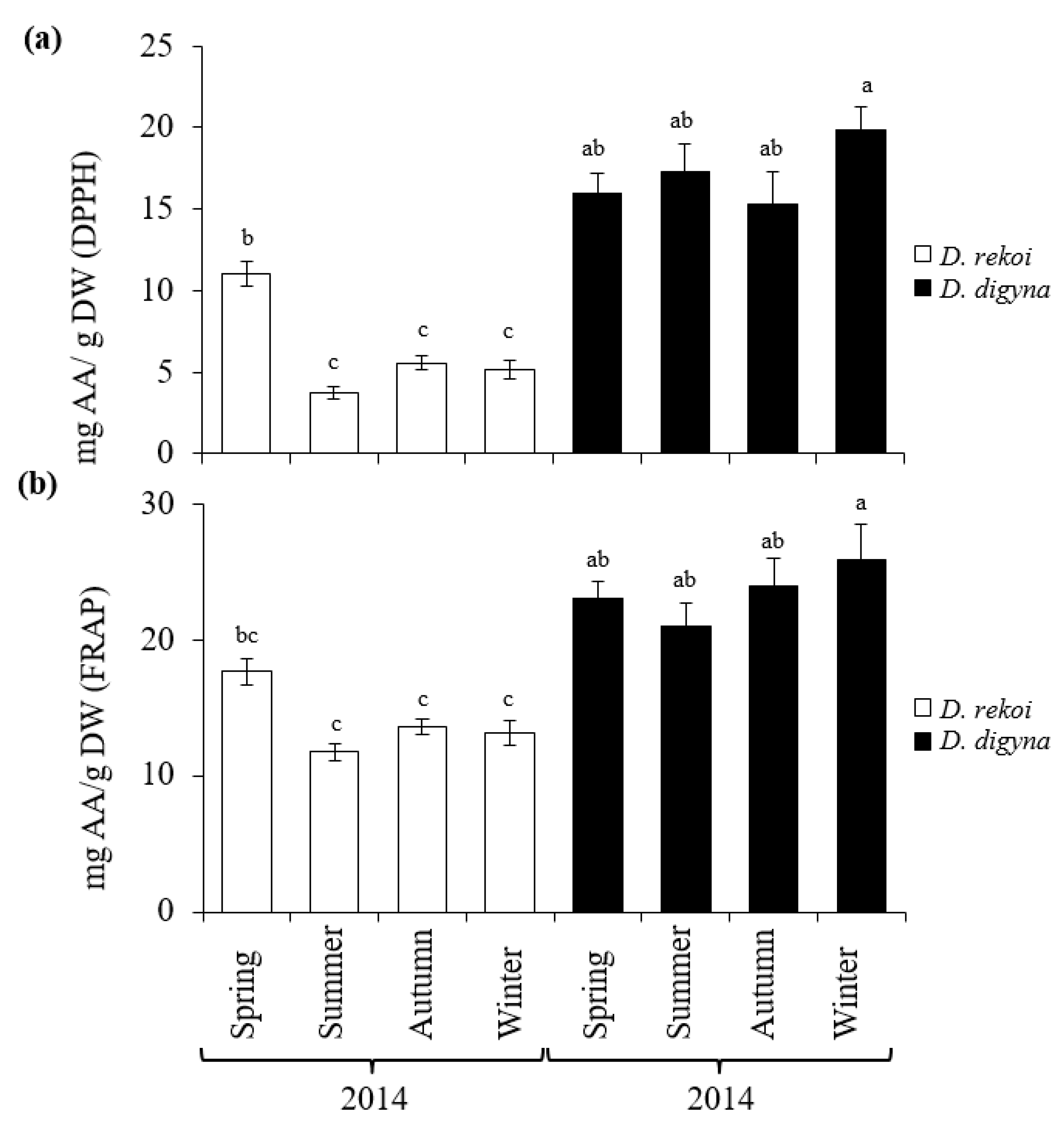
2. Results
3. Discussion
4. Materials and methods
4.1. Biological Material
4.2. Preparation of Leaf Extracts
4.3. Metabolic Fingerprinting and Antioxidant Activity by HP-TLC
4.4. Total Soluble Phenol (TSP) and Flavonoid (TF) Content In Vitro
4.5. In Vitro Antioxidant Activity
4.6. Metabolomic Analysis of Diospyros Leaves
4.7. Antimicrobial Activity of Leaf Extracts
4.8. Data Analysis
5. Conclusions
Supplementary Materials
Author Contributions
Funding
Conflicts of Interest
References
- Leonti, M.; Cabras, S.; Castellanos, M.A.; Challenger, A.; Gertsc, J.; Casu, L. Bioprospecting: Evolutionary implications from a post-olmec pharmacopoeia and the relevance of widespread taxa. J. Ethnopharmacol. 2013, 147, 92–107. [Google Scholar] [CrossRef]
- Provance, M.C.; García-Ruiz, I.; Thommes, C.; Ross-Ibarra, J. Population genetics and ethnobotany of cultivated Diospyros riojae Gómez Pompa (Ebenaceae), an endangered fruit crop from México. Genet. Resour. Crop Evol. 2013, 60, 2171–2182. [Google Scholar] [CrossRef]
- Pennington, T.; Sarukhán, J. Árboles Tropicales de México. Manual Para la Identificación de las Principales Especies; Dirección General de Publicaciones y Fomento Editorial, UNAM: Mexico City, México, 2005; p. 523. [Google Scholar]
- Wallnöfer, B. A revisión of neotropical Diospyros (Ebenaceae) part 1. Ann. Nat. Mus. Wien 2007, 108, 207–247. [Google Scholar]
- García-Díaz, R.; Cuevas, J.A.; Segura, S.; Basurto, F. Panbiogoegraphic analysis of Diospyros spp. (Ebenaceae) in Mexico. Rev. Mex. Cienc. Agric. 2015, 6, 187–200. [Google Scholar]
- Yahia, E.M.; Gutierrez-Orozco, F.; Arvizu-de León, C. Phytochemical and antioxidant characterization of the fruit of black sapote (Diospyros digyna Jacq.). Food Res. Int. 2011, 44, 2210–2216. [Google Scholar] [CrossRef]
- Peyrat, L.; Eparvier, V.; Eydoux, C.; Guillemot, J.C.; Stien, D.; Litaudon, M. Chemical diversity and antiviral potential in pan tropical Diospyros genus. Fitoterapia 2016, 112, 9–15. [Google Scholar] [CrossRef] [PubMed][Green Version]
- Peyrat, L.A.; Eparvier, V.; Eydoux, C.; Guillemot, J.C.; Litaudon, M.; Stien, D. Betulinic acid, the first lupane-type triterpenoid isolated from both a Phomopsis sp. and its host plant Diospyros carbonaria Benoist. Chem. Biodivers. 2017, 14, e1600171. [Google Scholar] [CrossRef] [PubMed]
- Rauf, A.; Uddin, G.; Patel, S.; Khan, A.; Halim, S.A.; Bawazeer, S.; Ahmad, K.; Muhammad, N.; Mubarak, M.S. Diospyros, an under-utilized, multi-purpose plant genus: A review. Biomed. Pharmacother. 2017, 91, 714–730. [Google Scholar] [CrossRef]
- Maroyi, A. Diospyros lycioides Desf.: Review of its botany, medicinal uses, pharmacological activities and phytochemistry. Asian Pac. J. Trop. Biomed. 2018, 8, 130–136. [Google Scholar] [CrossRef]
- Pérez-Burillo, S.; Oliveras, M.J.; Quesada, J.; Rufián-Henares, J.A.; Pastoriza, S. Relationship between composition and bioactivity of persimmon and kiwifruit. Food Res. Int. 2018, 105, 461–472. [Google Scholar] [CrossRef]
- Mallavadhani, U.; Panda, A.; Rao, Y. Pharmacology and chemotaxonomy of Diospyros. Phytochemistry 1998, 49, 901–951. [Google Scholar] [CrossRef]
- Xie, C.; Xie, Z.; Xu, X.; Yang, D. Persimmon (Diospyros kaki) leaves: A review on traditional uses, phytochemistry and pharmacological properties. J. Ethnopharmacol. 2015, 163, 229–240. [Google Scholar] [CrossRef] [PubMed]
- Moo-Huchin, V.M.; Estrada-Mota, I.; Estrada-León, R.; Cuevas-Glory, L.; Ortiz-Vázquez, E.; Vargas y Vargas, M.L.; Betancur-Ancona, D.; Sauri-Duch, E. Determinations of some physicochemical characteristics, bioactive compounds and antioxidant activity of tropical fruits from Yucatán, México. Food Chem. 2014, 152, 508–515. [Google Scholar] [CrossRef] [PubMed]
- Ramírez-Briones, E.; Rodríguez-Macías, R.; Salcedo-Pérez, E.; Martínez-Gallardo, N.; Tiessen, A.; Molina-Torres, J.; Délano-Frier, J.; Zañudo-Hernández, J. Seasonal variation in non-structural carbohydrates, sucrolytic activity and secondary metabolites in deciduous and perennial Diospyros species sampled in Western Mexico. PLoS ONE 2017, 12, e0187235. [Google Scholar] [CrossRef]
- Ramírez-Briones, E.; Rodríguez Macías, R.; Casarrubias-Castillo, K.; del Río, R.E.; Martínez-Gallardo, N.; Tiessen, A.; Ordaz-Ortiz, J.; Cervantes-Hernández, F.; Délano-Frier, J.P.; Zañudo-Hernández, J. Fruits of wild and semi-domesticated Diospyros tree species have contrasting phenological, metabolic, and antioxidant activity profiles. J. Sci. Food Agric. 2019, 99, 6020–6031. [Google Scholar] [CrossRef]
- Provance, M.C.; García Ruiz, I.; Sanders, A.C. The Diospyros salicifolia complex (Ebenaceae) in Mesoamerica. J. Bot. Res. Inst. 2008, 2, 1009–1100. [Google Scholar]
- Falcone Ferreyra, M.L.; Rius, S.P.; Casati, P. Flavonoids: Biosynthesis, biological functions, and biotechnological applications. Front. Plant. Sci. 2012, 3, 222. [Google Scholar] [CrossRef]
- Harrigan, G.G.; Martino-Catt, S.; Glenn, K.C. Metabolomics, metabolic diversity and genetic variation in crops. Metabolomics 2007, 3, 259–272. [Google Scholar] [CrossRef]
- Flint-Garcia, S.A. Genetics and consequences of crop domestication. J. Agric. Food Chem. 2013, 61, 8267–8276. [Google Scholar] [CrossRef]
- Vallarino, J.G.; de Abreu, E.; Lima, F.; Soria, C.; Tong, H.; Pott, D.M.; Willmitzer, L.; Fernie, A.R.; Nikoloski, Z.; Osorio, S. Genetic diversity of strawberry germplasm using metabolomic biomarkers. Sci. Rep. 2018, 8, 14386. [Google Scholar] [CrossRef]
- Zhu, G.; Wang, S.; Huang, Z.; Zhang, S.; Liao, Q.; Zhang, C.; Lin, T.; Qin, M.; Peng, M.; Yang, C.; et al. Rewiring of the fruit metabolome in tomato breeding. Cell 2018, 172, 249–261. [Google Scholar] [CrossRef] [PubMed]
- Drapal, M.; Rossel, G.; Heider, B.; Fraser, P.D. Metabolic diversity in sweet potato (Ipomoea batatas, Lam.) leaves and storage roots. Hort. Res. 2019, 6, 2. [Google Scholar] [CrossRef] [PubMed]
- Chandrasekhar, K.; Shavit, R.; Distelfeld, A.; Christensen, S.A.; Tzin, V. Exploring the metabolic variation between domesticated and wild tetraploid wheat genotypes in response to corn leaf aphid infestation. Plant. Signal. Behav. 2018, 13, e1486148. [Google Scholar] [CrossRef] [PubMed]
- López-Bucio, J.; Nieto-Jacobo, M.F.; Ramírez-Rodríguez, V.; Herrera-Estrella, L. Organic acid metabolism in plants: From adaptive physiology to transgenic varieties for cultivation in extreme soils. Plant Sci. 2000, 160, 1–13. [Google Scholar] [CrossRef]
- Koricheva, J.; Barton, K. Temporal changes in plant secondary metabolite production: Patterns, causes and consequences. In The Ecology of Plant Secondary Metabolites (From Genes to Global Processes); Iason, G.R., Dicke, M., Hartley, S., Eds.; Cambridge University Press: Cambridge, UK, 2012; pp. 34–55. [Google Scholar]
- Salminen, J.P.; Ossipov, V.; Haukioja, E.; Pihlaja, K. Seasonal variations in the content of hydrolysable tannins in leaves of Betula Pubescens. Phytochemistry 2001, 57, 15–22. [Google Scholar] [CrossRef]
- Salminen, J.P.; Roslin, T.; Karonen, M.; Sinkkonen, J.; Pihlaja, K.; Pulkkinen, P. Seasonal variation in the content of hydrolyzable tannins, flavonoid glycosides and proanthocyanidins in oak leaves. J. Chem. Ecol. 2004, 30, 1693–1711. [Google Scholar] [CrossRef] [PubMed]
- Tuominen, A.; Salminen, J.P. Hydrolyzable tannins, flavonol glycosides, and phenolic acids show seasonal and ontogenic variation in Geranium sylvaticum. J. Agric. Food Chem. 2017, 65, 6387–6403. [Google Scholar] [CrossRef]
- Bubueanu, C.; Pavaloiu, R. HPTLC chromatographic polyphenolic fingerprints of plant species from Eastern Europe. Malays. J. Med. Biol. Res. 2016, 3, 41–43. [Google Scholar]
- Wagner, H.; Bladt, S. Plant. Drug Analysis: A Thin Layer Chromatography Atlas, 2nd ed.; Springer: Berlin/Heidelberg, Germany, 2001; p. 384. [Google Scholar]
- Nile, S.H.; Park, S.W. HPTLC analysis, antioxidant and anti-gout activity of Indian plants. Iran. J. Pharm. Res. 2014, 13, 531–539. [Google Scholar]
- González, B.; Vogel, H.; Razmilic, I.; Wolfram, E. Polyphenol, anthocyanin and antioxidant content in different parts of maqui fruits (Aristotelia chilensis) during ripening and conservation treatments after harvest. Ind. Crop. Prod. 2015, 76, 158–165. [Google Scholar] [CrossRef]
- Gorinstein, S.; Zachwieja, Z.; Folta, M.; Barton, H.; Piotrowicz, J.; Zemser, M.; Weisz, M.; Trakhtenberg, S.; Màrtín-Belloso, O. Comparative content of dietary fiber total phenolics and minerals in persimmon and apples. J. Agric. Food Chem. 2001, 49, 952–957. [Google Scholar] [CrossRef] [PubMed]
- Pu, F.; Ren, X.; Zhang, X. Phenolic compounds and antioxidant activity in fruits of six Diospyros kaki genotypes. Eur. Food Res. Technol. 2013, 237, 923–932. [Google Scholar] [CrossRef]
- Kim, N.M.; Kim, J.; Chung, H.Y.; Choi, J.S. Isolation of luteolin 7-O-rutinoside and esculetin with potential antioxidant activity from the aerial parts of Artemisia Montana. Arch. Pharm. Res. 2000, 23, 237–239. [Google Scholar] [CrossRef] [PubMed]
- Vianna, D.R.; Bubols, G.; Meirelles, G.; Silva, B.V.; da Rocha, A.; Lanznaster, M.; Monserrat, J.M.; Garcia, S.C.; von Poser, G.; Eifler-Lima, V.L. Evaluation of the antioxidant capacity of synthesized coumarins. Int. J. Mol. Sci. 2012, 13, 7260–7270. [Google Scholar] [CrossRef]
- Šeršeň, F.; Lácová, M. Antioxidant activity of some coumarins. Acta Fac. Pharm. Univ. Comen. 2015, 62 (Suppl. S9), 41–45. [Google Scholar]
- Gao, H.; Cheng, N.; Zhou, J.; Wang, B.; Deng, J.; Cao, W. Antioxidant activities and phenolic compounds of date plum persimmon (Diospyros lotus L.) fruits. J. Food Sci. Technol. 2014, 51, 950–956. [Google Scholar] [CrossRef]
- Maiga, A.; Malterud, K.E.; Diallo, D.; Paulsen, B.S. Antioxidant and 15-lipoxygenase inhibitory activities of the Malian medicinal plants Diospyros abyssinica (Hiern) F. White (Ebenaceae), Lannea Velutina, A. Rich (Anacardiaceae) and Crossopteryx febrifuga (Afzel) Benth. (Rubiaceae). J. Ethnopharmacol. 2006, 104, 132–137. [Google Scholar] [CrossRef]
- Sivaci, A.; Duman, S. Evaluation of seasonal antioxidant activity and total phenolic compounds in stems and leaves of some almond (Prunus amygdalus L.) varieties. Biol. Res. 2014, 47, 9. [Google Scholar] [PubMed]
- Vagiri, M.; Conner, S.; Stewart, D.; Andersson, S.C.; Verrall, S.; Johansson, E.; Rumpunen, K. Phenolic compounds in blackcurrant (Ribes nigrum L.) leaves relative to leaf position and harvest date. Food Chem. 2015, 172, 135–142. [Google Scholar] [CrossRef]
- Ben Ahmed, Z.; Yousfi, M.; Viaene, J.; Dejaegher, B.; Demeyer, K.; Mangelings, D.; Vander Heyden, Y. Seasonal, gender and regional variations in total phenolic, flavonoid, and condensed tannins contents and in antioxidant properties from Pistacia atlantica ssp. leaves. Pharm. Biol. 2017, 55, 1185–1194. [Google Scholar] [CrossRef]
- Ayaz, F.A.; Kadıoğlu, A. Changes in phenolic acid contents of Diospyros lotus L. during fruit development. J. Agric. Food Chem. 1997, 45, 2539–2541. [Google Scholar] [CrossRef]
- Khadem, S.; Marles, R.J. Monocyclic phenolic acids; hydroxy- and polyhydroxybenzoic acids: Occurrence and recent bioactivity studies. Molecules 2010, 15, 7985–8005. [Google Scholar] [CrossRef] [PubMed]
- Widhalm, J.R.; Dudareva, N. A familiar ring to it: Biosynthesis of plant benzoic acids. Mol. Plant. 2015, 8, 83–97. [Google Scholar] [CrossRef] [PubMed]
- Smith-Becker, J.; Marois, E.; Huguet, E.J.; Midland, S.L.; Sims, J.J.; Keen, N.T. Accumulation of salicylic acid and 4-hydroxybenzoic acid in phloem fluids of cucumber during systemic acquired resistance is preceded by a transient increase in phenylalanine ammonia-lyase activity in petioles and stems. Plant Physiol. 1998, 116, 231–238. [Google Scholar] [CrossRef] [PubMed]
- Nematollahi, A.; Aminimoghadamfarouj, N.; Wiart, C. Reviews on 1,4-naphthoquinones from Diospyros L. J. Asian Nat. Prod. Res. 2012, 14, 80–88. [Google Scholar] [CrossRef] [PubMed]
- Ashihara, H.; Yin, Y.; Katahira, R.; Watanabe, S.; Mimura, T.; Sasamoto, H. Comparison of the formation of nicotinic acid conjugates in leaves of different plant species. Plant Physiol. Biochem. 2012, 60, 190–195. [Google Scholar] [CrossRef] [PubMed]
- Rani, A.; Arora, S.; Goyal, A. Antidiabetic plants in traditional medicines: A review. Int. Res. J. Pharm. 2017, 8, 17–24. [Google Scholar] [CrossRef]
- Shah, M.A.; Keach, J.E.; Panichayupakaranant, P. Antidiabetic naphthoquinones and their plant resources in Thailand. Chem. Pharm. Bull. 2018, 66, 483–492. [Google Scholar] [CrossRef]
- Suwama, T.; Watanabe, K.; Monthakantirat, O.; Luecha, P.; Noguchi, H.; Watanabe, K.; Umehara, K. Naphthalene glycosides in the Thai medicinal plant Diospyros mollis. J. Nat. Med. 2018, 72, 220–229. [Google Scholar] [CrossRef]
- Prinsloo, G.; Nogemane, N. The effects of season and water availability on chemical composition, secondary metabolites and biological activity in plants. Phytochem. Rev. 2018, 17, 889–902. [Google Scholar] [CrossRef]
- Van Vuuren, S.F. Antimicrobial activity of South African medicinal plants. J. Ethnopharmacol. 2008, 119, 462–472. [Google Scholar] [CrossRef] [PubMed]
- Cai, L.; Wei, G.X.; Van der Bijl, P.; Wu, C.D. Namibian chewing stick, Diospyros lycoides, contains antibacterial compounds against oral pathogens. J. Agric. Food Chem. 2000, 48, 909–914. [Google Scholar] [CrossRef] [PubMed]
- Dewanjee, S.; Kundu, M.; Maiti, A.; Majumdar, R.; Majumdar, A.; Mandal, S.C. In vitro evaluation of antimicrobial activity of crude extract from plants Diospyros peregrine, Coccinia grandis and Swietenia Macrophylla. Trop. J. Pharm. Res. 2007, 6, 773–778. [Google Scholar] [CrossRef]
- Ji, L.L.; Zhang, Q.H.; Cui, G.Y. Study on the antimicrobial activities of persimmon leaves against food spoilage and food-borne pathogens and related compounds. Food Sci. 2003, 24, 129–131. [Google Scholar]
- Rasamison, V.E.; Rakotondraibe, H.L.; Razafintsalama, V.; Rakotonandrasana, S.; Rakotondrafara, A.; Ratsimbason, M.A.; Rafidinarivo, E. Chemical constituents from stems and leaves of Diospyros gracilipes Hiern and the antimicrobial and cytotoxic principles. J. Pharmacogn. Phytochem. 2016, 5, 109–113. [Google Scholar]
- Borges-Argáez, R.; Canche-Chay, C.I.; Peña-Rodríguez, L.M.; Said-Fernández, S.; Molina-Salinas, G.M. Antimicrobial activity of Diospyros anisandra. Fitoterapia 2007, 78, 370–372. [Google Scholar] [CrossRef]
- Rashed, K.; Ćiríc, A.; Glamoclija, J.; Soković, M. Antibacterial and antifungal activities of methanol extract and phenolic compounds from Diospyros virginiana L. Ind. Crop. Prod. 2014, 59, 210–215. [Google Scholar] [CrossRef]
- Morales, J.; Mendoza, L.; Cotoras, M. Alteration of oxidative phosphorylation as a possible mechanism of the antifungal action of p-coumaric acid against Botrytis cinerea. J. Appl. Microbiol. 2017, 123, 969–976. [Google Scholar] [CrossRef]
- King, E.O.; Ward, M.K.; Raney, D.E. Two simple media for the demonstration of pyocyanin and fluorescin. J. Lab. Clin. Med. 1954, 44, 301–307. [Google Scholar]
- Valenzuela-Soto, J.; Maldonado-Bonilla, L.; Hernández-Guzmán, G.; Rincón-Enríquez, G.; Martínez-Gallardo, N.; Ramírez-Chávez, E.; Cisneros Hernández, I.; Hernández-Flores, J.L.; Délano-Frier, J.P. Infection by a coronatine-producing strain of Pectobacterium cacticidum isolated from sunflower plants in Mexico is characterized by soft rot and chlorosis. J. Gen. Plant Pathol. 2015, 81, 368–381. [Google Scholar] [CrossRef]
- Keane, P.J.; Kerr, A.; New, P.B. Crown gall of stone fruit. II Identification and nomenclature of Agrobacterium isolates. Aust. J. Biol. Sci. 1970, 23, 585–595. [Google Scholar] [CrossRef]
- Hosu, A.; Danciu, V.; Cimpoiu, C. Validated HPTLC fingerprinting and antioxidant activity evaluation of twenty-seven Romanian red wines. J. Food Compos. Anal. 2015, 41, 174–180. [Google Scholar] [CrossRef]
- Maranz, S.; Wiesman, Z.; Garti, N. Phenolic constituents of shea (Vitellaria paradoxa) kernels. J. Agric. Food Chem. 2003, 51, 6268–6273. [Google Scholar] [CrossRef] [PubMed]
- Sakanaka, S.; Tachibana, Y.; Okada, Y. Preparation and antioxidant properties of extracts of Japanese persimmon leaf tea (kakinoha-cha). Food Chem. 2005, 89, 569–575. [Google Scholar] [CrossRef]
- Palmeros-Suárez, P.A.; Massange-Sánchez, J.A.; Martínez-Gallardo, N.A.; Montero-Vargas, J.M.; Gómez-Leyva, J.F.; Délano-Frier, J.P. The overexpression of an Amaranthus hypochondriacus NF-YC gene modifies growth and confers water deficit stress resistance in Arabidopsis. Plant Sci. 2015, 240, 25–40. [Google Scholar] [CrossRef]
- Balouiri, M.; Sadiki, M.; Ibnsouda, S.K. Methods for in vitro evaluating antimicrobial activity: A review. J. Pharm. Anal. 2016, 6, 71–79. [Google Scholar] [CrossRef]






| m/z (M + H)+ | Retention Time (min) | Pre-Identification | P(1) 1 | p (corr)(1) 1 | p (D. digyna/D. rekoi) 1 | Fold-Change Factor | Average (D. digyna) | Average (D. rekoi) | SD (D. digyna) | SD (D. rekoi) |
|---|---|---|---|---|---|---|---|---|---|---|
| 179.034 | 12.14 | 4, 7-Dihydroxy coumarin | −0.155 | −1.000 | 1.10 × 10−6 | 239.3 | 56.408 | 0.236 | 2.015 | 0.048 |
| 303.05 | 14.76 | Quercetin | 0.158 | 0.999 | 3.0 × 10−7 | 17.8 | 3.471 | 61.922 | 0.219 | 1.504 |
| 479.082 | 14.76 | Quercetin 3-O-glucuronide | 0.162 | 0.999 | 1.34 × 10−6 | 20.2 | 3.206 | 64.837 | 0.348 | 2.298 |
| 287.055 | 15.35 | 3,4,5,7,3′,4′,5′-Heptahydroxyflavan | 0.156 | 1.000 | 5.17 × 10−8 | 17.3 | 3.512 | 60.795 | 0.149 | 0.945 |
| 463.088 | 15.35 | Quercetin-3′-glucuronide | 0.152 | 1.000 | 4.58 × 10−8 | 20.9 | 2.734 | 57.056 | 0.038 | 0.879 |
| 485.33 | 19.17 | Triterpene 1 | −0.135 | −0.999 | 2.43 × 10−6 | 42.739 | 0.000 | 1.870 | 0.000 | |
| 469.33 | 21.91 | Triterpene 2 | −0.142 | −1.000 | 9.97 × 10−7 | 47.091 | 0.000 | 1.648 | 0.000 | |
| 593.28 | 33.19 | Unidentified | 0.215 | 1.000 | 4.30 × 10−8 | 10.0 | 12.123 | 121.126 | 0.529 | 1.655 |
| 621.31 | 35.29 | Unidentified | 0.197 | 0.995 | 3.38 × 10−5 | 6.8 | 15.792 | 107.537 | 0.885 | 7.722 |
| 736.54 | 36.85 | Unidentified | 0.164 | 0.998 | 2.98 × 10−6 | 121.2 | 0.525 | 53.596 | 0.269 | 2.892 |
| (a) Diospyros rekoi | |||||||
| SPRING 1 | SUMMER | AUTUMN | WINTER | ||||
| Compound | % Area 2 | Compound | % Area | Compound | % Area | Compound | % Area |
| Glycerol | 3.7 | Glycerol | 1.9 | Glycerol | 4.02 | Glycerol | 2.99 |
| dl-malic acid | 3.46 | Palmitic acid | 0.69 | dl-Malic acid | 2.91 | dl-Malic acid | 2.94 |
| Trigonelline | 2.17 | R-3-Hydroxy-butyric acid | 0.560 | Glyceric acid | 1.51 | Palmitic acid | 1.45 |
| Palmitic acid | 1.65 | 2-Hydrxy-3-methyl-butyric acid | 0.417 | l-Threonic acid | 1.43 | Glyceric acid | 1.03 |
| l-Threonic acid | 1.587 | Malonic acid | 0.360 | Trigonelline | 1.03 | l-Threonic acid | 0.87 |
| Glyceric acid | 1.383 | Linoleic acid | 0.327 | Nicotinic acid | 0.83 | Trigonelline | 0.62 |
| Nicotinic acid | 0.834 | Linolenic acid | 0.24 | Palmitic acid | 0.604 | Phytol | 0.39 |
| Erythritol | 0.722 | Oleic acid | 0.178 | Succinic acid | 0.48 | Linolenic acid | 0.33 |
| Phytol | 0.574 | β-Lactic acid | 0.164 | Phytol | 0.47 | Succinic acid | 0.28 |
| Succinic acid | 0.565 | Phytol | 0.151 | Erythritol | 0.29 | Oleic acid | 0.27 |
| Oleic acid | 0.47 | Pentanoic acid | 0.067 | 2-Hydroxy-3-methyl-butyric acid | 0.28 | 2-Hydroxy-3-methylvaleric acid | 0.198 |
| Linolenic acid | 0.389 | 2-Pentenoic acid | 0.06 | p-Coumaric acid | 0.24 | Erythritol | 0.191 |
| p-Coumaric acid | 0.352 | R-3-Hydroxy-butyric acid | 0.056 | 2-Hydroxy-3-methylvaleric acid | 0.21 | Linoleic acid | 0.17 |
| 2-Hydroxy 3-methyl-butyric acid | 0.328 | Enol pyruvate | 0.05 | Oleic acid | 0.2 | p-Coumaric acid | 0.16 |
| 2-Hydroxy-3-methyl-valeric acid | 0.283 | Linolenic acid | 0.18 | 2-hydroxy-3-methylbutanoic acid | 0.16 | ||
| Linoleic acid | 0.226 | Linoleic acid | 0.14 | Nicotinic acid | 0.11 | ||
| Malonic acid | 0.221 | Enol pyruvate | 0.14 | 3-Hydroxy-caproic acid | 0.098 | ||
| β-Lactic acid | 0.143 | p-Hydroxybenzoic acid | 0.11 | 2-Hydroxy-isocaproic acid | 0.092 | ||
| Enol pyruvate | 0.14 | Ethylene glicol | 0.082 | p-Hydroxybenzoic acid | 0.093 | ||
| Ferulic acid | 0.123 | 2-OH-Isocaproic acid | 0.079 | Enol pyruvate | 0.092 | ||
| 2-Hexenoic acid | 0.114 | Malonic acid | 0.069 | Malonic acid | 0.091 | ||
| 2-Hydroxy-isocaproic acid | 0.109 | 4-Hydroxy-butanoic acid | 0.065 | β-lactic acid | 0.08 | ||
| p-Hydroxybenzoic acid | 0.090 | β-Lactic acid | 0.049 | 2-Butenedioic acid | 0.058 | ||
| 2-Butenedioic acid | 0.071 | Ferulic acid | 0.038 | Ethylene glicol | 0.051 | ||
| 4-Hydroxy-butanoic acid | 0.069 | Propylene glicol | 0.036 | 4-Hydroxy-butanoic acid | 0.049 | ||
| Hexanoic acid | 0.047 | R-3-Hydroxy-butyric acid | 0.036 | R-3-hydroxy-butanoic acid | 0.038 | ||
| Ethylene glicol | 0.03 | Hexanoic acid | 0.035 | Ferulic acid | 0.036 | ||
| R-3-Hydroxy-butyric acid | 0.026 | 2-Hydroxy-2-methyl-butyric acid | 0.033 | Propylene glicol | 0.026 | ||
| Propylene glicol | 0.023 | 2-Hexenoic acid | 0.026 | 2-Hexenoic acid | 0.022 | ||
| Pentanoic acid | TR 3 | Pentanoic acid | TR | Malonic acid | 0.091 | ||
| 2-Pentenoic acid | TR | Pentanoic acid | TR | ||||
| 2-Hydroxy 2-methyl-Butyric acid | TR | 2-Pentenoic acid | TR | ||||
| 2-Hydroxy-2-methylbutanoic acid | TR | ||||||
| (b) Diospyros digyna | |||||||
| SPRING 1 | SUMMER | AUTUMN | WINTER | ||||
| Compound | % Area 2 | Compound | % Area | Compound | % Area | Compound | % Area |
| Glicerol | 2.19 | Glicerol | 1.77 | Glicerol | 2.58 | 6,7-Dihydroxycoumarin | 3.06 |
| 6,7-Dihydroxycoumarin | 2.02 | 6,7-Dihydroxycoumarin | 1.31 | 6,7-Dihydroxycoumarin | 2.14 | Glicerol | 2.98 |
| dl-Malic acid | 1.84 | dl-Malic acid | 1.06 | dl-Malic acid | 2.16 | Linolenic acid | 1.94 |
| Linolenic acid | 1.52 | Linolenic acid | 1.1 | Linolenic acid | 1.73 | Palmitic acid | 1.29 |
| l-Threonic acid | 1.16 | l-Threonic acid | 0.55 | Palmitic acid | 1.31 | dl-Malic acid | 0.91 |
| Palmitic acid | 1.03 | Palmitic acid | 0.54 | l-Threonic acid | 0.98 | l-Threonic acid | 0.85 |
| Glyceric acid | 0.45 | Glyceric acid | 0.37 | Glyceric acid | 0.50 | Glyceric acid | 0.60 |
| Oleic acid | 0.27 | Oleic acid | 0.19 | Oleic acid | 0.40 | Oleic acid | 0.42 |
| Linoleic acid | 0.17 | Linoleic acid | 0.16 | Linoleic acid | 0.26 | Linoleic acid | 0.26 |
| Nicotinic acid | 0.16 | Erythritol | 0.13 | Erythritol | 0.24 | Erythritol | 0.16 |
| Erythritol | 0.13 | Enol pyruvate | 0.057 | Enol pyruvate | 0.08 | β-Lactic acid | 0.095 |
| β-Lactic acid | 0.101 | β-Lactic acid | 0.056 | Phytol | 0.072 | Enol pyruvate | 0.073 |
| p-Hydroxybenzoic acid | 0.06 | p-Hydroxybenzoic acid | 0.05 | β-Lactic acid | 0.07 | Succinic acid | 0.053 |
| Enol pyruvate | 0.049 | Succinic acid | 0.038 | Propylene glicol | 0.061 | Ethylene glicol | 0.046 |
| Phytol | 0.049 | Phytol | 0.034 | Ethylene glycol | 0.055 | Propylene glycol | 0.038 |
| Succinic acid | 0.04 | Propylene glicol | 0.024 | Succinic acid | 0.05 | Propylene glicol | 0.038 |
| Ethylene glicol | 0.029 | Ethylene glicol | 0.023 | 2-Butenedioic acid | 0.018 | Malonic acid | 0.026 |
| Propylene glicol | 0.027 | Nicotinic acid | 0.015 | Pyruvic acid | 0.004 | Pyruvic acid | 0.015 |
| Malonic acid | 0.021 | 2-Butenedioic acid | 0.015 | 2-Hydroxy-3-methylvaleric acid | TR | Nicotinic acid | 0.014 |
| Pyruvic acid | 0.011 | Malonic acid | 0.013 | 2-Hydroxy-isocaproic acid | TR | 2-Butenedioic acid | 0.013 |
| 2-Hydroxy-3-methylvaleric acid | TR 3 | Pyruvic acid | 0.003 | 4-Hydroxy-butanoic acid | TR | 2-Hydroxy-3-methylvaleric acid | TR |
| 2-Hydroxy-isocaproic acid | TR | 2-Hydroxy-3-methylvaleric acid | TR | 2-Hydroxy-3-methylbutanoic acid | TR | 2-Hydroxy-isocaproic acid | TR |
| 4-Hydroxy-butanoic acid | TR | 2-Hydroxy-isocaproic acid | TR | R-3-Hydroxy-butanoic acid | TR | 4-Hydroxy-butanoic acid | TR |
| 2-Hydroxy-3-methylbutanoic acid | TR | 4-Hydroxy-butanoic acid | TR | 2-Hydroxy-2-methylbutanoic acid | TR | 2-Hydroxy-3-methylbutanoic acid | TR |
| R-3-Hydroxy-butanoic acid | TR | 2-Hydroxy-3-methylbutanoic acid | TR | R-3-Hydroxy-butanoic acid | TR | ||
| 2-Hydroxy-2-methylbutanoic acid | TR | R-3-Hydroxy-butanoic acid | TR | 2-Hydroxy-2-methylbutanoic acid | TR | ||
| 2-Hydroxy-2-methylbutanoic acid | TR | ||||||
| 1 Growth inhibition (mm) | ||||||||||||
| D. rekoi | ||||||||||||
| Bacterial pathogen | Spring | Summer | Autumn | Winter | ||||||||
| 50 2 | 100 | 200 | 50 | 100 | 200 | 50 | 100 | 200 | 50 | 100 | 200 μL | |
| 3Cmm | 0 | 0 | 0 | 0 | 13.2 ± 2.3 | 15.8 ± 1.5 | 0 | 0 | 0 | 0 | 0 | 0 |
| 4Pst | 14 ± 2.3 1 | 15.8 ± 3.1 | 18.2 ± 2.7 | 14 ± 2.1 | 14.4 ± 1.6 | 15.4 ± 2.3 | 17.6 ± 3 | 17.6 ± 3 | 18.2 ± 3 | 13.6 ± 2 | 15 ± 2 | 15.4 ± 1.5 |
| D. digyna | ||||||||||||
| Bacterial pathogen | Spring | Summer | Autumn | Winter | ||||||||
| 50 | 100 | 200 | 50 | 100 | 200 | 50 | 100 | 200 | 50 | 100 | 200 μL | |
| Cmm | 14.6 ± 3.4 | 16.1 ± 1.9 | 18.4 ± 3.7 | 0 | 0 | 0 | 0 | 0 | 0 | 0 | 0 | 0 |
| Pst | 14.2 ± 1.4 | 15.2 ± 2.6 | 16.4 ± 2.9 | 0 | 15 ± 1.7 | 15.6 ± 3.8 | 15.2 ± 1.2 | 16 ± 2.4 | 18.2 ± 1 | 0 | 0 | 0 |
© 2019 by the authors. Licensee MDPI, Basel, Switzerland. This article is an open access article distributed under the terms and conditions of the Creative Commons Attribution (CC BY) license (http://creativecommons.org/licenses/by/4.0/).
Share and Cite
Ramírez-Briones, E.; Rodríguez-Macías, R.; Salcedo-Pérez, E.; Ramírez-Chávez, E.; Molina-Torres, J.; Tiessen, A.; Ordaz-Ortiz, J.; Martínez-Gallardo, N.; Délano-Frier, J.P.; Zañudo-Hernández, J. Seasonal Changes in the Metabolic Profiles and Biological Activity in Leaves of Diospyros digyna and D. rekoi “Zapote” Trees. Plants 2019, 8, 449. https://doi.org/10.3390/plants8110449
Ramírez-Briones E, Rodríguez-Macías R, Salcedo-Pérez E, Ramírez-Chávez E, Molina-Torres J, Tiessen A, Ordaz-Ortiz J, Martínez-Gallardo N, Délano-Frier JP, Zañudo-Hernández J. Seasonal Changes in the Metabolic Profiles and Biological Activity in Leaves of Diospyros digyna and D. rekoi “Zapote” Trees. Plants. 2019; 8(11):449. https://doi.org/10.3390/plants8110449
Chicago/Turabian StyleRamírez-Briones, Ernesto, Ramón Rodríguez-Macías, Eduardo Salcedo-Pérez, Enrique Ramírez-Chávez, Jorge Molina-Torres, Axel Tiessen, José Ordaz-Ortiz, Norma Martínez-Gallardo, John P. Délano-Frier, and Julia Zañudo-Hernández. 2019. "Seasonal Changes in the Metabolic Profiles and Biological Activity in Leaves of Diospyros digyna and D. rekoi “Zapote” Trees" Plants 8, no. 11: 449. https://doi.org/10.3390/plants8110449
APA StyleRamírez-Briones, E., Rodríguez-Macías, R., Salcedo-Pérez, E., Ramírez-Chávez, E., Molina-Torres, J., Tiessen, A., Ordaz-Ortiz, J., Martínez-Gallardo, N., Délano-Frier, J. P., & Zañudo-Hernández, J. (2019). Seasonal Changes in the Metabolic Profiles and Biological Activity in Leaves of Diospyros digyna and D. rekoi “Zapote” Trees. Plants, 8(11), 449. https://doi.org/10.3390/plants8110449

