Attenuation of Drought Stress in Brassica Seedlings with Exogenous Application of Ca2+ and H2O2
Abstract
:1. Introduction
2. Results
2.1. Rate of Water Loss (RWL)
2.2. Relative Water Content (RWC)
2.3. Chlorophyll Content
2.4. Soluble Protein Content
2.5. Electrolyte Leakage
2.6. Proline Content
2.7. H2O2 Content
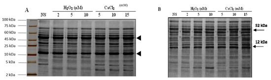
2.8. SDS-PAGE Analysis
3. Discussion
4. Material and Methods
4.1. Plant Material
4.2. Rate of Water Loss (RWL)
4.3. Relative Water Content
4.4. Chlorophyll Content
4.5. Soluble Protein Content
4.6. Electrolyte Leakage
4.7. Proline Content
4.8. H2O2 Content
4.9. SDS-PAGE
4.10. Statistical Analysis
5. Conclusions
Acknowledgments
Author Contributions
Conflicts of Interest
References
- Hakeem, K.R.; Chandna, R.; Ahmad, P.; Ozturk, M.; Iqbal, M. Relevance of proteomic investigations in plant stress physiology. OMICS J. Integr. Biol. 2012, 16, 621–635. [Google Scholar] [CrossRef] [PubMed]
- Boyer, J.S. Plant productivity and environment. Science 1992, 218, 443–448. [Google Scholar] [CrossRef] [PubMed]
- Bajji, M.; Kinet, J.M.; Lutts, S. The use of the electrolyte leakage method for assessing cell membrane stability as a water stress tolerance test in durum wheat. J. Plant Growth Reg. 2002, 36, 61–70. [Google Scholar] [CrossRef]
- Hsu, S.Y.; Hsu, Y.T.; Kao, C.H. The effect of polyethylene glycol on proline accumulation in rice leaves. Biol. Plant. 2003, 46, 73–78. [Google Scholar] [CrossRef]
- Ratnayaka, H.H.; Molin, W.T.; Sterling, T.M. Physiological and antioxidant responses of cotton and spurred anoda under interference and mild drought. J. Exp. Bot. 2003, 54, 2293–2305. [Google Scholar] [CrossRef] [PubMed]
- Bot, A.J.; Nachtergaele, F.O.; Young, A. Land Resource Potential and Constraints at Regional and Country Levels; World Soil Resources Reports 90; Land and Water Development Division, FAO: Rome, Italy, 2000. [Google Scholar]
- Riznsky, L.H.; Liang, H.; Hittler, R. The combined effect of drought stress and heat shock on gene expression in tobacco plant. Plant Physiol. 2002, 130, 1143–1151. [Google Scholar] [CrossRef] [PubMed]
- Bartels, D.; Sunkar, R. Drought and salt tolerance in plants. Crit. Rev. Sci. 2005, 24, 23–58. [Google Scholar] [CrossRef]
- Pastori, G.M.; Foyer, C.H. Common components, networks, and pathways of cross-tolerance to stress. The central role of “redox” and abscisic acid-mediated controls. Plant Physiol. 2002, 129, 460–468. [Google Scholar] [CrossRef] [PubMed]
- Gummuluru, S.; Hobbs, S.L.A.; Jana, S. Genotypic variability in physiological characters and its relationship to drought tolerance in Durum wheat. Can. J. Plant Sci. 1999, 69, 703–711. [Google Scholar] [CrossRef]
- Blum, A. Osmotic adjustment and growth of barley genotypes under stress. Crop Sci. 1999, 29, 230–233. [Google Scholar] [CrossRef]
- Morgan, J.A.; LeCain, D.R. Leaf gas exchange and related leaf traits among 15 winter wheat genotypes. Crop Sci. 1991, 31, 443–448. [Google Scholar] [CrossRef]
- Shigeoka, S.T.; Ishikawa, M.; Tamoi, Y.; Miyagawa, Y.; Takeda, T.; Yabuta, Y.; Yoshimura, K. Regulation and function of ascorbate peroxidase isoenzymes. J. Exp. Bot. 2002, 53, 1305–1319. [Google Scholar] [CrossRef] [PubMed]
- Smirnoff, N. The role of active oxygen in the response of plants to water deficit and desiccation. New Phytol. 1993, 125, 27–58. [Google Scholar] [CrossRef]
- Ahmad, P.; Hakeem, K.R.; Kumar, A.; Ashraf, M.; Akram, N.A. Salt induced changes in photosynthetic activity and oxidative defense system of three cultivars of mustard (Brassica juncea L.). Afr. J. Biotechnol. 2012, 11, 2694–2703. [Google Scholar]
- Mittler, R.; Herr, E.H.; Orvar, B.L.; Van Camp, W.; Willekens, H.; Inze, D.; Ellis, B.E.E. Transgenic tobacco plants with reduced capability to detoxify reactive oxygen intermediates are hyper responsive to pathogen infection. Proc. Natl. Acad. Sci. USA 1999, 96, 14165–14170. [Google Scholar] [CrossRef] [PubMed]
- Mlot, C. Plant biology in the genome era. Science 1998, 281, 331–332. [Google Scholar] [CrossRef] [PubMed]
- Shao, H.B.; Liang, Z.S.; Shao, M.A. Changes of some physiological and biochemical indices for soil water deficits among 10 wheat genotypes at seedling stage. Colloids Surf. B Biointerfaces 2005, 42, 107–113. [Google Scholar] [CrossRef] [PubMed]
- Shao, H.B.; Chu, L.Y.; Shao, M.A. Calcium as a versatile plant signal transducer under soil water stress. BioEssays 2008, 30, 634–641. [Google Scholar]
- Qureshi, M.I.; Qadir, S.; Zolla, L.J. Proteomics based dissection of stress-responsive pathways in plants. Plant Physiol. 2007, 164, 1239–1260. [Google Scholar] [CrossRef] [PubMed]
- Bush, D.S. Calcium regulation in plant cells and its role in signaling. Annu. Rev. Plant Physiol. 1995, 46, 95–122. [Google Scholar] [CrossRef]
- Yu, C.W.; Murphy, T.M.; Sung, W.W.; Lin, C.H. H2O2 treatment induces glutathione accumulation and chilling tolerance in mung bean. Funct. Plant Biol. 2002, 29, 1081–1087. [Google Scholar] [CrossRef]
- Yu, C.W.; Murphy, T.M.; Lin, C.H. Hydrogen peroxide-induced chilling tolerance in mung beans mediated through ABA-independent glutathione accumulation. Funct. Plant Biol. 2003, 30, 955–963. [Google Scholar] [CrossRef]
- Sadaqat, H.A.; Tahir, M.H.N.; Hussain, M.T. Physiogenetic aspects of drought tolerance in canola (Brassica napus). Int. J. Agric. Biol. 2003, 5, 611–614. [Google Scholar]
- Resketo, P.; Szabo, L. The effect of drought on development and yield components of soybean. Int. J. Trop. Agric. 1992, 8, 347–354. [Google Scholar]
- Maliwal, G.L.; Thakkar, K.R.; Sonani, V.V.; Patel, P.H.; Trivedi, S.N. Response of mustard (Brassica juncea L.) to irrigation and fertilization. Ann. Agric. Res. 1998, 19, 353–359. [Google Scholar]
- Patel, J.R. Effect of irrigation and nitrogen on mustard. J. Maharashtra Agric. Univ. 1999, 23, 259–261. [Google Scholar]
- Delledonne, M.; Zeier, J.; Marocco, A.; Lamb, C. Signal interactions between nitric oxide and reactive oxygen intermediates in the plant hypersensitive disease resistance response. Proc. Natl. Acad. Sci. USA 2001, 98, 13454–13459. [Google Scholar] [CrossRef] [PubMed]
- Ma, Y.Y.; Song, W.Y.; Liu, Z.H.; Zhang, H.M.; Guo, X.L.; Shao, H.B.; Ni, F.T. The dynamic changing of Ca2+ cellular localization in maize leaflets under drought stress. Cell Biol. 2009, 332, 350–362. [Google Scholar] [CrossRef] [PubMed]
- Clarke, J.M.; Romagosa, I.; Jana, S.; Srivastava, J.P.; Caig, M.C. Relationship of excised—Leaf water loss rate and yield of durum wheat in diverse environments. Can. J. Plant Sci. 1988, 69, 1075–1081. [Google Scholar] [CrossRef]
- Cameron, K.D.; Teece, M.A.; Smart, L.B. Increased accumulation of cuticular wax and expression of lipid transfer protein in response to periodic drying events in leaves of tree tobacco. Plant Physiol. 2006, 140, 176–183. [Google Scholar] [CrossRef] [PubMed]
- Neto, A.D.A.; Prisco, J.T.; Filho, J.E.; Medeivo, J.V.R.; Filho, E.G. Hydrogen peroxide pre-treatment induces salt stress acclimation in maize plants. J. Plant Physiol. 2005, 162, 1114–1122. [Google Scholar] [CrossRef]
- Jubany-Mari, T.; Munné-Bosch, S.; López-Carbonell, M.; Alegre, L. Hydrogen peroxide is involved in the acclimation of the Mediterranean shrub, Cistusalbidus L., to summer drought. J. Exp. Bot. 2009, 60, 107–120. [Google Scholar] [CrossRef] [PubMed]
- Ishibashi, Y.; Zheng, S.H.; Arima, S. Effect of seed pre-treatment with hydrogen peroxide in soybean seed germination and seedling growth. Coast. Bioenv. 2010, 15, 55–60. [Google Scholar]
- Bosabalidis, A.M.; Kofidis, G. Comparative effects of drought stress on leaf anatomy of two olive cultivars. Plant Sci. 2002, 163, 375–379. [Google Scholar] [CrossRef]
- Chaves, M.M.; Flexas, J.; Pinheiro, C. Photosynthesis under drought and salt stress: Regulation mechanisms from whole plant to cell. Anal. Bot. 2009, 103, 551–560. [Google Scholar] [CrossRef] [PubMed]
- Yordanov, I.; Velikova, V.; Tsone, V. Plant response to drought, acclimation and stress tolerance. Photosynthetica 2000, 30, 171–186. [Google Scholar] [CrossRef]
- Yang, S.L.; Llan, S.S.; Gong, M. Hydrogen peroxide-induced proline and metabolic pathway of its accumulation in maize seedlings. J. Plant Physiol. 2009, 166, 1694–1699. [Google Scholar] [CrossRef] [PubMed]
- Nayyar, H. Variation in osmoregulation in differentially drought-sensitive wheat genotypes involves calcium. Biologia Plant. 2003, 47, 541–547. [Google Scholar] [CrossRef]
- Ranieri, A.; Castagna, A.; Pacini, J.; Baldan, B.; Mensuali, S.A.; Soldatini, G.F. Early production and scavenging of hydrogen peroxide in the apoplast of sunflowers plants exposed to ozone. J. Exp. Bot. 2003, 54, 2529–2540. [Google Scholar] [CrossRef] [PubMed]
- Ferrari-Iliou, R.; d’Arcy-Lameta, A.; Pham-Thi, A.T.; Zuily-Fodil, Y.; Mazliak, P. Effect of drought on photodynamic peroxidation of leaf total lipophilic extracts. Phytochemistry 1994, 37, 1237–1243. [Google Scholar] [CrossRef]
- Morse, M.; Rafudeen, M.S.; Farrant, J.M. An overview of the current understanding of desiccation tolerance in the vegetative tissues of higher plants. In Plant Responses to Drought and Salinity Stress: Developments in a Post-Genomic Era, 1st ed.; Advances in Botanical Research 2011; Elsevier Ltd.: Burlington County, NJ, USA, 2011; pp. 319–347. [Google Scholar]
- Chen, Y.; Wang, B.; Chen, J.; Wang, X.; Wang, R.; Peng, S.; Chen, L.; Ma, L.; Luo, J. Identification of Rubiscorbc L. and rbcS in Camellia oleifera and their potentials as molecular markers for selection of high tea oil cultivars. Front. Plant Sci. 2015, 6, 189. [Google Scholar] [CrossRef] [PubMed]
- Ristic, Z.; Jenks, M.A. Leaf cuticle and water loss in maize lines differing in dehydration avoidance. J. Plant Physiol. 2002, 159, 645–651. [Google Scholar] [CrossRef]
- Arnon, D.I. Copper enzymes in isolated chloroplasts. Polyphenoloxidase in Beta vulgaris. Plant Physiol. 1949, 24, 1–15. [Google Scholar] [CrossRef] [PubMed]
- Lichtenthaler, H.K.; Wellburn, A.R. Determination of Total Carotenoids and Chlorophylls a and b of Leaf Extracts in Different Solvents. Biochem. Soc. Trans. 1983, 11, 591–603. [Google Scholar] [CrossRef]
- Bradford, M.M. A rapid and sensitive for the quantization of microgram quantities of protein utilizing the principle of protein-dye binding. Anal. Biochem. 1976, 72, 248–254. [Google Scholar] [CrossRef]
- Bates, L.S.; Waldren, R.P.; Teare, I.D. Rapid determination of free proline for water stress studies. Plant Soil 1973, 39, 205–207. [Google Scholar] [CrossRef]
- Hames, B.D.; Rickwood, D. Gel Electrophoresis of Proteins: A Practical Approach, 2nd ed.; IRL Press Limited: Oxford, UK, 1999; p. 383. [Google Scholar]





© 2017 by the authors. Licensee MDPI, Basel, Switzerland. This article is an open access article distributed under the terms and conditions of the Creative Commons Attribution (CC BY) license (http://creativecommons.org/licenses/by/4.0/).
Share and Cite
Khan, A.; Anwar, Y.; Hasan, M.M.; Iqbal, A.; Ali, M.; Alharby, H.F.; Hakeem, K.R.; Hasanuzzaman, M. Attenuation of Drought Stress in Brassica Seedlings with Exogenous Application of Ca2+ and H2O2. Plants 2017, 6, 20. https://doi.org/10.3390/plants6020020
Khan A, Anwar Y, Hasan MM, Iqbal A, Ali M, Alharby HF, Hakeem KR, Hasanuzzaman M. Attenuation of Drought Stress in Brassica Seedlings with Exogenous Application of Ca2+ and H2O2. Plants. 2017; 6(2):20. https://doi.org/10.3390/plants6020020
Chicago/Turabian StyleKhan, Akram, Yasir Anwar, Md. Mahadi Hasan, Aqib Iqbal, Muhammad Ali, Hesham F. Alharby, Khalid Rehman Hakeem, and Mirza Hasanuzzaman. 2017. "Attenuation of Drought Stress in Brassica Seedlings with Exogenous Application of Ca2+ and H2O2" Plants 6, no. 2: 20. https://doi.org/10.3390/plants6020020
APA StyleKhan, A., Anwar, Y., Hasan, M. M., Iqbal, A., Ali, M., Alharby, H. F., Hakeem, K. R., & Hasanuzzaman, M. (2017). Attenuation of Drought Stress in Brassica Seedlings with Exogenous Application of Ca2+ and H2O2. Plants, 6(2), 20. https://doi.org/10.3390/plants6020020

