Next Article in Journal
A Comparative Metabolomic Analysis Reveals the Nutritional and Therapeutic Potential of Grains of the Traditional Rice Variety Mappillai Samba
Previous Article in Journal
Ecological Networks in Urban Forest Fragments Reveal Species Associations between Native and Invasive Plant Communities
Previous Article in Special Issue
Identification of QTLs for Grain Protein Content in Russian Spring Wheat Varieties
 
 
Font Type:
Arial Georgia Verdana
Font Size:
Aa Aa Aa
Line Spacing:
Column Width:
Background:
Article

Features of Chromosome Introgression from Gossypium barbadense L. into G. hirsutum L. during the Development of Alien Substitution Lines

by
Marina Feliksovna Sanamyan
1,*,
Shukhrat Umarovich Bobohujayev
1,
Sharoffidin Sayfiddinovich Abdukarimov
2,
Abdusalom Khasanboyevich Makamov
2 and
Olga Gennadevna Silkova
3
1
Department of Biology, National University of Uzbekistan named M. Ulugbek, University St. 4, Tashkent 100174, Uzbekistan
2
Center of Genomics and Bioinformatics UAS, University St. 2, Kibray Region, Tashkent 111215, Uzbekistan
3
Institute of Cytology and Genetics, SB RAS, Lavrentiev Av. 10, 630090 Novosibirsk, Russia
*
Author to whom correspondence should be addressed.
Plants 2022, 11(4), 542; https://doi.org/10.3390/plants11040542
Submission received: 23 December 2021 / Revised: 21 January 2022 / Accepted: 27 January 2022 / Published: 18 February 2022

Abstract

The creation of G. barbadense L./G. hirsutum L. chromosome-substitution lines is an important method to transfer agronomically valuable traits from G. barbadense into G. hirsutum. In this study, 30 monosomic lines of G. hirsutum from the Cytogenetic Collection of Uzbekistan, created in the genotypic background of line L-458, were used in crosses with the G. barbadense line Pima 3-79 to create substitution lines. In the course of this work, new monosomic lines were identified for chromosome 12 and monotelodisome 6 of the Atsubgenome and for chromosomes 17, 21, and 22 of the Dtsubgenome using chromosome-specific SSR markers and a well-defined tester set of cotton translocation lines (USA). Compared to those in the F1 hybrids, a strong decrease in the crossing and setting rates was found in the BC1F1 backcross lines, with the substitution of chromosomes 2, 4, 6, 7, and 12 of the Atsubgenome and 17, 18, 21, and 22 of the Dtsubgenome. The F1 and BC1F1 offspring from interspecific crosses differed in their transmission of univalents. Despite the regular pairing of chromosomes and the high meiotic index, interspecific aneuploid hybrids were characterized by a decrease in pollen fertility, which may indicate hidden structural variability in these genomes that did not affect meiotic division. The identification of chromosomes using chromosome-specific SSR markers in the early stages of plant development has greatly accelerated the detection of monosomic plants. The analysis of morphobiological traits revealed that monosomic F1 hybrids were more similar to the donor line, while BC1F1 hybrids were more similar to the recurrent parent but also showed previously undetected traits.

1. Introduction

Cotton belongs to the genus Gossypium, which comprises approximately 53 species [1,2]. The genus Gossypium is unusually diverse; 46 species have been assigned to eight cytologically and geographically distinct groups with diploid genomes (A, B, C, D, E, F, G, and K) of 2n = 26, and 7 species have been assigned to a group with a tetraploid genome (AADD) of 2n = 52 [1,2,3].
In diploid species, significant chromosome rearrangements have occurred during evolution [4,5]. Allopolyploid species likely arose 1–2 million years ago as a result of the spread of a taxon containing the A genome in the New World, followed by hybridization of this taxon with a local diploid containing the D genome and doubling of the number of chromosomes [6].To date, the alleged donors of the genomes of tetraploid species are thought to come from African or Asian species with the A genome and from a species similar to the American diploid species with the D genome [1,7]. It has been shown that the subgenomes of allotetraploids—Dt and At (‘t’ indicates tetraploid)—are collinear with the genomes of G. raimondii Ulbr. and G. arboreum L., respectively [8,9].
The nascent AtDt allopolyploid spread throughout the American tropics and subtropics, diverging into seven species: AD1 = G. hirsutum L., AD2 = G. barbadense L., AD3 = G. tomentosum Nutt. ex Seem., AD4 = G. mustelinum Miers ex Watt., AD5 = G. darwinii Watt., AD6 = G. ekmanianum Wittm., and AD7 = G. stephensii J. Gallagher, C. Grover, and Wendel. [1,10]. Two allopolyploid cotton species G. hirsutum L. or Upland cotton and G. barbadense L. (or Pima cotton) were independently domesticated [11]. Genome doubling in tetraploids has led to a variety of molecular genetic interactions, including different rates of genome evolution, intergenomic gene transfer, and changes in gene expression [6,12,13,14].
To date, an increase in cotton yields has also been achieved through traditional breeding and intervarietal crossing. Cultivars have been created with better yield potential, higher fibre quality, and the ability to withstand changing climatic conditions, as well as early ripening times, a tolerance to high fertilizer contents, and the ability to efficiently use soil moisture reserves [15]. However, most of these varieties were obtained by selection from a narrow gene pool and adapted to certain soil and climatic conditions. Thus, modern cultivated cotton shows a reduction in genetic diversity, which has resulted in a decrease in fibre quality and an increase in genetic vulnerability due to the close relationship of high-yielding varieties.
Enrichment of the G. hirsutum genome with alleles from other economically valuable cotton species is very important [15,16,17]. For example, G. tomentosum is characterized as having heat resistance, while G. mustelinum and G. stocksii Mast. are characterized as having pest and disease resistance [18]. The wild species G. longicalyx J.B. Hutch and B.J.S. Lee (F1 genome) could be used as a donor of desirable traits for fibre fineness, length, and strength [19].
It is known that G. barbadense is less productive and has a narrower range of agronomic adaptability, but it has significantly higher quality fibre (length, strength, and fibre fineness) than cultivated varieties of G. hirsutum, although the latter gives a higher yield. Given their complementary agronomic characteristics, numerous attempts have been made to hybridize the two species within the framework of traditional breeding. However, this work has been unsuccessful.
In cotton, interspecific hybrid progeny often have poor agronomic traits, distorted segregation, sterility, mote formation, and limited recombination due to genome incompatibility. A comparative analysis of the genomes of G. barbadense and G. hirsutum revealed large-scale inversions on various chromosomes of the At and Dtsubgenomes [5]. The genetic effects of inversions are manifested in the suppression of the recombination of the inverted regions themselves and the regions adjacent to them, reducing population diversity and leading to population divergence. Thus, inversions between G. hirsutum and G. barbadense restrict recombination in F1 hybrids, limiting genomic exchanges. Generally, F1 hybrids of G. hirsutum × G. barbadense are fertile, but the F2 phenotypes and subsequent generations are biased towards one of the parents due to the manifestation of genetic breakdown.
Another method of transferring agronomically valuable traits from G. barbadense to G. hirsutum has been the creation of lines with introgressed segments of individual chromosomes from G. barbadense and lines with chromosome substitutions of G. barbadense L./G. hirsutum L. [20,21,22,23].
D.M. Stelly et al. [22] constructed 17 chromosome- or chromosomal-arm-substitution lines of G. barbadense in the genetic background of the G. hirsutum line Texas Marker-1 (TM-1). Previous analyses of CS lines have associated many novel traits with the substitution of chromosomes and chromosome segments.
Thus, the study of these lines made it possible to determine that the substitution of homologous chromosomes from G. hirsutum L. into G. barbadense L. (CS-B02, CS-B04,CS-B16, CS-B17, CS-B22Lo, CS-B22sh, and CS-B25) had an effect on fibre elongation, fibre yield, fibre strength, and micronair, when compared with the original lines TM-1 and Pima 3-79 [24,25,26].
In creating G. barbadense L./G. hirsutum L.-substituted lines [22,23], monosomic individuals of TM-1 G. hirsutum L. were used or targeted transfer of certain chromosomes of G. barbadense L. In this work, a similar scheme was used, and monosomic lines of G. hirsutum from the Cytogenetic Collection of Uzbekistan were crossed with the G. barbadense line Pima 3-79 to create G. hirsutum/G. barbadense substitution lines with improved agronomic traits. Identification of univalent chromosomes was carried out at the early stages of cotton-plant development using chromosome-specific molecular markers.
Previously, we obtained new monosomic cotton lines in a single genotypic background of the highly inbred G. hirsutum L. line L-458 (AtDt genome) [27,28,29,30]; these lines resulted in long-term inbreeding and selection with the cotton cultivar 108-F. Univalent chromosomes of these lines were identified using a well-defined tester set of cotton translocation lines (USA) [31,32]. The identification of most monosomic lines was confirmed using SSR markers at the Center for Genomics and Bioinformatics of the Academy of Sciences of the Republic of Uzbekistan [30,31]. As a result, four monosomic lines from the Cytogenetic Collection of Uzbekistan (Mo11, Mo16, Mo19, and Mo93) were found to have chromosome 2 of the Atsubgenome; 16 monosomic lines (Mo7, Mo31, Mo38, Mo58, Mo59, Mo60, Mo69, Mo70, Mo71, Mo72, Mo73, Mo75, Mo76, Mo79, Mo81, and Mo89) had chromosome 4 of the Atsubgenome; five monosomic lines (Mo13, Mo34, Mo67, Mo92, and Mo95) had chromosome 6 of the Atsubgenome; Mo27 had chromosome 7 of the Atsubgenome; Mo48 line had chromosome 18 of the Dtsubgenome; and monotelodisomic line Mo21 lacks an arm of chromosome 11 of the Atsubgenome [31,32,33,34].
Fivefold backcrossing was used to create G. hirsutum/G. barbadense near-isogenic substitution lines [23]. Backcrossing was also used to prevent “genetic breakdown” in these interspecific crosses [23]. Using this technique, a set of chromosome-segment-introgression lines (CSILs) were obtained [20,21,23]. To our knowledge, data on the peculiarities of chromosome behaviour in interspecific aneuploid hybrids when obtaining these lines have not been published. Such information is necessary to understand the collinearity of G. hirsutum chromosomes with G. barbadense chromosomes, which reflects their compensatory ability, as well as to understand the contribution of individual chromosomes of these two species to the manifestation of “genetic breakdown” during interspecies crossing and subsequent backcrossing.
The aim of this work was to study interspecific aneuploid F1 hybrids obtained in a different genotypic background from crosses of monosomic cotton lines of the inbred G. hirsutum line L-458 with the G. barbadense L. line Pima 3-79, as well as their BC1F1 backcross offspring. In the course of this work, new monosomic lines of G. hirsutum L. were obtained; the identification of univalent chromosomes was carried out using molecular- genetics and translocation markers; and the crossing of monosomic lines with Pima 3-79 was performed. Additionally, the setting and germination of hybrid seeds were studied; the meiotic behaviour of chromosomes in monosomic F1 and BC1F1 plants has been investigated; and univalent chromosomes in F1 and BC1F1 hybrids have been identified using molecular genetic markers. Finally, a comparative morphobiological analysis of aneuploid F1 and BC1F1 hybrids was carried out and the prospect of using them to obtain lines with substitutions of specific chromosomes was assessed.

2. Results

2.1. Development Scheme for Obtaining Cotton Chromosome-Substitution Lines

We developed a scheme for creating cotton lines with chromosome substitutions. According to the scheme (Figure 1), the previously identified G. hirsutum L. aneuploid lines were crossed with the G. barbadense L. donor line Pima 3-79; the hybrid offspring from each crossing were studied at the metaphase I stage of meiosis; and SSR markers were used to confirm the chromosome identity. Furthermore, aneuploidy F1 hybrid plants were crossed with the aneuploid G. hirsutum L. line (recurrent parent), and the resulting BC1F1 backcross hybrids were studied using molecular marker analysis (SSR) at the plantlet stage to identify aneuploid BC1F1 hybrids, which were confirmed by cytogenetic analysis. The aneuploid BC1F1 hybrids were then recrossed with the recurrent parent. Furthermore, the obtained BC2F1 backcross hybrids were analysed using molecular markers (SSRs) at the plantlet stage. The identified BC2F1 aneuploid hybrids were re-examined at the metaphase I stage of meiosis to detect aneuploid BC2F1 hybrids. This work was repeated up to the fifth generation using backcrossing. Then, aneuploid hybrid BC5F1 plants were self-pollinated, and euploid plants from the self-pollinated BC5F1 generation were used as the founders of chromosome-substituted lines (Figure 1).
Double screening of aneuploid hybrids with specific chromosome substitutions was carried out at all stages of cytogenetic (metaphase I of meiosis) and molecular marker analysis (chromosome-specific SSR markers) at the plantlet stage. Cytogenetic screening is necessary to exclude the phenomenon of a “univalent shift,” where as chromosome-specific molecular markers confirm the presence of a specific chromosome substitution of G. barbadense. This analysis was noticeably easier, since all aneuploid lines in our collection were created in a common genotypic background of the highly inbred G. hirsutum L. L-458 line, which was created through multiple generations of self-pollination (F20) of cultivar 108-F.

2.2. Features of Crossing, Setting, and Germination of Hybrid Seeds

We crossed 30 monosomic and two monotelodisomic lines of G. hirsutum L. from the Cytogenetic Collection of Uzbekistan with the G. barbadense L. doubled haploid line Pima 3-79. The analysis of the crosses of the 30 aneuploid G. hirsutum L. lines with Pima 3-79 revealed significant differences between the lines. Thus, four monosomic lines with deficiencies in chromosome 2 (Mo11, Mo16, Mo19, and Mo93) were characterized by a decrease in the crossing rate with small ranges of variation between the lines (from 50 to 73.33%) (Figure 2). Four monosomic lines (Mo66, Mo69, Mo72, and Mo73) out of 13 lines with deficiencies in chromosome 4 were distinguished by a significant decrease in the crossing rate (from 16.66 to 25%); however, one line (Mo60) stood out as having the maximum crossability (100%) (Figure 2).Five monosomic lines (Mo13, Mo34, Mo67, Mo92, and Mo95) with deficiencies in chromosome 6 also showed a significant decrease in the crossing rate (from 26.38 to 66.67%). Of the remaining six monosomic lines, three lines (Mo48, Mo42, and Mo17) with deficiencies in chromosomes 18, 21, and 22 from the Dtsubgenome were characterized as having the largest decrease in the crossing rate (16.66, 16.67, and 14.29%, respectively) (Table S1, Figure 2).
Two monotelodisomic lines (Telo12 and Mo21) with deficiencies in chromosome arms 6 and 11 differed significantly in their crossing rates (50 and 100%, respectively) with line Pima 3-79 (Table S1, Figure 2).
There were large differences in the setting of F0 hybrid seeds obtained from crosses of aneuploid cotton lines with the line Pima 3-79, with the exception of one crossing combination (Mo48 × Pima 3-79).
All four monosomic lines with deficiencies in chromosome 2 were characterized by a decrease in the setting of F0 hybrid seeds (from 31.33 ± 5.09 to 60.71 ± 10.48%) compared with the control (73.83 ± 4.25) (Table S2, Figure 3).
The setting of F0 hybrid seeds obtained from crosses of 13 monosomic lines with deficiencies in chromosome 4 showed a wider range of decreases (from 26.03 ± 5.14 to 61.76 ± 8.33%). Five monosomic lines with deficiencies in chromosome 6 were also distinguished by a strong decrease in the setting of hybrid seeds, but with a narrower range (from 18.64 ± 5.07 to 35.48 ± 4.96).
Of the remaining six monosomic lines (Mo27, Mo94, Mo56, Mo48, Mo42, and Mo17), one line (Mo17) with a deficiency in chromosome 22 from the Dtsubgenome was characterized as having the strongest decrease in seed setting (up to 29.41%) compared to the control (73.83 ± 4.25%) (Table S2, Figure 3) and to other monosomic lines with deficiencies in chromosomes 7, 12, 17, 18, and 21.
There was a large difference in the setting of F0 hybrid seeds obtained from crosses of two monotelodisomic lines with deficiencies in chromosome arms 6 and 11 (69.05 ± 7.13 and 16.00 ± 4.23%, respectively), which was explained by the arms belonging to different nonhomologous chromosomes.
Only the F0 hybrid seeds from the crosses of two monosomic lines with deficienciesin chromosome 2 (Mo19 and Mo93) showed differences in their reduced germination (57.14 and 73.33%) (Table S3, Figure 4).
The germination capacity of F0 hybrid seeds obtained from crosses of one monosomic line (Mo31) with a deficiency in chromosome 4 showed the strongest decrease (21.05%), while in the other four variants of crosses (Mo58, Mo66, Mo69 and Mo89), a smaller decrease was observed (from 36.36 to 53.85%) (Figure 4). The germination capacity of F0 hybrid seeds obtained from crosses involving five monosomic lines with deficiencies in chromosome 6 was found to be very high (from 66.67 to 100%). The germination capacity of F0 hybrid seeds obtained from crosses of monosomic lines with deficiencies in chromosomes 7, 12, 17, and 18 showed a slight decrease (up to 84.21%), while the germination of hybrid seeds from two lines with deficiencies in chromosomes 21 and 22 decreased to a higher degree (to 61.90 and 70.00%, respectively). The germination of hybrid seeds from crosses involving two monotelodisome lines with deficiencies in one arm of chromosomes 6 and 11 was high and did not differ significantly (Table S3, Figure 4).
In general, the germination capacity of F0 hybrid seeds obtained from crosses of aneuploid G. hirsutum L. lines with the G. barbadense L. line Pima 3-79 was high compared to the hybrid seeds of the control (66.67%).

2.3. Cytogenetic Characteristics of the Monosomic F1 Hybrids

Aneuploid F1 hybrids were isolated in 27 interspecies F1 hybrid families based on phenotypes and analysis of meiotic metaphase I, and in five variants, only several hybrid families were studied due to the low frequency of the target univalent transfer in monosomic offspring. In two of the monosomic F1 families (Mo75 × Pima 3-79 and Mo95 × Pima 3-79), four monosomic hybrids were detected; in five monosomic F1 hybrid families (Mo58, Mo59, Mo89, Mo34, and Mo94), three monosomic hybrids were isolated; in eight monosomic F1 hybrid families (Mo16, Mo19, Mo93, Mo7, Mo31, Mo70, Mo56, and Mo17), two monosomic hybrids were detected; and in the remaining ten hybrid families (Mo11, Mo38, Mo60, Mo69, Mo13, Mo67, Mo92, Mo27, Mo48, and Mo42), one aneuploid F1 hybrid was obtained. These results suggested differences in the ease of monosomic detection in various hybrid backgrounds and/or differences in the maternal transmission rates for various monosomes. Deficiencies in one chromosome arm occurred in the progenies of two monotelodisomic F1 hybrids. In one of the aneuploid F1 hybrid families, two hybrid monotelodisomic plants were detected (Figure 5), but in another aneuploid F1 hybrid family, one hybrid monotelodisomic plant was detected (Table S4).
Metaphase I analysis in 49 monosomic F1 hybrids revealed that 47 monosomic plants exhibited modal chromosome pairing of 25 bivalents and one univalent. A monosomic F1 hybrid (28) from the Mo34 × Pima 3-79 family was characterized with the presence of additional univalents (1.09 ± 0.16 per cell). Another monosomic F1 hybrid (1065) from the Mo95 x Pima 3-79 family formed one quadrivalent in one PMC (0.07 ± 0.06 per cell) (Table S5).
Analysis of the univalent size in monosomic interspecific F1 hybrid revealed large-sized univalent in four families with monosomy for chromosome 2 (Figure 6a) as well as in five families with monosomy for chromosome 6 (Figure 6b,c) and in one family with monosomy for chromosome 12 (Mo94 × Pima 3-79) (Figure 6d). F1 hybrids from 10 families with monosomy for chromosome 4 (Mo7 × Pima 3-79, Mo31 × Pima 3-79, Mo38 × Pima 3-79, Mo58 × Pima 3-79, Mo59 × Pima 3-79, Mo60 × Pima 3-79, Mo69 × Pima 3-79, Mo70 × Pima 3-79, Mo75 × Pima 3-79, and Mo89 × Pima 3-79) had average-sized univalents (Figure 7a,b), which confirmed that the univalents belong to the Atsubgenome, and the “univalent shift” was absent. This phenomenon could lead to the production of substitution lines for target chromosomes.
The study of the size of univalents in three crosses with monosomy for chromosomes 17, 21, and 22 revealed a medium to small size of univalents (Figure 7c); the Mo48 × Pima 3-79 family, which had a monosomy for chromosome 18, showed small-sized univalents (Figure 7d), which confirmed that the monosomes belong to the Dtsubgenome.
At the telophase stage, the frequency of normal tetrad formation was analysed. The meiotic index, which was originally proposed by Love R.M. [35] for the evaluation of meiosis in wheat, reports the normal tetrad percentage and is an indicator of meiotic stability. All F1 hybrids with monosomy had a meiotic index (over 90.00%) higher than control plants, indicating that univalent chromosomes were included in micropores. However, six monosomic F1 hybrids (Mo7 × Pima 3-79, Mo31 × Pima 3-79, Mo38 × Pima 3-79, Mo60 × Pima 3-79, Mo92 × Pima 3-79, and Mo94 × Pima 3-79) demonstrated an increase in tetrads with micronuclei from 1.15 ± 0.15% (Mo60 × Pima 3-79) to 2.03 ± 0.58% (Mo31 × Pima 3-79) in comparison with control plants (L-458 × Pima 3-79—0.36 ± 0.18%), which demonstrated disturbances in univalent disjunction and the formation of imbalanced gametes in them (Table S6, Figure 8 and Figure 9).
Pollen viability was high in some monosomic F1 hybrids. However, most monosomic F1 plants exhibited reduced pollen viability. Nine monosomic F1 plants had great reductions in pollen viability (from 71.34 ± 1.28 to 79.89 ± 1.32%), but 30 monosomic F1 plants had small reductions in pollen viability (from 80.79 ± 1.26 to 89.98 ± 1.21%). Early haplodeficient microspore abortion occurred prior to the pollen stage (Table S7, Figure 10).

2.4. Molecular Marker Analysis of Unknown Monosomics

To map SSR loci to chromosomes, we screened monosomic F1 hybrid plants for the L-458 allele using labelled and/or unlabelled primers. For SSR loci located at sites other than the chromatin-deficient segment, the L-458 marker was present, and F1 hybrids exhibited a heterozygous phenotype. In comparison, if an SSR locus was located on the segment missing from the F1 hybrid plant, the electropherogram would not show the L-458 allele and exhibit a hemizygous pattern for the donor allele from G. barbadense Pima 3-79.
Our results showed that one monosomic F1 hybrid plant (Mo94 × Pima 3-79) deficient for a copy of an unknown chromosome showed the presence of only six G. barbadense-specific SSR marker bands (BNL1227, BNL1707, BNL3261, BNL3594, BNL3835, and BNL3886) and the corresponding absence of the respective L-458 allele. The results helped determine the chromosomal identities of monosome Mo94 based on known chromosomal locations of the respective SSR markers. Because the abovementioned SSR markers were previously assigned to chromosome 12 of the Atsubgenome [36], the SSR-based results for Mo94 indicate that it is monosomic for chromosome 12 (Table 1; Figure 11).
SSR-based deficiency analysis of monosomic F1 hybrid plants (Mo56 × Pima 3-79) deficient for an unknown chromosome showed the presence of only G. barbadense-specific SSR marker bands for BNL1606, BNL2471, BNL2496, BNL3371, BNL3955, TMB0874, and TMB2018, with deficiencies in the respective L-458 alleles. As all of these SSR markers were previously assigned to chromosome 17 of the Dtsubgenome [36,37], the results indicated that Mo56 is monosomic for chromosome 17 (Figure 12).
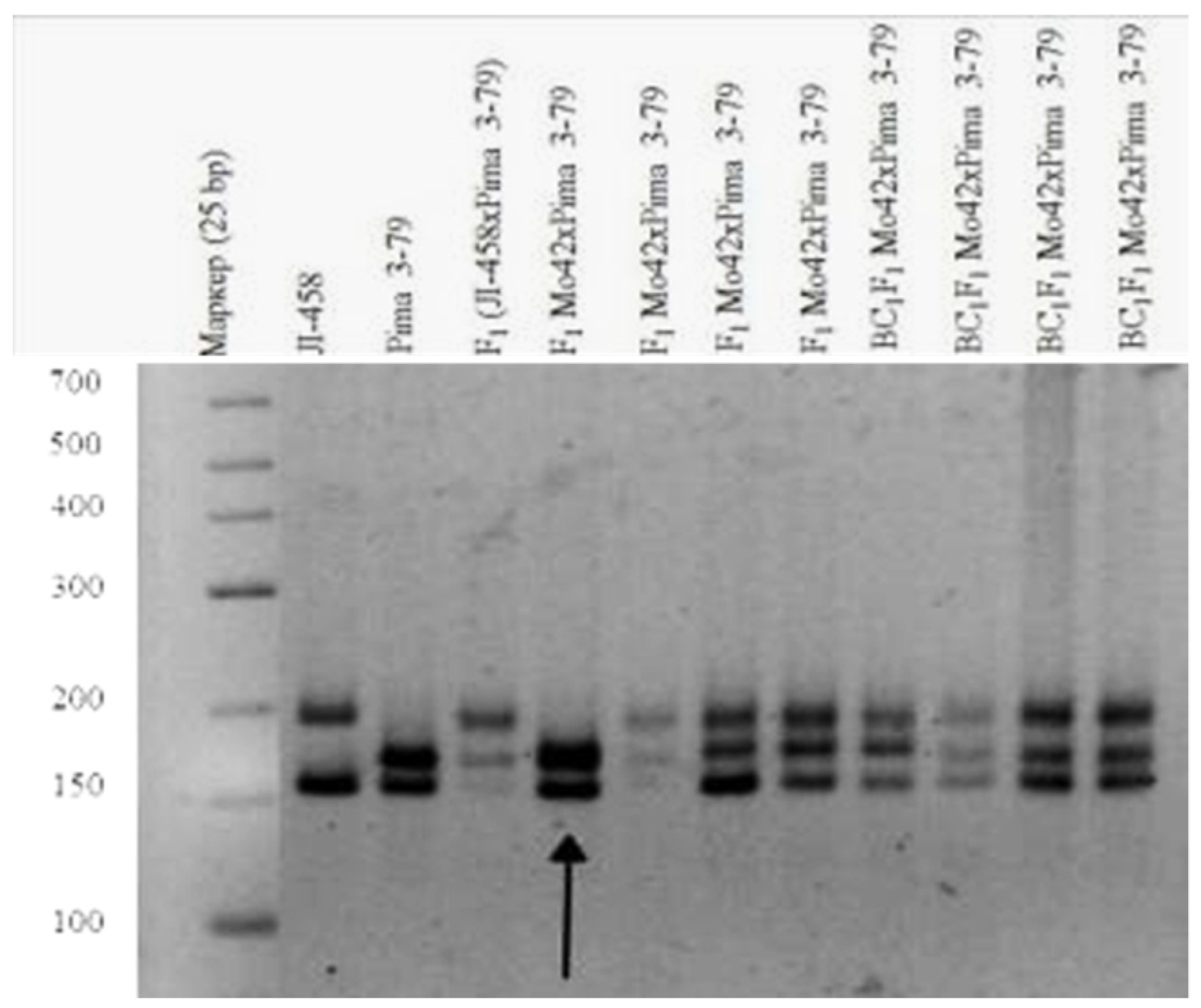
Our results also showed that a monosomic F1 hybrid (Mo42 × Pima 3-79) deficient for an unknown chromosome only had one G. barbadense-specific SSR marker BNL1705 and was deficient in the respective L-458 allele. Our results indicated that the univalent in Mo42 is chromosome 21 of the Dtsubgenome [36], as this SSR marker has been assigned to this chromosome (Table 1) (Figure 13).
Line Mo17 was found to be monosomic for chromosome 22 of the Dtsubgenome based on the polymorphic BNL673 marker used here. Another previously identified marker, JESPR235, was also located on chromosome 20 or 22 of the Dtsubgenome [34]. These results suggested that line Mo17 is monosomic for chromosome 22 of the Dtsubgenome [36] (Table 1).
Telo12 was found to be monotelodisomic based on the chromosome-specific SSR markers BNL2884 and TMB0154 that were polymorphic in the monosomic F1 hybrids (Telo12 × Pima 3-79), and these markers were located on chromosome 6 of the Atsubgenome [36,37] (Table 1).
Thus, we identified chromosomes for four monosomic lines and one monotelodisomic line by means of F1 aneuploid hybrids and chromosome-specific SSR markers that were previously assigned to specific cotton chromosomes based on deletion molecular analysis [38].

2.5. Cytological Identification and Numeration of Unknown Monosomes

In our collection, monosomes were identified and numerated by analysing meiotic metaphase I configurations of monosomic translocation heterozygous F1 hybrids, which were obtained by numerous sexual crosses between monosomic lines and tester-translocation lines from a cytogenetic collection from the USA.
Cytological analysis of seven hybrid variants involving seven tester translocation set lines (TT1L-7L, TT2R-8Rb, TT3L-6L, TT3R-5R, TT4R-15L, TT9R-25, and TT10R-11R) suggested that Mo94 was not monosomic for chromosome 1, 2, 3, 4, 5, 6, 7, 8, 9, 10, 11, 15, or 25 because the modal MI pairing configuration in the respective monosomic F1 hybrids included 23II + 1IV + 1I. In contrast, translocation line—TT11R-12L showed that Mo94 could be monosomic for chromosome 11 or 12 because in the monosomic F1 hybrid of Mo94 × TT11R-12L, the modal MI pairing configuration was 24II + 1III. Molecular-marker data indicated that Mo94 must be monosomic for chromosome 12 of the Atsubgenome.
Tests involving two translocation lines (TT7R-21R and TT20R-21L) showed that Mo42 could be monosomic for chromosome 7, 20, or 21, because in the two monosomic hybrids of—Mo42 x TT7R-21R and Mo42 x TT20R-21L, the modal MI pairing configurations were 24II + 1III (Figure 14). Since the monosomic line Mo42 shared a common chromosome 21 with the two translocation lines, the marker BNL1705 that was located on chromosome 21 of theDtsubgenome could distinguish Mo42 from chromosome 21 of the Dtsubgenome.
Cytological tests of the four hybrid combinations of the four tester translocation lines (TT1L-7L, TT9R-25, TT11R-12L, and TT15R) suggested that Mo17 is not monosomic for chromosome 1, 7, 9, 11, 12, 15, 20, or 25 because the modal MI pairing configuration in the respective monosomic F1 hybrids included 23II +1IV +1I. In contrast, the test with translocation line TT20L-22R showed that Mo17 could be monosomic for chromosome 20 or 22, because in the monosomic F1 hybrid of Mo17 × TT20L-22R, the modal MI pairing configuration was 24II + 1III. Molecular-marker (BNL673) data indicated that Mo17 must be monosomic for chromosome 22 of the Dtsubgenome.
Unfortunately, it is not currently possible to obtain cytogenetic confirmation of the homology of the univalent chromosome in the monosomic line Mo56 due to the small number of buds and the difficulty of detecting meiosis in the hybrid monosomic plant.

2.6. Some Features of the Newly Identified Monosomic Lines of G. hirsutum L.

Different cotton chromosomal deficiencies had a specific influence on plant morphology and other characteristics, such as bushes, flowers, and bolls. The initial primary monosomic plant of Mo94 with a deficiency in chromosome 12 was obtained in the third generation by pollination with irradiated pollen at a dose of 20 Gy. The monosomic line Mo94 is characterized by a large univalent size, a high meiotic index (95.73 ± 0.42), a small number of tetrads with micronuclei (0.52 ± 0.05), and reduced pollen fertility (76.82 ± 1.72%), as well as a low frequency of transmission to the progeny (18.18%) and a reduced frequency of transmission of n-1 gametes. This Mo94 line was determined to have typical phenotypic characteristics (Table 2; Figure 15) and a low seed setting (26.67 ± 3.44) compared to the original L-458 inbred line (89.81 ± 1.55). This decrease in seed setting occurred due to the presence of a large number of unfertilized ovules in the form motes in the monosomic bolls, which, when combined with a decrease in the number of seeds per boll (8.80 ± 4.27), led to a decrease in the size of the bolls.
The initial plant of the Mo56 monosomic cotton line with a deficiency in chromosome 17 was obtained by irradiation of the seeds of the L-458 line with thermal neutrons at a dose of 35 Gy. This line was characterized by a medium-small-sized univalent, a high meiotic index (97.48 ± 0.43), a small number of tetrads with micronuclei (1.22 ± 0.30%), and reduced pollen fertility (87.71 ± 0.99%), as well as a very low frequency of transmission to the progeny (7.69%), which significantly reduced the frequency of transmission of haplo-deficient gametes. Monosomic line Mo56 was distinguished by a reduced seed setting (56.55 ± 3.36) compared to the original inbred line L-458 (89.81 ± 1.55%) (Table 2, Figure 16). This decrease in seed setting occurred due to the presence of a large number of unfertilized ovules in the form of motes in the monosomic bolls, which, when combined with a decrease in the number of seeds per boll (12.00 ± 0.52), led to a decrease in the size of the bolls. Monosomic lines with a deficiency in chromosome 17 are characterized by complex morphobiological characteristics.
The initial plant of the Mo42 monosomic cotton line with a deficiency in chromosome 21 was obtained in the first generation by pollination with irradiated pollen from the L-458 line at a dose of 20 Gy. This line was characterized by a medium-small-sized univalent, a high meiotic index (95.87 ± 0.47), a small number of tetrads with micronuclei (0.45 ± 0.16%), and reduced pollen fertility (87.71 ± 1.53%), as well as a low frequency of transmission to the progeny (16.00%), which significantly reduced the frequency of transmission of haplo-deficient gametes. Monosomic line Mo42 was distinguished by a reduced seed setting (24.62 ± 3.72) compared to the original inbred line L-458 (89.81 ± 1.55%). This decrease in seed setting occurred due to the presence of a large number of unfertilized ovules in the form of motes in the monosomic bolls, which, combined with a decrease in the number of seeds per boll (6.60 ± 4.32), led to a decrease in the size of the bolls (Table 2; Figure 17).
The initial plant of the Mo17 monosomic cotton line with a deficiency in chromosome 22 was induced in the first generation by pollination with irradiated pollen from the L-458 line at a dose of 25 Gy. This line was characterized by a medium-small-sized univalent, a high meiotic index (96.68 ± 0.43), a small number of tetrads with micronuclei (1.90 ± 0.22%), and high pollen fertility (95.16 ± 0.49%), as well as a low frequency of transmission to the progeny (19.35%), which significantly reduced the frequency of transmission of haplo-deficient gametes. Monosomic line Mo17 was distinguished by a reduced seed setting (58.64 ± 3.32) compared to the original inbred line L-458 (89.81 ± 1.55%). This decrease in seed setting occurred due to the presence of a large number of unfertilized ovules in the form of motes in the monosomic bolls, which, combinedwith the decreased number of seeds per boll (12.90 ± 0.77), led to a decrease in the size of the bolls (Table 2; Figure 18).
The initial plant of the monotelodisome line, Telo12, which is deficiency an arm of chromosome 6, was obtained in the second generation by pollination with irradiated pollen from the L-458 line at a dose of 20 Gy. This line was characterized by a high meiotic index (91.08 ± 1.38) and an increase in the percentage of tetrads with micronuclei (3.08 ± 0.89%), which disturbed monotelosome disjunction and resulted in imbalanced gametes. Telo12 had high pollen fertility (91.12 ± 1.80%) and a low frequency of transmission to the progeny (19.35%), which significantly reduced the frequency of transmission of haplo-deficient gametes. The monotelodisome line Telo12 was distinguished by a high seed setting rate (87.41 ± 2.69) compared to the original inbred line L-458 (89.81 ± 1.55%) and a decrease in the number of seeds per boll (26.00 ± 3.55) (Table 2; Figure 19).

2.7. Peculiarities of the Crossing, Setting, and Germination of BC1F1 Hybrid Seeds

The aneuploid lines of our collection were crossed with interspecific aneuploid F1 hybrids (Mo × Pima 3-79 or Telo× Pima 3-79). Most of the backcross hybrids were obtained from crosses of the original aneuploid lines with deficiencies in chromosomes 2, 4, 6, 7, 12, 17, 18, 21, 22, telo 6, and telo 11 with F1 hybrids (Mo × Pima 3-79) characterized as having a strong decrease in the crossing rate (up to 12.50%). Only three monosomic lines (Mo56, Mo42, and Mo17) with deficiencies in chromosomes 17, 21, and 22, respectively, showed a strong increase in the crossing rate (up to 75, 75, and 50%, respectively) compared to the original F1 hybrids (Mo × Pima 3-79) (Figure 20). Five monosomic lines (Mo31, Mo60, Mo75, Mo27, and Mo21) showed a small decrease in the crossing rate (up to 50, 64.29, 60, 76.92, and 80%) compared to the F1 hybrids (Table S8). Unfortunately, in the monosomic F1 hybrid (Mo13 × Pima 3-79) with a deficiency in chromosome 6, for many crosses (25 crosses), not a single boll was set with the monosomic line; therefore, it is not possible to study these BC1F1 hybrids at present.
The setting of BC1F1 hybrid seeds obtained from crosses of aneuploid lines with the F1 hybrids (Mo × Pima 3-79 or Telo × Pima 3-79) was decreased in most lines. The exceptions included four monosomic lines (Mo16, Mo31, Mo67, and Mo27) with deficiencies in chromosomes 2, 4, 6, and 7, which, when backcrossed to the F1 hybrids, showed a small increase in the setting of hybrid seeds (Table S9, Figure 21).
The germination capacity of the backcrossed hybrid seeds obtained from crosses of the original aneuploid lines with F1 hybrids (Mo × Pima 3-79 or Telo × Pima 3-79) showed a strong decrease (up to 37.50%) in only one variant F1BC1 (Mo92 × F16889) with the substitution of chromosome 6. In the remaining 13 variants, there was a slight decrease in the germination capacity of backcrossed seeds, and in seven variants, there was an increase in the germination capacity compared to the F1 hybrids. In general, the backcrossed F1BC1 seeds were characterized as having a high germination capacity (Table S10, Figure 22).

2.8. Cytogenetic Characteristics of Aneuploid BC1F1 Hybrid Plants with Identified Monosomes

Among the resulting progeny, aneuploid BC1F1 hybrid plants were determined for 16 BC1F1 hybrid families based on hybrid phenotypes and meiotic metaphase I configuration analyses. Three monosomic plants were isolated from one aneuploid backcross BC1F1 family (Mo48); two hybrid monosomic plants were detected in each of six aneuploid backcross families (Mo60, Mo75, Mo34, Mo27, Mo94, and Mo17); and one hybrid monosomic plant was isolated from each of the remaining seven backcross families (Mo16, Mo38, Mo58, Mo59, Mo92, Mo56, and Mo42). Unfortunately, no monosomic plants were isolated from five aneuploid backcross families (Mo93, Mo7, Mo31, Mo67, and Mo95). These results suggested that there were differences in the transmission rate of monosomes in the various hybrid backgrounds and/or differences in the maternal transmission rates in different hybrid families. Deficiencies in one chromosome arm occurred in the progenies of two monotelodisomic BC1F1 hybrid plants. In one of the aneuploid BC1F1 families, three hybrid monotelodisomic plants were detected, but in another aneuploid backcross family, one hybrid monotelodisomic plant was isolated (Table S11).
Meiotic metaphase I analysis of 14 monosomic BC1F1 plants revealed that 22 monosomes exhibited modal chromosome pairing with 25 bivalents and one univalent. One monosomic plant (1103) from BC1F1 (Mo17 × F16857) formed a quadrivalent (0.38 ± 0.17 per cell) (Table S12).
Analysis of the size of the monosomes in monosomic backcross BC1F1 plants revealed large-sized univalents in one family with the substitution of chromosome 2 (BC1F1 (Mo16 × F1986)) and in two families with the substitution of chromosome 6 (BC1F1 (Mo34 × F16889) and BC1F1 (Mo92 × F15395)) (Figure 23a), as well as in one family with the substitution of chromosome 12 (BC1F1 (Mo94 × F181)) (Figure 23b). Monosomic BC1F1 hybrids of five families with the substitution of chromosome 4 (BC1F1 (Mo38 × F169011), BC1F1 (Mo58 × F15303), BC1F1 (Mo59 × F15318), BC1F1 (Mo60 × F16945), and BC1F1 (Mo75 × F11042)) (Figure 23c–e), as well as with the substitution of chromosome 7 (BC1F1 (Mo27 × F16874)) (Figure 24a), had medium-sized univalent that confirmed that the monosomes were from the Atsubgenome and the absence of “univalents shift.”
The study of the size of univalents in backcross plants of three variants (BC1F1(Mo56 × F1417), BC1F1(Mo42 × F15281), and BC1F1(Mo17 × F16857)) with the substitution of chromosomes 17, 21, and 22, respectively, revealed medium-small-sized univalents (Figure 24c), and in backcross plants of one variant (BC1F1 (Mo48 × F152916)) with substitution of chromosome 18, the univalent had a small size (Figure 24b), which confirmed that the monosomes were from the Dtsubgenome.
All monosomic BC1F1 plants showed a higher meiotic index (more than 90%) than the control plants, which indicated that their univalent chromosomes underwent regular disjunction. However, five monosomic BC1F1 plants demonstrated an increase in the percentage of tetrads with micronuclei from 1.17 ± 0.26% (F1BC1 (Mo60 × F16945) to 2.60 ± 0.81% (F1BC1 (Mo38 × F169011)) in comparison with the control plants (L-458 × Pima 3-79—0.04 ± 0.04%), which demonstrated disturbances in monosome disjunction and the formation of imbalanced gametes in these BC1F1 hybrids. Moreover, two monotelodisomic BC1F1 plants from one family (F1BC1 (Mo21 × F11001)) showed an increase in the percentage of tetrads with micronuclei from 2.46 ± 0.33% (2921) to 2.55 ± 0.67% (2911) in comparison with control plants (L-458 × Pima 3-79—0.04 ± 0.04%), which suggested disturbances in monotelodisome disjunction and the formation of imbalanced gametes in these BC1F1 hybrids (Table S13, Figure 25).
Pollen viability after 2% acetocarmine staining was detected in aneuploid BC1F1 families. Most monosomic hybrid BC1F1 plants exhibited reduced pollen viability. Specifically, three monosomic hybrid BC1F1 plants had greater reductions in pollen viability (from 67.27 ± 1.45 to 78.60 ± 1.53%), but nine monosomic hybrid F1BC1 plants showed small reductions in pollen viability (from 80.30 ± 1.71 to 89.79 ± 0.94%) (Table S14, Figure 26).

2.9. Identification of Univalent Chromosomes in Aneuploid F1BC1 Hybrids Obtained from Crosses between Aneuploid G. hirsutum L. Lines and Interspecific Aneuploid F1 Hybrids (Mo × Pima 3-79) Using Molecular Genetic Markers

Univalent chromosomes in aneuploid BC1F1 hybrids obtained from crosses of monosomic and monotelodisomic lines of G. hirsutum L. with interspecific aneuploid F1 hybrids (Mo × Pima 3-79) were identified using molecular genetic markers that were previously assigned to chromosomes.
To facilitate the detection of monosomic cytotypes and accelerate the production of backcross bolls in four BC1F1 hybrid families, molecular genetic analysis of hybrid plants at the plantlet stage was carried out before transplanting seedlings into greenhouse soil and carrying out cytogenetic analysis to identify monosomic forms (Table 3).
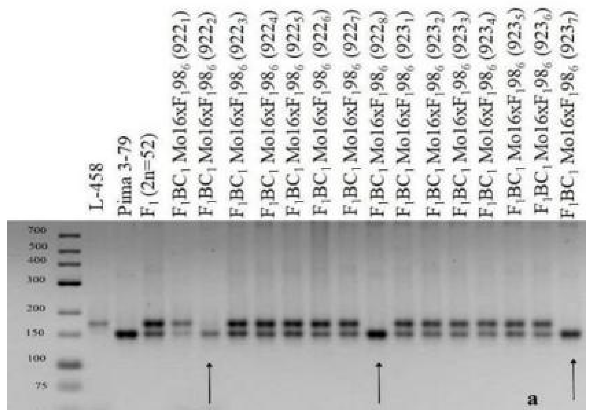
The results of this study showed that three backcross plantlets (9222, 9228, and 9237) were found in two hybrid backcross families (922 and 923) with the substitution of chromosome 2 (BC1F1(Mo16 × F1986)); these plantlets were characterized by the presence of polymorphic alleles only from G. barbadense, while alleles of the G. hirsutum line L-458 were absent based on the localization of three chromosome-specific SSR markers: BNL834, TMB0471, and JESPR179 (Table 3). Since the previously identified markers were located on chromosome 2 of the Atsubgenome [36,39], it can be assumed that the above hybrid plants have substitutions of this chromosome (Table 3; Figure 27). Additional cytogenetic analysis revealed a monosomic state in another backcross hybrid (9238), which has not been studied using molecular genetics due to poor development and few leaves present at the plantlet stage.
Four backcross plantlets were found (9241, 9254, 9257, and 92511) in two hybrid backcross families (924 and 925) with the substitution of chromosome 4 (BC1F1 (Mo31 × F17701) and BC1F1 (Mo38 × F169011)); these lines were characterized by the presence of polymorphic alleles only from G. barbadense, while alleles of the G. hirsutum line L-458 were absent based on the location of four chromosome-specific SSR markers: BNL2572, TMB0809, Gh117, and Gh107. Since the previously identified markers were located on chromosome 4 of the Atsubgenome, we can assume that the above hybrid plantlets have substitutions of this chromosome (Table 3). Further cytogenetic analysis confirmed the monosomic state of only two backcross hybrids (9254 and 9257). In this regard, it is of great interest to use previously identified chromosome-specific SSR markers from cotton to test backcrossed plantlets for the early detection of monosomic cytotypes and their early involvement in subsequent backcrossing.
Confirmation of the substitution of other chromosomes was carried out in eight cytogenetically studied monosomic BC1F1 hybrids by common methods. The analysis of one monosomic hybrid (1175) from the variant BC1F1 (Mo60 × F16945) with the substitution of chromosome 4 using molecular genetic markers showed the presence of polymorphic alleles only from G. barbadense, while the alleles of the G. hirsutum line L-458 were absent based on the chromosome-specific SSR markers Gh107, TMB0809, Gh117, CIR249, and JESPR234. Since the previously identified markers were located on chromosome 4 of the Atsubgenome, it can be assumed that the substitution of this chromosome was confirmed in the studied monosomic hybrid (Table 4 and Table 5).
Additional molecular genetic analysis of the other two monosomic hybrids (2982 and 2983) in the BC1F1 family (Mo75 × F11042) with the substitution of chromosome 4 revealed the presence of polymorphic alleles only from G. barbadense, while the alleles from the G. hirsutum line L-458 were absent based on the chromosome-specific SSR markers BNL2572, Gh107, TMB0809, Gh117, CIR249, and JESPR234. Since the previously listed markers were located on chromosome 4 of the Atsubgenome [36,38], it can be assumed that the substitution of this chromosome 4 is confirmed in the above hybrid plants (Table 4 and Table 5).
A monosomic hybrid (2933) from the BC1F1 family (Mo34 × F16889) was studied using molecular genetic markers; the results showed only polymorphic alleles from G. barbadense, while alleles from the G. hirsutum line L-458 were not found based on the chromosome-specific SSR markers BNL1440, BNL3650, BNL2884, BNL1064, BNL3359, TMB1277, TMB0154, TMB0853, TMB1538, Gh039, and Gh082. Since the previously identified markers were located on chromosome 6 of the Atsubgenome, it can be assumed that the substitution of this chromosome is confirmed in the above hybrid plants (Table 4 and Table 5, Figure 28).
The molecular genetic analyses of another monosomic hybrid (10402) in the BC1F1 family (Mo92 × F15395) with the substitution of chromosome 6 showed the presence of polymorphic alleles only from G. barbadense, while the alleles from the G. hirsutum line L-458 were absent based on the chromosome-specific SSR markers BNL1440, BNL3650, BNL2884, BNL3359, TMB1277, TMB0154, TMB0853, TMB1538, Gh039, and Gh082. Since the previously identified markers were located on chromosome 6 of the Atsubgenome, it can be assumed that the substitution of this chromosome wasconfirmed in the studied monosomic hybrid (Table 4 and Table 5; Figure 28).
The molecular genetic analysis of two monosomic hybrids (2991 and 2992) from the BC1F1 family (Mo94 × F181) revealed only polymorphic alleles from G. barbadense, while alleles from the G. hirsutum line L-458 were not detected based on the chromosome-specific SSR markers BNL1227 and BNL3835 in hybrid 2991 and BNL3594 in hybrid 2992. Since the previously identified markers were located on chromosome 12 of the Atsubgenome [36], it can be assumed that the substitution of this chromosome was confirmed in the studied monosomic hybrids (Table 4 and Table 5).
The molecular genetic analysis of the monosomic hybrid (1103) from the BC1F1 family (Mo17 × F16857) also showed the presence of only polymorphic alleles from G. barbadense, while the alleles from line L-458 were not detected based on the chromosome-specific SSR marker BNL673. Since this marker was previously localized to chromosome 22 of the Dtsubgenome [36], it can be assumed that the substitution of this chromosome was confirmed in the studied monosomic hybrid (Table 4 and Table 5).

2.10. Analysis of the Unique Morphological Characteristics of F1 and BC1F1 Aneuploid Hybrids in Comparison with the Original Aneuploid Lines

Analysis of the unique morphological characteristics of aneuploid lines and F1 and BC1F1 hybrids obtained from crosses of aneuploid lines acting as recurrent parents with Pima 3-79 and with interspecific aneuploid F1(Mo × Pima 3-79) hybrids was carried out, and the results were compared with those for the original monosomic lines.
Monosomic lines with a deficiency in chromosome 2 were distinguished by small narrow leaves, shortened sympodial branches, and small round bolls, while F1 hybrids showed an increase in leaves, flowers, and bolls. However, the monosomic BC1F1 hybrid showed a decrease in the plant growth and development rates, as well as a decrease in the size of the leaves, flowers, and bolls and the number of the bolls (Figure 29).
Monosomic lines with a deficiency in chromosome 4 were characterized by dense and vibrant plants, long leaf lobes, elongated bracts and pedicels, and ribbed bolls; all these features were preserved in monosomic F1 hybrids but with larger-sized peduncles and bolls, as well as an increase in the pubescence of the main stem. In monosomic BC1F1 hybrids with the substitution of chromosome 4, dense foliage, densely pubescent stems with short hairs and medium-pubescent leaves, as well as medium-sized leaves and long pedicels (Figure 30), were found with the exception of the monosomic BC1F1 hybrid (Mo60 × F16945), in which the peduncle length was short.
Monosomic lines with a deficiency in chromosome 6 were characterized by shortened sympodia, stiff stems, small leaves, small round bolls, and late flowering, while monosomic F1 hybrids had larger dark green leaves, longer sympodia, and larger bolls. In monosomic BC1F1 hybrid plants, a decrease in the size of leaves, flowers, and bolls, as well as shortening of the internodes, was observed (Figure 31).
Another monosomic line, Mo27, with a deficiency in chromosome 7 had characteristic features such as short sympodia, thick bracts and leaves, and small bolls. Monosomic F1 hybrids were characterized as having large leaves, flowers, and bolls, while monosomic BC1F1 hybrids were distinguished by their pale green leaves and short sympodia (Figure 32).
Monosomic line Mo94 with a deficiency in chromosome 12 showed a spreading form and a slightly leafy bush, shortened internodes, large leaves with slightly curved edges, and small bolls. Monosomic F1 hybrids were characterized as having the same traits, along with weak foliage, large bolls, and a decrease in the number of bolls, while monosomic BC1F1 hybrid plants were more densely leafed, had elongated sympodial branches, and had large flowers and bolls (Figure 33).
The monosomic line Mo56 with a deficiency in chromosome 17 had characteristic features such as a compact bush, dense foliage, small leaves, short stalks, small bolls, abundant budding, and a weak boll set. These traits were retained in monosomic F1 hybrids, along with larger bolls and a decrease in the number of bolls. In addition, the monosomic BC1F1 hybrid had dense foliage and an increase in the number of bolls (Figure 34).
The monosomic line Mo48 with a deficiency in chromosome 18 had small leaves, a long column and stigma, and short sympodia. These traits were retained in monosomic F1 hybrids; in addition, medium-sized leaves and bolls were formed. Monosomic BC1F1 hybrids showed weak foliage, three-lobed leaves, and pubescent petioles and bracts (Figure 35).
Monosomic line Mo42 with a deficiency in chromosome 21 had characteristic features such as a compact bush, weak foliage, small three-lobed leaves, shortened sympodial branches, and small ovoid bolls. These traits were preserved in the F1 monosomic hybrid; in addition, large leaves and bolls were observed. In monosomic BC1F1 hybrids, the leaf shape was three-lobed, and the leaves and bolls were smaller than those of the monosomic F1 hybrids (Figure 36).
Another monosomic line, Mo17, with a deficiency in chromosome 22 was characterized as having vibrant plants, elongated leaf lobes with a slight curving of the edges upward, long bracts and pedicels, elongated ribbed bolls, and weak budding. These traits were retained in the F1 monosomic hybrids, along with weak foliage. Monosomic BC1F1 hybrids differed in their dark green leaves and ovoid bolls of a medium size (Figure 37).
The monotelodisome line Telo12 with a deficiency in an arm of chromosome 6 had characteristic features such as a compact bush, dense foliage, small leaves, and small, spherical bolls with elongated noses. These traits were preserved in the F1 monotelodisome hybrids along with large leaves and long cuttings in leaves, while in BC1F1 hybrids, the bolls were larger and more ovoid (Figure 38).
Another monotelodisome line, Mo21, with a deficiency in an arm of chromosome 11 was characterized by a spreading bush, dense foliage, dark green leaves of a medium size that were whole-edged and three-lobed, small bolls, and a very low seed setting. The monotelodisome F1 hybrids had dark green, two- to three-lobed leaves, and spherical leaves with shallow-nosed bolls, while the BC1F1 monotelodisome hybrids presented leaves of a large size with long petioles and egg-shaped bolls (Figure 39).
Since there are no detailed morphobiological descriptions of F1 and BC1F1 hybrids with substitutions on chromosomes 2, 4, 6, 7, and 12 and the arms of chromosomes 6 and 11 of the Atsubgenome and chromosomes 17, 18, 21, and 22 of the Dtsubgenome in G. barbadense, direct comparison of our data with that from the literature is not possible.
Thus, some aneuploid BC1F1 hybrids obtained from crosses of monosomic and monotelodisome lines with interspecific aneuploid F1 hybrids with substitutions of chromosomes 2, 4, 6, 7, and 12 and the arms of chromosomes 6 and 11 of the Atsubgenome and chromosomes 17, 18, 21, and 22 of the Dtsubgenome in G. barbadense showed some distinctive features. Such features included dense foliage, densely pubescent stems with short hairs, and medium-pubescent leaves in the monosomic BC1F1 hybrids (Mo58 × F15303 and Mo75 × F11042) (1151 and 2982, respectively), as well as medium-sized leaves and long pedicels (from 3 to 5 cm), with the exception of the monosomic BC1F1 hybrid (Mo60 × F16945), in which the peduncle length was short due the substitution of chromosome 4. Monosomic BC1F1 hybrids with the substitution of chromosome 6 were distinguished by a compact bush, very dense foliage, shortened sympodial branches, thicker and darker green leaves, short peduncles, and spherical bolls, while monotelodisome hybrids with the substitution of an arm of chromosome 6 showed larger leaves with an increase in the number of leaves with long petioles (up to 15 cm), as well as egg-shaped bolls. Monosomic BC1F1 hybrids with the substitution of chromosome 7 were distinguished by pale green-coloured leaves, a three-lobed and finger-lobed leaf shape, and a smaller number of teeth on the bracts (up to eight), while monosomic BC1F1 hybrids with the substitution of chromosome 18 were distinguished by a three-lobed leaf shape, shortening of the length of the petiole and dense pubescence, shortened stigma protrusion, and spherical bolls. Monotelodisome BC1F1 hybrids with the substitution of an arm of chromosome arm 11 were distinguished by thick, two- to three-lobed medium-sized leaves, a decrease in the number of teeth on the bracts, and spherical-shaped bolls. All aneuploid BC1F1 hybrids with substitutions of specific chromosomes or their arms were found to lack an anthocyanin spot on the petals. Therefore, it can be assumed that the persistence of changes in some traits in aneuploid BC1F1 hybrids in future backcross generations will indicate the connection of these changes with substituted chromosomes or specific chromosome arms.

3. Discussion

The creation of introgression lines can contribute to the expansion of genetic diversity, the decrease in genetic vulnerability, the increase in resistance to various pathogens, and the improvement in breeding indicators. In addition, obtaining stable lines containing the substitution of specific chromosomes allows the introgression of genetic material associated with valuable traits [41]. The method used to develop chromosome-substitution lines in cotton has been discussed in numerous studies [22]. The strategy is based on differences in the transmission rate between mega- and microgametophytes, that is, between the egg (seed or female parent) and the pollen (male parent) in cotton [42]. The transmission of hypoaneuploidy in cotton through eggs is successful (up to 50%) for most chromosomes or chromosome arms, while transmission through pollen is rare or non-existent across all chromosomes and most large segmental deletions (for example, telosomes) [43].
Later, S. Saha et al. [23] described a method for obtaining chromosome-substitution lines in cotton that involved crossing the G. barbadense line Pima 3-79, as the male parent, and a monosomic or monotelodisome line of G. hirsutum as the female parent. Furthermore, interspecific F1 progeny were screened phenotypically, cytogenetically, and in some cases using molecular marker analysis to identify plants deficient in a chromosome or chromosome arm. The identified interspecific aneuploid (BC0F1) plant was subsequently used as the male parent when backcrossed with a recurrent aneuploid plant. This procedure was repeated until the fifth backcross. Then, one euploid BC5F1 plant was self-pollinated to identify each substituted BC5F1S1 line in which the (CS-B) chromosomes (or segments of the chromosome arms) of G. hirsutum were substituted with the corresponding pair from G. barbadense.
In this study, a scheme for the creation of chromosome-substituted cotton lines was developed, according to which all stages of hybridization and backcrossing were accompanied by double screening of specific chromosome substitutions using cytogenetic and molecular markers (SSRs) at early stages of development (plantlets). Here, the absence of amplification of an SSR locus that is associated with a specific chromosome in G. hirsutum, but the presence of markers from G. barbadense, was considered as a substitution of the homeologous chromosome of the first species with that of the second species. This scheme makes it possible to significantly accelerate the process of creating lines with substitutions of specific chromosomes and to control a possible “univalent shift.” The retarded development of monosomic plants and late budding and flowering in comparison with disomic siblings can delay backcrossing. After the early detection of monosomic cytotypes using the above markers at the plantlet stage, it becomes possible to quickly backcross hypoaneuploid hybrids at an earlier stage of development, even before their monosomic status is confirmed by cytogenetic analysis.
It is known that some previously obtained chromosome substitution lines from the USA collection did not receive further molecular-genetic confirmation (CS-B05sh, CS-B06, CS-B07, and CS-B15sh), and one of the DNA reserves that was previously considered to have arisen from a G. barbadense plant hemizygous for Chr-17 was actually hemizygous for Chr-11 [36,40,44]. It can be assumed that a “univalent shift” occurred during backcrossing, which led to the production of such lines.
In our work, a strong decrease in cross-breeding and the setting of hybrid seeds was revealed during the hybridization of aneuploid lines of G. hirsutum L. with Pima 3-79 of G. barbadense L., since many monosomic lines in our collection were initially characterized by a reduced seed set, as well as a small number of seeds per boll. It is known that a reduction in the size, number, or curvature of the boll due to a limitation in seed productivity and the presence of a large number of motes served as a marker for cytological aberrations in cotton [45].
The study of the germination of hybrid seeds obtained from crosses between aneuploid lines of cotton and the donor G. barbadense L. line Pima 3-79 revealed a significant decrease in germination capacity in only one variant (Mo19) with a deficiency in chromosome 2 and four lines (Mo31, Mo66, Mo69, and Mo89) with a deficiency in chromosome 4. In the remaining variants, there was a slight decrease compared with the control. The germination of interspecific hybrid seeds is one of the most important indicators when working with aneuploid plants, since such plants have reduced growth and development rates, and the seeds of hypoaneuploid plants germinate much later than those of disomic sibs. Thus, nonsimultaneous germination of seeds from disomic cytotypes and cytotypes with haplo-deficiency was observed.
A comparative analysis of chromosome pairing in monosomes of F1 hybrids obtained from crosses of 24 monosomic and two monotelodisome lines with the donor line Pima 3-79 revealed normal pairing of chromosomes with the formation of 25 bivalents and one univalent of different sizes in all studied PMCs. This result indicated the absence of the formation of additional univalents and served as a guarantee of the absence of a “univalent shift” in the tested monosomic plants resulting from a series of backcrosses. It is known that univalent chromosomes in three cotton monosomes (Mono12, Mono22, and Mono25) underwent misdivision much more often than other chromosomes [42,45,46], which indicated their instability.
Our detection of a high meiotic index and the presence of a small number of tetrads with micronuclei in the analysis of the microspore stage in monosomic F1 hybrids indirectly indicated the regularity of meiotic division and confirmed the normal pairing of chromosomes in monosomic plants. The detection of some decrease in pollen fertility in monosomic hybrid F1 plants confirmed the existence of specific differences between them. In general, the regular pairing of chromosomes in interspecific aneuploid F1 hybrids, a high meiotic index, and a partial decrease in pollen fertility indicate latent structural variability that is not recorded at the metaphase I stage of meiosis.
The creation of a database of molecular markers (SSRs) and the assignment of such markers to chromosomes [36,37,38,39,47,48,49] made it possible to successfully use these tools in experiments to identify specific chromosomes of cotton. The results reported here clearly demonstrated that the use of molecular deletion analysis [38] to localize previously assigned chromosome-specific SSR markers made it possible to identify unknown univalent chromosomes in four new monosomic lines in our collection (Mo94, Mo56, Mo42, and Mo17). These lines have a deficiency in chromosome 12 from the Atsubgenome and chromosomes 17, 21, and 22 from the Dtsubgenome, respectively; the monotelodisome line Telo12 has a deficiency in an arm of chromosome 6 from the Atsubgenome.
Due to the small size, large number, and lack of differential banding, cotton chromosomes, similar to the chromosomes of maize [50], barley [51], peas [52], rye [53], and tomato [54], are identified using translocation test lines created by Brown M.S. [55]. The identification of cotton monosomes by the size of the univalents allows only conditionally attributing them to subgenomes, since it is known that the chromosomes of the Ahsubgenome are almost twice as long as those of the Dhsubgenome, but some of the smallest chromosomes of the Ahsubgenome are not much larger than the largest chromosomes of the Dhsubgenome; however, medium-sized chromosomes generally belong to the Ahsubgenome [56].
The principle by which the identification of chromosomes using translocations was carried out has previously been described [57]. In cotton, the detection of quadrivalent and univalent meiosis in the PMC in metaphase I in hybrid translocation monosomic plants indicates the nonhomology of chromosomes involved in translocation and in univalent chromosomes [45]. When trivalents are found in PMCs of hybrid translocation monosomic plants, this result indicates the homology of the univalent and one of the chromosomes in the translocation. To determine which chromosome in the translocation is homologous to the univalent chromosome, crosses of this monosomic plant with other translocation lines were carried out, in which one of the chromosomes in translocations was the same as that of the original line. An analysis of chromosome associations in monosomic hybrids makes it possible to identify a univalent chromosome as a specific chromosome of a set [42].
The results of the cytological tests of hybrids obtained from crosses of three monosomic lines with translocation test lines (F1Mo94 × TT11R-12L, F1Mo42 × TT7R-21R and F1Mo42 × TT20R-21L, and F1Mo17 × TT20L-22R) helped identify the trivalent chromosome associations of previously unknown chromosomes, such as chromosome 12 of the Atsubgenome and chromosomes 21 and 22 of the Dtsubgenome of cotton. In general, the use of chromosome-specific markers and translocation test lines greatly facilitated the identification of unknown monosomes in monosomic lines in our collection.
These monosomic cotton lines are characterized by complex phenotypic traits due to the deficiency in specific chromosomes. Since the monosomic lines in our collection were created in a single genotypic background, that of the L-458 line, obtained on the basis of the 108-F cultivar, and the monosomic lines of the collection from the USA have a different genetic background based on the Deltapine 14 variety, with subsequent backcrossing with the Texas Marker 1 line; the differences between the monosomic lines of different collections are acceptable. Backcrossing of monosomic cotton lines with the initial F1 hybrids (Mo × Pima 3-79) led to a strong decrease in the crossing rate in many variants, with the exception of three variants involving the monosomic lines Mo56, Mo42, and Mo17 with deficiencies in chromosomes 17, 21, and 22. Studying the setting of F1BC1 hybrid seeds also revealed a general decrease in the setting rate in 17 variants of crosses compared to the F1 hybrids (Mo × Pima 3-79), with the exception of variants involving four lines (Mo16, Mo31, Mo67, and Mo27). In general, the seed setting in F1 crosses was significantly higher than that in backcrosses. It was previously noted that the difference in the number of motes in disomic and monosomic plants is sufficient to reveal the difference between monosomic individuals and normal sibs [45].
The obtained results showed that it is important to consider the crossing and setting of hybrid seeds in the process of creating substitution lines, since for unknown reasons, F1BC1 hybrids have a strong decrease in these indicators, despite the regular pairing of chromosomes and the relatively high pollen fertility of F1 hybrids. This phenomenon was clearly demonstrated by monosomic line Mo13 with a deficiency in chromosome 6, which did not produce a single backcrossed boll when crossed with the monosomic interspecific F1 hybrid. Apparently, the decrease in the setting of hybrid BC1F1 backcross seeds was due to the specific features of those hybrids, along with the hybridity of the material and the low seed set in many of the original lines with haplo-deficiency.
Unfortunately, we were unable to compare our data with the results of American studies, since no data on the cytogenetic characteristics of hybrids were published when chromosome-substitution lines were created via backcrossing. Therefore, in future studies, how these indicators change with an increase in backcrossing generations will be examined.
A decrease in the germination of BC1F1 hybrid seeds compared to the initial F1 hybrids (Mo × Pima 3-79), with the exception of six BC1F1 families involving Mo7, Mo31, Mo58, Mo59, Mo34, and Mo95, could occur as a result of the effect of alien substitutions of various nonhomologous chromosomes and the reduced germination rates of backcross seeds with haplo-deficiencies.
It was found that the karyotypic transformations of plants during backcrossing of the original cotton lines with the pollen from F1 hybrids were not accompanied by any visible disturbances in meiotic divisions, since a comparative analysis of chromosome pairing in 21 hybrid monosomic BC1F1 plants with substitutions of chromosomes 2, 4, 6, 7, and 12 from the Atsubgenome and chromosomes 17, 18, 21, and 22 from the Dtsubgenome revealed normal chromosome pairing. In addition, the detection of a high meiotic index and a small number of tetrads with micronuclei served as an indirect confirmation of the regularity of meiosis and the absence of the appearance of additional univalents. However, the detection of a significant decrease in pollen fertility in monosomic hybrids with the substitution of specific chromosomes in different BC1F1 families indicated the existence of specific differences in pollen fertility in these plants. It is known that the microscopic assessment of pollen fertility after staining the progeny of cotton monosomes with acetocarmine is not entirely convincing as a method for separating monosomic and disomic plants due to the abortion of unbalanced microspores in early development [45]. A strong decrease in pollen fertility combined with a high meiotic index occurred due to the formation of gametes with haplo-deficiencies, which looked like normal tetrads at the microspore stage.
In our study, hybrid plants with haplo-deficiencies were not found in all BC1F1 hybrid families, since it was not possible to detect monosomic plants in five of them (Mo7, Mo31, Mo67, Mo93, and Mo95) for various reasons. Success in the transmission of the monosomes was highly dependent on the rate of reproduction in the hybrid offspring. It is known that there are differences between specific chromosomes of the cotton genome in the viability of the haplo-deficient gametes produced [45]. In addition, it was noted that the transfer of the monosomic state in cotton monosomes is limited in all by ovules, and the low frequency of transmission of the monosomes indicates a low viability of gametes with haplodeficiency [42]. The data presented in this article suggest that the rate of transmission of haplo-deficiencies in cotton hybrids depends on the specificity of the monosome and the number of hybrid plants.
For molecular genetic confirmation of chromosome substitutions, accelerated detection of monosomic cytotypes, and rapid backcrossing of plants with haplo-deficiencies, chromosomal assignment of molecular markers was carried out at the plantlet stage (4–5 true leaves) for the first time in cotton plants with alien chromosome substitutions. The identification of seven monosomic cytotypes at the plantlet stage in four families with substitutions of chromosomes 2 and 4 using markers previously assigned to chromosomes is of great importance for identifying hybrids with alien chromosome substitutions. This method significantly speeds up the analysis of hybrid progeny and contributes to the detection of plants with haplo-deficiencies, which leads to an acceleration of backcrossing and the production of hybrid bolls. Confirmation of substitutions of alien chromosomes in other BC1F1 families, carried out in our study by the common molecular genetic analysis, based on six previously identified monosomic hybrids (Mo60, Mo75, Mo34, Mo92, Mo94, and Mo17), serves as the basis for further research on obtaining chromosome-substitution cotton lines. However, such studies require much more time than those using BC1F1 monosomes that were identified at the plantlet stage.
Comparative analysis of the morphobiological characteristics of monosomic F1 and BC1F1 hybrids in comparison with the original monosomic lines showed that monosomic hybrids of the first generation were more similar to the donor line, while BC1F1 hybrids with haplodeficiency shared more characteristics with the recurrent parent and presented previously unidentified characteristics. These new markers included strong pubescence of the main stem in the BC1F1 hybrid—with substitution of chromosome 4, pale green coloured leaves in the hybrid—with substitution of chromosome 7, dense foliage and large bolls in the hybrid—with substitution of chromosome 12, pubescence of the bracts and peduncles in the hybrid—with substitution of chromosome 18, dark green leaf colour in the hybrid—with the substitution of chromosome 22, lengthening of the cuttings and an increase in the size of the bolls in the hybrid—with the substitution of an arm of chromosome 6, and dark green leaves and two-three-lobed leaves in the hybrid—with the substitution of an arm of chromosome 11.
The results reported in recent years have clearly demonstrated the associations of substituted cotton chromosomes with various traits: CS-B04—higher fibre length; CS-B06—higher fibre yield; CS-B07—higher mass of one boll and micronaires; CS-B16—reduced seed yield, fibre yield, and fibre length but increased fibre yield and weight per boll; CS-B17—increased fibre yield, boll mass, and fibre elongation but reduced fibre yield, micronair, and fibre length; CS-B18—reduced seed and fibre yield and weight of one boll, but higher fibre and micronair yield; and CS-B25—significant association with all traits, except for seed yield [24].
However, 103 SSR primers were not associated with specific chromosomes due to the absence of hypoaneuploid lines for some chromosomes in the genome. To date, for five chromosomes in the genome (5, 8, 14, 15, and 22), no monosomic plants have been obtained, while for three chromosomes (13, 19, and 24), no deficiencies have been found in either specific chromosomes or specific chromosome arms [40].
An analysis of the studies including the association of markers assigned to chromosome 6 once again revealed inconsistencies between different studies, which raised the suspicion that the origin of some aneuploids may contribute most to the unexpected shortcomings of such studies [36]. Later, the chromosome-substitution line CS-B06 was found not have a substitution for all of chromosome 6 from the Atsubgenome, since extensive molecular genetic work with five SSR loci specific for chromosome 6 revealed the amplification of the Upland-type alleles, not the Pima 3-79 alleles, which collectively suggests that this lineage was missynthesized and/or not inbred [44].
In the future, new chromosome substitution cotton lines will serve as the basis for molecular genetic studies and chromosome localization of new molecular markers, as well as improving the quality of cotton fibre by crossing these lines with cultivated varieties and enriching them with loci responsible for improving the quality of the fibre.

4. Materials and Methods

4.1. Plant Material

Monosomic lines from the Cytogenetic Collection of Uzbekistan were developed in the common genetic background of the highly inbred G. hirsutum line L-458, which was created through multiple generations of self-pollination (F20) of the cultivar 108-F. Because all 95 primary monosomic plants in the collection were isolated from a common genetic background, the differences observed among them can be attributed to differences in their monosomic states [28,30]. The irradiation of seeds by thermal neutrons or gamma-irradiation of pollen gave rise to most (76) of the monosomic plants. Other monosomic plants were detected among progenies of desynaptic plants (17) and translocation heterozygous plants (2). The primary monosomic plants were numbered according to their order of detection (Mo1-Mo95).
The G. barbadense line Pima 3-79 is not photoperiod sensitive and is highly homozygous, as it originates from a doubled haploid [42]. It was used extensively as a parent in genetic and genomic studies [58] and as a donor parent of substituted chromosome (CS) or chromosome segments from G. barbadense in our study.
A well-defined tester set of translocation lines from the Cytogenetic Collection of the USA was kindly provided by Prof. D.M. Stelly through the USDA–Uzbekistan cotton germplasm exchange program. All plant materials were vegetatively maintained in the greenhouse of the National University of Uzbekistan.

4.2. Analyses of the Crossing, Setting, and Germination of Cotton Hybrid Seed

Determination of the crossing rate of monosomic lines of G. hirsutum L. with the G. barbadense L. donor line Pima 3-79 was carried out by calculating the number of bolls set from the number of crosses performed in percent. Similarly, the determination of the setting rate of hybrid seeds obtained from crosses was carried out by determining the number of full-fledged seeds from the total number of matured, unripe seeds, and unfertilized eggs in the form of beetles in percent. The germination capacity of hybrid seeds was calculated by counting the number of germinated seeds out of the number of seeds sown in percent. Statistical processing of the data obtained was carried out by determining the error of the sample mean according to a previously described formula [59].

4.3. Cytological Analyses

For studies of meiotic chromosome pairing at metaphase I (MI) and sporad normality, floral buds were collected in the morning and fixed in a solution of 96% alcohol and acetic acid (7:3) after the removal of the calyx and corolla. Buds were kept at room temperature for 3 days, immersed in fresh fixative, and stored at 4 °C. For cytological preparations, buds were rinsed in tap water before being examined for meiotic MI chromosome configurations in microsporocytes, commonly known as “pollen mother cells” (PMCs), using the iron acetocarmine squash technique. Analyses of hybrid plant chromosomes were carried out on the basis of MI configurations. The development of F1 and BC1F1 hybrid plant PMCs was assessed based on the cytological features observed at the tetrad stage. To analyse the stage of meiotic sporads, several buds from each hybrid variant were analysed, and the meiotic index (Mi) [35] was calculated as the percentage of normal tetrads of the total number of sporads: Mi = X N   ×   100 % , where X is the number of normal tetrads, and N is the total number of sporades. Pollen viability was estimated as the percentage of mature pollen grains that were stained with acetocarmine. All cytological observations were made using Biomed (Leica, Heerbrugg, Switzerland) and Axioskop A1 (Carl Zeiss, Oberkochen, Germany) microscopes. Microphotography was performed using an AxioCamERc5s digital camera.

4.4. Identification of Monosomic F1 Hybrid Translocation Heterozygotes

Monosomes were identified using translocation tests. For this purpose, the monosomic (2n = 51) lines from the Cytogenetic Collection of Uzbekistan were crossed as seed parents with translocation lines (2n = 52) of the tester set from the Cotton Cytogenetic Collection of the USA provided by Texas A&M AgriLife Research. Floral buds of F1 hybrid progeny were analysed to identify monosomic plants (2n = 51) and those heterozygous for the respective translocation, that is, monosomic translocation heterozygotes. To reveal the “critical configurations” and detect common chromosomes among the chromosomes involved in interchanges with monosomes, the meiotic MI configurations were analysed in monosomic translocation heterozygous F1 hybrids. Progeny with a 23II + 1IV + 1I modality were interpreted as having independence between chromosomes affected by monosomy and translocation, whereas progeny with a 24II + 1III modality were interpreted as evidence of association between the monosome and one of the two translocated chromosomes. It was generally presumed that the monosomic states of the parents and progeny were similar and that a “univalent shift” did not occur.

4.5. DNA Extraction and Genotyping

Genomic DNA was extracted from young leaf samples of cytogenetically identified monosomic F1 and BC1F1 hybrids and young hybrid plants (plantlets) using the CTAB method [25]. Extracted genomic DNA was checked by 0.9% agarose electrophoresis, and DNA concentrations were diluted to a working concentration in 15 μL of solution based on 25 ng/μL Hind III-digested λ-phage DNA. PCR amplification was carried out in a 10 μL reaction mix containing 1.0 μL 10× PCR buffer (with 25 mM MgCl2), 0.2 μL BSA, 0.08 μL dNTPs (25 mM), 0.2 μL primers, 0.1 μL Taq-polymerase, and 2 μL DNA template. PCR runs were conducted with an initial denaturation of DNA at 94 °C for 2 min, followed by 35 cycles of 94 °C (step 1) for 20 s, 55 °C (step 2) for 30 s, and 72 °C (step 3) for 50 s. After 35 cycles, the extension temperature of 72 °C was held for 7 min. The PCR products were visualized in a 3.5% high-resolution agarose gel, stained with ethidium bromide and photodocumented using an Alpha Imager (Innotech Inc., Airport Road Roanoke, Roanoke, VA, USA) gel documentation system.
Chromosome-specific SSR primer pairs were collected according to recently published genetic-mapping studies [36,60]. For each chromosome, we chose four loci that were polymorphic between L-458 (G. hirsutum) and Pima 3-79 (G. barbadense). Documented electropherogram results for SSRs were scored as “a/b/h,” where the “a” locus was similar to recipient L-458; the “b” locus was similar to donor line 3-79; and the “h” genotype was similar to the normal F1 hybrid. To identify the chromosome deficiencies in a given F1 monosomic cotton hybrid, the SSRs on that chromosome were expected to exhibit the “b” genotype, that is, a deficiency in the G. hirsutum (maternal) allele and the presence of only the G. barbadense (paternal) allele [61].

5. Conclusions

In this article, a scheme for creating chromosome-substitution lines in cotton was developed, all stages of which are accompanied by double screening of specific chromosome substitutions using cytogenetic and molecular genetic markers (SSRs) to avoid a “univalent shift” during the backcrossing process.
A decrease in the crossing and setting rates of interspecific F1 and BC1F1 hybrid seeds was established due to the interspecific features of the crossed species and the specificity of the deficiencies in specific chromosomes, while the decrease in the germination capacity of hybrid seeds in some crosses can be explained by the reduced germination rates and the development of haplo-deficient hybrid plants. In general, the comparison of these indicators suggested that these values were significantly higher in the primary crosses than those in the BC1F1 backcross hybrids.
Our observations of the behaviour of chromosomes during meiosis and the detection of chromosome pairing, normal for monosomic cotton plants, without the formation of additional univalents served as a guarantee of the absence of a “univalent shift.” A partial decrease in pollen fertility, which increased in backcross hybrids despite a high meiotic index and a small number of tetrads with micronuclei, indicated hidden structural variability in the G. barbadense and G. hirsutum genomes that was not recorded at the metaphase I stage of meiosis.
The identification of univalent chromosomes in four new monosomic lines (Mo94, Mo56, Mo42, and Mo17) with deficiencies in chromosome 12 and an arm of chromosome 6, the Atsubgenome, or chromosomes 17, 21, and 22 of the Dtsubgenome using translocation and previously assigned chromosome-specific SSR markers enriched the collection of hypoaneuploid cotton lines. For each such line, an analysis of the suite of phenotypic traits that are altered due to the deficiencies in the above chromosomes was carried out. The study of morphobiological features revealed the similarity between the aneuploid F1 hybrids and the donor line, while backcross aneuploid BC1F1 hybrids shared a more similar appearance with the recurrent parent, along with other previously undetected characteristics. Thus, the features of new chromosome-substitution lines were shown using various methods, and these lines may serve as sources of introgression of new traits and properties from G. barbadense/G. hirsutum.

Supplementary Materials

The following are available online at https://www.mdpi.com/article/10.3390/plants11040542/s1, Table S1: Crossing of aneuploid lines of cotton G. hirsutum L. with the line Pima 3-79 of the species G. barbadense L. Table S2: Setting of F0 hybrid seeds obtained from crosses of aneuploid lines of the species G. hirsutum L. with the line Pima 3-79 of the species G. barbadense L. Table S3:Germination of F0 hybrid seeds obtained from crosses of aneuploid lines of the species G. hirsutum L. with the line Pima 3-79 of the species G. barbadense L. Table S4: Analysis of hybrid F1 offspring obtained from crosses of aneuploid lines of the species G. hirsutum L. with the line Pima 3-79 of the species G. barbadense L. Table S5: Pairing of chromosomes at the metaphase I stage of meiosis in aneuploids F1 hybrids obtained from crosses of aneuploid lines of the species G. hirsutum L. with the line Pima 3-79 of the species G. barbadense L. Table S6: Analysis of sporades in interspecific F1 hybrids obtained from crosses of aneuploid lines of the species G. hirsutum L. with the line Pima 3-79 of the species G. barbadense L. Table S7:Analysis of pollen fertility in interspecific F1 hybrids obtained from crosses of aneuploid lines of the species G. hirsutum L. with the line Pima 3-79 of the species G. barbadense L. Table S8: Crossing of monosomic and monotelodisome lines of cotton with interspecific aneuploid F1 (Mo × Pima 3-79 or Telo × Pima 3-79) hybrids with substitutions of individual chromosomes or their arms. Table S9: Setting of BC1F1 hybrid seeds obtained from crosses of monosomic and monotelodisome lines with F1aneuploid hybrids with substitutions of specific chromosomes or their arms. Table S10:Germination of BC1F1 hybrid seeds obtained from crosses of monosomic and monotelodisome lines with aneuploid F1 (Mo × Pima 3-79 or Telo × Pima 3-79) hybrids with substitutions of specific chromosomes or their arms. Table S11: Analysis of BC1F1 backcross hybrid offspring obtained from crosses of recurrent parents with aneuploid F1 (MoxPima 3-79 or Telo × Pima 3-79) hybrids. Table S12: Pairing of chromosomes at the metaphase I stage of meiosis in aneuploid BC1F1 hybrids obtained from crosses of recurrent parents with aneuploid F1 hybrids (Mo × Pima 3-79 or Telo × Pima 3-79). Table S13: Analysis of spores in BC1F1 hybrids obtained from crosses of recurrent parents with aneuploid F1 hybrids (Mo × Pima 3-79 or Telo × Pima 3-79). Table S14: Analysis of pollen fertility in aneuploid BC1F1 hybrids obtained from crosses of recurrent parents with aneuploid F1 hybrids (Mo × Pima 3-79 or Telo × Pima 3-79).

Author Contributions

M.F.S. planned experiments and wrote the manuscript; S.U.B. performed cytogenetic and morphobiological analyses; S.S.A. and A.K.M. performed molecular genetic analyses; M.F.S. provided resources; M.F.S. and O.G.S. conducted data curation; M.F.S. and O.G.S. reviewed and edited the manuscript. All authors have read and agreed to the published version of the manuscript.

Funding

The work was supported by state-budgeted projects OT-A-KX-2018-379 and F-OT-2021-155 for the Ministry of Innovative Development of the Republic of Uzbekistan.

Data Availability Statement

Data are contained within the article or the supplementary material.

Acknowledgments

We thank D.M. Stelly for providing a well-defined tester set of translocation lines of Cytogenetic Collection of the USA through the USDA–Uzbekistan cotton germplasm exchange program. We thank the administration of the Center of Genomics and Bioinformatics, Academy of Science of Uzbekistan for the continued support of collaborative research and for being instrumental for the molecular experiments conducted in this study.

Conflicts of Interest

The authors declare no conflict of interest.

References

  1. Wendel, J.F.; Grover, C.E. Taxonomy and Evolution of the Cotton Genus. In Gossypium; Fang, D.D., Percy, R.G., Eds.; Agronomy Monographs; American Society of Agronomy, Inc.; Crop Science Society of America, Inc.; Soil Science Society of America, Inc.: Madison, WI, USA, 2015; pp. 25–44, (In Cotton). [Google Scholar] [CrossRef]
  2. Wu, Y.; Liu, F.; Yang, D.G.; Li, W.; Zhou, X.J.; Xiao, Y.P.; Liu, Y.G.; He, K.L.; Zhang, W.S.; Ren, Z.Y.; et al. Comparative chloroplast genomics of Gossypium species: Insights into repeat sequence variations and phylogeny. Front. Plant Sci. 2018, 9, 376. [Google Scholar] [CrossRef]
  3. Chen, Z.; Feng, K.; Grover, C.E.; Li, P.; Liu, F.; Wang, Y.; Xu, Q.; Shang, M.; Zhou, Z.; Cai, X.; et al. Chloroplast DNA structural variation, phylogeny, and age of divergence among diploid cotton species. PLoS ONE 2016, 11, e0157183. [Google Scholar] [CrossRef]
  4. Yang, Z.; Ge, X.; Yang, Z.; Qin, W.; Sun, G.; Wang, Z.; Li, Z.; Liu, J.; Wu, J.; Wang, Y.; et al. Extensive intraspecific gene order and gene structural variations in upland cotton cultivars. Nat. Commun. 2019, 10, s41467–s42019. [Google Scholar] [CrossRef]
  5. Yang, Z.; Qanmber, G.; Wang, Z.; Yang, Z.; Li, F. Gossypium Genomics: Trends, Scope, and Utilization for Cotton Improvement. Trends Plant Sci. 2020, 25, 488–500. [Google Scholar] [CrossRef]
  6. Wendel, J.F.; Brubaker, C.L.; Alvarez, I.; Cronn, R.C.; Stewart, J.M. Evolution and Natural History of the Cotton Genus. In Genetics and Genomics of Cotton; Paterson, A.H., Ed.; Springer: Berlin/Heidelberg, Germany, 2009; pp. 3–22. [Google Scholar] [CrossRef]
  7. Wendel, J.F.; Cronn, R.C. Polyploidy and the evolutionary history of cotton. Adv. Agron. 2003, 78, 139–186. [Google Scholar]
  8. Li, F.; Fan, G.; Lu, C.; Xiao, G.; Zou, C.; Kohel, R.J.; Ma, Z.; Shang, H.; Ma, X.; Wu, J.; et al. Genome sequence of cultivated Upland cotton (Gossypium hirsutum TM-1) provides insights into genome evolution. Nat. Biotechnol. 2015, 33, 524–530. [Google Scholar] [CrossRef]
  9. Zhang, T.; Hu, Y.; Jiang, W.; Fang, L.; Guan, X.; Chen, J.; Zhang, J.; Saski, C.A.; Scheffler, B.E.; Stelly, D.M.; et al. Sequencing of allotetraploid cotton (Gossypium hirsutum L. acc. TM-1) provides a resource for fiber improvement. Nat. Biotechnol. 2015, 33, 531–537. [Google Scholar] [CrossRef]
  10. Gallagher, J.P.; Grover, C.E.; Rex, K.; Moran, M.; Wendel, J.F. A new species of cotton from Wake Atoll, Gossypium stephensii (Malvaceae). Syst. Bot. 2017, 42, 115–123. [Google Scholar] [CrossRef]
  11. Renny-Byfield, S.; Page, J.T.; Udall, J.A.; Sanders, W.S.; Peterson, D.G.; Arick, M.A., II; Grover, C.E.; Wendel, J.F. Independent Domestication of Two Old World Cotton Species. Genome Biol. Evol. 2016, 8, 1940–1947. [Google Scholar] [CrossRef]
  12. Strygina, K.; Khlestkina, E.; Podolnaya, L. Cotton genome evolution and features of its structural and functional organization. Biol. Commun. 2020, 65, 15–27. [Google Scholar] [CrossRef]
  13. Gallagher, J.P.; Grover, C.E.; Hu, G.; Jareczek, J.J.; Wendel, J.F. Conservation and Divergence in Duplicated Fiber Coexpression Networks Accompanying Domestication of the Polyploid Gossypium hirsutum L. G3 Genes Genomes Genet. 2020, 10, 2879–2892. [Google Scholar] [CrossRef]
  14. Pan, Y.; Meng, F.; Wang, X. Sequencing Multiple Cotton Genomes Reveals Complex Structures and Lays Foundation for Breeding. Front. Plant Sci. 2020, 11, 560096. [Google Scholar] [CrossRef]
  15. Constable, G.; Llewellyn, D.; Walford, S.A.; Clement, J.D. Cotton Breeding for Fiber Quality Improvement. In Handbook of Plant Breeding, Industrial Crops; Cruz, V.M.V., Dierig, D.A., Eds.; Springer: Berlin/Heidelberg, Germany, 2015; p. 9. [Google Scholar]
  16. Wang, X.; Wang, Y.; Wang, C.; Chen, Y.; Chen, Y.; Feng, S.; Zhao, T.; Zhou, B. Characterization of eleven monosomic alien addition lines added from Gossypium anomalum to Gossypium hirsutum using improved GISH and SSR markers. BMC Plant Biol. 2016, 16, 218. [Google Scholar] [CrossRef]
  17. Wang, Y.; Feng, S.; Li, S.; Tang, D.; Chen, Y.; Chen, Y.; Zhou, B. Inducement and identification of chromosome introgression and translocation of Gossypium australe on Gossypium hirsutum. BMC Genom. 2018, 19, 15. [Google Scholar]
  18. Grover, C.E.; Yuan, D.; Arick, M.A.; Miller, E.R.; Hu, G.; Peterson, D.G.; Wendel, J.F.; Udall, J.A. The Gossypium stocksii genome as a novel resource for cotton improvement. bioRxiv 2021, 19, 125. [Google Scholar] [CrossRef]
  19. Nacoulima, L.N.; Diouf, F.H.; Konan, N.O.; Mergeai, G. Production of new cotton interspecific hybrids with enhanced Fiber Fineness. J. Agric. Sci. 2016, 8, 46–56. [Google Scholar] [CrossRef]
  20. Wang, P.; Ding, Y.; Lu, Q.; Guo, W.; Zhang, T. Development of Gossypium barbadense chromosome segment substitution lines in the genetic standard line TM-1 of Gossypium hirsutum. Sci. Bull. 2008, 53, 1512–1517. [Google Scholar] [CrossRef]
  21. Yang, Z.; Li, J.; Li, A.; Zhang, B.; Liu, G.; Li, J.; Shi, Y.; Liu, A.; Jiang, J.; Wang, T.; et al. Developing chromosome segment substitution lines (CSSLs) in cotton (Gossypium) using advanced backcross and MAS. Mol. Plant Breed. 2009, 7, 233–241. [Google Scholar]
  22. Stelly, D.M.; Saha, S.; Raska, D.A.; Jenkins, J.N.; McCarty, J.C., Jr.; Gutiérrez, O.A. Registration of 17 Upland (Gossypium hirsutum) Cotton Germplasm Lines Disomic for Different, G. barbadense Chromosome or Arm Substitutions. Crop Sci. 2005, 45, 2663–2665. [Google Scholar] [CrossRef]
  23. Saha, S.; Stelly, D.M.; Raska, D.A.; Wu, J.; Jenkins, J.N.; McCarty, J.C.; Makamov, A.; Gotmare, V.; Abdurakhmonov, I.Y.; Campbell, B.T. Chromosome Substitution Lines: Concept, Development and Utilization in the Genetic Improvement of Upland Cotton. In Plant Breeding; Abdurakhmonov, I.Y., Ed.; Intech Open: Rijeka, Croatia, 2012; Chapter 10; pp. 107–128. [Google Scholar]
  24. Saha, S.; Wu, J.; Jenkins, J.N.; McCarty, J.C., Jr.; Gutierrez, O.A.; Stelly, D.M.; Percy, R.G.; Raska, D.A. Effect of Chromosome Substitutions from Gossypium barbadense L. 3-79 into G. hirsutum L. TM-1 on Agronomic and Fiber Traits. J. Cotton Sci. 2004, 8, 162–169. [Google Scholar]
  25. Saha, S.; Jenkins, J.N.; Wu, J.; McCarty, J.C.; Gutierrez, O.A.; Percy, R.G.; Cantrell, R.G.; Stelly, D.M. Effects of Chromosome-Specific Introgression in Upland Cotton on Fiber and Agronomic Traits. Genetics. 2006, 172, 1927–1938. [Google Scholar] [CrossRef] [PubMed][Green Version]
  26. Saha, S.; Jenkins, J.N.; Wu, J.; McCarty, J.C.; Gutie´rrez, O.; Hayes, R.; Stelly, D.M. Genetic Effects of Thirteen Gossypium barbadense L. Chromosome Substitution Lines in Topcrosses with Upland Cotton Cultivars: I. Yield and Yield Components. Crop Sci. 2006, 46, 1169–1178. [Google Scholar]
  27. Sanamyan, M.F.; Petlyakova, J.E.; Sharipova, E.A.; Rahmatullina, E.M. Development of new interspecific monosomic F1 substitution stocks for investigations in cotton genome. Pros. Internal. Cotton Genome Initiative, ICGI–2008 Workshop, China. Cotton Sci. 2008, 20, 98. [Google Scholar]
  28. Sanamyan, M.F.; Petlyakova, J.E.; Sharipova, E.A.; Abdurakhmonov, I.Y. Morphological characteristics and identification of new monosomic stocks for cotton (Gossypium hirsutum L.). Adv. Biosci. Biotechnol. 2010, 1, 372–383. [Google Scholar] [CrossRef]
  29. Sanamyan, M.F.; Petlyakova, J.E.; Sharipova, E.A.; Abdurakhmonov, I.Y. Cytogenetic characteristics of new monosomic stocks of cotton (Gossypium hirsutum L.). Genet. Res. Int. 2011, 2011, 273642. [Google Scholar]
  30. Sanamyan, M.F.; Petlyakova, J.; Rakhmatullina, E.M.; Sharipova, E. Cytogenetic Collection of Uzbekistan. In World Cotton Germplasm Resources; Abdurakhmonov, I.Y., Ed.; Intech Open: Rijeka, Croatia, 2014; Chapter 10; pp. 247–287. [Google Scholar]
  31. Sanamyan, M.F.; Bobokhujaev, S.U.; Makamov, A.X.; Achilov, S.G.; Abdurakhmonov, I.Y. The creation of new aneuploid lines of the cotton (Gossypium hirsutum L.) with identification of chromosomes by translocation and SSR markers. Vavilov J. Genet. Breed. 2016, 20, 643–652. [Google Scholar] [CrossRef][Green Version]
  32. Sanamyan, M.F.; Makamov, A.K.; Bobokhujaev, S.U.; Usmonov, D.E.; Buriev, Z.T.; Saha, S.; Stelly, D.M. The Utilization of Translocation Lines and Microsatellite Markers for the Identification of Unknown Cotton Monosomic Lines. In Cotton Research; Abdurakhmonov, I.Y., Ed.; Intech Open: Rijeka, Croatia, 2016; Chapter 8; pp. 167–183. [Google Scholar]
  33. Sanamyan, M.; Bobokhujaev, S.; Saha, S.; Stelly, D. Using a Tester-Set of Translocations for Identification of the Cotton Monosomic Lines. In Proceedings of the ICGI 2018, Edinburgh, Scotland, 28 May–1 June 2018. Available online: https://www.cottongen.org/node/8287851 (accessed on 1 December 2021).
  34. Sanamyan, M.F.; Bobokhujaev, S.U. Identification of univalent chromosomes in monosomic lines of cotton (Gossypium hirsutum L.) by means of cytogenetic markers. Vavilov J. Genet. Breed. 2019, 23, 836–845. [Google Scholar] [CrossRef]
  35. Love, R.M. Varietal differences in meiotic chromosome behavior of Brazilian wheat. Agron. J. 1951, 43, 72–76. [Google Scholar] [CrossRef]
  36. Gutie´rrez, O.A.; Stelly, D.M.; Saha, S.; Jenkins, J.N.; McCarty, J.C.; Raska, D.A.; Scheffler, B.E. Integrative placement and orientation of non-redundant SSR loci in cotton linkage groups by deficiency analysis. Mol. Breed. 2009, 23, 693–707. [Google Scholar] [CrossRef]
  37. Yu, G.; Saha, S.; Yu, J.Z.; Jenkins, J.N.; Kohel, R.J.; Scheffler, B.E.; Stelly, D.M. BAC-derived SSR markers chromosome locations in cotton. Euphytica 2008, 161, 361–370. [Google Scholar]
  38. Hoffman, S.M.; Yu, J.Z.; Grum, D.S.; Xiao, J.; Kohel, R.J.; Pepper, A.E. Identification of 700 new microsatellite loci from cotton (G. hirsutum L.). J. Cotton Sci. 2007, 11, 208–241. [Google Scholar]
  39. Lacape, J.M.; Jacobs, J.; Arioli, T.; Derijcker, R.; Forestier, C.N.; Llewellyn, D.; Jean, J.; Thomas, E.; Viot, C. A new interspecific, Gossypium hirsutum x G. barbadense, RIL population: Towards a unified consensus linkage map of tetraploid cotton. Theor. Appl. Genet. 2009, 119, 281–292. [Google Scholar] [CrossRef] [PubMed]
  40. Saha, S.; Stelly, D.M.; Makamov, A.K.; Ayubov, M.S.; Raska, D.; Gutie´rrez, O.A.; Shivapriya, M.; Jenkins, J.N.; Dewayne, D.; Abdurakhmonov, I.Y. Molecular confirmation of Gossypium hirsutum chromosome substitution lines. Euphytica 2015, 205, 459–473. [Google Scholar] [CrossRef]
  41. Elliot, F. Plant Breeding and Cytogenetics; Foreign Literature Publishing House: Moscow, Russia, 1961; p. 448. [Google Scholar]
  42. Endrizzi, J.E.; Turcotte, E.L.; Kohel, R.J. Genetics, cytology and evolution of Gossypium. Adv. Genet. 1985, 23, 271–375. [Google Scholar]
  43. Endrizzi, J.E.; Ramsay, G. Monosomes and telosomes for 18 of the 26 chromosomes of Gossypium hirsutum. Can. J. Genet. Cytol. 1979, 21, 531–536. [Google Scholar] [CrossRef]
  44. Ulloa, M.; Wang, C.; Saha, S.; Hutmacher, R.B.; Stelly, D.M.; Jenkins, J.N.; Burke, J.; Roberts, P.A. Analysis of root-knot nematode and fusarium wilt disease resistance in cotton (Gossypium spp.) using chromosome substitution lines from two alien species. Genetica 2016, 144, 167–179. [Google Scholar] [CrossRef]
  45. Brown, M.S.; Endrizzi, J.E. The origin, fertility and transmission of monosomics in Gossypium. Am. J. Bot. 1964, 51, 108–115. [Google Scholar] [CrossRef]
  46. Endrizzi, J.E.; Ramsay, G. Identification of ten chromosome deficiencies in cotton. J. Hered. 1980, 71, 45–48. [Google Scholar] [CrossRef]
  47. Reddy, A.S.; Connell, J.; Pammi, S.; Iqbal, J. Genetic Mapping of Cotton: Isolation and Polymorphism of Microsatellites. In Proceedings of the Beltwide Cotton Conferences, New Orleans, LA, USA, 5–8 January 1988; p. 485. [Google Scholar]
  48. Nguyen, T.B.; Ciband, M.; Brottier, P.; Risterucci, A.M.; Lacape, J.M. Wide coverage of the tetraploid cotton genome using newly developed microsatellite markers. Theor. Appl. Genet. 2004, 109, 167–176. [Google Scholar] [CrossRef]
  49. Blenda, A.; Fang, D.D.; Rami, J.F.; Garsmeur, O.; Luo, F. A high density consensus genetic map of tetraploid cotton that integrates multiple component maps through molecular marker redundancy check. PLoS ONE 2012, 7, e45739. [Google Scholar] [CrossRef]
  50. Burnham, C.R. Tester–set of translocations. Maise Genet. Coop. Newsl. 1954, 28, 59–60. [Google Scholar]
  51. Burnham, C.R.; White, F.H.; Livers, R. Chromosomal interchanges in barley. Cytologia 1954, 19, 191–202. [Google Scholar] [CrossRef][Green Version]
  52. Lamm, R.; Miravalle, R.J. A translocation tester set in Pisum. Hereditas 1959, 45, 417–440. [Google Scholar] [CrossRef]
  53. Sybenga, J.; Wolters, A.H.G. The classification of the chromosomes of rye (Secale cereale L.): A translocation tester set. Genetica 1972, 43, 453–464. [Google Scholar] [CrossRef]
  54. Gill, B.S.; Stringam, G.R.; Stout, J.T.; Weinheimer, W.H.; Burnham, C.R. Translocation stocks. Rep. Tomato Genet. Coop. 1974, 24, 10–12. [Google Scholar]
  55. Brown, M.S. Identification of the chromosomes of Gossypium hirsutum L. by means of translocations. J. Hered. 1980, 71, 266–274. [Google Scholar] [CrossRef]
  56. Myles, E.L.; Endrizzi, J.E. Aneuploids induced by deficiencies of chromosome 9 and analysis of the time of nondisjunction in cotton. Genome 1989, 32, 12–18. [Google Scholar] [CrossRef]
  57. Yamashita, K. Studies on X-ray induced reciprocal translocations in einkorn wheats. 3. A newly synthesized ring of 14 chromosomes in a complex heterozygotes, Aegilopoides–monococcum. Cytologia 1951, 16, 164–176. [Google Scholar] [CrossRef]
  58. Hulse-Kemp, A.M.; Lemm, J.; Plieske, J. Development of a 63K SNP array for cotton and high-density mapping of intraspecific and interspecific populations of Gossypium spp. G3 Genes Genomes Genet. 2015, 5, 1187–1209. [Google Scholar] [CrossRef]
  59. Dospekhov, B.A. Methodology of Field Experience (with the Basics of Statistical Processing of Research Results); Agropromizdat: Moscow, Russia, 1985; p. 351. (In Russian) [Google Scholar]
  60. Dellaporta, S.J.; Wood, J.; Hicks, J.B. A plant DNA mini preparation: Version II. Plant Mol. Biol. Report. 1983, 1, 19–21. [Google Scholar] [CrossRef]
  61. Liu, S.; Saha, S.; Stelly, D.M.; Burr, B.; Cantrell, R.G. Chromosomal assignment of microsatellite loci in cotton. J. Hered. 2000, 91, 326–332. [Google Scholar] [CrossRef]
Figure 1. Development of cotton chromosome-substitution lines. The scheme shows the different steps for obtaining cotton chromosome-substitution lines, including cytogenetic analysis and the use of molecular markers (SSRs).
Figure 1. Development of cotton chromosome-substitution lines. The scheme shows the different steps for obtaining cotton chromosome-substitution lines, including cytogenetic analysis and the use of molecular markers (SSRs).
Plants 11 00542 g001
Figure 2. Crossing of aneuploid G. hirsutum L. lines with the G. barbadense L. line Pima 3-79.
Figure 2. Crossing of aneuploid G. hirsutum L. lines with the G. barbadense L. line Pima 3-79.
Plants 11 00542 g002
Figure 3. Setting of F0 hybrid seeds obtained from crosses of aneuploid G. hirsutum L. lines with the G. barbadense L. line Pima 3-79.
Figure 3. Setting of F0 hybrid seeds obtained from crosses of aneuploid G. hirsutum L. lines with the G. barbadense L. line Pima 3-79.
Plants 11 00542 g003
Figure 4. Germination of F0 hybrid seeds obtained from crosses of aneuploid G. hirsutum L. lines with the G. barbadense L. line Pima 3-79.
Figure 4. Germination of F0 hybrid seeds obtained from crosses of aneuploid G. hirsutum L. lines with the G. barbadense L. line Pima 3-79.
Plants 11 00542 g004
Figure 5. Twenty-five normal bivalents and one heteromorphic bivalent obtained at Metaphase I of F1 hybrids from a cross between a monotelodisome line Mo21 × Pima 3-79 (1001) for a chromosome 11 arm with the line Pima 3-79. (Heteromorphic bivalent arrowed.) Scale bar = 10 µm.
Figure 5. Twenty-five normal bivalents and one heteromorphic bivalent obtained at Metaphase I of F1 hybrids from a cross between a monotelodisome line Mo21 × Pima 3-79 (1001) for a chromosome 11 arm with the line Pima 3-79. (Heteromorphic bivalent arrowed.) Scale bar = 10 µm.
Plants 11 00542 g005
Figure 6. Metaphase I in F1 hybrids obtained from crosses of monosomic lines with the line Pima 3-79: (a) (Mo16 × Pima 3-79) (25II + 1I) (hybrid 982) with monosomy for chromosome 2; (b) (Mo34 × Pima 3-79) (25II + 1I) (hybrid 28) and (c) (Mo95 × Pima 3-79) (25II + 1I) (hybrid 1083) with monosomy for chromosome 6; (d) monosomy for chromosome 12 (Mo94 × Pima 3-79) (25II + 1I) (813). (Univalents arrowed). Scale bar = 10 µm.
Figure 6. Metaphase I in F1 hybrids obtained from crosses of monosomic lines with the line Pima 3-79: (a) (Mo16 × Pima 3-79) (25II + 1I) (hybrid 982) with monosomy for chromosome 2; (b) (Mo34 × Pima 3-79) (25II + 1I) (hybrid 28) and (c) (Mo95 × Pima 3-79) (25II + 1I) (hybrid 1083) with monosomy for chromosome 6; (d) monosomy for chromosome 12 (Mo94 × Pima 3-79) (25II + 1I) (813). (Univalents arrowed). Scale bar = 10 µm.
Plants 11 00542 g006
Figure 7. Metaphase I in meiosis of F1 hybrids obtained from crosses of monosomic lines with the line Pima 3-79: (a) (Mo70 × Pima 3-79) (25II +1I) (hybrid 7746) and (b) (Mo89 × Pima 3-79) (25II + 1I) (hybrid 5157) with monosomy for chromosome 4; (c) monosomy for chromosome 17 (Mo56 × Pima 3-79) (25II + 1I) (413); and (d) monosomy for chromosome 18 (Mo48 × Pima 3-79) (25II + 1I) (52916). (Univalents arrowed.) Scale bar = 100 µm.
Figure 7. Metaphase I in meiosis of F1 hybrids obtained from crosses of monosomic lines with the line Pima 3-79: (a) (Mo70 × Pima 3-79) (25II +1I) (hybrid 7746) and (b) (Mo89 × Pima 3-79) (25II + 1I) (hybrid 5157) with monosomy for chromosome 4; (c) monosomy for chromosome 17 (Mo56 × Pima 3-79) (25II + 1I) (413); and (d) monosomy for chromosome 18 (Mo48 × Pima 3-79) (25II + 1I) (52916). (Univalents arrowed.) Scale bar = 100 µm.
Plants 11 00542 g007
Figure 8. Telophase II in F1 hybrids: (a) Two tetrads without cytokinesis (Mo16 × Pima 3-79) (982); (b) anomalous triad (Mo60 × Pima 3-79) (6945); (c) dyad with two micronuclei; and (d) tetrad with three micronuclei. Scale bar = 40 µm.
Figure 8. Telophase II in F1 hybrids: (a) Two tetrads without cytokinesis (Mo16 × Pima 3-79) (982); (b) anomalous triad (Mo60 × Pima 3-79) (6945); (c) dyad with two micronuclei; and (d) tetrad with three micronuclei. Scale bar = 40 µm.
Plants 11 00542 g008
Figure 9. Telophase II in F1(Mo67 × Pima 3-79) (3081) hybrid: (a) normal tetrad; (b) two monads and two tetrads; (c) anomalous tetrad; (d) tetrad with a micronucleus; and (e) heptad. Scale bar = 40 µm.
Figure 9. Telophase II in F1(Mo67 × Pima 3-79) (3081) hybrid: (a) normal tetrad; (b) two monads and two tetrads; (c) anomalous tetrad; (d) tetrad with a micronucleus; and (e) heptad. Scale bar = 40 µm.
Plants 11 00542 g009
Figure 10. Fertile (coloured) and sterile (uncoloured) pollen grains from a hybrid; (a) F1 (Mo38 × Pima 3-79) (69011) and (b,c) F1(Mo89 × Pima 3-79) (5157) for chromosome 4. Scale bar = 40 µm.
Figure 10. Fertile (coloured) and sterile (uncoloured) pollen grains from a hybrid; (a) F1 (Mo38 × Pima 3-79) (69011) and (b,c) F1(Mo89 × Pima 3-79) (5157) for chromosome 4. Scale bar = 40 µm.
Plants 11 00542 g010
Figure 11. Chromosome identification of monosomic interspecific G. hirsutum × G. barbadense F1 hybrids. SSR primer pair specific for chromosome 12 of the Atsubgenome: BNL1707.
Figure 11. Chromosome identification of monosomic interspecific G. hirsutum × G. barbadense F1 hybrids. SSR primer pair specific for chromosome 12 of the Atsubgenome: BNL1707.
Plants 11 00542 g011
Figure 12. Chromosome identification of monosomic interspecific G. hirsutum × G. barbadense F1 hybrids. SSR primer pair specific for chromosome 17 of the Dtsubgenome: (a) TMB0874; (b) BNL2496.
Figure 12. Chromosome identification of monosomic interspecific G. hirsutum × G. barbadense F1 hybrids. SSR primer pair specific for chromosome 17 of the Dtsubgenome: (a) TMB0874; (b) BNL2496.
Plants 11 00542 g012
Figure 13. Chromosome identification of monosomic interspecific G. hirsutum × G. barbadense F1 hybrids. SSR primer pair specific for chromosome 21 of the Dtsubgenome: BNL1705.
Figure 13. Chromosome identification of monosomic interspecific G. hirsutum × G. barbadense F1 hybrids. SSR primer pair specific for chromosome 21 of the Dtsubgenome: BNL1705.
Plants 11 00542 g013
Figure 14. “Critical configurations” of the chromosomes at Metaphase I: 24II + 1III from cotton monosomic F1 plants from the cross Mo42 × TT10L-21L. (Arrows point to the trivalents.) Scale bar = 100 µm.
Figure 14. “Critical configurations” of the chromosomes at Metaphase I: 24II + 1III from cotton monosomic F1 plants from the cross Mo42 × TT10L-21L. (Arrows point to the trivalents.) Scale bar = 100 µm.
Plants 11 00542 g014
Figure 15. Features of the monosomic cotton lines for chromosome 12: (a) bush, (b) configurations of the chromosomes (25II + 1I), (c) leaf, (d) flower, (e) petal, (f) bracts, (g) staminate column, (h) and (i) green bolls, (j) boll with peduncle, and (k) open boll.
Figure 15. Features of the monosomic cotton lines for chromosome 12: (a) bush, (b) configurations of the chromosomes (25II + 1I), (c) leaf, (d) flower, (e) petal, (f) bracts, (g) staminate column, (h) and (i) green bolls, (j) boll with peduncle, and (k) open boll.
Plants 11 00542 g015
Figure 16. Features of the monosomic cotton lines for chromosome 17: (a) bush, (b) configurations of the chromosomes (25II + 1I), (c) leaf, (d) flower, (e) petal, (f) bracts, (g) staminate column, (h) and (i) green bolls, (j) boll with peduncle, and (k) open boll.
Figure 16. Features of the monosomic cotton lines for chromosome 17: (a) bush, (b) configurations of the chromosomes (25II + 1I), (c) leaf, (d) flower, (e) petal, (f) bracts, (g) staminate column, (h) and (i) green bolls, (j) boll with peduncle, and (k) open boll.
Plants 11 00542 g016
Figure 17. Features of the monosomic cotton line for chromosome 21: (a) bush, (b) configurations of the chromosomes (25II +1I), (c) leaf, (d) flower, (e) petal, (f) bracts, (g) staminate column, (h) and (i) green bolls, (j) boll with peduncle, and (k) open boll.
Figure 17. Features of the monosomic cotton line for chromosome 21: (a) bush, (b) configurations of the chromosomes (25II +1I), (c) leaf, (d) flower, (e) petal, (f) bracts, (g) staminate column, (h) and (i) green bolls, (j) boll with peduncle, and (k) open boll.
Plants 11 00542 g017
Figure 18. Features of the monosomic cotton line for chromosome 22: (a) bush, (b) configurations of the chromosomes (25II +1I), (c) leaf, (d) flower, (e) petal, (f) bracts, (g) bract, (h) staminate column, (i) green bolls, (j) boll with peduncle, and (k) open boll.
Figure 18. Features of the monosomic cotton line for chromosome 22: (a) bush, (b) configurations of the chromosomes (25II +1I), (c) leaf, (d) flower, (e) petal, (f) bracts, (g) bract, (h) staminate column, (i) green bolls, (j) boll with peduncle, and (k) open boll.
Plants 11 00542 g018
Figure 19. Features of the monotelodisomic cotton lines for chromosome 6: (a) bush, (b) configurations of the chromosomes (25II + Ii), (c) leaf, (d) flower, (e) petal, (f) bracts, (g) staminate column, (h) and (i) green bolls, (j) boll with peduncle, and (k) open boll.
Figure 19. Features of the monotelodisomic cotton lines for chromosome 6: (a) bush, (b) configurations of the chromosomes (25II + Ii), (c) leaf, (d) flower, (e) petal, (f) bracts, (g) staminate column, (h) and (i) green bolls, (j) boll with peduncle, and (k) open boll.
Plants 11 00542 g019
Figure 20. Crossing of aneuploid lines of cotton G. hirsutum L. with the interspecific aneuploidy hybrid F1 (Mo × Pima 3-79 or Telo × Pima 3-79).
Figure 20. Crossing of aneuploid lines of cotton G. hirsutum L. with the interspecific aneuploidy hybrid F1 (Mo × Pima 3-79 or Telo × Pima 3-79).
Plants 11 00542 g020
Figure 21. Setting of BC1F1 hybrid seeds obtained from crosses of aneuploid lines of cotton G. hirsutum L. with interspecific aneuploid F1 hybrids (Mo × Pima 3-79 or Telo × Pima 3-79).
Figure 21. Setting of BC1F1 hybrid seeds obtained from crosses of aneuploid lines of cotton G. hirsutum L. with interspecific aneuploid F1 hybrids (Mo × Pima 3-79 or Telo × Pima 3-79).
Plants 11 00542 g021
Figure 22. Germination of BC1F1 hybrid seeds obtained from crosses of aneuploid lines of cotton G. hirsutum L. with interspecific aneuploid F1 hybrids (Mo × Pima 3-79 or Telo × Pima 3-79).
Figure 22. Germination of BC1F1 hybrid seeds obtained from crosses of aneuploid lines of cotton G. hirsutum L. with interspecific aneuploid F1 hybrids (Mo × Pima 3-79 or Telo × Pima 3-79).
Plants 11 00542 g022
Figure 23. Metaphase I in BC1F1 hybrids obtained from crosses of monosomic lines with interspecific monosomic F1 (Mo × Pima 3-79) hybrids: (a) substitution of chromosome 6 (Mo92 × F15395) (10402) (25II + 1I); (b) substitution of chromosome 12 (Mo94 × F183) (2991) (25II + 1I); (c) substitution of chromosome 4 BC1F1 (Mo58 × F15303) (1151); (d) BC1F1 (Mo60 × F16945) (1175); and (e) BC1F1 (Mo75 × F11042) (2983) (25II + 1I). (Univalent arrowed). Scale bar = 10 µm.
Figure 23. Metaphase I in BC1F1 hybrids obtained from crosses of monosomic lines with interspecific monosomic F1 (Mo × Pima 3-79) hybrids: (a) substitution of chromosome 6 (Mo92 × F15395) (10402) (25II + 1I); (b) substitution of chromosome 12 (Mo94 × F183) (2991) (25II + 1I); (c) substitution of chromosome 4 BC1F1 (Mo58 × F15303) (1151); (d) BC1F1 (Mo60 × F16945) (1175); and (e) BC1F1 (Mo75 × F11042) (2983) (25II + 1I). (Univalent arrowed). Scale bar = 10 µm.
Plants 11 00542 g023
Figure 24. Metaphase I in BC1F1 hybrids obtained from crosses of monosomic lines with interspecific monosomic F1 (Mo × Pima 3-79) hybrids: (a) substitution of chromosome 7 (Mo27 × F16874) (1115) (25II + 1I); (b) substitution of chromosome 18 (Mo48 × F152916) (1141) (25II +1I); (c) substitution of chromosome 22 (Mo17 × F16857) (1101) (25II + 1I). (Univalent arrowed.) Scale bar = 10 µm.
Figure 24. Metaphase I in BC1F1 hybrids obtained from crosses of monosomic lines with interspecific monosomic F1 (Mo × Pima 3-79) hybrids: (a) substitution of chromosome 7 (Mo27 × F16874) (1115) (25II + 1I); (b) substitution of chromosome 18 (Mo48 × F152916) (1141) (25II +1I); (c) substitution of chromosome 22 (Mo17 × F16857) (1101) (25II + 1I). (Univalent arrowed.) Scale bar = 10 µm.
Plants 11 00542 g024
Figure 25. Telophase II in a monosomic BC1F1 (Mo48 × F152916) hybrid (1141): (a) dyad; (b) pentad; (c) octad. Scale bar = 40 µm.
Figure 25. Telophase II in a monosomic BC1F1 (Mo48 × F152916) hybrid (1141): (a) dyad; (b) pentad; (c) octad. Scale bar = 40 µm.
Plants 11 00542 g025
Figure 26. Fertile (coloured) and sterile (uncoloured) pollen grains in a aneuploid hybrid BC1F1 obtained from a cross between a aneuploid line and a aneuploid hybrid F1 (Mo × Pima 3-79 or Telo × Pima 3-79): (a,b) BC1F1 (Mo60 × F16945) (1174); (c) BC1F1 (Mo34 × F16889) (2933); and (d) BC1F1 (Telo12 × F15428) (56115).
Figure 26. Fertile (coloured) and sterile (uncoloured) pollen grains in a aneuploid hybrid BC1F1 obtained from a cross between a aneuploid line and a aneuploid hybrid F1 (Mo × Pima 3-79 or Telo × Pima 3-79): (a,b) BC1F1 (Mo60 × F16945) (1174); (c) BC1F1 (Mo34 × F16889) (2933); and (d) BC1F1 (Telo12 × F15428) (56115).
Plants 11 00542 g026
Figure 27. Chromosome identification of monosomic BC1F1 (Mo16 × F1986) hybrids. SSR primer pairs specific for chromosome 2 of the Atsubgenome JESPR179.
Figure 27. Chromosome identification of monosomic BC1F1 (Mo16 × F1986) hybrids. SSR primer pairs specific for chromosome 2 of the Atsubgenome JESPR179.
Plants 11 00542 g027
Figure 28. Chromosome identification of monosomic BC1F1 (Mo34 × F16889) hybrids. SSR primer pairs specific for chromosome 6 of the Atsubgenome Gh082.
Figure 28. Chromosome identification of monosomic BC1F1 (Mo34 × F16889) hybrids. SSR primer pairs specific for chromosome 6 of the Atsubgenome Gh082.
Plants 11 00542 g028
Figure 29. Plants of the parental lines L-458 (a) and Pima 3-79 (b) disomic F1 hybrid L-458 × Pima 3-79 (c) (Mo × Pima 3-79) and F1BC1 obtained from crosses of the recurrent parent; (d) monosomic line for chromosome 2, Mo16; (e) F1(Mo16 × Pima 3-79) (982); and (f) substitution of chromosome 2 BC1F1(Mo16 × F1982) (9237).
Figure 29. Plants of the parental lines L-458 (a) and Pima 3-79 (b) disomic F1 hybrid L-458 × Pima 3-79 (c) (Mo × Pima 3-79) and F1BC1 obtained from crosses of the recurrent parent; (d) monosomic line for chromosome 2, Mo16; (e) F1(Mo16 × Pima 3-79) (982); and (f) substitution of chromosome 2 BC1F1(Mo16 × F1982) (9237).
Plants 11 00542 g029
Figure 30. Plants of monosomic line G. hirsutum for chromosome 4, Mo59 (a); F1Mo59 × Pima 3-79 (5312) (b); and BC1F1 (Mo59 × F15312) (10414) with substitution for chromosome 4 G. barbadense (c).
Figure 30. Plants of monosomic line G. hirsutum for chromosome 4, Mo59 (a); F1Mo59 × Pima 3-79 (5312) (b); and BC1F1 (Mo59 × F15312) (10414) with substitution for chromosome 4 G. barbadense (c).
Plants 11 00542 g030
Figure 31. Plants of monosomic line G. hirsutum for chromosome 6, Mo34 (a); F1Mo34 × Pima 3-79 (6889) (b); and BC1F1 (Mo34 × F16889) (2933) with substitution for chromosome 6 G. barbadense (c).
Figure 31. Plants of monosomic line G. hirsutum for chromosome 6, Mo34 (a); F1Mo34 × Pima 3-79 (6889) (b); and BC1F1 (Mo34 × F16889) (2933) with substitution for chromosome 6 G. barbadense (c).
Plants 11 00542 g031
Figure 32. Plants of monosomic line G. hirsutum for chromosome 7, Mo27 (a); F1Mo27 × Pima 3-79 (6874) (b); and BC1F1 (Mo27 × F16874) (1112) with substitution for chromosome 7 G. barbadense (c).
Figure 32. Plants of monosomic line G. hirsutum for chromosome 7, Mo27 (a); F1Mo27 × Pima 3-79 (6874) (b); and BC1F1 (Mo27 × F16874) (1112) with substitution for chromosome 7 G. barbadense (c).
Plants 11 00542 g032
Figure 33. Plants of monosomic line G. hirsutum for chromosome 12, Mo94 (a); F1Mo94 × Pima 3-79 (81) (b); and BC1F1 (Mo94 × F181) (2991) with substitution for chromosome 12 G. barbadense (c).
Figure 33. Plants of monosomic line G. hirsutum for chromosome 12, Mo94 (a); F1Mo94 × Pima 3-79 (81) (b); and BC1F1 (Mo94 × F181) (2991) with substitution for chromosome 12 G. barbadense (c).
Plants 11 00542 g033
Figure 34. Plants of monosomic line G. hirsutum for chromosome 17, Mo56 (a); F1Mo56 × Pima 3-79 (417) (b); and BC1F1 (Mo56 × F1417) (5138) with substitution for chromosome 17 G. barbadense (c).
Figure 34. Plants of monosomic line G. hirsutum for chromosome 17, Mo56 (a); F1Mo56 × Pima 3-79 (417) (b); and BC1F1 (Mo56 × F1417) (5138) with substitution for chromosome 17 G. barbadense (c).
Plants 11 00542 g034
Figure 35. Plants of monosomic line G. hirsutum for chromosome 18, Mo48 (a); F1Mo48 × Pima 3-79 (52916) (b); and BC1F1 (Mo48 × F152916) (11420) with substitution for chromosome 18 G. barbadense (c).
Figure 35. Plants of monosomic line G. hirsutum for chromosome 18, Mo48 (a); F1Mo48 × Pima 3-79 (52916) (b); and BC1F1 (Mo48 × F152916) (11420) with substitution for chromosome 18 G. barbadense (c).
Plants 11 00542 g035
Figure 36. Plants of monosomic line G. hirsutum for chromosome 21, Mo42 (a); F1 Mo42 × Pima 3-79 (5281) (b); and BC1F1 (Mo42 × F15281) (7821) with substitution for chromosome 21 G. barbadense (c).
Figure 36. Plants of monosomic line G. hirsutum for chromosome 21, Mo42 (a); F1 Mo42 × Pima 3-79 (5281) (b); and BC1F1 (Mo42 × F15281) (7821) with substitution for chromosome 21 G. barbadense (c).
Plants 11 00542 g036
Figure 37. Plants of monosomic line G. hirsutum for chromosome 22, Mo17 (a); F1 Mo17 × Pima 3-79 (6857) (b); and BC1F1 (Mo17 × F16857) (1101) with substitution for chromosome 22 G. barbadense (c).
Figure 37. Plants of monosomic line G. hirsutum for chromosome 22, Mo17 (a); F1 Mo17 × Pima 3-79 (6857) (b); and BC1F1 (Mo17 × F16857) (1101) with substitution for chromosome 22 G. barbadense (c).
Plants 11 00542 g037
Figure 38. Plants of the parental line and monotelodisome F1 and F1BC1 cotton hybrids obtained from crosses of the recurrent parent with monotelodisome F1 hybrids (Telo12 × Pima 3-79): (a) monotelodisome line Telo12, chromosome 6; (b) F1 Telo12 × Pima 3-79 (54216); and (c) BC1F1 (Telo12 × F154216) (56115) with substitution of an arm of chromosome 6.
Figure 38. Plants of the parental line and monotelodisome F1 and F1BC1 cotton hybrids obtained from crosses of the recurrent parent with monotelodisome F1 hybrids (Telo12 × Pima 3-79): (a) monotelodisome line Telo12, chromosome 6; (b) F1 Telo12 × Pima 3-79 (54216); and (c) BC1F1 (Telo12 × F154216) (56115) with substitution of an arm of chromosome 6.
Plants 11 00542 g038
Figure 39. Plants of the parental line and monotelodisomic F1 and F1BC1 hybrids obtained from crosses of the recurrent parent with monotelodisome F1 hybrids (Telo × Pima 3-79): (a) monotelodisome line Mo21, chromosome 11; (b) F1Mo21 × Pima 3-79 (1021); and (c) BC1F1(Mo21 × F11021) (2921) with substitution of an arm of chromosome 11.
Figure 39. Plants of the parental line and monotelodisomic F1 and F1BC1 hybrids obtained from crosses of the recurrent parent with monotelodisome F1 hybrids (Telo × Pima 3-79): (a) monotelodisome line Mo21, chromosome 11; (b) F1Mo21 × Pima 3-79 (1021); and (c) BC1F1(Mo21 × F11021) (2921) with substitution of an arm of chromosome 11.
Plants 11 00542 g039
Table 1. Microsatellite markers used in the analysis of monosomic interspecific hybrids of cotton.
Table 1. Microsatellite markers used in the analysis of monosomic interspecific hybrids of cotton.
ChromosomeSSR MarkerCollectionSize of the PCR Products for each SSR Marker, n. b. p. *Literature Source
G. hirsutum
(L-458)
G. barbadense
(Pima 3-79)
12BNL1227BNL157, 186171[36]
BNL3835BNL193185[36]
BNL1707BNL144, 154144, 153, 157[36]
BNL3594BNL182, 232184, 200[36]
BNL3886BNL229200, 231[36]
BNL3261BNL203195[36]
17BNL1606BNL191175, 187[36]
BNL2496BNL96, 11296, 129[36]
BNL3371BNL167, 194167, 189[36]
BNL3955BNL165156, 189[36]
BNL2471BNL195191[36]
TMB0874TMB198187[37]
TMB2018TMB228, 231228, 256[37]
21BNL1705BNL192168[36]
22BNL673BNL192190[36]
telo 6BNL2884BNL192190[36]
TMB0154TMB258246[37]
* n. b. p.—nucleotide base pairs.
Table 2. Origin and some features of monosomic G. hirsutum L. lines.
Table 2. Origin and some features of monosomic G. hirsutum L. lines.
Monosomic LineOriginYear ObtainedChromosomeMorphological Characteristics
SizeIdentity
Mo94Pollen irradiation at a dose of 20 Gy in M32003Large12 At
subgenome
Shortened sympodial branches, leaves with slightly curved edges, small bolls, short pedicels (1–1.5 cm), small bracts (3.5–5 cm), a small number of stamens (from 55 to 75), and the absence of external nectaries, with internal nectaries rarely present.
Mo56Irradiation by thermal neutrons at a dose of 35 Gy in M11995
Medium- small17 Dt
subgenome
Compact bush, small leaves, short petioles, small ovoid bolls, abundant budding but weak seed setting, small flowers, short stalks (up to 1 cm), small bracts (3.2–4.0 cm), a small number of teeth in the bracts (from 9 to 15 pcs.), the absence of internal nectaries and the rare presence of external nectaries, and a small number of stamens (from 60 to 70).
Mo42Pollen irradiation at a dose of 20 Gy in M11994Medium-small21 Dt
subgenome
Compact bush, small three-lobed leaves, shortened sympodial branches, small ovoid bolls, sometimes of the cluster type, abundant budding, small flowers, short stalks (up to 1–1.4 cm), small bracts (2.5–4.5 cm), a small number of teeth in the bracts (from 10 to 14 pcs.), average number of stamens (104 pcs.), and absence of external and internal nectaries.
Mo17Pollen irradiation at a dose of 25 Gy in M11991Medium-small22 Dt
subgenome
Lush bush, elongated leaf blades, elongated bracts and pedicels, elongated ribbed bolls, medium stalks (up to 1.6 cm), small bracts (3.5–4.5 cm), a small protrusion of the stigma (0.5 cm), and small bolls.
Telo12Pollen irradiation at a dose of 20 Gy to progeny Mo21 in M22000LargeTelo 6 At
subgenome
Compact bush, abundant budding, spherical bolls, small peduncles (1 cm) and bracts (3.5–4.5 cm), a small number of teeth on the bracts (9 to 15 pcs.), stamens (60 to 70), and a small protrusion of the stigma (0.6–1 cm).
Table 3. Analysis of microsatellite markers (SSRs) across cotton families.
Table 3. Analysis of microsatellite markers (SSRs) across cotton families.
ChromosomeHybridFamilyPlant NumberPresence of Markers for G. barbadense L.
2BC1F1(Mo16 × F1986)Family 19221
9222BNL834, TMB0471, JESPR179
9223
9224
9225
9226
9227
9228BNL834, TMB0471, JESPR179
Family 29231
9232
9233
9234
9235
9236
9237BNL834,TMB0471, JESPR179
4BC1F1(Mo31 × F17701)Family 19241TMB0809, Gh117, BNL2572, Gh107
9242
9243
9244
9245
9246
BC1F1(Mo38 × F169011)Family 19251
9252
9253
9254BNL2572, Gh107, TMB0809, Gh117
9255
9256
9257BNL2572, Gh107, TMB0809, Gh117
9258
9259
92510
92511BNL2572, TMB0809, Gh117
Table 4. Analysis of microsatellite markers (SSRs) in cotton interspecific BC1F1 hybrids.
Table 4. Analysis of microsatellite markers (SSRs) in cotton interspecific BC1F1 hybrids.
ChromosomeHybridHybrid Plant NumberPresence of Markers for G. barbadense
4BC1F1Mo60 × F169451175Gh107, Gh117, TMB0809,CIR249, JESPR234
BC1F1Mo75 × F110422982BNL2572, Gh107, Gh117, TMB0809, CIR249, JESPR234
2983BNL2572, Gh107, Gh117, TMB0809, CIR249, JESPR234
6BC1F1Mo34 × F168892933BNL1440, BNL2884, BNL3359, BNL3650, TMB0154, TMB0853, TMB1277, TMB1538, Gh039, Gh082
BC1F1Mo92 × F1539510402BNL1440, BNL2884, BNL3359, BNL3650, TMB0154, TMB0853, TMB1277, TMB1538, Gh039, Gh082
12BC1F1Mo94 × F1812991BNL1227, BNL3835
BC1F1Mo94 × F1812992BNL3594
22BC1F1Mo17 × F168571103BNL673
Table 5. Microsatellite markers used in the analysis of cotton monosomic interspecific BC1F1 hybrids.
Table 5. Microsatellite markers used in the analysis of cotton monosomic interspecific BC1F1 hybrids.
ChromosomeSSR MarkerCollectionSize of the PCR Products for each SSR Marker, n. b. p. *Literature Source
G. hirsutum L.
(L-458)
G. barbadense L.
(Pima 3-79)
2BNL834BNL120-[36]
BNL3971BNL140116[36]
JESPR179JESPR174152[40]
TMB0471TMB213173Detected using GelAnalyzer 19.1 software
4BNL2572BNL248234[36]
Gh107Gh380280[38]
Gh117Gh260240[38]
TMB0809TMB208146Detected using GelAnalyzer 19.1 software
6BNL1440BNL256266[36]
Gh039Gh125120[38]
Gh082Gh175155[38]
TMB0154TMB258246[37]
TMB0853TMB249237[37]
TMB1277TMB251263[37]
TMB1538TMB208196[37]
12BNL1227BNL157, 186171[36]
BNL3835BNL193185[36]
BNL1707BNL144, 154144, 153, 157[36]
BNL3594BNL182, 232184, 200[36]
BNL3886BNL229200, 231[36]
BNL3261BNL203195[36]
17BNL1606BNL191175, 187[36]
BNL2496BNL96, 11296, 129[36]
BNL3371BNL167, 194167, 189[36]
BNL3955BNL165156, 189[36]
BNL2471BNL195191[36]
TMB0874TMB198187[37]
TMB2018TMB228, 231228, 256[37]
21BNL1705BNL192168[36]
22BNL673BNL192190[36]
Publisher’s Note: MDPI stays neutral with regard to jurisdictional claims in published maps and institutional affiliations.

Share and Cite

MDPI and ACS Style

Sanamyan, M.F.; Bobohujayev, S.U.; Abdukarimov, S.S.; Makamov, A.K.; Silkova, O.G. Features of Chromosome Introgression from Gossypium barbadense L. into G. hirsutum L. during the Development of Alien Substitution Lines. Plants 2022, 11, 542. https://doi.org/10.3390/plants11040542

AMA Style

Sanamyan MF, Bobohujayev SU, Abdukarimov SS, Makamov AK, Silkova OG. Features of Chromosome Introgression from Gossypium barbadense L. into G. hirsutum L. during the Development of Alien Substitution Lines. Plants. 2022; 11(4):542. https://doi.org/10.3390/plants11040542

Chicago/Turabian Style

Sanamyan, Marina Feliksovna, Shukhrat Umarovich Bobohujayev, Sharoffidin Sayfiddinovich Abdukarimov, Abdusalom Khasanboyevich Makamov, and Olga Gennadevna Silkova. 2022. "Features of Chromosome Introgression from Gossypium barbadense L. into G. hirsutum L. during the Development of Alien Substitution Lines" Plants 11, no. 4: 542. https://doi.org/10.3390/plants11040542

APA Style

Sanamyan, M. F., Bobohujayev, S. U., Abdukarimov, S. S., Makamov, A. K., & Silkova, O. G. (2022). Features of Chromosome Introgression from Gossypium barbadense L. into G. hirsutum L. during the Development of Alien Substitution Lines. Plants, 11(4), 542. https://doi.org/10.3390/plants11040542

Note that from the first issue of 2016, this journal uses article numbers instead of page numbers. See further details here.

Article Metrics

Back to TopTop