Self-Incompatibility in Apricot: Identifying Pollination Requirements to Optimize Fruit Production
Abstract
1. Introduction
2. Results
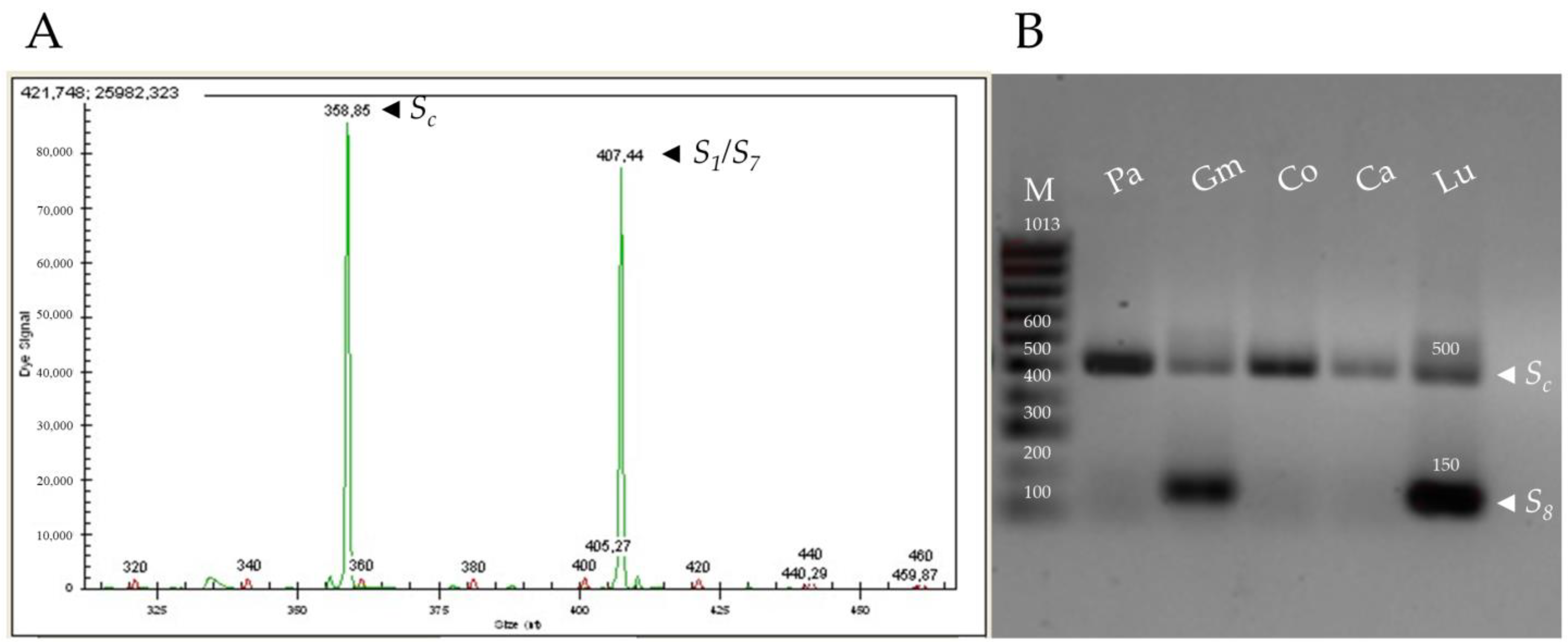
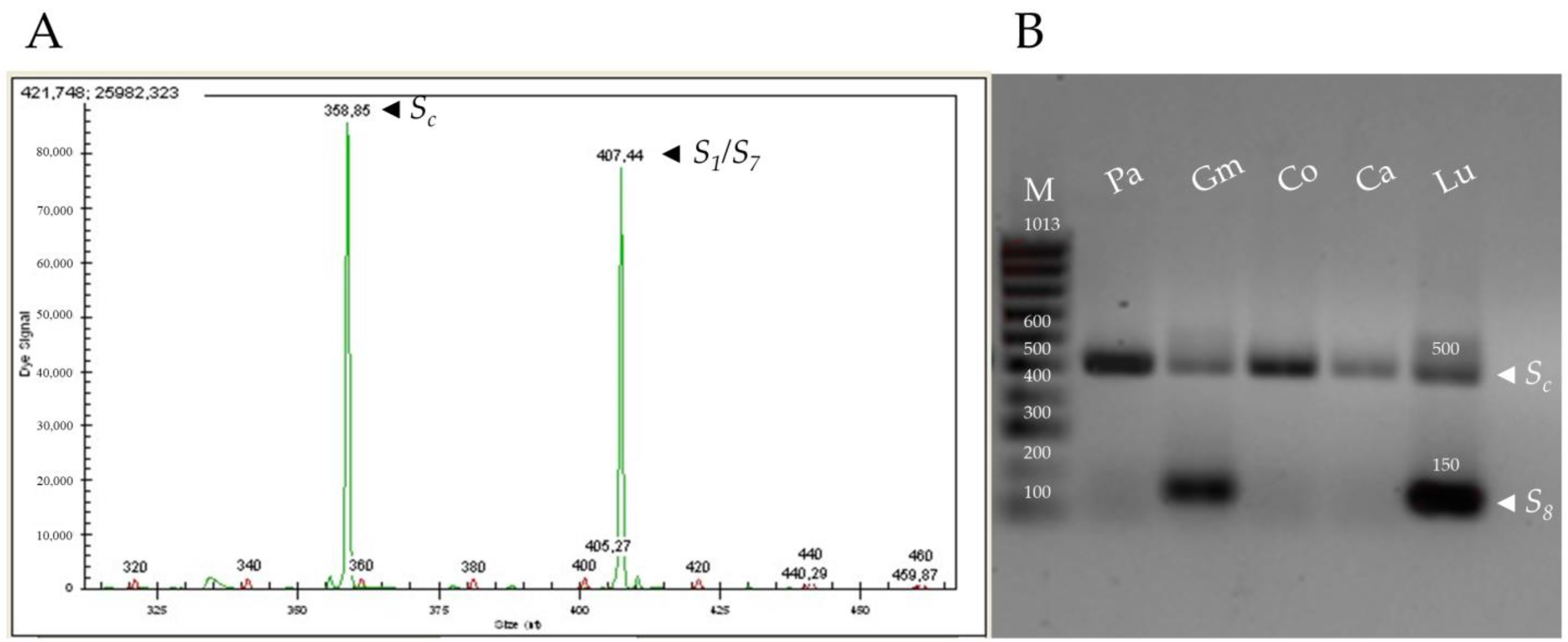
2.1. S-Alleles and Incompatibility Groups
2.2. Diversity in the S-Locus Region
3. Discussion
3.1. Self- and Cross-Incompatibility in Apricot
3.2. Current Genetic Diversity at the S-Locus
3.3. Self-Compatibility and Diversity
4. Materials and Methods
4.1. Plant Material
4.2. DNA Extraction and S-Allele Identification
4.3. Pollination Experiments
4.4. S-Allele Diversity Analysis
5. Conclusions
Supplementary Materials
Author Contributions
Funding
Data Availability Statement
Acknowledgments
Conflicts of Interest
References
- Janick, J. The Origin of Fruits, Fruit Frowing and Fruit Breeding. Plant Breed. Rev. 2005, 25, 255–320. [Google Scholar] [CrossRef]
- Groppi, A.; Liu, S.; Cornille, A.; Decroocq, S.; Bui, Q.T.; Tricon, D.; Cruaud, C.; Arribat, S.; Belser, C.; Marande, W.; et al. Population genomics of apricots unravels domestication history and adaptive events. Nat. Commun. 2021, 12, 3956. [Google Scholar] [CrossRef]
- Faust, M.; Surányi, D.; Nyujtó, F. Origin and Dissemination of Apricot. Hortic. Rev. 1998, 22, 225–266. [Google Scholar] [CrossRef]
- FAOSTAT. Available online: http://www.fao.org/faostat/es/ (accessed on 24 June 2022).
- Dirlewanger, E.; Graziano, E.; Joobeur, T.; Garriga-Caldere, F.; Cosson, P.; Howad, W.; Arus, P. Comparative mapping and marker-assisted selection in Rosaceae fruit crops. Proc. Natl. Acad. Sci. USA 2004, 101, 9891–9896. [Google Scholar] [CrossRef] [PubMed]
- Layne, R.E.C.; Bailey, C.; Hough, L.F. Apricots. In Fruit Breeding, Volume I: Tree and Tropical Fruits; Janick, J., Moore, J.N., Eds.; JohnWiley & Sons, Inc.: New York, NY, USA, 1996; pp. 79–111. [Google Scholar]
- Herrera, S.; Lora, J.; Hormaza, J.I.; Rodrigo, J. Pollination Management in Stone Fruit Crops. In Production Technology of Stone Fruits; Mir, M.M., Iqbal, M., Mir, S.A., Eds.; Springer: Singapore, 2021; pp. 75–102. [Google Scholar]
- Bourguiba, H.; Scotti, I.; Sauvage, C.; Zhebentyayeva, T.; Ledbetter, C.; Krška, B.; Remay, A.; D’Onofrio, C.; Iketani, H.; Christen, D.; et al. Genetic Structure of a Worldwide Germplasm Collection of Prunus armeniaca L. Reveals Three Major Diffusion Routes for Varieties Coming From the Species’ Center of Origin. Front. Plant Sci. 2020, 11, 638. [Google Scholar] [CrossRef]
- Hegedűs, A.; Lénárt, J.; Halász, J. Sexual incompatibility in Rosaceae fruit tree species: Molecular interactions and evolutionary dynamics. Biol. Plant. 2012, 56, 201–209. [Google Scholar] [CrossRef]
- Tao, R.; Yamane, H.; Sassa, H.; Mori, H.; Gradziel, T.M.; Dandekar, A.M.; Sugiura, A. Identification of stylar RNases associated with gametophytic self-incompatibility in almond (Prunus dulcis). Plant Cell Physiol. 1997, 38, 304–311. [Google Scholar] [CrossRef]
- Muñoz-Sanz, J.V.; Zuriaga, E.; Cruz-García, F.; McClure, B.; Romero, C. Self-(In)compatibility Systems: Target Traits for Crop-Production, Plant Breeding, and Biotechnology. Front. Plant Sci. 2020, 11, 195. [Google Scholar] [CrossRef]
- de Nettancourt, N. Incompatibility and Incongruity in Wild and Cultivated Plants; Springer: Berlin/Heidelberg, Germany, 2001. [Google Scholar]
- Ushijima, K.; Sassa, H.; Dandekar, A.M.; Gradziel, T.M.; Tao, R.; Hirano, H. Structural and transcriptional analysis of the self-incompatibility locus of almond: Identification of a pollen-expressed F-box gene with haplotype-specific polymorphism. Plant Cell 2003, 15, 771–781. [Google Scholar] [CrossRef]
- Cachi, A.M.; Hedhly, A.; Hormaza, J.I.; Wünsch, A. Pollen tube growth in the self-compatible sweet cherry genotype, ‘Cristobalina’, is slowed down after self-pollination. Ann. Appl. Biol. 2014, 164, 73–84. [Google Scholar] [CrossRef]
- Socias i Company, R.; Kodad, O.; Fernández, A.; Alonso, J.M. Mutations conferring self-compatibility in Prunus species: From deletions and insertions to epigenetic alterations. Sci. Hortic. 2015, 192, 125–131. [Google Scholar] [CrossRef]
- Muñoz-Sanz, J.V.; Zuriaga, E.; López, I.; Badenes, M.L.; Romero, C. Self-(in)compatibility in apricot germplasm is controlled by two major loci, S and M. BMC Plant Biol. 2017, 17, 82. [Google Scholar] [CrossRef]
- Boubakri, A.; Krichen, L.; Batnini, M.A.; Trifi-Farah, N.; Roch, G.; Audergon, J.M.; Bourguiba, H. Self-(in)compatibility analysis of apricot germplasm in Tunisia: S-RNase allele identification, S-genotype determination and crop history evolution. Sci. Hortic. 2021, 276, 109758. [Google Scholar] [CrossRef]
- Milatovic, D.; Nikolic, D.; Fotiric-Aksic, M.; Radovic, A. Testing of self-(in)compatibility in apricot cultivars using fluorescence microscopy. Acta Sci. Pol. Hortorum Cultus 2013, 12, 103–113. [Google Scholar] [CrossRef]
- Milatović, D.; Nikolić, D.; Krška, B. Testing of self-(in)compatibility in apricot cultivars from European breeding programmes. Hortic. Sci. 2013, 40, 65–71. [Google Scholar] [CrossRef]
- Milatović, D.; Nikolić, D.; Radovic, A.; Krška, B. Fluorescence microscopy as a tool for determining self- incompatibility in apricot cultivars. Acta Hortic. 2018, 1214, 7–14. [Google Scholar] [CrossRef]
- Herrera, S.; Lora, J.; Hormaza, J.I.; Herrero, M.; Rodrigo, J. Optimizing production in the new generation of apricot cultivars: Self-incompatibility, S-RNase allele identification, and incompatibility group assignment. Front. Plant Sci. 2018, 9, 527. [Google Scholar] [CrossRef]
- Herrera, S.; Rodrigo, J.; Hormaza, J.I.; Lora, J. Identification of self-incompatibility alleles by specific PCR analysis and S-RNase sequencing in apricot. Int. J. Mol. Sci. 2018, 19, 3612. [Google Scholar] [CrossRef] [PubMed]
- Herrera, S.; Lora, J.; Hormaza, J.I.; Rodrigo, J. Determination of Self- and Inter-(in)compatibility Relationships in Apricot Combining Hand-Pollination, Microscopy and Genetic Analyses. JoVE (J. Vis. Exp.) 2020, 160, e60241. [Google Scholar] [CrossRef]
- Halász, J.; Hegedus, A.; Hermán, R.; Stefanovits-Bányai, É.; Pedryc, A. New self-incompatibility alleles in apricot (Prunus armeniaca L.) revealed by stylar ribonuclease assay and S-PCR analysis. Euphytica 2005, 145, 57–66. [Google Scholar] [CrossRef]
- Vilanova, S.; Romero, C.; Llacer, G.; Badenes, M.L.; Burgos, L. Identification of Self-(in)compatibility Alleles in Apricot by PCR and Sequence Analysis. J. Am. Soc. Hortic. Sci. 2005, 130, 893–898. [Google Scholar] [CrossRef]
- Zhang, L.; Chen, X.; Chen, X.; Zhang, C.; Liu, X.; Ci, Z.; Zhang, H.; Wu, C.; Liu, C. Identification of self-incompatibility (S-) genotypes of Chinese apricot cultivars. Euphytica 2008, 160, 241–248. [Google Scholar] [CrossRef]
- Murathan, Z.T.; Kafkas, S.; Asma, B.M.; Topçu, H. S_allele identification and genetic diversity analysis of apricot cultivars. J. Hortic. Sci. Biotechnol. 2017, 92, 251–260. [Google Scholar] [CrossRef]
- Zhebentyayeva, T.; Ledbetter, C.; Burgos, L.; Llácer, G. Apricot. In Fruit Breeding; Badenes, M.L., Byrne, D.H., Eds.; Springer: Boston, MA, USA, 2012; ISBN 978-1-4419-0762-2. [Google Scholar]
- Krška, B. Genetic Apricot Resources and their Utilisation in Breeding. In Breeding and Health Benefits of Fruit and Nut Crops; Soneji, J.R., Nageswara-Rao, M., Eds.; IntechOpen: London, UK, 2018. [Google Scholar]
- Roy, A.S.; Smith, I.M. Plum pox situation in Europe. EPPO Bull. 1994, 24, 515–523. [Google Scholar] [CrossRef]
- García, J.A.; Cambra, M. Plum pox virus and sharka disease. Plant Viruses 2007, 1, 69–79. [Google Scholar]
- Halász, J.; Pedryc, A.; Ercisli, S.; Yilmaz, K.U.; Hegedűs, A. S-genotyping supports the genetic relationships between Turkish and Hungarian apricot germplasm. J. Am. Soc. Hortic. Sci. 2010, 135, 410–417. [Google Scholar] [CrossRef]
- Kodad, O.; Hegedűs, A.; Socias i Company, R.; Halász, J. Self-(in)compatibility genotypes of Moroccan apricots indicate differences and similarities in the crop history of European and North African apricot germplasm. BMC Plant Biol. 2013, 13, 196. [Google Scholar] [CrossRef]
- Alburquerque, N.; Egea, J.; Pérez-Tornero, O.; Burgos, L. Genotyping apricot cultivars for self-(in)compatibility by means of RNases associated with S alleles. Plant Breed. 2002, 121, 343–347. [Google Scholar] [CrossRef]
- Lachkar, A.; Fattouch, S.; Ghazouani, T.; Halasz, J.; Pedryc, A.; Hegedüs, A. Identification of self-(in)compatibility S-alleles and new cross-incompatibility groups in Tunisian apricot (Prunus armeniaca L.) cultivars. J. Hortic. Sci. Biotechnol. 2013, 88, 497–501. [Google Scholar] [CrossRef]
- Halasz, J.; Hegedus, A.; Szikriszt, B.; Ercisli, S.; Orhan, E.; Unlu, H.M. The S-genotyping of wild-grown apricots reveals only self-incompatible accessions in the Erzincan region of Turkey. Turk. J. Biol. 2013, 37, 733–740. [Google Scholar] [CrossRef]
- Yilmaz, K.U.; Basbug, B.; Gurcan, K.; Halasz, J.; Ercisli, S.; Uzun, A.; Cocen, E. S-Genotype Profiles of Turkish Apricot Germplasm. Not. Bot. Horti Agrobo. 2016, 44, 67–71. [Google Scholar] [CrossRef][Green Version]
- Egea, J.; Dicenta, F.; Burgos, L.; Martínez-Gómez, P.; Rubio, M.; Campoy, J.; Ortega, E.; Patiño, J.; Nortes, L.; Molina, A.; et al. New Apricot Cultivars From Cebas-Csic (Murcia, Spain) Breeding Programme. Acta Hortic. 2010, 862, 113–118. [Google Scholar] [CrossRef]
- Ruiz, D.; Molina, A.; Nortes, M.D.; Molina Jr., A.; Ortega, E.; Martínez-Gómez, P.; Dicenta, F.; Rubio, M.; Egea, J. New apricot selections from the CEBAS-CSIC breeding program (Murcia, Spain) that broaden fruit ripening time. Acta Hortic. 2018, 1214, 217–220. [Google Scholar] [CrossRef]
- Badenes, M.L.; Martínez-Calvo, J.; Gómez, H.; Zuriaga, E. ‘Dama taronja’ and ‘dama rosa’ apricot cultivars that are resistant to sharka (Plum pox virus). HortScience 2018, 53, 1228–1229. [Google Scholar] [CrossRef]
- Audergon, J.M.; Duffillol, J.M.; Gilles, F.; Clauzel, G.; Chauffour, D.; Giard, A.; Blanc, A.; Broquaire, J.M.; Moulon, B. “Solédane”, “Florilège” and “Bergarouge ®” Avirine: Three new apricot cultivars for French country. Acta Hortic. 2006, 701, 395–398. [Google Scholar] [CrossRef]
- Audergon, J.M.; Blanc, A.; Gilles, F.; Clauzel, G.; Broquaire, J.M.; Gouble, B.; Grotte, M.; Reich, M.; Bureau, S.; Frémondière, G.; et al. An integrated apricot breeding program in France joining CEP innovation—CENTREX and INRA. Acta Hortic. 2012, 966, 17–22. [Google Scholar] [CrossRef]
- Fremondiere, G.; Blanc, A.; Gilles, F.; Clauzel, G.; Broquaire, J.M.; Roch, G.; Gouble, B. Selections issued from CEP Innovation, Centrex and INRA: The apricot breeding program in France. Acta Hortic. 2018, 1214, 207–210. [Google Scholar] [CrossRef]
- Bassi, D.; Rizzo, M.; Foschi, S. Breeding apricot in northern Italy. Acta Hortic. 2010, 862, 151–158. [Google Scholar] [CrossRef]
- Ledbetter, C.A. Apricot Breeding in North America: Current Status and Future Prospects. Acta Hortic. 2010, 862, 85–92. [Google Scholar] [CrossRef]
- Feng, J.; Chen, X.; Wu, Y.; Liu, W.; Liang, Q.; Zhang, L. Detection and transcript expression of S-RNase gene associated with self-incompatibility in apricot (Prunus armeniaca L.). Mol. Biol. Rep. 2006, 33, 215–221. [Google Scholar] [CrossRef]
- Donoso, J.M.; Aros, D.; Meneses, C.; Infante, R. Identification of S-alleles associated with self-incompatibility in apricots (Prunus armeniaca L.) using molecular markers. J. Food Agric. Environ. 2009, 7, 270–273. [Google Scholar]
- Egea, J.; Burgos, L. Detecting Cross-incompatibility of Three North American Apricot Cultivars and Establishing the First Incompatibility Group in Apricot. J. Am. Soc. Hortic. Sci. 1996, 121, 1002–1005. [Google Scholar] [CrossRef]
- Burgos, L.; Pérez-Tornero, O.; Ballester, J.; Olmos, E. Detection and inheritance of stylar ribonucleases associated with incompatibility alleles in apricot. Sex. Plant Reprod. 1998, 11, 153–158. [Google Scholar] [CrossRef]
- Herrera, S.; Lora, J.; Hormaza, I.; Rodrigo, J. Pollination requirements of new apricot (Prunus armeniaca L.) cultivars. Acta Hortic. 2022; in press. [Google Scholar]
- Campoy, J.A.; Dicenta, F.; Burgos, L.; Patin, J.L. ‘Estrella’ and ‘Sublime’ Apricot Cultivars. HortScience 2009, 44, 469–470. [Google Scholar]
- Halász, J.; Pedryc, A.; Hegedus, A. Origin and dissemination of the pollen-part mutated SC haplotype which confers self-compatibility in apricot (Prunus armeniaca). New Phytol. 2007, 176, 792–803. [Google Scholar] [CrossRef] [PubMed]
- Ruiz, D.; Rubio, M.; Martínez-Gómez, P.; López-Alcolea, J.; Dicenta, F.; Ortega, E.; Nortes, M.D.; Molina, A.; Egea, J. ‘Cebasred’ and ‘Primorosa’ Apricots: Two New Self-compatible, Plum pox virus (Sharka)–resistant, and Very Early Ripening Cultivars for the Fresh Market. HortScience 2018, 53, 1919–1921. [Google Scholar] [CrossRef]
- Egea, J.; Rubio, M.; Campoy, J.A.; Dicenta, F.; Ortega, E.; Nortes, M.D.; Martínez-Gómez, P.; Molina, A.; Molina, A.; Ruiz, D. ‘Mirlo Blanco’, ‘Mirlo anaranjado’, and ‘Mirlo Rojo’: Three new very early-season apricots for the fresh market. HortScience 2010, 45, 1893–1894. [Google Scholar] [CrossRef]
- Zuriaga, E.; Muñoz-Sanz, J.V.; Molina, L.; Gisbert, A.D.; Badenes, M.L.; Romero, C. An S-Locus Independent Pollen Factor Confers Self-Compatibility in “Katy” Apricot. PLoS ONE 2013, 8, e53947. [Google Scholar] [CrossRef]
- Vilanova, S.; Soriano, J.M.; Lalli, D.A.; Romero, C.; Abbott, A.G.; Llácer, G.; Badenes, M.L. Development of SSR markers located in the G1 linkage group of apricot (Prunus armeniaca L.) using a bacterial artificial chromosome library. Mol. Ecol. Notes 2006, 6, 789–791. [Google Scholar] [CrossRef]
- Guerra, M.E.; Rodrigo, J. Japanese plum pollination: A review. Sci. Hortic. 2015, 197, 674–686. [Google Scholar] [CrossRef]
- Guerra, M.E.; Guerrero, B.I.; Casadomet, C.; Rodrigo, J. Self-(in)compatibility, S-RNase allele identification, and selection of pollinizers in new Japanese plum-type cultivars. Sci. Hortic. 2020, 261, 109022. [Google Scholar] [CrossRef]
- Egea, J.; Dicenta, F.; Burgos, L. ‘Rojo Pasión’ Apricot. HortScience 2004, 39, 1490–1491. [Google Scholar] [CrossRef]
- Kao, T.; Tsukamoto, T. The Molecular and Genetic Bases of S-RNase-Based Self-Incompatibility. Plant Cell 2004, 16 (Suppl. S1), S72–S84. [Google Scholar] [CrossRef]
- Ganopoulos, I.V.; Argiriou, A.; Tsaftaris, A.S. Determination of self-incompatible genotypes in 21 cultivated sweet cherry cultivars in Greece and implications for orchard cultivation. J. Hortic. Sci. Biotechnol. 2015, 85, 444–448. [Google Scholar] [CrossRef]
- Sapir, G.; Stern, R.A.; Shafir, S.; Goldway, M. Full compatibility is superior to semi-compatibility for fruit set in Japanese plum (Prunus salicina Lindl.) cultivars. Sci. Hortic. 2008, 116, 394–398. [Google Scholar] [CrossRef]
- Sapir, G.; Stern, R.A.; Shafir, S.; Goldway, M. S-RNase based S-genotyping of Japanese plum (Prunus salicina Lindl.) and its implication on the assortment of cultivar-couples in the orchard. Sci. Hortic. 2008, 118, 8–13. [Google Scholar] [CrossRef]
- Lachkar, A.; Mlika, M. New apricot varieties selected from the Tunisian Breeding Programme. Acta Hortic. 2006, 717, 189–192. [Google Scholar] [CrossRef]
- Muñoz-Sanz, J.V. Crossability barriers in Prunus: The Role of Modifiers in the Regulation of the Gametophytic Self-Incompatibility System. Ph.D. Thesis, Universitat Politècnica de València, Valencia, Spain, 2016. [Google Scholar]
- Zaurov, D.E.; Molnar, T.J.; Eisenman, S.W.; Ford, T.M.; Mavlyanova, R.F.; Capik, J.M.; Funk, C.R.; Goffreda, J.C. Genetic resources of apricots (Prunus armeniaca L.) in Central Asia. HortScience 2013, 48, 681–691. [Google Scholar] [CrossRef]
- Hormaza, J.I.; Yamane, H.; Rodrigo, J. Apricot. In Fruits and Nuts. Genome Mapping and Molecular Breeding in Plants; Kole, C., Ed.; Springer: Berlin/Heidelberg, Germany, 2007; Volume 4, pp. 171–187. [Google Scholar]
- Igic, B.; Lande, R.; Kohn, J.R. Loss of self-incompatibility and its evolutionary consequences. Int. J. Plant Sci. 2008, 169, 93–104. [Google Scholar] [CrossRef]
- Bedinger, P.A.; Broz, A.K.; Tovar-mendez, A.; McClure, B. Pollen-Pistil Interactions and Their Role in Mate Selection. Plant Physiol. 2017, 173, 79–90. [Google Scholar] [CrossRef]
- Bourguiba, H.; Audergon, J.M.; Krichen, L.; Trifi-Farah, N.; Mamouni, A.; Trabelsi, S.; D’Onofrio, C.; Asma, B.M.; Santoni, S.; Khadari, B. Loss of genetic diversity as a signature of apricot domestication and diffusion into the Mediterranean Basin. BMC Plant Biol. 2012, 12, 49. [Google Scholar] [CrossRef]
- Burgos, L.; Egea, J.; Guerriero, R.; Viti, R.; Monteleone, P.; Audergon, J.M. The self-compatibility trait of the main apricot cultivars and new selections from breeding programmes and new selections from breeding programmes. J. Hortic. Sci. 1997, 72, 147–154. [Google Scholar] [CrossRef]
- Zuriaga, E.; Molina, L.; Badenes, M.L.; Romero, C. Physical mapping of a pollen modifier locus controlling self-incompatibility in apricot and synteny analysis within the Rosaceae. Plant Mol. Biol. 2012, 79, 229–242. [Google Scholar] [CrossRef] [PubMed]
- Muñoz-Sanz, J.V.; Zuriaga, E.; Badenes, M.L.; Romero, C. A disulfide bond A-like oxidoreductase is a strong candidate gene for self-incompatibility in apricot (Prunus armeniaca) pollen. J. Exp. Bot. 2017, 68, 5069–5078. [Google Scholar] [CrossRef]
- Orlando Marchesano, B.M.; Chiozzotto, R.; Baccichet, I.; Bassi, D.; Cirilli, M. Development of an HRMA-Based Marker Assisted Selection (MAS) Approach for Cost-Effective Genotyping of S and M Loci Controlling Self-Compatibility in Apricot (Prunus armeniaca L.). Genes 2022, 13, 548. [Google Scholar] [CrossRef]
- Herrera, S.; Hormaza, J.I.; Lora, J.; Ylla, G.; Rodrigo, J. Molecular characterization of genetic diversity in apricot cultivars: Current situation and future perspectives. Agronomy 2021, 11, 1714. [Google Scholar] [CrossRef]
- Hormaza, J.I. Molecular characterization and similarity relationships among apricot (Prunus armeniaca L.) genotypes using simple sequence repeats. Theor. Appl. Genet. 2002, 104, 321–328. [Google Scholar] [CrossRef]
- Romero, C.; Vilanova, S.; Burgos, L.; Martínez-Calvo, J.; Vicente, M.; Llácer, G.; Badenes, M.L. Analysis of the S-locus structure in Prunus armeniaca L. Identification of S-haplotype specific S-RNase and F-box genes. Plant Mol. Biol. 2004, 56, 145–157. [Google Scholar] [CrossRef] [PubMed]
- Tao, R.; Yamane, H.; Sugiura, A.; Murayama, H.; Sassa, H.; Mori, H. Molecular typing of S-alleles through Identification, characterization and cDNA cloning for S-RNases in Sweet Cherry. J. Am. Soc. Hortic. Sci. 1999, 124, 224–233. [Google Scholar] [CrossRef]
- Sonneveld, T.; Tobutt, K.R.; Robbins, T.P. Allele-specific PCR detection of sweet cherry self-incompatibility (S) alleles S1 to S16 using consensus and allele-specific primers. Theor. Appl. Genet. 2003, 107, 1059–1070. [Google Scholar] [CrossRef] [PubMed]
- Rodrigo, J.; Herrero, M. The onset of fruiting in apricot (Prunus armeniaca L.). J. Appl. Bot. 2002, 76, 13–19. [Google Scholar]
- Hormaza, J.I.; Pinney, K.; Polito, V.S. Correlation in the tolerance to ozone between sporophytes and male gametophytes of several fruit and nut tree species (Rosaceae). Sex. Plant Reprod. 1996, 9, 44–48. [Google Scholar] [CrossRef]
- Jefferies, C.J.; Belcher, A.R. A fluorescent brightener used for pollen tube identification in vivo. Stain Technol. 1974, 49, 199–202. [Google Scholar] [CrossRef] [PubMed]
- Linskens, H.F.; Esser, K. Uber eine spezifische Anfarbung der Pollenschlauche im Griffel und die Zahl der Kallosepfropfen nach Selbstung und Fremdung. Die Nat. 1957, 44, 16. [Google Scholar] [CrossRef]
- Paradis, E. Pegas: An R package for population genetics with an integrated–modular approach. Bioinformatics 2010, 26, 419–420. [Google Scholar] [CrossRef]
- Jombart, T. Adegenet: A R package for the multivariate analysis of genetic markers. Bioinformatics 2008, 24, 1403–1405. [Google Scholar] [CrossRef] [PubMed]
- Adamack, A.T.; Gruber, B. POPGENREPORT: Simplifying basic population genetic analyses in R. Methods Ecol. Evol. 2014, 5, 384–387. [Google Scholar] [CrossRef]



| I.G. (S-Genotype) | Cultivars Analyzed in This Study | Cultivars Analyzed in Previous Studies |
|---|---|---|
| I (S1S2) | AC1 [21], Castleton [16], Farmingdale [47], Giovanniello [47], Goldrich [48], Hargrand [48], Lambertin-1 [48] | |
| II (S8S9) | Ceglédi óriás [24], Cologlu [32], Ligeti óriás [24], Perlecot [21], Pinkcot [21], Szegedi M. [16] | |
| III (S2S6) | Muñoz b, Pandora b | ASF0401 [21], Avirine (Bergarouge) [21], Moniqui [49] |
| IV (S2S7) | Ouardi [35], Priana [34] | |
| V (S2S8) | Sweet Cot d [21] | Alyanak [32], Holly Cot [21] |
| VIII (S6S9) | Apribang (ASF0405) a | ASF0402 [21], Cataloglu [32], Cheyenne [22], Feria Cot [21], Flashcot [50], JNP [21], Ninja [50], Orangered [16,21], Soganci [32], Stark Early Orange [16,21], Sunny Cot [21], Wonder Cot [21] |
| X (S7S12) | Bedri Ahmar [35], Oud Rhayem [35] | |
| XI (S9S13) | Haci Haliloglu [32], Kabaasi [32] | |
| XII (S11S13) | Voski [24] | |
| XIII (S6S19) | Levent [32] | |
| XV (S7S8) | Oueld El Oud [35] | |
| XVI (S7S11) | Bouk Ahmed [35], Hamidi [35] | |
| XVII (S8S12) | Adedi Ahmar [35] | |
| XVIII (S1S3) | IPS23214 a, Monred a | Cooper Cot [21], Perfection [48] |
| XIX (S2S3) | Mayacot [21], Sun Glo [49] | |
| XX (S2S9) | Goldstrike 02 [21], Hasanbey [32], Magic Cot [21] | |
| XXI (S3S8) | Samourai a,c | Lilly Cot [21], Spring Blush [21] |
| XXII (S3S9) | Almadulce [21], Flodea [21], Henderson [16,21], Kosmos [22], Tsunami [50] | |
| XXIII (S7S9) | Goldbar [21], Kurukabuk [32] | |
| XXVI (S1S6) | Primaya [22] | |
| XXV (S1S9) | Farely b, Megatea b, Monster Cot b, Priabel b | Almater [50], Aurora [50], Medaga [50] |
| XXVI (S6S8) | Robada [50] | |
| Group 0 | Harcot b (S1S4) [49] | Bouthani Ben Friha (S12S13) [35], Cow-1 (S1S31) [16], Cow-2 (S20S31) [16], Estrella (S1S7) [51], Harlayne (S3S20) [16], Harmat (S10S11) [24], Korai zamatos (S12S13) [24], Mariem (S7S20) [16], Martinet (S2S2) [16], Oud Hmida (S2S12) [35], Perla (S2S20) [16], Portici (S2S20) [16], Shalakh (Erevani) (S5S11) [16], Velázquez (S5S20) [16] |
| Unclassified | ||
| S1 | Dama taronja a, Tornado a, Vitillo a | IBCOT 18-2 [50] |
| S2 | Fuego a | Cyrano [22], IBCOT 29-5 [50], Veecot [21] |
| S3 | Mogador a | Colorado [21], Mikado [22] |
| S6 | Stella [21] | |
| S8 | Vanilla Cot [21] | |
| S9 | Goldstrike 01 [21] |
| S-Genotype | Cultivars Analyzed in This Study | Cultivars Analyzed in Previous Studies |
|---|---|---|
| S1Sc | Big Red a, Dama Rosa a, Flavorcot a, Rojo Pasión a, Rubissia a, Water a,c | Mauricio [34] |
| S2Sc | Bergecot d [21], Canino d [21,34], Harval a, Justo Cot a, Paviot d [21], Primidi d [21], Tilton [47] | Berdejo [21,50], Bergeron [52], Budapest [52], Dulcinea [16], Galta Vermella Valenciana [16], Kalao [22], Konservnyi Pozdnii [52], Mamaia [52], Mandulakajszi [52], Mediva [21,50], Peñaflor 02 [21,50], Pepito del Rubio [49,50], Rakovszky [52], Regibus [22], Roxana [52], Rózsakajszi [16], Sandy cot [21,50], Trevatt [16] |
| S3Sc | Rubista d [21] | Pricia [21], Rambo [22] |
| S5Sc | Búlida [16] | |
| S6Sc | Fartoly b,d [21], Ladycot b,d [21], Medflo d [21], Mediabel d [21] | Aprix20 [21,50], Aprix9 [21,50], Bebecou [47], Faralia [21,50], Farlis [21,50], Lito [16] |
| S7Sc | Charisma d [21], Ninfa [16] | Beliana [34], Sayeb [35] |
| S8Sc | Gönci Magyarkajszi [52], Luizet b,d [21] | Andornaktályai magyarkajszi [52], Cacansko zlato [52], Callatis [52], Crvena ungarska [52], Darunec malahoyeva [52], Effect [52], Kâsna ungarska [52], Krimskyi Amur [52], Nagygyümölcsû magyarkajszi [52], Nikitskyi [52], Paksi magyarkajszi [52], Pisana [52], Venus [52] |
| S9Sc | Alba a, Aprisweet (ASF0409) a, Micaelo a, Tadeo b [21] | AC2 [21,50], Ceglédi arany [52], Ceglédi bíborkajski [52], Flopria [21], Lido [22], Tom Cot [21] |
| S13Sc | Modesto [24] | |
| S19Sc | Mari de Cenad [16] | |
| S20Sc | Cristalí [16], Gavatxet [16] | |
| S24Sc | Ezzine [16] | |
| ScSc | Ananasnyi ciurpinskii [52], Asli [35], Borsi-féle kései rózsa [52], Ceglédi kedves [52], Currot [34], GaltaRoja [16], Gandía [16], Ginesta [25], Grandir [47], Manrí [16], NJA-8 [52], Nyujtó Ferenc emléke [52], Palabras [16], Palau [25], Pannónia [52], Pasinok [52], Patterson [47], Raki [35], Rojo Carlet [16], Sirena [52], Sulmona [52], Tirynthos [16], Xirivello [16], Zaposdolye [52] | |
| Sc | Aprix 116 a, Cebas Red [53], Cocot a, Corbato d [21], Delice cot d [21], Fantasme a, Farhial d [21], IPS21512 a, IPS2712 a, Laguna a, Merino a, Mirlo anaranjado d [21,54], Mirlo blanco d [21,54], Mirlo Rojo [54], Mitger d [21], Orange rubis a, Precoz de Tirynthos a, Primorosa [53], Soledane d [21], Tardorange a, Valorange a | Aprix 33 [21,50], ASF0404 (Apriqueen) [21,50], Dorada [22], Faclo [21,50], Farbaly [21,50], Farbela [21,50], Fardao [21,50], Farfia [21,50], Farius [21,50], IBCOT 13-12 [50], IPS16121 [50], Kioto [50], Memphis [22], Milord [22], Murciana [22], Oscar [22], Playa cot [21,50], Rouge cot [21], Rubely [50], Sherpa [22] Swired [21,50] |
| S1S2 | Katy [55] | Lorna [21], Palsteyn [21] |
| S2S9 | Victor 1 [21] | |
| S1 | IPS20390 [50], Rubilis [50] | |
| S3 | Golden Sweet [21] |
| Country | Number of Cultivars | Number of Alleles (Na) | Allelic Richness (Ar) | Number of Private Alleles (Pa) |
|---|---|---|---|---|
| Armenia | 1 | 2 | 1.67 | - |
| Australia | 1 | 2 | 1.67 | - |
| France | 2 | 2 | 1.57 | - |
| Greece | 5 | 3 | 1.67 | - |
| Hungary | 7 | 4 | 1.75 | - |
| Italy | 4 | 4 | 1.70 | - |
| Romania | 1 | 2 | 1.67 | 1 (S19) |
| Spain | 26 | 7 | 1.61 | - |
| Tunisia | 9 | 7 | 1.80 | 1 (S12) |
| Turkey | 8 | 6 | 1.77 | - |
| Ukraine | 1 | 2 | 1.67 | - |
| The USA | 5 | 6 | 1.84 | 1 (S3) |
| Total | 70 | 47 | 3 | |
| Mean ± SD | 4 ± 2 | 1.70 ± 0.08 | ||
| SE | 0.63 | 0.02 |
| Country | Number of Cultivars | Number of Alleles (Na) | Allelic Richness (Ar) | Number of Private Alleles (Pa) |
|---|---|---|---|---|
| Bulgaria | 1 | 2 | 1.67 | - |
| Canada | 4 | 6 | 1.87 | 1 (S4) |
| France | 58 | 10 | 1.83 | 1 (S31) |
| Hungary | 13 | 8 | 1.72 | 3 (S10, S11, S12) |
| Italy | 2 | 3 | 1.71 | - |
| Macedonia | 1 | 2 | 1.67 | - |
| Romania | 5 | 3 | 1.48 | - |
| Serbia | 1 | 2 | 1.67 | - |
| South Africa | 1 | 2 | 1.67 | - |
| Spain | 33 | 7 | 1.76 | - |
| Switzerland | 2 | 2 | 1.71 | - |
| Tunisia | 6 | 5 | 1.70 | 1 (S24) |
| Turkey | 1 | 2 | 1.67 | 1 (S19) |
| Ukraine | 4 | 2 | 1.50 | - |
| Unknown | 1 | 2 | 1.67 | - |
| The USA | 24 | 9 | 1.84 | - |
| Total | 157 | 67 | 7 | |
| Mean ± SD | 4 ± 3.05 | 1.70 ± 0.10 | ||
| SE | 0.76 | 0.03 |
| Amplified Region | Name | Specificity | Primer Sequence (5′ → 3′) | Reference |
|---|---|---|---|---|
| S-RNase 1st intron | ||||
| SRc-(F/R) | F: CTCGCTTTCCTTGTTCTTGC | [77] | ||
| R: GGCCATTGTTGCACCCCTTG | ||||
| S-RNase 2nd intron | ||||
| Pru-C2/C4R | F: CTTTGGCCAAGTAATTATTCAAACC | [78] | ||
| R: GGATGTGGTACGATTGAAGCG | ||||
| SHLM1/SHLM2 | S1-allele | F: GGTGGAGGTGATAAGGTAGCC | [22] | |
| R: GGCTGCATAAGGAAGCTGTAGG | ||||
| SHLM3/SHLM4 | S7-allele | F: TATATCTTACTCTTTGGC | [22] | |
| R: CACTATGATAATGTGTATG | ||||
| SFB | ||||
| AprFBC8-(F/R) | F: CATGGAAAAAGCTGACTTATGG | [32] | ||
| R: GCCTCTAATGTCATCTACTCTTAG |
Publisher’s Note: MDPI stays neutral with regard to jurisdictional claims in published maps and institutional affiliations. |
© 2022 by the authors. Licensee MDPI, Basel, Switzerland. This article is an open access article distributed under the terms and conditions of the Creative Commons Attribution (CC BY) license (https://creativecommons.org/licenses/by/4.0/).
Share and Cite
Herrera, S.; Lora, J.; Hormaza, J.I.; Rodrigo, J. Self-Incompatibility in Apricot: Identifying Pollination Requirements to Optimize Fruit Production. Plants 2022, 11, 2019. https://doi.org/10.3390/plants11152019
Herrera S, Lora J, Hormaza JI, Rodrigo J. Self-Incompatibility in Apricot: Identifying Pollination Requirements to Optimize Fruit Production. Plants. 2022; 11(15):2019. https://doi.org/10.3390/plants11152019
Chicago/Turabian StyleHerrera, Sara, Jorge Lora, José I. Hormaza, and Javier Rodrigo. 2022. "Self-Incompatibility in Apricot: Identifying Pollination Requirements to Optimize Fruit Production" Plants 11, no. 15: 2019. https://doi.org/10.3390/plants11152019
APA StyleHerrera, S., Lora, J., Hormaza, J. I., & Rodrigo, J. (2022). Self-Incompatibility in Apricot: Identifying Pollination Requirements to Optimize Fruit Production. Plants, 11(15), 2019. https://doi.org/10.3390/plants11152019

