Botanical Control of Citrus Green Mold and Peach Brown Rot on Fruits Assays Using a Persicaria acuminata Phytochemically Characterized Extract
Abstract
1. Introduction
2. Results
2.1. In Vitro Antifungal Activities of P. acuminata Extracts and Compounds Isolated from Them against the Selected Phytopathogenic Fungi
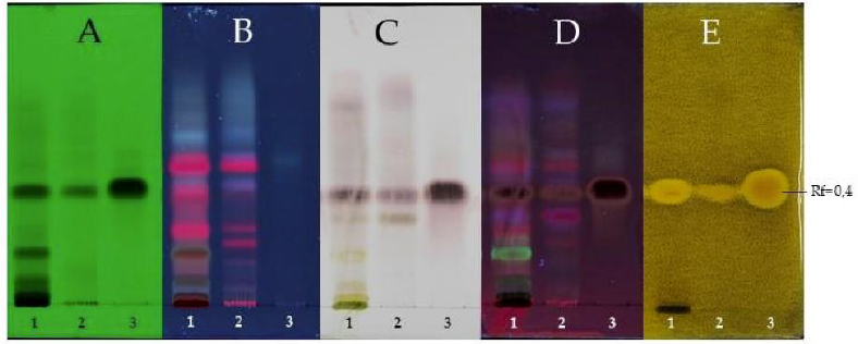
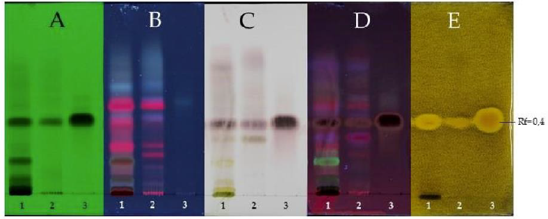
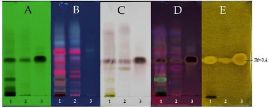
2.2. Detection of the Bioactive Compound in the Extracts by Bioautography
2.3. Quantification of the Bioactive Compound in the EtOAc Extract of P. acuminata
2.4. Effect of Etoac Extract of P. acuminata for the Control of Citrus Green Mold and Peach Brown Rot on Fresh Fruits
2.5. Cytotoxicity Evaluation of P. acuminata EtOAc Extract Compared with Commercial Fungicides
3. Discussion
4. Materials and Methods
4.1. Plant Material and Preparation of the Extracts
4.2. Isolation and Chemical Characterization of Natural Compounds 1–3
4.3. Quantification of Polygodial in the Most Active Extract
4.4. Antifungal Studies
4.4.1. Microorganisms and Media
4.4.2. In Vitro Susceptibility Tests
4.4.3. Ex Vivo Antifungal Assays Using P. acuminata Chemically Characterized Extract on Wounded Fruits
4.5. Cell Viability Assay
Supplementary Materials
Author Contributions
Funding
Institutional Review Board Statement
Informed Consent Statement
Acknowledgments
Conflicts of Interest
References
- Pergomet, J.L.; Di Liberto, M.G.; Derita, M.G.; Bracca, A.B.J.; Kaufman, T.S. Activity of the pterophyllins 2 and 4 against postharvest fruit pathogenic fungi. Comparison with synthetic analog and related intermediates. Fitoterapia 2018, 125, 98–105. [Google Scholar] [CrossRef] [PubMed]
- Cortés, I.; Di Liberto, M.G.; Kaufman, T.S.; Derita, M.G.; Bracca, A.B.J. Synthesis and evaluation of aromatic methoxime derivatives against five postharvest phytopathogenic fungi of fruits. Main structure-activity relationships. Food Chem. 2020, 321, 126701. [Google Scholar] [CrossRef]
- Fu, W.; Tian, G.; Pei, Q.; Ge, X.; Tian, P. Evaluation of berberine as a natural compound to inhibit peach brown rot pathogen. Crop. Prot. 2017, 91, 20–26. [Google Scholar]
- Zhang, Y.; Zeng, L.; Yang, J.; Zheng, X.; Yu, T. 6-Benzylaminopurine inhibits growth of Monilinia fructicola and induces defense-related mechanism in peach fruit. Food Chem. 2015, 187, 210–217. [Google Scholar] [CrossRef] [PubMed]
- Novaes Azevedo, A.; Ribeiro Buarque, P.; Oliveira Cruz, E.M.; Fitzgerald Blank, A.; Linsde Aquino, L. Response surface methodology for optimization of edible chitosan coating formulations incorporating essential oil against several food borne pathogenic bacteria. Food Control. 2014, 43, 1–9. [Google Scholar] [CrossRef]
- Di Liberto, M.G.; Stegmayer, M.I.; Svetaz, L.A.; Derita, M.G. Evaluation of Argentinean medicinal plants and isolation of their bioactive compounds as an alternative for the control of postharvest fruits phytopathogenic fungi. Rev. Bras. Farmacogn. 2019, 29, 686–688. [Google Scholar] [CrossRef]
- Stegmayer, M.I.; Álvarez, N.H.; Favaro, M.A.; Fernandez, L.N.; Carrizo, M.E.; Reutemann, A.G.; Derita, M.G. Argentinian Wild Plants as Controllers of Fruits Phytopathogenic Fungi: Trends and Perspectives. In Wild Plants: The Treasure of Natural Healers; Rai, M., Bhattarai, S., Feitosa, C., Eds.; CRC Press: Boca Raton, FL, USA, 2020; Volume 1, pp. 121–137. [Google Scholar]
- Di Liberto, M.G.; Caldo, A.; Quiroga, A.D.; Riveira, M.J.; Derita, M.G. Zanthosimuline and related pyranoquinolines as antifungal agents for postharvest fruit disease control. ACS Omega 2020, 5, 7481–7487. [Google Scholar] [CrossRef] [PubMed]
- Macarisin, D.; Cohen, L.; Eick, A.; Rafael, G.; Belausov, E.; Wisniewski, M.; Droby, S. Penicillium digitatum suppresses production of hydrogen peroxide in host tissue during infection of citrus fruit. Phytopathology 2007, 97, 1491–1500. [Google Scholar] [CrossRef] [PubMed]
- Sukorini, H.; Sangchote, S.; Khewkhom, N. Control of postharvest green mold of citrus fruit with yeasts, medicinal plants, and their combination. Postharvest Biol. Technol. 2013, 79, 24–31. [Google Scholar] [CrossRef]
- Papoutsis, K.; Mathioudakis, M.M.; Hasperué, J.H.; Ziogas, V. Non-chemical treatments for preventing the postharvest fungal rotting of citrus caused by Penicillium digitatum (green mold) and Penicillium italicum (blue mold). Trends Food Sci. Technol. 2019, 86, 479–491. [Google Scholar] [CrossRef]
- Mondino, P. Sintomatología, etiología y características epidemiológicas de la enfermedad. In Manejo de la Podredumbre Morena (Monilinia fructicola y M. laxa) en Huertos Frutales de Uruguay, Chile, Bolivia, Brasil y Argentina; Mitidieri, M., Castillo, J.A., Eds.; CYTED Programa Interamericano de Ciencia y Tecnología para el Desarrollo: Madrid, Spain, 2014; Volume 2, pp. 35–41. [Google Scholar]
- Dowling, M.E.; Bridges, W.C.; Cox, B.M.; Sroka, T.; Wilson, J.R.; Schnabel, G. Preservation of Monilinia fructicola genotype diversity within fungal cankers. Plant Dis. 2019, 103, 526–530. [Google Scholar] [CrossRef]
- Mitidieri, M.S. Manejo Integrado de la Podredumbre Morena en Duraznero y Nectarinos. In Manejo de la Podredumbre Morena (Monilinia fructicola y M. laxa) en Huertos Frutales de Uruguay, Chile, Bolivia, Brasil y Argentina; Mitidieri, M., Castillo, J.A., Eds.; CYTED Programa Interamericano de Ciencia y Tecnología para el Desarrollo: Madrid, Spain, 2014; Volume 2, pp. 47–62. [Google Scholar]
- Tran, T.T.; Li, H.; Nguyen, D.Q.; Jones, M.G.K.; Sivasithamparam, K.; Wylie, S.J. Monilinia fructicola and Monilinia laxa isolates from stone fruit orchards sprayed with fungicides displayed a broader range of responses to fungicides than those from unsprayed orchards. Eur. J. Plant Pathol. 2019, 153, 985–999. [Google Scholar] [CrossRef]
- The Plant List. Available online: www.theplantlist.org (accessed on 11 November 2019).
- Schmeda-Hirschmann, G.; Rojas de Arias, A. A screening method for natural products on triatomine bugs. Phytother. Res. 1992, 62, 68–73. [Google Scholar] [CrossRef]
- Chiappeta, A.; de Melo, J.F.; Maciel, G. Higher plants with biological activity Plants of Pernambuco. Rev. Inst. Antibiot. 1983, 21, 43–50. [Google Scholar]
- Derita, M.; Leiva, M.; Zacchino, S. Influence of plant part, season of collection and content of the main active constituent, on the antifungal properties of Polygonum acuminatum Kunth. J. Ethnopharmacol. 2009, 124, 377–383. [Google Scholar] [CrossRef] [PubMed]
- Derita, M.; Zacchino, S. Chemotaxonomic importance of sesquiterpenes and flavonoids in Argentinian species of Polygonum genus. J. Essent. Oil Res. 2011, 23, 11–14. [Google Scholar] [CrossRef]
- Derita, M.; Zacchino, S. Validation of the ethnopharmacological use of Polygonum persicaria for its antifungal properties. Nat. Prod. Commun. 2011, 6, 931–933. [Google Scholar] [CrossRef]
- Shen, B.; Yang, I.; Yasamin, S.; Liang, N.A.; Su, W.; Chen, S.; Wang, X.; Wang, W. Analysis of the phytochemistry and bioactivity of the genus Polygonum of Polygonaceae. Digit. Chin. Med. 2018, 1, 19–36. [Google Scholar] [CrossRef]
- Mahmoudi, M.; Boughalleb, F.; Bouhamda, T.; Abdellaoui, R.; Nasri, N. Unexploited Polygonum equisetiforme seeds: Potential source of useful natural bioactive products. Ind. Crop. Prod. 2018, 122, 349–357. [Google Scholar] [CrossRef]
- Clinical and Laboratory Standards Institute (CLSI). Reference Method for Broth Dilution Antifungal Susceptibility Testing of Filamentous Fungi. CLSI Standard M38, 3rd ed.; CLSI: Wayne, PA, USA, 2017; pp. 1–35. [Google Scholar]
- Montenegro, I.; Madrid, M.; Cuellar, M.; Seeger, M.; Alfaro, J.; Besoain, J.; Martínez, J.; Ramírez, I.; Olguín, Y.; Valenzuela, M. Biopesticide activity from drimanic compounds to control tomato pathogens. Molecules 2018, 23, 2053. [Google Scholar] [CrossRef]
- Derita, M.; Montenegro, I.; Garibotto, F.; Enriz, R.; Cuellar Fritis, M.; Zacchino, S. Structural requirements for the antifungal activities of natural drimane sesquiterpenes and analogues, supported by conformational and electronic studies. Molecules 2013, 18, 2029–2051. [Google Scholar] [CrossRef]
- Vilanova, L.; Teixidó, N.; Torres, R.; Usall, J.; Viñas, I.; Sánchez-Torres, P. Relevance of the transcription factor PdSte12 in Penicillium digitatum conidiation and virulence during citrus fruit infection. Int. J. Food Microbiol. 2016, 235, 93–102. [Google Scholar] [CrossRef]
- Malheiros, A.; Cechinel Filho, V.; Schmitt, C.; Yunes, R.; Escalante, A.; Svetaz, L.; Zacchino, S.; Delle Monache, F. Antifungal activity of drimane sesquiterpenes from Drimys brasiliensis using bioassay-guided fractionation. J. Pharm. Pharm. Sci. 2005, 8, 335–339. [Google Scholar]
- Hueso-Rodríguez, J.; Rodríguez, B. A new and efficient route to optically active drimanes. Synthesis of (+)-winterin, (+)-confertifolin, (+)-isodrimenin and (+)-bicyclofarnesol. Tetrahedron 1989, 45, 1567–1576. [Google Scholar] [CrossRef]
- Appel, H.; Bond, R.; Overton, K. The constitution and stereochemistry of valdiviolide, fuegin, winterin and futronolide. Tetrahedron 1963, 19, 635–641. [Google Scholar] [CrossRef]
- ICH (International Conference on Harmonization). ICH Topic-Q2B Validation of Analytical Procedures: Methodology, Step 4, Consensus Guidelines. 1996. Available online: www.emea.eu.int/pdfs/human/ich/028195en.pdf (accessed on 26 May 2020).
- Rahalison, L.; Hamburger, M.; Hostettmann, K.; Monod, M.; Frenk, E. A bioautographic agar overlay method for the detection of antifungal compounds from higher plants. Phytochem. Anal. 1991, 2, 199–203. [Google Scholar] [CrossRef]
- Saxena, G.; Farmer, S.; Towers, G.H.N.; Hancock, R.E.W. Use of specific dyes in the detection of antimicrobial compounds from crude plant extracts using a thin layer chromatography agar overlay technique. Phytochem. Anal. 1995, 6, 125–129. [Google Scholar] [CrossRef]
- Badawy, M.E.I.; Rabea, E.I. Potential of the biopolymer chitosan with different molecular weights to control postharvest gray mold of tomato fruit. Postharvest Biol. Technol. 2009, 51, 110–117. [Google Scholar] [CrossRef]
- Egüen, B.; Melgarejo, P.; de Cal, A. Sensitivity of Monilinia fructicola from Spanish peach orchards to thiophanate-methyl, iprodione, and cyproconazole: Fitness analysis and competitiveness. Eur. J. Plant Pathol. 2015, 141, 789–801. [Google Scholar] [CrossRef]
- Ferretti, A.C.; Tonucci, F.M.; Hidalgo, F.; Almada, E.; Larocca, M.C.; Favre, C. AMPK and PKA Interaction in the Regulation of Survival of Liver Cancer Cells Subjected to Glucose Starvation. Oncotarget 2016, 7, 17815–17828. [Google Scholar] [CrossRef]






| Sample | MICs/MFCs (µg/mL) 1 | ||
|---|---|---|---|
| P. digitatum | P. italicum | M. fructicola | |
| Hexanic extract | 500/1000 | 500/1000 | 125/250 |
| EtOAc extract | 250/250 | 500/500 | 62.5/62.5 |
| MeOH extract | I/I | I/I | I/I |
| Polygodial (1) | 125/125 | 250/250 | 31.25/31.25 |
| Drimenol (2) | I/I | I/I | I/I |
| Confertifolin (3) | I/I | I/I | I/I |
| Imazalil (Imz) | 7.8/7.8 | 15.6/15.6 | 0.97/0.97 |
| Carbendazim (Cbz) | 15.6/15.6 | 15.6/15.6 | 1.9/1.9 |
| Pure Polygodial Concentration (µg/mL) | TIC Areas |
|---|---|
| 500 | 1.61 × 105 |
| 250 | 7.97 × 104 |
| 125 | 1.34 × 104 |
| EtOAc extract of P. acuminata (1000 µg/mL) | TIC area |
| 130 | 5.22 × 104 |
| Linear Regression Data | Limits | ||||
|---|---|---|---|---|---|
| Regression Equation | R2 | Linear Range (µg/mL) | LOD (µg/mL) | LOQ (µg/mL) | |
| Polygodial | y= 91400x − 113.2 | 0.996 | 1000–31.2 | 0.008 | 0.023 |
| Precision | |||
|---|---|---|---|
| Concentration (µg/mL) | Intra-Day (n = 3), RDS % | Inter-Day (n = 3) RDS % | |
| Polygodial | 28.00 | 2.1 | 2.4 |
| 14.00 | 2.1 | 2.0 | |
| 1.00 | 2 | 2.3 | |
Publisher’s Note: MDPI stays neutral with regard to jurisdictional claims in published maps and institutional affiliations. |
© 2021 by the authors. Licensee MDPI, Basel, Switzerland. This article is an open access article distributed under the terms and conditions of the Creative Commons Attribution (CC BY) license (http://creativecommons.org/licenses/by/4.0/).
Share and Cite
Di Liberto, M.G.; Seimandi, G.M.; Fernández, L.N.; Ruiz, V.E.; Svetaz, L.A.; Derita, M.G. Botanical Control of Citrus Green Mold and Peach Brown Rot on Fruits Assays Using a Persicaria acuminata Phytochemically Characterized Extract. Plants 2021, 10, 425. https://doi.org/10.3390/plants10030425
Di Liberto MG, Seimandi GM, Fernández LN, Ruiz VE, Svetaz LA, Derita MG. Botanical Control of Citrus Green Mold and Peach Brown Rot on Fruits Assays Using a Persicaria acuminata Phytochemically Characterized Extract. Plants. 2021; 10(3):425. https://doi.org/10.3390/plants10030425
Chicago/Turabian StyleDi Liberto, Melina G., Gisela M. Seimandi, Laura N. Fernández, Verónica E. Ruiz, Laura A. Svetaz, and Marcos G. Derita. 2021. "Botanical Control of Citrus Green Mold and Peach Brown Rot on Fruits Assays Using a Persicaria acuminata Phytochemically Characterized Extract" Plants 10, no. 3: 425. https://doi.org/10.3390/plants10030425
APA StyleDi Liberto, M. G., Seimandi, G. M., Fernández, L. N., Ruiz, V. E., Svetaz, L. A., & Derita, M. G. (2021). Botanical Control of Citrus Green Mold and Peach Brown Rot on Fruits Assays Using a Persicaria acuminata Phytochemically Characterized Extract. Plants, 10(3), 425. https://doi.org/10.3390/plants10030425

