Biological Behavior of Bioactive Glasses SinGlass (45S5) and SinGlass High (F18) in the Repair of Critical Bone Defects
Abstract
1. Introduction
2. Materials and Methods
2.1. Bioglass
2.2. Experimental Design
2.3. Surgical Procedures
2.4. Micro-CT Scanning
2.5. Histotechnical Processing
2.6. Immunohistochemical Processing
2.7. Histological Evaluation
2.8. Birefringence Analysis of Collagen Content
2.9. Statistical Analysis
3. Results
3.1. Micro-CT Analysis
3.2. Histomorphological Analysis
3.3. Birefringence of Collagen Fibers
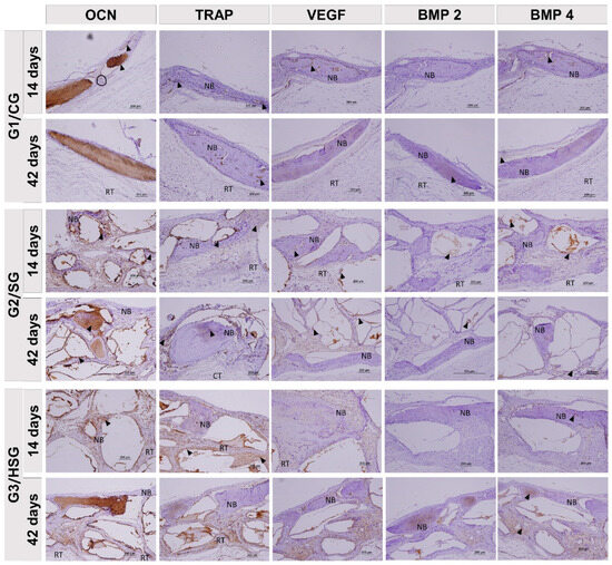
3.4. Immunohistochemical Analysis
3.5. Morphometric Analysis
4. Discussion
5. Conclusions
Supplementary Materials
Author Contributions
Funding
Institutional Review Board Statement
Informed Consent Statement
Data Availability Statement
Acknowledgments
Conflicts of Interest
References
- Vigliar, M.F.R.; Marega, L.F.; Duarte, M.A.H.; Alcalde, M.P.; Rosso, M.P.d.O.; Ferreira Junior, R.S.; Barraviera, B.; Reis, C.H.B.; Buchaim, D.V.; Buchaim, R.L. Photobiomodulation Therapy Improves Repair of Bone Defects Filled by Inorganic Bone Matrix and Fibrin Heterologous Biopolymer. Bioengineering 2024, 11, 78. [Google Scholar] [CrossRef] [PubMed]
 - Della Coletta, B.B.; Jacob, T.B.; Moreira, L.A.d.C.; Pomini, K.T.; Buchaim, D.V.; Eleutério, R.G.; Pereira, E.d.S.B.M.; Roque, D.D.; Rosso, M.P.d.O.; Shindo, J.V.T.C.; et al. Photobiomodulation Therapy on the Guided Bone Regeneration Process in Defects Filled by Biphasic Calcium Phosphate Associated with Fibrin Biopolymer. Molecules 2021, 26, 847. [Google Scholar] [CrossRef] [PubMed]
 - Rosso, M.P.d.O.; Oyadomari, A.T.; Pomini, K.T.; Della Coletta, B.B.; Shindo, J.V.T.C.; Ferreira Júnior, R.S.; Barraviera, B.; Cassaro, C.V.; Buchaim, D.V.; Teixeira, D.d.B.; et al. Photobiomodulation Therapy Associated with Heterologous Fibrin Biopolymer and Bovine Bone Matrix Helps to Reconstruct Long Bones. Biomolecules 2020, 10, 383. [Google Scholar] [CrossRef]
 - Nogueira, D.M.B.; de Oliveira Rosso, M.P.; Buchaim, D.V.; Zangrando, M.S.R.; Buchaim, R.L. Update on the Use of 45S5 Bioactive Glass in the Treatment of Bone Defects in Regenerative Medicine. World J. Orthop. 2024, 15, 204–214. [Google Scholar] [CrossRef]
 - Rossi, J.d.O.; Araujo, E.M.C.; Camargo, M.E.C.; Ferreira Junior, R.S.; Barraviera, B.; Miglino, M.A.; Nogueira, D.M.B.; Reis, C.H.B.; Gil, G.E.; Vinholo, T.R.; et al. Effectiveness of the Association of Fibrin Scaffolds, Nanohydroxyapatite, and Photobiomodulation with Simultaneous Low-Level Red and Infrared Lasers in Bone Repair. Materials 2024, 17, 4351. [Google Scholar] [CrossRef] [PubMed]
 - Rosso, M.P.d.O.; Buchaim, D.V.; Pomini, K.T.; Della Coletta, B.B.; Reis, C.H.B.; Pilon, J.P.G.; Duarte Júnior, G.; Buchaim, R.L. Photobiomodulation Therapy (PBMT) Applied in Bone Reconstructive Surgery Using Bovine Bone Grafts: A Systematic Review. Materials 2019, 12, 4051. [Google Scholar] [CrossRef]
 - Zhang, J.; Tong, D.; Song, H.; Ruan, R.; Sun, Y.; Lin, Y.; Wang, J.; Hou, L.; Dai, J.; Ding, J.; et al. Osteoimmunity-Regulating Biomimetically Hierarchical Scaffold for Augmented Bone Regeneration. Adv. Mater. 2022, 34, e2202044. [Google Scholar] [CrossRef] [PubMed]
 - de Souza, L.P.L.; Lopes, J.H.; Ferreira, F.V.; Martin, R.A.; Bertran, C.A.; Camilli, J.A. Evaluation of Effectiveness of 45S5 Bioglass Doped with Niobium for Repairing Critical-Sized Bone Defect in in Vitro and in Vivo Models. J. Biomed. Mater. Res.—Part A 2020, 108, 446–457. [Google Scholar] [CrossRef]
 - Rosso, M.P.d.O.; Buchaim, D.V.; Kawano, N.; Furlanette, G.; Pomini, K.T.; Buchaim, R.L. Photobiomodulation Therapy (PBMT) in Peripheral Nerve Regeneration: A Systematic Review. Bioengineering 2018, 5, 44. [Google Scholar] [CrossRef]
 - Alonzo, M.; Alvarez Primo, F.; Anil Kumar, S.; Mudloff, J.A.; Dominguez, E.; Fregoso, G.; Ortiz, N.; Weiss, W.M.; Joddar, B. Bone Tissue Engineering Techniques, Advances, and Scaffolds for Treatment of Bone Defects. Curr. Opin. Biomed. Eng. 2021, 17, 100248. [Google Scholar] [CrossRef]
 - Lopes, J.H.; Souza, L.P.; Domingues, J.A.; Ferreira, F.V.; de Alencar Hausen, M.; Camilli, J.A.; Martin, R.A.; de Rezende Duek, E.A.; Mazali, I.O.; Bertran, C.A. In Vitro and in Vivo Osteogenic Potential of Niobium-Doped 45S5 Bioactive Glass: A Comparative Study. J. Biomed. Mater. Res.—Part B Appl. Biomater. 2020, 108, 1372–1387. [Google Scholar] [CrossRef]
 - Thomas, N.; Anbarasu, A. Cone-Beam Computed Tomography-Assisted Evaluation of the Bone Regenerative Potential of Modulated Sol–Gel-Synthesized 45S5 Bioglass Intended for Alveolar Bone Regeneration. J. Pharm. Bioallied Sci. 2022, 14, 123. [Google Scholar] [CrossRef]
 - Rifane, T.O.; Cordeiro, K.E.M.; Silvestre, F.A.; Souza, M.T.; Zanotto, E.D.; Araújo-Neto, V.G.; Giannini, M.; Sauro, S.; de Paula, D.M.; Feitosa, V.P. Impact of Silanization of Different Bioactive Glasses in Simplified Adhesives on Degree of Conversion, Dentin Bonding and Collagen Remineralization. Dent. Mater. 2023, 39, 217–226. [Google Scholar] [CrossRef] [PubMed]
 - Cannio, M.; Bellucci, D.; Roether, J.A.; Boccaccini, D.N.; Cannillo, V. Bioactive Glass Applications: A Literature Review of Human Clinical Trials. Materials 2021, 14, 5440. [Google Scholar] [CrossRef]
 - Ali, S.; Farooq, I.; Iqbal, K. A Review of the Effect of Various Ions on the Properties and the Clinical Applications of Novel Bioactive Glasses in Medicine and Dentistry. Saudi Dent. J. 2014, 26, 1–5. [Google Scholar] [CrossRef]
 - Miguez-Pacheco, V.; Hench, L.L.; Boccaccini, A.R. Bioactive Glasses beyond Bone and Teeth: Emerging Applications in Contact with Soft Tissues. Acta Biomater. 2015, 13, 1–15. [Google Scholar] [CrossRef] [PubMed]
 - Spirandeli, B.R.; Ribas, R.G.; Amaral, S.S.; Martins, E.F.; Esposito, E.; Vasconcellos, L.M.R.; Campos, T.M.B.; Thim, G.P.; Trichês, E.S. Incorporation of 45S5 Bioglass via Sol-Gel in β-TCP Scaffolds: Bioactivity and Antimicrobial Activity Evaluation. Mater. Sci. Eng. C 2021, 131, 112453. [Google Scholar] [CrossRef]
 - Mendoza-Cerezo, L.; Rodríguez-Rego, J.M.; Soriano-Carrera, A.; Marcos-Romero, A.C.; Macías-García, A. Fabrication and Characterisation of Bioglass and Hydroxyapatite-Filled Scaffolds. J. Mech. Behav. Biomed. Mater. 2023, 144, 105937. [Google Scholar] [CrossRef]
 - Zandi Karimi, A.; Rezabeigi, E.; Drew, R.A.L. Aluminum-Free Glass Ionomer Cements Containing 45S5 Bioglass® and Its Bioglass-Ceramic. J. Mater. Sci. Mater. Med. 2021, 32, 76. [Google Scholar] [CrossRef] [PubMed]
 - Pacheco-Vergara, M.J.; Ricci, J.L.; Mijares, D.; Bromage, T.G.; Rabieh, S.; Coelho, P.G.; Witek, L. 3D Printed Mesoporous Bioactive Glass, Bioglass 45S5, and β-TCP Scaffolds for Regenerative Medicine: A Comparative in Vitro Study. Biomed. Mater. Eng. 2023, 34, 439–458. [Google Scholar] [CrossRef]
 - Palza Cordero, H.; Castro Cid, R.; Diaz Dosque, M.; Cabello Ibacache, R.; Palma Fluxá, P. Li-Doped Bioglass® 45S5 for Potential Treatment of Prevalent Oral Diseases. J. Dent. 2021, 105, 103575. [Google Scholar] [CrossRef] [PubMed]
 - Skallevold, H.E.; Rokaya, D.; Khurshid, Z.; Zafar, M.S. Bioactive Glass Applications in Dentistry. Int. J. Mol. Sci. 2019, 20, 5960. [Google Scholar] [CrossRef]
 - Esfahanizadeh, N.; Montazeri, M.; Nourani, M.; Harandi, M. Use of Bioactive Glass Doped with Magnesium or Strontium for Bone Regeneration: A Rabbit Critical-Size Calvarial Defects Study. Dent. Res. J. 2022, 19, 18. [Google Scholar] [CrossRef]
 - Platzer, H.; Marinescu, M.; Nawaz, Q.; Tripel, E.; Gantz, S.; Horsch, A.; Daniel, V.; Boccaccini, A.R.; Hagmann, S.; Moradi, B.; et al. The Impact of 45S5-Bioactive Glass on Synovial Cells in Knee Osteoarthritis—An In Vitro Study. Materials 2023, 16, 7594. [Google Scholar] [CrossRef] [PubMed]
 - Elbaz, A.; Mor, A.; Segal, G.; Aloni, Y.; Teo, Y.H.; Teo, Y.S.; Das-De, S.; Yeo, S.J. Patients with Knee Osteoarthritis Demonstrate Improved Gait Pattern and Reduced Pain Following a Non-Invasive Biomechanical Therapy: A Prospective Multi-Centre Study on Singaporean Population. J. Orthop. Surg. Res. 2014, 9, 1. [Google Scholar] [CrossRef]
 - Nguyen, A.K.; Nelson, S.B.; Skoog, S.A.; Jaipan, P.; Petrochenko, P.E.; Kaiser, A.; Lo, L.; Moreno, J.; Narayan, R.J.; Goering, P.L.; et al. Effect of Simulated Body Fluid Formulation on Orthopedic Device Apatite-forming Ability Assessment. J. Biomed. Mater. Res. Part B Appl. Biomater. 2023, 111, 987–995. [Google Scholar] [CrossRef]
 - Tanvir, M.A.H.; Khaleque, M.A.; Kim, G.-H.; Yoo, W.-Y.; Kim, Y.-Y. The Role of Bioceramics for Bone Regeneration: History, Mechanisms, and Future Perspectives. Biomimetics 2024, 9, 230. [Google Scholar] [CrossRef]
 - Wu, D.T.; Munguia-Lopez, J.G.; Cho, Y.W.; Ma, X.; Song, V.; Zhu, Z.; Tran, S.D. Polymeric Scaffolds for Dental, Oral, and Craniofacial Regenerative Medicine. Molecules 2021, 26, 7043. [Google Scholar] [CrossRef]
 - Meimandi-Parizi, A.; Oryan, A.; Gholipour, H. Healing Potential of Nanohydroxyapatite, Gelatin, and Fibrin-Platelet Glue Combination as Tissue Engineered Scaffolds in Radial Bone Defects of Rats. Connect. Tissue Res. 2018, 59, 332–344. [Google Scholar] [CrossRef] [PubMed]
 - Abbasi, Z.; Bahrololoom, M.; Shariat, M.; Bagheri, R. Bioactive Glasses in Dentistry: A Review. J Dent Biomater 2015, 2, 1–9. [Google Scholar]
 - Jones, J.R. Review of Bioactive Glass: From Hench to Hybrids. Acta Biomater. 2013, 9, 4457–4486. [Google Scholar] [CrossRef] [PubMed]
 - Ghoreishian, S.M.; Jamalpoor, M. Clinical, Radiographic, and Histologic Comparison of Ridge Augmentation with Bioactive Glass Alone and in Combination with Autogenous Bone Graft. Dent. Res. J. 2006, 2, 1–9. [Google Scholar]
 - Fiume, E.; Barberi, J.; Verné, E.; Baino, F. Bioactive Glasses: From Parent 45S5 Composition to Scaffold-Assisted Tissue-Healing Therapies. J. Funct. Biomater. 2018, 9, 24. [Google Scholar] [CrossRef] [PubMed]
 - Rahaman, M.N.; Day, D.E.; Sonny Bal, B.; Fu, Q.; Jung, S.B.; Bonewald, L.F.; Tomsia, A.P. Bioactive Glass in Tissue Engineering. Acta Biomater. 2011, 7, 2355–2373. [Google Scholar] [CrossRef]
 - Fares, A.; Hardy, A.; Bohu, Y.; Meyer, A.; Karam, K.; Lefevre, N. The Impact of Bone Graft Type Used to Fill Bone Defects in Patients Undergoing ACL Reconstruction with Bone–Patellar Tendon–Bone (BPTB) Autograft on Kneeling, Anterior Knee Pain and Knee Functional Outcomes. Eur. J. Orthop. Surg. Traumatol. 2023, 34, 181–190. [Google Scholar] [CrossRef] [PubMed]
 - Baino, F.; Fiorilli, S.; Vitale-Brovarone, C.; Verné, E. Bioactive Glasses: Special Applications Outside the Skeletal System. J. Non. Cryst. Solids 2016, 432, 15–30. [Google Scholar]
 - Stanley, H.R.; Clark, A.E.; Pameijer, C.H.; Louw, N.P. Pulp Capping with a Modified Bioglass Formula (#A68-Modified). Am. J. Dent. 2001, 14, 227–232. [Google Scholar] [PubMed]
 - Peltola, M.J.; Suonpãã, J.T.K.; Mããttãnen, H.S.; Varpula, M.J.; Aitasalo, K.M.J.; Yli-Urpo, A.; Laippala, P.J. Clinical Follow-up Method for Frontal Sinus Obliteration with Bioactive Glass S53P4. J. Biomed. Mater. Res. 2001, 58, 54–60. [Google Scholar] [CrossRef] [PubMed]
 - Walker, R.D.; Wilson, J.; Clark, A.E. Injectable Bioglass as a Potential Substitute for Injectable Polytetrafluoroethylene. J. Urol. 1992, 148, 645–647. [Google Scholar] [CrossRef]
 - Kondo, T.; Otake, K.; Kakinuma, H.; Sato, Y.; Ambo, S.; Egusa, H. Zinc- and Fluoride-Releasing Bioactive Glass as a Novel Bone Substitute. J. Dent. Res. 2024, 103, 526–535. [Google Scholar] [CrossRef] [PubMed]
 - Song, J.; Winkeljann, B.; Lieleg, O. Biopolymer-Based Coatings: Promising Strategies to Improve the Biocompatibility and Functionality of Materials Used in Biomedical Engineering. Adv. Mater. Interfaces 2020, 7, 2000850. [Google Scholar] [CrossRef]
 - Zhang, K.; Wang, S.; Zhou, C.; Cheng, L.; Gao, X.; Xie, X.; Sun, J.; Wang, H.; Weir, M.D.; Reynolds, M.A.; et al. Advanced Smart Biomaterials and Constructs for Hard Tissue Engineering and Regeneration. Bone Res. 2018, 6, 31. [Google Scholar] [CrossRef]
 - Bighetti, A.C.C.; Cestari, T.M.; Paini, S.; Pomini, K.T.; Buchaim, D.V.; Ortiz, R.C.; Júnior, R.S.F.; Barraviera, B.; Bullen, I.R.F.R.; Garlet, G.P.; et al. Efficacy and Safety of a New Heterologous Fibrin Biopolymer on Socket Bone Healing after Tooth Extraction: An Experimental Pre-clinical Study. J. Clin. Periodontol. 2024, 51, 1017–1033. [Google Scholar] [CrossRef] [PubMed]
 - Silva Júnior, J.I.S.; Rahal, S.C.; Coris, J.G.F.; da Silva, B.M.; Brasileiro, F.C.d.S.; Nascimento, D.; Lacerda, Z.A.; da Silva, J.P.; Mamprim, M.J.; Souza, M.T. Use of F18 Bioglass Putty for Induced Membrane Technique in Segmental Bone Defect of the Radius in Rabbits. Acta Cir. Bras. 2024, 39, e392424. [Google Scholar] [CrossRef] [PubMed]
 - Marin, C.P.; Crovace, M.C.; Zanotto, E.D. Competent F18 Bioglass-Biosilicate® Bone Graft Scaffold Substitutes. J. Eur. Ceram. Soc. 2021, 41, 7910–7920. [Google Scholar] [CrossRef]
 - du Sert, N.P.; Hurst, V.; Ahluwalia, A.; Alam, S.; Avey, M.T.; Baker, M.; Browne, W.J.; Clark, A.; Cuthill, I.C.; Dirnagl, U.; et al. The Arrive Guidelines 2.0: Updated Guidelines for Reporting Animal Research. PLoS Biol. 2020, 18, e3000410. [Google Scholar] [CrossRef]
 - Ciraldo, F.E.; Boccardi, E.; Melli, V.; Westhauser, F.; Boccaccini, A.R. Tackling Bioactive Glass Excessive in Vitro Bioreactivity: Preconditioning Approaches for Cell Culture Tests. Acta Biomater. 2018, 75, 3–10. [Google Scholar] [CrossRef] [PubMed]
 - Esteban-Tejeda, L.; Zheng, K.; Prado, C.; Cabal, B.; Torrecillas, R.; Boccaccini, A.R.; Moya, J.S. Bone Tissue Scaffolds Based on Antimicrobial SiO2–Na2O–Al2O3–CaO–B2O3 Glass. J. Non. Cryst. Solids 2016, 432, 73–80. [Google Scholar] [CrossRef]
 - Rizwan, M.; Hamdi, M.; Basirun, W.J. Bioglass® 45S5-based Composites for Bone Tissue Engineering and Functional Applications. J. Biomed. Mater. Res. Part A 2017, 105, 3197–3223. [Google Scholar] [CrossRef]
 - Baino, F.; Verné, E. Glass-Based Coatings on Biomedical Implants: A State-of-the-Art Review. Biomed. Glas. 2017, 3, 1–17. [Google Scholar] [CrossRef]
 - Kunjalukkal Padmanabhan, S.; Gervaso, F.; Carrozzo, M.; Scalera, F.; Sannino, A.; Licciulli, A. Wollastonite/Hydroxyapatite Scaffolds with Improved Mechanical, Bioactive and Biodegradable Properties for Bone Tissue Engineering. Ceram. Int. 2013, 39, 619–627. [Google Scholar] [CrossRef]
 - Shafaghi, R.; Rodriguez, O.; Phull, S.; Schemitsch, E.H.; Zalzal, P.; Waldman, S.D.; Papini, M.; Towler, M.R. Effect of TiO2 Doping on Degradation Rate, Microstructure and Strength of Borate Bioactive Glass Scaffolds. Mater. Sci. Eng. C 2020, 107, 110351. [Google Scholar] [CrossRef] [PubMed]
 - Ali, A.; Singh, B.N.; Hira, S.K.; Singh, S.P.; Pyare, R. ZnO Modified 1393 Bioactive Scaffolds with Enhanced Cytocompatibility and Mechanical Performance. Ceram. Int. 2020, 46, 6703–6713. [Google Scholar] [CrossRef]
 - Shahgholi, M.; Oliviero, S.; Baino, F.; Vitale-Brovarone, C.; Gastaldi, D.; Vena, P. Mechanical Characterization of Glass-Ceramic Scaffolds at Multiple Characteristic Lengths through Nanoindentation. J. Eur. Ceram. Soc. 2016, 36, 2403–2409. [Google Scholar] [CrossRef]
 - Buchaim, D.V.; Andreo, J.C.; Pomini, K.T.; Barraviera, B.; Ferreira Júnior, R.S.; Duarte, M.A.H.; Alcalde, M.P.; Reis, C.H.B.; Teixeira, D.d.B.; Bueno, C.R.d.S.; et al. A Biocomplex to Repair Experimental Critical Size Defects Associated with Photobiomodulation Therapy. J. Venom. Anim. Toxins Incl. Trop. Dis. 2022, 28, e20210056. [Google Scholar] [CrossRef]
 - Gorustovich, A.A.; Roether, J.A.; Boccaccini, A.R. Effect of Bioactive Glasses on Angiogenesis: A Review of In Vitro and In Vivo Evidences. Tissue Eng. Part B Rev. 2010, 16, 199–207. [Google Scholar] [CrossRef]
 - Rocha, C.A.; Cestari, T.M.; Vidotti, H.A.; de Assis, G.F.; Garlet, G.P.; Taga, R. Sintered Anorganic Bone Graft Increases Autocrine Expression of VEGF, MMP-2 and MMP-9 during Repair of Critical-Size Bone Defects. J. Mol. Histol. 2014, 45, 447–461. [Google Scholar] [CrossRef]
 - Fedchenko, N.; Reifenrath, J. Different Approaches for Interpretation and Reporting of Immunohistochemistry Analysis Results in the Bone Tissue—A Review. Diagn. Pathol. 2014, 9, 221. [Google Scholar] [CrossRef]
 - Kamal, A.F.; Siahaan, O.S.H.; Fiolin, J. Various Dosages of BMP-2 for Management of Massive Bone Defect in Sprague Dawley Rat. Arch. Bone Jt. Surg. 2019, 7, 498–505. [Google Scholar] [PubMed]
 - Reis, C.H.B.; Buchaim, R.L.; Pomini, K.T.; Hamzé, A.L.; Zattiti, I.V.; Duarte, M.A.H.; Alcalde, M.P.; Barraviera, B.; Ferreira Júnior, R.S.; Pontes, F.M.L.; et al. Effects of a Biocomplex Formed by Two Scaffold Biomaterials, Hydroxyapatite/Tricalcium Phosphate Ceramic and Fibrin Biopolymer, with Photobiomodulation, on Bone Repair. Polymers 2022, 14, 2075. [Google Scholar] [CrossRef] [PubMed]
 - Hammami, I.; Graça, M.P.F.; Gavinho, S.R.; Jakka, S.K.; Borges, J.P.; Silva, J.C.; Costa, L.C. Exploring the Impact of Copper Oxide Substitution on Structure, Morphology, Bioactivity, and Electrical Properties of 45S5 Bioglass®. Biomimetics 2024, 9, 213. [Google Scholar] [CrossRef]
 - Castro, J.I.; Valencia Llano, C.H.; Tenorio, D.L.; Saavedra, M.; Zapata, P.; Navia-Porras, D.P.; Delgado-Ospina, J.; Chaur, M.N.; Hernández, J.H.M.; Grande-Tovar, C.D. Biocompatibility Assessment of Polylactic Acid (PLA) and Nanobioglass (n-BG) Nanocomposites for Biomedical Applications. Molecules 2022, 27, 3640. [Google Scholar] [CrossRef]
 - Verdier, E.F.; Saloux, A.L.; Azzis, O.M.; Lebullenger, R.M.; Davit-Béal, T.A.; Brézulier, D.Y. Bioglass 45S5, a Relevant Alternative to Autogenous Harvesting for Secondary Alveolar Bone Grafts in Clefts? Retrospective Study of One Hundred Surgeries. J. Cranio-Maxillofac. Surg. 2023, 52, 85–92. [Google Scholar] [CrossRef]
 - Marin, C.P.; Santana, G.L.; Robinson, M.; Willerth, S.M.; Crovace, M.C.; Zanotto, E.D. Effect of Bioactive Biosilicate ®/F18 Glass Scaffolds on Osteogenic Differentiation of Human Adipose Stem Cells. J. Biomed. Mater. Res. Part A 2021, 109, 1293–1308. [Google Scholar] [CrossRef] [PubMed]
 - de Oliveira Rossi, J.; Rossi, G.T.; Camargo, M.E.C.; Buchaim, R.L.; Buchaim, D.V. Effects of the Association between Hydroxyapatite and Photobiomodulation on Bone Regeneration. AIMS Bioeng. 2023, 10, 466–490. [Google Scholar] [CrossRef]
 








| Time Point | Group | ||
|---|---|---|---|
| G1/CG | G2/SG | G3/HSG | |
| 14 days | 13.09 ± 0.80 A | 16.61 ± 2.65 B | 20.02 ± 2.84 BC | 
| 42 days | 17.54 ± 1.56 A | 31.66 ± 2.21 B | 36.28 ± 2.10 C | 
| Time Point | Group | ||
|---|---|---|---|
| G1/CG | G2/SG | G3/HSG | |
| 14 days | 86.91 ± 0.80 A | 29.75 ± 21.18 B | 36.54 ± 16.00 BC | 
| 42 days | 82.46 ± 1.57 A | 39.83 ± 11.31 B | 28.05 ± 10.09 BC | 
| Time Point | Group | |
|---|---|---|
| G2/SG | G3/HSG | |
| 14 days | 53.64 ± 20.08 A | 43.48 ± 16.58 A | 
| 42 days | 82.46 ± 1.57 A | 39.83 ± 11.31 B | 
Disclaimer/Publisher’s Note: The statements, opinions and data contained in all publications are solely those of the individual author(s) and contributor(s) and not of MDPI and/or the editor(s). MDPI and/or the editor(s) disclaim responsibility for any injury to people or property resulting from any ideas, methods, instructions or products referred to in the content.  | 
© 2025 by the authors. Licensee MDPI, Basel, Switzerland. This article is an open access article distributed under the terms and conditions of the Creative Commons Attribution (CC BY) license (https://creativecommons.org/licenses/by/4.0/).
Share and Cite
Nogueira, D.M.B.; Rosso, M.P.d.O.; Santos, P.S.d.S.; Sousa-Neto, M.D.; Silva-Sousa, A.C.; Soares, C.T.; Reis, C.H.B.; Rossi, J.d.O.; Bueno, C.R.d.S.; Buchaim, D.V.; et al. Biological Behavior of Bioactive Glasses SinGlass (45S5) and SinGlass High (F18) in the Repair of Critical Bone Defects. Biomolecules 2025, 15, 112. https://doi.org/10.3390/biom15010112
Nogueira DMB, Rosso MPdO, Santos PSdS, Sousa-Neto MD, Silva-Sousa AC, Soares CT, Reis CHB, Rossi JdO, Bueno CRdS, Buchaim DV, et al. Biological Behavior of Bioactive Glasses SinGlass (45S5) and SinGlass High (F18) in the Repair of Critical Bone Defects. Biomolecules. 2025; 15(1):112. https://doi.org/10.3390/biom15010112
Chicago/Turabian StyleNogueira, Dayane Maria Braz, Marcelie Priscila de Oliveira Rosso, Paulo Sérgio da Silva Santos, Manoel Damião Sousa-Neto, Alice Corrêa Silva-Sousa, Cleverson Teixeira Soares, Carlos Henrique Bertoni Reis, Jéssica de Oliveira Rossi, Cleuber Rodrigo de Souza Bueno, Daniela Vieira Buchaim, and et al. 2025. "Biological Behavior of Bioactive Glasses SinGlass (45S5) and SinGlass High (F18) in the Repair of Critical Bone Defects" Biomolecules 15, no. 1: 112. https://doi.org/10.3390/biom15010112
APA StyleNogueira, D. M. B., Rosso, M. P. d. O., Santos, P. S. d. S., Sousa-Neto, M. D., Silva-Sousa, A. C., Soares, C. T., Reis, C. H. B., Rossi, J. d. O., Bueno, C. R. d. S., Buchaim, D. V., Buchaim, R. L., & Zangrando, M. S. R. (2025). Biological Behavior of Bioactive Glasses SinGlass (45S5) and SinGlass High (F18) in the Repair of Critical Bone Defects. Biomolecules, 15(1), 112. https://doi.org/10.3390/biom15010112
        
