Chemical Composition and Bioactivity of Laboratory-Fermented Bee Pollen in Comparison with Natural Bee Bread
Abstract
1. Introduction
2. Materials and Methods
2.1. Material
2.1.1. Bee Pollen and Bee Bread
2.1.2. Microorganisms
2.2. Bee Pollen Treatment
2.3. Fermentation Process
2.4. Microscopic Analysis
2.5. Chemical Composition Analysis
2.5.1. Physicochemical Parameters
2.5.2. Inductively Coupled Plasma Optical Emission Spectroscopy (ICP-OES)
2.5.3. Raman Spectroscopy
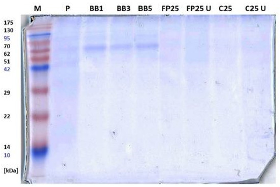
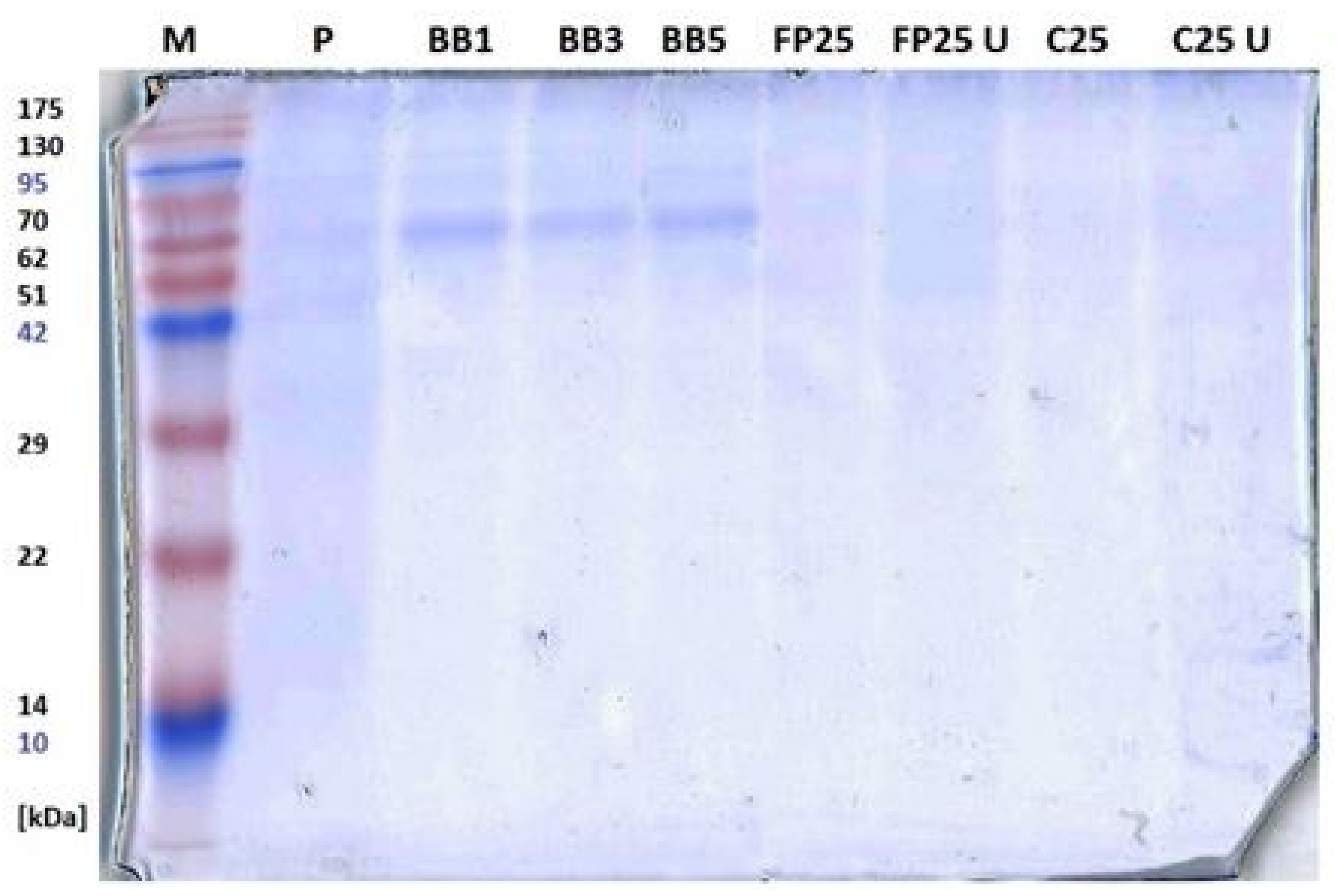
2.5.4. SDS-PAGE Electrophoresis
2.6. In Vitro Biological Activity Tests
2.6.1. Total Phenolic Content, Total Carotenoid Content, and Antioxidant Capacity
2.6.2. Yeast Growth Assay
2.6.3. Spot Test
2.7. Statistical Analysis
3. Results and Discussion
3.1. Microscopic Analysis
3.2. Physicochemical Parameters
3.3. Chemical Composition
3.3.1. Mineral Content
3.3.2. Raman Spectroscopy
3.3.3. SDS-PAGE Electrophoresis
3.4. In Vitro Biological Activity Tests
3.4.1. Antioxidant Activity
3.4.2. Yeast Growth Assay
4. Conclusions
Author Contributions
Funding
Institutional Review Board Statement
Informed Consent Statement
Data Availability Statement
Conflicts of Interest
References
- Zuluaga, C.M.; Serrato, J.C.; Quicazan, M.C. Chemical, nutritional and bioactive characterization of Colombian bee-bread. Chem. Eng. Trans. 2015, 43, 175–180. [Google Scholar] [CrossRef]
- Bakour, M.; Laaroussi, H.; Ousaaid, D.; El Ghouizi, A.; Es-Safi, I.; Mechchate, H.; Lyoussi, B. Bee Bread as a Promising Source of Bioactive Molecules and Functional Properties: An Up-to-Date Review. Antibiotics 2022, 11, 203. [Google Scholar] [CrossRef] [PubMed]
- Mohammad, S.M.; Mahmud-Ab-Rashid, N.K.; Zawawi, N. Stingless bee-collected pollen (bee bread): Chemical and microbiology properties and health benefits. Molecules 2021, 26, 957. [Google Scholar] [CrossRef]
- Kieliszek, M.; Piwowarek, K.; Kot, A.M.; Błażejak, S.; Chlebowska-Śmigiel, A.; Wolska, I. Pollen and bee bread as new health-oriented products: A review. Trends Food Sci. Technol. 2018, 71, 170–180. [Google Scholar] [CrossRef]
- Ćirić, J.; Haneklaus, N.; Rajić, S.; Baltić, T.; Lazić, I.B.; Đorđević, V. Chemical composition of bee bread (perga), a functional food: A review. J. Trace Elem. Miner. 2022, 2, 100038. [Google Scholar] [CrossRef]
- Pełka, K.; Worobo, R.W.; Walkusz, J.; Szweda, P. Bee pollen and bee bread as a source of bacteria producing antimicrobials. Antibiotics 2021, 10, 713. [Google Scholar] [CrossRef] [PubMed]
- Didaras, N.A.; Karatasou, K.; Dimitriou, T.G.; Amoutzias, G.D.; Mossialos, D. Antimicrobial activity of bee-collected pollen and beebread: State of the art and future perspectives. Antibiotics 2020, 9, 811. [Google Scholar] [CrossRef]
- Dranca, F.; Ursachi, F.; Oroian, M. Bee bread: Physicochemical characterization and phenolic content extraction optimization. Foods 2020, 9, 1358. [Google Scholar] [CrossRef]
- Semkiw, P.; Skubida, P. Bee bread production—A new source of income for beekeeping farms? Agriculture 2021, 11, 468. [Google Scholar] [CrossRef]
- Filannino, P.; Di Cagno, R.; Gambacorta, G.; Tlais, A.Z.A.; Cantatore, V.; Gobbetti, M. Volatilome and bioaccessible phenolics profiles in lab-scale fermented bee pollen. Foods 2021, 10, 286. [Google Scholar] [CrossRef]
- Urcan, A.C.; Criste, A.D.; Dezmirean, D.S.; Mărgăoan, R.; Caeiro, A.; Campos, M.G. Similarity of data from bee bread with the same taxa collected in India and Romania. Molecules 2018, 23, 2491. [Google Scholar] [CrossRef] [PubMed]
- Kaškonienė, V.; Katilevičiūtė, A.; Kaškonas, P.; Maruška, A. The impact of solid-state fermentation on bee pollen phenolic compounds and radical scavenging capacity. Chem. Pap. 2018, 72, 2115–2120. [Google Scholar] [CrossRef]
- Adaškevičiūtė, V.; Kaškonienė, V.; Barčauskaitė, K.; Kaškonas, P.; Maruška, A. The Impact of Fermentation on Bee Pollen Polyphenolic Compounds Composition. Antioxidants 2022, 11, 645. [Google Scholar] [CrossRef]
- Kaškonienė, V.; Adaškevičiūtė, V.; Kaškonas, P.; Mickienė, R.; Maruška, A. Antimicrobial and antioxidant activities of natural and fermented bee pollen. Food Biosci. 2020, 34, 100532. [Google Scholar] [CrossRef]
- Mora-Adames, W.I.; Fuenmayor, C.A.; Benavides-Martín, M.A.; Algecira-Enciso, N.A.; Quicazán, M.C. Bee pollen as a novel substrate in pilot-scale probiotic-mediated lactic fermentation processes. LWT 2021, 141, 110868. [Google Scholar] [CrossRef]
- Dany, B. Selbstgemachtes aus Bienenprodukten; Ehrenwirth Verlag: Műnchen, Germany, 1988; p. 174. [Google Scholar]
- Shirsat, D.V.; Kad, S.K.; Wakhle, D.M. Solid State Fermentation of Bee-Collected Pollen. Int. J. Curr. Microbiol. Appl. Sci. 2019, 8, 1557–1563. [Google Scholar] [CrossRef]
- Miłek, M.; Ciszkowicz, E.; Tomczyk, M.; Sidor, E.; Zaguła, G.; Lecka-Szlachta, K.; Pasternakiewicz, A.; Małgorzata, D. Poplar-Type Polish Propolis Considering Local Flora Diversity Breast Cancer Cells. Molecules 2022, 27, 725. [Google Scholar] [CrossRef]
- Dżugan, M.; Sidor, E.; Miłek, M.; Tomczyk, M. The Possibility of Using Bee Drone Brood to Design Novel Dietary Supplements for Apitherapy. Appl. Sci. 2023, 13, 4687. [Google Scholar] [CrossRef]
- Kostić, A.; Milinčić, D.D.; Nedić, N.; Gašić, U.M.; Trifunović, B.Š.; Vojt, D.; Tešić, Ž.L.; Pešić, M.B. Phytochemical profile and antioxidant properties of bee-collected artichoke (Cynara scolymus) pollen. Antioxidants 2021, 10, 1091. [Google Scholar] [CrossRef]
- Sagona, S.; Bozzicolonna, R.; Nuvoloni, R.; Cilia, G.; Torracca, B.; Felicioli, A. Water activity of fresh bee pollen and mixtures of bee pollen-honey of different botanical origin. LWT 2017, 84, 595–600. [Google Scholar] [CrossRef]
- Brudzynski, K. Honey as an ecological reservoir of antibacterial compounds produced by antagonistic microbial interactions in plant nectars, honey and honey bee. Antibiotics 2021, 10, 551. [Google Scholar] [CrossRef] [PubMed]
- Melo, B.K.C.; Silva, J.A.; Gomes, R.D.S.; Custódio, P.P.; Lira, G.A.; Ramalho, A.M.Z.; Gonçalves, M.C.; Fonseca, S.B.; Rangel, A.H.N.; Bezerra, M.F. Physicochemical composition and functional properties of bee pollen produced in different locations. Braz. J. Food Technol. 2023, 26, 1–10. [Google Scholar] [CrossRef]
- Poyraz, F.; Yalmanci, D.; İspirli, H.; Dertli, E. Characterization of Bee Bread Produced with Defined Starter Cultures Mimicking the Natural Fermentation Process. Fermentation 2023, 9, 174. [Google Scholar] [CrossRef]
- Aylanc, V.; Falcão, S.I.; Vilas-Boas, M. Bee pollen and bee bread nutritional potential: Chemical composition and macronutrient digestibility under in vitro gastrointestinal system. Food Chem. 2023, 413, 135597. [Google Scholar] [CrossRef] [PubMed]
- Baky, M.H.; Abouelela, M.B.; Wang, K.; Farag, M.A. Bee Pollen and Bread as a Super-Food: A Comparative Review of Their Metabolome Composition and Quality Assessment in the Context of Best Recovery Conditions. Molecules 2023, 28, 715. [Google Scholar] [CrossRef]
- Liolios, V.; Tananaki, C.; Papaioannou, A.; Kanelis, D.; Rodopoulou, M.A.; Argena, N. Mineral content in monofloral bee pollen: Investigation of the effect of the botanical and geographical origin. J. Food Meas. Charact. 2019, 13, 1674–1682. [Google Scholar] [CrossRef]
- Mayda, N.; Özkök, A.; Ecem Bayram, N.; Gerçek, Y.C.; Sorkun, K. Bee bread and bee pollen of different plant sources: Determination of phenolic content, antioxidant activity, fatty acid and element profiles. J. Food Meas. Charact. 2020, 14, 1795–1809. [Google Scholar] [CrossRef]
- Bocian, A.; Buczkowicz, J.; Jaromin, M.; Hus, K.K.; Legáth, J. An effective method of isolating honey proteins. Molecules 2019, 24, 2399. [Google Scholar] [CrossRef]
- Darwish, A.M.G.; Abd El-Wahed, A.A.; Shehata, M.G.; El-Seedi, H.R.; Masry, S.H.D.; Khalifa, S.A.M.; Mahfouz, H.M.; El-Sohaimy, S.A. Chemical Profiling and Nutritional Evaluation of Bee Pollen, Bee Bread, and Royal Jelly and Their Role in Functional Fermented Dairy Products. Molecules 2023, 28, 227. [Google Scholar] [CrossRef]
- Tawfik, A.I.; Ahmed, Z.H.; Abdel-Rahman, M.F.; Moustafa, A.M. Effect of some bee bread quality on protein content and antioxidant system of honeybee workers. Int. J. Trop. Insect Sci. 2022, 43, 93–105. [Google Scholar] [CrossRef]
- Rajs, B.B.; Primorac, L.; Gal, K.; Bubalo, D.; Prđun, S.; Flanjak, I. Influence of Botanical Origin on Phenolic Content and Antioxidant Capacity of Monofloral Bee Pollen. Acta Sci. Pol. Technol. Aliment. 2022, 21, 213–222. [Google Scholar] [CrossRef]
- Sawicki, T.; Starowicz, M.; Kłębukowska, L.; Hanus, P. The Profile of Polyphenolic Compounds, Contents of Total Phenolics and Flavonoids, and Antioxidant and Antimicrobial Properties of Bee Products. Molecules 2022, 27, 1301. [Google Scholar] [CrossRef] [PubMed]
- Rzepecka-Stojko, A.; Stojko, J.; Kurek-Górecka, A.; Górecki, M.; Kabała-Dzik, A.; Kubina, R.; Moździerz, A.; Buszman, E.; Iriti, M. Polyphenols from Bee Pollen: Structure, absorption, metabolism and biological activity. Molecules 2015, 20, 21732–21749. [Google Scholar] [CrossRef]
- Pereira De Melo, I.L.; De Almeida-Muradian, L.B. Stability of antioxidants vitamins in bee pollen samples. Quim. Nova 2010, 33, 514–518. [Google Scholar] [CrossRef]
- Di Mattia, C.; Martuscelli, M.; Sacchetti, G.; Scheirlinck, I.; Beheydt, B.; Mastrocola, D.; Pittia, P. Effect of Fermentation and Drying on Procyanidins, Antiradical Activity and Reducing Properties of Cocoa Beans. Food Bioprocess Technol. 2013, 6, 3420–3432. [Google Scholar] [CrossRef]
- El Ghouizi, A.; Bakour, M.; Laaroussi, H.; Ousaaid, D.; El Menyiy, N.; Hano, C.; Lyoussi, B. Bee Pollen as Functional Food: Insights into Its Composition and Therapeutic Properties. Antioxidants 2023, 12, 557. [Google Scholar] [CrossRef]
- Leja, M.; Mareczek, A.; Wyzgolik, G.; Klepacz-Baniak, J.; Czekońska, K. Antioxidative properties of bee pollen in selected plant species. Food Chem. 2007, 100, 237–240. [Google Scholar] [CrossRef]
- Miłek, M.; Grabek-Lejko, D.; Stȩpień, K.; Sidor, E.; Mołoń, M.; Dżugan, M. The enrichment of honey with Aronia melanocarpa fruits enhances its in vitro and in vivo antioxidant potential and intensifies its antibacterial and antiviral properties. Food Funct. 2021, 12, 8920–8931. [Google Scholar] [CrossRef]
- Czachor, J.; Miłek, M.; Galiniak, S.; Stępień, K.; Dżugan, M.; Mołoń, M. Coffee extends yeast chronological lifespan through antioxidant properties. Int. J. Mol. Sci. 2020, 21, 9510. [Google Scholar] [CrossRef]
- Ziemlewska, A.; Zagórska-Dziok, M.; Nizioł-Łukaszewska, Z.; Kielar, P.; Mołoń, M.; Szczepanek, D.; Sowa, I.; Wójciak, M. In Vitro Evaluation of Antioxidant and Protective Potential of Kombucha-Fermented Black Berry Extracts against H2O2-Induced Oxidative Stress in Human Skin Cells and Yeast Model. Int. J. Mol. Sci. 2023, 24, 4388. [Google Scholar] [CrossRef]







| Sample Symbol | Temperature of Incubation | Ultrasound Treatment | Bacteria Inoculation |
|---|---|---|---|
| FP4 | 4 °C | - | 3 × 109 CFU |
| FP4 U | 4 °C | 2 × 15 min | 3 × 109 CFU |
| FP25 | 25 °C | - | 3 × 109 CFU |
| FP25 U | 25 °C | 2 × 15 min | 3 × 109 CFU |
| C4 | 4 °C | - | - |
| C4 U | 4 °C | 2 × 15 min | - |
| C25 | 25 °C | - | - |
| C25 U | 25 °C | 2 × 15 min | - |
| Sample | Water Activity | pH | Lactic Acid Content [%] |
|---|---|---|---|
| Bee pollen | |||
| P | 0.3539 ± 0.0019 a | 5.01 ± 0.06 a | 2.49 ± 0.31 a |
| Fermented pollen | |||
| FP4 | 0.4663 ± 0.0010 f | 4.58 ± 0.05 de | 3.23 ± 0.20 c |
| FP4 U | 0.4866 ± 0.0014 g | 4.63 ± 0.02 df | 2.78 ± 0.12 ae |
| C4 | 0.4667 ± 0.0005 f | 4.67 ± 0.01 f | 3.14 ± 0.18 ace |
| C4 U | 0.4475 ± 0.0005 b | 4.68 ± 0.01 f | 3.51 ± 0.06 c |
| FP25 | 0.4650 ± 0.0009 f | 4.55 ± 0.04 eg | 3.50 ± 0.32 c |
| FP25 U | 0.5343 ± 0.0020 h | 4.50 ± 0.05 g | 3.22 ± 0.31 ce |
| C25 | 0.5388 ± 0.0014 i | 4.52 ± 0.00 g | 3.25 ± 0.09 ce |
| C25 U | 0.4768 ± 0.0003 j | 4.52 ± 0.02 g | 3.69 ± 0.06 c |
| Natural bee bread | |||
| BB1 | 0.4451 ± 0.0019 b | 3.99 ± 0.01 b | 4.70 ± 0.43 b |
| BB2 | 0.4373 ± 0.0012 c | 3.99 ± 0.04 b | 4.95 ± 0.30 b |
| BB3 | 0.4992 ± 0.0003 d | 4.14 ± 0.01 c | 3.24 ± 0.46 c |
| BB4 | 0.4112 ± 0.0005 e | 4.17 ± 0.00 c | 3.82 ± 0.38 cd |
| BB5 | 0.4136 ± 0.0009 e | 4.10 ± 0.03 c | 4.47 ± 0.01 bd |
| Natural bee bread (average) | 0.4412 ± 0.0329 | 4.08 ± 0.08 | 4.24 ± 0.70 |
| Mineral Content [mg/100 g] | P | FP4 | C4 | FP25 | C25 | BB1 | BB3 | BB5 |
|---|---|---|---|---|---|---|---|---|
| Macroelements | ||||||||
| P | 631.52 ± 8.70 a | 498.70 ± 3.91 b | 455.65 ± 3.71 c | 594.86 ± 4.96 d | 527.10 ± 5.89 e | 855.14 ± 5.87 f | 836.16 ± 2.80 g | 956.30 ± 7.81 h |
| K | 465.80 ± 3.53 a | 427.68 ± 1.20 b | 420.80 ± 2.75 b | 411.52 ± 2.88 c | 421.59 ± 2.44 b | 548.12 ± 4.47 d | 508.12 ± 3.65 e | 561.88 ± 0.33 f |
| S | 218.55 ± 0.33 a | 191.21 ± 0.39 b | 184.28 ± 0.71 c | 194.70 ± 0.83 d | 192.07 ± 1.00 b | 195.41 ± 0.44 d | 203.99 ± 1.39 e | 251.96 ± 0.43 f |
| Ca | 166.43 ± 2.15 a | 143.23 ± 3.27 bc | 135.62 ± 1.89 b | 150.11 ± 2.10 c | 145.59 ± 0.39 bc | 205.41 ± 3.49 d | 207.31 ± 6.25 d | 226.96 ± 691 e |
| Na | 3.37 ± 0.10 a | 2.01 ± 0.19 b | 1.43 ± 0.17 c | 4.15 ± 0.30 d | 2.56 ± 0.16 e | 4.68 ± 0.17 f | 9.30 ± 0.23 g | 11.79 ± 0.10 h |
| Mg | 91.78 ± 0.87 a | 87.38 ± 0.20 b | 88.59 ± 0.61 b | 81.59 ± 0.68 c | 83.91 ± 0.62 c | 173.58 ± 4.47 d | 114.47 ± 1.12 e | 101.10 ± 0.05 f |
| Microelements | ||||||||
| Fe | 5.82 ± 1.15 a | 9.22 ± 0.58 b | 5.96 ± 0.70 a | 23.72 ± 0.11 c | 12.62 ± 0.84 b | 2.49 ± 0.38 d | 5.32 ± 0.30 a | 10.99 ± 0.51 b |
| Zn | 4.32 ± 0.00 a | 3.26 ± 0.0 b | 3.07 ± 0.01 c | 3.16 ± 0.00 d | 3.31 ± 0.01 e | 2.25 ± 0.01 f | 2.72 ± 0.02 g | 3.22 ± 0.01 h |
| Al | 3.56 ± 0.43 ab | 3.96 ± 0.13 ab | 3.21 ± 0.46 b | 3.43 ± 0.23 ab | 3.30 ± 0.11 ab | 1.47 ± 0.30 c | 3.03 ± 0.38 a | 7.06 ± 0.32 d |
| Mn | 2.59 ± 0.02 a | 2.32 ± 0.08 bc | 2.36 ± 0.06 b | 2.16 ± 0.02 c | 2.30 ± 0.04 bc | 2.25 ± 0.08 bc | 2.55 ± 0.04 a | 3.01 ± 0.06 d |
| Ni | 0.23 ± 0.01 ab | 0.34 ± 0.01 c | 0.28 ± 0.00 cd | 1.22 ± 0.01 e | 0.50 ± 0.02 f | 0.20 ± 0.01 a | 0.24 ± 0.02 bd | 0.26 ± 0.01 bd |
| Cr | 0.16 ± 0.10 ab | 0.37 ± 0.16 b | 0.41 ± 0.06 b | 0.33 ± 0.08 b | 0.37 ± 0.04 b | 0.07 ± 0.13 a | 0.02 ± 0.04 a | 0.02 ± 0.03 a |
| Mo | 0.16 ± 0.01 a | 0.16 ± 0.01 a | 0.17 ± 0.01 a | 0.17 ± 0.01 a | 0.16 ± 0.01 a | 0.16 ± 0.00 a | 0.18 ± 0.01 a | 0.18 ± 0.00 a |
| Cu | 0.12 ± 0.02 a | 0.47 ± 0.01 b | 0.21 ± 0.02 c | 2.41 ± 0.01 d | 1.69 ± 0.03 e | 0.09 ± 0.01 a | 0.21 ± 0.03 c | 0.26 ± 0.02 c |
| Sr | 0.15 ± 0.00 a | 0.14 ± 0.00 b | 0.13 ± 0.00 b | 0.13 ± 0.00 b | 0.13 ± 0.01 b | 0.12 ± 0.00 c | 0.17 ± 0.00 d | 0.19 ± 0.00 e |
| Toxic elements | ||||||||
| As | 0.00 ± 0.01 a | 0.00 ± 0.00 a | 0.01 ± 0.02 a | 0.00 ± 0.01 a | 0.00 ± 0.00 a | 0.00 ± 0.00 a | 0.00 ± 0.00 a | 0.00 ± 0.01 a |
| Cd | 0.00 ± 0.00 a | 0.00 ± 0.00 a | 0.00 ± 0.00 a | 0.01 ± 0.00 a | 0.01 ± 0.00 a | 0.01 ± 0.00 a | 0.01 ± 0.00 a | 0.01 ± 0.00 a |
| Pb | 0.00 ± 0.00 a | 0.03 ± 0.02 a | 0.00 ± 0.00 a | 0.00 ± 0.00 a | 0.00 ± 0.00 a | 0.01 ± 0.01 a | 0.01 ± 0.01 a | 0.00 ±0.00 a |
| Characteristic Vibrations for the Functional Groups | Range of Peak Positions [Raman Shift, cm−1] |
|---|---|
| fructose | 418–426; 519–526; 860–874; |
| glucose | 1070–1079; 1124; 1127; |
| phenols | 1261–1267; |
| flavonoids | 1360; 1450–1457; |
| carotenoids | 1164–1171; 1525; |
| lipids | 1654–1657; 2933; |
| proteins | 1603–1606; |
| Sample | Total Phenolic Content [mg GAE/g] | Total Carotenoid Content [μg/g] | Antioxidant Potential [μmol TE/g] | |
|---|---|---|---|---|
| FRAP | DPPH | |||
| Bee pollen | ||||
| P | 10.36 ± 0.48 ad | 24.96 ± 0.57 a | 26.61 ± 0.25 a | 17.61 ± 0.52 a |
| Fermented pollen | ||||
| FP4 | 10.29 ± 0.17 ad | 25.72 ± 0.40 ag | 28.40 ± 0.28 ad | 14.36 ± 0.37 b |
| FP4 U | 10.43 ± 0.16 ad | 23.96 ± 0.06 b | 29.80 ± 1.01 ae | 15.44 ± 0.32 b |
| C4 | 10.81 ± 0.05 a | 29.08 ± 0.17 c | 30.70 ± 0.48 b | 15.54 ± 0.21 b |
| C4 U | 11.07 ± 0.34 a | 24.88 ± 0.11 a | 30.06 ± 1.26 be | 16.22 ± 0.14 c |
| FP25 | 10.36 ± 0.05 ad | 28.16 ± 0.11 c | 29.81 ± 0.79 a | 14.85 ± 0.12 b |
| FP25 U | 10.24 ± 0.19 ad | 27.44 ± 0.34 c | 29.96 ± 1.35 b | 14.99 ± 0.62 b |
| C25 | 11.35 ± 0.10 b | 35.84 ± 0.11 d | 33.21 ± 0.89 b | 16.07 ± 0.38 c |
| C25 U | 10.99 ± 0.25 b | 28.08 ± 0.11 c | 32.38 ± 2.17 b | 15.36 ± 0.18 b |
| Natural bee bread | ||||
| BB1 | 8.86 ± 0.48 c | 27.48 ± 0.17 c | 26.27 ± 1.85 cd | 15.94 ± 0.49 c |
| BB2 | 9.36 ± 0.24 cd | 43.32 ± 1.30 e | 24.20 ± 1.03 c | 14.17 ± 0.14 b |
| BB3 | 10.23 ± 0.45 a | 37.56 ± 0.17 f | 28.51 ± 0.81 de | 17.06 ± 0.80 a |
| BB4 | 9.52 ± 0.21 d | 26.04 ± 0.17 g | 27.95 ± 0.83 cde | 15.42 ± 0.28 b |
| BB5 | 9.68 ± 0.04 d | 31.28 ± 0.34 h | 27.97 ± 0.35 cde | 16.58 ± 0.65 ac |
| Natural bee bread (average) | 9.53 ± 0.50 | 33.14 ± 7.23 | 26.98 ± 1.77 | 15.83 ± 1.12 |
Disclaimer/Publisher’s Note: The statements, opinions and data contained in all publications are solely those of the individual author(s) and contributor(s) and not of MDPI and/or the editor(s). MDPI and/or the editor(s) disclaim responsibility for any injury to people or property resulting from any ideas, methods, instructions or products referred to in the content. |
© 2023 by the authors. Licensee MDPI, Basel, Switzerland. This article is an open access article distributed under the terms and conditions of the Creative Commons Attribution (CC BY) license (https://creativecommons.org/licenses/by/4.0/).
Share and Cite
Miłek, M.; Mołoń, M.; Kula-Maximenko, M.; Sidor, E.; Zaguła, G.; Dżugan, M. Chemical Composition and Bioactivity of Laboratory-Fermented Bee Pollen in Comparison with Natural Bee Bread. Biomolecules 2023, 13, 1025. https://doi.org/10.3390/biom13071025
Miłek M, Mołoń M, Kula-Maximenko M, Sidor E, Zaguła G, Dżugan M. Chemical Composition and Bioactivity of Laboratory-Fermented Bee Pollen in Comparison with Natural Bee Bread. Biomolecules. 2023; 13(7):1025. https://doi.org/10.3390/biom13071025
Chicago/Turabian StyleMiłek, Michał, Mateusz Mołoń, Monika Kula-Maximenko, Ewelina Sidor, Grzegorz Zaguła, and Małgorzata Dżugan. 2023. "Chemical Composition and Bioactivity of Laboratory-Fermented Bee Pollen in Comparison with Natural Bee Bread" Biomolecules 13, no. 7: 1025. https://doi.org/10.3390/biom13071025
APA StyleMiłek, M., Mołoń, M., Kula-Maximenko, M., Sidor, E., Zaguła, G., & Dżugan, M. (2023). Chemical Composition and Bioactivity of Laboratory-Fermented Bee Pollen in Comparison with Natural Bee Bread. Biomolecules, 13(7), 1025. https://doi.org/10.3390/biom13071025

