The Nicotinamide/Streptozotocin Rodent Model of Type 2 Diabetes: Renal Pathophysiology and Redox Imbalance Features
Abstract
:1. Introduction
2. Mechanisms Underlying NA/STZ Diabetes Induction
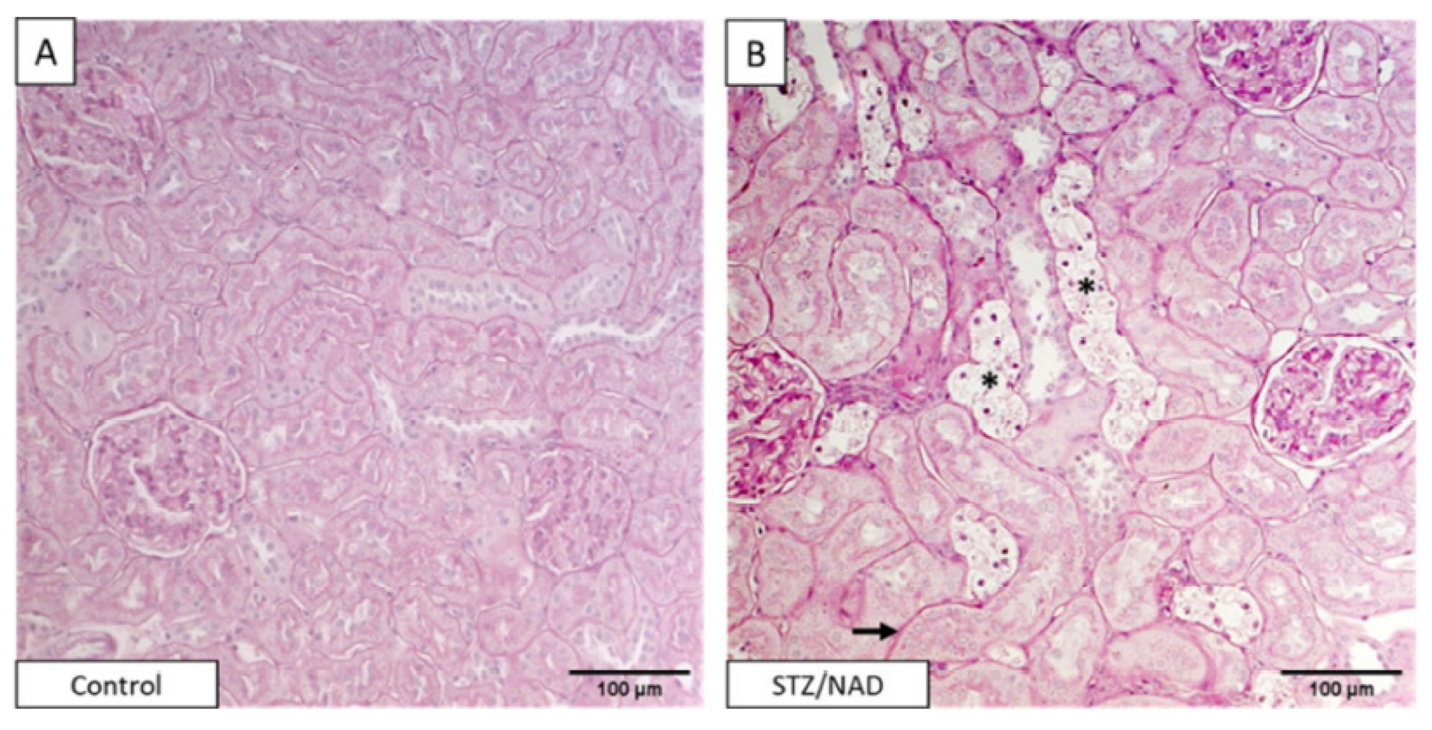
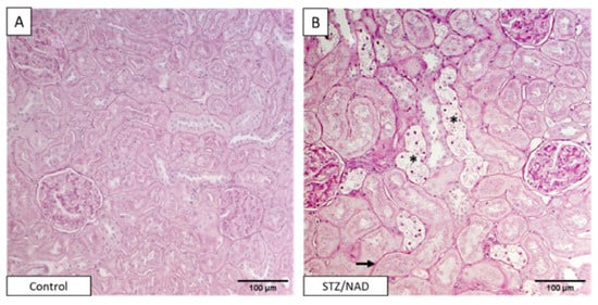
3. Renal Pathophysiology in this NA/STZ Animal Model
4. Application of this Model in DN Research
5. Redox-Related Mechanisms That Remain to Be Elucidated in this NA-STZ Model
6. Summary
Funding
Institutional Review Board Statement
Informed Consent Statement
Data Availability Statement
Conflicts of Interest
References
- Lodhi, A.H.; Ahmad, F.-U.; Furwa, K.; Madni, A. Role of oxidative stress and reduced endogenous hydrogen sulfide in diabetic nephropathy. Drug Des. Dev. Ther. 2021, 15, 1031–1043. [Google Scholar]
- Ji, J.; Tao, P.; Wang, Q.; Li, L.; Xu, Y. Sirt1: Mechanism and protective effect in diabetic nephropathy. Endocr. Metab. Immune Disord.-Drug Targets 2021, 21, 835–842. [Google Scholar]
- Zoja, C.; Xinaris, C.; Macconi, D. Diabetic nephropathy: Novel molecular mechanisms and therapeutic targets. Front. Pharmacol. 2020, 11, 586892. [Google Scholar]
- Chowdhury, T.A.; Ali, O. Diabetes and the kidney. Clin. Med. Lond. 2021, 21, e318–e322. [Google Scholar]
- Yan, L.J. Nadh/nad (+) redox imbalance and diabetic kidney disease. Biomolecules 2021, 11, 730. [Google Scholar]
- Nakhoul, F.; Abassi, Z.; Morgan, M.; Sussan, S.; Mirsky, N. Inhibition of diabetic nephropathy in rats by an oral antidiabetic material extracted from yeast. J. Am. Soc. Nephrol. 2006, 17, S127–S131. [Google Scholar]
- Machado, D.I.; Silva, E.D.O.; Ventura, S.; Vattimo, M.D.F.F. The effect of curcumin on renal ischemia/reperfusion injury in diabetic rats. Nutrients 2022, 14, 2798. [Google Scholar]
- Hernandez, L.F.; Eguchi, N.; Whaley, D.; Alexander, M.; Tantisattamo, E.; Ichii, H. Anti-Oxidative therapy in diabetic nephropathy. Front. Biosci. 2022, 14, 14. [Google Scholar]
- Eboh, C.; Chowdhury, T.A. Management of diabetic renal disease. Ann. Transl. Med. 2015, 3, 154. [Google Scholar]
- Sheng, X.; Dong, Y.; Cheng, D.; Wang, N.; Guo, Y. Efficacy and safety of bailing capsules in the treatment of type 2 diabetic nephropathy: A meta-Analysis. Ann. Palliat. Med. 2020, 9, 3885–3898. [Google Scholar]
- Natesan, V.; Kim, S.J. Diabetic nephropathy—A review of risk factors, progression, mechanism, and dietary management. Biomol. Ther. 2021, 29, 365–372. [Google Scholar]
- Fabris, B.; Candido, R.; Armini, L.; Fischetti, F.; Calci, M.; Bardelli, M.; Fazio, M.; Campanacci, L.; Carretta, R. Control of glomerular hyperfiltration and renal hypertrophy by an angiotensin converting enzyme inhibitor prevents the progression of renal damage in hypertensive diabetic rats. J. Hypertens. 1999, 17, 1925–1931. [Google Scholar]
- Li, Z.; Guo, H.; Li, J.; Ma, T.; Zhou, S.; Zhang, Z.; Miao, L.; Cai, L. Sulforaphane prevents type 2 diabetes-Induced nephropathy via ampk-Mediated activation of lipid metabolic pathways and nrf2 antioxidative function. Clin. Sci. 2020, 134, 2469–2487. [Google Scholar]
- Palygin, O.; Spires, D.; Levchenko, V.; Bohovyk, R.; Fedoriuk, M.; Klemens, C.A.; Sykes, O.; Bukowy, J.D.; Cowley, A.W.; Lazar, J.; et al. Progression of diabetic kidney disease in t2dn rats. Am. J. Physiol. Ren. Physiol. 2019, 317, F1450–F1461. [Google Scholar]
- Thomas, H.Y.; Versypt, A.N.F. Pathophysiology of mesangial expansion in diabetic nephropathy: Mesangial structure, glomerular biomechanics, and biochemical signaling and regulation. J. Biol. Eng. 2022, 16, 19. [Google Scholar]
- Ma, J.; Zhao, N.; Du, L.; Wang, Y. Downregulation of lncrna neat1 inhibits mouse mesangial cell proliferation, fibrosis, and inflammation but promotes apoptosis in diabetic nephropathy. Int. J. Clin. Exp. Pathol. 2019, 12, 1174–1183. [Google Scholar]
- Zang, X.J.; Li, L.; Du, X.; Yang, B.; Mei, C.L. Lncrna tug1 inhibits the proliferation and fibrosis of mesangial cells in diabetic nephropathy via inhibiting the pi3k/akt pathway. Eur. Rev. Med. Pharm. Sci. 2019, 23, 7519–7525. [Google Scholar]
- Zheng, S.; Powell, D.W.; Zheng, F.; Kantharidis, P.; Gnudi, L. Diabetic nephropathy: Proteinuria, inflammation, and fibrosis. J. Diabetes Res. 2016, 2016, 5241549. [Google Scholar]
- Rai, U.; Kosuru, R.; Prakash, S.; Tiwari, V.; Singh, S. Tetramethylpyrazine alleviates diabetic nephropathy through the activation of akt signalling pathway in rats. Eur. J. Pharmacol. 2019, 865, 172763. [Google Scholar]
- Joost, H.-G.; Al-Hasani, H.; Schurmann, A. Animal Models in Diabetes Research; Humana Press: New York, NY, USA, 2012; Volume 933, p. 325. [Google Scholar]
- Ghasemi, A.; Khalifi, S.; Jedi, S. Streptozotocin-Nicotinamide-Induced rat model of type 2 diabetes (review). Acta Physiol. Hung. 2014, 101, 408–420. [Google Scholar]
- Sathaye, S.; Kaikini, A.A.; Dhodi, D.; Muke, S.; Peshattiwar, V.; Bagle, S.; Korde, A.; Sarnaik, J.; Kadwad, V.; Sachdev, S. Standardization of type 1 and type 2 diabetic nephropathy models in rats: Assessment and characterization of metabolic features and renal injury. J. Pharm. Bioallied Sci. 2020, 12, 295–307. [Google Scholar]
- Szkudelski, T. Streptozotocin-Nicotinamide-Induced diabetes in the rat. Characteristics of the experimental model. Exp. Biol. Med. 2012, 237, 481–490. [Google Scholar]
- Masiello, P.; Broca, C.; Gross, R.; Roye, M.; Manteghetti, M.; Hillaire-Buys, D.; Novelli, M.; Ribes, G. Experimental niddm: Development of a new model in adult rats administered streptozotocin and nicotinamide. Diabetes 1998, 47, 224–229. [Google Scholar]
- Gheibi, S.; Jeddi, S.; Carlstrom, M.; Kashfi, K.; Ghasemi, A. Hydrogen sulfide potentiates the favorable metabolic effects of inorganic nitrite in type 2 diabetic rats. Nitric Oxide 2019, 92, 60–72. [Google Scholar]
- Jeddi, S.; Gheibi, S.; Kashfi, K.; Ghasemi, A. Sodium hydrosulfide has no additive effects on nitrite-Inhibited renal gluconeogenesis in type 2 diabetic rats. Life Sci. 2021, 283, 119870. [Google Scholar]
- Javrushyan, H.; Nadiryan, E.; Grigoryan, A.; Avtandilyan, N.; Maloyan, A. Antihyperglycemic activity of l-Norvaline and l-Arginine in high-Fat diet and streptozotocin-Treated male rats. Exp. Mol. Pathol. 2022, 126, 104763. [Google Scholar]
- Liu, P.; Zhang, Z.; Li, Y. Relevance of the pyroptosis-Related inflammasome pathway in the pathogenesis of diabetic kidney disease. Front. Immunol. 2021, 12, 603416. [Google Scholar]
- Wu, J.; Luo, X.; Thangthaeng, N.; Sumien, N.; Chen, Z.; Rutledge, M.A.; Jing, S.; Forster, M.J.; Yan, L.J. Pancreatic mitochondrial complex i exhibits aberrant hyperactivity in diabetes. Biochem. Biophys. Rep. 2017, 11, 119–129. [Google Scholar]
- Li, C.Y.; Ma, W.X.; Yan, L.J. 5-Methoxyindole-2-Carboxylic acid (mica) fails to retard development and progression of type ii diabetes in zsf1 diabetic rats. React. Oxyg. Species Apex NC 2020, 9, 144–147. [Google Scholar]
- Dugbartey, G.J.; Wonje, Q.L.; Alornyo, K.K.; Adams, I.; Diaba, D.E. Alpha-Lipoic acid treatment improves adverse cardiac remodelling in the diabetic heart—The role of cardiac hydrogen sulfide-Synthesizing enzymes. Biochem. Pharmacol. 2022, 203, 115179. [Google Scholar]
- Qasem, M.A.; Noordin, M.I.; Arya, A.; Alsalahi, A.; Jayash, S.N. Evaluation of the glycemic effect of ceratonia siliqua pods (carob) on a streptozotocin-Nicotinamide induced diabetic rat model. PeerJ 2018, 6, e4788. [Google Scholar]
- Patra, S.; Bhattacharya, S.; Bala, A.; Haldar, P.K. Antidiabetic effect of drymaria cordata leaf against streptozotocin-Nicotinamide-Induced diabetic albino rats. J. Adv. Pharm. Technol. Res. 2020, 11, 44–52. [Google Scholar]
- Kumar, E.K.; Janardhana, G.R. Antidiabetic activity of alcoholic stem extract of nervilia plicata in streptozotocin-Nicotinamide induced type 2 diabetic rats. J. Ethnopharmacol. 2011, 133, 480–483. [Google Scholar]
- Balaji, P.; Madhanraj, R.; Rameshkumar, K.; Veeramanikandan, V.; Eyini, M.; Arun, A.; Thulasinathan, B.; Al Farraj, D.; Elshikh, M.; Alokda, A.; et al. Evaluation of antidiabetic activity of pleurotus pulmonarius against streptozotocin-Nicotinamide induced diabetic wistar albino rats. Saudi J. Biol. Sci. 2020, 27, 913–924. [Google Scholar]
- Szkudelski, T. The mechanism of alloxan and streptozotocin action in b cells of the rat pancreas. Physiol. Res. 2001, 50, 537–546. [Google Scholar]
- Wu, J.; Yan, L.J. Streptozotocin-Induced type 1 diabetes in rodents as a model for studying mitochondrial mechanisms of diabetic beta cell glucotoxicity. Diabetes Metab. Syndr. Obes. Targets Ther. 2015, 8, 181–188. [Google Scholar]
- Lenzen, S. The mechanisms of alloxan- and streptozotocin-Induced diabetes. Diabetologia 2008, 51, 216–226. [Google Scholar]
- Wu, J.; Jin, Z.; Zheng, H.; Yan, L.J. Sources and implications of nadh/nad (+) redox imbalance in diabetes and its complications. Diabetes Metab. Syndr. Obes. 2016, 9, 145–153. [Google Scholar]
- Wu, C.C.; Hung, C.N.; Shin, Y.C.; Wang, C.J.; Huang, H.P. Myrciaria cauliflora extracts attenuate diabetic nephropathy involving the ras signaling pathway in streptozotocin/nicotinamide mice on a high fat diet. J. Food Drug Anal. 2016, 24, 136–146. [Google Scholar]
- Yu, W.C.; Huang, R.Y.; Chou, T.C. Oligo-Fucoidan improves diabetes-Induced renal fibrosis via activation of sirt-1, glp-1r, and nrf2/ho-1: An in vitro and in vivo study. Nutrients 2020, 12, 3068. [Google Scholar]
- Nakamura, T.; Terajima, T.; Ogata, T.; Ueno, K.; Hashimoto, N.; Ono, K.; Yano, S. Establishment and pathophysiological characterization of type 2 diabetic mouse model produced by streptozotocin and nicotinamide. Biol. Pharm. Bull. 2006, 29, 1167–1174. [Google Scholar]
- Weng, Y.; Yu, L.; Cui, J.; Zhu, Y.-R.; Guo, C.; Wei, G.; Duan, J.-L.; Yin, Y.; Guan, Y.; Wang, Y.-H.; et al. Antihyperglycemic, hypolipidemic and antioxidant activities of total saponins extracted from aralia taibaiensis in experimental type 2 diabetic rats. J. Ethnopharmacol. 2014, 152, 553–560. [Google Scholar]
- Bayrasheva, V.K.; Babenko, A.Y.; Dobronravov, V.A.; Dmitriev, Y.V.; Chefu, S.G.; Pchelin, I.Y.; Ivanova, A.N.; Bairamov, A.A.; Alexeyeva, N.P.; Shatalov, I.S.; et al. Uninephrectomized high-Fat-Fed nicotinamide-Streptozotocin-Induced diabetic rats: A model for the investigation of diabetic nephropathy in type 2 diabetes. J. Diabetes Res. 2016, 2016, 8317850. [Google Scholar]
- Sasongko, H.; Nurrochmad, A.; Rohman, A.; Nugroho, A.E. Characteristic of Streptozotocin-Nicotinamide-Induced Inflammation in A Rat Model of Diabetes-Associated Renal Injury. Open Access Maced. J. Med. Sci. 2022, 10, 16–22. [Google Scholar]
- Pelle, M.C.; Provenzano, M.; Busutti, M.; Porcu, C.V.; Zaffina, I.; Stanga, L.; Arturi, F. Up-Date on diabetic nephropathy. Life 2022, 12, 1202. [Google Scholar]
- Yan, L.J. Folic acid-Induced animal model of kidney disease. Animal. Model. Exp. Med. 2021, 4, 329–342. [Google Scholar]
- Corremans, R.; D’Haese, P.C.; Vervaet, B.A.; Verhulst, A. L-Name administration enhances diabetic kidney disease development in an stz/nad rat model. Int. J. Mol. Sci. 2021, 22, 12767. [Google Scholar]
- Arigela, C.S.; Nelli, G.; Gan, S.H.; Sirajudeen, K.N.S.; Krishnan, K.; Abdul Rahman, N.; Pasupuleti, V.R. Bitter gourd honey ameliorates hepatic and renal diabetic complications on type 2 diabetes rat models by antioxidant, anti-Inflammatory, and anti-Apoptotic mechanisms. Foods 2021, 10, 2872. [Google Scholar]
- Agarwal, R. Pathogenesis of diabetic nephropathy. In Chronic Kidney Disease and Type 2 Diabetes; American Diabetes Association: Arlington, VA, USA, 2021; pp. 2–7. [Google Scholar]
- Mahdavifard, S.; Nakhjavani, M. 1,8 cineole protects type 2 diabetic rats against diabetic nephropathy via inducing the activity of glyoxalase-I and lowering the level of transforming growth factor-1beta. J. Diabetes Metab. Disord. 2022, 21, 567–572. [Google Scholar]
- Khanra, R.; Dewanjee, S.; Dua, T.K.; Sahu, R.; Gangopadhyay, M.; De Feo, V.; Zia-Ul-Haq, M. Abroma augusta l. (malvaceae) leaf extract attenuates diabetes induced nephropathy and cardiomyopathy via inhibition of oxidative stress and inflammatory response. J. Transl. Med. 2015, 13, 6. [Google Scholar]
- Olaniyi, K.S.; Amusa, O.A.; Akinnagbe, N.T.; Ajadi, I.O.; Ajadi, M.B.; Agunbiade, T.B.; Michael, O.S. Acetate ameliorates nephrotoxicity in streptozotocin-Nicotinamide-Induced diabetic rats: Involvement of xanthine oxidase activity. Cytokine 2021, 142, 155501. [Google Scholar]
- Wu, W.T.; Hsu, T.H.; Lee, C.H.; Lo, H.C. Fruiting bodies of chinese caterpillar mushroom, ophiocordyceps sinensis (ascomycetes) alleviate diabetes-Associated oxidative stress. Int. J. Med. Mushrooms 2020, 22, 15–29. [Google Scholar]
- Kishore, L.; Kaur, N.; Singh, R. Renoprotective effect of bacopa monnieri via inhibition of advanced glycation end products and oxidative stress in stz-Nicotinamide-Induced diabetic nephropathy. Ren. Fail. 2016, 38, 1528–1544. [Google Scholar]
- Pourfarjam, Y.; Rezagholizadeh, L.; Nowrouzi, A.; Meysamie, A.; Ghaseminejad, S.; Ziamajidi, N.; Norouzi, D. Effect of cichorium intybus l. Seed extract on renal parameters in experimentally induced early and late diabetes type 2 in rats. Ren. Fail. 2017, 39, 211–221. [Google Scholar]
- Ali, A.M.; Gabbar, M.A.; Abdel-Twab, S.M.; Fahmy, E.M.; Ebaid, H.; Alhazza, I.M.; Ahmed, O.M. Antidiabetic potency, antioxidant effects, and mode of actions of citrus reticulata fruit peel hydroethanolic extract, hesperidin, and quercetin in nicotinamide/streptozotocin-Induced wistar diabetic rats. Oxidative Med. Cell. Longev. 2020, 2020, 1730492. [Google Scholar]
- Kpemissi, M.; Potârniche, A.-V.; Lawson-Evi, P.; Metowogo, K.; Melila, M.; Dramane, P.; Taulescu, M.; Chandramohan, V.; Suhas, D.S.; Puneeth, T.A.; et al. Nephroprotective effect of combretum micranthum g. Don in nicotinamide-Streptozotocin induced diabetic nephropathy in rats: In-Vivo and in-Silico experiments. J. Ethnopharmacol. 2020, 261, 113133. [Google Scholar]
- Maheshwari, R.A.; Balaraman, R.; Sen, A.K.; Seth, A.K. Effect of coenzyme q10 alone and its combination with metformin on streptozotocin-Nicotinamide-Induced diabetic nephropathy in rats. Indian J. Pharmacol. 2014, 46, 627–632. [Google Scholar]
- Maheshwari, R.; Balaraman, R.; Sen, A.K.; Shukla, D.; Seth, A. Effect of concomitant administration of coenzyme q10 with sitagliptin on experimentally induced diabetic nephropathy in rats. Ren. Fail. 2017, 39, 130–139. [Google Scholar]
- Yu, S.H.; Dubey, N.K.; Li, W.S.; Liu, M.C.; Chiang, H.S.; Leu, S.J.; Shieh, Y.H.; Tsai, F.C.; Deng, W.P. Cordyceps militaris treatment preserves renal function in type 2 diabetic nephropathy mice. PLoS ONE 2016, 11, e0166342. [Google Scholar]
- Margaritis, I.; Angelopoulou, K.; Lavrentiadou, S.; Mavrovouniotis, I.C.; Tsantarliotou, M.; Taitzoglou, I.; Theodoridis, A.; Veskoukis, A.; Kerasioti, E.; Kouretas, D.; et al. Effect of crocin on antioxidant gene expression, fibrinolytic parameters, redox status and blood biochemistry in nicotinamide-Streptozotocin-Induced diabetic rats. J. Biol. Res. 2020, 27, 4. [Google Scholar]
- Singla, K.; Singh, R. Nephroprotective effect of curculigo orchiodies in streptozotocin-Nicotinamide induced diabetic nephropathy in wistar rats. J. Ayurveda Integr. Med. 2020, 11, 399–404. [Google Scholar]
- El Medany, A.M.H.; Hammadi, S.H.M.; Khalifa, H.M.; Ghazala, R.A.; Mohammed, H.S.Z. The vascular impact of dapagliflozin, liraglutide, and atorvastatin alone or in combinations in type 2 diabetic rat model. Fundam. Clin. Pharmacol. 2022, 36, 731–741. [Google Scholar]
- Abdel-Wahab, A.F.; Bamagous, G.A.; Al-Harizy, R.M.; ElSawy, N.A.; Shahzad, N.; Ibrahim, I.A.; Ghamdi, S.S.A. Renal protective effect of sglt2 inhibitor dapagliflozin alone and in combination with irbesartan in a rat model of diabetic nephropathy. Biomed. Pharm. 2018, 103, 59–66. [Google Scholar]
- Jangale, N.M.; Devarshi, P.P.; Bansode, S.B.; Kulkarni, M.J.; Harsulkar, A.M. Dietary flaxseed oil and fish oil ameliorates renal oxidative stress, protein glycation, and inflammation in streptozotocin-Nicotinamide-Induced diabetic rats. J. Physiol. Biochem. 2016, 72, 327–336. [Google Scholar]
- Kaur, N.; Kishore, L.; Singh, R. Dillenia indica l. Attenuates diabetic nephropathy via inhibition of advanced glycation end products accumulation in stz-Nicotinamide induced diabetic rats. J. Tradit. Complement Med. 2018, 8, 226–238. [Google Scholar]
- Srinivasan, S.; Pari, L. Ameliorative effect of diosmin, a citrus flavonoid against streptozotocin-Nicotinamide generated oxidative stress induced diabetic rats. Chem.-Biol. Interact. 2012, 195, 43–51. [Google Scholar]
- El-Kader, M.A.; Hashish, H.A. Potential role of empagliflozin in prevention of nephropathy in streptozotocin-Nicotinamideinduced type 2 diabetes: An ultrastructural study. Anatomy 2019, 13, 137–148. [Google Scholar]
- Gutierrez, R.M.P.; Campoy, A.H.G.; Carrera, S.P.P.; Ramirez, A.M.; Flores, J.M.M.; Valle, S.O.F. 3′-O-Beta-D-Glucopyranosyl-Alpha,4,2′,4′,6′-Pentahydroxy-Dihydrochalcone, from bark of eysenhardtia polystachya prevents diabetic nephropathy via inhibiting protein glycation in stz-Nicotinamide induced diabetic mice. Molecules 2019, 24, 1214. [Google Scholar]
- Ziamajidi, N.; Nasiri, A.; Abbasalipourkabir, R.; Sadeghi Moheb, S. Effects of garlic extract on tnf-Alpha expression and oxidative stress status in the kidneys of rats with stz + nicotinamide-Induced diabetes. Pharm. Biol. 2017, 55, 526–531. [Google Scholar]
- Kasozi, K.I.; Namubiru, S.; Safiriyu, A.A.; Ninsiima, H.I.; Nakimbugwe, D.; Namayanja, M.; Valladares, M.B. Grain amaranth is associated with improved hepatic and renal calcium metabolism in type 2 diabetes mellitus of male wistar rats. Evid.-Based Complement. Altern. Med. 2018, 2018, 4098942. [Google Scholar]
- Selvaraj, G.; Kaliamurthi, S.; Thirugnasambandan, R. Effect of glycosin alkaloid from rhizophora apiculata in non-Insulin dependent diabetic rats and its mechanism of action: In vivo and in silico studies. Phytomedicine 2016, 23, 632–640. [Google Scholar]
- Abd El Motteleb, D.M.; Abd El Aleem, D.I. Renoprotective effect of hypericum perforatum against diabetic nephropathy in rats: Insights in the underlying mechanisms. Clin. Exp. Pharmacol. Physiol. 2017, 44, 509–521. [Google Scholar]
- Dugbartey, G.J.; Alornyo, K.K.; N’Guessan, B.B.; Atule, S.; Mensah, S.D.; Adjei, S. Supplementation of conventional anti-Diabetic therapy with alpha-Lipoic acid prevents early development and progression of diabetic nephropathy. Biomed. Pharmacother. 2022, 149, 112818. [Google Scholar]
- Dugbartey, G.J.; Alornyo, K.K.; Diaba, D.E.; Adams, I. Activation of renal cse/h2s pathway by alpha-Lipoic acid protects against histological and functional changes in the diabetic kidney. Biomed. Pharmacother. 2022, 153, 113386. [Google Scholar]
- Deshmukh, A.; Manjalkar, P. Synergistic effect of micronutrients and metformin in alleviating diabetic nephropathy and cardiovascular dysfunctioning in diabetic rat. J. Diabetes Metab. Disord. 2021, 20, 533–541. [Google Scholar]
- Hsu, J.D.; Wu, C.C.; Hung, C.N.; Wang, C.J.; Huang, H.P. Myrciaria cauliflora extract improves diabetic nephropathy via suppression of oxidative stress and inflammation in streptozotocin-Nicotinamide mice. J. Food Drug Anal. 2016, 24, 730–737. [Google Scholar]
- Kishore, L.; Kaur, N.; Singh, R. Nephroprotective effect of paeonia emodi via inhibition of advanced glycation end products and oxidative stress in streptozotocin-Nicotinamide induced diabetic nephropathy. J. Food Drug Anal. 2017, 25, 576–588. [Google Scholar]
- Giribabu, N.; Karim, K.; Kilari, E.K.; Salleh, N. Phyllanthus niruri leaves aqueous extract improves kidney functions, ameliorates kidney oxidative stress, inflammation, fibrosis and apoptosis and enhances kidney cell proliferation in adult male rats with diabetes mellitus. J. Ethnopharmacol. 2017, 205, 123–137. [Google Scholar]
- Afzal, H.R.; Khan, N.U.H.; Sultana, K.; Mobashar, A.; Lareb, A.; Khan, A.; Gull, A.; Afzaal, H.; Khan, M.T.; Rizwan, M.; et al. Schiff bases of pioglitazone provide better antidiabetic and potent antioxidant effect in a streptozotocin-Nicotinamide-Induced diabetic rodent model. ACS Omega 2021, 6, 4470–4479. [Google Scholar]
- Lin, C.F.; Kuo, Y.T.; Chen, T.Y.; Chien, C.T. Quercetin-Rich guava (psidium guajava) juice in combination with trehalose reduces autophagy, apoptosis and pyroptosis formation in the kidney and pancreas of type ii diabetic rats. Molecules 2016, 21, 334. [Google Scholar]
- Palsamy, P.; Subramanian, S. Resveratrol protects diabetic kidney by attenuating hyperglycemia-Mediated oxidative stress and renal inflammatory cytokines via nrf2-Keap1 signaling. Biochim. Biophys. Acta-Mol. Basis Dis. 2011, 1812, 719–731. [Google Scholar]
- Zhao, L.L.; Makinde, E.A.; Shah, M.A.; Olatunji, O.J.; Panichayupakaranant, P. Rhinacanthins-Rich extract and rhinacanthin c ameliorate oxidative stress and inflammation in streptozotocin-Nicotinamide-Induced diabetic nephropathy. J. Food Biochem. 2019, 43, e12812. [Google Scholar]
- Uddandrao, V.V.S.; Brahmanaidu, P.; Ravindarnaik, R.; Suresh, P.; Vadivukkarasi, S.; Saravanan, G. Restorative potentiality of s-Allylcysteine against diabetic nephropathy through attenuation of oxidative stress and inflammation in streptozotocin-Nicotinamide-Induced diabetic rats. Eur. J. Nutr. 2019, 58, 2425–2437. [Google Scholar]
- Inoue, M.-K.; Matsunaga, Y.; Nakatsu, Y.; Yamamotoya, T.; Ueda, K.; Kushiyama, A.; Sakoda, H.; Fujishiro, M.; Ono, H.; Iwashita, M.; et al. Possible involvement of normalized pin1 expression level and ampk activation in the molecular mechanisms underlying renal protective effects of sglt2 inhibitors in mice. Diabetol. Metab. Syndr. 2019, 11, 57. [Google Scholar]
- Sheela, N.; Jose, M.A.; Sathyamurthy, D.; Kumar, B.N. Effect of silymarin on streptozotocin-Nicotinamide-Induced type 2 diabetic nephropathy in rats. Iran. J. Kidney Dis. 2013, 7, 117–123. [Google Scholar]
- Mandave, P.; Khadke, S.; Karandikar, M.; Pandit, V.; Ranjekar, P.; Kuvalekar, A.; Mantri, N. Antidiabetic, lipid normalizing, and nephroprotective actions of the strawberry: A potent supplementary fruit. Int. J. Mol. Sci. 2017, 18, 124. [Google Scholar]
- Chandran, R.; Parimelazhagan, T.; Shanmugam, S.; Thankarajan, S. Antidiabetic activity of syzygium calophyllifolium in streptozotocin-Nicotinamide induced type-2 diabetic rats. Biomed. Pharmacother. 2016, 82, 547–554. [Google Scholar]
- Murugan, P.; Pari, L. Protective role of tetrahydrocurcumin on changes in the fatty acid composition in streptozotocin-Nicotinamide induced type 2 diabetic rats. J. Appl. Biomed. 2007, 5, 31–38. [Google Scholar]
- Singh, B.; Kumar, A.; Singh, H.; Kaur, S.; Arora, S.; Singh, B. Protective effect of vanillic acid against diabetes and diabetic nephropathy by attenuating oxidative stress and upregulation of nf-Kappab, tnf-Alpha and cox-2 proteins in rats. Phytother. Res. 2022, 36, 1338–1352. [Google Scholar]
- Zhang, R.; Lu, M.; Zhang, S.; Liu, J. Renoprotective effects of tilianin in diabetic rats through modulation of oxidative stress via nrf2-Keap1 pathway and inflammation via tlr4/mapk/nf-Kappab pathways. Int. Immunopharmacol. 2020, 88, 106967. [Google Scholar]
- Kyei-Barffour, I.; Kwarkoh, R.K.B.; Arthur, O.D.; Akwetey, S.A.; Acheampong, D.O.; Aboagye, B.; Brah, A.S.; Amponsah, I.K.; Adokoh, C.K. Alkaloidal extract from zanthoxylum zanthoxyloides stimulates insulin secretion in normoglycemic and nicotinamide/streptozotocin-Induced diabetic rats. Heliyon 2021, 7, e07452. [Google Scholar]
- Homer, B.L.; Dower, K. 41-Week study of progressive diabetic nephropathy in the zsf1 fa/fa(cp) rat model. Toxicol. Pathol. 2018, 46, 976–977. [Google Scholar]
- Zhao, Y.; Yan, T.; Xiong, C.; Chang, M.; Gao, Q.; Yao, S.; Wu, W.; Yi, X.; Xu, G. Overexpression of lipoic acid synthase gene alleviates diabetic nephropathy of lepr(db/db) mice. BMJ Open Diabetes Res. Care 2021, 9, e002260. [Google Scholar]
- Zhang, B.; Zhang, X.; Zhang, C.; Sun, G.; Sun, X. Berberine improves the protective effects of metformin on diabetic nephropathy in db/db mice through trib1-Dependent inhibiting inflammation. Pharm. Res. 2021, 38, 1807–1820. [Google Scholar]
- Khan, M.F.; Mathur, A.; Pandey, V.K.; Kakkar, P. Endoplasmic reticulum stress-Dependent activation of trb3-Foxo1 signaling pathway exacerbates hyperglycemic nephrotoxicity: Protection accorded by naringenin. Eur. J. Pharmacol. 2022, 917, 174745. [Google Scholar]
- Boye, A.; Acheampong, D.O.; Gyamerah, E.O.; Asiamah, E.A.; Addo, J.K.; Mensah, D.A.; Brah, A.S.; Ayiku, P.J. Glucose lowering and pancreato-Protective effects of abrus precatorius (l.) leaf extract in normoglycemic and stz/nicotinamide-Induced diabetic rats. J. Ethnopharmacol. 2020, 258, 112918. [Google Scholar]
- Indumathi, D.; Sujithra, K.; Srinivasan, S.; Vinothkumar, V. Protective effect of betanin against streptozotocin-Nicotinamide induced liver, kidney and pancreas damage by attenuating lipid byproducts and improving renal biomarkers in wistar rats. Int. J. Adv. Res. Biol. Sci. 2017, 4, 160–170. [Google Scholar]
- Ablat, A.; Halabi, M.F.; Mohamad, J.; Hasnan, M.H.; Hazni, H.; Teh, S.H.; Shilpi, J.A.; Mohamed, Z.; Awang, K. Antidiabetic effects of brucea javanica seeds in type 2 diabetic rats. BMC Complement. Altern. Med. 2017, 17, 94. [Google Scholar]
- Nankar, R.P.; Doble, M. Hybrid drug combination: Anti-Diabetic treatment of type 2 diabetic wistar rats with combination of ellagic acid and pioglitazone. Phytomedicine 2017, 37, 4–9. [Google Scholar]
- Karle, P.P.; Dhawale, S.C.; Navghare, V.V. Amelioration of diabetes and its complications by manilkara zapota (l) p. Royen fruit peel extract and its fractions in alloxan and stz-Na induced diabetes in wistar rats. J. Diabetes Metab. Disord. 2022, 21, 493–510. [Google Scholar]
- Aboonabi, A.; Rahmat, A.; Othman, F. Antioxidant effect of pomegranate against streptozotocin-Nicotinamide generated oxidative stress induced diabetic rats. Toxicol. Rep. 2014, 1, 915–922. [Google Scholar]
- Soufi, F.G.; Vardyani, M.; Sheervalilou, R.; Mohammadi, M.; Somi, M.H. Long-Term treatment with resveratrol attenuates oxidative stress pro-Inflammatory mediators and apoptosis in streptozotocin-Nicotinamide-Induced diabetic rats. Gen. Physiol. Biophys. 2012, 31, 431–438. [Google Scholar]
- Yan, L.J. Redox imbalance stress in diabetes mellitus: Role of the polyol pathway. Animal Model. Exp. Med. 2018, 1, 7–13. [Google Scholar]
- Luo, X.; Wu, J.; Jing, S.; Yan, L.J. Hyperglycemic stress and carbon stress in diabetic glucotoxicity. Aging Dis. 2016, 7, 90–110. [Google Scholar]
- Yan, L.J.; Sumien, N.; Thangthaeng, N.; Forster, M.J. Reversible inactivation of dihydrolipoamide dehydrogenase by mitochondrial hydrogen peroxide. Free Radic. Res. 2013, 47, 123–133. [Google Scholar]
- Wu, J.; Luo, X.; Jing, S.; Yan, L.J. Two-Dimensional gel electrophoretic detection of protein carbonyls derivatized with biotin-Hydrazide. J. Chromatogr. B 2016, 1019, 128–131. [Google Scholar]
- Zheng, H.; Wu, J.; Jin, Z.; Yan, L.J. Protein modifications as manifestations of hyperglycemic glucotoxicity in diabetes and its complications. Biochem. Insights 2016, 9, BCI-S36141. [Google Scholar]
- Murea, M.; Freedman, B.I.; Parks, J.S.; Antinozzi, P.A.; Elbein, S.C.; Ma, L. Lipotoxicity in diabetic nephropathy: The potential role of fatty acid oxidation. Clin. J. Am. Soc. Nephrol. 2010, 5, 2373–2379. [Google Scholar]
- Jang, H.S.; Noh, M.R.; Kim, J.; Padanilam, B.J. Defective mitochondrial fatty acid oxidation and lipotoxicity in kidney diseases. Front. Med. 2020, 7, 65. [Google Scholar]
- Yang, S.-K.; Li, A.-M.; Han, Y.-C.; Peng, C.-H.; Song, N.; Yang, M.; Zhan, M.; Zeng, L.-F.; Song, P.-A.; Zhang, W.; et al. Mitochondria-Targeted peptide ss31 attenuates renal tubulointerstitial injury via inhibiting mitochondrial fission in diabetic mice. Oxidative Med. Cell. Longev. 2019, 2019, 2346580. [Google Scholar]
- Ma, Y.; Chen, Z.; Tao, Y.; Zhu, J.; Yang, H.; Liang, W.; Ding, G. Increased mitochondrial fission of glomerular podocytes in diabetic nephropathy. Endocr. Connect. 2019, 8, 1206–1212. [Google Scholar]
- Higgins, G.C.; Coughlan, M.T. Mitochondrial dysfunction and mitophagy: The beginning and end to diabetic nephropathy? Br. J. Pharmacol. 2014, 171, 1917–1942. [Google Scholar]
- Sun, J.; Zhu, H.; Wang, X.; Gao, Q.; Li, Z.; Huang, H. Coq10 ameliorates mitochondrial dysfunction in diabetic nephropathy through mitophagy. J. Endocrinol. 2019, 240, 445–465. [Google Scholar]
- Cybulsky, A.V. Endoplasmic reticulum stress, the unfolded protein response and autophagy in kidney diseases. Nat. Rev. Nephrol. 2017, 13, 681–696. [Google Scholar]
- Wang, H.; Karnati, S.; Madhusudhan, T. Regulation of the homeostatic unfolded protein response in diabetic nephropathy. Pharmaceuticals 2022, 15, 401. [Google Scholar]
- Lu, C.; Wu, B.; Liao, Z.; Xue, M.; Zou, Z.; Feng, J.; Sheng, J. Dusp1 overexpression attenuates renal tubular mitochondrial dysfunction by restoring parkin-Mediated mitophagy in diabetic nephropathy. Biochem. Biophys. Res. Commun. 2021, 559, 141–147. [Google Scholar]
- Sherkhane, B.; Kalvala, A.K.; Arruri, V.K.; Khatri, D.K.; Singh, S.B. Renoprotective potential of myo-Inositol on diabetic kidney disease: Focus on the role of the pink1/parkin pathway and mitophagy receptors. J. Biochem. Mol. Toxicol. 2022, 36, e23032. [Google Scholar]
- Asico, L.D.; Cuevas, S.; Ma, X.; Jose, P.A.; Armando, I.; Konkalmatt, P.R. Nephron segment-Specific gene expression using aav vectors. Biochem. Biophys. Res. Commun. 2018, 497, 19–24. [Google Scholar]
- Thallas-Bonke, V.; Tan, S.M.; Lindblom, R.S.; Snelson, M.; Granata, C.; Jha, J.C.; Sourris, K.C.; Laskowski, A.; Watson, A.; Tauc, M.; et al. Targeted deletion of nicotinamide adenine dinucleotide phosphate oxidase 4 from proximal tubules is dispensable for diabetic kidney disease development. Nephrol. Dial. Transpl. 2021, 36, 988–997. [Google Scholar]
- Shao, B.Y.; Zhang, S.F.; Li, H.D.; Meng, X.M.; Chen, H.Y. Epigenetics and inflammation in diabetic nephropathy. Front. Physiol. 2021, 12, 649587. [Google Scholar]
- Li, X.; Lu, L.; Hou, W.; Huang, T.; Chen, X.; Qi, J.; Zhao, Y.; Zhu, M. Epigenetics in the pathogenesis of diabetic nephropathy. Acta Biochim. Biophys. Sin. 2022, 54, 163–172. [Google Scholar]
- Aparicio-Trejo, O.E.; Reyes-Fermin, L.M.; Briones-Herrera, A.; Tapia, E.; Leon-Contreras, J.C.; Hernandez-Pando, R.; Sanchez-Lozada, L.G.; Pedraza-Chaverri, J. Protective effects of n-Acetyl-Cysteine in mitochondria bioenergetics, oxidative stress, dynamics and s-Glutathionylation alterations in acute kidney damage induced by folic acid. Free Radic. Biol. Med. 2019, 130, 379–396. [Google Scholar]
- Aparicio-Trejo, O.E.; Avila-Rojas, S.H.; Tapia, E.; Rojas-Morales, P.; Leon-Contreras, J.C.; Martinez-Klimova, E.; Hernandez-Pando, R.; Sanchez-Lozada, L.G.; Pedraza-Chaverri, J. Chronic impairment of mitochondrial bioenergetics and beta-Oxidation promotes experimental aki-To-Ckd transition induced by folic acid. Free Radic. Biol. Med. 2020, 154, 18–32. [Google Scholar]
- Gupta, A.; Puri, V.; Sharma, R.; Puri, S. Folic acid induces acute renal failure (arf) by enhancing renal prooxidant state. Exp. Toxicol. Pathol. 2012, 64, 225–232. [Google Scholar]
- Perse, M.; Veceric-Haler, Z. Cisplatin-Induced rodent model of kidney injury: Characteristics and challenges. Biomed. Res. Int. 2018, 2018, 1462802. [Google Scholar]
- Oh, G.S.; Kim, H.J.; Shen, A.; Lee, S.B.; Yang, S.H.; Shim, H.; Cho, E.Y.; Kwon, K.B.; Kwak, T.H.; So, H.S. New therapeutic concept of nad redox balance for cisplatin nephrotoxicity. Biomed. Res. Int. 2016, 2016, 4048390. [Google Scholar]
- Prozialeck, W.C.; Vaidya, V.S.; Liu, J.; Waalkes, M.P.; Edwards, J.R.; Lamar, P.C.; Bernard, A.M.; Dumont, X.; Bonventre, J.V. Kidney injury molecule-1 is an early biomarker of cadmium nephrotoxicity. Kidney Int. 2007, 72, 985–993. [Google Scholar]
- Prozialeck, W.C.; Edwards, J.R. Mechanisms of cadmium-Induced proximal tubule injury: New insights with implications for biomonitoring and therapeutic interventions. J. Pharmacol. Exp. Ther. 2012, 343, 2–12. [Google Scholar]
- Yan, L.J.; Allen, D.C. Cadmium-Induced kidney injury: Oxidative damage as a unifying mechanism. Biomolecules 2021, 11, 1575. [Google Scholar]
- Chi, P.J.; Lee, C.J.; Hsieh, Y.J.; Lu, C.W.; Hsu, B.G. Dapagliflozin ameliorates lipopolysaccharide related acute kidney injury in mice with streptozotocin-Induced diabetes mellitus. Int. J. Med. Sci. 2022, 19, 729–739. [Google Scholar]
- Tang, J.L.; Xin, M.; Zhang, L.C. Protective effect of astragalus membranaceus and astragaloside iv in sepsis-Induced acute kidney injury. Aging 2022, 14, 5855. [Google Scholar]
- Pabla, N.; Bajwa, A. Role of mitochondrial therapy for ischemic-Reperfusion injury and acute kidney injury. Nephron 2022, 146, 253–258. [Google Scholar]
- Hesp, A.C.; Schaub, J.A.; Prasad, P.V.; Vallon, V.; Laverman, G.D.; Bjornstad, P.; van Raalte, D.H. The role of renal hypoxia in the pathogenesis of diabetic kidney disease: A promising target for newer renoprotective agents including sglt2 inhibitors? Kidney Int. 2020, 98, 579–589. [Google Scholar]
- Ahmadi, F.; Hajihashemi, S.; Rahbari, A.; Ghanbari, F. Effects of nitroglycerine on renal ischemia-Reperfusion injury in adult male rats. Drug Res. 2019, 69, 612–620. [Google Scholar]
- Khbouz, B.; Lallemand, F.; Cirillo, A.; Rowart, P.; Legouis, D.; Sounni, N.E.; Noel, A.; De Tullio, P.; de Seigneux, S.; Jouret, F. Kidney-Targeted irradiation triggers renal ischemic preconditioning in mice. Am. J. Physiol.-Ren. Physiol. 2022, 323, F198–F211. [Google Scholar]
- Khbouz, B.; Rowart, P.; Poma, L.; Dahlke, E.; Bottner, M.; Stokes, M.; Bolen, G.; Rahmouni, S.; Theilig, F.; Jouret, F. The genetic deletion of the dual specificity phosphatase 3 (dusp3) attenuates kidney damage and inflammation following ischaemia/reperfusion injury in mouse. Acta Physiol. 2022, 234, e13735. [Google Scholar]
- Yoo, Y.C.; Yoo, K.J.; Lim, B.J.; Jun, J.H.; Shim, J.K.; Kwak, Y.L. Propofol attenuates renal ischemia-Reperfusion injury aggravated by hyperglycemia. J. Surg. Res. 2013, 183, 783–791. [Google Scholar]
- Sehirli, O.; Sener, E.; Cetinel, S.; Yuksel, M.; Gedik, N.; Sener, G. Alpha-Lipoic acid protects against renal ischaemia-reperfusion injury in rats. Clin. Exp. Pharmacol. Physiol. 2008, 35, 249–255. [Google Scholar]
- Gang, G.-T.; Hwang, J.H.; Kim, Y.-H.; Noh, J.-R.; Kim, K.-S.; Jeong, J.Y.; Choi, D.E.; Lee, K.W.; Jung, J.-Y.; Shong, M.; et al. Protection of nad (p) h:Quinone oxidoreductase 1 against renal ischemia/reperfusion injury in mice. Free Radic. Biol. Med. 2014, 67, 139–149. [Google Scholar]
- Xu, X.M.; Cai, G.Y.; Bu, R.; Wang, W.J.; Bai, X.Y.; Sun, X.F.; Chen, X.M. Beneficial effects of caloric restriction on chronic kidney disease in rodent models: A meta-Analysis and systematic review. PLoS ONE 2015, 10, e0144442. [Google Scholar]
- Koehler, F.C.; Spath, M.R.; Hoyer-Allo, K.J.R.; Muller, R.U. Mechanisms of caloric restriction-Mediated stress-Resistance in acute kidney injury. Nephron 2022, 146, 234–238. [Google Scholar]
- Serna, J.D.C.; Amaral, A.G.; Caldeira da Silva, C.C.; Munhoz, A.C.; Vilas-Boas, E.A.; Menezes-Filho, S.L.; Kowaltowski, A.J. Regulation of kidney mitochondrial function by caloric restriction. Am. J. Physiol. Renal. Physiol. 2022, 323, F92–F106. [Google Scholar]
- Bai, M.; Wang, Y.; Han, R.; Xu, L.; Huang, M.; Zhao, J.; Lin, Y.; Song, S.; Chen, Y. Intermittent caloric restriction with a modified fasting-Mimicking diet ameliorates autoimmunity and promotes recovery in a mouse model of multiple sclerosis. J. Nutr. Biochem. 2021, 87, 108493. [Google Scholar]
- Bai, M.; Cao, P.; Lin, Y.; Yu, P.; Song, S.; Chen, L.; Wang, L.; Chen, Y. Intermittent caloric restriction promotes erythroid development and ameliorates phenylhydrazine-Induced anemia in mice. Front. Nutr. 2022, 9, 892435. [Google Scholar]
- Yang, L.; Li, D.X.; Cao, B.Q.; Liu, S.J.; Xu, D.H.; Zhu, X.Y.; Liu, Y.J. Exercise training ameliorates early diabetic kidney injury by regulating the h2 s/sirt1/p53 pathway. FASEB J. 2021, 35, e21823. [Google Scholar]
- Monno, I.; Ogura, Y.; Xu, J.; Koya, D.; Kitada, M. Exercise ameliorates diabetic kidney disease in type 2 diabetic fatty rats. Antioxidants 2021, 10, 1754. [Google Scholar]
- Sabet, N.; Soltani, Z.; Khaksari, M. The effects of exercise on kidney injury: The role of sirt1. Mol. Biol. Rep. 2022, 49, 4025–4038. [Google Scholar]
- Gajos-Draus, A.; Duda, M.; Beresewicz, A. Exercise and nitrite prevent and nomega-Nitrol-L-Arginine methyl ester reproduces imbalance in the nuclear factor-Kappab/nadph oxidase 2 and nuclear factor erythroid 2-Related factor 2/nadph oxidase 4/endothelial nitric oxide synthase systems in diabetes. J. Physiol. Pharmacol. 2021, 72. [Google Scholar] [CrossRef]
- Rojas-Morales, P.; León-Contreras, J.C.; Sánchez-Tapia, M.; Silva-Palacios, A.; Cano-Martínez, A.; González-Reyes, S.; Jiménez-Osorio, A.S.; Hernández-Pando, R.; Osorio-Alonso, H.; Sánchez-Lozada, L.G.; et al. A ketogenic diet attenuates acute and chronic ischemic kidney injury and reduces markers of oxidative stress and inflammation. Life Sci. 2022, 289, 120227. [Google Scholar]
- Han, Y.M.; Ramprasath, T.; Zou, M.H. Beta-Hydroxybutyrate and its metabolic effects on age-Associated pathology. Exp. Mol. Med. 2020, 52, 548–555. [Google Scholar]
- Kolb, H.; Kempf, K.; Rohling, M.; Lenzen-Schulte, M.; Schloot, N.C.; Martin, S. Ketone bodies: From enemy to friend and guardian angel. BMC Med. 2021, 19, 313. [Google Scholar]
- Wei, T.; Tian, W.; Liu, F.; Xie, G. Protective effects of exogenous beta-Hydroxybutyrate on paraquat toxicity in rat kidney. Biochem. Biophys. Res. Commun. 2014, 447, 666–671. [Google Scholar]
- Rojas-Morales, P.; Pedraza-Chaverri, J.; Tapia, E. Ketone bodies for kidney injury and disease. Adv. Redox Res. 2021, 2, 100009. [Google Scholar]
- Rojas-Morales, P.; Pedraza-Chaverri, J.; Tapia, E. Ketone bodies, stress response, and redox homeostasis. Redox Biol. 2020, 29, 101395. [Google Scholar]
- Islam, M.S.; Wilson, R.D. Experimentally induced rodent models of type 2 diabetes. Methods Mol. Biol. 2012, 933, 161–174. [Google Scholar]






| Stage 1: Glomerular basement membrane thickening, normal GFR *, no urinary albumin; high blood pressure is often observed |
| Stage 2: Mild to severe mesangial expansion, increased mesangial matrix, normal GFR |
| Stage 3: Damaged glomerular and increased albuminuria can be observed. This stage is also known as nodular sclerosis |
| Stage 4: Advanced stage of glomerulosclerosis |
| Stage 5: Complete kidney failure, GFR is well below 15 mL/min/1.73 m2 |
| Rodent Model (NA/STZ, mg/kg) | Analysis Time Point after NA/STZ Injections | Measured Renal Pathophysiology | Reference |
|---|---|---|---|
| Rat (200/55) | 2 months | Increased serum Cre and proteinuria, advanced glomerulosclerosis | [51] |
| Rat (110/65) | 4 weeks | Increased kidney index and BUN, decreased NAD and ATP contents in renal cells, increased oxidative damage | [52] |
| Rat (110/65) | 6 weeks | Increased renal triglycerides, enlarged Bowman’s capsule, Congested glomeruli, elevated serum Cre and BUN | [53] |
| Rat (200/65) | 2 weeks | Increased renal vitamin A and C | [54] |
| Rat (110/55) | 4 weeks | Increased BUN and serum creatinine, increased renal Oxidative stress, and decreased renal antioxidants | [49] |
| Rat (230/65) | 30 days | Increased levels of serum urea, uric acid, creatinine, and BUN | [55] |
| Rat (200/55) | 21 days | Increased urinary α1-macroglobulin excretion, increased serum uric acid and BUN, and enlarged glomerular diameter | [56] |
| Rat (120/50) | 4 weeks | Elevated serum fructosamine, increased serum creatinine and urea | [57] |
| Rat (100/50) | 8 weeks | Increased urinary N-acetyl-β-D-glucosaminidase, urea uric acid, and Cre | [58] |
| Rat (110/65) | 6 weeks | Increased serum Cre, BUN, and uric acid | [59] |
| Rat (110/65) | 6 weeks | Increased kidney–body index, elevated levels of serum Cre, BUN, uric acid, and urinary protein | [60] |
| Mouse (180/60/HFD) | 8 weeks | Increased serum Cre and kidney–body index | [61] |
| Rat (110/65) | 4 weeks | Increased serum Cre and BUN | [62] |
| Rat (230/65) | 45 days | Elevated levels of BUN, serum uric acid, and Cre | [63] |
| Rat (230/65) | 8 weeks | Increased ratio of urinary albumin to urinary Cre | [64] |
| Rat (230/65) | 12 weeks | Increased albuminuria and increased serum Cre | [65] |
| Rat (110/65) | 35 days | Increase in histological tubular injury | [66] |
| Rat (230/65) | 30 days | Increased levels of serum urea, uric acid, Cre, and BUN | [67] |
| Rat (110/45) | 45 days | Multiple foci of hemorrhage, necrosis, and swelling tubules | [68] |
| Rat (120/40) | 4 weeks | Increased BUN and serum Cre, increased kidney index and glomerular size | [69] |
| Mouse (120/60) | 5 weeks | Increased levels of BUN, serum Cre, uric acid, and urea, elevated levels of urine protein | [70] |
| Rat (110/65) | 40 days | Increased levels of urea, uric acid, and Cre in the sera | [71] |
| Rat (120/60) | 5 weeks | Increased renal tubular vacuolation and tubular degeneration | [72] |
| Rat (120/60) | 45 days | Increased levels of serum urea, uric acid, and Cre | [73] |
| Rat (85/65) | 8 weeks | Increased serum glucose, urea, and Cre with albuminuria | [74] |
| Rat (110/55) | 6 weeks | Increase in: Kim-1, serum Cre, BUN, uric acid, and urine albumin/Cre ratio | [75] |
| Rat (110/55) | 6 weeks | Glomerular and tubular injuries observed histochemically | [76] |
| Rat (230/65) | 12 weeks | Increased serum Cre and albumin to Cre ratio, glomerular and tubular injury observed histochemically | [48] |
| Rat (230/55) | 6 weeks | Increased serum Cre and BUN with decreased urine Cre | [77] |
| Mouse (240/100/HFD) | 8 weeks | Increased microphage infiltration in the kidney | [78] |
| Rat (230/65) | 45 days | Increased levels of blood urea, uric acid, BUN, and Cre | [79] |
| Rat (110/55) | 28 days | Decreased Cre clearance, increased BUN and uric acid, increased urine protein contents | [80] |
| Rat (110/65) | 21 days | Decrased renal antioxidant power with increased renal oxidative damage | [81] |
| Rat (230/65) | 12 weeks | Increased hemorrhage and neutrophils gathering in the kidney | [82] |
| Rat (110/50) | 30 days | Decrease in Cre clearance, tubular lumen dilation, swelling of proximal tubular cells with tubular cell necrosis and intraluminal casts | [83] |
| Rat (100/60) | 4 weeks | Increased kidney index, increased urine albumin, thickening of the basement membrane of renal tubule | [84] |
| Rat (110/45) | 45 days | Increased levels of Cre and proteinuria, podocyte hypertrophy | [85] |
| Mouse (120/100) | 4 weeks | Increased fibrotic deposition in the kidney | [86] |
| Rat (120/60) | 60 days | Increased urine volume and urine albumin, increased serum uric acid | [87] |
| Rat (110/65) | 4 weeks | Tubules with vacuolated cells, glomerulai exhibiting mesangial thickening | [88] |
| Rat (120/60) | 28 days | Increased blood urea, glomerular enlargement, and sclerosis | [89] |
| Rat (110/65) | 45 days | Increased fatty acid contents in the kidney | [90] |
| Rat (210/55) | 8 weeks | Increased BUN and serum Cre with elevated proteinuria | [19] |
| Rat (110/50) | 6 weeks | Increased serum Cre, uric acid, and proteinuria, decrease in creatinine clearance | [91] |
| Rat (110/55) | 28 days | Increased BUN, serum creatinine, and uric acid with proteinuria | [92] |
| Rat (100/55) | 28 days | Increased serum Cre and urea, glomerular architecture deranged | [93] |
| Renoprotective Materials | Rodent Model (NA/STZ, mg/kg) | Mechanism | Reference |
|---|---|---|---|
| 1,8 Cineole | Rat (200/55) | Glyoxalase-I induction | [51] |
| Abroma augusta L leaf | Rat (110/65) | Inhibiting oxidative stress | [52] |
| Acetate | Rat (110/65) | Suppressing xanthine oxidase activity | [53] |
| Abrus precatorius leaf | Rat (110/60) | Total antioxidant increase in kidney | [98] |
| Ascomycetes | Rat (200/65) | Inhibiting oxidative stress | [54] |
| Betanin | Rat (110/45) | Antioxidative damage | [99] |
| Bitter Gourd Honey | Rat (110/55) | Antioxidation, anti-inflammation | [49] |
| Bocopa monnieri | Rat (230/65) | Inhibiting AGEs formation | [55] |
| Brucea javanica seeds | Rat (100/60) | Inhibiting alpha-glucosidase | [100] |
| Cichorium intybus L seed | Rat (200/55) | Improving blood and urine parameters | [56] |
| Citrus reticulate fruit peel | Rat (120/50) | Antioxidative stress | [57] |
| Combretum micranthum | Rat (100/50) | Elevating SOD and catalase activities | [58] |
| CoQ-10/metformin | Rat (110/65) | Inhibiting oxidative stress | [59] |
| CoQ-10/sitagliptin | Rat (110/65) | Enhancing antioxidant system | [60] |
| Cordyceps militaris | Mouse (180/60) | Decreasing serum creatinine levels | [61] |
| Crocin | Rat (110/65) | Antioxidation | [62] |
| Curculigo orchiodies | Rat (230/65) | Antioxidation, anti-hyperlipidemia | [63] |
| Dapagliflozin | Rat (230/65) | Normalizing renal corpuscles histology | [64] |
| Dapagliflozin/irbesartan | Rat (230/65) | Inhibiting AGEs formation | [65] |
| Dietary flaxseed | Rat (110/65) | Antioxidative stress | [66] |
| Dillenia Indica L | Rat (230/65) | Inhibiting AGEs formation | [67] |
| Diosmin | Rat (110/45) | Inhibiting oxidative stress | [68] |
| Ellagic acid/pioglitazone | Rat (175/65) | Improving kidney function markers | [101] |
| Empagliflozin | Rat (120/40) | Decreasing BUN, creatinine, and oxidative stress | [69] |
| Eysenhardtia polystachya | Mouse (120/60) | Inhibiting glycation | [70] |
| Garlic extract | Rat (110/65) | Inhibiting oxidative stress | [71] |
| Grain amaranth | Rat (120/60) | Improving renal calcium metabolism | [72] |
| Glycosin | Rat (120/60) | Decreasing blood urea and creatinine | [73] |
| Hypericum perforatum | Rat (85/65) | Antioxidative stress | [74] |
| Lipoic acid | Rat (110/55) | Activating CSE/H2S pathway | [75,76] |
| L-NAME | Rat (230/65) | Increasing blood glucose | [48] |
| Manilkara zapota extract | Rat (120/60) | Reversing glomerulosclerosis | [102] |
| Metformin | Rat (230/55) | Decreasing BUN and serum creatinine | [77] |
| Myrciaria cauliflora | Mouse (240/100) | Inhibiting oxidative stress | [78] |
| Naringenin | Rat (120/60) | TRB3-FoxO1 downregulation | [97] |
| Oligo-fucoidan | HFD-Mouse (200/50) | Activation of Nrf2 and Sirt1 | [41] |
| Paeonia emodi | Rat (230/65) | Inhibiting glycation end products | [79] |
| Phyllanthus niruri leaves | Rat (110/55) | Antioxidative stress | [80] |
| Pioglitazone | Rat (110/65) | Antioxidation | [81] |
| Pomegranate | Rat (120/60) | Antioxidative stress | [103] |
| Quercetin | Rat (230/65) | Anti-apoptosis | [82] |
| Resveratrol | Rat (110/50) | Attenuating oxidative stress | [83,104] |
| Rhinacanthins | Rat (100/60) | Inhibiting oxidative stress | [84] |
| S-allylcysteine | Rat (110/45) | Attenuating oxidative stress | [85] |
| SGLT2 inhibitors | Mouse (120/100) | AMPK activation | [86] |
| Silymarin | Rat (120/60) | Lowering serum creatinine and uric acid | [87] |
| Strawberry | Rat (110/65) | Enhancing kidney antioxidant defense | [88] |
| Syzygium calophyllifolium Rat | (120/60) | Enhancing kidney antioxidant defense | [89] |
| Tetrahydrocurcumin | Rat (110/65) | Preventing fatty acid changes in the kidney | [90] |
| Tetramethylpyrazine | Rat (210/55) | Akt signaling pathway activation | [19] |
| Vanillic acid | Rat (110/50) | Attenuating oxidative stress | [91] |
| Tilianin | Rat (110/55) | Nrf2 signaling pathway activation | [92] |
| Zanthoxylum | |||
| Zanthoxyloides extract | Rat (100/55) | Improved kidney histology and biomarkers | [93] |
Publisher’s Note: MDPI stays neutral with regard to jurisdictional claims in published maps and institutional affiliations. |
© 2022 by the author. Licensee MDPI, Basel, Switzerland. This article is an open access article distributed under the terms and conditions of the Creative Commons Attribution (CC BY) license (https://creativecommons.org/licenses/by/4.0/).
Share and Cite
Yan, L.-J. The Nicotinamide/Streptozotocin Rodent Model of Type 2 Diabetes: Renal Pathophysiology and Redox Imbalance Features. Biomolecules 2022, 12, 1225. https://doi.org/10.3390/biom12091225
Yan L-J. The Nicotinamide/Streptozotocin Rodent Model of Type 2 Diabetes: Renal Pathophysiology and Redox Imbalance Features. Biomolecules. 2022; 12(9):1225. https://doi.org/10.3390/biom12091225
Chicago/Turabian StyleYan, Liang-Jun. 2022. "The Nicotinamide/Streptozotocin Rodent Model of Type 2 Diabetes: Renal Pathophysiology and Redox Imbalance Features" Biomolecules 12, no. 9: 1225. https://doi.org/10.3390/biom12091225
APA StyleYan, L.-J. (2022). The Nicotinamide/Streptozotocin Rodent Model of Type 2 Diabetes: Renal Pathophysiology and Redox Imbalance Features. Biomolecules, 12(9), 1225. https://doi.org/10.3390/biom12091225
