Molecular Insights of Copper Sulfate Exposure-Induced Nephrotoxicity: Involvement of Oxidative and Endoplasmic Reticulum Stress Pathways
Abstract
1. Introduction
2. Materials and Methods
2.1. Chemicals and Reagents
2.2. Animals and Treatments
2.3. Cell Culture
2.4. Measurement of BUN and Creatinine CRE
2.5. Histopathology Examination
2.6. Measurement the Levels of Malondialdehyde (MDA) and Activities of Superoxide Dismutase (SOD), and Catalase (CAT)
2.7. qRT-PCR
2.8. Measurement of Caspase-3, -9 Activities and DNA Fragmentation
2.9. Measurement of Cell Viability
2.10. Measurement of Reactive Oxygen Species (ROS)
2.11. Statistical Analysis
3. Results
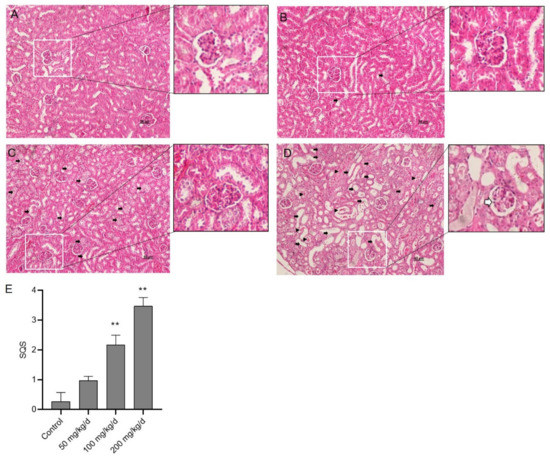
3.1. CuSO4 Exposure Induces Renal Dysfunction and Tubular Necrosis in Mice
3.2. CuSO4 Exposure Causes Oxidative Stress Damage in the Kidney Tissues
3.3. CuSO4 Exposure Up-Regulates the mRNA Expression of Bax, Caspases-3 and -9 as Well as the Activities of Caspase-9 and -3 and DNA Fragmentation in the Kidney Tissues
3.4. Inhibition of Oxidative Stress Attenuates CuSO4 Exposure-Induced Cell Death in HEK293 Cells
3.5. CuSO4 Exposure Up-Regulates the Expression of GRP78, GRP94, CHOP and Caspase-12 mRNAs
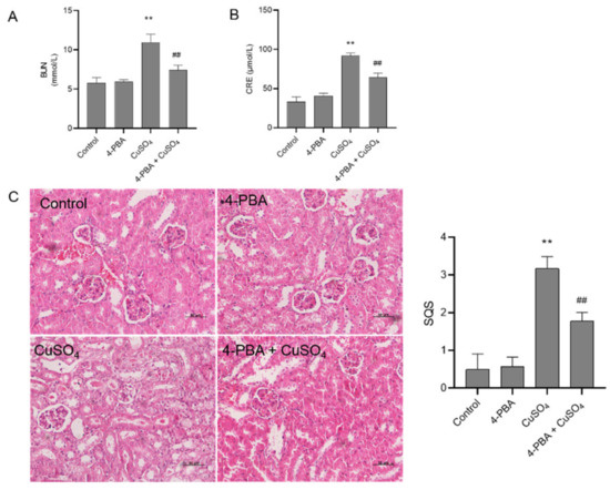
3.6. 4-PBA Pre-Treatment Attenuates CuSO4 Exposure-Induced Nephrotoxicity in Mice and Cytotoxicity in HEK293 Cells
4. Discussion
Author Contributions
Funding
Conflicts of Interest
References
- Kim, B.E.; Nevitt, T.; Thiele, D.J. Mechanisms for copper acquisition, distribution and regulation. Nat. Chem. Biol. 2008, 4, 176–185. [Google Scholar] [CrossRef] [PubMed]
- Carvalho-Cdos, S.; Fernandes, M.N. Effect of copper on liver key enzymes of anaerobic glucose metabolism from freshwater tropical fish Prochilodus Lineatus. Comp. Biochem. Physiol. A Mol. Integr. Physiol. 2008, 151, 437–442. [Google Scholar] [CrossRef] [PubMed]
- Xiong, W.; Ding, X.; Zhang, Y.; Sun, Y. Ecotoxicological effects of a veterinary food additive, copper sulphate, on antioxidant enzymes and mrna expression in earthworms. Environ. Toxicol. Pharm. 2014, 37, 134–140. [Google Scholar] [CrossRef] [PubMed]
- Smolinski, L.; Litwin, T.; Redzia-Ogrodnik, B.; Dziezyc, K.; Kurkowska-Jastrzebska, I.; Czlonkowska, A. Brain volume is related to neurological impairment and to copper overload in Wilson’s disease. Neurol Sci. 2019, 40, 2089–2095. [Google Scholar] [CrossRef] [PubMed]
- Bulcke, F.; Dringen, R.; Scheiber, I.F. Neurotoxicity of copper. Adv. Neurobiol. 2017, 18, 313–343. [Google Scholar] [PubMed]
- Kaplan, J.H.; Maryon, E.B. How mammalian cells acquire copper: An essential but potentially toxic metal. Biophys. J. 2016, 110, 7–13. [Google Scholar] [CrossRef]
- Puchkova, L.V.; Babich, P.S.; Zatulovskaia, Y.A.; Ilyechova, E.Y.; Di Sole, F. Copper metabolism of newborns is adapted to milk ceruloplasmin as a nutritive source of copper: Overview of the current data. Nutrients 2018, 10, 1591. [Google Scholar] [CrossRef]
- Wu, H.; Guo, H.; Liu, H.; Cui, H.; Fang, J.; Zuo, Z.; Deng, J.; Li, Y.; Wang, X.; Zhao, L. Copper sulfate-induced endoplasmic reticulum stress promotes hepatic apoptosis by activating chop, jnk and caspase-12 signaling pathways. Ecotoxicol. Environ. Saf. 2020, 191, 110236. [Google Scholar] [CrossRef]
- Lan, A.P.; Chen, J.; Chai, Z.F.; Hu, Y. The neurotoxicity of iron, copper and cobalt in parkinson’s disease through ros-mediated mechanisms. Biometals 2016, 29, 665–678. [Google Scholar] [CrossRef]
- Zhang, Z.W.; Zhi, G.; Qiao, N.; Kang, Z.L.; Chen, Z.L.; Hu, L.M.; Yang, Z.M.; Li, Y. Copper-induced spermatozoa head malformation is related to oxidative damage to testes in cd-1 mice. Biol. Trace Elem. Res. 2016, 173, 427–432. [Google Scholar] [CrossRef]
- Kumar, V.; Kalita, J.; Bora, H.K.; Misra, U.K. Temporal kinetics of organ damage in copper toxicity: A histopathological correlation in rat model. Regul. Toxicol. Pharm. 2016, 81, 372–380. [Google Scholar] [CrossRef] [PubMed]
- Kumar, V.; Kalita, J.; Bora, H.K.; Misra, U.K. Relationship of antioxidant and oxidative stress markers in different organs following copper toxicity in a rat model. Toxicol. Appl. Pharm. 2016, 293, 37–43. [Google Scholar] [CrossRef] [PubMed]
- Wang, Y.; Zhao, H.; Liu, J.; Shao, Y.; Li, J.; Luo, L.; Xing, M. Copper and arsenic-induced oxidative stress and immune imbalance are associated with activation of heat shock proteins in chicken intestines. Int. Immunopharmacol. 2018, 60, 64–75. [Google Scholar] [CrossRef]
- Viquez, O.M.; Valentine, H.L.; Amarnath, K.; Milatovic, D.; Valentine, W.M. Copper accumulation and lipid oxidation precede inflammation and myelin lesions in n,n-diethyldithiocarbamate peripheral myelinopathy. Toxicol. Appl. Pharm. 2008, 229, 77–85. [Google Scholar] [CrossRef] [PubMed]
- Fuentealba, I.C.; Haywood, S.; Foster, J. Cellular mechanisms of toxicity and tolerance in the copper-loaded rat. III. Ultrastructural changes and copper localization in the kidney. Br. J. Exp. Pathol. 1989, 70, 543–556. [Google Scholar] [PubMed]
- Tchounwou, P.B.; Newsome, C.; Williams, J.; Glass, K. Copper-induced cytotoxicity and transcriptional activation of stress genes in human liver carcinoma (hepg(2)) cells. Met. Ions Biol. Med. 2008, 10, 285–290. [Google Scholar]
- Zhao, H.; Wang, Y.; Fei, D.; Guo, M.; Yang, X.; Mu, M.; Yu, H.; Xing, M. Destruction of redox and mitochondrial dynamics co-contributes to programmed cell death in chicken kidney under arsenite or/and copper (II) exposure. Ecotoxicol. Environ. Saf. 2019, 179, 167–174. [Google Scholar] [CrossRef]
- Wang, Y.; Zhao, H.; Shao, Y.; Liu, J.; Li, J.; Xing, M. Copper or/and arsenic induce oxidative stress-cascaded, nuclear factor kappa b-dependent inflammation and immune imbalance, trigging heat shock response in the kidney of chicken. Oncotarget 2017, 8, 98103–98116. [Google Scholar] [CrossRef][Green Version]
- Rashid, H.O.; Yadav, R.K.; Kim, H.R.; Chae, H.J. Er stress: Autophagy induction, inhibition and selection. Autophagy 2015, 11, 1956–1977. [Google Scholar] [CrossRef]
- Dai, C.; Li, J.; Tang, S.; Li, J.; Xiao, X. Colistin-induced nephrotoxicity in mice involves the mitochondrial, death receptor, and endoplasmic reticulum pathways. Antimicrob. Agents Chemother. 2014, 58, 4075–4085. [Google Scholar] [CrossRef]
- Dai, C.; Lei, L.; Li, B.; Lin, Y.; Xiao, X.; Tang, S. Involvement of the activation of nrf2/ho-1, p38 mapk signaling pathways and endoplasmic reticulum stress in furazolidone induced cytotoxicity and s phase arrest in human hepatocyte l02 cells: Modulation of curcumin. Toxicol. Mech. Methods 2017, 27, 165–172. [Google Scholar] [CrossRef] [PubMed]
- Kim, H.J.; Yoon, Y.M.; Lee, J.H.; Lee, S.H. Protective role of fucoidan on cisplatin-mediated er stress in renal proximal tubule epithelial cells. Anticancer Res. 2019, 39, 5515–5524. [Google Scholar] [CrossRef] [PubMed]
- Wang, N.; Li, P.; Pan, J.; Wang, M.; Long, M.; Zang, J.; Yang, S. Bacillus velezensis a2 fermentation exerts a protective effect on renal injury induced by zearalenone in mice. Sci. Rep. 2018, 8, 13646. [Google Scholar] [CrossRef]
- Wang, M.G.; Fan, R.F.; Li, W.H.; Zhang, D.; Yang, D.B.; Wang, Z.Y.; Wang, L. Activation of perk-eif2alpha-atf4-chop axis triggered by excessive er stress contributes to lead-induced nephrotoxicity. Biochim. Biophys. Acta Mol. Cell Res. 2019, 1866, 713–726. [Google Scholar] [CrossRef] [PubMed]
- Luo, B.; Lin, Y.; Jiang, S.; Huang, L.; Yao, H.; Zhuang, Q.; Zhao, R.; Liu, H.; He, C.; Lin, Z. Endoplasmic reticulum stress eif2alpha-atf4 pathway-mediated cyclooxygenase-2 induction regulates cadmium-induced autophagy in kidney. Cell Death Dis. 2016, 7, e2251. [Google Scholar] [CrossRef] [PubMed]
- Zhang, S.; Wang, C.; Tang, S.; Deng, S.; Zhou, Y.; Dai, C.; Yang, X.; Xiao, X. Inhibition of autophagy promotes caspase-mediated apoptosis by tunicamycin in hepg2 cells. Toxicol. Mech. Methods 2014, 24, 654–665. [Google Scholar] [CrossRef]
- Dai, C.; Tang, S.; Velkov, T.; Xiao, X. Colistin-induced apoptosis of neuroblastoma-2a cells involves the generation of reactive oxygen species, mitochondrial dysfunction, and autophagy. Mol. Neurobiol. 2016, 53, 4685–4700. [Google Scholar] [CrossRef]
- Oldenquist, G.; Salem, M. Parenteral copper sulfate poisoning causing acute renal failure. Nephrol. Dial. Transpl. 1999, 14, 441–443. [Google Scholar] [CrossRef][Green Version]
- Bidewell, C.A.; Drew, J.R.; Payne, J.H.; Sayers, A.R.; Higgins, R.J.; Livesey, C.T. Case study of copper poisoning in a british dairy herd. Vet. Rec. 2012, 170, 464. [Google Scholar] [CrossRef]
- Kumar, J.; Sathua, K.B.; Flora, S.J.S. Chronic copper exposure elicit neurotoxic responses in rat brain: Assessment of 8-hydroxy-2-deoxyguanosine activity, oxidative stress and neurobehavioral parameters. Cell Mol. Biol. (Noisy-Le-Grand) 2019, 65, 27–35. [Google Scholar]
- Ogra, Y. Molecular mechanisms underlying copper homeostasis in mammalian cells. Nihon Eiseigaku Zasshi 2014, 69, 136–145. [Google Scholar] [CrossRef][Green Version]
- Lalioti, V.; Muruais, G.; Tsuchiya, Y.; Pulido, D.; Sandoval, I.V. Molecular mechanisms of copper homeostasis. Front Biosci. (Landmark Ed.) 2009, 14, 4878–4903. [Google Scholar] [CrossRef] [PubMed]
- Chen, J.; Bhandar, B.; Kavdia, M. Interaction of ros and rns with gsh and gsh/gpx systems. FASEB J. 2015, 29. [Google Scholar]
- Dai, C.; Li, D.; Gong, L.; Xiao, X.; Tang, S. Curcumin ameliorates furazolidone-induced DNA damage and apoptosis in human hepatocyte l02 cells by inhibiting ros production and mitochondrial pathway. Molecules 2016, 21, 1061. [Google Scholar] [CrossRef] [PubMed]
- Zhao, H.; Wang, Y.; Shao, Y.; Liu, J.; Liu, Y.; Xing, M. Deciphering the ionic homeostasis, oxidative stress, apoptosis, and autophagy in chicken intestine under copper (II) stress. Environ. Sci. Pollut Res. Int. 2018, 25, 33172–33182. [Google Scholar] [CrossRef] [PubMed]
- Rael, L.T.; Thomas, G.W.; Craun, M.L.; Curtis, C.G.; Bar-Or, R.; Bar-Or, D. Lipid peroxidation and the thiobarbituric acid assay: Standardization of the assay when using saturated and unsaturated fatty acids. J. Biochem. Mol. Biol. 2004, 37, 749–752. [Google Scholar] [CrossRef] [PubMed]
- Dai, C.; Ciccotosto, G.D.; Cappai, R.; Tang, S.; Li, D.; Xie, S.; Xiao, X.; Velkov, T. Curcumin attenuates colistin-induced neurotoxicity in n2a cells via anti-inflammatory activity, suppression of oxidative stress, and apoptosis. Mol. Neurobiol. 2018, 55, 421–434. [Google Scholar] [CrossRef] [PubMed]
- Dai, C.; Zhang, D.; Gao, R.; Zhang, X.; Li, J.; Li, J. In vitro toxicity of colistin on primary chick cortex neurons and its potential mechanism. Environ. Toxicol. Pharmacol. 2013, 36, 659–666. [Google Scholar] [CrossRef]
- Pabla, N.; Dong, Z. Cisplatin nephrotoxicity: Mechanisms and renoprotective strategies. Kidney Int. 2008, 73, 994–1007. [Google Scholar] [CrossRef]
- Yang, F.; Cao, H.; Su, R.; Guo, J.; Li, C.; Pan, J.; Tang, Z. Liver mitochondrial dysfunction and electron transport chain defect induced by high dietary copper in broilers. Poult. Sci. 2017, 96, 3298–3304. [Google Scholar] [CrossRef]
- Yang, F.; Liao, J.; Pei, R.; Yu, W.; Han, Q.; Li, Y.; Guo, J.; Hu, L.; Pan, J.; Tang, Z. Autophagy attenuates copper-induced mitochondrial dysfunction by regulating oxidative stress in chicken hepatocytes. Chemosphere 2018, 204, 36–43. [Google Scholar] [CrossRef]
- Saporito-Magrina, C.; Musacco-Sebio, R.; Acosta, J.M.; Bajicoff, S.; Paredes-Fleitas, P.; Boveris, A.; Repetto, M.G. Rat liver mitochondrial dysfunction by addition of copper(II) or iron(III) ions. J. Inorg. Biochem. 2017, 166, 5–11. [Google Scholar] [CrossRef] [PubMed]
- Elmore, S. Apoptosis: A review of programmed cell death. Toxicol. Pathol. 2007, 35, 495–516. [Google Scholar] [CrossRef] [PubMed]
- Yang, F.; Pei, R.; Zhang, Z.; Liao, J.; Yu, W.; Qiao, N.; Han, Q.; Li, Y.; Hu, L.; Guo, J.; et al. Copper induces oxidative stress and apoptosis through mitochondria-mediated pathway in chicken hepatocytes. Toxicol. Vitr. 2019, 54, 310–316. [Google Scholar] [CrossRef] [PubMed]
- Kang, Z.; Qiao, N.; Liu, G.; Chen, H.; Tang, Z.; Li, Y. Copper-induced apoptosis and autophagy through oxidative stress-mediated mitochondrial dysfunction in male germ cells. Toxicol. In Vitro 2019, 61, 104639. [Google Scholar] [CrossRef]
- Matassov, D.; Kagan, T.; Leblanc, J.; Sikorska, M.; Zakeri, Z. Measurement of apoptosis by DNA fragmentation. Methods Mol. Biol. 2004, 282, 1–17. [Google Scholar]
- Santos, S.; Silva, A.M.; Matos, M.; Monteiro, S.M.; Alvaro, A.R. Copper induced apoptosis in caco-2 and hep-g2 cells: Expression of caspases 3, 8 and 9, aif and p53. Comp. Biochem. Physiol. C Toxicol. Pharm. 2016, 185–186, 138–146. [Google Scholar]
- Liao, J.; Yang, F.; Tang, Z.; Yu, W.; Han, Q.; Hu, L.; Li, Y.; Guo, J.; Pan, J.; Ma, F.; et al. Inhibition of caspase-1-dependent pyroptosis attenuates copper-induced apoptosis in chicken hepatocytes. Ecotoxicol. Environ. Saf. 2019, 174, 110–119. [Google Scholar] [CrossRef]
- Breckenridge, D.G.; Germain, M.; Mathai, J.P.; Nguyen, M.; Shore, G.C. Regulation of apoptosis by endoplasmic reticulum pathways. Oncogene 2003, 22, 8608–8618. [Google Scholar] [CrossRef]
- Shi, Y.; Porter, K.; Parameswaran, N.; Bae, H.K.; Pestka, J.J. Role of grp78/bip degradation and er stress in deoxynivalenol-induced interleukin-6 upregulation in the macrophage. Toxicol. Sci. 2009, 109, 247–255. [Google Scholar] [CrossRef]
- Garg, A.D.; Maes, H.; van Vliet, A.R.; Agostinis, P. Targeting the hallmarks of cancer with therapy-induced endoplasmic reticulum (er) stress. Mol. Cell Oncol. 2015, 2, e975089. [Google Scholar] [CrossRef]
- Schonthal, A.H. Targeting endoplasmic reticulum stress for cancer therapy. Front. Biosci. (Sch. Ed.) 2012, 4, 412–431. [Google Scholar] [CrossRef]
- Oe, S.; Miyagawa, K.; Honma, Y.; Harada, M. Copper induces hepatocyte injury due to the endoplasmic reticulum stress in cultured cells and patients with wilson disease. Exp. Cell Res. 2016, 347, 192–200. [Google Scholar] [CrossRef] [PubMed]
- Ranga Rao, S.; Subbarayan, R.; Ajitkumar, S.; Murugan Girija, D. 4pba strongly attenuates endoplasmic reticulum stress, fibrosis, and mitochondrial apoptosis markers in cyclosporine treated human gingival fibroblasts. J. Cell Physiol. 2018, 233, 60–66. [Google Scholar] [CrossRef] [PubMed]
- Carlisle, R.E.; Brimble, E.; Werner, K.E.; Cruz, G.L.; Ask, K.; Ingram, A.J.; Dickhout, J.G. 4-phenylbutyrate inhibits tunicamycin-induced acute kidney injury via CHOP/GADD153 repression. PLoS ONE 2014, 9, e84663. [Google Scholar] [CrossRef] [PubMed]
- Seervi, M.; Rani, A.; Sharma, A.K.; Santhosh Kumar, T.R. Ros mediated er stress induces bax-bak dependent and independent apoptosis in response to thioridazine. Biomed. Pharm. 2018, 106, 200–209. [Google Scholar] [CrossRef]









| Gene | Direction | Primer Sequence (5′ to 3′) |
|---|---|---|
| CHOP | forward | 5′-AGG AGA ACG AGC GGA AAG TG-3′ |
| reverse | 5′-GAC CAT GCG GTC GAT CAG AG-3′ | |
| GRP78 | forward | 5′-TCA GCA TCA AGC AAG GAT TG-3′ |
| reverse | 5′-GCT TCA TGG TAG AGC GGA AC-3′ | |
| GRP94 | forward | 5′-GTC TCC CTG TGC TCT TGT GG-3′ |
| reverse | 5′-CGT CTG GTA TGC TTG TGC CT-3′ | |
| Caspase-12 | forward | 5′-TGC TGG ATG GGG TTT TTG ATG-3′ |
| reverse | 5′-TGT TCA GGA TGA AAC TCG CAC T-3′ | |
| Caspase-9 | forward | 5′-TGC ACT TCC TCT CAA GGC AGG ACC-3′ |
| reverse | 5′-TCC AAG GTC TCC ATG TAC CAG GAG C-3′ | |
| Bax | forward | 5′-TTC ATC CAG GAT CGA GCA GG-3′ |
| reverse | 5′-TCC GTG TCC ACG TCA GCA AT-3′ | |
| Caspase-3 | Forward | 5′- TCG CAG CAT TTC TCC TAA G-3′ |
| Reverse | 5′-GAC AAC TGG ATC GCT TGA GG-3′ | |
| GAPDH | Forward | 5′-ACA GTC CAT GCC ATC ACT GCC-3′ |
| reverse | 5′-GCC TGC TTC ACC ACC TTC TTG-3′ |
© 2020 by the authors. Licensee MDPI, Basel, Switzerland. This article is an open access article distributed under the terms and conditions of the Creative Commons Attribution (CC BY) license (http://creativecommons.org/licenses/by/4.0/).
Share and Cite
Dai, C.; Liu, Q.; Li, D.; Sharma, G.; Xiong, J.; Xiao, X. Molecular Insights of Copper Sulfate Exposure-Induced Nephrotoxicity: Involvement of Oxidative and Endoplasmic Reticulum Stress Pathways. Biomolecules 2020, 10, 1010. https://doi.org/10.3390/biom10071010
Dai C, Liu Q, Li D, Sharma G, Xiong J, Xiao X. Molecular Insights of Copper Sulfate Exposure-Induced Nephrotoxicity: Involvement of Oxidative and Endoplasmic Reticulum Stress Pathways. Biomolecules. 2020; 10(7):1010. https://doi.org/10.3390/biom10071010
Chicago/Turabian StyleDai, Chongshan, Qiangqiang Liu, Daowen Li, Gaurav Sharma, Jianli Xiong, and Xilong Xiao. 2020. "Molecular Insights of Copper Sulfate Exposure-Induced Nephrotoxicity: Involvement of Oxidative and Endoplasmic Reticulum Stress Pathways" Biomolecules 10, no. 7: 1010. https://doi.org/10.3390/biom10071010
APA StyleDai, C., Liu, Q., Li, D., Sharma, G., Xiong, J., & Xiao, X. (2020). Molecular Insights of Copper Sulfate Exposure-Induced Nephrotoxicity: Involvement of Oxidative and Endoplasmic Reticulum Stress Pathways. Biomolecules, 10(7), 1010. https://doi.org/10.3390/biom10071010

