Development of a Three-Dimensional Bioengineered Platform for Articular Cartilage Regeneration
Abstract
1. Introduction
2. Materials and Methods
2.1. Materials
2.2. Methods
2.2.1. Scaffold Design and 3D-Printing Process
2.2.2. Micro-Computed Tomography (µCT)
2.2.3. Scaffold Hydrolyzation
2.2.4. Contact Angle Measurements
2.2.5. 2D and 3D Culture of Human Mesenchymal Stem Cells (hMSCs)
2D Culture
3D Cell Seeding and Culture
2.2.6. Cell Proliferation and Cytotoxicity Assays
2.2.7. Scanning Electron Microscopy (SEM)
2.2.8. Dynamic Mechanical Analysis (DMA)
2.2.9. Chondrogenic Differentiation
Real-time Reverse Transcriptase-Polymerase Chain Reaction (qRT-PCR)
Western Blot
Immunohistochemistry
2.2.10. Statistics
3. Results
3.1. 3D-Printed Scaffold Characterization
3.2. Assessment of Material Cytotoxicity and Cell Metabolic Activity within the Constructs
3.3. Cell-Cultured Scaffolds: Morphological Properties and Extracellular Matrix Deposition
3.4. Mechanical Properties of Constructs
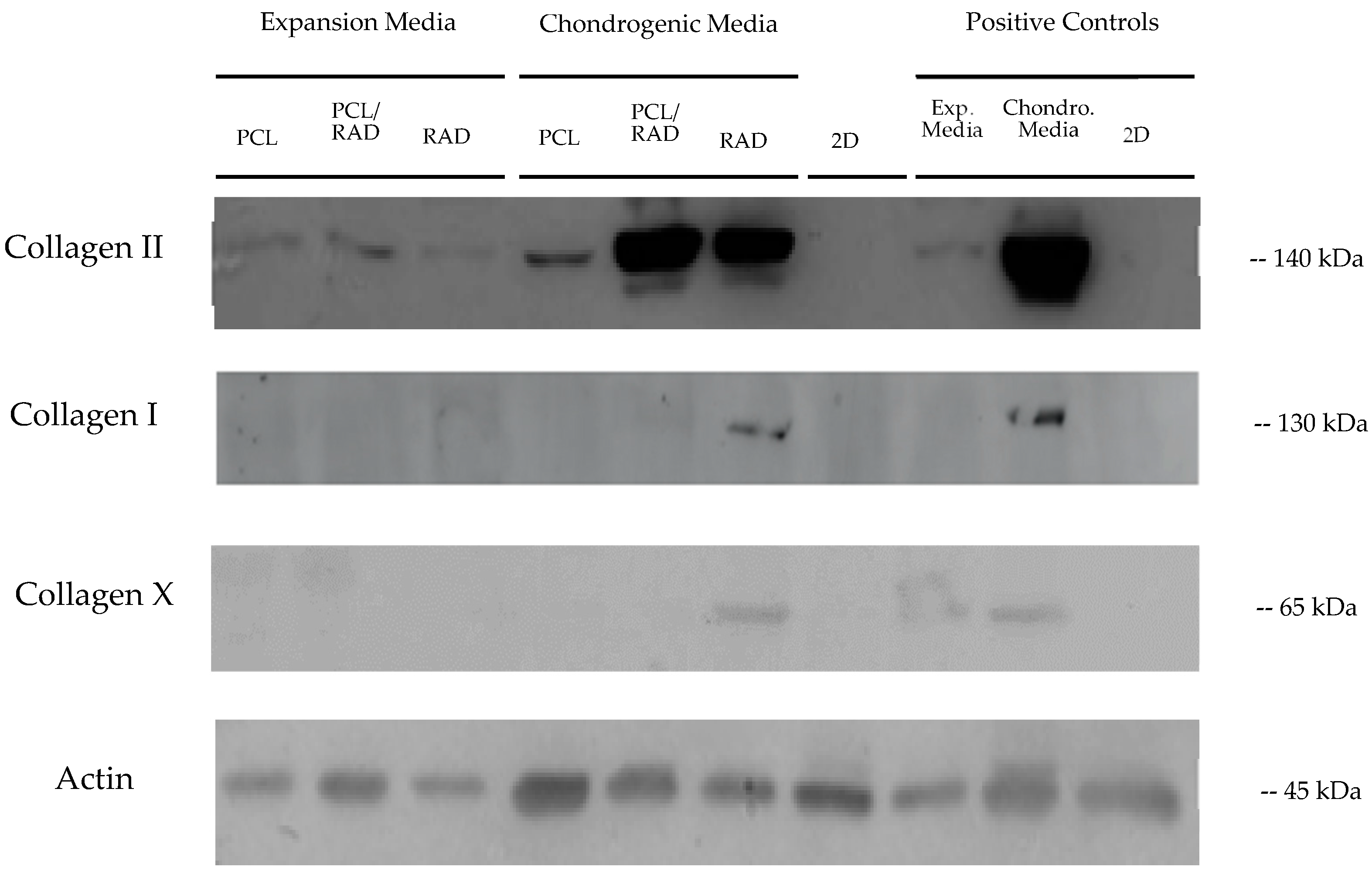
3.5. Expression of Chondrogenic and Hypertrophic Biomarkers Within the Constructs
4. Discussion
5. Conclusions
Supplementary Materials
Author Contributions
Funding
Acknowledgments
Conflicts of Interest
References
- Orth, P.; Rey-Rico, A.; Venkatesan, J.K.; Madry, H.; Cucchiarini, M. Current perspectives in stem cell research for knee cartilage repair. Stem Cells Cloning Adv. Appl. 2014, 7, 1–17. [Google Scholar]
- Giannoni, P.; Cancedda, R. Articular chondrocyte culturing for cell-based cartilage repair: Needs and perspectives. Cells Tissues Organs 2006, 184, 1–15. [Google Scholar] [CrossRef] [PubMed]
- Sophia Fox, A.J.; Bedi, A.; Rodeo, S.A. The basic science of articular cartilage: Structure, composition, and function. Sports Health 2009, 1, 461–468. [Google Scholar] [CrossRef] [PubMed]
- Ng, H.Y.; Lee, A.A.; Shen, K.X. Articular Cartilage: Structure, Composition, Injuries and Repair. JSM Bone Joint Dis. 2017, 1, 1010. [Google Scholar]
- Moutos, F.T.; Guilak, F. Composite scaffolds for cartilage tissue engineering. Biorheology 2008, 45, 501–512. [Google Scholar] [CrossRef]
- Mow, V.C.; Ratcliffe, A.; Robin Poole, A. Cartilage and diarthrodial joints as paradigms for hierarchical materials and structures. Biomaterials 1992, 13, 67–97. [Google Scholar] [CrossRef]
- Ross, M.H.; Pawlina, W. Histología: Texto y Atlas Color con Biología Celular y Molecular; Medica Panamericana: Madrid, Spain, 2007; p. 992. [Google Scholar]
- Peterson, L.; Isaksson, O.; Brittberg, M.; Ohlsson, C.; Lindahl, A.; Nilsson, A. Treatment of Deep Cartilage Defects in the Knee with Autologous Chondrocyte Transplantation. N. Engl. J. Med. 2002, 331, 889–895. [Google Scholar]
- Ahmed, T.A.E.; Hincke, M.T. Strategies for articular cartilage lesion repair and functional restoration. Tissue Eng. Part B. Rev. 2010, 16, 305–329. [Google Scholar] [CrossRef]
- Izadifar, Z.; Chen, X.; Kulyk, W. Strategic Design and Fabrication of Engineered Scaffolds for Articular Cartilage Repair. J. Funct. Biomater. 2012, 3, 799–838. [Google Scholar] [CrossRef]
- Lancaster, M. Summary for Policymakers. Clim. Chang. 2013 - Phys. Sci. Basis 1989, 53, 1–30. [Google Scholar]
- Corriden, R.; Insel, P.A. NIH Public Access. Sci. Signal. 2010, 3, 1–25. [Google Scholar]
- Bornes, T.D.; Adesida, A.B.; Jomha, N.M. Mesenchymal stem cells in the treatment of traumatic articular cartilage defects: A comprehensive review. Arthritis Res. Ther. 2014, 16, 432. [Google Scholar] [CrossRef] [PubMed]
- Mollon, B.; Kandel, R.; Chahal, J.; Theodoropoulos, J. The clinical status of cartilage tissue regeneration in humans. Osteoarthr. Cartil. 2013, 21, 1824–1833. [Google Scholar] [CrossRef] [PubMed]
- Semino, C.E. Self-assembling peptides: From bio-inspired materials to bone regeneration. J. Dent. Res. 2008, 87, 606–616. [Google Scholar] [CrossRef]
- Stupp, S.I. Self-assembly and biomaterials. Nano Lett. 2010, 10, 4783–4786. [Google Scholar] [CrossRef]
- Blair, H.C.; Larrouture, Q.C.; Li, Y.; Lin, H.; Beer-Stoltz, D.; Liu, L.; Tuan, R.S.; Robinson, L.J.; Schlesinger, P.H.; Nelson, D.J. Osteoblast differentiation and bone matrix formation in vivo and in vitro. Tissue Eng. - Part B Rev. 2017, 23, 268–280. [Google Scholar] [CrossRef]
- Dégano, I.R.; Quintana, L.; Vilalta, M.; Horna, D.; Rubio, N.; Borrós, S.; Semino, C.; Blanco, J. The effect of self-assembling peptide nanofiber scaffolds on mouse embryonic fibroblast implantation and proliferation. Biomaterials 2009, 30, 1156–1165. [Google Scholar] [CrossRef]
- Liu, J.; Song, H.; Zhang, L.; Xu, H.; Zhao, X. Self-Assembly-Peptide Hydrogels as Tissue-Engineering Scaffolds for Three-Dimensional Culture of Chondrocytes in vitro. Macromol. Biosci. 2010, 10, 1164–1170. [Google Scholar] [CrossRef]
- Recha-Sancho, L.; Moutos, F.T.; Abellà, J.; Guilak, F.; Semino, C.E. Dedifferentiated Human Articular Chondrocytes Redifferentiate to a Cartilage-Like Tissue Phenotype in a Poly(ε-Caprolactone)/Self-Assembling Peptide Composite Scaffold. Materials 2016, 9, 472. [Google Scholar] [CrossRef]
- Guvendiren, M.; Molde, J.; Soares, R.M.D.; Kohn, J. Designing Biomaterials for 3D Printing. ACS Biomater. Sci. Eng. 2016, 2, 1679–1693. [Google Scholar] [CrossRef]
- Lee, M.; Wu, B.M. Recent advances in 3D printing of tissue engineering scaffolds. Methods Mol. Biol. 2012, 868, 257–267. [Google Scholar] [PubMed]
- Peltola, S.M.; Melchels, F.P.W.; Grijpma, D.W.; Kellomäki, M. A review of rapid prototyping techniques for tissue engineering purposes. Ann. Med. 2008, 40, 268–280. [Google Scholar] [CrossRef] [PubMed]
- O’Brien, C.M.; Holmes, B.; Faucett, S.; Zhang, L.G. Three-Dimensional Printing of Nanomaterial Scaffolds for Complex Tissue Regeneration. Tissue Eng. Part B. Rev. 2015, 21, 103–114. [Google Scholar] [CrossRef] [PubMed]
- Cao, Z.; Dou, C.; Dong, S. Scaffolding Biomaterials for Cartilage Regeneration. J. Nanomater. 2014, 2014, 1–8. [Google Scholar] [CrossRef]
- He, Y.; Kilsby, S.; Tuck, C.; Wildman, R.; Christie, S.; Edmonson, S.; Yang, H. Processing biodegradable polycaprolactone through 3D printing. In Proceedings of the 24th International SFF Symposium-An Additive Manufacturing Conference, Austin, TX, USA, 12–14 August 2013; 2013; pp. 200–214. [Google Scholar]
- Ramanath, H.S.; Chua, C.K.; Leong, K.F.; Shah, K.D. Melt flow behaviour of poly-??-caprolactone in fused deposition modelling. J. Mater. Sci. Mater. Med. 2008, 19, 2541–2550. [Google Scholar] [CrossRef]
- Guerra, E.; de Lara, J.; Malizia, A.; Díaz, P. Supporting user-oriented analysis for multi-view domain-specific visual languages. Inf. Softw. Technol. 2009, 51, 769–784. [Google Scholar] [CrossRef]
- Cai, Y.; Li, J.; Poh, C.K.; Tan, H.C.; San Thian, E.; Hsi Fuh, J.Y.; Sun, J.; Tay, B.Y.; Wang, W. Collagen grafted 3D polycaprolactone scaffolds for enhanced cartilage regeneration. J. Mater. Chem. B 2013, 1, 5971–5976. [Google Scholar] [CrossRef]
- Xiongfa, J.; Hao, Z.; Liming, Z.; Jun, X. Recent advances in 3D bioprinting for the regeneration of functional cartilage. Regen. Med. 2018, 13, 73–87. [Google Scholar] [CrossRef]
- Patrício, T.; Domingos, M.; Gloria, A.; Bártolo, P. Characterisation of PCL and PCL/PLA scaffolds for tissue engineering. Procedia CIRP 2013, 5, 110–114. [Google Scholar] [CrossRef]
- Nancy, P.; Shilpita, S.; Sen, M.; Swathi, S. Explant culture: a simple, reproducible, efficient and economic technique for isolation of mesenchymal stromal cells from human adipose tissue and lipoaspirate. J. Tissue Eng. Regen. Med. 2012, 4, 524–531. [Google Scholar]
- Fernández-Muiños, T.; Recha-Sancho, L.; López-Chicón, P.; Castells-Sala, C.; Mata, A.; Semino, C.E. Bimolecular based heparin and self-assembling hydrogel for tissue engineering applications. Acta Biomater. 2015, 16, 35–48. [Google Scholar] [CrossRef] [PubMed]
- Marí-Buyé, N.; Luque, T.; Navajas, D.; Semino, C.E. Development of a Three-Dimensional Bone-Like Construct in a Soft Self-Assembling Peptide Matrix. Tissue Eng. Part A 2012, 19, 870–881. [Google Scholar] [CrossRef] [PubMed]
- Fernández-Muiños, T.; Suárez-Muñoz, M.; Sanmartí-Espinal, M.; Semino, C.E. Matrix Dimensions, Stiffness, and Structural Properties Modulate Spontaneous Chondrogenic Commitment of Mouse Embryonic Fibroblasts. Tissue Eng. Part A 2014, 20, 1145–1155. [Google Scholar] [CrossRef] [PubMed]
- Mikos, A.G.; Meretoja, V.V.; Dahlin, R.L.; Hubka, K.M.; Kasper, F.K. Enhancing Chondrogenic Phenotype for Cartilage Tissue Engineering: Monoculture and Coculture of Articular Chondrocytes and Mesenchymal Stem Cells. Tissue Eng. Part B Rev. 2014, 20, 641–654. [Google Scholar]
- Recha-Sancho, L.; Semino, C.E. Heparin-based self-assembling peptide scaffold reestablish chondrogenic phenotype of expanded de-differentiated human chondrocytes. J. Biomed. Mater. Res. - Part A 2016, 104, 1694–1706. [Google Scholar] [CrossRef] [PubMed]
- Recha-Sancho, L.; Semino, C.E. Chondroitin sulfate- and decorin-based self-Assembling scaffolds for cartilage tissue engineering. PLoS ONE 2016, 11, 1–23. [Google Scholar] [CrossRef] [PubMed]
- Brittberg, M.; Lindahl, A. Tissue Engineering of Cartilage. Tissue Eng. 2008, 4, 533–557. [Google Scholar]
- Da Cunha Cavalcanti, F.M.M.; Doca, D.; Cohen, M.; Ferretti, M. Updating on Diagnosis and Treatment of Chondral Lesion of the Knee. Rev. Bras. Ortop. 2015, 47, 12–20. [Google Scholar] [CrossRef]
- Jones, D.G. Articular cartilage degeneration: etiologic association with obesity. Ochsner J. 2009, 9, 137–139. [Google Scholar]
- Litwic, A.; Edwards, M.H.; Dennison, E.M.; Cooper, C. Epidemiology and burden of osteoarthritis. Br. Med. Bull. 2013, 105, 185–199. [Google Scholar] [CrossRef]
- Dong, L.; Wang, S.J.; Zhao, X.R.; Zhu, Y.F.; Yu, J.K. 3D-printed poly (ϵ-caprolactone) scaffold integrated with cell-laden chitosan hydrogels for bone tissue engineering. Sci. Rep. 2017, 7, 13412. [Google Scholar] [CrossRef] [PubMed]
- Jammalamadaka, U.; Tappa, K. Recent advances in biomaterials for 3D printing and tissue engineering. J. Funct. Biomater. 2018, 9. [Google Scholar]
- Meseguer-Dueñas, J.M.; Más-Estellés, J.; Castilla-Cortázar, I.; Escobar Ivirico, J.L.; Vidaurre, A. Alkaline degradation study of linear and network poly(ε-caprolactone). J. Mater. Sci. Mater. Med. 2011, 22, 11–18. [Google Scholar] [CrossRef] [PubMed]
- Siparsky, G.L.; Voorhees, K.J.; Miao, F. Hydrolysis of polylactic acid (PLA) and polycaprolactone (PCL) in aqueous acetonitrile solutions: Autocatalysis. J. Environ. Polym. Degrad. 1998, 6, 31–41. [Google Scholar] [CrossRef]
- Hellmund, K.S.; Koksch, B. Self-assembling peptides as extracellular matrix mimics to influence stem cell’s fate. Front. Chem. 2019, 7. [Google Scholar] [CrossRef]
- Lee, S.H.; Shin, H. Matrices and scaffolds for delivery of bioactive molecules in bone and cartilage tissue engineering. Adv. Drug Deliv. Rev. 2007, 59, 339–359. [Google Scholar] [CrossRef]
- Griffith, L.G.; Swartz, M.A. Capturing complex 3D tissue physiology in vitro. Nat. Rev. Mol. Cell Biol. 2006, 7, 211–224. [Google Scholar] [CrossRef]
- Sieminski, A.L.; Semino, C.E.; Gong, H.; Kamm, R.D. Primary sequence of ionic self-assembling peptide gels affects endothelial cell adhesion and capillary morphogenesis. J. Biomed. Mater. Res. - Part A 2008, 87, 494–504. [Google Scholar] [CrossRef]
- Friedl, P.; Zänker, K.S.; Bröcker, E.B. Cell migration strategies in 3-D extracellular matrix: Differences in morphology, cell matrix interactions, and integrin function. Microsc. Res. Tech. 1998, 43, 369–378. [Google Scholar] [CrossRef]
- Bokhari, M.A.; Akay, G.; Zhang, S.; Birch, M.A. The enhancement of osteoblast growth and differentiation in vitro on a peptide hydrogel - PolyHIPE polymer hybrid material. Biomaterials 2005, 26, 5198–5208. [Google Scholar] [CrossRef]
- Zhang, S. Beyond the Petri dish. Nat. Biotechnol. 2004, 22, 151–152. [Google Scholar] [CrossRef] [PubMed]
- Solchaga, L.A.; Penick, K.J.; Welter, J.F. Chondrogenic Differentiation of Bone Marrow-Derived Mesenchymal Stem Cells: Tips and Tricks. Methods Mol. Biol. 2011, 698, 253–278. [Google Scholar] [PubMed]
- Duval, K.; Grover, H.; Han, L.H.; Mou, Y.; Pegoraro, A.F.; Fredberg, J.; Chen, Z. Modeling physiological events in 2D vs. 3D cell culture. Physiology 2017, 32, 266–277. [Google Scholar] [CrossRef] [PubMed]
- Bitar, M.; Brown, R.A.; Salih, V.; Kidane, A.G.; Knowles, J.C.; Nazhat, S.N. Effect of cell density on osteoblastic differentiation and matrix degradation of biomimetic dense collagen scaffolds. Biomacromolecules 2008, 9, 129–135. [Google Scholar] [CrossRef]
- Heng, B.C.; Bezerra, P.P.; Preiser, P.R.; Alex Law, S.K.; Xia, Y.; Boey, F.; Venkatraman, S.S. Effect of cell-seeding density on the proliferation and gene expression profile of human umbilical vein endothelial cells within ex vivo culture. Cytotherapy 2011, 13, 606–617. [Google Scholar] [CrossRef]
- Zhou, H.; Weir, M.D.; Xu, H.H.K. Effect of cell seeding density on proliferation and osteodifferentiation of umbilical cord stem cells on calcium phosphate cement-fiber scaffold. Tissue Eng. - Part A 2011, 17, 2603–2613. [Google Scholar] [CrossRef]
- Lawless, B.M.; Sadeghi, H.; Temple, D.K.; Dhaliwal, H.; Espino, D.M.; Hukins, D.W.L. Viscoelasticity of articular cartilage: Analysing the effect of induced stress and the restraint of bone in a dynamic environment. J. Mech. Behav. Biomed. Mater. 2017, 75, 293–301. [Google Scholar] [CrossRef]
- Kopesky, P.W.; Vanderploeg, E.J.; Sandy, J.S.; Kurz, B.; Grodzinsky, A.J. Self-Assembling Peptide Hydrogels Modulate In Vitro Chondrogenesis of Bovine Bone Marrow Stromal Cells. Tissue Eng. Part A 2010, 16, 465–477. [Google Scholar] [CrossRef]
- Zhao, X.; Papadopoulos, A.; Ibusuki, S.; Bichara, D.A.; Saris, D.B.; Malda, J.; Anseth, K.S.; Gill, T.J.; Randolph, M.A. Articular cartilage generation applying PEG-LA-DM/PEGDM copolymer hydrogels. BMC Musculoskelet. Disord. 2016, 17. [Google Scholar] [CrossRef]
- Yao, H.; Xue, J.; Wang, Q.; Xie, R.; Li, W.; Liu, S.; Cai, J.; Qin, D.; Wang, D.A.; Ren, L. Glucosamine-modified polyethylene glycol hydrogel-mediated chondrogenic differentiation of human mesenchymal stem cells. Mater. Sci. Eng. C 2017, 79, 661–670. [Google Scholar] [CrossRef]
- Beck, S.C.; Jiang, T.; Nair, L.S.; Laurencin, C.T. Chitosan for bone and cartilage regenerative engineering. In Chitosan Based Biomaterials; Elsevier Inc.: Amsterdam, the Netherlands, 2016; Vol. 2, pp. 33–72. ISBN 9780081002285. [Google Scholar]
- Comblain, F.; Rocasalbas, G.; Gauthier, S.; Henrotin, Y. Chitosan: A promising polymer for cartilage repair and viscosupplementation. In Proceedings of the Bio-Medical Materials and Engineering; IOS Press, Amsterdam, The Netherlands, 2017; Vol. 28, pp. S209–S215. [Google Scholar]
- Mouw, J.K.; Connelly, J.T.; Wilson, C.G.; Michael, K.E.; Levenston, M.E. Dynamic Compression Regulates the Expression and Synthesis of Chondrocyte-Specific Matrix Molecules in Bone Marrow Stromal Cells. Stem Cells 2006, 25, 655–663. [Google Scholar] [CrossRef] [PubMed]
- Huang, C.-Y.C.; Hagar, K.L.; Frost, L.E.; Sun, Y.; Cheung, H.S. Effects of Cyclic Compressive Loading on Chondrogenesis of Rabbit Bone-Marrow Derived Mesenchymal Stem Cells. Stem Cells 2004, 22, 313–323. [Google Scholar] [CrossRef] [PubMed]
- Ruvinov, E.; Tavor Re’em, T.; Witte, F.; Cohen, S. Articular cartilage regeneration using acellular bioactive affinity-binding alginate hydrogel: A 6-month study in a mini-pig model of osteochondral defects. J. Orthop. Transl. 2019, 16, 40–52. [Google Scholar] [CrossRef] [PubMed]
- Park, H.; Lee, H.J.; An, H.; Lee, K.Y. Alginate hydrogels modified with low molecular weight hyaluronate for cartilage regeneration. Carbohydr. Polym. 2017, 162, 100–107. [Google Scholar] [CrossRef]
- Mata, M.; Milian, L.; Oliver, M.; Zurriaga, J.; Sancho-Tello, M.; De Llano, J.J.M.; Carda, C. In Vivo Articular Cartilage Regeneration Using Human Dental Pulp Stem Cells Cultured in an Alginate Scaffold: A Preliminary Study. Stem Cells Int. 2017, 2017. [Google Scholar] [CrossRef]
- McCarthy, H.E.; Bara, J.J.; Brakspear, K.; Singhrao, S.K.; Archer, C.W. The comparison of equine articular cartilage progenitor cells and bone marrow-derived stromal cells as potential cell sources for cartilage repair in the horse. Vet. J. 2012, 192, 345–351. [Google Scholar] [CrossRef]
- Giuliani, N.; Lisignoli, G.; Magnani, M.; Racano, C.; Bolzoni, M.; Dalla Palma, B.; Spolzino, A.; Manferdini, C.; Abati, C.; Toscani, D.; et al. New insights into osteogenic and chondrogenic differentiation of human bone marrow mesenchymal stem cells and their potential clinical applications for bone regeneration in pediatric orthopaedics. Stem Cells Int. 2013, 2013, 312501. [Google Scholar] [CrossRef]
- Mueller, M.B.; Tuan, R.S. Functional characterization of hypertrophy in chondrogenesis of human mesenchymal stem cells. Arthritis Rheum. 2008, 58, 1377–1388. [Google Scholar] [CrossRef]
- Goldring, M.B.; Tsuchimochi, K.; Ijiri, K. The control of chondrogenesis. J. Cell. Biochem. 2006, 97, 33–44. [Google Scholar] [CrossRef]








| Gene | Sequence (5’-3’) | Size (bp) | |
|---|---|---|---|
| COL1A1 | Forward | 5′-AGACGGGAGTTTCTCCTCGG-3′ | 20 |
| Reverse | 5′-CGGAGGTCCACAAAGCTGAA-3′ | 20 | |
| COL2A1 | Forward | 5′-ATGACAATCTGGCTCCCAAC-3′ | 20 |
| Reverse | 5′-CTTCAGGGCAGTGTACGTGA-3′ | 20 | |
| COL10A1 | Forward | 5′-CCAATGCCGAGTCAAATGGC-3′ | 20 |
| Reverse | 5′-GGGGGAAGGTTTGTTGGTCT-3′ | 20 | |
| SOX9 | Forward | 5′-CAGACGCACATCTCCCCCAA-3′ | 20 |
| Reverse | 5′-GCTTCAGGTCAGCCTTGCC-3′ | 19 | |
| ACAN | Forward | 5′-TGGTGATGATCTGGCACGAG-3′ | 20 |
| Reverse | 5′-CGTTTGTAGGTGGTGGCTGT-3′ | 20 | |
| RUNX2 | Forward | 5′-GGTTCAACGATCTGAGATTTGTGGG-3′ | 25 |
| Reverse | 5′-CACTGAGGCGGTCAGAGAACAAACTAG-3′ | 27 | |
| ACTB | PPH00073G-200, Qiagen | - |
© 2019 by the authors. Licensee MDPI, Basel, Switzerland. This article is an open access article distributed under the terms and conditions of the Creative Commons Attribution (CC BY) license (http://creativecommons.org/licenses/by/4.0/).
Share and Cite
Rubí-Sans, G.; Recha-Sancho, L.; Pérez-Amodio, S.; Mateos-Timoneda, M.Á.; Semino, C.E.; Engel, E. Development of a Three-Dimensional Bioengineered Platform for Articular Cartilage Regeneration. Biomolecules 2020, 10, 52. https://doi.org/10.3390/biom10010052
Rubí-Sans G, Recha-Sancho L, Pérez-Amodio S, Mateos-Timoneda MÁ, Semino CE, Engel E. Development of a Three-Dimensional Bioengineered Platform for Articular Cartilage Regeneration. Biomolecules. 2020; 10(1):52. https://doi.org/10.3390/biom10010052
Chicago/Turabian StyleRubí-Sans, Gerard, Lourdes Recha-Sancho, Soledad Pérez-Amodio, Miguel Ángel Mateos-Timoneda, Carlos Eduardo Semino, and Elisabeth Engel. 2020. "Development of a Three-Dimensional Bioengineered Platform for Articular Cartilage Regeneration" Biomolecules 10, no. 1: 52. https://doi.org/10.3390/biom10010052
APA StyleRubí-Sans, G., Recha-Sancho, L., Pérez-Amodio, S., Mateos-Timoneda, M. Á., Semino, C. E., & Engel, E. (2020). Development of a Three-Dimensional Bioengineered Platform for Articular Cartilage Regeneration. Biomolecules, 10(1), 52. https://doi.org/10.3390/biom10010052

