Effects of Cordyceps cicadae Polysaccharide on Gut Microbiota, the Intestinal Mucosal Barrier, and Inflammation in Diabetic Mice
Abstract
1. Introduction
2. Materials and Methods
2.1. Preparation of C. cicadae Polysaccharides
2.2. Induction of Type 2 Diabetes Mellitus in Mice and the Treatment Schedule
- Sample size and oral administration dose selection
- 2.
- Grouping and treatment
2.3. Intestinal Microbiota Culture
2.4. Determination of Biochemical Indicators
2.5. Determination of Short-Chain Fatty Acids (SCFAs) in Feces
2.6. Illumina Sequencing of the 16SrRNA Gene
2.7. Intestinal Pathological Examination
2.8. RT-PCR
2.9. Protein Expression
2.10. Statistical Analysis
3. Results
3.1. Cultural Assessment of the Microbial Abundance of Beneficial Bacteria
3.2. Levels of Endotoxin and D-Lactate in the Serum of the Mice
3.3. Colon Antioxidant Capacity Indicators
3.4. Quantification of Proinflammatory Cytokines
3.5. Short-Chain Fatty Acid (SCFA) Levels
3.6. Distribution of Gut Microbiota Features in Mice
3.7. Microbial Species Composition Analysis
3.8. Alpha Diversity Analysis
3.9. Beta Diversity Analysis
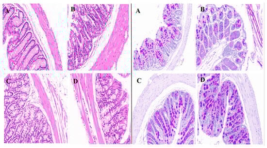
3.10. Pathological Changes in the Colon
3.11. Colon mRNA and Protein Expression Levels
4. Discussion
5. Conclusions
6. Study Limitations
Author Contributions
Funding
Institutional Review Board Statement
Informed Consent Statement
Data Availability Statement
Acknowledgments
Conflicts of Interest
References
- Mirmiran, P.; Bahadoran, Z.; Azizi, F. Functional foods-based diet as a novel dietary approach for management of type 2 diabetes and its complications: A review. World J. Diabetes 2014, 5, 267–281. [Google Scholar] [CrossRef] [PubMed]
- Qin, J.; Li, Y.; Cai, Z.; Li, S.; Zhu, J.; Zhang, F.; Liang, S.; Zhang, W.; Guan, Y.; Shen, D.; et al. A metagenome-wide association study of gut microbiota in type 2 diabetes. Nature 2012, 490, 55–60. [Google Scholar] [CrossRef] [PubMed]
- Karlsson, F.H.; Tremaroli, V.; Nookaew, I.; Bergström, G.; Behre, C.J.; Fagerberg, B.; Nielsen, J.; Bäckhed, F. Gut metagenome in European women with normal, impaired and diabetic glucose control. Nature 2013, 498, 99–103. [Google Scholar] [CrossRef] [PubMed]
- Clarke, G.; Stilling, R.M.; Kennedy, P.J.; Stanton, C.; Cryan, J.F.; Dinan, T.G. Minireview: Gut microbiota: The neglected endocrine organ. Mol. Endocrinol. 2014, 28, 1221–1238. [Google Scholar] [CrossRef] [PubMed]
- Marchesi, J.R.; Adams, D.H.; Fava, F.; Hermes, G.D.; Hirschfield, G.M.; Hold, G.; Quraishi, M.N.; Kinross, J.; Smidt, H.; Tuohy, K.M.; et al. The gut microbiota and host health: A new clinical frontier. Gut 2016, 65, 330–339. [Google Scholar] [CrossRef]
- Wu, H.; Tremaroli, V.; Schmidt, C.; Lundqvist, A.; Olsson, L.M.; Krämer, M.; Gummesson, A.; Perkins, R.; Bergström, G.; Bäckhed, F. The gut microbiota in prediabetes and diabetes: A population-based cross-sectional study. Cell Metab. 2020, 32, 379–390. [Google Scholar] [CrossRef]
- Mizukami, H.; Takahashi, K.; Inaba, W.; Tsuboi, K.; Osonoi, S.; Yoshida, T.; Yagihashi, S. Involvement of oxidative stress-induced DNA damage, endoplasmic reticulum stress, and autophagy deficits in the decline of β-cell mass in Japanese type 2 diabetic patients. Diabetes Care 2014, 37, 1966–1974. [Google Scholar] [CrossRef]
- Liu, C.; Feng, X.; Li, Q.; Hua, M. Adiponectin, TNF-α and inflammatory cytokines and risk of type 2 diabetes: A systematic review and meta-analysis. Cytokine 2016, 86, 100–109. [Google Scholar] [CrossRef] [PubMed]
- Fathy, S.A.; Mohamed, M.R.; Ali, M.A.M.; El-Helaly, A.E.; Alattar, A.T. Influence of IL-6, IL-10, IFN-γ and TNF-α genetic variants on susceptibility to diabetic kidney disease in type 2 diabetes mellitus patients. Biomarkers 2018, 31, 1–13. [Google Scholar] [CrossRef]
- Compare, D.; Rocco, A.; Sanduzzi Zamparelli, M.; Nardone, G. The gut bacteria-driven obesity development. Dig. Dis. 2016, 34, 221–229. [Google Scholar] [CrossRef] [PubMed]
- Nedosugova, L.V.; Markina, Y.V.; Bochkareva, L.A.; Kuzina, I.A.; Petunina, N.A.; Yudina, I.Y.; Kirichenko, T.V. Inflammatory Mechanisms of Diabetes and Its Vascular Complications. Biomedicines 2022, 10, 1168. [Google Scholar]
- Vijay, K. Toll-like receptors in immunity and inflammatory diseases: Past, present, and future. Int. Immunopharmacol. 2018, 59, 391–412. [Google Scholar] [CrossRef] [PubMed]
- Garantziotis, S.; Savani, R.C. Proteoglycans in Toll-like receptor responses and innate immunity. Am. Physiol. Cell Physiol. 2022, 323, C202–C214. [Google Scholar] [CrossRef] [PubMed]
- Nasef, N.A.; Mehta, S.; Murray, P.; Marlow, G.; Ferguson, L.R. Anti-inflammatory activity of fruit fractions in vitro, mediated through toll-like receptor 4 and 2 in the context of inflammatory bowel disease. Nutrients 2014, 6, 5265–5279. [Google Scholar] [CrossRef] [PubMed]
- Xu, X.M.; Ning, Y.C.; Wang, W.J.; Liu, J.Q.; Bai, X.Y.; Sun, X.F.; Cai, G.Y.; Chen, X.M. Anti-Inflamm-Aging Effects of Long-Term Caloric Restriction via Overexpression of SIGIRR to Inhibit NF-κB Signaling Pathway. Cell. Physiol. Biochem. 2015, 37, 1257–1270. [Google Scholar] [CrossRef]
- Li, H.; Yoon, J.H.; Won, H.J.; Ji, H.S.; Yuk, H.J.; Park, K.H.; Park, H.Y.; Jeong, T.S. Isotrifoliol inhibits pro-inflammatory mediators by suppression of TLR/NF-κB and TLR/MAPK signaling in LPS-induced RAW264.7 cells. Int. Immunopharmacol. 2017, 45, 110–119. [Google Scholar] [CrossRef]
- Lee, H.Y.; Takeshita, T.; Shimada, J.; Akopyan, A.; Woo, J.I.; Pan, H.; Moon, S.K.; Andalibi, A.; Park, R.K.; Kang, S.H.; et al. Induction of beta defensin 2 by NTHi requires TLR2 mediated MyD88 and IRAK-TRAF6-p38MAPK signaling pathway in human middle ear epithelial cells. BMC Infect. Dis. 2008, 8, 87. [Google Scholar] [CrossRef]
- Huang, G.; Wang, Y.; Vogel, P.; Kanneganti, T.D.; Otsu, K.; Chi, H. Signaling via the kinase p38α programs dendritic cells to drive TH17 differentiation and autoimmune inflammation. Nat. Immunol. 2012, 13, 152–161. [Google Scholar] [CrossRef] [PubMed]
- Liu, M.; Liu, F.; Pan, Y.; Xiong, Y.; Zeng, X.; Zheng, L.; Zhao, H.; Li, Y.; Liu, D. Oxymatrine ameliorated experimental colitis via mechanisms involving inflammatory DCs, gut microbiota and TLR/NF-κB pathway. Int. Immunopharmacol. 2023, 115, 109612. [Google Scholar] [CrossRef]
- Shi, Z.; Pan, H.J.; Fan, L.F. Advances in research of polysaccharides in Cordyceps species. Food Technol. Biotechnol. 2009, 47, 304–312. [Google Scholar]
- Hsu, J.H.; Jhou, B.Y.; Yeh, S.H.; Chen, C. Healthcare Functions of Cordyceps cicadae. J. Nutr. Food Sci. 2015, 5, 1000432. [Google Scholar] [CrossRef]
- Yu, H.M.; Wang, B.S.; Huang, S.C.; Duh, P.D. Comparison of Protective Effects between Cultured Cordyceps militaris and Natural Cordyceps sinensis against Oxidative Damage. J. Agric. Food Chem. 2006, 54, 3132–3138. [Google Scholar] [CrossRef] [PubMed]
- Won, S.Y.; Park, E.H. Anti-inflammatory and related pharmacological activities of cultured mycelia and fruiting bodies of Cordyceps militaris. J. Ethnopharmacol. 2005, 96, 555–561. [Google Scholar] [CrossRef] [PubMed]
- Ukai, S.; Kiho, T.; Hara, C.; Morita, M.; Goto, A.; Imaizumi, N.; Hasegawa, Y. Polysaccharides in fungi. Polysaccharides in fungi. XIII. Antitumor activity of various polysaccharides isolated from Dictyophora indusiata, Ganoderma japonicum, Cordyceps cicadae, Auricularia auricula-judae, and Auricularia species. Chem. Pharm. Bull. 1983, 31, 741–744. [Google Scholar] [CrossRef] [PubMed]
- Deng, J.S.; Jiang, W.P.; Chen, C.C.; Lee, L.Y.; Li, P.Y.; Huang, W.C.; Liao, J.C.; Chen, H.Y.; Huang, S.S.; Huang, G.J. Cordyceps cicadae Mycelia Ameliorate Cisplatin-Induced Acute Kidney Injury by Suppressing the TLR4/NF-kappaB/MAPK and Activating the HO-1/Nrf2 and Sirt-1/AMPK Pathways in Mice. Oxid. Med. Cell Longev. 2020, 1, 7912763. [Google Scholar]
- Wang, Y.; Zeng, T.; Li, H.; Wang, Y.; Wang, J.; Yuan, H. Structural Characterization and Hypoglycemic Function of Polysaccharides from Cordyceps cicadae. Molecules 2023, 28, 526. [Google Scholar] [CrossRef] [PubMed]
- Chang, C.J.; Lin, C.S.; Lu, C.C.; Martel, J.; Ko, Y.F.; Ojcius, D.M.; Tseng, S.F.; Wu, T.R.; Chen, Y.Y.; Young, J.D.; et al. Ganoderma lucidum reduces obesity in mice by modulating the composition of the gut microbiota. Nat. Commun. 2015, 6, 7489. [Google Scholar] [CrossRef] [PubMed]
- Wu, T.R.; Lin, C.S.; Chang, C.J.; Lin, T.L.; Martel, J.; Ko, Y.F.; Lai, H.C. Gut commensal Parabacteroides goldsteinii plays a predominant role in the anti-obesity effects of polysaccharides isolated from Hirsutella sinensis. J. Gut. 2019, 68, 248–262. [Google Scholar] [CrossRef]
- Shi, Y.; Yuan, Z.; Xu, T.; Qu, R.; Yuan, J.; Cai, F.; Wang, Y.; Wang, X. An environmentally friendly deproteinization and decolorization method for polysaccharides of Typha angustifolia based on a metal ion-chelating resin adsorption. Ind. Crops Prod. 2019, 134, 160–167. [Google Scholar] [CrossRef]
- Wang, Y.; Yuan, H.; Chen, X.; Zeng, T. Effect of water caltrop (Trapa bispinosa Roxb.) pericarp extract on improving insulin resistance in STZ-induced diabetic mice. Pharmacol. Res.-Mod. Chin. Med. 2021, 1, 100015. [Google Scholar] [CrossRef]
- Yan, S.; Chang, J.; Hao, X.; Liu, J.; Tan, X.; Geng, Z.; Wang, Z. Berberine regulates short-chain fatty acid metabolism and alleviates the colitis-associated colorectal tumorigenesis through remodeling intestinal flora. Phytomedicine 2022, 102, 154217. [Google Scholar] [CrossRef] [PubMed]
- Yu, Z.; Li, D.; Sun, H. Herba Origani alleviated DSS-induced ulcerative colitis in mice through remolding gut microbiota to regulate bile acid and short-chain fatty acid metabolisms. Biomed. Pharmacother. 2023, 161, 114409. [Google Scholar] [CrossRef]
- Cederbaum, A.I.; Lu, Y.; Wu, D. Role of oxidative stress in alcohol-induced liver injury. Arch. Toxicol. 2009, 83, 519–548. [Google Scholar] [CrossRef]
- Xu, J.; Chen, H.B.; Li, S.L. Understanding the molecular mechanisms of the interplay between herbal medicines and gut microbiota. Med. Res. Rev. 2017, 37, 1140–1185. [Google Scholar] [CrossRef] [PubMed]
- Smith, K.; McCoy, K.D.; Macpherson, A.J. Use of axenic animals in studying the adaptation of mammals to their commensal intestinal microbiota. Semin. Immunol. 2007, 19, 59–69. [Google Scholar] [CrossRef] [PubMed]
- Ley, R.E.; Turnbaugh, P.J.; Klein, S.; Gordon, J.I. Microbial ecology: Human gut microbes associated with obesity. Nature 2006, 444, 1022–1023. [Google Scholar] [CrossRef] [PubMed]
- Wang, Y.; Yuan, H.; Wang, S.; Zeng, T. Hypoglycemic Effect of Trichosanthes pericarpium to Type 2 Model Diabetic Mice via Intestinal Bacteria Transplantation. Curr. Pharm. Biotechnol. 2023, 24, 1694–1707. [Google Scholar] [CrossRef] [PubMed]
- Qu, Y.; Li, X.; Xu, F.; Zhao, S.; Wu, X.; Wang, Y.; Xie, J. Kaempferol Alleviates Murine Experimental Colitis by Restoring Gut Microbiota and Inhibiting the LPS-TLR4-NF-κB Axis. Front. Immunol. 2021, 12, 679897. [Google Scholar] [CrossRef] [PubMed]
- Xue, M.; Liu, Y.; Xu, H.; Zhou, Z.; Ma, Y.; Sun, T.; Liu, M.; Zhang, H.; Liang, H. Propolis modulates the gut microbiota and improves the intestinal mucosal barrier function in diabetic rats. Biomed. Pharmacother. 2019, 118, 109393. [Google Scholar] [CrossRef]
- Wang, Y.; Ni, Z.; Li, J.; Shao, Y.; Yong, Y.; Lv, W.; Zhang, S.; Fu, T.; Chen, A. Cordyceps cicadae polysaccharides alleviate hyperglycemia by regulating gut microbiota and its mmetabolites in high-fat diet/streptozocin-induced diabetic mice. Front. Nutr. 2023, 10, 1203430. [Google Scholar] [CrossRef]
- Cani, P.D.; Van Hul, M. Do diet and microbes really ‘PREDICT’ cardiometabolic risks? Nat. Rev. Endocrinol. 2021, 17, 259–260. [Google Scholar] [CrossRef]
- Cani, P.D.; Moens de Hase, E.; Van Hul, M. Gut microbiota and host metabolism: From proof of concept to therapeutic intervention. Microorganisms 2021, 9, 1302. [Google Scholar] [CrossRef]
- Cani, P.D.; Van Hul, M. Mediterranean diet, gut microbiota and health: When age and calories do not add up! Gut 2020, 69, 1167–1168. [Google Scholar] [CrossRef]
- Ney, L.M.; Wipplinger, M.; Grossmann, M.; Engert, N.; Wegner, V.D.; Mosig, A.S. Short chain fatty acids: Key regulators of the local and systemic immune response in inflammatory diseases and infections. Open Biol. 2023, 13, 230014. [Google Scholar] [CrossRef] [PubMed]
- Winer, D.A.; Luck, H.; Tsai, S.; Winer, S. The intestinal immune system in obesity and insulin resistance. Cell Metab. 2016, 23, 413–426. [Google Scholar] [CrossRef]
- Kaptoge, S.; Di Angelantonio, E.; Pennells, L.; Emerging Risk Factors Collaboration. C-reactive protein, fibrinogen, and cardiovascular disease prediction. N. Engl. J. Med. 2012, 367, 1310–1320. [Google Scholar] [PubMed]
- Spranger, J.; Kroke, A.; Möhlig, M.; Hoffmann, K.; Bergmann, M.M.; Ristow, M.; Boeing, H.; Pfeiffer, A.F. Inflammatory cytokines and the risk to develop type 2 diabetes: Results of the prospective population-based European Prospective Investigation into Cancer and Nutrition (EPIC) Potsdam Study. Diabetes 2003, 52, 812–817. [Google Scholar] [CrossRef] [PubMed]
- Go, M.J.; Min, H.; Lee, J.Y.; Kim, S.S.; Kim, Y.J. Association of an Anti-inflammatory Cytokine Gene IL4 polymorphism with the risk of type 2 diabetes mellitus in Korean populations. Genom. Inform. 2011, 9, 114–120. [Google Scholar] [CrossRef]
- Reinehr, T.; Roth, C.L. Inflammation markers in type 2 diabetes and the metabolic syndrome in the pediatric population. Curr. Diab. Rep. 2018, 18, 131. [Google Scholar] [CrossRef] [PubMed]
- Reinehr, T.; Karges, B.; Meissner, T.; Wiegand, S.; Stoffel-Wagner, B.; Holl, R.W.; Woelfle, J. Inflammatory markers in obese adolescents with type 2 diabetes and their relationship to Hepatokines and Adipokines. J. Pediatr. 2016, 173, 131–135. [Google Scholar] [CrossRef] [PubMed]
- Kalninova, J.; Jakus, V.; Glejtkova, M.; Kuracka, L.; Sandorova, E. Impact of glycemic control on advanced glycation and inflammation in overweight and obese patients with type 2 diabetes mellitus. Bratisl. Med. J. 2014, 115, 457–468. [Google Scholar] [CrossRef] [PubMed]
- Reinehr, T. Inflammatory markers in children and adolescents with type 2 diabetes mellitus. Clin. Chim. Acta 2019, 496, 100–107. [Google Scholar] [CrossRef] [PubMed]
- Bharti, A.C.; Aggarwal, B.B. Nuclear factor-kappa B and cancer: Its role in prevention and therapy. Biochem. Pharmacol. 2002, 64, 883–888. [Google Scholar] [CrossRef] [PubMed]









| Gene | Primer Sequences | Amplicon Length (bp) |
|---|---|---|
| NF-KB | PrimerF: CGACTGGTTCACTGCTCCTAATCC PrimerR: ATGCTGGCTGCTGCTTCACTG | 382 |
| TLR4 | PrimerF: TGTGTCAGTGGTCAGTGTGATTGTG PrimerR: CTGTAGTGAAGGCAGAGGTGAAAGC | 225 |
| TNF-α | PrimerF: CACCACGCTCTTCTGTCTACTGAAC PrimerR: TGACGGCAGAGAGGAGGTTGAC | 347 |
| ZO-1 | PrimerF: GAAGGCGGATGGTGCTACAAGTG PrimerR: AGGCTCAGAGGACCGTGTAATGG | 232 |
| occludin | PrimerF: AGTCCACCTCCTTACAGACCTGATG PrimerR: GCCTCCATAGCCACCTCCGTAG | 330 |
| β-actin | PrimerF: TGCTGTCCCTGTATGCCTCTGG PrimerR: ACCGCTCGTTGCCAATAGTGATG | 348 |
| Group | Acetic Acid (ng/mg) | Propionic Acid (ng/g) | Butyric Acid (ng/g) | Isobutyric Acid (ng/g) | Valeric Acid (ng/g) | Isovaleric Acid (ng/g) |
|---|---|---|---|---|---|---|
| NC | 71.13 ± 1.05 B | 3.808 ± 0.1 B | 3.568 ± 0.09 B | 8.735 ± 0.54 B | 10.61 ± 0.56 B | 23.17 ± 1.11 B |
| DC | 62.95 ± 1.39 A | 1.855 ± 0.05 A | 2.463 ± 0.13 A | 7.153 ± 0.39 A | 8.76 ± 0.77 A | 18.82 ± 1.34 A |
| PC | 72.63 ± 1.34 B | 3.635 ± 0.1 a,B | 3.7 ± 0.14 B | 7.933 ± 0.37 a,b | 10.24 ± 0.60 B | 24.96 ± 1.11 B |
| CCPH | 77.46 ± 1.47 A,B | 3.78 ± 0.12 B | 3.57 ± 0.17 B | 9.183 ± 0.45 B | 9.7 ± 0.31 a,b | 20.77 ± 1.65 a |
| Group | Shannon | Simpson | Chao |
|---|---|---|---|
| NC | 4.748 ± 0.184 B | 0.015 ± 0.003 B | 281.78 ± 17.27 B |
| DC | 3.840 ± 0.123 A | 0.875 ± 0.004 A | 202.15 ± 18.12 A |
| PC | 4.283 ± 0.196 AB | 0.025 ± 0.007 a,B | 259.51 ± 12.01 B |
| CCPH | 4.81 ± 0.430 B | 0.016 ± 0.007 B | 278.19 ± 15.68 B |
| Group | NF-kB (pg/mL) | TLR-4 (ng/mL) | TNF-α (pg/mL) (pg/mL) | ZO-1 (ng/mL) | Occludin (ng/mL) |
|---|---|---|---|---|---|
| NC | 137.02 ± 6.89 B | 2.683 ± 0.23 B | 50.39 ± 4.37 B | 35.31 ± 1.64 B | 1.342 ± 0.15 B |
| DC | 202.74 ± 3.57 A | 4.527 ± 0.27 A | 89.47 ± 4.85 A | 24.17 ± 2.51 A | 0.893 ± 0.16 A |
| PC | 152.84 ± 6.21 A,B | 2.822 ± 0.21 B | 57.35 ± 4.37 a,B | 33.63 ± 1.44 B | 1.188 ± 0.12 B |
| CCPH | 164.91 ± 6.35 A,B | 3.55 ± 0.22 A,B | 58.27 ± 4.33 A,B | 32.08 ± 2.72 a,B | 1.117 ± 0.16 a,b |
Disclaimer/Publisher’s Note: The statements, opinions and data contained in all publications are solely those of the individual author(s) and contributor(s) and not of MDPI and/or the editor(s). MDPI and/or the editor(s) disclaim responsibility for any injury to people or property resulting from any ideas, methods, instructions or products referred to in the content. |
© 2025 by the authors. Licensee MDPI, Basel, Switzerland. This article is an open access article distributed under the terms and conditions of the Creative Commons Attribution (CC BY) license (https://creativecommons.org/licenses/by/4.0/).
Share and Cite
Sun, L.; Yuan, H.; Ma, H.; Wang, Y. Effects of Cordyceps cicadae Polysaccharide on Gut Microbiota, the Intestinal Mucosal Barrier, and Inflammation in Diabetic Mice. Metabolites 2025, 15, 8. https://doi.org/10.3390/metabo15010008
Sun L, Yuan H, Ma H, Wang Y. Effects of Cordyceps cicadae Polysaccharide on Gut Microbiota, the Intestinal Mucosal Barrier, and Inflammation in Diabetic Mice. Metabolites. 2025; 15(1):8. https://doi.org/10.3390/metabo15010008
Chicago/Turabian StyleSun, Lijia, Huaibo Yuan, Huiqing Ma, and Yani Wang. 2025. "Effects of Cordyceps cicadae Polysaccharide on Gut Microbiota, the Intestinal Mucosal Barrier, and Inflammation in Diabetic Mice" Metabolites 15, no. 1: 8. https://doi.org/10.3390/metabo15010008
APA StyleSun, L., Yuan, H., Ma, H., & Wang, Y. (2025). Effects of Cordyceps cicadae Polysaccharide on Gut Microbiota, the Intestinal Mucosal Barrier, and Inflammation in Diabetic Mice. Metabolites, 15(1), 8. https://doi.org/10.3390/metabo15010008
