Brain Temperature as an Indicator of Cognitive Function in Traumatic Brain Injury Patients
Abstract
1. Introduction
2. Materials and Methods
2.1. Participants
2.2. MRI
2.3. Cognitive Function Tests
2.4. Processing of WB-MRSI
2.4.1. Reconstruction of Metabolite Ratio and Temperature Maps
2.4.2. Extraction of Brain Temperature and Metabolite Ratios
2.5. Statistical Analysis
3. Results
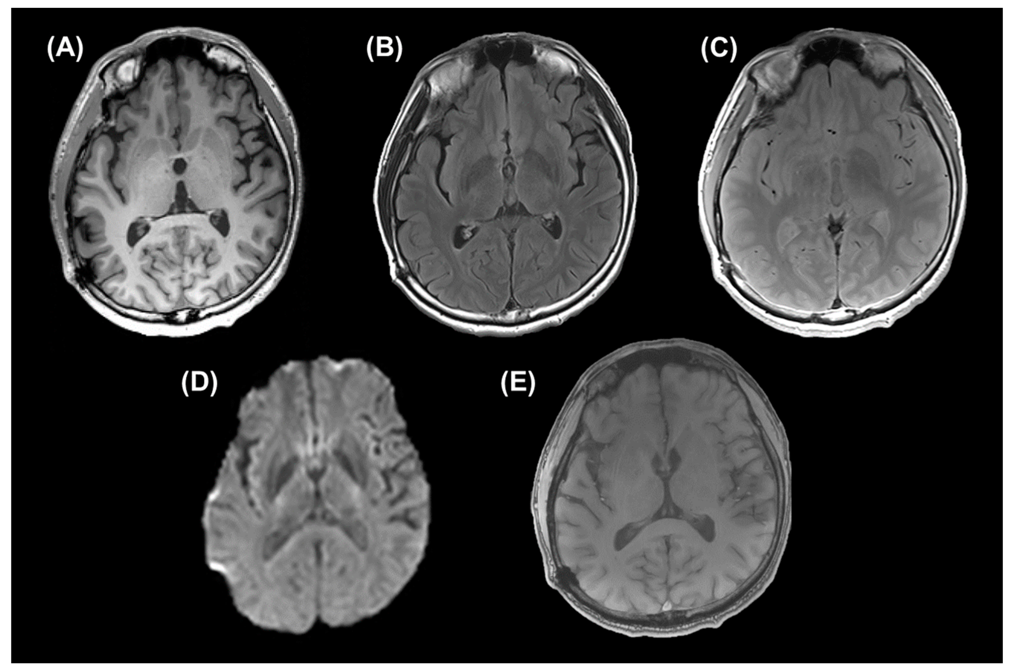
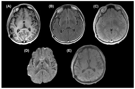
3.1. Conventional MRI
3.2. Group Differences in Brain Temperature
3.3. Relationship between Brain Temperature and Cognitive Function Test Scores
4. Discussion
5. Conclusions
Supplementary Materials
Author Contributions
Funding
Institutional Review Board Statement
Informed Consent Statement
Data Availability Statement
Acknowledgments
Conflicts of Interest
References
- Silverberg, N.D.; Iverson, G.L.; Cogan, A.; Dams-O-Connor, K.; Delmonico, R.; Graf, M.J.P.; Iaccarino, M.A.; Kajankova, M.; Kamins, J.; McCulloch, K.L.; et al. The American Congress of Rehabilitation Medicine Diagnostic Criteria for Mild Traumatic Brain Injury. Arch. Phys. Med. Rehabil. 2023, 104, 1343–1355. [Google Scholar] [CrossRef] [PubMed]
- MaDewan, M.C.; Rattani, A.; Gupta, S.; Baticulon, R.E.; Hung, Y.C.; Punchak, M.; Agrawal, A.; Adeleye, A.O.; Shrime, M.G.; Rubiano, A.M.; et al. Estimating the global incidence of traumatic brain injury. J. Neurosurg. 2018, 130, 1080–1097. [Google Scholar] [CrossRef]
- Ma, V.Y.; Chan, L.; Carruthers, K.J. Incidence, prevalence, costs, and impact on disability of common conditions requiring rehabilitation in the United States: Stroke, spinal cord injury, traumatic brain injury, multiple sclerosis, osteoarthritis, rheumatoid arthritis, limb loss, and back pain. Arch. Phys. Med. Rehabil. 2014, 95, 986–995.e1. [Google Scholar] [CrossRef] [PubMed]
- Ghajar, J. Traumatic brain injury. Lancet 2000, 356, 923–929. [Google Scholar] [CrossRef] [PubMed]
- Teasdale, G.; Jennett, B. Assessment of coma and impaired consciousness. A practical scale. Lancet 1974, 2, 81–84. [Google Scholar] [CrossRef] [PubMed]
- Rimel, R.W.; Giordani, B.; Barth, J.T.; Boll, T.J.; Jane, J.A. Disability caused by minor head injury. Neurosurgery 1981, 9, 221–228. [Google Scholar] [PubMed]
- Rimel, R.W.; Giordani, B.; Barth, J.T.; Jane, J.A. Moderate head injury: Completing the clinical spectrum of brain trauma. Neurosurgery 1982, 11, 344–351. [Google Scholar] [CrossRef] [PubMed]
- Boake, C.; McCauley, S.R.; Pedroza, C.; Levin, H.S.; Brown, S.A.; Brundage, S.I. Lost productive work time after mild to moderate traumatic brain injury with and without hospitalization. Neurosurgery 2005, 56, 994–1003. [Google Scholar]
- Wintermark, M.; Sanelli, P.C.; Anzai, Y.; Tsiouris, A.J.; Whitlow, C.T.; ACR Head Injury Institute. Imaging evidence and recommendations for traumatic brain injury: Conventional neuroimaging techniques. J. Am. Coll. Radiol. 2015, 12, e1–e14. [Google Scholar] [CrossRef]
- Rabinowitz, A.R.; Levin, H.S. Cognitive sequelae of traumatic brain injury. Psychiatr. Clin. North. Am. 2014, 37, 1–11. [Google Scholar] [CrossRef]
- Mott, T.F.; McConnon, M.L.; Rieger, B.P. Subacute to chronic mild traumatic brain injury. Am. Fam. Physician 2012, 86, 1045–1051. [Google Scholar] [PubMed]
- Barman, A.; Chatterjee, A.; Bhide, R. Cognitive Impairment and Rehabilitation Strategies After Traumatic Brain Injury. Indian J. Psychol. Med. 2016, 38, 172–181. [Google Scholar] [CrossRef] [PubMed]
- Belanger, H.G.; Vanderploeg, R.D.; Curtiss, G.; Warden, D.L. Recent neuroimaging techniques in mild traumatic brain injury. J. Neuropsychiatry Clin. Neurosci. 2007, 19, 5–20. [Google Scholar] [CrossRef] [PubMed]
- Le, T.H.; Gean, A.D. Neuroimaging of traumatic brain injury. Mt. Sinai J. Med. 2009, 76, 145–162. [Google Scholar] [CrossRef]
- Lee, H.; Wintermark, M.; Gean, A.D.; Ghajar, J.; Manley, G.T.; Mukherjee, P. Focal lesions in acute mild traumatic brain injury and neurocognitive outcome: CT versus 3T MRI. J. Neurotrauma 2008, 25, 1049–1056. [Google Scholar] [CrossRef]
- Huisman, T.A.; Schwamm, L.H.; Schaefer, P.W.; Koroshetz, W.J.; Shetty-Alva, N.; Ozsunar, Y.; Wu, O.; Sorensen, A.G. Diffusion tensor imaging as potential biomarker of white matter injury in diffuse axonal injury. AJNR Am. J. Neuroradiol. 2004, 25, 370–376. [Google Scholar]
- Grossman, E.J.; Ge, Y.; Jensen, J.H.; Babb, J.S.; Miles, L.; Reaume, J.; Silver, J.M.; Grossman, R.I.; Inglese, M. Thalamus and cognitive impairment in mild traumatic brain injury: A diffusional kurtosis imaging study. J. Neurotrauma 2012, 29, 2318–2327. [Google Scholar] [CrossRef]
- Govindaraju, V.; Gauger, G.E.; Manley, G.T.; Ebel, A.; Meeker, M.; Maudsley, A.A. Volumetric proton spectroscopic imaging of mild traumatic brain injury. AJNR Am. J. Neuroradiol. 2004, 25, 730–737. [Google Scholar]
- Friedman, S.D.; Brooks, W.M.; Jung, R.E.; Hart, B.L.; Yeo, R.A. Proton MR spectroscopic findings correspond to neuropsychological function in traumatic brain injury. AJNR Am. J. Neuroradiol. 1998, 19, 1879–1885. [Google Scholar]
- Rzechorzek, N.M.; Thrippleton, M.J.; Chappell, F.M.; Mair, G.; Ercole, A.; Cabeleira, M.; CENTER-TBI High Resolution ICU (HR ICU) Sub-Study Participants and Investigators; Rhodes, J.; Marshall, I.; O’Neill, J.S. A daily temperature rhythm in the human brain predicts survival after brain injury. Brain 2022, 145, 2031–2048. [Google Scholar] [CrossRef]
- Cady, E.B.; D’Souza, P.C.; Penrice, J.; Lorek, A. The estimation of local brain temperature by in vivo 1H magnetic resonance spectroscopy. Magn. Reson. Med. 1995, 33, 862–867. [Google Scholar] [CrossRef] [PubMed]
- Cady, E.B.; Penrice, J.; Robertson, N.J. Improved reproducibility of MRS regional brain thermometry by ‘amplitude-weighted combination’. NMR Biomed. 2011, 24, 865–872. [Google Scholar] [CrossRef] [PubMed]
- Corbett, R.J.; Laptook, A.R.; Tollefsbol, G.; Kim, B. Validation of a noninvasive method to measure brain temperature in vivo using 1H NMR spectroscopy. J. Neurochem. 1995, 64, 1224–1230. [Google Scholar] [CrossRef] [PubMed]
- Kuroda, K.; Takei, N.; Mulkern, R.V.; Oshio, K.; Nakai, T.; Okada, T.; Matsumura, A.; Yanaka, K.; Hynynen, K.; Jolesz, F.A. Feasibility of internally referenced brain temperature imaging with a metabolite signal. Magn. Reson. Med. Sci. 2003, 2, 17–22. [Google Scholar] [CrossRef] [PubMed][Green Version]
- Mueller, C.; Lin, J.C.; Sheriff, S.; Maudsley, A.A.; Younger, J.W. Evidence of widespread metabolite abnormalities in Myalgic encephalomyelitis/chronic fatigue syndrome: Assessment with whole-brain magnetic resonance spectroscopy. Brain Imaging Behav. 2020, 14, 562–572. [Google Scholar] [CrossRef] [PubMed]
- Li, X.; Abiko, K.; Sheriff, S.; Maudsley, A.A.; Urushibata, Y.; Ahn, S.; Tha, K.K. The Distribution of Major Brain Metabolites in Normal Adults: Short Echo Time Whole-Brain MR Spectroscopic Imaging Findings. Metabolites 2022, 12, 543. [Google Scholar] [CrossRef] [PubMed]
- Lichtenberger, E.O.; Kaufman, A.S. Essentials of WAIS-IV Assessment; John Wiley & Sons: Hoboken, NJ, USA, 2012; pp. 1–512. [Google Scholar]
- Tombaugh, T.N. A comprehensive review of the Paced Auditory Serial Addition Test (PASAT). Arch. Clin. Neuropsychol. 2006, 21, 53–76. [Google Scholar] [CrossRef] [PubMed]
- Reitan, R.M. Validity of the Trail Making Test as an Indicator of Organic Brain Damage. Percept. Mot. Skills 1958, 8, 271–276. [Google Scholar] [CrossRef]
- Maudsley, A.A.; Darkazanli, A.; Alger, J.R.; Hall, L.O.; Schuff, N.; Studholme, C.; Yu, Y.; Ebel, A.; Frew, A.; Goldgof, D.; et al. Comprehensive processing, display and analysis for in vivo MR spectroscopic imaging. NMR Biomed. 2006, 19, 492–503. [Google Scholar] [CrossRef]
- Schneider, C.A.; Rasband, W.S.; Eliceiri, K.W. NIH Image to ImageJ: 25 years of image analysis. Nat. Methods 2012, 9, 671–675. [Google Scholar] [CrossRef]
- Maudsley, A.A.; Goryawala, M.Z.; Sheriff, S. Effects of tissue susceptibility on brain temperature mapping. Neuroimage 2017, 146, 1093–1101. [Google Scholar] [CrossRef] [PubMed]
- Tazoe, J.; Yamada, K.; Sakai, K.; Akazawa, K.; Mineura, K. Brain core temperature of patients with mild traumatic brain injury as assessed by DWI-thermometry. Neuroradiology 2014, 56, 809–815. [Google Scholar] [CrossRef] [PubMed]
- Yablonskiy, D.A.; Ackerman, J.J.; Raichle, M.E. Coupling between changes in human brain temperature and oxidative metabolism during prolonged visual stimulation. Proc. Natl. Acad. Sci. USA 2000, 97, 7603–7608. [Google Scholar] [CrossRef] [PubMed]
- Provenzano, F.A.; Jordan, B.; Tikofsky, R.S.; Saxena, C.; Van Heertum, R.L.; Ichise, M. F-18 FDG PET imaging of chronic traumatic brain injury in boxers: A statistical parametric analysis. Nucl. Med. Commun. 2010, 31, 952–957. [Google Scholar] [CrossRef] [PubMed]
- Peskind, E.R.; Petrie, E.C.; Cross, D.J.; Pagulayan, K.; McCraw, K.; Hoff, D.; Hart, K.; Yu, C.E.; Raskind, M.A.; Cook, D.G.; et al. Cerebrocerebellar hypometabolism associated with repetitive blast exposure mild traumatic brain injury in 12 Iraq war Veterans with persistent post-concussive symptoms. Neuroimage 2011, 54, S76–S82. [Google Scholar] [CrossRef]
- Veenith, T.V.; Carter, E.L.; Geeraerts, T.; Grossac, J.; Newcombe, V.F.; Outtrim, J.; Gee, G.S.; Lupson, V.; Smith, R.; Aigbirhio, F.I.; et al. Pathophysiologic Mechanisms of Cerebral Ischemia and Diffusion Hypoxia in Traumatic Brain Injury. JAMA Neurol. 2016, 73, 542–550. [Google Scholar] [CrossRef]
- Inoue, Y.; Shiozaki, T.; Tasaki, O.; Hayakata, T.; Ikegawa, H.; Yoshiya, K.; Fujinaka, T.; Tanaka, H.; Shimazu, T.; Sugimoto, H. Changes in cerebral blood flow from the acute to the chronic phase of severe head injury. J. Neurotrauma 2005, 22, 1411–1418. [Google Scholar] [CrossRef]
- Gaggi, N.L.; Ware, J.B.; Dolui, S.; Brennan, D.; Torrellas, J.; Wang, Z.; Whyte, J.; Diaz-Arrastia, R.; Kim, J.J. Temporal dynamics of cerebral blood flow during the first year after moderate-severe traumatic brain injury: A longitudinal perfusion MRI study. Neuroimage Clin. 2023, 37, 103344. [Google Scholar] [CrossRef]
- Kim, J.; Whyte, J.; Patel, S.; Avants, B.; Europa, E.; Wang, J.; Slattery, J.; Gee, J.C.; Coslett, H.B.; Detre, J.A. Resting cerebral blood flow alterations in chronic traumatic brain injury: An arterial spin labeling perfusion FMRI study. J. Neurotrauma 2010, 27, 1399–1411. [Google Scholar] [CrossRef]
- Pegoli, M.; Zurlo, Z.; Bilotta, F. Temperature management in acute brain injury: A systematic review of clinical evidence. Clin. Neurol. Neurosurg. 2020, 197, 106165. [Google Scholar] [CrossRef]
- Badjatia, N. Hyperthermia and fever control in brain injury. Crit. Care Med. 2009, 37, S250–S257. [Google Scholar] [CrossRef] [PubMed]
- Thompson, H.J.; Tkacs, N.C.; Saatman, K.E.; Raghupathi, R.; McIntosh, T.K. Hyperthermia following traumatic brain injury: A critical evaluation. Neurobiol. Dis. 2003, 12, 163–173. [Google Scholar] [CrossRef] [PubMed]
- Werner, C.; Engelhard, K. Pathophysiology of traumatic brain injury. Br. J. Anaesth. 2007, 99, 4–9. [Google Scholar] [CrossRef] [PubMed]
- Prins, M.; Greco, T.; Alexander, D.; Giza, C.C. The pathophysiology of traumatic brain injury at a glance. Dis. Model. Mech. 2013, 6, 1307–1315. [Google Scholar] [CrossRef] [PubMed]
- Yoshino, A.; Hovda, D.A.; Kawamata, T.; Katayama, Y.; Becker, D.P. Dynamic changes in local cerebral glucose utilization following cerebral conclusion in rats: Evidence of a hyper- and subsequent hypometabolic state. Brain Res. 1991, 561, 106–119. [Google Scholar] [CrossRef]
- Kawamata, T.; Katayama, Y.; Hovda, D.A.; Yoshino, A.; Becker, D.P. Administration of excitatory amino acid antagonists via microdialysis attenuates the increase in glucose utilization seen following concussive brain injury. J. Cereb. Blood Flow. Metab. 1992, 12, 12–24. [Google Scholar] [CrossRef]
- Cicerone, K.D. Clinical sensitivity of four measures of attention to mild traumatic brain injury. Clin. Neuropsychol. 1997, 11, 266–272. [Google Scholar] [CrossRef]
- Benedict, R.H.; Fischer, J.S.; Archibald, C.J.; Arnett, P.A.; Beatty, W.W.; Bobholz, J.; Chelune, G.J.; Fisk, J.D.; Langdon, D.W.; Caruso, L.; et al. Minimal neuropsychological assessment of MS patients: A consensus approach. Clin. Neuropsychol. 2002, 16, 381–397. [Google Scholar] [CrossRef]
- Benedict, R.H.; Cookfair, D.; Gavett, R.; Gunther, M.; Munschauer, F.; Garg, N.; Weinstock-Guttman, B. Validity of the minimal assessment of cognitive function in multiple sclerosis (MACFIMS). J. Int. Neuropsychol. Soc. 2006, 12, 549–558. [Google Scholar] [CrossRef]
- Muller, M.D.; Gunstad, J.; Alosco, M.L.; Miller, L.A.; Updegraff, J.; Spitznagel, M.B.; Glickman, E.L. Acute cold exposure and cognitive function: Evidence for sustained impairment. Ergonomics 2012, 55, 792–798. [Google Scholar] [CrossRef]
- Gu, W.; Bai, Y.; Cai, J.; Mi, H.; Bao, Y.; Zhao, X.; Lu, C.; Zhang, F.; Li, Y.H.; Lu, Q. Hypothermia impairs glymphatic drainage in traumatic brain injury as assessed by dynamic contrast-enhanced MRI with intrathecal contrast. Front. Neurosci. 2023, 17, 1061039. [Google Scholar] [CrossRef] [PubMed]
- Rae, C.D. A guide to the metabolic pathways and function of metabolites observed in human brain 1H magnetic resonance spectra. Neurochem. Res. 2014, 39, 1–36. [Google Scholar] [CrossRef] [PubMed]
- Corbett, R.; Tollefsbol, G.; Laptook, A. Measurement of brain temperature in vivo using NMR spectroscopy. In Proceedings of the SMR, 2nd Annual Meeting, San Francisco, CA, USA, 6–12 August 1994; p. 516. [Google Scholar]
- Kozak, L.R.; Bango, M.; Szabo, M.; Rudas, G.; Vidnyanszky, Z.; Nagy, Z. Using diffusion MRI for measuring the temperature of cerebrospinal fluid within the lateral ventricles. Acta Paediatr. 2010, 99, 237–243. [Google Scholar] [CrossRef] [PubMed]
- Sakai, K.; Yamada, K.; Mori, S.; Sugimoto, N.; Nishimura, T. Age-dependent brain temperature decline assessed by diffusion-weighted imaging thermometry. NMR Biomed. 2011, 24, 1063–1067. [Google Scholar] [CrossRef] [PubMed]
- Sakai, K.; Yamada, K.; Sugimoto, N. Calculation methods for ventricular diffusion-weighted imaging thermometry: Phantom and volunteer studies. NMR Biomed. 2012, 25, 340–346. [Google Scholar] [CrossRef]
- Sumida, K.; Sato, N.; Ota, M.; Sakai, K.; Sone, D.; Yokoyama, K.; Kimura, Y.; Maikusa, N.; Imabayashi, E.; Matsuda, H.; et al. Intraventricular temperature measured by diffusion-weighted imaging compared with brain parenchymal temperature measured by MRS in vivo. NMR Biomed. 2016, 29, 890–895. [Google Scholar] [CrossRef] [PubMed]
- Kelly, G. Body temperature variability (Part 1): A review of the history of body temperature and its variability due to site selection, biological rhythms, fitness, and aging. Altern. Med. Rev. 2006, 11, 278–293. [Google Scholar]
- Tsukamoto, T.; Shimono, T.; Sai, A.; Sakai, K.; Yamamoto, A.; Sakamoto, S.; Miki, Y. Assessment of brain temperatures during different phases of the menstrual cycle using diffusion-weighted imaging thermometry. Jpn. J. Radiol. 2016, 34, 277–283. [Google Scholar] [CrossRef]
- Rasgon, N.L.; Thomas, M.A.; Guze, B.H.; Fairbanks, L.A.; Yue, K.; Curran, J.G.; Rapkin, A.J. Menstrual cycle-related brain metabolite changes using 1H magnetic resonance spectroscopy in premenopausal women: A pilot study. Psychiatry Res. 2001, 106, 47–57. [Google Scholar] [CrossRef]
- Lam, F.; Li, Y.; Guo, R.; Clifford, B.; Peng, X.; Liang, Z.P. Further accelerating SPICE for ultrafast MRSI using learned spectral features. Proc. Intl. Soc. Mag. Reson. Med. 2018, 26, 1058. [Google Scholar]




| Patient | Age (Years) | Time from Injury (Months) | Severity of TBI | Medical and Drug History |
|---|---|---|---|---|
| 1 | 20 | 11 | Mild | Taking Lamotrigine |
| 2 | 43 | 16 | Mild | - |
| 3 | 47 | 2 | Mild | Taking traditional medicine with potential nervous system effects |
| 4 | 48 | 68 | Mild | Controlled diabetes mellitus Taking Metformin |
| 5 | 68 | 11 | Mild | - |
| 6 | 33 | 38 | Moderate to severe | - |
| 7 | 39 | 11 | Moderate to severe | Taking antihistamines |
| 8 | 54 | 432 | Moderate to severe | - |
Disclaimer/Publisher’s Note: The statements, opinions and data contained in all publications are solely those of the individual author(s) and contributor(s) and not of MDPI and/or the editor(s). MDPI and/or the editor(s) disclaim responsibility for any injury to people or property resulting from any ideas, methods, instructions or products referred to in the content. |
© 2023 by the authors. Licensee MDPI, Basel, Switzerland. This article is an open access article distributed under the terms and conditions of the Creative Commons Attribution (CC BY) license (https://creativecommons.org/licenses/by/4.0/).
Share and Cite
Kitagawa, M.; Abiko, K.; Sheriff, S.; Maudsley, A.A.; Li, X.; Sawamura, D.; Ahn, S.; Tha, K.K. Brain Temperature as an Indicator of Cognitive Function in Traumatic Brain Injury Patients. Metabolites 2024, 14, 17. https://doi.org/10.3390/metabo14010017
Kitagawa M, Abiko K, Sheriff S, Maudsley AA, Li X, Sawamura D, Ahn S, Tha KK. Brain Temperature as an Indicator of Cognitive Function in Traumatic Brain Injury Patients. Metabolites. 2024; 14(1):17. https://doi.org/10.3390/metabo14010017
Chicago/Turabian StyleKitagawa, Maho, Kagari Abiko, Sulaiman Sheriff, Andrew A. Maudsley, Xinnan Li, Daisuke Sawamura, Sinyeob Ahn, and Khin Khin Tha. 2024. "Brain Temperature as an Indicator of Cognitive Function in Traumatic Brain Injury Patients" Metabolites 14, no. 1: 17. https://doi.org/10.3390/metabo14010017
APA StyleKitagawa, M., Abiko, K., Sheriff, S., Maudsley, A. A., Li, X., Sawamura, D., Ahn, S., & Tha, K. K. (2024). Brain Temperature as an Indicator of Cognitive Function in Traumatic Brain Injury Patients. Metabolites, 14(1), 17. https://doi.org/10.3390/metabo14010017

