Challenging a “Cushy” Life: Potential Roles of Thermogenesis and Adipose Tissue Adaptations in Delayed Aging of Ames and Snell Dwarf Mice
Abstract
1. Introduction—Aging and the Somatotropic Axis: A Focus on Ames and Snell Mice
2. AD and SD Mice as Models for Delayed Aging
2.1. AD Mice—Old and New Observations about Endocrine and Metabolic Disruptions, Outward Phenotypes, and Aging
2.2. SD Mice—Similar but Still Not Alike?
2.3. Lower Body Temperature in SD Mice
2.4. Husbandry and Feeding Behavior of AD and SD Mice
3. Specifics of Adipose Tissue Depots in AD and SD Mice
3.1. Adipose Tissue—Communalities, Differences, and Function
3.2. Expandability of Subcutaneous WAT in AD Mice: Is There a Beneficial Role for Overall Energy Metabolism?
3.3. Non-Shivering Thermogenesis in GH-Deficient AD and SD Mice
3.4. A Role for Polyunsaturated Fatty Acids in Adipose Tissue of AD and SD Mice?
4. Concluding Remarks and Future Directions
Author Contributions
Funding
Acknowledgments
Conflicts of Interest
Ethics
References
- Bartke, A.; Westbrook, R. Metabolic characteristics of long-lived mice. Front. Genet. 2012, 3, 1–6. [Google Scholar] [CrossRef] [PubMed]
- Masternak, M.M.; Darcy, J.; Victoria, B.; Bartke, A. Dwarf Mice and Aging. Prog. Mol. Biol. Transl. 2018, 155, 69–83. [Google Scholar]
- Barbieri, M.; Bonafè, M.; Franceschi, C.; Paolisso, G. Insulin/IGF-I-signaling pathway: An evolutionarily conserved mechanism of longevity from yeast to humans. Am. J. Phys. Endocrinol. Metab. 2003, 285, E1046–E1071. [Google Scholar] [CrossRef] [PubMed]
- Bartke, A.; Quainoo, N. Impact of Growth Hormone-Related Mutations on Mammalian Aging. Front. Genet. 2018, 9, 586. [Google Scholar] [CrossRef]
- Masternak, M.M.; Bartke, A.; Wang, F.; Spong, A.; Gesing, A.; Fang, Y.; Salmon, A.B.; Hughes, L.F.; Liberati, T.; Boparai, R.; et al. Metabolic effects of intra-abdominal fat in GHRKO mice. Aging Cell 2012, 11, 73–81. [Google Scholar] [CrossRef]
- Darcy, J.; Bartke, A. Functionally enhanced brown adipose tissue in Ames dwarf mice. Adipocyte 2017, 6, 62–67. [Google Scholar] [CrossRef]
- Bartke, A.; Darcy, J. GH and ageing: Pitfalls and new insights. Best Pract. Res. Clin. Endocrinol. Metab. 2017, 31, 113–125. [Google Scholar] [CrossRef]
- Brown-Borg, H.M.; Borg, K.E.; Meliska, C.J.; Bartke, A. Dwarf mice and the ageing process. Nature 1996, 384, 33. [Google Scholar] [CrossRef]
- Bartke, A. Growth hormone, insulin and aging: The benefits of endocrine defects. Exp. Gerontol. 2011, 46, 108–111. [Google Scholar] [CrossRef]
- Masternak, M.M.; Bartke, A. Growth hormone, inflammation and aging. Pathobiol. Aging Age-Relat. Dis. 2012, 2, 17293. [Google Scholar] [CrossRef]
- Lenzhofer, N.; Ohrnberger, S.A.; Valencak, T.G. n-3 polyunsaturated fatty acids as modulators of thermogenesis in Ames dwarf mice. GeroScience 2020. [Google Scholar] [CrossRef]
- Nasonkin, I.O.; Ward, R.D.; Bavers, D.L.; Beuschlein, F.; Mortensen, A.H.; Keegan, C.E.; Hammer, G.D.; Camper, S.A. Aged PROP1 deficient dwarf mice maintain ACTH production. PLoS ONE 2011, 6, e28355. [Google Scholar] [CrossRef] [PubMed]
- Sadagurski, M.; Landeryou, T.; Cady, G.; Kopchick, J.J.; List, E.O.; Berryman, D.E.; Bartke, A.; Miller, R.A. Growth hormone modulates hypothalamic inflammation in long-lived pituitary dwarf mice. Aging Cell 2015, 14, 1045–1054. [Google Scholar] [CrossRef] [PubMed]
- Westbrook, R.; Bonkowski, M.S.; Strader, A.D.; Bartke, A. Alterations in oxygen consumption, respiratory quotient, and heat production in long-lived GHRKO and Ames dwarf mice, and short-lived bGH transgenic mice. J. Gerontol. A Biol. Sci. Med. Sci. 2009, 64, 443–451. [Google Scholar] [CrossRef] [PubMed]
- Benedict, F.G.; Lee, R.C. La production de chaleur de la souris. etude de plusieurs races de souris. Ann. Physiol. Physicochim. Biol. 1936, 12, 983–1064. [Google Scholar]
- Ozkurede, U.; Miller, R.A. Improved mitochondrial stress response in long-lived Snell dwarf mice. Aging Cell 2019, 18, e13030. [Google Scholar] [CrossRef]
- Brown-Borg, H.M. Longevity in mice: Is stress resistance a common factor? AGE 2006, 28, 145–162. [Google Scholar] [CrossRef]
- Hsieh, C.-C.; Papaconstantinou, J. Dermal fibroblasts from long-lived Ames dwarf mice maintain their in vivo resistance to mitochondrial generated reactive oxygen species (ROS). Aging 2009, 1, 784–802. [Google Scholar] [CrossRef]
- Valencak, T.G.; Ruf, T. Phospholipid composition and longevity: Lessons from Ames dwarf mice. AGE 2013, 35, 2303–2313. [Google Scholar] [CrossRef]
- Azzu, V.; Valencak, T.G. Energy Metabolism and Ageing in the Mouse: A Mini-Review. Gerontology 2017, 63, 327–336. [Google Scholar] [CrossRef]
- Brown Borg, H.M. Hormonal control of aging in rodents: The somatotropic axis. Mol. Cell. Endocrinol. 2009, 299, 64–71. [Google Scholar] [CrossRef] [PubMed]
- Bartke, A. Effects of growth hormone on male reproductive functions. J. Androl. 2000, 21, 181–188. [Google Scholar] [PubMed]
- Vergara, M.; Smith-Wheelock, M.; Harper, J.M.; Sigler, R.; Miller, R.A. Hormone-treated Snell dwarf mice regain fertility but remain long lived and disease resistant. J. Gerontol. A Biol. Sci. Med. Sci. 2004, 59, 1244–1250. [Google Scholar] [CrossRef] [PubMed]
- Darcy, J.; McFadden, S.; Fang, Y.; Huber, J.A.; Zhang, C.; Sun, L.Y.; Bartke, A. Brown adipose tissue function is enhanced in long-lived, male Ames dwarf mice. Endocrinology 2016, 157, 4744–4753. [Google Scholar] [CrossRef] [PubMed]
- Darcy, J.; Bartke, A. From White to Brown—Adipose tissue is critical to the extended lifespan and healthspan of growth hormone mutant mice. Adv. Exp. Med. Biol. 2019, 1178, 207–225. [Google Scholar] [PubMed]
- Li, S.; Crenshaw, E.B., III; Rawson, E.J.; Simmons, D.M.; Swanson, L.W.; Rosenfeld, M.G. Dwarf locus mutants lacking three pituitary cell types result from mutations in the POU-domain gene pit-1. Nature 1990, 347, 528–533. [Google Scholar] [CrossRef]
- Tang, K.; Bartke, A.; Gardiner, C.S.; Wagner, T.E.; Yun, J.S. Gonadotropin secretion, synthesis, and gene expression in two types of bovine growth hormone transgenic mice. Biol. Reprod. 1993, 49, 346–353. [Google Scholar] [CrossRef][Green Version]
- Hunter, W.S.; Cronson, W.B.; Bartke, A.; Gentry, M.V.; Meliska, C.J. Low body temperature in long-lived Ames dwarf mice at rest and during stress. Physiol. Behav. 1999, 67, 433–437. [Google Scholar] [CrossRef]
- Kirkwood, T.B.L. Evolution of ageing. Nature 1977, 270, 301–304. [Google Scholar] [CrossRef]
- Barkley, M.S.; Bartke, A.; Gross, D.S.; Sinha, Y.N. Prolactin status of hereditary dwarf mice. Endocrinology 1982, 110, 2088–2096. [Google Scholar] [CrossRef]
- Ewart, D.; Harper, L.; Gravely, A.; Miller, R.A.; Carlson, C.S.; Loeser, R.F. Naturally occurring osteoarthritis in male mice with an extended lifespan. Connect. Tissue Res. 2020, 61, 95–103. [Google Scholar] [CrossRef]
- Royce, G.H.; Brown-Borg, H.M.; Deepa, S.S. The potential role of necroptosis in inflammaging and aging. GeroScience 2019, 41, 795–811. [Google Scholar] [CrossRef] [PubMed]
- Wiesenborn, D.S.; Gálvez, E.J.C.; Spinel, L.; Victoria, B.; Allen, B.; Schneider, A.; Gesing, A.; Al-regaiey, K.A.; Strowig, T.; Schäfer, K.-H.; et al. The role of Ames dwarfism and calorie restriction on gut microbiota. J. Geront. A Biol. 2019. [Google Scholar] [CrossRef] [PubMed]
- Snell, G.D. Dwarf, a New Mendelian Recessive Character of the House Mouse. Proc. Natl. Acad. Sci. USA 1929, 15, 733–734. [Google Scholar] [CrossRef] [PubMed]
- Flurkey, K.; Papaconstantinou, J.; Miller, R.A.; Harrison, D.E. Lifespan extension and delayed immune and collagen aging in mutant mice with defects in growth hormone production. Proc. Natl. Acad. Sci. USA 2001, 98, 6736–6741. [Google Scholar] [CrossRef] [PubMed]
- Fabris, N.; Pierpaoli, W.; Sorkin, E. Lymphocytes, hormones and ageing. Nature 1972, 240, 557–559. [Google Scholar] [CrossRef] [PubMed]
- Piantanelli, L.; Fabris, N. Hypopituitary dwarf and athymic nude mice and the study of the relationships among thymus, hormones, and aging. Birth Defects Orig. Article Ser. 1978, 14, 315–333. [Google Scholar]
- Vuarin, P.; Henry, P.Y. Field evidence for a proximate role of food shortage in the regulation of hibernation and daily torpor: A review. J. Comp. Physiol. B 2014, 184, 683–697. [Google Scholar] [CrossRef]
- Turbill, C.; Stojanovski, L. Torpor reduces predation risk by compensating for the energetic cost of antipredator foraging behaviours. Proc. R. Soc. B Biol. Sci. 2018, 285, 20182370. [Google Scholar] [CrossRef]
- Ijzerman, H.; Coan, J.A.; Wagemans, F.; Missler, M.; van Beest, I.; Lindenberg, S.; Tops, M. A theory of social thermoregulation in human primates. Front. Psychol. 2015, 6, 464. [Google Scholar] [CrossRef]
- Arnold, W. Social thermoregulation during hibernation in alpine marmots (Marmota marmota). J. Comp. Physiol. B 1988, 158, 151–156. [Google Scholar] [CrossRef]
- Kajimura, S.; Spiegelman, B.M.; Seale, P. Brown and beige fat: Physiological roles beyond heat generation. Cell Metab. 2015, 22, 546–559. [Google Scholar] [CrossRef] [PubMed]
- Cannon, B.; Nedergaard, J. Brown Adipose Tissue: Function and Physiological Significance. Physiol. Rev. 2004, 84, 277–359. [Google Scholar] [CrossRef] [PubMed]
- Chechi, K.; Carpentier, A.C.; Richard, D. Understanding the brown adipocyte as a contributor to energy homeostasis. Trends Endocrin. Met. 2013, 24, 408–420. [Google Scholar] [CrossRef] [PubMed]
- Ruf, T.; Arnold, W. Effects of polyunsaturated fatty acids on hibernation and torpor: A review and hypothesis. Am. J. Physiol. Regul. Integr. Comp. Phys. 2008, 294, 1044–1052. [Google Scholar] [CrossRef]
- Cohen, P.; Spiegelman, B.M. Brown and beige fat: Molecular parts of a thermogenic machine. Diabetes 2015, 64, 2346–2351. [Google Scholar] [CrossRef]
- Wu, J.; Boström, P.; Sparks, L.M.; Ye, L.; Choi, J.H.; Giang, A.H.; Khandekar, M.; Virtanen, K.A.; Nuutila, P.; Schaart, G.; et al. Beige adipocytes are a distinct type of thermogenic fat cell in mouse and human. Cell 2012, 150, 366–376. [Google Scholar] [CrossRef]
- Pond, C.M. The Evolution of Mammalian Adipose Tissues. In Adipose Tissue Biology, 2nd ed.; Symonds, M.E., Ed.; Springer: Berlin/Heidelberg, Germany, 2017. [Google Scholar]
- Cinti, S. Pink Adipocytes. Trends Endocrin. Met. 2018, 29, 651–666. [Google Scholar] [CrossRef]
- Prokesch, A.; Smorlesi, A.; Perugini, J.; Manieri, M.; Ciarmela, P.; Mondini, E.; Trajanoski, Z.; Kristiansen, K.; Giordano, A.; Bogner-Strauss, J.G.; et al. Molecular aspects of adipoepithelial transdifferentiation in mouse mammary gland. Stem Cells 2014, 32, 2756–2766. [Google Scholar] [CrossRef]
- Pond, C.M.; Mattacks, C.A. In vivo evidence for the involvement of the adipose tissue surrounding lymph nodes in immune responses. Immunol. Lett. 1998, 63, 159–167. [Google Scholar] [CrossRef]
- Rønnestad, I.; Nilsen, T.O.; Murashita, K.; Angotzi, A.R.; Gamst Moen, A.G.; Stefansson, S.O.; Kling, P.; Thrandur Björnsson, B.; Kurokawa, T. Leptin and leptin receptor genes in Atlantic salmon: Cloning, phylogeny, tissue distribution and expression correlated to long-term feeding status. Gen. Comp. Endocr. 2010, 168, 55–70. [Google Scholar] [CrossRef]
- Wygoda, M.L. Cutanous and subcutanous adipose tissue in anuran amphibians. Copeia 1987, 1987, 1031–1035. [Google Scholar] [CrossRef]
- Price, E.R. The physiology of lipid storage and use in reptiles. Biol. Rev. 2017, 92, 1406–1426. [Google Scholar] [CrossRef] [PubMed]
- Cinti, S. The adipose organ at a glance. DMM 2012, 5, 588–594. [Google Scholar] [CrossRef] [PubMed]
- Zhang, F.; Hao, G.; Shao, M.; Nham, K.; An, Y.; Wang, Q.; Zhu, Y.; Kusminski, C.M.; Hassan, G.; Gupta, R.K.; et al. An Adipose Tissue Atlas: An Image-Guided Identification of Human-like BAT and Beige Depots in Rodents. Cell Metab. 2018, 27, 252–262. [Google Scholar] [CrossRef]
- Hill, C.M.; Fang, Y.; Miquet, J.G.; Sun, L.Y.; Masternak, M.M.; Bartke, A. Long-lived hypopituitary Ames dwarf mice are resistant to the detrimental effects of high-fat diet on metabolic function and energy expenditure. Aging Cell 2016, 15, 509–521. [Google Scholar] [CrossRef]
- Wang, Z.V.; Scherer, P.E. Adiponectin, the past two decades. J. Mol. Cell Biol. 2016, 8, 93–100. [Google Scholar] [CrossRef]
- Menon, V.; Zhi, X.; Hossain, T.; Bartke, A.; Spong, A.; Gesing, A.; Masternak, M.M. The contribution of visceral fat to improved insulin signaling in Ames dwarf mice. Aging Cell 2014, 13, 497–506. [Google Scholar] [CrossRef]
- Virtue, S.; Vidal-Puig, A. Adipose tissue expandability, lipotoxicity and the Metabolic Syndrome--an allostatic perspective. BBA 2010, 1801, 338–349. [Google Scholar] [CrossRef]
- Karastergiou, K.; Fried, S.K. Multiple adipose depots increase cardiovascular risk via local and systemic effects. Curr. Atheroscler. Rep. 2013, 15, 361. [Google Scholar] [CrossRef]
- Ghaben, A.L.; Scherer, P.E. Adipogenesis and metabolic health. Nat. Rev. Mol. Cell Biol. 2019, 20, 242–258. [Google Scholar] [CrossRef] [PubMed]
- Rosen, E.D.; Spiegelman, B.M. What we talk about when we talk about fat. Cell 2014, 156, 20–44. [Google Scholar] [CrossRef] [PubMed]
- Slawik, M.; Vidal-Puig, A.J. Adipose tissue expandability and the metabolic syndrome. Genes Nutr. 2007, 2, 41–45. [Google Scholar] [CrossRef] [PubMed]
- Gray, S.L.; Vidal-Puig, A.J. Adipose tissue expandability in the maintenance of metabolic homeostasis. Nutr. Rev. 2007, 65, S7–S12. [Google Scholar] [CrossRef] [PubMed]
- Darcy, J.; Fang, Y.; Hill, C.M.; McFadden, S.; Sun, L.Y.; Bartke, A. Metabolic alterations from early life thyroxine replacement therapy in male Ames dwarf mice are transient. Exp. Biol. Med. 2016, 241, 1764–1771. [Google Scholar] [CrossRef] [PubMed]
- Darcy, J.; Tseng, Y.H. ComBATing aging—Does increased brown adipose tissue activity confer longevity? GeroScience 2019, 41, 285–296. [Google Scholar] [CrossRef]
- Li, Y.; Knapp, J.R.; Kopchick, J.J. Enlargement of interscapular brown adipose tissue in growth hormone antagonist transgenic and in growth hormone receptor gene-disrupted dwarf mice. Exp. Biol. Med. 2003, 228, 207–215. [Google Scholar] [CrossRef]
- Nedergaard, J.; Cannon, B. UCP1 mRNA does not produce heat. BBA 2013, 1831, 943–949. [Google Scholar] [CrossRef]
- Zechner, R.; Zimmermann, R.; Eichmann, T.O.; Kohlwein, S.D.; Haemmerle, G.; Lass, A.; Madeo, F. FAT SIGNALS—Lipases and lipolysis in lipid metabolism and signaling. Cell Metab. 2012, 15, 279–291. [Google Scholar] [CrossRef]
- Valencak, T.G.; Ruf, T. N-3 polyunsaturated fatty acids impair lifespan but have no role for metabolism. Aging Cell 2007, 6, 15–25. [Google Scholar] [CrossRef]
- Valencak, T.G.; Ruf, T. Feeding into old age: Long-term effects of dietary fatty acid supplementation on tissue composition and life span in mice. J. Comp. Physiol. B 2011, 181, 289–298. [Google Scholar] [CrossRef]
- Hulbert, A.J. The links between membrane composition, metabolic rate and lifespan. J. Comp. Biochem. Physiol. A 2008, 150, 196–203. [Google Scholar] [CrossRef] [PubMed]
- Hulbert, A.J. Explaining longevity of different animals: Is membrane fatty acid composition the missing link? AGE 2008, 30, 89–97. [Google Scholar] [CrossRef] [PubMed]
- Munro, D.; Thomas, D.W. The role of polyunsaturated fatty acids in the expression of torpor by mammals: A review. Zoology 2004, 107, 29–48. [Google Scholar] [CrossRef] [PubMed]





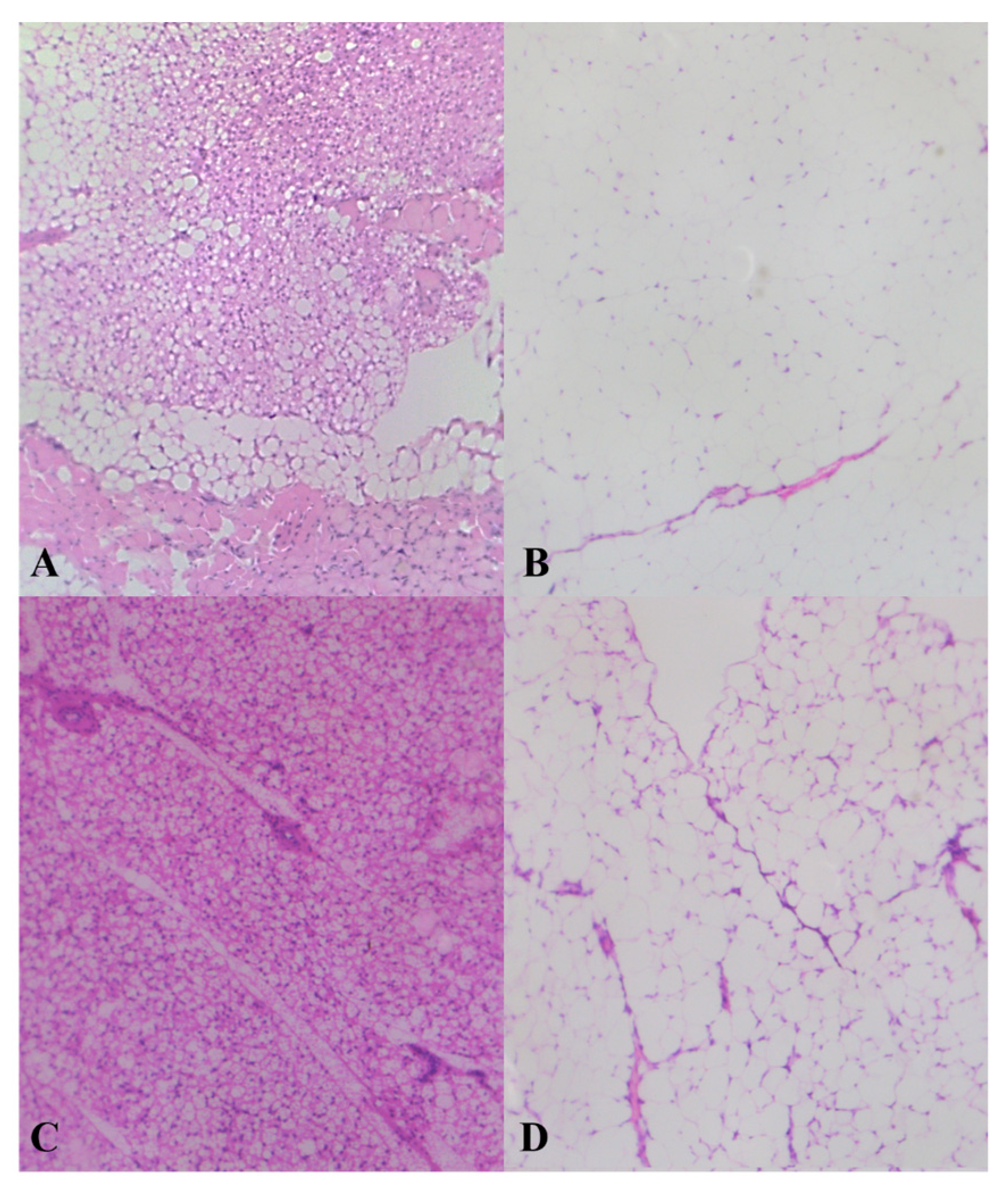
AD ![]() | Reference | SD ![]() | Reference | |
|---|---|---|---|---|
| Body mass (g) | 13.53 ± 0.5 | [11] | 9.6 ± 1.2 | this study |
| Subcutaneous temperature (°C) | 34.5 ± 0.5 | [11] | 32.43 ± 0.3 | this study |
| Growth Hormone (GH) | ↓ | [1,4,5,6] | ↓ | [1,4,5,6] |
| Insulin-like growth factor1 (IGF-1) | ↓ | [1,4,5,6] | ↓ | [1,4,5,6] |
| Thyroid-stimulating hormone (TSH) | ↓ | [1,4,5,6] | ↓ | [1,4,5,6] |
| Follicle-stimulating hormone (FSH) | ↓ | [6] | ↓ | [6] |
| Luteinizing hormone (LH) | ↓ | [6] | ↓ | [6] |
| Prolactin (PRL) | ↓ | [6] | ↓ | [6] |
| Adrenocorticotropic hormone (ACTH) | unchanged | [12] | NA | |
| Melanocyte-stimulating hormone (MSH) | ↓ | [13] | NA | |
| Metabolic rate (heat per gram body weight in calories per hour) | ↑ (AD 336.4 ± 11.7 vs. 279 ± 7.3 in Controls) | [14] | ↓ | [15] |
| Oxygen consumption (VO2) | ↑ (AD 55 mL/kg/min vs. 43 in Controls) | [14] | NA | |
| Respiratory Quotient (fasted animals) | ↓ (AD 0.7 vs. 0.76 in Controls) | NA | ||
| Mitochondrial stress response | NA | ↑ | [16] | |
| Reactive oxygen species (ROS) | ↓ | [17] | ↓ | [18] |
| Triiodothyronine (T3), Thyroxine (T4) | ↓ (below detection limit) | [1,4,5,6] | ↓ | [1,4,5,6] |
| Heart phospholipid n-3 Polyunsaturated fatty acids (n-3 PUFAs) | 25.6 ± 1.3 AD vs 35.3 ± 0.7 Controls | [19] | NA | |
| Maximum lifespan (MSLP) [days] | 1206 ± 32 females, 1076 ± 56 males | [20] | 1148 ± 39 females1037 ± 53 males | [20] |
| Onset of puberty | delayed | [21,22] | delayed | [21,23] |
| Female Fertility | Absent | [21] | Absent | [21] |
| Male Fertility | subfertile | [22] | subfertile | [22] |
| Uncoupling protein-1 (UCP-1) mRNA expression | ↑ | [20,24] | yes | this study |
© 2020 by the authors. Licensee MDPI, Basel, Switzerland. This article is an open access article distributed under the terms and conditions of the Creative Commons Attribution (CC BY) license (http://creativecommons.org/licenses/by/4.0/).
Share and Cite
Valencak, T.G.; Spenlingwimmer, T.; Nimphy, R.; Reinisch, I.; Hoffman, J.M.; Prokesch, A. Challenging a “Cushy” Life: Potential Roles of Thermogenesis and Adipose Tissue Adaptations in Delayed Aging of Ames and Snell Dwarf Mice. Metabolites 2020, 10, 176. https://doi.org/10.3390/metabo10050176
Valencak TG, Spenlingwimmer T, Nimphy R, Reinisch I, Hoffman JM, Prokesch A. Challenging a “Cushy” Life: Potential Roles of Thermogenesis and Adipose Tissue Adaptations in Delayed Aging of Ames and Snell Dwarf Mice. Metabolites. 2020; 10(5):176. https://doi.org/10.3390/metabo10050176
Chicago/Turabian StyleValencak, Teresa G., Tanja Spenlingwimmer, Ricarda Nimphy, Isabel Reinisch, Jessica M. Hoffman, and Andreas Prokesch. 2020. "Challenging a “Cushy” Life: Potential Roles of Thermogenesis and Adipose Tissue Adaptations in Delayed Aging of Ames and Snell Dwarf Mice" Metabolites 10, no. 5: 176. https://doi.org/10.3390/metabo10050176
APA StyleValencak, T. G., Spenlingwimmer, T., Nimphy, R., Reinisch, I., Hoffman, J. M., & Prokesch, A. (2020). Challenging a “Cushy” Life: Potential Roles of Thermogenesis and Adipose Tissue Adaptations in Delayed Aging of Ames and Snell Dwarf Mice. Metabolites, 10(5), 176. https://doi.org/10.3390/metabo10050176



