Yield of Multimodal Imaging in Iris Amelanotic Lesions: A Masked Case-Control Study
Abstract
1. Introduction
2. Materials and Methods
2.1. Participants
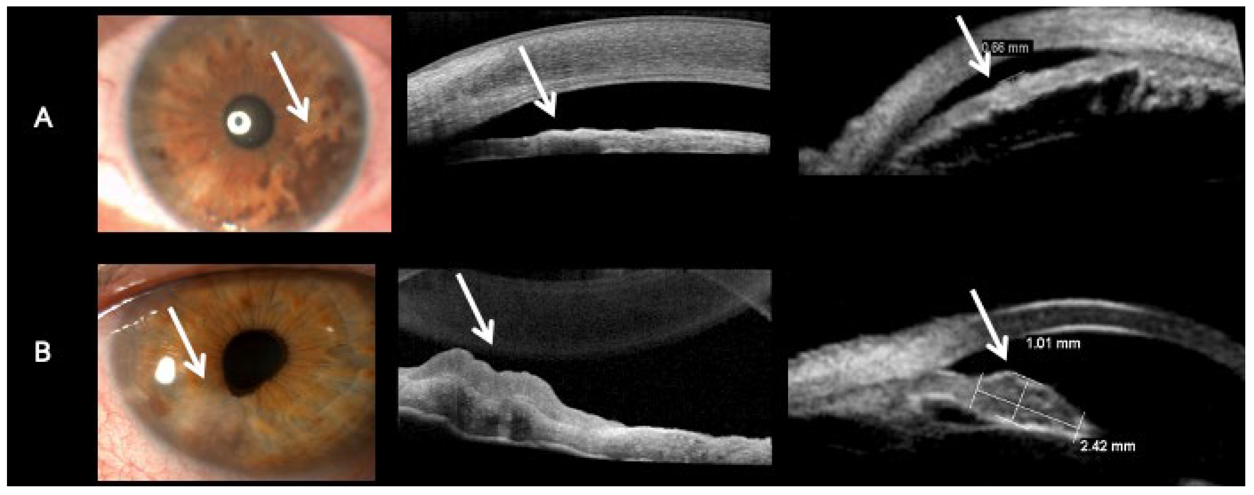
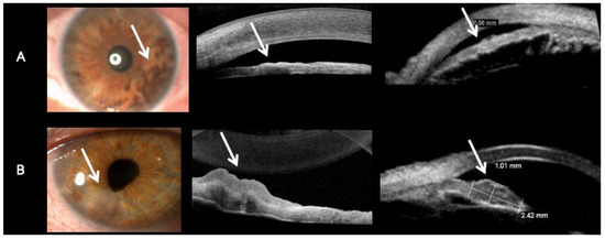
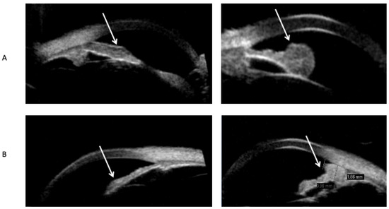
2.2. Imaging
3. Results
4. Discussion
5. Conclusions
Author Contributions
Funding
Institutional Review Board Statement
Informed Consent Statement
Data Availability Statement
Conflicts of Interest
References
- Abramson, D.H.; Schefler, A.C.; Dunkel, I.J.; McCormick, B.; Dolphin, K.W. Adult ophthalmic oncology: Ocular diseases. Cancer Med. 2003, 6, 1242–1244. [Google Scholar]
- Carol, L.S.; Patrick, W.S.; Janet, M.; Chaisiri, J.; Jerry, A.S. Review of cystic and solid tumors of the iris. Oman J. Ophthalmol. 2013, 6, 159–164. [Google Scholar]
- Georgalas, I.; Petrou, P.; Papaconstantinou, D.; Brouzas, D.; Koutsandrea, C.; Kanakis, M. Iris cysts: A comprehensive review on diagnosis and treatment. Surv. Ophthalmol. 2018, 63, 347–364. [Google Scholar] [PubMed]
- Shields, C.L.; Kancherla, S.; Patel, J.; Vijayvargiya, P.; Suriano, M.M.; Kolbus, E.; Badami, A.; Sharma, P.; Jacobs, E.; Voluck, M.; et al. Clinical survey of 3680 iris tumors based on age at presentation. Ophthalmology 2012, 119, 407–414. [Google Scholar]
- Khan, S.; Finger, P.T.; Yu, G.P.; Razzaq, L.; Jager, M.J.; De Keizer, R.J.; Sandkull, P.; Seregard, S.; Gologorsky, D.; Schefler, A.C.; et al. Clinical and pathologic characteristics of biopsy-proven iris melanoma: A multicenter international study. Arch. Ophthalmol. 2012, 130, 57–64. [Google Scholar]
- Shields, C.L.; Shields, J.A.; Materin, M.; Gershenbaum, E.; Singh, A.D.; Smith, A. Iris melanoma: Risk factors for metastasis in 169 consecutive patients. Ophthalmology 2001, 108, 172–178. [Google Scholar] [CrossRef]
- Russo, A.; Avitabile, T.; Reibaldi, M.; Bonfiglio, V.; Pignatelli, F.; Fallico, M.; Caltabiano, R.; Broggi, G.; Russo, D.; Varricchio, S.; et al. Iris melanoma: Management and prognosis. Appl. Sci. 2020, 10, 8766. [Google Scholar] [CrossRef]
- Conway, R.M.; Chua, W.C.; Qureshi, C. Primary iris melanoma: Diagnostic features and outcome of conservative surgical treatment. Br. J. Ophthalmol. 2001, 85, 848–854. [Google Scholar]
- Krohn, J.; Sundal, K.V.; Frøystein, T. Topography and clinical features of iris melanoma. BMC Ophthalmol. 2022, 22, 6. [Google Scholar]
- Shields, C.L.; Kaliki, S.; Hutchinson, A.; Nickerson, S.; Patel, J.; Kancherla, S.; Peshtani, A.; Nakhoda, S.; Kocher, K.; Kolbus, E.; et al. Iris nevus growth into melanoma: Analysis of 1611 consecutive eyes: The ABCDEF guide. Ophthalmology 2013, 120, 766–772. [Google Scholar]
- Shemesh, R.; Bourla, N.; Vishnevskia-Dai, V. Characteristics of amelanotic iris lesions–a ten-year historical cohort. Graefes Arch. Clin. Exp. Ophthalmol. 2023, 262, 667–669. [Google Scholar] [PubMed]
- Rapata, M.E.J.; Zhang, J.; Cunningham, W.J.; Hadden, P.W.; Patel, D.V.; McGhee, C.N.J. Iris melanocytic tumours in New Zealand/Aotearoa: Presentation, management and outcome in a high UV exposure environment. Eye 2022, 37, 692–699. [Google Scholar] [CrossRef] [PubMed]
- Velazquez-Martin, J.P.; Krema, H.; Fulda, E.; Yücel, Y.H.; Simpson, E.R.; Pavlin, C.J. Ultrasound biomicroscopy of the ciliary body in ocular/oculodermal melanocytosis. Am. J. Ophthalmol. 2013, 155, 681–687. [Google Scholar]
- Finley, J.; Evans, W.I.; Kruglov, A.; Wilson, M.W. An unusual case of a pigment epithelial cyst masquerading as a uveal melanoma after zoster ophthalmicus-related iris atrophy. Am. J. Ophthalmol. Case Rep. 2023, 30, 101818. [Google Scholar] [PubMed]
- Valenzuela, D.A.; Biscotti, C.V.; Daniels, A.B. A Pigmented Iris Lesion. JAMA Ophthalmol. 2022, 140, 1239–1240. [Google Scholar]
- Allen, N.M.; Misra, S.L.B.; McGhee, C.N.J.D.; Crawford, A.Z.M. Case Series: Different Presentations of Iris Melanoma—Potential Masquerade of Benign and Malignant. Optom. Vis. Sci. 2022, 99, 298–302. [Google Scholar]
- Solnik, M.; Paduszyńska, N.; Czarnecka, A.M.; Synoradzki, K.J.; Yousef, Y.A.; Chorągiewicz, T.; Rejdak, R.; Toro, M.D.; Zweifel, S.; Dyndor, K.; et al. Imaging of uveal melanoma—Current standard and methods in development. Cancers 2022, 14, 3147. [Google Scholar] [CrossRef]
- Menzies, S.W.; Kreusch, J.; Byth, K.; Pizzichetta, M.A.; Marghoob, A.; Braun, R.; Malvehy, J.; Puig, S.; Argenziano, G.; Zalaudek, I.; et al. Dermoscopic evaluation of amelanotic and hypomelanotic melanoma. Arch. Dermatol. 2008, 144, 1120–1127. [Google Scholar]
- Naysan, J.; Pang, C.E.; Klein, R.W.; Freund, K.B. Multimodal imaging of bilateral diffuse uveal melanocytic proliferation associated with an iris mass lesion. Int. J. Retin. Vitr. 2016, 2, 13. [Google Scholar]
- Siak, J.; Mahendradas, P.; Chee, S.P. Multimodal imaging in anterior uveitis. Ocul. Immunol. Inflamm. 2017, 25, 434–446. [Google Scholar]
- Agarwal, A.; Mahajan, S.; Khairallah, M.; Mahendradas, P.; Gupta, A.; Gupta, V. Multimodal imaging in ocular tuberculosis. Ocul. Immunol. Inflamm. 2017, 25, 134–145. [Google Scholar] [PubMed]
- Samara, W.A.; Khoo, C.T.L.; Magrath, G.; Shields, C.L. Multimodal imaging for detection of clinically inapparent diffuse iris juvenile xanthogranuloma. J. Pediatr. Ophthalmol. Strabismus 2015, 52, e30–e33. [Google Scholar] [PubMed]
- Álvarez, R.E.; Marticorena-Álvarez, P. Multimodal Imaging in Iris Vascular Tumors: A Case Series. Cureus 2022, 14, e31741. [Google Scholar]
- Mirzayev, I.; Gündüz, A.K.; Gündüz, Ö.Ö. Anterior segment optical coherence tomography in iris and ciliary body tumors: A systematic review. Expert Rev. Ophthalmol. 2023, 18, 193–204. [Google Scholar] [CrossRef]
- Bianciotto, C.; Shields, C.L.; Guzman, J.M.; Romanelli-Gobbi, M.; Mazzuca, D.; Green, W.R.; Shields, J.A. Assessment of anterior segment tumors with ultrasound biomicroscopy versus anterior segment optical coherence tomography in 200 cases. Ophthalmology 2011, 118, 1297–1302. [Google Scholar]
- Wang, D.; Lin, S. New developments in anterior segment optical coherence tomography for glaucoma. Curr. Opin. Ophthalmol. 2016, 27, 111–117. [Google Scholar] [CrossRef]
- Eren, M.A.; Gündüz, A.K.; Gündüz, Ö.Ö. Evaluation of iris melanoma with anterior segment optical coherence tomography. Turk. J. Ophthalmol. 2017, 47, 231. [Google Scholar] [CrossRef]
- Wang, S.B.; Cornish, E.E.; Grigg, J.R.; Mccluskey, P.J. Anterior segment optical coherence tomography and its clinical applications. Clin. Exp. Optom. 2019, 102, 195–207. [Google Scholar]
- Kottaridou, E.; Hatoum, A. Imaging of Anterior Segment Tumours: A Comparison of Ultrasound Biomicroscopy Versus Anterior Segment Optical Coherence Tomography. Cureus 2024, 16, e52578. [Google Scholar]
- Komatsu, H.; Akasaka, M.; Morita, M.; Usami, K.; Inagaki, M.; Kumashiro, K.; Tsubota, K.; Usui, Y.; Goto, H.; Kobayashi, Y. A Pilot Study to Evaluate the Usefulness of Optical Coherence Tomography for Staging Iris Pigmented Lesions in Cats. Vet. Sci. 2024, 11, 261. [Google Scholar] [CrossRef]
- Shields, C.L.; Kaliki, S.; Shah, S.U.; Luo, W.; Furuta, M.; Shields, J.A. Iris melanoma: Features and prognosis in 317 children and adults. J. Am. Assoc. Pediatr. Ophthalmol. Strabismus 2012, 16, 10–16. [Google Scholar] [CrossRef] [PubMed]
- Pavlin, C.J.; Vásquez, L.M.; Lee, R.; Simpson, E.R.; Ahmed, I.I.K. Anterior segment optical coherence tomography and ultrasound biomicroscopy in the imaging of anterior segment tumors. Am. J. Ophthalmol. 2009, 147, 214–219. [Google Scholar]




| Characteristics | Amelanotic Lesions | Melanotic Lesions |
|---|---|---|
| Gender F (n, %) | (seven, 100) | (seven, 100) |
| Iris color (n, %) | ||
| Blue | (four, 57.1) | (two, 28.6) |
| Green | (two, 28.6) | (four, 57.1) |
| Hazel | (one,14.3) | (one, 14.3) |
| Age (y) | ||
| Mean ± SD, | 46.3 ± 18.0, | 49.8 ± 20.0, |
| Range [Min, Max] | [22, 72] | [20, 69] |
| Eye OD (n, %) | (five, 71.4) | (two, 28.6) |
| Lesion location (n, %) | ||
| Superior | (one, 14.0) | (three, 42.9) |
| Inferior | (six, 86.0) | (four, 57.1) |
| Lesion size (mm) | ||
| Tumor diameter | 2.1 ± 0.2, | 1.9 ± 0.7, |
| Tumor thickness | 0.9 ± 0.4 | 1.12 ± 0.8 |
| Mean ± SD | ||
| Symptoms (n, %) | ||
| Incidental finding | (four, 57.1) | (five, 71.4) |
| Itching | (two, 28.6) | (one, 14.3) |
| Vision deterioration | (one, 14.3) | (one, 14.3) |
| Pathology (n, %) | ||
| Iris nevus | (six, 86.0) | (seven, 100.0) |
| Iris melanoma | (one, 14.0) | (zero, 0.0) |
| Lesion Type | Advantages of AS-OCT Imaging | Advantages of UBM Imaging |
|---|---|---|
| Amelanotic Lesions | High-resolution cross-sectional imaging; non-contact, faster procedure; better visualization of superficial structures. | Superior penetration through opaque media (e.g., dense corneal scars); provides better visualization of deeper structures, including ciliary body involvement; effective in assessing lesion thickness and internal reflectivity. |
| Melanotic Lesions | Can detect hyperreflective pigmentation and surface irregularities; allows differentiation from non-pigmented lesions. | Less light attenuation by pigmented tissues compared to AS-OCT, providing clearer structural details; can assess posterior extension and involvement of deeper structures like the sclera and ciliary body. |
| Name of Paper | Authors | Year | Ref | AS-OCT Imaging Findings | UBM Imaging Findings |
|---|---|---|---|---|---|
| Evaluation of Iris Melanoma with Anterior Segment Optical Coherence Tomography | Eren et al. | 2018 | [27] | Amelanotic lesions showed reflectivity equal to or lower than iris stroma; heterogeneous internal structure. | Low-to-moderate reflectivity, independent of pigmentation; clear posterior margin visualization. |
| Imaging of Anterior Segment Tumors: A Comparison of Ultrasound Biomicroscopy Versus Anterior Segment Optical Coherence Tomography | Kottaridou et al. | 2024 | [29] | Amelanotic lesions depicted with low to moderate reflectivity, distinct from highly reflective melanotic lesions. | Better visualization of all tumour margins and posterior surfaces; complete penetration of lesions. |
| A Pilot Study to Evaluate the Usefulness of Optical Coherence Tomography for Staging Iris Pigmented Lesions in Cats (extrapolated for human relevance) | Komatsu et al. | 2024 | [30] | Amelanotic lesions inferred to lack hyperreflective lines seen in pigmented lesions; thinner iris profile. | Not detailed for amelanotic specifically; generally high-resolution imaging of anterior segment. |
| Iris Melanoma: Features and Prognosis in 317 Children and Adults | Shields et al. | 2012 | [31] | Amelanotic lesions less reflective than pigmented; structural details visible but not specific to amelanotic lesions. | Low-to-moderate reflectivity; complete penetration showing lesion extent and ciliary body involvement. |
Disclaimer/Publisher’s Note: The statements, opinions and data contained in all publications are solely those of the individual author(s) and contributor(s) and not of MDPI and/or the editor(s). MDPI and/or the editor(s) disclaim responsibility for any injury to people or property resulting from any ideas, methods, instructions or products referred to in the content. |
© 2025 by the authors. Licensee MDPI, Basel, Switzerland. This article is an open access article distributed under the terms and conditions of the Creative Commons Attribution (CC BY) license (https://creativecommons.org/licenses/by/4.0/).
Share and Cite
Shemesh, R.; Moroz, I.; Neudorfer, M.; Vishnevskia-Dai, V. Yield of Multimodal Imaging in Iris Amelanotic Lesions: A Masked Case-Control Study. Diseases 2025, 13, 99. https://doi.org/10.3390/diseases13040099
Shemesh R, Moroz I, Neudorfer M, Vishnevskia-Dai V. Yield of Multimodal Imaging in Iris Amelanotic Lesions: A Masked Case-Control Study. Diseases. 2025; 13(4):99. https://doi.org/10.3390/diseases13040099
Chicago/Turabian StyleShemesh, Rachel, Iris Moroz, Meira Neudorfer, and Vicktoria Vishnevskia-Dai. 2025. "Yield of Multimodal Imaging in Iris Amelanotic Lesions: A Masked Case-Control Study" Diseases 13, no. 4: 99. https://doi.org/10.3390/diseases13040099
APA StyleShemesh, R., Moroz, I., Neudorfer, M., & Vishnevskia-Dai, V. (2025). Yield of Multimodal Imaging in Iris Amelanotic Lesions: A Masked Case-Control Study. Diseases, 13(4), 99. https://doi.org/10.3390/diseases13040099

