LSE-Net: Integrated Segmentation and Ensemble Deep Learning for Enhanced Lung Disease Classification
Abstract
1. Introduction
- A novel integrated deep learning framework (LSE-Net) combining U-Net++ segmentation and ensemble classification (DenseNet121 and ResNet50);
- Effective use of transfer learning to enhance segmentation precision and computational efficiency;
- Rigorous validation that demonstrates superior accuracy, robustness, and reduced overfitting.
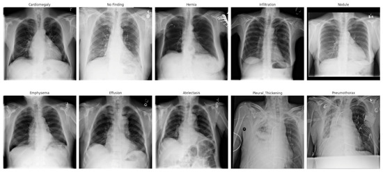
2. Dataset Description and Pre-Processing
3. Proposed Framework
3.1. Evaluation Metrics
3.2. Experimental Design
3.3. Experimental Results
4. Discussions
5. Conclusions
Author Contributions
Funding
Data Availability Statement
Conflicts of Interest
References
- Kieu, S.T.H.; Bade, A.; Hijazi, M.H.A.; Kolivand, H. A survey of deep learning for lung disease detection on medical images: State-of-the-art, taxonomy, issues and future directions. J. Imaging 2020, 6, 131. [Google Scholar] [CrossRef] [PubMed]
- Kumar, S.; Kumar, H.; Kumar, G.; Singh, S.P.; Bijalwan, A.; Diwakar, M. A methodical exploration of imaging modalities from dataset to detection through machine learning paradigms in prominent lung disease diagnosis: A review. BMC Med. Imaging 2024, 24, 30. [Google Scholar] [CrossRef] [PubMed]
- Jadhav, S.P.; Singh, H.; Hussain, S.; Gilhotra, R.; Mishra, A.; Prasher, P.; Krishnan, A.; Gupta, G. Introduction to lung diseases. In Targeting Cellular Signalling Pathways in Lung Diseases; Springer: Singapore, 2021; pp. 1–25. [Google Scholar]
- Castaneda, C.; Nalley, K.; Mannion, C.; Bhattacharyya, P.; Blake, P.; Pecora, A.; Goy, A.; Suh, K.S. Clinical decision support systems for improving diagnostic accuracy and achieving precision medicine. J. Clin. Bioinform. 2015, 5, 4. [Google Scholar] [CrossRef]
- Labaki, W.W.; Han, M.K. Chronic respiratory diseases: A global view. Lancet Respir. Med. 2020, 8, 531–533. [Google Scholar] [CrossRef]
- Mei, F.; Dalmartello, M.; Bonifazi, M.; Bertuccio, P.; Levi, F.; Boffetta, P.; Negri, E.; La Vecchia, C.; Malvezzi, M. Chronic obstructive pulmonary disease (COPD) mortality trends worldwide: An update to 2019. Respirology 2022, 27, 941–950. [Google Scholar] [CrossRef]
- Iheanacho, I.; Zhang, S.; King, D.; Rizzo, M.; Ismaila, A.S. Economic burden of chronic obstructive pulmonary disease (COPD): A systematic literature review. Int. J. Chronic Obstr. Pulm. Dis. 2020, 15, 439–460. [Google Scholar] [CrossRef]
- Duffy, S.W.; Field, J.K. Mortality reduction with low-dose CT screening for lung cancer. N. Engl. J. Med. 2020, 382, 572–573. [Google Scholar] [CrossRef]
- Pinto-Coelho, L. How artificial intelligence is shaping medical imaging technology: A survey of innovations and applications. Bioengineering 2023, 10, 1435. [Google Scholar] [CrossRef]
- Pfeiffer, D.; Pfeiffer, F.; Rummeny, E. Advanced X-ray imaging technology. In Molecular Imaging in Oncology; Springer: Cham, Switzerland, 2020; pp. 3–30. [Google Scholar]
- Al Mohammad, B.; Brennan, P.C.; Mello-Thoms, C. A review of lung cancer screening and the role of computer-aided detection. Clin. Radiol. 2017, 72, 433–442. [Google Scholar] [CrossRef]
- Yuan, R.; Vos, P.M.; Cooperberg, P.L. Computer-aided detection in screening CT for pulmonary nodules. Am. J. Roentgenol. 2006, 186, 1280–1287. [Google Scholar] [CrossRef]
- Ronneberger, O.; Fischer, P.; Brox, T. U-net: Convolutional networks for biomedical image segmentation. In Medical Image Computing and Computer-Assisted Intervention–MICCAI 2015: 18th International Conference, Munich, Germany, 5–9 October 2015, Proceedings, Part III 18; Springer International Publishing: Cham, Switzerland, 2015; pp. 234–241. [Google Scholar]
- Hu, Q.; Souza, L.F.D.F.; Holanda, G.B.; Alves, S.S.; Silva, F.H.D.S.; Han, T.; Reboucas Filho, P.P. An effective approach for CT lung segmentation using mask region-based convolutional neural networks. Artif. Intell. Med. 2020, 103, 101792. [Google Scholar] [CrossRef]
- Çiçek, Ö.; Abdulkadir, A.; Lienkamp, S.S.; Brox, T.; Ronneberger, O. 3D U-Net: Learning dense volumetric segmentation from sparse annotation. In Medical Image Computing and Computer-Assisted Intervention–MICCAI 2016: 19th International Conference, Athens, Greece, 17–21 October 2016, Proceedings, Part II 19; Springer International Publishing: Cham, Switzerland, 2016; pp. 424–432. [Google Scholar]
- Zhou, S.K.; Greenspan, H.; Shen, D. (Eds.) Deep Learning for Medical Image Analysis; Academic Press: Cambridge, MA, USA, 2023. [Google Scholar]
- Kim, M.; Yun, J.; Cho, Y.; Shin, K.; Jang, R.; Bae, H.J.; Kim, N. Deep learning in medical imaging. Neurospine 2019, 16, 657–668. [Google Scholar] [CrossRef] [PubMed]
- Hayat, M.; Ahmad, N.; Nasir, A.; Tariq, Z.A. Hybrid Deep Learning EfficientNetV2 and Vision Transformer (EffNetV2-ViT) Model for Breast Cancer Histopathological Image Classification. IEEE Access 2024, 12, 184119–184131. [Google Scholar] [CrossRef]
- Hage Chehade, A.; Abdallah, N.; Marion, J.-M.; Hatt, M.; Oueidat, M.; Chauvet, P. Advancing chest X-ray diagnostics: A novel CycleGAN-based preprocessing approach for enhanced lung disease classification in ChestXRay14. Comput. Methods Programs Biomed. 2025, 259, 108518. [Google Scholar] [CrossRef]
- Lee, J.G.; Jun, S.; Cho, Y.W.; Lee, H.; Kim, G.B.; Seo, J.B.; Kim, N. Deep learning in medical imaging: General overview. Korean J. Radiol. 2017, 18, 570–584. [Google Scholar] [CrossRef]
- Sun, W.; Zheng, B.; Qian, W. Computer aided lung cancer diagnosis with deep learning algorithms. In Medical Imaging 2016: Computer-Aided Diagnosis; SPIE: Bellingham, WA, USA, 2016; Volume 9785, pp. 241–248. [Google Scholar]
- Hamidian, S.; Sahiner, B.; Petrick, N.; Pezeshk, A. 3D convolutional neural network for automatic detection of lung nodules in chest CT. In Medical Imaging 2017: Computer-Aided Diagnosis; SPIE: Bellingham, WA, USA, 2017; Volume 10134, pp. 54–59. [Google Scholar]
- Aljabri, M.; AlAmir, M.; AlGhamdi, M.; Abdel-Mottaleb, M.; Collado-Mesa, F. Towards a better understanding of annotation tools for medical imaging: A survey. Multimed. Tools Appl. 2022, 81, 25877–25911. [Google Scholar] [CrossRef]
- Razzak, M.I.; Naz, S.; Zaib, A. Deep learning for medical image processing: Overview, challenges and the future. In Classification in BioApps: Automation of Decision Making; Springer: Cham, Switzerland, 2017; pp. 323–350. [Google Scholar]
- Yu, X.; Wang, J.; Hong, Q.Q.; Teku, R.; Wang, S.H.; Zhang, Y.D. Transfer learning for medical images analyses: A survey. Neurocomputing 2022, 489, 230–254. [Google Scholar] [CrossRef]
- Jaeger, S.; Karargyris, A.; Candemir, S.; Folio, L.; Siegelman, J.; Callaghan, F.; Xue, Z.; Palaniappan, K.; Singh, R.K.; Antani, S.; et al. Automatic tuberculosis screening using chest radiographs. IEEE Trans. Med. Imaging 2014, 33, 233–245. [Google Scholar] [CrossRef] [PubMed]
- Wang, X.; Peng, Y.; Lu, L.; Lu, Z.; Bagheri, M.; Summers, R.M. Chestx-ray8: Hospital-scale chest x-ray database and benchmarks on weakly-supervised classification and localization of common thorax diseases. In Proceedings of the IEEE Conference on Computer Vision and Pattern Recognition, Honolulu, HI, USA, 21–26 July 2017; pp. 2097–2106. [Google Scholar]
- Kuzinkovas, D.; Clement, S. The Detection of COVID-19 in Chest X-rays Using Ensemble CNN Techniques. Information 2023, 14, 370. [Google Scholar] [CrossRef]
- Nillmani Sharma, N.; Saba, L.; Khanna, N.N.; Kalra, M.K.; Fouda, M.M.; Suri, J.S. Segmentation-Based Classification Deep Learning Model Embedded with Explainable AI for COVID-19 Detection in Chest X-ray Scans. Diagnostics 2022, 12, 2132. [Google Scholar] [CrossRef]
- Zhou, Z.; Rahman Siddiquee, M.M.; Tajbakhsh, N.; Liang, J. Unet++: A nested u-net architecture for medical image segmentation. In Deep Learning in Medical Image Analysis and Multimodal Learning for Clinical Decision Support: 4th International Workshop, DLMIA 2018, and 8th International Workshop, ML-CDS 2018, Held in Conjunction with MICCAI 2018, Granada, Spain, 20 September 2018, Proceedings 4; Springer International Publishing: Cham, Switzerland, 2018; pp. 3–11. [Google Scholar]
- Vranay, D.; Hliboký, M.; Kovács, L.; Sinčák, P. Using Segmentation to Boost Classification Performance and Explainability in CapsNets. Mach. Learn. Knowl. Extr. 2024, 6, 1439–1465. [Google Scholar] [CrossRef]
- Rajaraman, S.; Yang, F.; Zamzmi, G.; Xue, Z.; Antani, S.K. Generalizability of Deep Adult Lung Segmentation Models to the Pediatric Population: A Retrospective Study. arXiv 2022, arXiv:2211.02475. [Google Scholar]
- Muhammad, D.; Bendechache, M. Unveiling the black box: A systematic review of Explainable Artificial Intelligence in medical image analysis. Comput. Struct. Biotechnol. J. 2024, 24, 542–560. [Google Scholar] [CrossRef] [PubMed]
- Schlemper, J.; Oktay, O.; Schaap, M.; Heinrich, M.; Kainz, B.; Glocker, B.; Rueckert, D. Attention gated networks: Learning to leverage salient regions in medical images. Med. Image Anal. 2019, 53, 197–207. [Google Scholar] [CrossRef]
- Mohammed, A.; Kora, R. A comprehensive review on ensemble deep learning: Opportunities and challenges. J. King Saud Univ.-Comput. Inf. Sci. 2023, 35, 757–774. [Google Scholar] [CrossRef]
- Regmi, S.; Subedi, A.; Tomar, N.K.; Bagci, U.; Jha, D. Vision transformer for efficient chest X-ray and gastrointestinal image classification. In Medical Imaging 2025: Computer-Aided Diagnosis; SPIE: Bellingham, WA, USA, 2025; Volume 13407, pp. 912–923. [Google Scholar]
- Liu, X.; Peng, H.; Zheng, N.; Yang, Y.; Hu, H.; Yuan, Y. Efficientvit: Memory efficient vision transformer with cascaded group attention. In Proceedings of the IEEE/CVF Conference on Computer Vision and Pattern Recognition, Vancouver, BC, Canada, 17–24 June 2023; pp. 14420–14430. [Google Scholar]
- Qezelbash-Chamak, J.; Hicklin, K. A Hybrid Learnable Fusion of ConvNeXt and Swin Transformer for Optimized Image Classification. IoT 2025, 6, 30. [Google Scholar] [CrossRef]








| Model Name | DSC Results | IoU Score |
|---|---|---|
| U-Net | 0.422 ± 0.07 | 0.321 ± 0.08 |
| Residual U-Net | 0.341 ± 0.06 | 0.256 ± 0.07 |
| U-Net++ | 0.59 ± 0.01 | 0.523 ± 0.07 |
| SegNet | 0.376 ± 0.05 | 0.275 ± 0.06 |
| Res UNet | 0.41 ± 0.01 | 0.30 ± 0.01 |
| Model Name | Accuracy | Recall | F1 Score | Precision |
|---|---|---|---|---|
| ResNet50 | 0.777 ± 0.003 | 0.797 ± 0.002 | 0.79 ± 0.004 | 0.768 ± 0.003 |
| VGG16 | 0.81 ± 0.003 | 0.791 ± 0.003 | 0.78 ± 0.003 | 0.785 ± 0.003 |
| InceptionV3 | 0.84 ± 0.0075 | 0.75 ± 0.008 | 0.79 ± 0.007 | 0.79 ± 0.008 |
| DenseNet121 | 0.79 ± 0.009 | 0.76 ± 0.009 | 0.772 ± 0.009 | 0.781 ± 0.009 |
| LSE-Net (Proposed) | 0.927 ± 0.005 | 0.967 ± 0.005 | 0.94 ± 0.005 | 0.917 ± 0.005 |
| Model | FPS (↑) | GPU Memory (MB) | Notes |
|---|---|---|---|
| ResNet50 | 140 | ~750 | Single-path CNN baseline |
| DenseNet121 | 120 | ~800 | Compact CNN baseline |
| LSE-Net (Ensemble) | 72 | ~1450 | Combines ResNet50 + DenseNet121 |
| Model (Class) | F1 Score | Accuracy | Recall | Precision |
|---|---|---|---|---|
| Atelectasis | 0.928 | 0.986 | 0.890 | 0.970 |
| Cardiomegaly | 0.919 | 0.984 | 0.924 | 0.915 |
| Consolidation | 0.925 | 0.985 | 0.925 | 0.925 |
| Effusion | 0.920 | 0.983 | 0.937 | 0.904 |
| Infiltration | 0.912 | 0.982 | 0.925 | 0.899 |
| Mass | 0.909 | 0.982 | 0.896 | 0.922 |
| No Finding | 0.888 | 0.976 | 0.928 | 0.851 |
| Nodule | 0.916 | 0.983 | 0.916 | 0.916 |
| Pleural Thickening | 0.930 | 0.986 | 0.909 | 0.952 |
| Pneumothorax | 0.944 | 0.990 | 0.939 | 0.948 |
Disclaimer/Publisher’s Note: The statements, opinions and data contained in all publications are solely those of the individual author(s) and contributor(s) and not of MDPI and/or the editor(s). MDPI and/or the editor(s) disclaim responsibility for any injury to people or property resulting from any ideas, methods, instructions or products referred to in the content. |
© 2025 by the authors. Licensee MDPI, Basel, Switzerland. This article is an open access article distributed under the terms and conditions of the Creative Commons Attribution (CC BY) license (https://creativecommons.org/licenses/by/4.0/).
Share and Cite
Basavaraju, B.K.; Masum, M. LSE-Net: Integrated Segmentation and Ensemble Deep Learning for Enhanced Lung Disease Classification. Electronics 2025, 14, 2407. https://doi.org/10.3390/electronics14122407
Basavaraju BK, Masum M. LSE-Net: Integrated Segmentation and Ensemble Deep Learning for Enhanced Lung Disease Classification. Electronics. 2025; 14(12):2407. https://doi.org/10.3390/electronics14122407
Chicago/Turabian StyleBasavaraju, Bhavan Kumar, and Mohammad Masum. 2025. "LSE-Net: Integrated Segmentation and Ensemble Deep Learning for Enhanced Lung Disease Classification" Electronics 14, no. 12: 2407. https://doi.org/10.3390/electronics14122407
APA StyleBasavaraju, B. K., & Masum, M. (2025). LSE-Net: Integrated Segmentation and Ensemble Deep Learning for Enhanced Lung Disease Classification. Electronics, 14(12), 2407. https://doi.org/10.3390/electronics14122407

