Cryptographic Encryption and Optimization for Internet of Things Based Medical Image Security
Abstract
1. Introduction
2. Literature Survey
3. Proposed Method
3.1. Medical Image Transmission in IoT
3.2. Key Generation Stage
3.2.1. Initialization Process
3.2.2. Hostile Orchestration for Key Generations
3.3. Image Encryption Process
| Algorithm 1: Image encryption pseudocode |
Examine the image’s size. Find the Arnold map’s a and b using Equations (5) and (6) using RSA. and Create the two important streams S and R using Equations (7) and (8) Get X and Y by sorting a row and a column from S. //Perform XOR diffusion operations //Confusion on the row direction //Confusion on the column direction //Perform additive mode diffusion operation Output: encryption image C |
3.4. Image Description Process
| Algorithm 2: Pseudocode of image decryption |
for Arnold map by Equations (5) and (6) by Equations (7) and (8) end end |
3.5. Key Optimization Using Bloom Breeding Optimization
3.5.1. Initial Bloom Explanation Generation (Keys)
3.5.2. Obstruction Solution for Bloom Breeding Optimization
3.5.3. Fitness Evaluation
3.5.4. Update New Key Solution for Bloom Breeding Optimization
3.5.5. Stop Criteria
3.6. Optimal Key-Based Signcryption Stage
- (i)
- Choose the range for the sender value .
- (ii)
- The recipient’s best public key () is used to find the sender’s hash function, which converts the sender’s 128-bit plain image into two 64-bit hash outputs ( and ).
- (iii)
- The image is encrypted using the encryption E process from this hash, and the result is a cypher image () with a 64-bit output value.
- (iv)
- The sender then uses the restricted keyed hash function KHf’s () value to obtain the image’s hash. Additionally, this output value is considered to be ().
- (v)
- Using the public key and prime factor values, the sender finally calculates the encrypted image, which is represented by:
3.7. De-Signcryption Process
- (i)
- Sender values ( and ) recipients private key (), recipient public key (), and to create a hash that would produce 128 bits.
- (ii)
- The 128-bit output is divided into two 64-bit parts, much like a sign-encryption operation, which would show the (, ) key match. This key combination and the key match used to sign the image would be identical, making it impossible to tell them apart.
- (iii)
- The image is then provided by the receiver after using the key to decode the cypher image .
4. Performance Measure
4.1. Peak Signal-to-Noise Ratio
4.2. Mean Square Error
4.3. Bit Error Rate
4.4. Structural Similarity Index (SSI)
4.5. Correlation Coefficient
5. Results and Analysis
6. Conclusions
Author Contributions
Funding
Institutional Review Board Statement
Informed Consent Statement
Data Availability Statement
Conflicts of Interest
References
- Ali, Z.; Hossain, M.S.; Muhammad, G.; Sangaiah, A.K. An intelligent healthcare system for detection and classifcation to discriminate vocal fold disorders. Future Gener. Comput. Syst. 2018, 85, 19–28. [Google Scholar] [CrossRef]
- Jagadeeswari, V.; Subramaniyaswamy, V.; Logesh, R.; Vijayakumar, V. A study on medical Internet of Things and Big Data in personalized healthcare system. Health Inf. Sci. Syst. 2018, 6, 14. [Google Scholar] [CrossRef] [PubMed]
- Topol, E. Deep Medicine: How Artificial Intelligence Can Make Healthcare Human Again; Basic Books: Hachette, UK, 2019. [Google Scholar]
- Javaid, M.; Ibrahim, H.K. Internet of Things (IoT) enabled healthcare helps to take the challenges of COVID-19 Pandemic. J. Oral Biol. Craniofac. Res. 2021, 11, 209–214. [Google Scholar] [CrossRef] [PubMed]
- Peris-Lopez, P.; Gonzalez-Manzano, L.; Camara, C.; de Fuentes, J.M. Effect of attacker characterization in ECG-based continuous authentication mechanisms for internet of things. Future Gener. Comput. Syst 2018, 81, 67–77. [Google Scholar]
- Hatzivasilis, G.; Othonas, S.; Sotiris, I.; Christos, V.; Giorgos, D.; Christos, T. Review of security and privacy for the Internet of Medical Things (IoMT). In Proceedings of the 2019 15th International Conference on Distributed Computing in Sensor Systems (DCOSS), Santorini Island, Greece, 29–31 May 2019; pp. 457–464. [Google Scholar]
- Shen, M.; Yawen, D.; Liehuang, Z.; Xiaojiang, D.; Nadra, G. Privacy-preserving image retrieval for medical IoT systems: A blockchain-based approach. IEEE Netw. 2019, 33, 27–33. [Google Scholar] [CrossRef]
- Alsaffar, M.; Gharbi, A.; Abdullah, A.; Saud, A.; Tariq, S.; Almurayziq, A.; Abdullah, H.; Vishal, K.; Assaye, B. Detection of tuberculosis disease using image processing technique. Mob. Inf. Syst. 2021, 2021, 7424836. [Google Scholar] [CrossRef]
- Wen, H.; Liu, Z.; Lai, H.; Zhang, C.; Liu, L.; Yang, J.; Lin, Y.; Li, Y.; Liao, Y.; Ma, L.; et al. Secure DNA-coding image optical communication using non-degenerate hyperchaos and dynamic secret-key. Mathematics 2022, 10, 3180. [Google Scholar] [CrossRef]
- Mou, J.; Yang, F.; Chu, R.; Cao, Y. Image compression and encryption algorithm based on hyper-chaotic map. Mob. Netw. Appl. 2021, 26, 1849–1861. [Google Scholar] [CrossRef]
- Poornima, E.; Srinivasulu, S.; Dileep Kumar, P.R.; Ramesh, G. A Generic Framework for Sharing Data Using Attribute Based Cryptography in Hybrid Cloud. Int. J. Intell. Syst. Appl. Eng. 2022, 10, 634–640. [Google Scholar]
- Abdulbaqi, A.S.; Ahmed, J.O.; Alyaa, H.M. ECG signals recruitment to implement a new technique for medical image encryption. J. Discret. Math. Sci. Cryptogr. 2021, 24, 1663–1673. [Google Scholar] [CrossRef]
- Shen, Y.; Tang, C.; Xu, M.; Lei, Z. Optical selective encryption based on the FRFCM algorithm and face biometric for the medical image. Opt. Laser Technol. 2021, 138, 106911. [Google Scholar] [CrossRef]
- Alassaf, N.; Adnan, G.; Shabir, A.P.; Manal Al, G. Enhancing speed of SIMON: A light-weight-cryptographic algorithm for IoT applications. Multimed. Tools Appl. 2019, 78, 32633–32657. [Google Scholar] [CrossRef]
- Moraes, J.L.; Rocha, M.X.; Vasconcelos, G.G.; Vasconcelos, F.J.E.; de Albuquerque, V.H.C. Advances in photopletysmography signal analysis for biomedical applications. Sensors 2018, 18, 1894. [Google Scholar] [CrossRef]
- Shehab, A.; Elhoseny, M.; Muhammad, K.; Sangaiah, A.K.; Yang, P.; Huang, H.; Hou, G. Secure and robust fragile watermarking scheme for medical images. IEEE Access 2018, 6, 10269–10278. [Google Scholar] [CrossRef]
- Buvana, M.; Muthumayil, K.; Jayasankar, T. Content-based image retrieval based on hybrid feature extraction and feature selection technique pigeon inspired based optimization. Ann. Rom. Soc. Cell Biol. 2021, 25, 424–443. [Google Scholar]
- Zeng, J.; Wang, C. A novel hyperchaotic image encryption system based on particle swarm optimization algorithm and cellular automata. Secur. Commun. Netw. 2021, 2021, 6675565. [Google Scholar] [CrossRef]
- Dhawan, S.; Chinmay, C.; Jaroslav, F.; Rashmi, G.; Arun, K.R.; Subhendu, K.P. SSII: Secured and high-quality steganography using intelligent hybrid optimization algorithms for IoT. IEEE Access 2021, 9, 87563–87578. [Google Scholar] [CrossRef]
- Suresh, S.; Bhavani, H.R.; Hanumanthappa, M. A Secured Cloud-Based Framework for Image Processing Using Ant Colony Optimization. In Rising Threats in Expert Applications and Solutions; Springer: Singapore, 2021; pp. 211–221. [Google Scholar]
- Pathak, Y.; Arya, K.V.; Tiwari, S. Feature selection for image steganalysis using levy flight-based grey wolf optimization. Multimed. Tools Appl. 2019, 78, 1473–1494. [Google Scholar] [CrossRef]
- Elhoseny, M.; Shankar, K. Optimal bilateral filter and convolutional neural network based denoising method of medical image measurements. Measurement 2019, 143, 125–135. [Google Scholar] [CrossRef]
- Qin, J.; Li, H.; Xiang, X.; Tan, Y.; Pan, W.; Ma, W.; Xiong, N.N. An encrypted image retrieval method based on Harris corner optimization and LSH in cloud computing. IEEE Access 2019, 7, 24626–24633. [Google Scholar] [CrossRef]
- Qureshi, M.B.; Qureshi, M.S.; Tahir, S.; Anwar, A.; Hussain, S.; Uddin, M.; Chen, C.-L. Encryption Techniques for Smart Systems Data Security Offloaded to the Cloud. Symmetry 2022, 14, 695. [Google Scholar] [CrossRef]
- Hussain, S.; Ullah, S.S.; Uddin, M.; Iqbal, J.; Chen, C.-L. A Comprehensive Survey on Signcryption Security Mechanisms in Wireless Body Area Networks. Sensors 2022, 22, 1072. [Google Scholar] [CrossRef] [PubMed]
- Hussain, S.; Ullah, S.S.; Shorfuzzaman, M.; Uddin, M.; Kaosar, M. Cryptanalysis of an online/offline certificateless signature scheme for internet of health things. Intell. Autom. Soft Comput. 2021, 30, 983–993. [Google Scholar] [CrossRef]
- Reegu, F.A.; Abas, H.; Jabbari, A.; Akmam, R.; Uddin, M.; Wu, C.M.; Chin-Ling, C.; Khalaf, O.I. Interoperability Requirements for Blockchain-Enabled Electronic Health Records in Healthcare: A Systematic Review and Open Research Challenges. Secur. Commun. Netw. 2022, 2022, 9227343. [Google Scholar] [CrossRef]
- Uddin, M.; Memon, M.S.; Memon, I.; Ali, I.; Memon, J.; Abdelhaq, M.; Alsaqour, R. Hyperledger Fabric Blockchain: Secure and Efficient Solution for Electronic Health Records. Comput. Mater. Contin. 2021, 68, 2377–2397. [Google Scholar] [CrossRef]
- Shankar, K.; Lakshmanaprabu, S.K. Optimal key based homomorphic encryption for color image security aid of ant lion optimization algorithm. Int. J. Eng. Technol. 2018, 7, 22–27. [Google Scholar]
- Lai, W.C.; Srividhya, S.R. A Modified LBP Operator-Based Optimized Fuzzy Art Map Medical Image Retrieval System for Disease Diagnosis and Prediction. Biomedicines 2022, 10, 2438. [Google Scholar] [CrossRef]









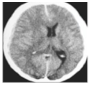
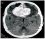
| Images | Encrypted Image | PSNR | MSE | BER | SSI | CC |
|---|---|---|---|---|---|---|
![]() | ![]() | 59.23 | 0.12 | 0 | 1 | 0.95 |
![]() | ![]() | 58.22 | 0.09 | 0 | 1 | 1 |
![]() | ![]() | 59.34 | 0.15 | 0.01 | 1 | 0.98 |
![]() | ![]() | 63.25 | 0.10 | 0 | 0.01 | 0.96 |
![]() | ![]() | 59.64 | 0.12 | 0.98 | 0.02 | 0.97 |
![]() | ![]() | 60.36 | 0.11 | 1 | 0 | 1 |
Disclaimer/Publisher’s Note: The statements, opinions and data contained in all publications are solely those of the individual author(s) and contributor(s) and not of MDPI and/or the editor(s). MDPI and/or the editor(s) disclaim responsibility for any injury to people or property resulting from any ideas, methods, instructions or products referred to in the content. |
© 2023 by the authors. Licensee MDPI, Basel, Switzerland. This article is an open access article distributed under the terms and conditions of the Creative Commons Attribution (CC BY) license (https://creativecommons.org/licenses/by/4.0/).
Share and Cite
Selvaraj, J.; Lai, W.-C.; Kavin, B.P.; C., K.; Seng, G.H. Cryptographic Encryption and Optimization for Internet of Things Based Medical Image Security. Electronics 2023, 12, 1636. https://doi.org/10.3390/electronics12071636
Selvaraj J, Lai W-C, Kavin BP, C. K, Seng GH. Cryptographic Encryption and Optimization for Internet of Things Based Medical Image Security. Electronics. 2023; 12(7):1636. https://doi.org/10.3390/electronics12071636
Chicago/Turabian StyleSelvaraj, Jeeva, Wen-Cheng Lai, Balasubramanian Prabhu Kavin, Kavitha C., and Gan Hong Seng. 2023. "Cryptographic Encryption and Optimization for Internet of Things Based Medical Image Security" Electronics 12, no. 7: 1636. https://doi.org/10.3390/electronics12071636
APA StyleSelvaraj, J., Lai, W.-C., Kavin, B. P., C., K., & Seng, G. H. (2023). Cryptographic Encryption and Optimization for Internet of Things Based Medical Image Security. Electronics, 12(7), 1636. https://doi.org/10.3390/electronics12071636













