Formulating O/W Emulsions with Plant-Based Actives: A Stability Challenge for an Effective Product
Abstract
:1. Introduction
2. Materials and Methods
2.1. Materials
2.2. Emulsion Preparation (Undisclosed Formula)
2.3. Rheological Characterization
2.4. Optical Microscopy
2.5. Stability Testing
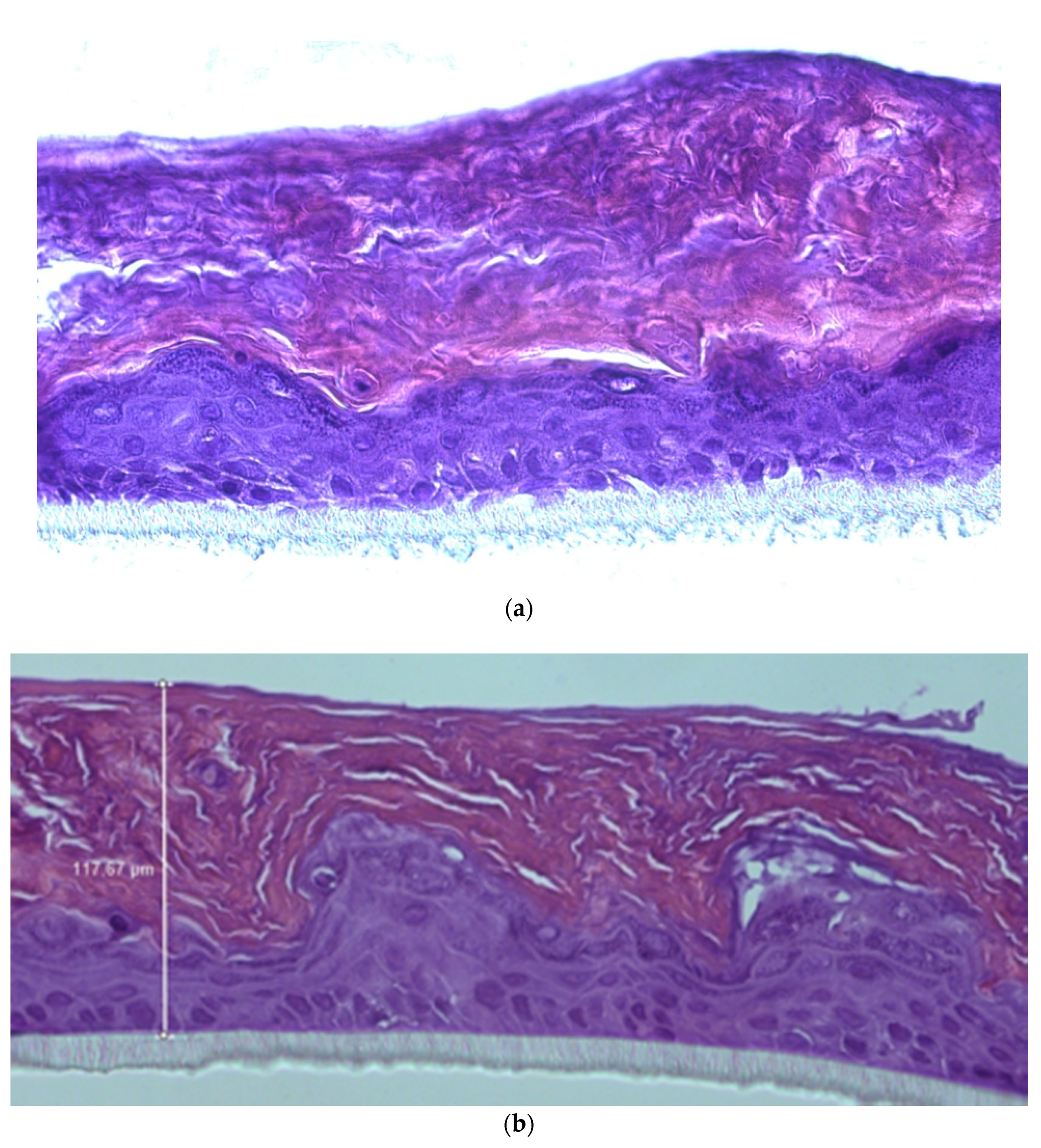
2.6. Re-Epithelizing Efficacy on RHE with Impaired Barrier Function
3. Results and Discussion
3.1. Rheological Measurements
3.2. Re-Epithelizing Efficacy on RHE with Impaired Barrier Function
4. Conclusions
Author Contributions
Funding
Conflicts of Interest
References
- Amit, G.; Ashawat, M.S.; Shailendra, S.; Swarnlata, S. Phytosome: A novel approach towards functional cosmetics. J. Plant Sci. 2007, 2, 644–649. [Google Scholar]
- Cosmetics Europe: Guidelines on Stability Testing of Cosmetic Products, 2004. Available online: https://www.cosmeticseurope.eu/files/5914/6407/8121/Guidelines_on_Stability_Testing_of_Cosmetics_CE-CTFA_-_2004.pdf (accessed on 8 October 2018).
- Laba, D. Rheological Properties of Cosmetics and Toiletries; Marcel Dekker, Inc.: New York, NY, USA; Basel, Switzerland, 1993. [Google Scholar]
- Brummer, R.; Godersky, S. Rheological studies to objectify sensations occurring when cosmetic emulsions are applied to the skin. Colloids Surf. A Physicochem. Eng. Asp. 1999, 152, 89–94. [Google Scholar] [CrossRef]
- Lukic, M.; Jaksic, I.; Krstonosic, V.; Cekic, N.; Savic, S. A combined approach in characterization of an effective w/o hand cream: the influence of emollient on textural, sensorial and in vivo skin performance. Int. J. Cosmet. Sci. 2012, 2, 140–149. [Google Scholar] [CrossRef] [PubMed]
- Lukic, M.; Jaksic, I.; Krstonosic, V.; Dokic, L.; Savic, S. Effect of Small Change in Oil Phase Composition on Rheological and Textural Properties of w/o Emulsion. J. Text. Stud. 2013, 44, 34–44. [Google Scholar] [CrossRef]
- Gilbert, L.; Picard, C.; Savary, G.; Grisel, M. Rheological and textural characterization of cosmetic emulsions containing natural and synthetic polymers: relationships between both data. Colloids Surf. A Physiochem. Eng. Asp. 2013, 421, 150–163. [Google Scholar] [CrossRef]
- Estanqueiro, M.; Amaral, M.H.; Sousa Lobo, J.M. Comparison between sensory and instrumental characterization of topical formulations: impact of thickening agent. Int. J. Cosmet. Sci. 2016, 38, 389–398. [Google Scholar] [CrossRef] [PubMed]
- Calixto, M.S.; Maia Campos, P.M.B.G. Physical–Mechanical characterization of cosmetic formulations and correlation between instrumental measurements and sensorial properties. Int. J. Cosmet. Sci. 2017, 39, 527–534. [Google Scholar] [CrossRef] [PubMed]
- Tafuro, G.; Costantini, A.; Baratto, G.; Busata, L.; Semenzato, A. Sensory texture properties of skin-care formulations: rheological and textural measurements for the characterization of finished products. In Proceedings of the 30th IFSCC Congress, Munich, Germany, 18–21 September 2018. [Google Scholar]
- Barnes, H.A. Rheology of emulsions—A review. Colloids Surf. A Physiochem. Eng. Asp. 1994, 91, 89–95. [Google Scholar] [CrossRef]
- Tadros, T.F. Emulsion Formation and Stability, 1st ed.; Wiley-VCH: Weinheim, Germany, 2012. [Google Scholar]
- Brummer, R.; Griebenow, M.; Hetzel, F.; Schlesiger, V.; Uhlmann, R. Rheological swing test to predict the temperature stability of cosmetic emulsions. In Proceedings of the 21st IFSCC Congress, Berlin, Germany, 11–14 September 2000. [Google Scholar]
- Semenzato, A.; Zantomio, F.; Lovrecich, M.; Bettero, A.; Meloni, M. Rheology: A new approach for stability testing and formulation development. In Proceedings of the 21st IFSCC Congress, Berlin, Germany, 11–14 September 2000. [Google Scholar]
- Semenzato, A.; Targhetta, F.; Gatti, S.; Corsi, C. Rheology as a power tool for optimizing stability of sunscreen products. In Proceedings of the XII Convegno Nazionale di Reologia, Ustica, Italy, 3–6 July 2012. [Google Scholar]
- Togni, S.; Maramaldi, G.; Bonetta, A.; Giacomelli, L.; Di Pierro, F. Clinical evaluation of safety and efficacy of Boswellia-based cream for prevention of adjuvant radiotherapy skin damage in mammary carcinoma: A randomized placebo controlled study. Eur. Rev. Med. Pharmacol. Sci. 2015, 19, 1338–1344. [Google Scholar] [PubMed]
- Sing, S.; Khajuria, A.; Taneja, S.C.; Johri, R.K.; Singh, J.; Qazi, G.N. Boswellic acids: A leukotriene inhibitor effective also in topical application in inflammatory disorders. Phytomedicine 2008, 15, 400–407. [Google Scholar] [CrossRef] [PubMed]
- Traynor, M.P.; Burke, R.; Frias, J.M.; Gaston, E.; Barry-Ryan, C. Formation and stability of an oil in water emulsion containing lecithin, Xantham Gum and Sunflower Oil. Int. Food Res. J. 2013, 20, 2173–2178. [Google Scholar]
- Artaria, C.; Maramaldi, G.; Bonfigli, A.; Rigano, L.; Appendino, G. Lifting properties of the alkamide fraction from the fruit husks of Zanthoxylum bungeanum. Int. J. Cosmet. Sci. 2011, 33, 328–333. [Google Scholar] [CrossRef] [PubMed]
- Rao, Y.S.; Mathew, K.M. Tamarind Tamarindus indica L. research—A review. Indian J. Arecanut Spices Med. Plants 1999, 1, 127–145. [Google Scholar]
- Semenzato, A.; Costantini, A.; Baratto, G. Green Polymers in Personal Care Products: Rheological Properties of Tamarind Seed Polysaccharide. Cosmetics 2015, 2, 1–10. [Google Scholar] [CrossRef]
- Yasuda, K.; Armstrong, R.C.; Cohen, R.E. Shear flow properties of concentrated solutions of linear and star branched polystyrenes. Rheol. Acta 1981, 20, 163–178. [Google Scholar] [CrossRef]







| Sample | Bosexil® (% w/w) | Cosmedia® (% w/w) |
|---|---|---|
| CX0 | 0 | 0 |
| CX0.5 | 0.5 | 0 |
| CX1 | 1 | 0 |
| CX2 | 2 | 0 |
| CX1Y0.3 | 1 | 0.3 |
| CX1Y0.5 | 1 | 0.5 |
| CX1.5Y0.3 | 1.5 | 0.3 |
| CX2Y0.3 | 2 | 0.3 |
© 2018 by the authors. Licensee MDPI, Basel, Switzerland. This article is an open access article distributed under the terms and conditions of the Creative Commons Attribution (CC BY) license (http://creativecommons.org/licenses/by/4.0/).
Share and Cite
Semenzato, A.; Costantini, A.; Meloni, M.; Maramaldi, G.; Meneghin, M.; Baratto, G. Formulating O/W Emulsions with Plant-Based Actives: A Stability Challenge for an Effective Product. Cosmetics 2018, 5, 59. https://doi.org/10.3390/cosmetics5040059
Semenzato A, Costantini A, Meloni M, Maramaldi G, Meneghin M, Baratto G. Formulating O/W Emulsions with Plant-Based Actives: A Stability Challenge for an Effective Product. Cosmetics. 2018; 5(4):59. https://doi.org/10.3390/cosmetics5040059
Chicago/Turabian StyleSemenzato, Alessandra, Alessia Costantini, Marisa Meloni, Giada Maramaldi, Martino Meneghin, and Gianni Baratto. 2018. "Formulating O/W Emulsions with Plant-Based Actives: A Stability Challenge for an Effective Product" Cosmetics 5, no. 4: 59. https://doi.org/10.3390/cosmetics5040059
APA StyleSemenzato, A., Costantini, A., Meloni, M., Maramaldi, G., Meneghin, M., & Baratto, G. (2018). Formulating O/W Emulsions with Plant-Based Actives: A Stability Challenge for an Effective Product. Cosmetics, 5(4), 59. https://doi.org/10.3390/cosmetics5040059

