Water-Soluble Organic Germanium Promotes Both Cornified Cell Envelope Formation and Ceramide Synthesis in Cultured Keratinocytes
Abstract
1. Introduction
2. Materials and Methods
2.1. Materials
2.2. Effects of GeOH on the Protein Levels of TGase1, Involucrin, and SPTLC2 in Cultured Epidermal Keratinocytes
2.3. Effects of GeOH on the mRNA Expression Levels of TGase1 and Involucrin in Cultured Epidermal Keratinocytes
2.4. Measurement of TGase Activity Using a Biotin-Bound Substrate
2.5. Effects of GeOH on CE Formation in Cultured Epidermal Keratinocytes
2.6. Three-Dimensional Culture of Human Epidermis
2.7. Immunohistochemical Staining
2.8. Measurement of the Amount of Ceramide in the Epidermis Model Using Silica Gel Thin-Layer Chromatography
2.9. Effects of GeOH on the Levels of Ceramides in the Epidermis Models
2.10. Effects of GeOH on the mRNA Expression Levels of Ceramide Synthesis Genes in the Epidermis Models
2.11. Measurement of SPTLC Activity in Cultured Epidermal Keratinocytes by High-Performance Liquid Chromatography (HPLC)
2.12. Data Analysis
3. Results
3.1. Effects of GeOH on the Expression of Keratinization-Related Proteins in Cultured Epidermal Keratinocytes
3.2. Effects of GeOH on the mRNA Expression Levels of TGase1 and Involucrin in Cultured Epidermal Keratinocytes
3.3. Effects of GeOH on TGase Activity in Cultured Epidermal Keratinocytes
3.4. Effects of GeOH on the Expression of TGase1 in a Three-Dimensional Human Epidermis Model
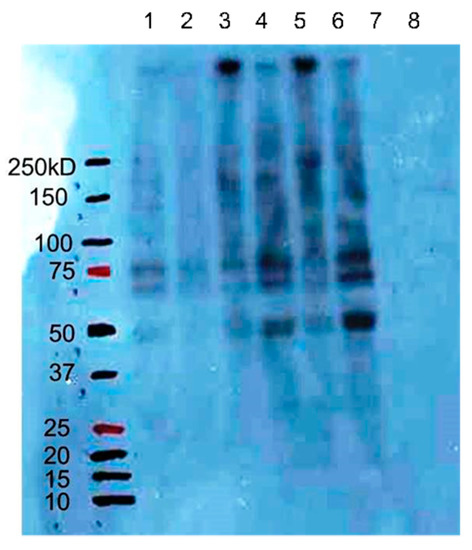
3.5. Effects of GeOH on CE Formation in Cultured Epidermal Keratinocytes
3.6. Effects of GeOH on the Amount of Ceramide in the Epidermis Model
3.7. Effect of GeOH on the mRNA Expression Levels of Ceramide Synthesis Genes in the Epidermis Model
3.8. Effects of GeOH on the Levels and Activity of SPTLC in Cultured Epidermal Keratinocytes
4. Discussion
5. Conclusions
Acknowledgments
Author Contributions
Conflicts of Interest
References
- Elias, P.M. Stratum corneum defensive functions: An integrated view. J. Investig. Dermatol. 2005, 125, 183–200. [Google Scholar] [CrossRef] [PubMed]
- Norlén, L.; Nicander, I.; Rozell, B.L.; Ollmar, S.; Forslind, B. Inter- and intra-individual differences in human stratum corneum lipid content related to physical parameters of skin barrier function in vivo. J. Investig. Dermatol. 1999, 112, 72–77. [Google Scholar] [CrossRef] [PubMed]
- Holleran, W.M.; Feingold, K.R.; Man, M.Q.; Gao, W.N.; Lee, J.M.; Elias, P.M. Regulation of epidermal sphingolipid synthesis by permeability barrier function. J. Lipid Res. 1991, 32, 1151–1158. [Google Scholar] [PubMed]
- Rogers, J.; Harding, C.; Mayo, A.; Banks, J.; Rawlings, A. Stratum corneum lipids: The effect of ageing and the seasons. Arch. Dermatol. Res. 1996, 288, 765–770. [Google Scholar] [CrossRef] [PubMed]
- Matsuki, M.; Yamashita, F.; Ishida-Yamamoto, A.; Yamada, K.; Kinoshita, C.; Fushiki, S.; Ueda, E.; Morishima, Y.; Tabata, K.; Yasuno, H.; et al. Defective stratum corneum and early neonatal death in mice lacking the gene for transglutaminase 1 (keratinocyte transglutaminase). Proc. Natl. Acad. Sci. USA 1998, 95, 1044–1049. [Google Scholar] [CrossRef] [PubMed]
- Candi, E.; Schmidt, R.; Melino, G. The cornified envelope: A model of cell death in the skin. Nat. Rev. Mol. Cell Biol. 2005, 6, 328–340. [Google Scholar] [CrossRef] [PubMed]
- Griffin, M.; Casadio, R.; Bergamini, C.M. Transglutaminases: Nature’s biological glues. Biochem. J. 2002, 368, 377–396. [Google Scholar] [CrossRef] [PubMed]
- Lorand, L.; Graham, R.M. Transglutaminases: Crosslinking enzymes with pleiotropic functions. Nat. Rev. Mol. Cell Biol. 2003, 4, 140–156. [Google Scholar] [CrossRef] [PubMed]
- Nemes, Z.; Marekov, L.N.; Fésüs, L.; Steinert, P.M. A novel function for transglutaminase 1: Attachment of long-chain omega-hydroxyceramides to involucrin by ester bond formation. Proc. Natl. Acad. Sci. USA 1999, 96, 8402–8407. [Google Scholar] [CrossRef] [PubMed]
- Behne, M.; Uchida, Y.; Seki, T.; de Montellano, P.O.; Elias, P.M.; Holleran, W.M. Omega-hydroxyceramides are required for corneocyte lipid envelope (CLE) formation and normal epidermal permeability barrier function. J. Investig. Dermatol. 2000, 114, 185–192. [Google Scholar] [CrossRef] [PubMed]
- Stachowitz, S.; Alessandrini, F.; Abeck, D.; Ring, J.; Behrendt, H. Permeability barrier disruption increases the level of serine palmitoyltransferase in human epidermis. J. Investig. Dermatol. 2002, 119, 1048–1052. [Google Scholar] [PubMed]
- Doering, T.; Brade, H.; Sandhoff, K. Sphingolipid metabolism during epidermal barrier development in mice. J. Lipid Res. 2002, 43, 1727–1733. [Google Scholar] [CrossRef] [PubMed]
- Hamanaka, S.; Hara, M.; Nishio, H.; Otsuka, F.; Suzuki, A.; Uchida, Y. Human epidermal glucosylceramides are major precursors of stratum corneum ceramides. J. Investig. Dermatol. 2002, 119, 416–423. [Google Scholar] [CrossRef] [PubMed]
- Yamaguchi, H.; Shimada, Y.; Takeda, T.; Nakamura, T.; Mano, N. A novel extraction method based on a reversible chemical conversion for the LC/MS/MS analysis of the stable organic germanium compound Ge-132. Anal. Chem. 2015, 87, 2042–2047. [Google Scholar] [CrossRef] [PubMed]
- Mino, Y.; Oto, N.; Sakao, S.; Shimomura, S. Determination of germanium in medicinal plants by atomic absorption spectrometry with electrothermal atomization. Chem. Pharm. Bull. 1980, 28, 2687–2691. [Google Scholar] [CrossRef] [PubMed]
- Akiba, M.; Kakimoto, N. Synthesis and properties of poly[3,3′-(1,3-dioxo-1,3-digermoxanediyl) bispropanoic acid] (Ge-132) and related compounds as bioactive organogermanium compound. J. Chem. Soc. Jpn. Chem. Ind. Chem. 1994, 3, 286–300. (In Japanese) [Google Scholar]
- Zhang, J.; Lesort, M.; Guttmann, R.P.; Johnson, G.V. Modulation of the in situ activity of tissue transglutaminase by calcium and GTP. J. Biol. Chem. 1998, 273, 2288–2295. [Google Scholar] [CrossRef] [PubMed]
- Murakami, M.; Hyodo, S.; Fujikawa, Y.; Fujimoto, T.; Maeda, K. Photoprotective effects of inclusion complexes of fullerenes with polyvinylpyrrolidone. Photodermatol. Photoimmunol. Photomed. 2013, 29, 196–203. [Google Scholar] [CrossRef] [PubMed]
- Rütti, M.F.; Richard, S.; Penno, A.; von Eckardstein, A.; Hornemann, T. An improved method to determine serine palmitoyltransferase activity. J. Lipid Res. 2009, 50, 1237–1244. [Google Scholar] [CrossRef] [PubMed]
- Baker, A.R.; Silva, N.F.; Quinn, D.W.; Harte, A.L.; Pagano, D.; Bonser, R.S.; Kumar, S.; McTernan, P.G. Human epicardial adipose tissue expresses a pathogenic profile of adipocytokines in patients with cardiovascular disease. Cardiovasc. Diabetol. 2006, 5, 1. [Google Scholar] [CrossRef] [PubMed]
- Kragballe, K.; Wildfang, I.L. Calcipotriol (MC 903), a novel vitamin D3 analogue stimulates terminal differentiation and inhibits proliferation of cultured human keratinocytes. Arch. Dermatol. Res. 1990, 282, 164–167. [Google Scholar] [CrossRef] [PubMed]
- Steinert, P.M.; Marekov, L.N. The proteins elafin, filaggrin, keratin intermediate filaments, loricrin, and small proline-rich proteins 1 and 2 are isodipeptide cross-linked components of the human epidermal cornified cell envelope. J. Biol. Chem. 1995, 270, 17702–17711. [Google Scholar] [CrossRef] [PubMed]
- Törmä, H.; Lindberg, M.; Berne, B. Skin barrier disruption by sodium lauryl sulfate-exposure alters the expressions of involucrin, transglutaminase 1, profilaggrin, and kallikreins during the repair phase in human skin in vivo. J. Investig. Dermatol. 2008, 128, 1212–1219. [Google Scholar] [CrossRef] [PubMed]
- Lim, D.H.; Li, M.; Seo, J.A.; Lim, K.M.; Ham, S.W. A novel organogermanium protected atopic dermatitis induced by oxazolone. Bioorg. Med. Chem. Lett. 2010, 20, 4032–4034. [Google Scholar] [CrossRef] [PubMed]








© 2017 by the authors. Licensee MDPI, Basel, Switzerland. This article is an open access article distributed under the terms and conditions of the Creative Commons Attribution (CC BY) license (http://creativecommons.org/licenses/by/4.0/).
Share and Cite
Kato, M.; Zeng, H.; Gu, L.; Maeda, K. Water-Soluble Organic Germanium Promotes Both Cornified Cell Envelope Formation and Ceramide Synthesis in Cultured Keratinocytes. Cosmetics 2017, 4, 33. https://doi.org/10.3390/cosmetics4030033
Kato M, Zeng H, Gu L, Maeda K. Water-Soluble Organic Germanium Promotes Both Cornified Cell Envelope Formation and Ceramide Synthesis in Cultured Keratinocytes. Cosmetics. 2017; 4(3):33. https://doi.org/10.3390/cosmetics4030033
Chicago/Turabian StyleKato, Megumi, Haifeng Zeng, Lihao Gu, and Kazuhisa Maeda. 2017. "Water-Soluble Organic Germanium Promotes Both Cornified Cell Envelope Formation and Ceramide Synthesis in Cultured Keratinocytes" Cosmetics 4, no. 3: 33. https://doi.org/10.3390/cosmetics4030033
APA StyleKato, M., Zeng, H., Gu, L., & Maeda, K. (2017). Water-Soluble Organic Germanium Promotes Both Cornified Cell Envelope Formation and Ceramide Synthesis in Cultured Keratinocytes. Cosmetics, 4(3), 33. https://doi.org/10.3390/cosmetics4030033

