Long Term Follow-Up in Gluteal Augmentation Using Cross-Linked Hyaluronic Acid: Up to 20 Months Ultrasound Follow-Up
Abstract
1. Introduction
2. Materials and Methods
2.1. Product
2.2. Gluteal Assessment
2.3. Skin Marking
2.4. Procedure and Injection Technique
2.5. Satisfaction Scale
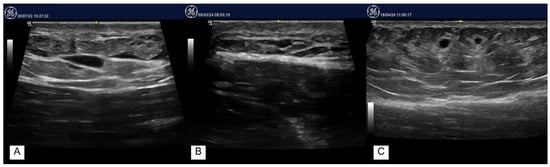
2.6. Ultrasound Imaging
3. Results
4. Discussion
5. Conclusions
Author Contributions
Funding
Institutional Review Board Statement
Informed Consent Statement
Data Availability Statement
Conflicts of Interest
References
- Bartels, R.J.; O’Malley, J.E.; Douglas, W.M.; Wilson, R.G. An unusual use of the Cronin breast prosthesis. Case report. Plast. Reconstr. Surg. 1969, 44, 500. [Google Scholar] [CrossRef] [PubMed]
- Harrison, D.; Selvaggi, G. Gluteal augmentation surgery: Indications and surgical management. J. Plast. Reconstr. Aesthetic Surg. 2007, 60, 922–928. [Google Scholar] [CrossRef] [PubMed]
- Bruner, T.W.; Roberts, T.L.; Nguyen, K. Complications of Buttocks Augmentation: Diagnosis, Management, and Prevention. Clin. Plast. Surg. 2006, 33, 449–466. [Google Scholar] [CrossRef] [PubMed]
- Mendieta, C. Gluteoplasty. Aesthetic Surg. J. 2003, 23, 441–455. [Google Scholar] [CrossRef] [PubMed]
- Bucky, L.; Percec, I. The Science of Autologous Fat Grafting: Views on Current and Future Approaches to Neoadipogenesis. Aesthetic Surg. J. 2008, 28, 313–321. [Google Scholar] [CrossRef]
- Eremia, S.; Newman, N. Long-term follow-up after autologous fat grafting: Analysis of results from 116 patients followed at least 12 months after receiving the last of a minimum of two treatments. Dermatol. Surg. 2000, 26, 1150–1158. [Google Scholar] [CrossRef]
- Kaufman, M.R.; Bradley, J.P.; Dickinson, B.; Heller, J.B.; Wasson, K.; O’Hara, C.; Huang, C.; Gabbay, J.; Ghadjar, K.; Miller, T.A. Autologous Fat Transfer National Consensus Survey: Trends in Techniques for Harvest, Preparation, and Application, and Perception of Short- and Long-Term Results. Plast. Reconstr. Surg. 2007, 119, 323–331. [Google Scholar] [CrossRef]
- Hedén, P.; Sarfati, I.; Clough, K.; Olenius, M.; Sellman, G.; Trevidic, P. Safety and Efficacy of Stabilized Hyaluronic Acid Gel for Breast Enhancement. Plast. Reconstr. Surg. Glob. Open 2015, 3, e575. [Google Scholar] [CrossRef]
- Lourenço, L.M.; de Noronha, M.G.O.; Colla, L.A.; Izzo, T.R.; Sigrist, R.; Braz, A. LL body contour technique—A new way of gluteal contouring and augmentation with hyaluronic acid filler. J. Cosmet. Dermatol. 2022, 21, 1967–1972. [Google Scholar] [CrossRef]
- Santorelli, A.; Cerullo, F.; Salti, G.; Avvedimento, S. Gluteal Augmentation with Hyaluronic Acid Filler: A Retrospective Analysis Using the BODY-Q Scale. Aesthetic Plast. Surg. 2023, 47, 1175–1181. [Google Scholar] [CrossRef]
- De Meyere, B.; Mir-Mir, S.; Peñas, J.; Camenisch, C.C.; Hedén, P. Stabilized hyaluronic acid gel for volume restoration and contouring of the buttocks: 24-month efficacy and safety. Aesthetic Plast. Surg. 2014, 38, 404–412. [Google Scholar] [CrossRef] [PubMed]
- Wu, G.T.; Kam, J.; Bloom, J.D. Hyaluronic Acid Basics and Rheology. Facial Plast. Surg. Clin. N. Am. 2022, 30, 301–308. [Google Scholar] [CrossRef]
- Onesti, M.; Toscani, M.; Curinga, G.; Chiummariello, S.; Scuderi, N. Assessment of a new hyaluronic acid filler. double-blind, randomized, comparative study between Puragen and Captique in the treatment of nasolabial folds. In Vivo 2009, 23, 479–486. [Google Scholar] [PubMed]
- Alster, T.S.; West, T.B. Human-Derived and New Synthetic Injectable Materials for Soft-Tissue Augmentation: Current Status and Role in Cosmetic Surgery. Plast. Reconstr. Surg. 2000, 105, 2515–2525. [Google Scholar] [CrossRef] [PubMed]
- Rosique, R.G.; Rosique, M.J.F. Augmentation Gluteoplasty: A Brazilian Perspective. Plast. Reconstr. Surg. 2018, 142, 910–919. [Google Scholar] [CrossRef]
- Hoyos, A.E.; Perez, M.E.; Domínguez-Millán, R. Male Aesthetics for the Gluteal Area: Anatomy and Algorithm for Surgical Approach for Dynamic Definition Body Contouring. Plast. Reconstr. Surg. 2020, 146, 284–293. [Google Scholar] [CrossRef]
- Morrison, S.D.; Wilson, S.C.; Mosser, S.W. Breast and Body Contouring for Transgender and Gender Nonconforming Individuals. Clin. Plast. Surg. 2018, 45, 333–342. [Google Scholar] [CrossRef]
- Yi, C.C.; Hahn, H.M.; Lim, H.; Kim, Y.J.; Choi, Y.W.; Kim, J.H. A multicenter, randomized, double-blind, comparative study of a multiphasic hyaluronic acid filler and existing hyaluronic acid fillers for temporary restoration of the midface volume of Asian individuals. J. Plast. Reconstr. Aesthetic Surg. 2023, 82, 92–102. [Google Scholar] [CrossRef]
- Hahn, H.M.; Lee, W.B.; Lee, I.J. The Effects of Subcutaneously Injected Novel Biphasic Cross-Linked Hyaluronic Acid Filler: In Vivo Study. Aesthetic Plast. Surg. 2021, 45, 322–331. [Google Scholar] [CrossRef]
- ANVISA (Brazilian Health Regulatory Agency). Instructions for Use: Commercial Name: UP; Technical Name: Solution for Intradermal Pre-Filling; ANVISA Registration: 10378640017; ANVISA: Brasília, Brazil, 7 December 2021. Available online: https://consultas.anvisa.gov.br/#/saude/25351888991202040/ (accessed on 7 November 2024).
- Shah, A.; Bordoni, B. Anatomy, Bony Pelvis and Lower Limb, Gluteus Medius Muscle; StatPearls Publishing: Treasure Island, FL, USA, 2023. [Google Scholar]
- Ghavami, A.; Villanueva, N.L.; Amirlak, B. Gluteal ligamentous anatomy and its implication in safe buttock augmentation. Plast. Reconstr. Surg. 2018, 142, 363–371. [Google Scholar] [CrossRef]
- Narins, R.S.; Brandt, F.; Leyden, J.; Paul Lorenc, Z.; Rubin, M.; Smith, S. A Randomized, Double-Blind, Multicenter Comparison of the Efficacy and Tolerability of Restylane Versus Zyplast for the Correction of Nasolabial Folds. Dermatol. Surg. 2003, 29, 588–595. [Google Scholar] [PubMed]
- Chacur, R.; Menezes, H.S.; da Silva Chacur, N.M.B.; Alves, D.D.; Mafaldo, R.C.; Gomes, L.D.; dos Santos Barreto, G. Gluteal augmentation with polymethyl methacrylate: A 10-year cohort study. Plast. Reconstr. Surg. Glob. Open 2019, 7, e2193. [Google Scholar] [CrossRef] [PubMed]
- Mofid, M.M.; Gonzalez, R.; De La Peña, J.A.; Mendieta, C.G.; Senderoff, D.M.; Jorjani, S. Buttock augmentation with silicone implants: A multicenter survey review of 2226 patients. Plast. Reconstr. Surg. 2013, 131, 897–901. [Google Scholar] [CrossRef] [PubMed]
- Camenisch, C.C.; Tengvar, M.; Hedén, P. Macrolane for volume restoration and contouring of the buttocks: Magnetic resonance imaging study on localization and degradation. Plast. Reconstr. Surg. 2013, 132, 522e–529e. [Google Scholar] [CrossRef] [PubMed]
- de Matos Lourenço, L.; Colla, L.A.; Ortiz de Noronha, M.G.; Izzo, T.R.; Sigrist, R. Square technique—A treatment for cellulite with large size particle hyaluronic acid. Ski. Health Dis. 2023, 4, e290. [Google Scholar] [CrossRef]
- Mortada, H.; Alkadi, D.; Saqr, H.; Sultan, F.; Alturaiki, B.; Alrobaiea, S.; Aljaaly, H.A.; Arab, K.; Arkoubi, A.Y. Effectiveness and Role of Using Hyaluronic Acid Injections for Gluteal Augmentation: A Comprehensive Systematic Review of Techniques and Outcomes. Aesthetic Plast. Surg. 2023, 47, 2719–2733. [Google Scholar] [CrossRef]
- Mendieta, C.G.; Sood, A. Classification System for Gluteal Evaluation: Revisited. Clin. Plast. Surg. 2018, 45, 159–177. [Google Scholar] [CrossRef]
- Mendieta, C.G. Classification System for Gluteal Evaluation. Clin. Plast. Surg. 2006, 33, 333–346. [Google Scholar] [CrossRef]
- Beiu, C.; Popa, L.G.; Bălăceanu-Gurău, B.; Iliescu, C.A.; Racoviță, A.; Popescu, M.N.; Mihai, M.M. Personalization of Minimally-Invasive Aesthetic Procedures with the Use of Ultrasound Compared to Alternative Imaging Modalities. Diagnostics 2023, 13, 3512. [Google Scholar] [CrossRef]
- Vent, J.; Lefarth, F.; Massing, T.; Angerstein, W. Do you know where your fillers go? An ultrastructural investigation of the lips. Clin. Cosmet. Investig. Dermatol. 2014, 7, 191–199. [Google Scholar] [CrossRef]
- Cavallieri, F.A.; de Almeida Balassiano, L.K.; Munhoz, G.; Tembra, M.F.; Wortsman, X. Ultrasound in Aesthetics: Filler and Non-Filler Applications. In Seminars in Ultrasound, CT and MRI; WB Saunders: Philadelphia, PA, USA, 2023. [Google Scholar] [CrossRef]





Disclaimer/Publisher’s Note: The statements, opinions and data contained in all publications are solely those of the individual author(s) and contributor(s) and not of MDPI and/or the editor(s). MDPI and/or the editor(s) disclaim responsibility for any injury to people or property resulting from any ideas, methods, instructions or products referred to in the content. |
© 2024 by the authors. Licensee MDPI, Basel, Switzerland. This article is an open access article distributed under the terms and conditions of the Creative Commons Attribution (CC BY) license (https://creativecommons.org/licenses/by/4.0/).
Share and Cite
Pazzini, R.; Viana, R.; Petrone, G. Long Term Follow-Up in Gluteal Augmentation Using Cross-Linked Hyaluronic Acid: Up to 20 Months Ultrasound Follow-Up. Cosmetics 2024, 11, 194. https://doi.org/10.3390/cosmetics11060194
Pazzini R, Viana R, Petrone G. Long Term Follow-Up in Gluteal Augmentation Using Cross-Linked Hyaluronic Acid: Up to 20 Months Ultrasound Follow-Up. Cosmetics. 2024; 11(6):194. https://doi.org/10.3390/cosmetics11060194
Chicago/Turabian StylePazzini, Renato, Renata Viana, and Giseli Petrone. 2024. "Long Term Follow-Up in Gluteal Augmentation Using Cross-Linked Hyaluronic Acid: Up to 20 Months Ultrasound Follow-Up" Cosmetics 11, no. 6: 194. https://doi.org/10.3390/cosmetics11060194
APA StylePazzini, R., Viana, R., & Petrone, G. (2024). Long Term Follow-Up in Gluteal Augmentation Using Cross-Linked Hyaluronic Acid: Up to 20 Months Ultrasound Follow-Up. Cosmetics, 11(6), 194. https://doi.org/10.3390/cosmetics11060194

