Anti-Hair Loss Effects of the DP2 Antagonist in Human Follicle Dermal Papilla Cells
Abstract
1. Introduction
2. Materials and Methods
2.1. Chemicals and Reagents
2.2. Cell Culture
2.3. Cell Viability Assay
2.4. Wound-Healing Assay
2.5. Alkaline Phosphatase (ALP) Staining Assay
2.6. DCF-DA ROS Assay
2.7. Mitochondrial Membrane Potential Measurement
2.8. Western Blot Analysis
2.9. Spheroid Culture of HDPCs
2.10. Human Hair Follicle Organ Culture
2.11. Statistical Analyses
3. Results
3.1. The DP2A Enhanced Cell Viability in HFDPCs
3.2. The DP2A Improved the Migration of DHT-Damaged HFDPCs
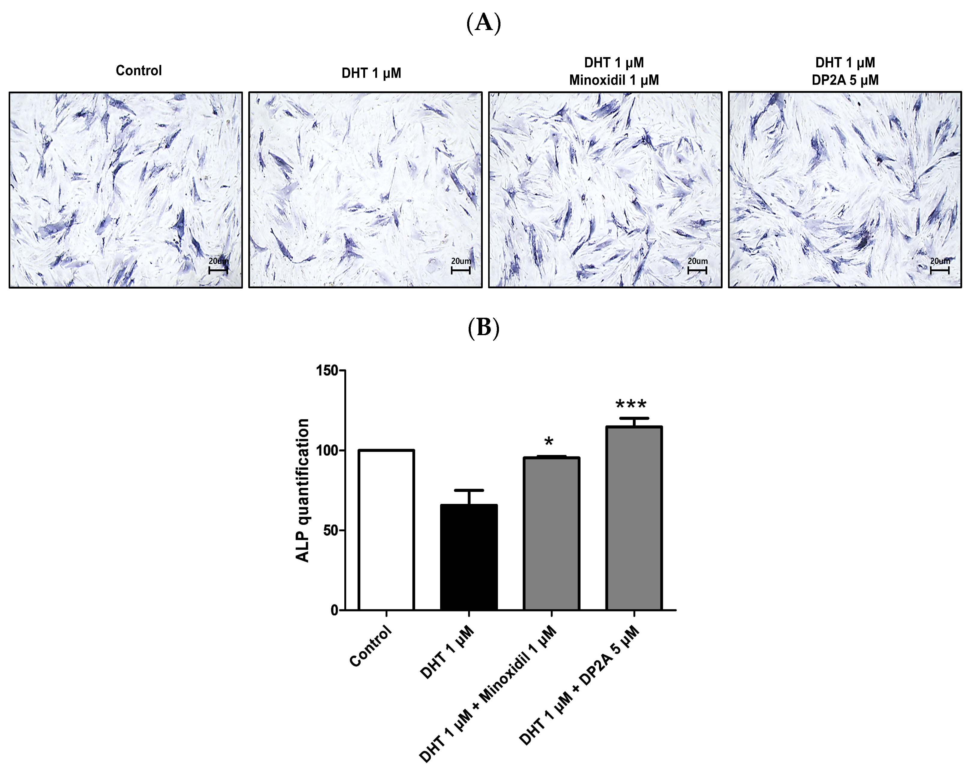
3.3. The DP2A Enhanced the Alkaline Phosphatase Level in the HFDPCs Damaged by DHT
3.4. The DP2A Decreased the ROS Level in the HFDPCs Damaged by DHT
3.5. The DP2A Restored the Membrane Potential of Mitochondria in the HFDPCs Damaged by DHT
3.6. The DP2A Upregulated the Phosphorylation Levels of ERK and AKT and the Expression Level of β-Catenin in the HFDPCs Damaged with DHT
3.7. The DP2A Enhanced the 3D Spheroid Size in the HFDPCs Damaged with DHT
3.8. The DP2A Increased Ex Vivo Hair Growth
4. Discussion
Author Contributions
Funding
Institutional Review Board Statement
Informed Consent Statement
Data Availability Statement
Conflicts of Interest
References
- Lolli, F.; Pallotti, F.; Rossi, A.; Fortuna, M.C.; Caro, G.; Lenzi, A.; Sansone, A.; Lombardo, F. Androgenetic Alopecia: A Review. Endocrine 2017, 57, 9–17. [Google Scholar] [CrossRef] [PubMed]
- Asfour, L.; Cranwell, W.; Sinclair, R. Male Androgenetic Alopecia. In Endotext; Feingold, K.R., Anawalt, B., Blackman, M.R., Boyce, A., Chrousos, G., Corpas, E., de Herder, W.W., Dhatariya, K., Dungan, K., Hofland, J., et al., Eds.; MDText.com, Inc.: South Dartmouth, MA, USA, 2000. [Google Scholar]
- Fu, D.; Huang, J.; Li, K.; Chen, Y.; He, Y.; Sun, Y.; Guo, Y.; Du, L.; Qu, Q.; Miao, Y.; et al. Dihydrotestosterone-Induced Hair Regrowth Inhibition by Activating Androgen Receptor in C57BL6 Mice Simulates Androgenetic Alopecia. Biomed. Pharmacother. 2021, 137, 111247. [Google Scholar] [CrossRef] [PubMed]
- Madaan, A.; Verma, R.; Singh, A.T.; Jaggi, M. Review of Hair Follicle Dermal Papilla Cells as in Vitro Screening Model for Hair Growth. Int. J. Cosmet. Sci. 2018, 40, 429–450. [Google Scholar] [CrossRef]
- Kang, J.; Choi, Y.K.; Koh, Y.; Hyun, J.; Kang, J.; Lee, K.S.; Lee, C.M.; Yoo, E.; Kang, H. Vanillic Acid Stimulates Anagen Signaling Via the PI3K/Akt/Beta-Catenin Pathway in Dermal Papilla Cells. Biomol. Ther. 2020, 28, 354–360. [Google Scholar] [CrossRef] [PubMed]
- Garza, L.A.; Liu, Y.; Yang, Z.; Alagesan, B.; Lawson, J.A.; Norberg, S.M.; Loy, D.E.; Zhao, T.; Blatt, H.B.; Stanton, D.C.; et al. Prostaglandin D2 Inhibits Hair Growth and is Elevated in Bald Scalp of Men with Androgenetic Alopecia. Sci. Transl. Med. 2012, 4, 126ra34. [Google Scholar] [CrossRef]
- Nieves, A.; Garza, L.A. Does Prostaglandin D2 Hold the Cure to Male Pattern Baldness? Exp. Dermatol. 2014, 23, 224–227. [Google Scholar] [CrossRef]
- Shin, D.W. The Physiological and Pharmacological Roles of Prostaglandins in Hair Growth. Korean J. Physiol. Pharmacol. 2022, 26, 405–413. [Google Scholar] [CrossRef]
- Xu, X.; Chen, H. Prostanoids and Hair Follicles: Implications for Therapy of Hair Disorders. Acta Derm. Venereol. 2018, 98, 318–323. [Google Scholar] [CrossRef]
- Bhargava, S. Increased DHT Levels in Androgenic Alopecia have been Selected for to Protect Men from Prostate Cancer. Med. Hypotheses 2014, 82, 428–432. [Google Scholar] [CrossRef]
- Muller-Decker, K.; Leder, C.; Neumann, M.; Neufang, G.; Bayerl, C.; Schweizer, J.; Marks, F.; Furstenberger, G. Expression of Cyclooxygenase Isozymes during Morphogenesis and Cycling of Pelage Hair Follicles in Mouse Skin: Precocious Onset of the First Catagen Phase and Alopecia upon Cyclooxygenase-2 Overexpression. J. Investig. Dermatol. 2003, 121, 661–668. [Google Scholar] [CrossRef]
- Nelson, A.M.; Loy, D.E.; Lawson, J.A.; Katseff, A.S.; Fitzgerald, G.A.; Garza, L.A. Prostaglandin D2 Inhibits Wound-Induced Hair Follicle Neogenesis through the Receptor, Gpr44. J. Investig. Dermatol. 2013, 133, 881–889. [Google Scholar] [CrossRef] [PubMed]
- Lim, H.W.; Kim, H.J.; Jeon, C.Y.; Lee, Y.; Kim, M.; Kim, J.; Kim, S.R.; Lee, S.; Lim, D.C.; Park, H.D.; et al. Hair Growth Promoting Effects of 15-Hydroxyprostaglandin Dehydrogenase Inhibitor in Human Follicle Dermal Papilla Cells. Int. J. Mol. Sci. 2024, 25, 7485. [Google Scholar] [CrossRef] [PubMed]
- Suchonwanit, P.; Thammarucha, S.; Leerunyakul, K. Minoxidil and its use in Hair Disorders: A Review. Drug Des. Devel. Ther. 2019, 13, 2777–2786. [Google Scholar] [CrossRef]
- Whyte, M.P.; Vrabel, L.A. Infantile Hypophosphatasia Fibroblasts Proliferate Normally in Culture: Evidence Against a Role for Alkaline Phosphatase (Tissue Nonspecific Isoenzyme) in the Regulation of Cell Growth and Differentiation. Calcif. Tissue Int. 1987, 40, 1–7. [Google Scholar] [CrossRef]
- Shin, K.; Kim, T.; Kyung, J.; Kim, D.; Park, D.; Choi, E.; Lee, S.; Yang, W.; Kang, M.; Kim, Y. Effectiveness of the Combinational Treatment of Laminaria Japonica and Cistanche Tubulosa Extracts in Hair Growth. Lab. Anim. Res. 2015, 31, 24–32. [Google Scholar] [CrossRef] [PubMed]
- Tulah, A.S.; Birch-Machin, M.A. Stressed Out Mitochondria: The Role of Mitochondria in Ageing and Cancer Focussing on Strategies and Opportunities in Human Skin. Mitochondrion 2013, 13, 444–453. [Google Scholar] [CrossRef] [PubMed]
- Briganti, S.; Picardo, M. Antioxidant Activity, Lipid Peroxidation and Skin Diseases. what’s New. J. Eur. Acad. Dermatol. Venereol. 2003, 17, 663–669. [Google Scholar] [CrossRef]
- Mustafa, A.I.; Khashaba, R.A.; Fawzy, E.; Baghdady, S.M.A.; Rezk, S.M. Cross Talk between Oxidative Stress and Inflammation in Alopecia Areata. J. Cosmet. Dermatol. 2021, 20, 2305–2310. [Google Scholar] [CrossRef]
- Akar, A.; Arca, E.; Erbil, H.; Akay, C.; Sayal, A.; Gur, A.R. Antioxidant Enzymes and Lipid Peroxidation in the Scalp of Patients with Alopecia Areata. J. Dermatol. Sci. 2002, 29, 85–90. [Google Scholar] [CrossRef]
- Liu, X.; Kong, X.; Xu, L.; Su, Y.; Xu, S.; Pang, X.; Wang, R.; Ma, Y.; Tian, Q.; Han, L. Synergistic Therapeutic Effect of Ginsenoside Rg3 Modified Minoxidil Transfersomes (MXD-Rg3@TFs) on Androgenic Alopecia in C57BL/6 Mice. Int. J. Pharm. 2024, 654, 123963. [Google Scholar] [CrossRef]
- Natarajan, V.; Chawla, R.; Mah, T.; Vivekanandan, R.; Tan, S.Y.; Sato, P.Y.; Mallilankaraman, K. Mitochondrial Dysfunction in Age-Related Metabolic Disorders. Proteomics 2020, 20, e1800404. [Google Scholar] [CrossRef]
- Zorova, L.D.; Popkov, V.A.; Plotnikov, E.Y.; Silachev, D.N.; Pevzner, I.B.; Jankauskas, S.S.; Babenko, V.A.; Zorov, S.D.; Balakireva, A.V.; Juhaszova, M.; et al. Mitochondrial Membrane Potential. Anal. Biochem. 2018, 552, 50–59. [Google Scholar] [CrossRef]
- Jung, Y.H.; Chae, C.W.; Choi, G.E.; Shin, H.C.; Lim, J.R.; Chang, H.S.; Park, J.; Cho, J.H.; Park, M.R.; Lee, H.J.; et al. Cyanidin 3-O-Arabinoside Suppresses DHT-Induced Dermal Papilla Cell Senescence by Modulating p38-Dependent ER-Mitochondria Contacts. J. Biomed. Sci. 2022, 29, 17. [Google Scholar] [CrossRef]
- Shah, K.; Kazi, J.U. Phosphorylation-Dependent Regulation of WNT/Beta-Catenin Signaling. Front. Oncol. 2022, 12, 858782. [Google Scholar] [CrossRef]
- Li, Z.J.; Choi, H.; Choi, D.; Sohn, K.; Im, M.; Seo, Y.; Lee, Y.; Lee, J.; Lee, Y. Autologous Platelet-Rich Plasma: A Potential Therapeutic Tool for Promoting Hair Growth. Dermatol. Surg. 2012, 38, 1040–1046. [Google Scholar] [CrossRef]
- Zhang, X.; Wang, W.; Yu, W.; Xie, Y.; Zhang, X.; Zhang, Y.; Ma, X. Development of an in Vitro Multicellular Tumor Spheroid Model using Microencapsulation and its Application in Anticancer Drug Screening and Testing. Biotechnol. Prog. 2005, 21, 1289–1296. [Google Scholar] [CrossRef]
- Millar, S.E. Molecular Mechanisms Regulating Hair Follicle Development. J. Investig. Dermatol. 2002, 118, 216–225. [Google Scholar] [CrossRef]
- Qiu, Y.; Yanase, T.; Hu, H.; Tanaka, T.; Nishi, Y.; Liu, M.; Sueishi, K.; Sawamura, T.; Nawata, H. Dihydrotestosterone Suppresses Foam Cell Formation and Attenuates Atherosclerosis Development. Endocrinology 2010, 151, 3307–3316. [Google Scholar] [CrossRef][Green Version]
- Randall, V.A.; Sundberg, J.P.; Philpott, M.P. Animal and in Vitro Models for the Study of Hair Follicles. J. Investig. Dermatol. Symp. Proc. 2003, 8, 39–45. [Google Scholar] [CrossRef]
- Ohn, J.; Kim, K.H.; Kwon, O. Evaluating Hair Growth Promoting Effects of Candidate Substance: A Review of Research Methods. J. Dermatol. Sci. 2019, 93, 144–149. [Google Scholar] [CrossRef]
- Piraccini, B.M.; Blume-Peytavi, U.; Scarci, F.; Jansat, J.M.; Falques, M.; Otero, R.; Tamarit, M.L.; Galvan, J.; Tebbs, V.; Massana, E.; et al. Efficacy and Safety of Topical Finasteride Spray Solution for Male Androgenetic Alopecia: A Phase III, Randomized, Controlled Clinical Trial. J. Eur. Acad. Dermatol. Venereol. 2022, 36, 286–294. [Google Scholar] [CrossRef]
- Lee, S.W.; Juhasz, M.; Mobasher, P.; Ekelem, C.; Mesinkovska, N.A. A Systematic Review of Topical Finasteride in the Treatment of Androgenetic Alopecia in Men and Women. J. Drugs Dermatol. 2018, 17, 457–463. [Google Scholar]
- Colombe, L.; Vindrios, A.; Michelet, J.; Bernard, B.A. Prostaglandin Metabolism in Human Hair Follicle. Exp. Dermatol. 2007, 16, 762–769. [Google Scholar] [CrossRef]
- Hossein Mostafa, D.; Samadi, A.; Niknam, S.; Nasrollahi, S.A.; Guishard, A.; Firooz, A. Efficacy of Cetirizine 1% Versus Minoxidil 5% Topical Solution in the Treatment of Male Alopecia: A Randomized, Single-Blind Controlled Study. J. Pharm. Pharm. Sci. 2021, 24, 191–199. [Google Scholar] [CrossRef]
- Ryu, Y.C.; Park, J.; Kim, Y.; Choi, S.; Kim, G.; Kim, E.; Hwang, Y.; Kim, H.; Han, G.; Lee, S.; et al. CXXC5 Mediates DHT-Induced Androgenetic Alopecia Via PGD(2). Cells 2023, 12, 555. [Google Scholar] [CrossRef]
- Sakib, S.A.; Tareq, A.M.; Islam, A.; Rakib, A.; Islam, M.N.; Uddin, M.A.; Rahman, M.M.; Seidel, V.; Emran, T.B. Anti-Inflammatory, Thrombolytic and Hair-Growth Promoting Activity of the N-Hexane Fraction of the Methanol Extract of Leea Indica Leaves. Plants 2021, 10, 1081. [Google Scholar] [CrossRef]
- York, K.; Meah, N.; Bhoyrul, B.; Sinclair, R. A Review of the Treatment of Male Pattern Hair Loss. Expert Opin. Pharmacother. 2020, 21, 603–612. [Google Scholar] [CrossRef]
- Yuan, A.; Xia, F.; Bian, Q.; Wu, H.; Gu, Y.; Wang, T.; Wang, R.; Huang, L.; Huang, Q.; Rao, Y.; et al. Ceria Nanozyme-Integrated Microneedles Reshape the Perifollicular Microenvironment for Androgenetic Alopecia Treatment. ACS Nano 2021, 15, 13759–13769. [Google Scholar] [CrossRef]
- Wei, Y.; Wu, S.; Ma, Y.; Lee, H. Respiratory Function Decline and DNA Mutation in Mitochondria, Oxidative Stress and Altered Gene Expression during Aging. Chang. Gung Med. J. 2009, 32, 113–132. [Google Scholar]
- Topouzi, H.; Logan, N.J.; Williams, G.; Higgins, C.A. Methods for the Isolation and 3D Culture of Dermal Papilla Cells from Human Hair Follicles. Exp. Dermatol. 2017, 26, 491–496. [Google Scholar] [CrossRef]
- Wang, Y.; Shen, K.; Sun, Y.; Cao, P.; Zhang, J.; Zhang, W.; Liu, Y.; Zhang, H.; Chen, Y.; Li, S.; et al. Extracellular Vesicles from 3D Cultured Dermal Papilla Cells Improve Wound Healing Via Kruppel-Like Factor 4/Vascular Endothelial Growth Factor A—Driven Angiogenesis. Burns Trauma 2023, 11, tkad034. [Google Scholar] [CrossRef]
- Li, Y.; Zhang, K.; Ye, J.; Lian, X.; Yang, T. Wnt10b Promotes Growth of Hair Follicles Via a Canonical Wnt Signalling Pathway. Clin. Exp. Dermatol. 2011, 36, 534–540. [Google Scholar] [CrossRef]








Disclaimer/Publisher’s Note: The statements, opinions and data contained in all publications are solely those of the individual author(s) and contributor(s) and not of MDPI and/or the editor(s). MDPI and/or the editor(s) disclaim responsibility for any injury to people or property resulting from any ideas, methods, instructions or products referred to in the content. |
© 2024 by the authors. Licensee MDPI, Basel, Switzerland. This article is an open access article distributed under the terms and conditions of the Creative Commons Attribution (CC BY) license (https://creativecommons.org/licenses/by/4.0/).
Share and Cite
Lim, H.W.; Joo, H.; Jeon, C.Y.; Lee, Y.; Kim, M.; Shin, J.U.; Kim, J.; Kim, S.; Lee, S.; Lim, D.C.; et al. Anti-Hair Loss Effects of the DP2 Antagonist in Human Follicle Dermal Papilla Cells. Cosmetics 2024, 11, 177. https://doi.org/10.3390/cosmetics11050177
Lim HW, Joo H, Jeon CY, Lee Y, Kim M, Shin JU, Kim J, Kim S, Lee S, Lim DC, et al. Anti-Hair Loss Effects of the DP2 Antagonist in Human Follicle Dermal Papilla Cells. Cosmetics. 2024; 11(5):177. https://doi.org/10.3390/cosmetics11050177
Chicago/Turabian StyleLim, Hye Won, Hyunwoo Joo, Chae Young Jeon, Yurim Lee, Mujun Kim, Jung Un Shin, Jinsick Kim, SoonRe Kim, Sanghwa Lee, Dong Chul Lim, and et al. 2024. "Anti-Hair Loss Effects of the DP2 Antagonist in Human Follicle Dermal Papilla Cells" Cosmetics 11, no. 5: 177. https://doi.org/10.3390/cosmetics11050177
APA StyleLim, H. W., Joo, H., Jeon, C. Y., Lee, Y., Kim, M., Shin, J. U., Kim, J., Kim, S., Lee, S., Lim, D. C., Park, H. D., Park, B. C., & Shin, D. W. (2024). Anti-Hair Loss Effects of the DP2 Antagonist in Human Follicle Dermal Papilla Cells. Cosmetics, 11(5), 177. https://doi.org/10.3390/cosmetics11050177

