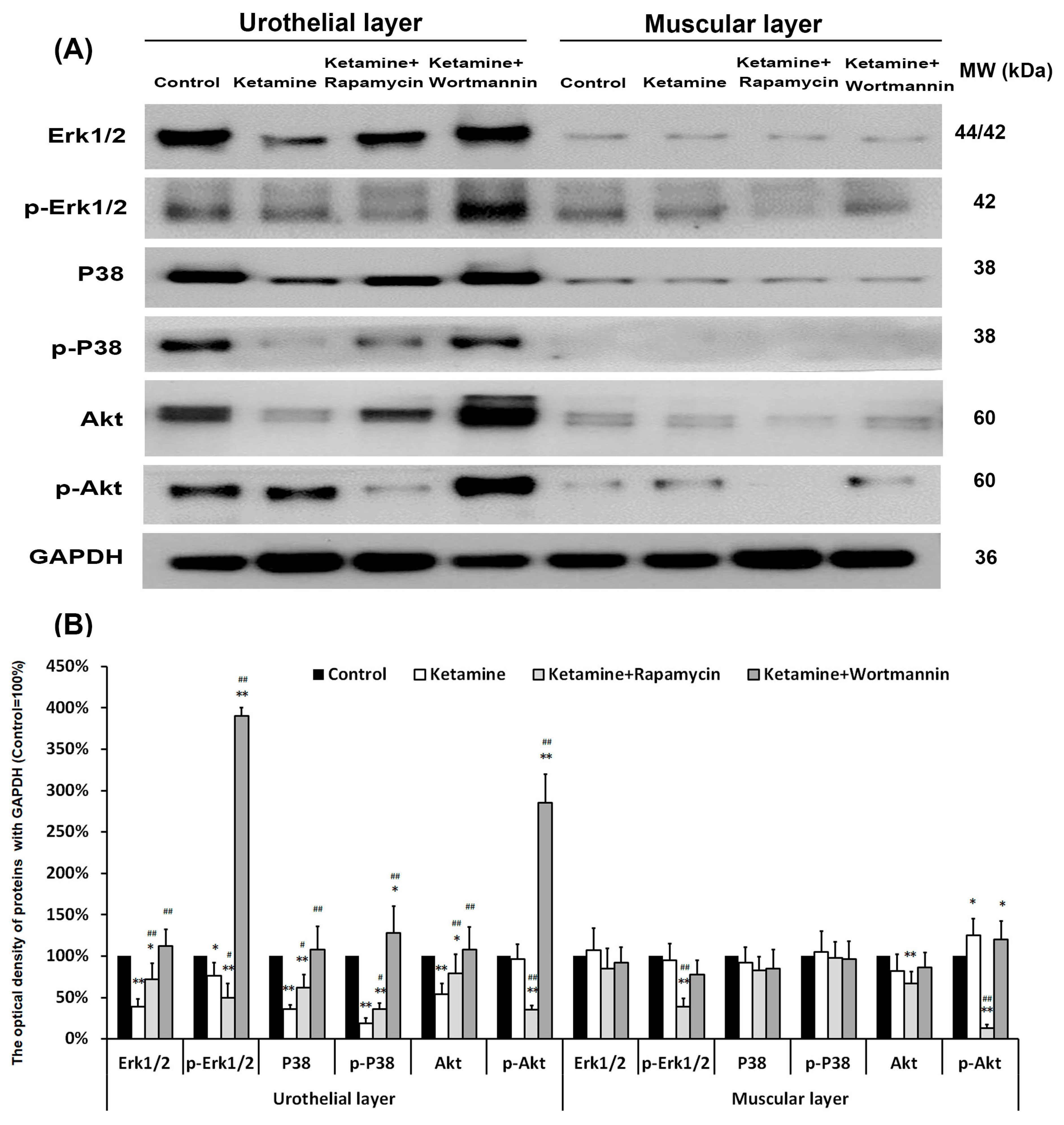
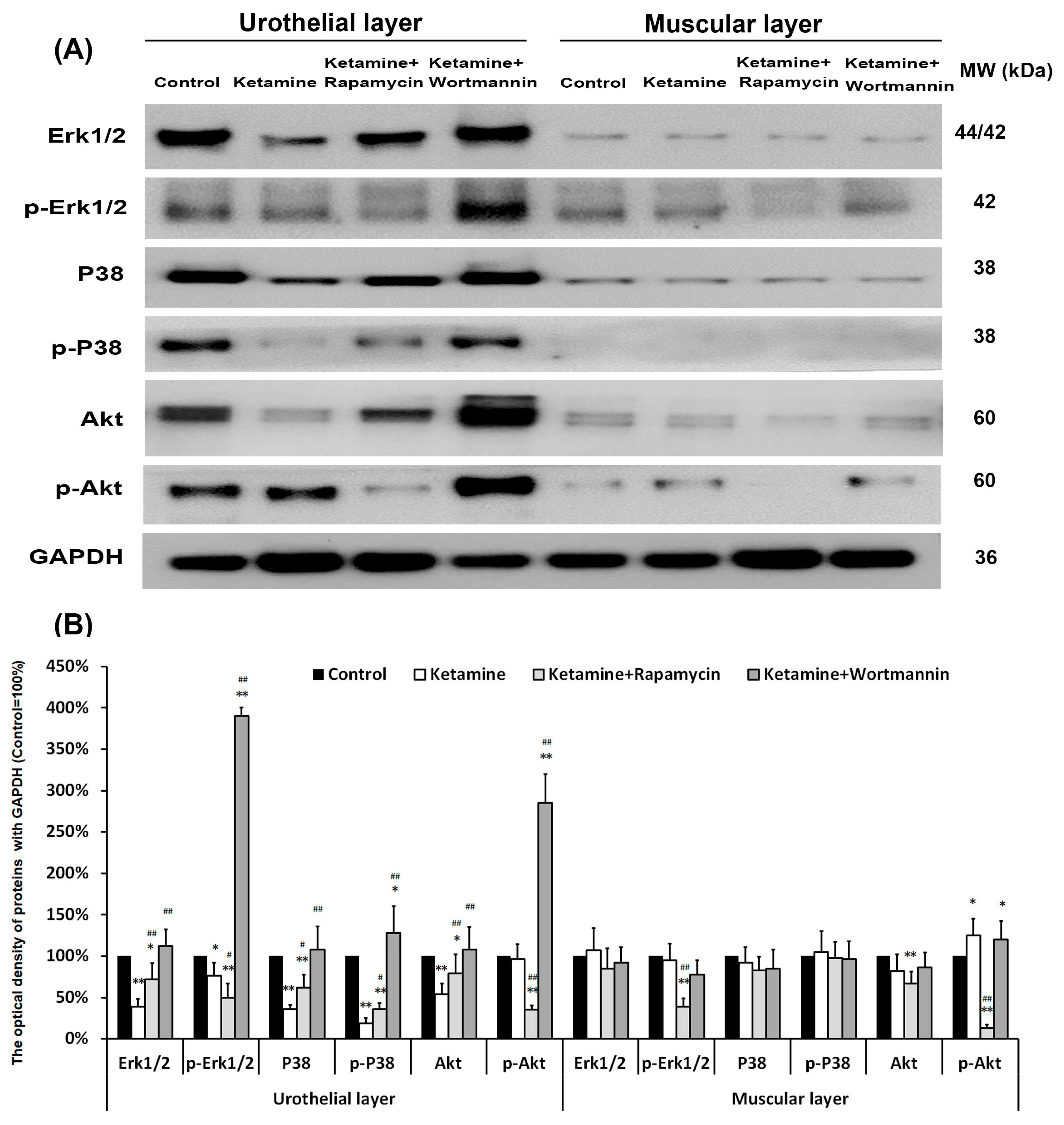
Correction: Lu et al. Autophagy Alters Bladder Angiogenesis and Improves Bladder Hyperactivity in the Pathogenesis of Ketamine-Induced Cystitis in a Rat Model. Biology 2021, 10, 488
Error in Figure 6 and Figure 8
Reference
- Lu, J.-H.; Wu, Y.-H.; Juan, T.-J.; Lin, H.-Y.; Lin, R.-J.; Chueh, K.-S.; Lee, Y.-C.; Chang, C.-Y.; Juan, Y.-S. Autophagy Alters Bladder Angiogenesis and Improves Bladder Hyperactivity in the Pathogenesis of Ketamine-Induced Cystitis in a Rat Model. Biology 2021, 10, 488. [Google Scholar] [CrossRef] [PubMed]


Disclaimer/Publisher’s Note: The statements, opinions and data contained in all publications are solely those of the individual author(s) and contributor(s) and not of MDPI and/or the editor(s). MDPI and/or the editor(s) disclaim responsibility for any injury to people or property resulting from any ideas, methods, instructions or products referred to in the content. |
© 2025 by the authors. Licensee MDPI, Basel, Switzerland. This article is an open access article distributed under the terms and conditions of the Creative Commons Attribution (CC BY) license (https://creativecommons.org/licenses/by/4.0/).
Share and Cite
Lu, J.-H.; Wu, Y.-H.; Juan, T.-J.; Lin, H.-Y.; Lin, R.-J.; Chueh, K.-S.; Lee, Y.-C.; Chang, C.-Y.; Juan, Y.-S. Correction: Lu et al. Autophagy Alters Bladder Angiogenesis and Improves Bladder Hyperactivity in the Pathogenesis of Ketamine-Induced Cystitis in a Rat Model. Biology 2021, 10, 488. Biology 2025, 14, 1630. https://doi.org/10.3390/biology14111630
Lu J-H, Wu Y-H, Juan T-J, Lin H-Y, Lin R-J, Chueh K-S, Lee Y-C, Chang C-Y, Juan Y-S. Correction: Lu et al. Autophagy Alters Bladder Angiogenesis and Improves Bladder Hyperactivity in the Pathogenesis of Ketamine-Induced Cystitis in a Rat Model. Biology 2021, 10, 488. Biology. 2025; 14(11):1630. https://doi.org/10.3390/biology14111630
Chicago/Turabian StyleLu, Jian-He, Yi-Hsuan Wu, Tai-Jui Juan, Hung-Yu Lin, Rong-Jyh Lin, Kuang-Shun Chueh, Yi-Chen Lee, Chao-Yuan Chang, and Yung-Shun Juan. 2025. "Correction: Lu et al. Autophagy Alters Bladder Angiogenesis and Improves Bladder Hyperactivity in the Pathogenesis of Ketamine-Induced Cystitis in a Rat Model. Biology 2021, 10, 488" Biology 14, no. 11: 1630. https://doi.org/10.3390/biology14111630
APA StyleLu, J.-H., Wu, Y.-H., Juan, T.-J., Lin, H.-Y., Lin, R.-J., Chueh, K.-S., Lee, Y.-C., Chang, C.-Y., & Juan, Y.-S. (2025). Correction: Lu et al. Autophagy Alters Bladder Angiogenesis and Improves Bladder Hyperactivity in the Pathogenesis of Ketamine-Induced Cystitis in a Rat Model. Biology 2021, 10, 488. Biology, 14(11), 1630. https://doi.org/10.3390/biology14111630

