Autophagy Alters Bladder Angiogenesis and Improves Bladder Hyperactivity in the Pathogenesis of Ketamine-Induced Cystitis in a Rat Model
Simple Summary
Abstract
1. Introduction
2. Materials and Methods
2.1. Animals and Ketamine Administration
2.2. Isovolumetric Cystometrograms (CMGs)
2.3. Tracing Analysis of Voiding Behavior by Metabolic Cage
2.4. Bladder Contractility Studies
2.5. Ketamine Metabolites Assay in Urine and Serum
2.6. Histological Study by Masson’s Trichrome Stain
2.7. Measurement of Leukocyte Count and Blood Smear
2.8. Transmission Electron Microscopy (TEM)
2.9. Protein Isolation and Western Blot Analysis
2.10. Immunofluorence Staining, Confocal Microscopy, and Automated Computer-Based Image Quantification for the Location of Protein Expression
2.11. Statistical Analysis
3. Results
3.1. General Characteristic Evaluation
3.2. Effects of Rapamycin Treatment on Improving Bladder Capacity and Voiding Function
3.3. Contractile Responses of Bladder Strips after Treatment
3.4. Autophagy Inducer and Inhibitor Exhibited No Effect on Ketamine Metabolism
3.5. Rapamycin Treatment Improved Ketamine-Associated Bladder Damage and Interstitial Fibrosis
3.6. The Presence of Autophagosome and Autolysosome in Bladder Tissue after Treatment
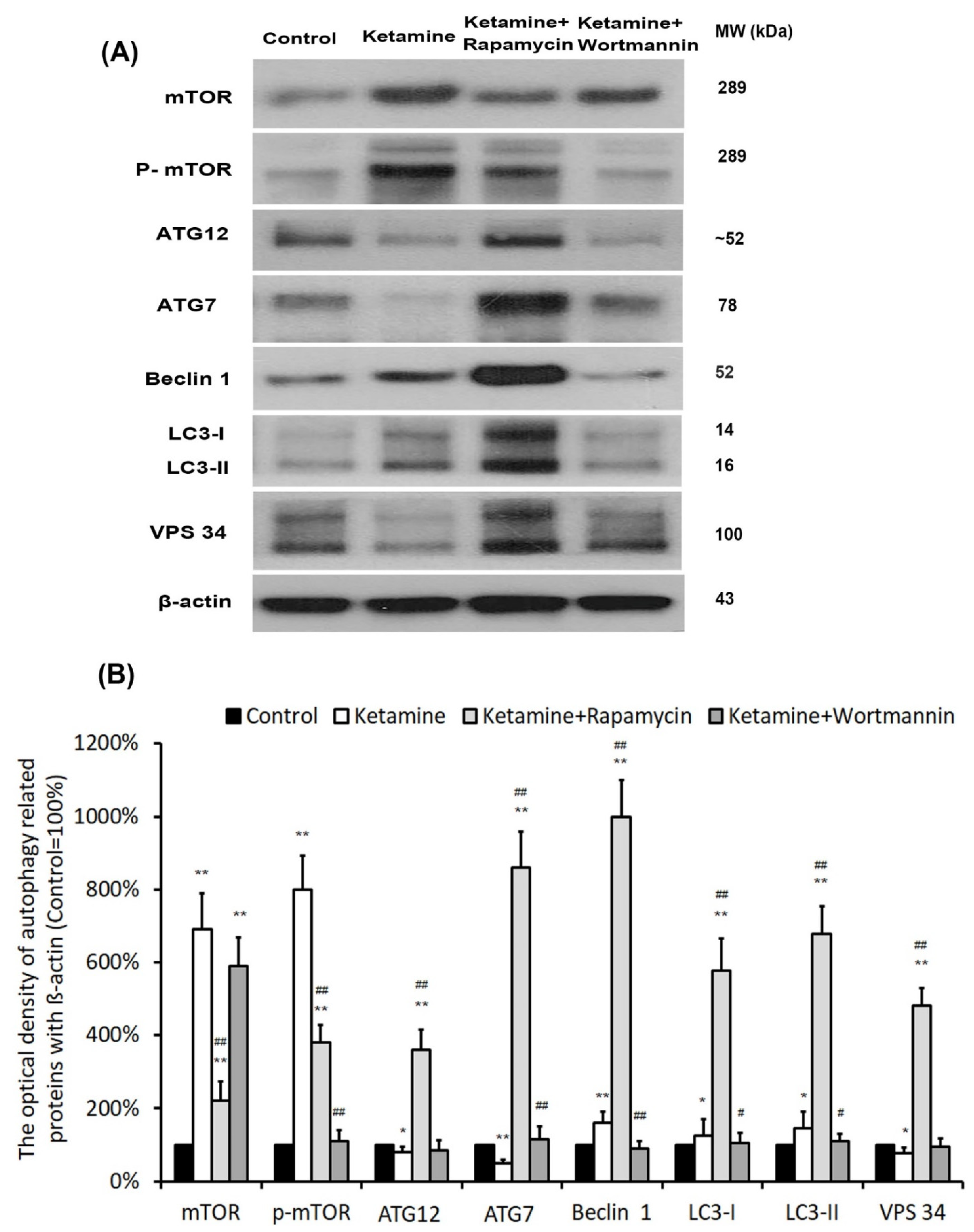
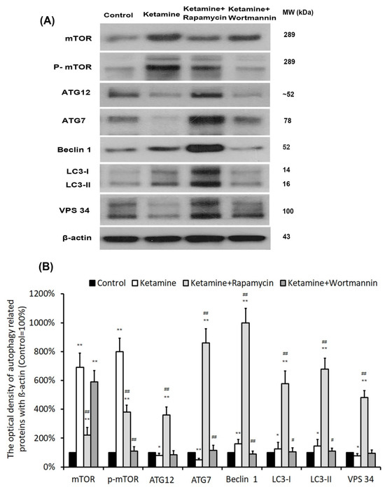
3.7. Protein Expressions of Autophagy-Related Proteins in Bladder
3.8. Significant Changes in Total White Blood Cells (WBCs) and Leukocyte Differential Counts
3.9. Autophagy Alters Bladder Angiogenic Remodeling in KIC
3.10. Autophagy Alters Bladder Angiogenesis in the Pathogenesis of KIC
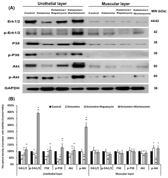
3.11. Cellular Signaling Pathways of Regulating Autophagy in Angiogenic Remodeling
3.12. Proposed Potential Mechanism of Antiangiogenesis, Which Was Triggered by Ketamine Metabolite through PI3K/Akt/mTOR Pathway, Contributed to the Pathogenesis of KIC
4. Discussion
5. Conclusions
Supplementary Materials
Author Contributions
Funding
Institutional Review Board Statement
Informed Consent Statement
Data Availability Statement
Acknowledgments
Conflicts of Interest
References
- Chu, P.S.; Ma, W.K.; Wong, S.C.; Chu, R.W.; Cheng, C.H.; Wong, S.; Tse, J.M.; Lau, F.L.; Yiu, M.K.; Man, C.W. The destruction of the lower urinary tract by ketamine abuse: A new syndrome? BJU Int. 2008, 102, 1616–1622. [Google Scholar] [CrossRef] [PubMed]
- Colebunders, B.; Van Erps, P. Cystitis due to the use of ketamine as a recreational drug: A case report. J. Med. Case Rep. 2008, 2, 219. [Google Scholar] [CrossRef]
- Macedo, F.Y.; Mourao, L.T.; Palheta, R.C., Jr.; Juca, D.M.; Lima, R.C., Jr.; Neto Jde, S.; Magalhaes, P.J.; Santos, A.A.; Souza, M.H.; Brito, G.A.; et al. Cyclooxygenase-2 contributes to functional changes seen on experimental hemorrhagic cystitis induced by ifosfamide in rat urinary bladder. Cancer Chemother. Pharmacol. 2011, 67, 935–943. [Google Scholar] [CrossRef] [PubMed]
- Huang, L.K.; Wang, J.H.; Shen, S.H.; Lin, A.T.; Chang, C.Y. Evaluation of the extent of ketamine-induced uropathy: The role of CT urography. Postgrad. Med. J. 2014, 90, 185–190. [Google Scholar] [CrossRef] [PubMed]
- Huang, P.W.; Meng, E.; Cha, T.L.; Sun, G.H.; Yu, D.S.; Chang, S.Y. ‘Walking-stick ureters’ in ketamine abuse. Kidney Int. 2011, 80, 895. [Google Scholar] [CrossRef] [PubMed]
- Jhang, J.F.; Hsu, Y.H.; Jiang, Y.H.; Kuo, H.C. Elevated serum IgE may be associated with development of ketamine cystitis. J. Urol. 2014, 192, 1249–1256. [Google Scholar] [CrossRef]
- Lee, C.L.; Jiang, Y.H.; Kuo, H.C. Increased apoptosis and suburothelial inflammation in patients with ketamine-related cystitis: A comparison with non-ulcerative interstitial cystitis and controls. BJU Int. 2013, 112, 1156–1162. [Google Scholar] [CrossRef]
- Jhang, J.F.; Hsu, Y.H.; Kuo, H.C. Possible pathophysiology of ketamine-related cystitis and associated treatment strategies. Int. J. Urol. 2015, 22, 816–825. [Google Scholar] [CrossRef]
- Chen, H.; Vandorpe, D.H.; Xie, X.; Alper, S.L.; Zeidel, M.L.; Yu, W. Disruption of Cav1.2-mediated signaling is a pathway for ketamine-induced pathology. Nat. Commun. 2020, 11, 4328. [Google Scholar] [CrossRef]
- Berridge, M.J.; Lipp, P.; Bootman, M.D. The versatility and universality of calcium signaling. Nat. Rev. Mol. Cell Biol. 2000, 1, 11–21. [Google Scholar] [CrossRef]
- Kondratskyi, A.; Kondratska, K.; Skryma, R.; Klionsky, D.J.; Prevarskaya, N. Ion channels in the regulation of autophagy. Autophagy 2018, 14, 3–21. [Google Scholar] [CrossRef]
- Li, M.; Gao, P.; Zhang, J. Crosstalk between Autophagy and Apoptosis: Potential and Emerging Therapeutic Targets for Cardiac Diseases. Int. J. Mol. Sci. 2016, 17, 332. [Google Scholar] [CrossRef] [PubMed]
- Bonam, S.R.; Bayry, J.; Mario PTschan Muller, S. Progress and Challenges in the Use of MAP1LC3 as a Legitimate Marker for Measuring Dynamic Autophagy In Vivo. Cells 2020, 9, 1321. [Google Scholar] [CrossRef] [PubMed]
- Nikoletopoulou, V.; Markaki, M.; Palikaras, K.; Tavernarakis, N. Crosstalk between apoptosis, necrosis and autophagy. Biochim. Biophys. Acta 2013, 1833, 3448–3459. [Google Scholar] [CrossRef] [PubMed]
- Cha, H.H.; Hwang, J.R.; Kim, H.Y.; Choi, S.J.; Oh, S.Y.; Roh, C.R. Autophagy induced by tumor necrosis factor alpha mediates intrinsic apoptosis in trophoblastic cells. Reprod. Sci. 2014, 21, 612–622. [Google Scholar] [CrossRef]
- Tang, Y.; Jacobi, A.; Vater, C.; Zou, L.; Zou, X.; Stiehler, M. Icariin promotes angiogenic differentiation and prevents oxidative stress-induced autophagy in endothelial progenitor cells. Stem Cells 2015, 33, 1863–1877. [Google Scholar] [CrossRef] [PubMed]
- Zheng, Y.; Wu, Z.; Yi, F.; Orange, M.; Yao, M.; Yang, B.; Liu, J.; Zhu, H. By Activating Akt/eNOS Bilobalide B Inhibits Autophagy and Promotes Angiogenesis Following Focal Cerebral Ischemia Reperfusion. Cell Physiol. Biochem. 2018, 47, 604–616. [Google Scholar] [CrossRef]
- Schaaf, M.B.; Houbaert, D.; Mece, O.; Agostinis, P. Autophagy in endothelial cells and tumor angiogenesis. Cell Death Differ. 2019, 26, 665–679. [Google Scholar] [CrossRef] [PubMed]
- Hickson-Bick, D.L.; Jones, C.; Buja, L.M. Stimulation of mitochondrial biogenesis and autophagy by lipopolysaccharide in the neonatal rat cardiomyocyte protects against programmed cell death. J. Mol. Cell Cardiol. 2008, 44, 411–418. [Google Scholar] [CrossRef]
- Scherz-Shouval, R.; Elazar, Z. ROS, mitochondria and the regulation of autophagy. Trends Cell Biol. 2007, 17, 422–427. [Google Scholar] [CrossRef]
- Schroder, A.; Kirwan, T.P.; Jiang, J.X.; Aitken, K.J.; Bagli, D.J. Rapamycin attenuates bladder hypertrophy during long-term outlet obstruction in vivo: Tissue, matrix and mechanistic insights. J. Urol. 2013, 189, 2377–2384. [Google Scholar] [CrossRef] [PubMed]
- Zhao, J.; Song, Q.; Wang, L.; Dong, X.; Yang, X.; Bai, X.; Song, B.; Damaser, M.; Li, L. Detrusor myocyte autophagy protects the bladder function via inhibiting the inflammation in cyclophosphamide-induced cystitis in rats. PLoS ONE 2015, 10, e0122597. [Google Scholar] [CrossRef] [PubMed]
- Fan, N.; Zhang, M.; Xu, K.; Ke, X.; Ding, Y.; Wang, D.; Liu, Y.; Ning, Y.; Deng, X.; He, H. Serum level of vascular endothelial growth factor decreased in chronic ketamine abusers. Drug Alcohol. Depend. 2015, 152, 57–61. [Google Scholar] [CrossRef] [PubMed]
- Gee, E.; Milkiewicz, M.; Haas, T.L. p38 MAPK activity is stimulated by vascular endothelial growth factor receptor 2 activation and is essential for shear stress-induced angiogenesis. J. Cell Physiol. 2010, 222, 120–126. [Google Scholar] [CrossRef] [PubMed]
- Li, W.L.; Yu, S.P.; Chen, D.; Yu, S.S.; Jiang, Y.J.; Genetta, T.; Wei, L. The regulatory role of NF-kappaB in autophagy-like cell death after focal cerebral ischemia in mice. Neuroscience 2013, 244, 16–30. [Google Scholar] [CrossRef]
- Yang, X.; Hei, C.; Liu, P.; Song, Y.; Thomas, T.; Tshimanga, S.; Wang, F.; Niu, J.; Sun, T.; Li, P.A. Inhibition of mTOR Pathway by Rapamycin Reduces Brain Damage in Rats Subjected to Transient Forebrain Ischemia. Int. J. Biol. Sci. 2015, 11, 1424–1435. [Google Scholar] [CrossRef]
- Hassanpour, M.; Rezabakhsh, A.; Pezeshkian, M.; Rahbarghazi, R.; Nouri, M. Distinct role of autophagy on angiogenesis: Highlights on the effect of autophagy in endothelial lineage and progenitor cells. Stem Cell Res. Ther. 2018, 9, 305. [Google Scholar] [CrossRef]
- Tsyrkunou, A.V.; Ellison, R.T., 3rd; Akalin, A.; Wiederhold, N.; Sutton, D.A.; Lindner, J.; Fan, H.; Levitz, S.M.; Zivna, I. Multifocal Rhizopus microsporus lung infection following brush clearing. Med. Mycol. Case Rep. 2014, 6, 14–17. [Google Scholar] [CrossRef]
- Juan, Y.S.; Lee, Y.L.; Long, C.Y.; Wong, J.H.; Jang, M.Y.; Lu, J.H.; Wu, W.J.; Huang, Y.S.; Chang, W.C.; Chuang, S.M. Translocation of NF-kappaB and expression of cyclooxygenase-2 are enhanced by ketamine-induced ulcerative cystitis in rat bladder. Am. J. Pathol. 2015, 185, 2269–2285. [Google Scholar] [CrossRef]
- Chuang, S.M.; Liu, K.M.; Li, Y.L.; Jang, M.Y.; Lee, H.H.; Wu, W.J.; Chang, W.C.; Levin, R.M.; Juan, Y.S. Dual involvements of cyclooxygenase and nitric oxide synthase expressions in ketamine-induced ulcerative cystitis in rat bladder. Neurourol. Urodyn. 2013, 32, 1137–1143. [Google Scholar] [CrossRef] [PubMed]
- Liu, K.M.; Chuang, S.M.; Long, C.Y.; Lee, Y.L.; Wang, C.C.; Lu, M.C.; Lin, R.J.; Lu, J.H.; Jang, M.Y.; Wu, W.J.; et al. Ketamine-induced ulcerative cystitis and bladder apoptosis involve oxidative stress mediated by mitochondria and the endoplasmic reticulum. Am. J. Physiol. Renal. Physiol. 2015, 309, F318–F331. [Google Scholar] [CrossRef]
- Chuang, S.M.; Liu, K.M.; Lee, Y.C.; Lin, R.J.; Chang, C.Y.; Wu, W.J.; Chang, W.C.; Levin, R.M.; Juan, Y.S. Effects of supraphysiological testosterone treatment and orchiectomy on ischemia/reperfusion-induced bladder dysfunction in male rabbits. J. Sex. Med. 2013, 10, 1278–1290. [Google Scholar] [CrossRef]
- Juan, Y.S.; Hydery, T.; Mannikarottu, A.; Kogan, B.; Schuler, C.; Leggett, R.E.; Lin, W.Y.; Huang, C.H.; Levin, R.M. Coenzyme Q10 protect against ischemia/reperfusion induced biochemical and functional changes in rabbit urinary bladder. Mol Cell Biochem. 2008, 311, 73–80. [Google Scholar] [CrossRef] [PubMed]
- Juan, Y.S.; Mannikarottu, A.; Schuler, C.; Lin, W.Y.; Huang, C.H.; Levin, R.M. The immediate effect of nitric oxide on the rabbit bladder after ovariectomy. Nitric. Oxide. 2008, 19, 289–294. [Google Scholar] [CrossRef]
- Rives, J.; Fernandez-Rodriguez, I.; Rieradevall, J.; Gabarrell, X. Environmental analysis of raw cork extraction in cork oak forests in southern Europe (Catalonia--Spain). J. Environ. Manag. 2012, 110, 236–245. [Google Scholar] [CrossRef] [PubMed]
- Surendar, J.; Indulekha, K.; Mohan, V.; Pradeepa, R. Association of neutrophil-lymphocyte ratio with metabolic syndrome and its components in Asian Indians (CURES-143). J. Diabetes Complications 2016, 30, 1525–1529. [Google Scholar] [CrossRef]
- Brunner, A.; Tzankov, A. The role of structural extracellular matrix proteins in urothelial bladder cancer (review). Biomark. Insights. 2007, 2, 418–427. [Google Scholar] [CrossRef]
- Xu, H.; Pumiglia, K.; LaFlamme, S.E. Laminin-511 and alpha6 integrins regulate the expression of CXCR4 to promote endothelial morphogenesis. J. Cell Sci. 2020, 133. [Google Scholar] [CrossRef]
- Bouvard, C.; Segaoula, Z.; De Arcangelis, A.; Galy-Fauroux, I.; Mauge, L.; Fischer, A.M.; Georges-Labouesse, E.; Helley, D. Tie2-dependent deletion of alpha6 integrin subunit in mice reduces tumor growth and angiogenesis. Int. J. Oncol. 2014, 45, 2058–2064. [Google Scholar] [CrossRef]
- Jhang, J.F.; Hsu, Y.H.; Jiang, Y.H.; Kuo, H.C. The Role of Immunoglobulin E in the Pathogenesis of Ketamine Related Cystitis and Ulcerative Interstitial Cystitis: An Immunohistochemical Study. Pain Physician. 2016, 19, E581–E587. [Google Scholar]
- Yang, Z.J.; Chee, C.E.; Huang, S.; Sinicrope, F.A. The role of autophagy in cancer: Therapeutic implications. Mol. Cancer Ther. 2011, 10, 1533–1541. [Google Scholar] [CrossRef] [PubMed]
- Whang, Y.M.; Kim, M.J.; Cho, M.J.; Yoon, H.; Choi, Y.W.; Kim, T.H.; Chang, I.H. Rapamycin enhances growth inhibition on urothelial carcinoma cells through LKB1 deficiency-mediated mitochondrial dysregulation. J. Cell Physiol. 2019, 234, 13083–13096. [Google Scholar] [CrossRef]
- Wang, L.; Wang, R. Effect of rapamycin (RAPA) on the growth of lung cancer and its mechanism in mice with A549. Int. J. Clin. Exp. Pathol. 2015, 8, 9208–9213. [Google Scholar] [PubMed]
- Liu, F.F.; Zhao, S.; Liu, P.; Huo, S.P. Influence of mTOR signaling pathway on ketamine-induced injuries in the hippocampal neurons of rats. Neurol. Res. 2019, 41, 77–86. [Google Scholar] [CrossRef] [PubMed]
- Gao, L.; Jiang, T.; Guo, J.; Liu, Y.; Cui, G.; Gu, L.; Su, L.; Zhang, Y. Inhibition of autophagy contributes to ischemic postconditioning-induced neuroprotection against focal cerebral ischemia in rats. PLoS ONE 2012, 7, e46092. [Google Scholar] [CrossRef]









| Control | Ketamine | Ketamine+ Rapamycin | Ketamine+ Wortmannin | |
|---|---|---|---|---|
| No. rats | 10 | 10 | 10 | 10 |
| General characteristics | ||||
| Body weight (g) | 248.4 ± 38.2 | 231.7 ± 46.8 | 240.5 ± 23.8 | 237.5 ± 26.4 |
| Bladder weight (mg) | 141.3 ± 16.8 | 173.5 ± 18.7 * | 155.0 ± 10.3 # | 167.0 ± 14.9 * |
| Water intake (cc/24 h) | 30.3 ± 5.9 | 29.9 ± 6.4 | 35.8 ± 7.3 | 37.4 ± 7.1 |
| Urine output (cc/24 h) | 19.7 ± 5.6 | 20.7 ± 5.3 | 24.3 ± 5.8 | 22.9 ± 4.7 |
| Serum parameters | ||||
| Ketamine (ng/mL) | ND | ND | ND | ND |
| Norketamine (ng/mL) | ND | ND | ND | ND |
| Urine parameters | ||||
| Ketamine conc. (ng/mL) | ND | 1268.3 ± 231.5 ** | 1096.7 ± 175.8 ** | 1108.7 ± 195.4 ** |
| Norketamine conc. (ng/mL) | ND | 10150.2 ± 1146.8 ** | 8790.0 ± 1235.4 ** | 9690.0 ± 1033.7 ** |
| Control | Ketamine | Ketamine+ Rapamycin | Ketamine+ Wortmannin | |
|---|---|---|---|---|
| No. rats | 10 | 10 | 10 | 10 |
| Urodynamic parameters | ||||
| Frequency (No. voids/24 h) | 12.2 ± 2.7 | 30.8 ± 7.6 ** | 13.8 ± 3.5 ## | 14.8± 3.3 ## |
| Peak micturition pressure (cmH2O) | 32.6 ± 3.2 | 48.6 ± 5.5 ** | 39.7 ± 3.8 * # | 40.7 ± 5.8 * # |
| Voided volume (mL) | 1.79 ± 0.29 | 1.06 ± 0.27 * | 1.59 ± 0.40 # | 1.48 ± 0.32 # |
| No. non-voiding contractions between micturition (No./60 min) | 0 | 3.7 ± 0.6 ** | 0 # | 0 # |
| Contractile responses | ||||
| Electrical-field stimulation (2 Hz) | 3.0 ± 0.42 | 3.4 ± 0.69 | 3.2 ± 0.58 | 3.2 ± 0.60 |
| Electrical-field stimulation (8 Hz) | 3.9 ± 0.58 | 5.8 ± 0.70 ** | 4.7 ± 0.71 * # | 5.6 ± 0.46 ** |
| Electrical-field stimulation (32 Hz) | 5.0 ± 0.79 | 6.9 ± 0.86 ** | 5.9 ± 0.74 * # | 6.2 ± 0.59 ** |
| Carbachol (20 μM) | 4.0 ± 0.96 | 6.6 ± 0.64 ** | 5.1 ± 0.90 * # | 5.9 ± 0.94 ** |
| KCl (120 mM) | 7.4 ± 1.10 | 10.2 ± 1.30 ** | 7.5 ± 1.40 ## | 9.2 ± 1.00 * |
| Count analysis of leukocytes | ||||
| Total white blood cells (No./μL) | 9936.5 ± 542 | 12014 ± 638 * | 13419 ± 782 ** # | 9820 ± 562 |
| Neutrophils (%) | 18.77 ± 2.78% | 17.70 ± 2.24% | 33.86 ± 4.78% ** ## | 22.97 ± 4.28% * # |
| Lymphocytes (%) | 71.00 ± 7.66% | 72.96 ± 9.36% | 56.10 ± 5.37% * # | 57.72 ± 5.61% * # |
| Monocytes (%) | 7.33 ± 2.20% | 9.93 ± 3.52% * | 10.71 ± 2.69% * | 14.74 ± 2.82% ** # |
| Eosinophils (%) | 1.90 ± 0.27% | 3.82 ± 0.74% * | 1.85 ± 0.26% # | 6.58 ± 0.99% ** ## |
| Basophils (%) | 0.15 ± 0.04% | 0.20 ± 0.05% | 0.41 ± 0.07% * ## | 14 ± 0.06% |
Publisher’s Note: MDPI stays neutral with regard to jurisdictional claims in published maps and institutional affiliations. |
© 2021 by the authors. Licensee MDPI, Basel, Switzerland. This article is an open access article distributed under the terms and conditions of the Creative Commons Attribution (CC BY) license (https://creativecommons.org/licenses/by/4.0/).
Share and Cite
Lu, J.-H.; Wu, Y.-H.; Juan, T.-J.; Lin, H.-Y.; Lin, R.-J.; Chueh, K.-S.; Lee, Y.-C.; Chang, C.-Y.; Juan, Y.-S. Autophagy Alters Bladder Angiogenesis and Improves Bladder Hyperactivity in the Pathogenesis of Ketamine-Induced Cystitis in a Rat Model. Biology 2021, 10, 488. https://doi.org/10.3390/biology10060488
Lu J-H, Wu Y-H, Juan T-J, Lin H-Y, Lin R-J, Chueh K-S, Lee Y-C, Chang C-Y, Juan Y-S. Autophagy Alters Bladder Angiogenesis and Improves Bladder Hyperactivity in the Pathogenesis of Ketamine-Induced Cystitis in a Rat Model. Biology. 2021; 10(6):488. https://doi.org/10.3390/biology10060488
Chicago/Turabian StyleLu, Jian-He, Yi-Hsuan Wu, Tai-Jui Juan, Hung-Yu Lin, Rong-Jyh Lin, Kuang-Shun Chueh, Yi-Chen Lee, Chao-Yuan Chang, and Yung-Shun Juan. 2021. "Autophagy Alters Bladder Angiogenesis and Improves Bladder Hyperactivity in the Pathogenesis of Ketamine-Induced Cystitis in a Rat Model" Biology 10, no. 6: 488. https://doi.org/10.3390/biology10060488
APA StyleLu, J.-H., Wu, Y.-H., Juan, T.-J., Lin, H.-Y., Lin, R.-J., Chueh, K.-S., Lee, Y.-C., Chang, C.-Y., & Juan, Y.-S. (2021). Autophagy Alters Bladder Angiogenesis and Improves Bladder Hyperactivity in the Pathogenesis of Ketamine-Induced Cystitis in a Rat Model. Biology, 10(6), 488. https://doi.org/10.3390/biology10060488

