The Natural HASPIN Inhibitor Coumestrol Suppresses Intestinal Polyp Development, Cachexia, and Hypogonadism in a Mouse Model of Familial Adenomatous Polyposis (ApcMin/+)
Abstract
Simple Summary
Abstract
1. Introduction
2. Materials and Methods
2.1. Animals
2.2. Cultivation of the Bean Sprouts
2.3. Intestinal Polyp Counts
2.4. Histological Observations of the Testes and Epididymides
2.5. Serum Testosterone Measurements
2.6. Western Blotting
2.7. Statistical Analyses
3. Results
3.1. Body Weight
3.2. Intestinal Polyps
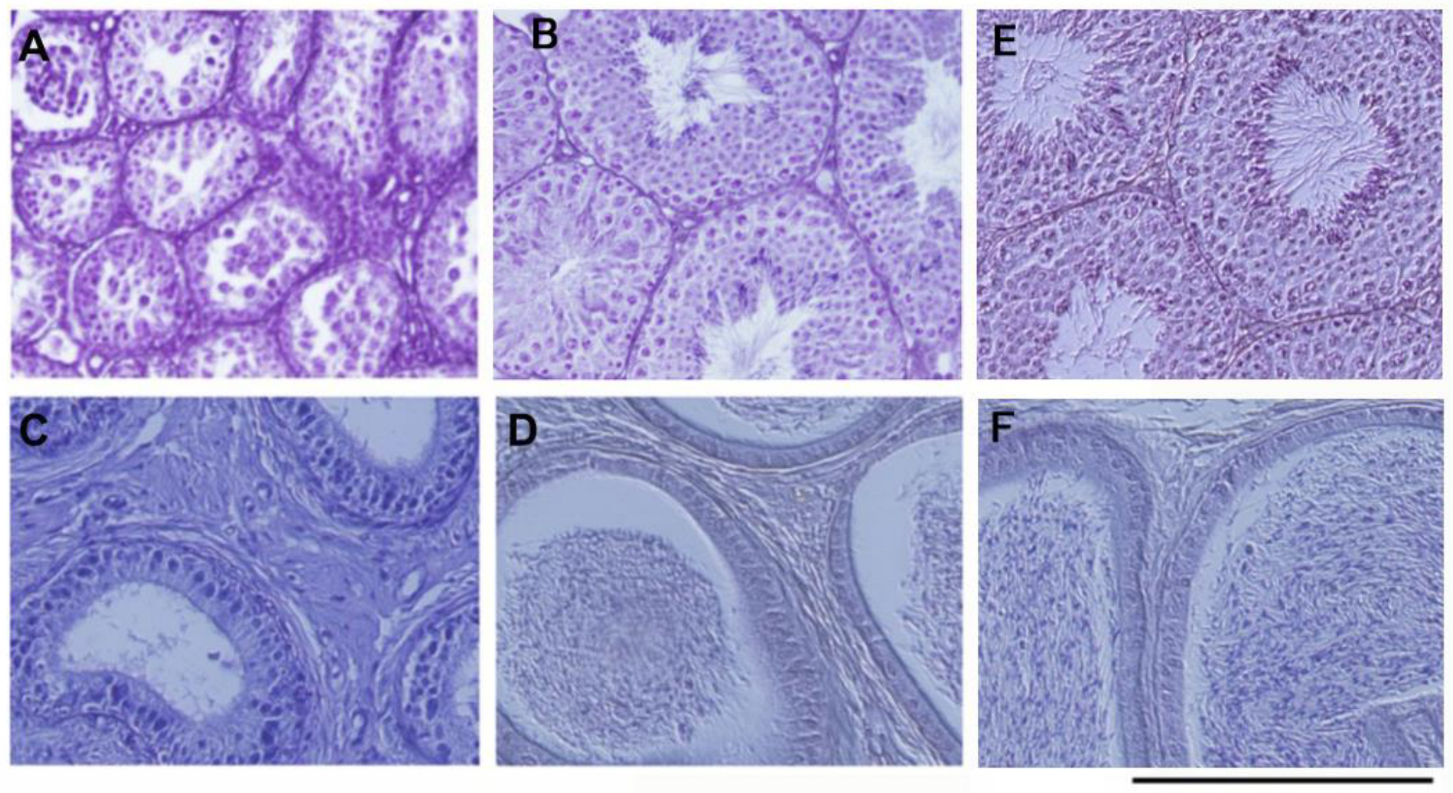
3.3. Observations of Testes and Epididymides
3.4. HASPIN Expression
4. Discussion
5. Conclusions
Supplementary Materials
Author Contributions
Funding
Institutional Review Board Statement
Informed Consent Statement
Data Availability Statement
Acknowledgments
Conflicts of Interest
References
- Mehta, N.; Rao, P.; Saini, R. A review on metabolites and pharmaceutical potential of food legume crop mung bean (Vigna radiata L. Wilczek). BioTechnologia 2021, 102, 425–435. [Google Scholar] [CrossRef]
- Kim, J.E.; Lee, S.Y.; Jang, M.; Choi, H.K.; Kim, J.H.; Chen, H.; Lim, T.G.; Dong, Z.; Lee, K.W. Coumestrol Epigenetically Suppresses Cancer Cell Proliferation: Coumestrol Is a Natural Haspin Kinase Inhibitor. Int. J. Mol. Sci. 2017, 18, 2228. [Google Scholar] [CrossRef]
- Wang, T.; Wang, Y.; Zhuang, X.; Luan, F.; Zhao, C.; Cordeiro, M.N.D.S. Interaction of Coumarin Phytoestrogens with ERα and ERβ: A Molecular Dynamics Simulation Study. Molecules 2020, 25, 1165. [Google Scholar] [CrossRef]
- Blomquist, C.H.; Lima, P.H.; Hotchkiss, J.R. Inhibition of 3α-hydroxysteroid dehydrogenase (3α-HSD) activity of human lung microsomes by genistein, daidzein, coumestrol and C18-, C19- and C21-hydroxysteroids and ketosteroids. Steroids 2005, 70, 507–514. [Google Scholar] [CrossRef]
- Wu, X.T.; Wang, B.; Wei, J.N. Coumestrol promotes proliferation and osteoblastic differentiation in rat bone marrow stromal cells. J. Biomed. Mater. Res. B Appl. Biomater. 2009, 90, 621–628. [Google Scholar] [CrossRef]
- Koirala, P.; Seong, S.H.; Jung, H.A.; Choi, J.S. Comparative Evaluation of the Antioxidant and Anti-Alzheimer’s Disease Potential of Coumestrol and Puerarol Isolated from Pueraria lobata Using Molecular Modeling Studies. Molecules 2018, 3, 785. [Google Scholar] [CrossRef]
- Seo, D.B.; Jeong, H.W.; Lee, S.J.; Lee, S.J. Coumestrol induces mitochondrial biogenesis by activating Sirt1 in cultured skeletal muscle cells. J. Agric. Food Chem. 2014, 62, 4298–4305. [Google Scholar] [CrossRef]
- Cartwright, T.N.; Harris, R.J.; Meyer, S.K.; Mon, A.M.; Watson, N.A.; Tan, C.; Marcelot, A.; Wang, F.; Zinn-Justin, S.; Traktman, P.; et al. Dissecting the roles of Haspin and VRK1 in histone H3 phosphorylation during mitosis. Sci. Rep. 2022, 12, 11210. [Google Scholar] [CrossRef]
- Quadri, R.; Sertic, S.; Muzi-Falconi, M. Roles and regulation of Haspin kinase and its impact on carcinogenesis. Cell Signal. 2022, 93, 110303. [Google Scholar] [CrossRef]
- Tanaka, H.; Matsushita, H.; Tokuhiro, K.; Fukunari, A.; Ando, Y. Ingestion of Soybean Sprouts Containing a HASPIN Inhibitor Improves Condition in a Mouse Model of Alzheimer’s Disease. Biology 2023, 2, 320. [Google Scholar] [CrossRef]
- Fresán, U.; Rodríguez-Sánchez, M.A.; Reina, O.; Corces, V.G.; Espinàs, M.L. Haspin kinase modulates nuclear architecture and Polycomb-dependent gene silencing. PLoS Genet. 2020, 16, e1008962. [Google Scholar] [CrossRef]
- Quadri, R.; Sertic, S.; Ghilardi, A.; Rondelli, D.; Gallo, G.R.; Del Giacco, L.; Muzi-Falconi, M. Phosphorylation of H3-Thr3 by Haspin Is Required for Primary Cilia Regulation. Int. J. Mol. Sci. 2021, 22, 7753. [Google Scholar] [CrossRef]
- Hada, M.; Kim, J.; Inoue, E.; Fukuda, Y.; Tanaka, H.; Watanabe, Y.; Okada, Y. TH2A is phosphorylated at meiotic centromere by Haspin. Chromosoma 2017, 126, 769–780. [Google Scholar] [CrossRef]
- Li, H.; Chen, H.; Zhang, X.; Qi, Y.; Wang, B.; Cui, Y.; Ren, J.; Zhao, Y.; Chen, Y.; Zhu, T.; et al. Global phosphoproteomic analysis identified key kinases regulating male meiosis in mouse. Cell Mol. Life Sci. 2022, 79, 467. [Google Scholar] [CrossRef]
- Maeda, N.; Tsuchida, J.; Nishimune, Y.; Tanaka, H. Analysis of Ser/Thr Kinase HASPIN-Interacting Proteins in the Spermatids. Int. J. Mol. Sci. 2022, 23, 9060. [Google Scholar] [CrossRef]
- Higgins, J.M. Structure, function and evolution of haspin and haspin-related proteins, a distinctive group of eukaryotic protein kinases. Cell Mol. Life Sci. 2003, 60, 446–462. [Google Scholar] [CrossRef]
- Kelly, A.E.; Ghenoiu, C.; Xue, J.Z.; Zierhut, C.; Kimura, H.; Funabiki, H. Survivin reads phosphorylated histone H3 threonine 3 to activate the mitotic kinase Aurora B. Science 2010, 330, 235–239. [Google Scholar] [CrossRef]
- Yamagishi, Y.; Honda, T.; Tanno, Y.; Watanabe, Y. Two histone marks establish the inner centromere and chromosome bi-orientation. Science 2010, 330, 239–243. [Google Scholar] [CrossRef]
- Wang, F.; Ulyanova, N.P.; van der Waal, M.S.; Patnaik, D.; Lens, S.M.; Higgins, J.M. A positive feedback loop involving Haspin and Aurora B promotes CPC accumulation at centromeres in mitosis. Curr. Biol. 2011, 21, 1061–1069. [Google Scholar] [CrossRef]
- Gao, Y.; Ma, B.; Li, Y.; Wu, X.; Zhao, S.; Guo, H.; Wang, Y.; Sun, L.; Xie, J. Haspin balances the ratio of asymmetric cell division through Wnt5a and regulates cell fate decisions in mouse embryonic stem cells. Cell Death Discov. 2023, 9, 307. [Google Scholar] [CrossRef]
- Quadri, R.; Rotondo, G.; Sertic, S.; Pozzi, S.; dell’Oca, M.C.; Guerrini, L.; Muzi-Falconi, M.A. Haspin-ARHGAP11A axis regulates epithelial morphogenesis through Rho-ROCK dependent modulation of LIMK1-Cofilin. iScience 2023, 26, 108011. [Google Scholar] [CrossRef]
- Zhou, L.; Liang, C.; Chen, Q.; Zhang, Z.; Zhang, B.; Yan, H.; Qi, F.; Zhang, M.; Yi, Q.; Guan, Y.; et al. The N-Terminal Non-Kinase-Domain-Mediated Binding of Haspin to Pds5B Protects Centromeric Cohesion in Mitosis. Curr. Biol. 2017, 27, 992–1004. [Google Scholar] [CrossRef]
- Liang, C.; Chen, Q.; Yi, Q.; Zhang, M.; Yan, H.; Zhang, B.; Zhou, L.; Zhang, Z.; Qi, F.; Ye, S.; et al. A kinase-dependent role for Haspin in antagonizing Wapl and protecting mitotic centromere cohesion. EMBO Rep. 2018, 19, 43–56. [Google Scholar] [CrossRef]
- Shimada, M.; Goshima, T.; Matsuo, H.; Johmura, Y.; Haruta, M.; Murata, K.; Tanaka, H.; Ikawa, M.; Nakanishi, K.; Nakanishi, M. Essential role of autoactivation circuitry on Aurora B-mediated H2AX-pS121 in mitosis. Nat. Commun. 2016, 7, 12059. [Google Scholar] [CrossRef]
- Tanaka, H.; Wada, M.; Park, J. HASPIN kinase inhibitor CHR-6494 suppresses intestinal polyp development, cachexia, and hypogonadism in Apcmin/+ mice. Eur. J. Cancer Prev. 2020, 29, 481–485. [Google Scholar] [CrossRef]
- Tomita, H.; Yamada, Y.; Oyama, T.; Hata, K.; Hirose, Y.; Hara, A.; Kunisada, T.; Sugiyama, Y.; Adachi, Y.; Linhart, H.; et al. Development of gastric tumors in Apc(Min/+) mice by the activation of the beta-catenin/Tcf signaling pathway. Cancer Res. 2007, 67, 4079–4087. [Google Scholar] [CrossRef]
- Jackstadt, R.; Sansom, O.J. Mouse models of intestinal cancer. J. Pathol. 2016, 238, 141–151. [Google Scholar] [CrossRef]
- Symonds, E.L.; Fenech, M. A method for non-invasive genotyping of APCmin/+ mice using fecal samples. Biol. Proced. Online 2021, 14, 1. [Google Scholar] [CrossRef]
- Ohta, T.; Uto, T.; Tanaka, H. Effective methods for increasing coumestrol in soybean sprouts. PLoS ONE 2021, 16, e0260147. [Google Scholar] [CrossRef]
- Mochida, Y.; Taguchi, K.; Taniguchi, S.; Tsuneyoshi, M.; Kuwano, H.; Tsuzuki, T.; Kuwano, M.; Wada, M. The role of P-glycoprotein in intestinal tumorigenesis: Disruption of mdr1a suppresses polyp formation in Apc(Min/+) mice. Carcinogenesis 2003, 24, 1219–1224. [Google Scholar] [CrossRef]
- Fujimoto, K.; Fujii, G.; Taguchi, K.; Yasuda, K.; Matsuo, Y.; Hashiyama, A.; Mutoh, M.; Tanaka, H.; Wada, M. Involvement of trefoil factor family 2 in the enlargement of intestinal tumors in Apc(Min/+) mice. Biochem. Biophys. Res. Commun. 2015, 463, 859–863. [Google Scholar] [CrossRef]
- White, J.P.; Puppa, M.J.; Narsale, A.; Carson, J.A. Characterization of the male ApcMin/+ mouse as a hypogonadism model related to cancer cachexia. Biol. Open 2013, 2, 1346–1353. [Google Scholar] [CrossRef]
- You, S.; Ohmori, M.; Peña, M.M.; Nassri, B.; Quiton, J.; Al-Assad, Z.A.; Liu, L.; Wood, P.A.; Berger, S.H.; Liu, Z.; et al. Developmental abnormalities in multiple proliferative tissues of Apc(Min/+) mice. Int. J. Exp. Pathol. 2006, 87, 227–236. [Google Scholar] [CrossRef]
- Tanaka, H.; Iguchi, N.; Nakamura, Y.; Kohroki, J.; de Carvalho, C.E.; Nishimune, Y. Cloning and characterization of human haspin gene encoding haploid germ cell-specific nuclear protein kinase. Mol. Hum. Reprod. 2001, 7, 211–218. [Google Scholar] [CrossRef]
- Nishida-Fukuda, H.; Tokuhiro, K.; Ando, Y.; Matsushita, H.; Wada, M.; Tanaka, H. Evaluation of the antiproliferative effects of the HASPIN inhibitor CHR-6494 in breast cancer cell lines. PLoS ONE 2021, 16, e0249912. [Google Scholar] [CrossRef]
- Anand, U.; Dey, A.; Chandel, A.K.S.; Sanyal, R.; Mishra, A.; Pandey, D.K.; De Falco, V.; Upadhyay, A.; Kandimalla, R.; Chaudhary, A.; et al. Cancer chemotherapy and beyond: Current status, drug candidates, associated risks and progress in targeted therapeutics. Genes Dis. 2022, 10, 1367–1401. [Google Scholar] [CrossRef]
- Elie, J.; Feizbakhsh, O.; Desban, N.; Josselin, B.; Baratte, B.; Bescond, A.; Duez, J.; Fant, X.; Bach, S.; Marie, D.; et al. Design of new disubstituted imidazo[1,2-b]pyridazine derivatives as selective Haspin inhibitors. Synthesis, binding mode and anticancer biological evaluation. J. Enzyme Inhib. Med. Chem. 2020, 35, 1840–1853. [Google Scholar] [CrossRef]
- Huertas, D.; Soler, M.; Moreto, J.; Villanueva, A.; Martinez, A.; Vidal, A.; Charlton, M.; Moffat, D.; Patel, S.; McDermott, J.; et al. Antitumor activity of a small-molecule inhibitor of the histone kinase Haspin. Oncogene 2012, 31, 1408–1418. [Google Scholar] [CrossRef]
- Le Bail, J.C.; Champavier, Y.; Chulia, A.J.; Habrioux, G. Effects of phytoestrogens on aromatase, 3beta and 17beta-hydroxysteroid dehydrogenase activities and human breast cancer cells. Life Sci. 2000, 6, 1281–1291. [Google Scholar] [CrossRef]
- Yu, F.; Lin, Y.; Xu, X.; Liu, W.; Tang, D.; Zhou, X.; Wang, G.; Zheng, Y.; Xie, A. Knockdown of GSG2 inhibits prostate cancer progression in vitro and in vivo. Int. J. Oncol. 2020, 57, 139–150. [Google Scholar] [CrossRef]
- Lim, W.; Jeong, M.; Bazer, F.W.; Song, G. Coumestrol Inhibits Proliferation and Migration of Prostate Cancer Cells by Regulating AKT, ERK1/2, and JNK MAPK Cell Signaling Cascades. J. Cell Physiol. 2017, 232, 862–871. [Google Scholar] [CrossRef] [PubMed]
- Al-Thamiree Mezban, S.; Fox, S.W. Genistein and coumestrol reduce MCF-7 breast cancer cell viability and inhibit markers of preferential metastasis, bone matrix attachment and tumor-induced osteoclastogenesis. Arch. Biochem. Biophys. 2023, 740, 109583. [Google Scholar] [CrossRef] [PubMed]






| Bait Type | Standard | Sprout | ||
|---|---|---|---|---|
| Genotype | WT | ApcMin/+ | WT | ApcMin/+ |
| Testicular weight (g) | 0.09 ± 0.01 | 0.04 ± 0.03 * | 0.09 ± 0.01 | 0.08 ± 0.02 * |
| Epididymal weight (g) | 0.012 ± 0.0007 | 0.006 ± 0.0014 ** | 0.012 ± 0.0007 | 0.010 ± 0.0011 ** |
| Epididymal fat weight (g) | 0.3 ± 0.22 *** | 0.0 ± 0.01 **** | 0.21 ± 0.05 *** | 0.21 ± 0.06 **** |
| Bait Type | Standard | Sprout | ||
|---|---|---|---|---|
| Genotype | WT | ApcMin/+ | WT | ApcMin/+ |
| Serum testosterone (pg/mL) | 283.0 ± 51.0 *, ** | 17.0 ± 6.6 * | 2780.4 ± 1971.7 ** | 973.3 ± 785.7 ** |
Disclaimer/Publisher’s Note: The statements, opinions and data contained in all publications are solely those of the individual author(s) and contributor(s) and not of MDPI and/or the editor(s). MDPI and/or the editor(s) disclaim responsibility for any injury to people or property resulting from any ideas, methods, instructions or products referred to in the content. |
© 2024 by the authors. Licensee MDPI, Basel, Switzerland. This article is an open access article distributed under the terms and conditions of the Creative Commons Attribution (CC BY) license (https://creativecommons.org/licenses/by/4.0/).
Share and Cite
Tanaka, H.; Matsuyama, S.; Ohta, T.; Kakazu, K.; Fujita, K.; Fukuhara, S.; Soda, T.; Miyagawa, Y.; Tsujimura, A. The Natural HASPIN Inhibitor Coumestrol Suppresses Intestinal Polyp Development, Cachexia, and Hypogonadism in a Mouse Model of Familial Adenomatous Polyposis (ApcMin/+). Biology 2024, 13, 736. https://doi.org/10.3390/biology13090736
Tanaka H, Matsuyama S, Ohta T, Kakazu K, Fujita K, Fukuhara S, Soda T, Miyagawa Y, Tsujimura A. The Natural HASPIN Inhibitor Coumestrol Suppresses Intestinal Polyp Development, Cachexia, and Hypogonadism in a Mouse Model of Familial Adenomatous Polyposis (ApcMin/+). Biology. 2024; 13(9):736. https://doi.org/10.3390/biology13090736
Chicago/Turabian StyleTanaka, Hiromitsu, Shunsuke Matsuyama, Tomoe Ohta, Keisuke Kakazu, Kazutoshi Fujita, Shinichiro Fukuhara, Tetsuji Soda, Yasushi Miyagawa, and Akira Tsujimura. 2024. "The Natural HASPIN Inhibitor Coumestrol Suppresses Intestinal Polyp Development, Cachexia, and Hypogonadism in a Mouse Model of Familial Adenomatous Polyposis (ApcMin/+)" Biology 13, no. 9: 736. https://doi.org/10.3390/biology13090736
APA StyleTanaka, H., Matsuyama, S., Ohta, T., Kakazu, K., Fujita, K., Fukuhara, S., Soda, T., Miyagawa, Y., & Tsujimura, A. (2024). The Natural HASPIN Inhibitor Coumestrol Suppresses Intestinal Polyp Development, Cachexia, and Hypogonadism in a Mouse Model of Familial Adenomatous Polyposis (ApcMin/+). Biology, 13(9), 736. https://doi.org/10.3390/biology13090736

