CT/MRI LI-RADS v2018 vs. CEUS LI-RADS v2017—Can Things Be Put Together?
Abstract
Simple Summary
Abstract
1. Introduction
- Threshold growth, a major diagnostic criterion, has a simplified definition in the latest document. Now, it only refers to an increase in size of over 50% of an observation in less than 6 months. A new observation of ≥10mm, or a ≥100% increase in size of an observation over more than 6 months are now considered criteria for subthreshold growth, which represents an ancillary feature.
- In order to simplify the LI-RADS algorithm, LI-RADS 5g and LI-RADS 5us categories were eliminated. In practice, this refers to observations with arterial phase hyperenhancement (APHE), with a size ≥10 mm and ≤19 mm. In the previous 2017 version, ultrasound visualization of a nodule was necessary for observations measuring 10 to 19 mm with APHE and non-rim washout in order to categorize the observation as LI-RADS 5 (LI-RADS 5us). If the observation was not visible by ultrasound, the nodule was classified as LI-RADS 4. In the new document, every observation measuring 10 to 19 mm with APHE and non-rim washout can be classified as LI-RADS 5. Observations with a size ≥10 mm and ≤19 mm with APHE and threshold growth (defined as the mentioned above) are now classified as LI-RADS 5, not LI-RADS 5g, as previously. Observations measuring 10 to 19 mm with APHE and an enhancing capsule, and with no non-rim washout and/or threshold growth, are classified in both documents as LI-RADS 4 [5].
2. Observation or Focal Liver Lesion
2.1. Definition
2.2. Phases of Enhacement
3. Major Features
3.1. Arterial Phase Hyperenhacement (APHE)
3.1.1. Definition
3.1.2. Comparison of CEUS, CECT, and MRI, Similarities and Differences
Similarities
Differences and Complementarity of Techniques
3.2. Washout
3.2.1. Definition
3.2.2. Comparison of CEUS, CECT and MRI, Similarities and Differences
Similarities
- Washout represents a major imaging feature in both CT/MRI LI-RADS and CEUS LI-RADS cores, its presence excluding a LR-1 and LR-2 observation
- However, the sole presence of washout is not sufficient for an observation to be categorized as LR-5 on either CEUS or CT/MRI. There are a few papers that investigated the performance of washout as a standalone feature for the diagnosis of HCC and the reported specificities ranged between 62–100%. Furthermore, in all of these studies, the combination of “washout” and APHE has proved to have higher specificity (96–100%) and PPV (97–100%) when compared with the specificity of “washout” alone [24,25,26].
- On CEUS, as well as on CT/MRI, washout can be applied for any enhancing observation, even in the absence of APHE.
Differences and Complementarity of Techniques
- Washout versus “washout”
- The characterization of washout by its onset and degree
- The characterization of washout by its spatial pattern
3.3. Threshold Growth
3.3.1. Definition
3.3.2. Comparison of CEUS, CECT, and MRI, Similarities and Differences
Similarities
Differences and Complementarity of Techniques
- Threshold growth is a major feature for HCC in the CT/MRI LI-RADS core document, but only an ancillary feature suggesting malignancy in the CEUS core document.
- Definite growth is defined by the CEUS LI-RADS core document as the unequivocal increase in size of a lesion; there is no established “threshold”, but >5 mm is generally considered unequivocal growth. Ultrasound should only be compared with ultrasound and the size increase should not be attributable to artifacts, measurement errors, or difference in technique [46].
- Unequivocal growth evaluated by CEUS favors malignancy in general, not HCC in particular (as threshold growth does in CT/MRI).
- Using the arterial phase of enhancement when measuring an observation should be avoided, if possible, on CT/MRI due to the risk of overestimating the lesion size. On CEUS, measuring the observation can, in most cases, only been done in the arterial phase. On CT/MRI, an observation should be measured in the phase, sequence, and plane in which its margins are the most clear. In the meantime, measuring a lesion in the arterial phase or on diffusion weighted imaging should be avoided [47].
- Threshold growth is considered of less importance in CEUS as compared to CT/MRI. This is because of the lesser reproducibility of US images as compared to CT/MRI and the difficulties of obtaining the same plane of the lesion on seriate US examinations [6].
3.4. Enhancing Capsule
4. Ancillary Features
4.1. Definition
4.2. Comparison of CEUS, CECT and MRI, Similarities and Differences
4.2.1. Similarities
- -
- AF favoring malignancy in general
- -
- AF favoring HCC in particular
- -
- AF favoring benignity
- -
- The mosaic architecture and nodule in nodule (both considered AF which favor HCC in particular)
- -
- Stability in the size of an observation ≥2 years in the absence of treatment or unequivocal decrease in size of a lesion (both considered as AF favoring benignity)
4.2.2. Differences
- Interval growth of an observation
- Nodule in nodule architecture (favors HCC)
- Mosaic architecture (which equally favors HCC)
- -
- threshold growth (increase of a mass by ≥50% in ≤6 months)
- -
- subthreshold growth is defined as increase in size of an observation by less than 50% in 6 months, by any size increase in more than 6 months, or by the appearance of a new lesion, regardless of its size [41].
Ultrasound Visibility as a Discrete Nodule
5. Summary—Complementarity and Added Value of the Techniques
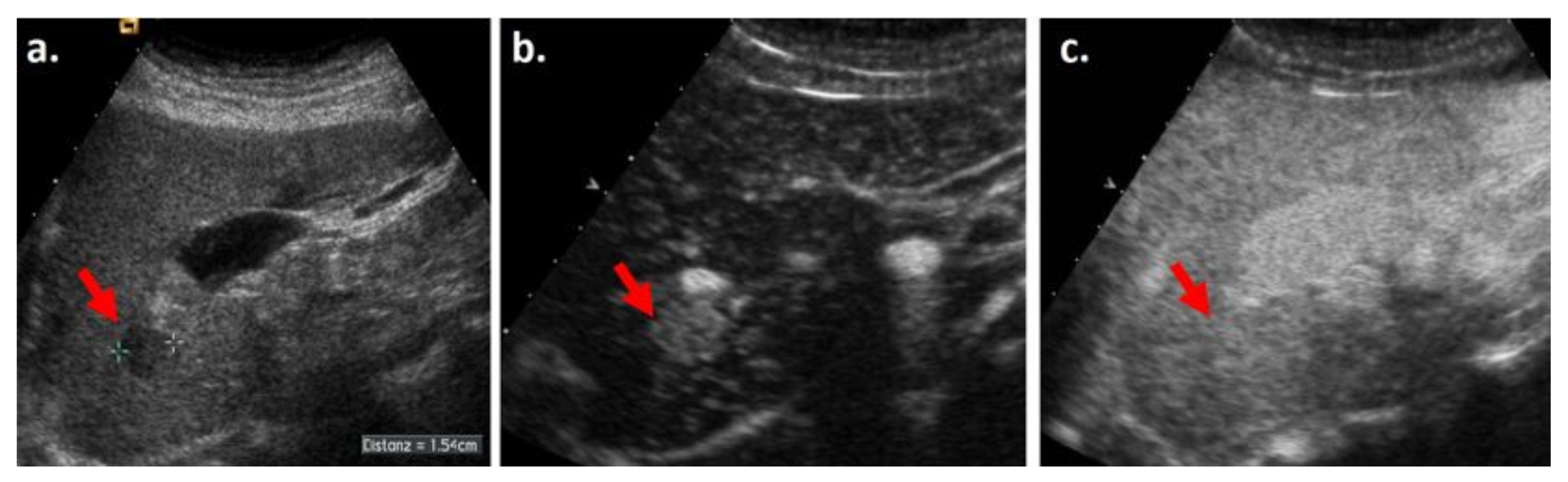
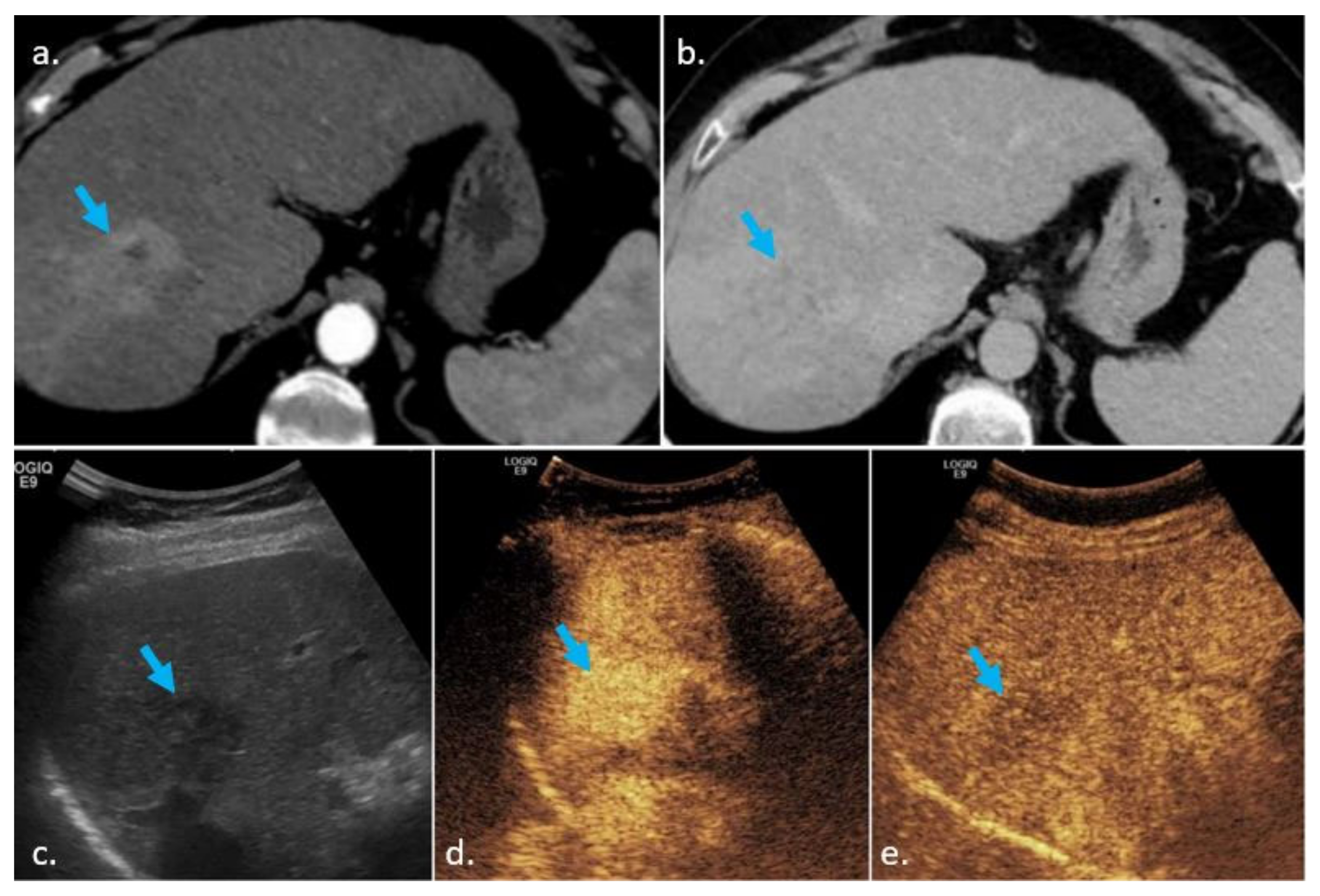
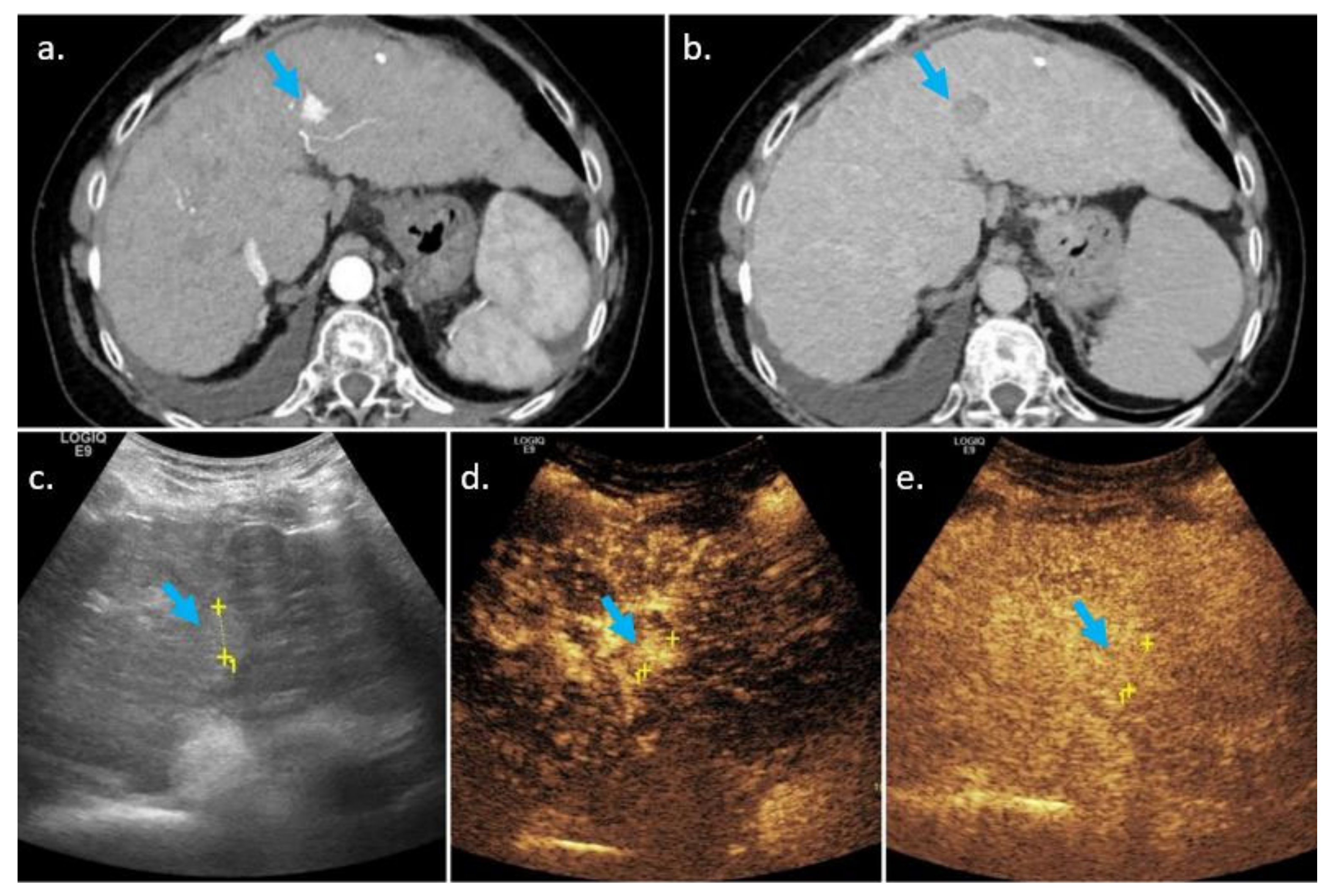
- APHE is a crucial diagnostic feature of HCC. A liver nodule cannot be diagnosed by means of imaging as a LI-RADS 5 observation without APHE. APHE is more easily and accurately depicted by CEUS as compared to CT/MRI [9,14,15,29]. This means that, in practice, a nodule characterized as LI-RADS 3 or 4 by CT/MRI (e.g., a nodule without APHE presenting some washout) can be characterized as LI-RADS 5 by CEUS. We recommend CEUS in suspicious nodules without APHE on CT/MRI.
- CEUS is more sensitive than CT/MRI for depicting washout. In nodules with APHE but without washout on CT and MRI (LI-RADS 3 or 4), CEUS can prove the presence of washout, upgrading the nodule to LI-RADS 5 and, by this, avoiding biopsy. We recommend CEUS in nodules with APHE, but without washout on CT/MRI. On the contrary, if the observation, presenting only with APHE on CT/MRI, is not seen on US/CEUS, it is more likely a vascular pseudolesion and can be confidently considered as benign.
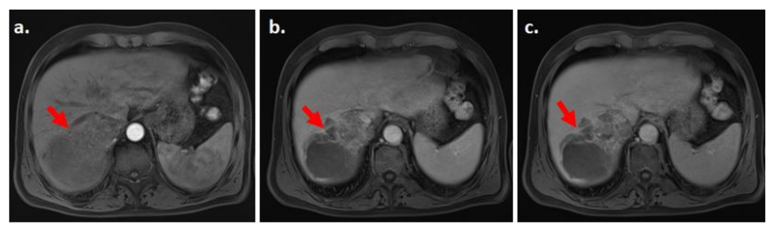
- Washout on CEUS was further divided into early and strong washout (characteristic of non-HCC malignancy) and late and mild washout (a major criterion for HCC). The rationale was improving the sensitivity of diagnosing non-HCC malignancies (particularly ICC) in cirrhotic livers. Still, by using these criteria, many atypical HCC nodules will have a LI-RADS M appearance on CEUS. CT and MRI can change the LI-RADS score for some of this nodules to LI-RADS 5 in these patients, avoiding biopsy, or increase confidence in the diagnosis of LI-RADS M by demonstrating other diagnostic features such as late phase central enhancement.
- Increase in size of a lesion is a criterion with good specificity for the diagnosis of HCC [48]. Threshold growth on CT/MRI is defined by an increase in size of one nodule of more than 50% over less than 6 months; however, any increase in size of a nodule is considered an ancillary feature on CEUS examination [4]. Therefore, we recommend associating CT or MRI in every patient for whom US/CEUS suggests increase in size of a nodule—unequivocal threshold growth associated with APHE can classify the nodule as LI-RADS 5 and biopsy can be avoided.
- For mosaic and nodule in nodule lesions, if APHE cannot be demonstrated by CT/MRI, we recommend additional imaging by CEUS, which is more sensitive in depicting APHE (and subsequently possibly classifying the lesion as LI-RADS 5).
- Ultrasound visibility of the observation as a discrete nodule is an ancillary feature, which helps in differentiating true hepatic lesions from vascular pseudolesions. In most cases, if used as an AF, it upgrades the LI-RADS score from 3 to 4. Many LI-RADS 3 nodules and a vast majority of LI-RADS 4 nodules depicted by ultrasound prove to be HCC. Therefore, if a LI-RADS 3 nodule is depicted by CT or MRI and was not described in the screening by surveillance ultrasound, we suggest repeating a targeted US, as sensitivity of screening ultrasound is known to be moderate, ranging between 58–94% for HCC detection at any stage [69,70,71,72,73], being even lower for the detection of early stage tumors, between 47–63% [71,72]. For LI-RADS 4 nodules, repeating US will not be necessary, as an ancillary feature cannot upgrade the score to LI-RADS 5.
6. Conclusions
Author Contributions
Funding
Institutional Review Board Statement
Informed Consent Statement
Data Availability Statement
Conflicts of Interest
References
- Bruix, J.; Sherman, M. Management of hepatocellular carcinoma: An update. Hepatology 2011, 53, 1020–1022. [Google Scholar] [CrossRef] [PubMed]
- Bota, S.; Piscaglia, F.; Marinelli, S.; Pecorelli, A.; Terzi, E.; Bolondi, L. Comparison of international guidelines for noninvasive diagnosis of hepatocellular carcinoma. Liver Cancer 2012, 1, 190–200. [Google Scholar] [CrossRef]
- American College of Radiology. CT/MRI Liver Imaging Reporting and Data System Version 2018. Available online: https://www.acr.org/Clinical-Resources/Reporting-and-Data-Systems/LI-RADS/CT-MRI-LI-RADS-v2018 (accessed on 15 April 2021).
- American College of Radiology. CEUS LI-RADS®v2017 CORE. Available online: https://www.acr.org/-/media/ACR/Files/RADS/LI-RADS/CEUS-LI-RADS-2017-Core.pdf (accessed on 15 April 2021).
- Kielar, A.Z.; Elsayes, K.M.; Chernyak, V.; Tang, A.; Sirlin, C.B. LI-RADS version 2018: What is new and what does this mean to my radiology reports? Abdom. Radiol. 2019, 44, 41–42. [Google Scholar] [CrossRef] [PubMed]
- Kim, T.K.; Noh, S.Y.; Wilson, S.R.; Kono, Y.; Piscaglia, F.; Jang, H.J.; Lyshchik, A.; Dietrich, C.F.; Willmann, J.K.; Vezeridis, A.; et al. Contrast-enhanced ultrasound (CEUS) liver imaging reporting and data system (LI-RADS) 2017—A review of important differences compared to the CT/MRI system. Clin. Mol. Hepatol. 2017, 23, 280–289. [Google Scholar] [CrossRef] [PubMed]
- Wilson, S.R.; Lyshchik, A.; Piscaglia, F.; Cosgrove, D.; Jang, H.-J.; Sirlin, C.; Dietrich, C.F.; Kim, T.K.; Willmann, J.K.; Kono, Y. CEUS LI-RADS: Algorithm, implementation, and key differences from CT/MRI. Abdom. Radiol. 2017, 43, 127–142. [Google Scholar] [CrossRef] [PubMed]
- Hu, J.; Bhayana, D.; Burak, K.W.; Wilson, S.R. Resolution of indeterminate MRI with CEUS in patients at high risk for hepatocellular carcinoma. Abdom. Radiol. 2019, 45, 123–133. [Google Scholar] [CrossRef] [PubMed]
- Kang, H.-J.; Kim, J.H.; Joo, I.; Han, J.K. Additional value of contrast-enhanced ultrasound (CEUS) on arterial phase non-hyperenhancement observations (≥2 cm) of CT/MRI for high-risk patients: Focusing on the CT/MRI LI-RADS categories LR-3 and LR-4. Abdom. Radiol. 2019, 45, 55–63. [Google Scholar] [CrossRef]
- Santillan, C.; Chernyak, V.; Sirlin, C. LI-RADS categories: Concepts, definitions, and criteria. Abdom. Radiol. 2018, 43, 101–110. [Google Scholar] [CrossRef]
- Heimbach, J.K.; Kulik, L.M.; Finn, R.S.; Sirlin, C.B.; Abecassis, M.M.; Roberts, L.R.; Zhu, A.X.; Murad, M.H.; Marrero, J.A. AASLD guidelines for the treatment of hepatocellular carcinoma. Hepatology 2018, 67, 358–380. [Google Scholar] [CrossRef]
- Tang, A.; Bashir, M.R.; Corwin, M.T.; Cruite, I.; Dietrich, C.F.; Do, R.K.G.; Ehman, E.C.; Fowler, K.J.; Hussain, H.K.; Jha, R.C.; et al. Evidence Supporting LI-RADS Major Features for CT- and MR Imaging-based Diagnosis of Hepatocellular Carcinoma: A Systematic Review. Radiology 2018, 286, 29–48. [Google Scholar] [CrossRef]
- Denecke, T.; Grieser, C.; Froling, V.; Steffen, I.G.; Rudolph, B.; Stelter, L.; Lehmkuhl, L.; Streitparth, F.; Langrehr, J.; Neuhaus, P.; et al. Multislice computed tomography using a triple-phase contrast protocol for preoperative assessment of hepatic tumor load in patients with hepatocellular carcinoma before liver transplantation. Transpl. Int. 2009, 22, 395–402. [Google Scholar] [CrossRef]
- Maruyama, H.; Takahashi, M.; Ishibashi, H.; Yoshikawa, M.; Yokosuka, O. Contrast-enhanced ultrasound for characterisation of hepatic lesions appearing non-hypervascular on CT in chronic liver diseases. Br. J. Radiol. 2012, 85, 351–357. [Google Scholar] [CrossRef]
- Takahashi, M.; Maruyama, H.; Shimada, T.; Kamezaki, H.; Sekimoto, T.; Kanai, F.; Yokosuka, O. Characterization of hepatic lesions (≤30 mm) with liver-specific contrast agents: A comparison between ultrasound and magnetic resonance imaging. Eur. J. Radiol. 2013, 82, 75–84. [Google Scholar] [CrossRef]
- Bolondi, L.; Gaiani, S.; Celli, N.; Golfieri, R.; Grigioni, W.F.; Leoni, S.; Venturi, A.M.; Piscaglia, F. Characterization of small nodules in cirrhosis by assessment of vascularity: The problem of hypovascular hepatocellular carcinoma. Hepatology 2005, 42, 27–34. [Google Scholar] [CrossRef]
- Leoni, S.; Piscaglia, F.; Granito, A.; Borghi, A.; Galassi, M.; Marinelli, S.; Terzi, E.; Bolondi, L. Characterization of primary and recurrent nodules in liver cirrhosis using contrast-enhanced ultrasound: Which vascular criteria should be adopted? Ultraschall Med. Eur. J. Ultrasound 2013, 34, 280–287. [Google Scholar] [CrossRef]
- Jang, H.J.; Kim, T.K.; Khalili, K.; Yazdi, L.; Menezes, R.; Park, S.H.; Sherman, M. Characterization of 1-to 2-cm liver nodules detected on hcc surveillance ultrasound according to the criteria of the American Association for the Study of Liver Disease: Is quadriphasic CT necessary? Am. J. Roentgenol. 2013, 201, 314–321. [Google Scholar] [CrossRef]
- Park, M.J.; Kim, Y.K.; Lee, M.H.; Lee, J.H. Validation of diagnostic criteria using gadoxetic acid-enhanced and diffusion-weighted MR imaging for small hepatocellular carcinoma (≤2.0 cm) in patients with hepatitis-induced liver cirrhosis. Acta Radiol. 2013, 54, 127–136. [Google Scholar] [CrossRef]
- Valls, C.; Cos, M.; Figueras, J.; Andia, E.; Ramos, E.; Sanchez, A.; Serrano, T.; Torras, J. Pretransplantation diagnosis and staging of hepatocellular carcinoma in patients with cirrhosis: Value of dual-phase helical CT. Am. J. Roentgenol. 2004, 182, 1011–1017. [Google Scholar] [CrossRef]
- Jang, H.J.; Kim, T.K.; Wilson, S.R. Small nodules (1–2 cm) in liver cirrhosis: Characterization with contrast-enhanced ultrasound. Eur. J. Radiol. 2009, 72, 418–424. [Google Scholar] [CrossRef]
- Giorgio, A.; Montesarchio, L.; Gatti, P.; Amendola, F.; Matteucci, P.; Santoro, B.; Merola, M.G.; Merola, F.; Coppola, C.; Giorgio, V. Contrast-Enhanced Ultrasound: A Simple and Effective Tool in Defining a Rapid Diagnostic Work-up for Small Nodules Detected in Cirrhotic Patients during Surveillance. J. Gastrointest. Liver Dis. 2016, 25, 205–211. [Google Scholar] [CrossRef]
- Elsayes, K.M.; Kielar, A.Z.; Agrons, M.M.; Szklaruk, J.; Tang, A.; Bashir, M.R.; Mitchell, D.G.; Do, R.K.; Fowler, K.J.; Chernyak, V.; et al. Liver Imaging Reporting and Data System: An expert consensus statement. J. Hepatocell. Carcinoma 2017, 4, 29–39. [Google Scholar] [CrossRef] [PubMed]
- Sangiovanni, A.; Manini, M.A.; Iavarone, M.; Romeo, R.; Forzenigo, L.V.; Fraquelli, M.; Massironi, S.; Della Corte, C.; Ronchi, G.; Rumi, M.G.; et al. The diagnostic and economic impact of contrast imaging techniques in the diagnosis of small hepatocellular carcinoma in cirrhosis. Gut 2010, 59, 638–644. [Google Scholar] [CrossRef] [PubMed]
- Kim, T.K.; Lee, K.H.; Jang, H.J.; Haider, M.A.; Jacks, L.M.; Menezes, R.J.; Park, S.H.; Yazdi, L.; Sherman, M.; Khalili, K. Analysis of gadobenate dimeglumine-enhanced MR findings for characterizing small (1–2-cm) hepatic nodules in patients at high risk for hepatocellular carcinoma. Radiology 2011, 259, 730–738. [Google Scholar] [CrossRef] [PubMed]
- Rimola, J.; Forner, A.; Tremosini, S.; Reig, M.; Vilana, R.; Bianchi, L.; Rodriguez-Lope, C.; Sole, M.; Ayuso, C.; Bruix, J. Non-invasive diagnosis of hepatocellular carcinoma ≤ 2 cm in cirrhosis. Diagnostic accuracy assessing fat, capsule and signal intensity at dynamic MRI. J. Hepatol. 2012, 56, 1317–1323. [Google Scholar] [CrossRef]
- Wang, J.Y.; Feng, S.Y.; Yi, A.J.; Zhu, D.; Xu, J.W.; Li, J.; Cui, X.W.; Dietrich, C.F. Comparison of Contrast-Enhanced Ultrasound versus Contrast-Enhanced Magnetic Resonance Imaging for the Diagnosis of Focal Liver Lesions Using the Liver Imaging Reporting and Data System. Ultrasound Med. Biol. 2020, 46, 1216–1223. [Google Scholar] [CrossRef]
- Leoni, S.; Piscaglia, F.; Golfieri, R.; Camaggi, V.; Vidili, G.; Pini, P.; Bolondi, L. The impact of vascular and nonvascular findings on the noninvasive diagnosis of small hepatocellular carcinoma based on the EASL and AASLD criteria. Am. J. Gastroenterol. 2010, 105, 599–609. [Google Scholar] [CrossRef]
- Wilson, S.R.; Kim, T.K.; Jang, H.J.; Burns, P.N. Enhancement patterns of focal liver masses: Discordance between contrast-enhanced sonography and contrast-enhanced CT and MRI. Am. J. Roentgenol. 2007, 189, W7–W12. [Google Scholar] [CrossRef]
- Burns, P.N.; Wilson, S.R. Focal liver masses: Enhancement patterns on contrast-enhanced images—concordance of US scans with CT scans and MR images. Radiology 2007, 242, 162–174. [Google Scholar] [CrossRef]
- D’Onofrio, M.; Crosara, S.; De Robertis, R.; Canestrini, S.; Cantisani, V.; Morana, G.; Mucelli, R.P. Malignant focal liver lesions at contrast-enhanced ultrasonography and magnetic resonance with hepatospecific contrast agent. Ultrasound 2014, 22, 91–98. [Google Scholar] [CrossRef]
- Han, J.; Liu, Y.; Han, F.; Li, Q.; Yan, C.; Zheng, W.; Wang, J.; Guo, Z.; Wang, J.; Li, A.; et al. The Degree of Contrast Washout on Contrast-Enhanced Ultrasound in Distinguishing Intrahepatic Cholangiocarcinoma from Hepatocellular Carcinoma. Ultrasound Med. Biol. 2015, 41, 3088–3095. [Google Scholar] [CrossRef]
- Chen, L.D.; Xu, H.X.; Xie, X.Y.; Xie, X.H.; Xu, Z.F.; Liu, G.J.; Wang, Z.; Lin, M.X.; Lu, M.D. Intrahepatic cholangiocarcinoma and hepatocellular carcinoma: Differential diagnosis with contrast-enhanced ultrasound. Eur. Radiol. 2010, 20, 743–753. [Google Scholar] [CrossRef]
- Dietrich, C.F.; Cui, X.W.; Boozari, B.; Hocke, M.; Ignee, A. Contrast-enhanced ultrasound (CEUS) in the diagnostic algorithm of hepatocellular and cholangiocellular carcinoma, comments on the AASLD guidelines. Ultraschall Med. 2012, 33 (Suppl. 1), S57–S66. [Google Scholar] [CrossRef]
- Li, R.; Yuan, M.X.; Ma, K.S.; Li, X.W.; Tang, C.L.; Zhang, X.H.; Guo, D.Y.; Yan, X.C. Detailed analysis of temporal features on contrast enhanced ultrasound may help differentiate intrahepatic cholangiocarcinoma from hepatocellular carcinoma in cirrhosis. PLoS ONE 2014, 9, e98612. [Google Scholar] [CrossRef]
- Wildner, D.; Bernatik, T.; Greis, C.; Seitz, K.; Neurath, M.F.; Strobel, D. CEUS in hepatocellular carcinoma and intrahepatic cholangiocellular carcinoma in 320 patients—Early or late washout matters: A subanalysis of the DEGUM multicenter trial. Ultraschall Med. 2015, 36, 132–139. [Google Scholar] [CrossRef]
- Terzi, E.; Iavarone, M.; Pompili, M.; Veronese, L.; Cabibbo, G.; Fraquelli, M.; Riccardi, L.; De Bonis, L.; Sangiovanni, A.; Leoni, S.; et al. Contrast ultrasound LI-RADS LR-5 identifies hepatocellular carcinoma in cirrhosis in a multicenter restropective study of 1006 nodules. J. Hepatol. 2018, 68, 485–492. [Google Scholar] [CrossRef]
- Kang, Y.; Lee, J.M.; Kim, S.H.; Han, J.K.; Choi, B.I. Intrahepatic mass-forming cholangiocarcinoma: Enhancement patterns on gadoxetic acid-enhanced MR images. Radiology 2012, 264, 751–760. [Google Scholar] [CrossRef]
- Jeong, H.T.; Kim, M.J.; Chung, Y.E.; Choi, J.Y.; Park, Y.N.; Kim, K.W. Gadoxetate disodium-enhanced MRI of mass-forming intrahepatic cholangiocarcinomas: Imaging-histologic correlation. Am. J. Roentgenol. 2013, 201, W603–W611. [Google Scholar] [CrossRef]
- Chong, Y.S.; Kim, Y.K.; Lee, M.W.; Kim, S.H.; Lee, W.J.; Rhim, H.C.; Lee, S.J. Differentiating mass-forming intrahepatic cholangiocarcinoma from atypical hepatocellular carcinoma using gadoxetic acid-enhanced MRI. Clin. Radiol. 2012, 67, 766–773. [Google Scholar] [CrossRef]
- Cerny, M.; Chernyak, V.; Olivie, D.; Billiard, J.S.; Murphy-Lavallee, J.; Kielar, A.Z.; Elsayes, K.M.; Bourque, L.; Hooker, J.C.; Sirlin, C.B.; et al. LI-RADS Version 2018 Ancillary Features at MRI. Radiographics 2018, 38, 1973–2001. [Google Scholar] [CrossRef]
- Iavarone, M.; Piscaglia, F.; Vavassori, S.; Galassi, M.; Sangiovanni, A.; Venerandi, L.; Forzenigo, L.V.; Golfieri, R.; Bolondi, L.; Colombo, M. Contrast enhanced CT-scan to diagnose intrahepatic cholangiocarcinoma in patients with cirrhosis. J. Hepatol. 2013, 58, 1188–1193. [Google Scholar] [CrossRef]
- Kim, S.J.; Lee, J.M.; Han, J.K.; Kim, K.H.; Lee, J.Y.; Choi, B.I. Peripheral mass-forming cholangiocarcinoma in cirrhotic liver. Am. J. Roentgenol. 2007, 189, 1428–1434. [Google Scholar] [CrossRef]
- Kim, S.A.; Lee, J.M.; Lee, K.B.; Kim, S.H.; Yoon, S.H.; Han, J.K.; Choi, B.I. Intrahepatic mass-forming cholangiocarcinomas: Enhancement patterns at multiphasic CT, with special emphasis on arterial enhancement pattern—correlation with clinicopathologic findings. Radiology 2011, 260, 148–157. [Google Scholar] [CrossRef]
- Chung, Y.E.; Kim, M.J.; Park, Y.N.; Choi, J.Y.; Pyo, J.Y.; Kim, Y.C.; Cho, H.J.; Kim, K.A.; Choi, S.Y. Varying appearances of cholangiocarcinoma: Radiologic-pathologic correlation. Radiographics 2009, 29, 683–700. [Google Scholar] [CrossRef]
- Chernyak, V.; Kobi, M.; Flusberg, M.; Fruitman, K.C.; Sirlin, C.B. Effect of threshold growth as a major feature on LI-RADS categorization. Abdom. Radiol. 2017, 42, 2089–2100. [Google Scholar] [CrossRef]
- Elsayes, K.M.; Kielar, A.Z.; Chernyak, V.; Morshid, A.; Furlan, A.; Masch, W.R.; Marks, R.M.; Kamaya, A.; Do, R.K.G.; Kono, Y.; et al. LI-RADS: A conceptual and historical review from its beginning to its recent integration into AASLD clinical practice guidance. J. Hepatocell. Carcinoma 2019, 6, 49–69. [Google Scholar] [CrossRef]
- Alhasan, A.; Cerny, M.; Olivie, D.; Billiard, J.S.; Bergeron, C.; Brown, K.; Bodson-Clermont, P.; Castel, H.; Turcotte, S.; Perreault, P.; et al. LI-RADS for CT diagnosis of hepatocellular carcinoma: Performance of major and ancillary features. Abdom. Radiol. 2019, 44, 517–528. [Google Scholar] [CrossRef]
- Choi, D.; Mitchell, D.G.; Verma, S.K.; Bergin, D.; Navarro, V.J.; Malliah, A.B.; McGowan, C.; Hann, H.W.; Herrine, S.K. Hepatocellular carcinoma with indeterminate or false-negative findings at initial MR imaging: Effect on eligibility for curative treatment initial observations. Radiology 2007, 244, 776–783. [Google Scholar] [CrossRef] [PubMed]
- Taouli, B.; Goh, J.S.; Lu, Y.; Qayyum, A.; Yeh, B.M.; Merriman, R.B.; Coakley, F.V. Growth rate of hepatocellular carcinoma: Evaluation with serial computed tomography or magnetic resonance imaging. J. Comput. Assist. Tomogr. 2005, 29, 425–429. [Google Scholar] [CrossRef] [PubMed]
- Toyoda, H.; Kumada, T.; Honda, T.; Hayashi, K.; Katano, Y.; Nakano, I.; Hayakawa, T.; Fukuda, Y. Analysis of hepatocellular carcinoma tumor growth detected in sustained responders to interferon in patients with chronic hepatitis C. J. Gastroenterol. Hepatol. 2001, 16, 1131–1137. [Google Scholar] [CrossRef] [PubMed]
- Saito, Y.; Matsuzaki, Y.; Doi, M.; Sugitani, T.; Chiba, T.; Abei, M.; Shoda, J.; Tanaka, N. Multiple regression analysis for assessing the growth of small hepatocellular carcinoma: The MIB-1 labeling index is the most effective parameter. J. Gastroenterol. 1998, 33, 229–235. [Google Scholar] [CrossRef] [PubMed]
- Shingaki, N.; Tamai, H.; Mori, Y.; Moribata, K.; Enomoto, S.; Deguchi, H.; Ueda, K.; Inoue, I.; Maekita, T.; Iguchi, M.; et al. Serological and histological indices of hepatocellular carcinoma and tumor volume doubling time. Mol. Clin. Oncol. 2013, 1, 977–981. [Google Scholar] [CrossRef]
- Shimofusa, R.; Ueda, T.; Kishimoto, T.; Nakajima, M.; Yoshikawa, M.; Kondo, F.; Ito, H. Magnetic resonance imaging of hepatocellular carcinoma: A pictorial review of novel insights into pathophysiological features revealed by magnetic resonance imaging. J. Hepatobiliary Pancreat. Sci. 2010, 17, 583–589. [Google Scholar] [CrossRef]
- Ishigami, K.; Yoshimitsu, K.; Nishihara, Y.; Irie, H.; Asayama, Y.; Tajima, T.; Nishie, A.; Hirakawa, M.; Ushijima, Y.; Okamoto, D.; et al. Hepatocellular carcinoma with a pseudocapsule on gadolinium-enhanced MR images: Correlation with histopathologic findings. Radiology 2009, 250, 435–443. [Google Scholar] [CrossRef]
- Cerny, M.; Bergeron, C.; Billiard, J.S.; Murphy-Lavallee, J.; Olivie, D.; Berube, J.; Fan, B.; Castel, H.; Turcotte, S.; Perreault, P.; et al. LI-RADS for MR Imaging Diagnosis of Hepatocellular Carcinoma: Performance of Major and Ancillary Features. Radiology 2018, 288, 118–128. [Google Scholar] [CrossRef]
- Khan, A.S.; Hussain, H.K.; Johnson, T.D.; Weadock, W.J.; Pelletier, S.J.; Marrero, J.A. Value of delayed hypointensity and delayed enhancing rim in magnetic resonance imaging diagnosis of small hepatocellular carcinoma in the cirrhotic liver. J. Magn. Reson. Imaging 2010, 32, 360–366. [Google Scholar] [CrossRef]
- Zhang, Y.D.; Zhu, F.P.; Xu, X.; Wang, Q.; Wu, C.J.; Liu, X.S.; Shi, H.B. Liver Imaging Reporting and Data System: Substantial Discordance Between CT and MR for Imaging Classification of Hepatic Nodules. Acad. Radiol. 2016, 23, 344–352. [Google Scholar] [CrossRef]
- Corwin, M.T.; Fananapazir, G.; Jin, M.; Lamba, R.; Bashir, M.R. Differences in Liver Imaging and Reporting Data System Categorization Between MRI and CT. Am. J. Roentgenol. 2016, 206, 307–312. [Google Scholar] [CrossRef]
- Kadoya, M.; Matsui, O.; Takashima, T.; Nonomura, A. Hepatocellular carcinoma: Correlation of MR imaging and histopathologic findings. Radiology 1992, 183, 819–825. [Google Scholar] [CrossRef]
- Khatri, G.; Merrick, L.; Miller, F.H. MR imaging of hepatocellular carcinoma. Magn. Reson. Imaging Clin. N. Am. 2010, 18, 421–450. [Google Scholar] [CrossRef]
- Mitchell, D.G.; Rubin, R.; Siegelman, E.S.; Burk, D.L., Jr.; Rifkin, M.D. Hepatocellular carcinoma within siderotic regenerative nodules: Appearance as a nodule within a nodule on MR images. Radiology 1991, 178, 101–103. [Google Scholar] [CrossRef]
- Cruite, I.; Santillan, C.; Mamidipalli, A.; Shah, A.; Tang, A.; Sirlin, C.B. Liver Imaging Reporting and Data System: Review of Ancillary Imaging Features. Semin. Roentgenol. 2016, 51, 301–307. [Google Scholar] [CrossRef] [PubMed]
- Choi, S.H.; Byun, J.H.; Kim, S.Y.; Lee, S.J.; Won, H.J.; Shin, Y.M.; Kim, P.N. Liver Imaging Reporting and Data System v2014 With Gadoxetate Disodium-Enhanced Magnetic Resonance Imaging: Validation of LI-RADS Category 4 and 5 Criteria. Investig. Radiol. 2016, 51, 483–490. [Google Scholar] [CrossRef]
- Darnell, A.; Forner, A.; Rimola, J.; Reig, M.; Garcia-Criado, A.; Ayuso, C.; Bruix, J. Liver Imaging Reporting and Data System with MR Imaging: Evaluation in Nodules 20 mm or Smaller Detected in Cirrhosis at Screening US. Radiology 2015, 275, 698–707. [Google Scholar] [CrossRef] [PubMed]
- American College of Radiology. Ultrasound LI-RADS v2017. Available online: https://www.acr.org/Clinical-Resources/Reporting-and-Data-Systems/LI-RADS/Ultrasound-LI-RADS-v2017 (accessed on 15 April 2021).
- Moudgil, S.; Kalra, N.; Prabhakar, N.; Dhiman, R.K.; Behera, A.; Chawla, Y.K.; Khandelwal, N. Comparison of Contrast Enhanced Ultrasound with Contrast Enhanced Computed Tomography for the Diagnosis of Hepatocellular Carcinoma. J. Clin. Exp. Hepatol. 2017, 7, 222–229. [Google Scholar] [CrossRef] [PubMed]
- Xu, J.F.; Liu, H.Y.; Shi, Y.; Wei, Z.H.; Wu, Y. Evaluation of hepatocellular carcinoma by contrast-enhanced sonography: Correlation with pathologic differentiation. J. Ultrasound Med. 2011, 30, 625–633. [Google Scholar] [CrossRef] [PubMed]
- Gambarin-Gelwan, M.; Wolf, D.C.; Shapiro, R.; Schwartz, M.E.; Min, A.D. Sensitivity of commonly available screening tests in detecting hepatocellular carcinoma in cirrhotic patients undergoing liver transplantation. Am. J. Gastroenterol. 2000, 95, 1535–1538. [Google Scholar] [CrossRef] [PubMed]
- Claudon, M.; Dietrich, C.F.; Choi, B.I.; Cosgrove, D.O.; Kudo, M.; Nolsoe, C.P.; Piscaglia, F.; Wilson, S.R.; Barr, R.G.; Chammas, M.C.; et al. Guidelines and good clinical practice recommendations for contrast enhanced ultrasound (CEUS) in the liver--update 2012: A WFUMB-EFSUMB initiative in cooperation with representatives of AFSUMB, AIUM, ASUM, FLAUS and ICUS. Ultraschall Med. 2013, 34, 11–29. [Google Scholar]
- Tzartzeva, K.; Obi, J.; Rich, N.E.; Parikh, N.D.; Marrero, J.A.; Yopp, A.; Waljee, A.K.; Singal, A.G. Surveillance Imaging and Alpha Fetoprotein for Early Detection of Hepatocellular Carcinoma in Patients with Cirrhosis: A Meta-analysis. Gastroenterology 2018, 154, 1706–1718.e1. [Google Scholar] [CrossRef]
- Singal, A.; Volk, M.L.; Waljee, A.; Salgia, R.; Higgins, P.; Rogers, M.A.; Marrero, J.A. Meta-analysis: Surveillance with ultrasound for early-stage hepatocellular carcinoma in patients with cirrhosis. Aliment. Pharm. Ther. 2009, 30, 37–47. [Google Scholar] [CrossRef]
- Chou, R.; Cuevas, C.; Fu, R.; Devine, B.; Wasson, N.; Ginsburg, A.; Zakher, B.; Pappas, M.; Graham, E.; Sullivan, S.D. Imaging Techniques for the Diagnosis of Hepatocellular Carcinoma: A Systematic Review and Meta-analysis. Ann. Intern. Med. 2015, 162, 697–711. [Google Scholar] [CrossRef]






| CEUS | CT/MRI | |
|---|---|---|
| APHE | ++ Real-time evaluation | + Late phase arterial |
| Washout | ++ True washout Late and mild (> 60 s) | + Relative “washout” Regardless of intensity/onset |
| Threshold growth | Not a major feature CT/MRI recommended if positive | ++ |
| Enhancing capsule | Not appreciable | +/++ |
| CEUS | CT | MRI | ||
|---|---|---|---|---|
| Favoring HCC | Mosaic appearance | + | + | ++ |
| Nodule in nodule | + | + | ++ | |
| Favoring malignancy (in general) | Size increase | Definite growth (+) | Subthreshold growth (+) | |
| Favoring benignity | Size stability >2 years | + | + | + |
| Size reduction | + | + | + | |
| Favored Diagnosis | Ancillary Feature | CT | MRI |
|---|---|---|---|
| Favoring malignancy (in general) | US visibility as discrete nodule | + | + |
| Subthreshold growth | + | + | |
| Corona enhancement | + | + | |
| Fat sparing in solid mass | +/− | + | |
| Restricted diffusion | — | + | |
| Mild–moderate T2 hyperintensity | — | + | |
| Iron sparing in solid mass | — | + | |
| Transitional phase hypointensity | — | + | |
| Hepatobiliary phase hypointensity | — | + | |
| Favoring HCC | Nonenhancing “capsule” | +/− | + |
| Fat in mass, more than adjacent liver | +/− | + | |
| Blood products in mass | +/− | + | |
| Favoring benignity | Parallels blood pool enhancement | + | + |
| Undistorted vessels | + | + | |
| Iron in mass, more than liver | +/− | + | |
| Marked T2 hyperintensity | — | + | |
| Hepatobiliary phase isointensity | — | + |
Publisher’s Note: MDPI stays neutral with regard to jurisdictional claims in published maps and institutional affiliations. |
© 2021 by the authors. Licensee MDPI, Basel, Switzerland. This article is an open access article distributed under the terms and conditions of the Creative Commons Attribution (CC BY) license (https://creativecommons.org/licenses/by/4.0/).
Share and Cite
Caraiani, C.; Boca, B.; Bura, V.; Sparchez, Z.; Dong, Y.; Dietrich, C. CT/MRI LI-RADS v2018 vs. CEUS LI-RADS v2017—Can Things Be Put Together? Biology 2021, 10, 412. https://doi.org/10.3390/biology10050412
Caraiani C, Boca B, Bura V, Sparchez Z, Dong Y, Dietrich C. CT/MRI LI-RADS v2018 vs. CEUS LI-RADS v2017—Can Things Be Put Together? Biology. 2021; 10(5):412. https://doi.org/10.3390/biology10050412
Chicago/Turabian StyleCaraiani, Cosmin, Bianca Boca, Vlad Bura, Zeno Sparchez, Yi Dong, and Christoph Dietrich. 2021. "CT/MRI LI-RADS v2018 vs. CEUS LI-RADS v2017—Can Things Be Put Together?" Biology 10, no. 5: 412. https://doi.org/10.3390/biology10050412
APA StyleCaraiani, C., Boca, B., Bura, V., Sparchez, Z., Dong, Y., & Dietrich, C. (2021). CT/MRI LI-RADS v2018 vs. CEUS LI-RADS v2017—Can Things Be Put Together? Biology, 10(5), 412. https://doi.org/10.3390/biology10050412

